1/21
Looks like no tags are added yet.
Name | Mastery | Learn | Test | Matching | Spaced | Call with Kai |
|---|
No analytics yet
Send a link to your students to track their progress

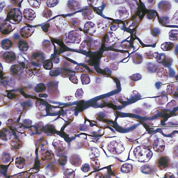
Name the tissue type
Name the cell type
Know where it is found in the body
Know its structure
What is the white background?
Areolar Connective Tissue
Fibroblast & fibrocyte
Most widespread tissue in the body
Collagen fibers & elastic fibers
White background is ground substance.

Name the tissue type
Name the cell type
Know where it is found in the body
What fill’s each bubble?
What is in the space between the bubbles?
Adipose Connective Tissue
Adipocytes
Hypodermis (deepest layer) of the skin
Lipid droplet fill’s each bubble
Matrix is in the space between the bubbles.

Name the tissue type
Don’t have to know the cell type!
Know where it is found in the body
Know its structure
Reticular Connective Tissue
N/A
Framework of spleen, liver, & lymph nodes
Reticular fibers.

Name the tissue type
Name the cell type
Know where it is found in the body
Know its structure
Dense Regular Connective Tissue
Fibroblast & fibrocyte
Tendon
Dense collagen bundles (going in one direction).

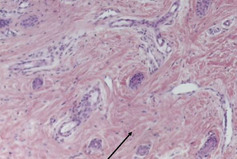
Name the tissue type
Name the cell type
Know where it is found in the body
Know its structure
Dense Irregular Connective Tissue
Fibroblast & fibrocyte
Dermis (middle layer) of the skin
Dense collagen bundles (many different directions).

Name the tissue type
Name the cell type
Know where it is found in the body
Know its structure
Hyaline Cartilage Connective Tissue
Chondroblast & chondrocyte
Trachea & the tip of the nose
Lacuna is the space & the matrix.

Name the tissue type
Name the cell type
Know where it is found in the body
Know its structure
What is the space?
Elastic Cartilage Connective Tissue
Chondroblast & chondrocyte
External ear
Elastic fibers
Lacuna is the space.

Name the tissue type
Name the cell type
Know where it is found in the body
What is the space?
Fibrocartilage Connective Tissue
Chondrocyte
Between the bones of the knee & vertebrae of the spine
Lacuna is the space & matrix is also present.

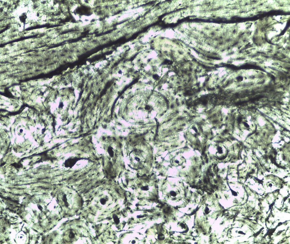
Name the tissue type
Name the cell type
Know its structure
Bone Connective Tissue
Osteocyte inside lacuna (the space)
Central canal.

Name the tissue type
Name the cell type
Know its structure
Bone Connective Tissue
Osteocyte inside lacuna (the space)
Central canal.

Name the tissue type
Name the cell type
Adipose Connective Tissue
Adipocytes.

Name the tissue type
Know where it is found in the body
What fill’s each bubble?
Adipose Connective Tissue
Hypodermis (deepest layer) of the skin
Lipid droplet fill’s each bubble.

Name the tissue type
Know where it is found in the body
Know its structure
What is the white background?
Areolar Connective Tissue
Most widespread tissue in the body
Collagen fibers & elastic fibers
White background is ground substance.

Name the tissue type
Name the cell type
Areolar Connective Tissue
Fibroblast & fibrocyte.

Name the tissue type
Know where it is found in the body
Know its structure
Dense Regular Connective Tissue
Tendon
Dense collagen bundles (going in one direction).

Name the tissue type
Name the cell type
Dense Regular Connective Tissue
Fibroblast & fibrocyte.

Name the tissue type
Know where it is found in the body
Know its structure
Dense Irregular Connective Tissue
Dermis (middle layer) of the skin
Dense collagen bundles (many different directions).

Name the tissue type
Name the cell type
Dense Irregular Connective Tissue
Fibroblast & fibrocyte.

Name the tissue type
Know where it is found in the body
Know its structure
what is the space
Elastic Cartilage Connective Tissue
External ear
Elastic fibers
Lacuna is the space.

Name the tissue type
Know where it is found in the body
Know its structure
Hyaline Cartilage Connective Tissue
Trachea & the tip of the nose
Lacuna is the space & the matrix.

Name the tissue type
Name the cell type
What does the cell sit inside?
Hyaline Cartilage Connective Tissue
Chondroblast & chondrocyte
Lacuna

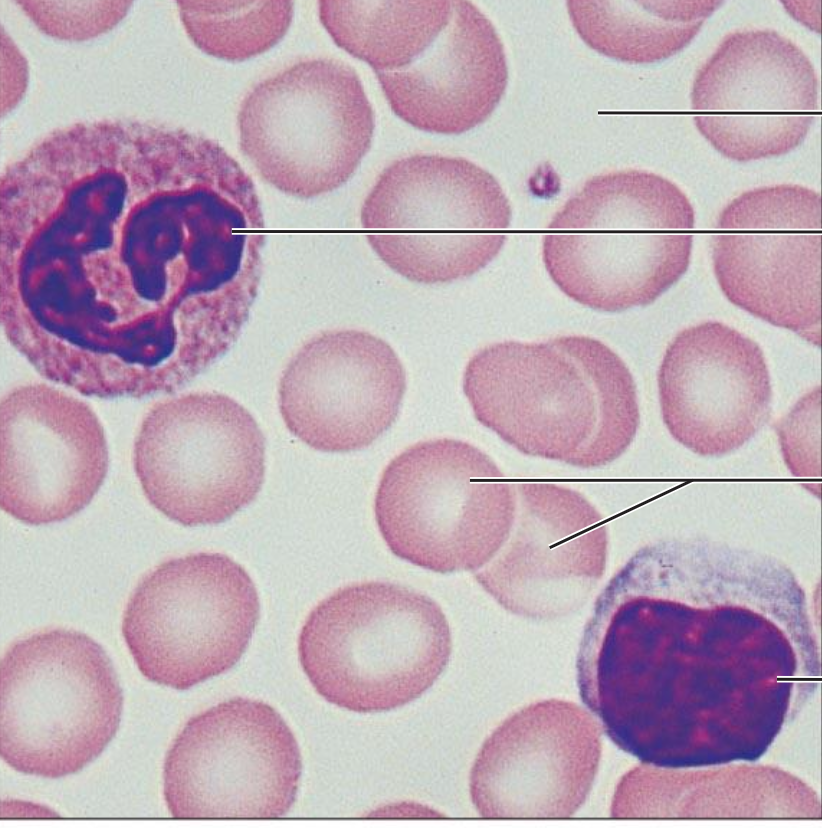
Name the tissue type
Name the cell types
Blood Connective Tissue
Red blood cell & white blood cell