1/35
Block 1 & 2
Name | Mastery | Learn | Test | Matching | Spaced |
|---|
No study sessions yet.

Which parasites are found in the stomach of horses / donkeys, and are known to cause ‘summer sores’?
Drashia megastoma, Habronema sp.

Which is the correct order of Strongylus sp. seen in this photo?
S. edenatus, S. equinus, S. vulgaris

This is the life cycle for:
Cyathostomes

Identify the parasite.
Parascaris equorum

Which parasite did this egg originate from?
Cyathostomes

Which parasite causes nodules AND summer sores in horses / donkeys?
Drashia megastoma

Identify the parasite.
Habronema sp.

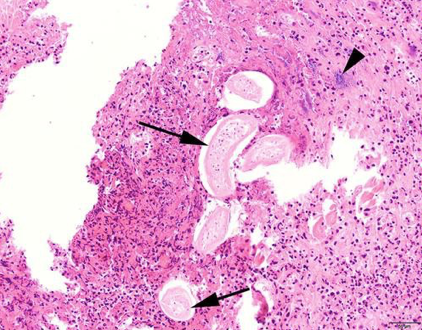
This histology slide contains which equine parasite?
Habronema sp.

Identify the parasite.
Cyathostomes
Drashia megastoma and Habronema sp. are most often transmitted to horses via:
Flies

This lesion was NOT caused by:
Neospora caninum

Identify the parasite.
Anoplocephala perfoliata
You’d likely find a cyathostome…
Munching on a gut wall.
Which equine parasite is NOT a nematode?
Anoplocephala sp.

Identify the parasite.
Strongyloides westeri

This depicts the life cycle of:
Habronema sp.
You’d most likely find Strongyloides westeri…
In the small intestine of a foal.

The photo showcases the male of which parasite species?
Habronema sp.

Who dis ?
Cyathostomes

This is the life cycle for…
Anoplocephala perfoliata

This egg is from which species?
Strongyloides westeri
Which parasite would you NOT find in the intestines?
Habronema sp.

This photo depicts the life cycle of:
Strongyloides westeri

The arrows depict the eggs of which species?
Red: Strongylus sp. / Blue: Strongyloides (Larvated)
Which parasite would most likely be found in the ileocecal junction?
Anoplocephala perfoliata

This photo depicts the life cycle of:
Strongyloides westeri

Identify which parasite these eggs belongs to.
Parascaris equorum
Pasture mites expedite the spread of which equine parasite?
Anoplocephala perfoliata

Which parasite’s life cycle is depicted here?
Parascaris equorum

Which parasite is pictured here?
Anoplocephala perfoliata
Parascaris equorum…
Can be found in the liver, lungs, and small intestine

Which parasite caused this damage to the mesenteric artery?
Strongylus vulgaris

This depicts the life cycle for which parasite?
Strongylus sp.

Identify the Strongylus sp. depicted in this image.
Strongylus equinus

Identify the Strongylus sp. depicted in this image.
Strongylus edentatus

Identify the Strongylus sp. depicted in this image.
Strongylus vulgaris