Dermatology: Acne, Fungal, Bacterial, Viral, and Skin Cancer Treatments

0.0(0)
studied byStudied by 0 people
full-widthCall with Kai
GameKnowt Play
learnLearn
examPractice Test
spaced repetitionSpaced Repetition
heart puzzleMatch
flashcardsFlashcards
Card Sorting

1/76

encourage image

There's no tags or description

Looks like no tags are added yet.

Study Analytics
Name
Mastery
Learn
Test
Matching
Spaced

No study sessions yet.

77 Terms

1
New cards

- Retinoids: Adapalene, Tretinoin

- Abx: (Topical) Clindamycin, Dapsone

- (Oral) Tetras: Doxycycline

Acne Vulgaris (Inflammatory)

<p>Acne Vulgaris (Inflammatory)</p>
2
New cards

- Abx: (Topical) Clindamycin, Dapsone

- Benzoyl Peroxide

Acne Vulgaris (P. Acne)

<p>Acne Vulgaris (P. Acne)</p>
3
New cards

Retinoids: Adapalene, Tretinoin

Acne Vulgaris (Comedonal)

<p>Acne Vulgaris (Comedonal)</p>
4
New cards

- Weight Reduction, No Smoking, Chlorhexadine Scrub

- Steroid: Intralesional Triamcinolone

- Abx: Topical Tetracycline

- Biologics: Humira

Hidradentis Suppurativa

<p>Hidradentis Suppurativa</p>
5
New cards

- Abx: Topical Mupirocin

- Antifungal: Topical Azoles, Selenium Sulfide

Folliculitis (Staph Aur; Malassezia)

<p>Folliculitis (Staph Aur; Malassezia)</p>
6
New cards

- Abx: Oral Dicloxacillin, Cephalexin

- (IF MRSA: Oral Bactrim, Doxy, or Clinda)

Furuncles/Carbuncles

<p>Furuncles/Carbuncles</p>
7
New cards

- Abx: Topical Gentamycin

- Abx: Oral Ciprofloxacin

Hot Tub Folliculitis (Pseudomonas)

<p>Hot Tub Folliculitis (Pseudomonas)</p>
8
New cards

- Abx: Topical Metronidazole, Sulfacetamide

- Abx: Oral Doxy (Low Dose)

Rosacea

<p>Rosacea</p>
9
New cards

- (Baby): Coconut Oil, Aquaphor

- (Recurrent Adult): Hydrocortisone Cream

Seborrheic Dermatitis

<p>Seborrheic Dermatitis</p>
10
New cards

- Oral Antihistamines

- Topical Steroids

Erythema Multiforme (Prior HSV; Mycoplasma Pneumoniae)

<p>Erythema Multiforme (Prior HSV; Mycoplasma Pneumoniae)</p>
11
New cards

- Stop Medication

- Hospital

SJS/TEN (Adverse Drug Reaction)

<p>SJS/TEN (Adverse Drug Reaction)</p>
12
New cards

- Steroid: (Local) Topical Triamcinolone

- Immunomodulators: (Wide) Oral JAK Inhibitors

Alopecia Areata

<p>Alopecia Areata</p>
13
New cards

- ALL: Topical Minoxidil

- Female: Oral Spironolactone

- Male: Oral Finasteride

Androgenic Alopecia

<p>Androgenic Alopecia</p>
14
New cards

Abx: Topical or Systemic

Paronychia (Bacterial)

<p>Paronychia (Bacterial)</p>
15
New cards

Antifungal: ORAL TERBINAFINE, fluconazole

Onychomycosis (Tinea Ungium)

<p>Onychomycosis (Tinea Ungium)</p>
16
New cards

None

Erythema Infectiosum (red-slapped cheeks; lacy patch on limbs)

<p>Erythema Infectiosum (red-slapped cheeks; lacy patch on limbs)</p>
17
New cards

- Support: Antiseptic Mouthwash; Oral/Topical Analgesics

- Fluids: IV if necessary

Hand-Foot-Mouth Disease (Coxsackie Virus)

<p>Hand-Foot-Mouth Disease (Coxsackie Virus)</p>
18
New cards

- Prevention: MMR Vaccine

- Tx: None

Measles/Rubeola (Koplik Spots)

<p>Measles/Rubeola (Koplik Spots)</p>
19
New cards

- Abx: Oral Dicloxacillin, Cephalexin

- I&D (Do it 1st if you can)

- (IF MRSA) Abx: Oral Bactrim, Doxy, Clinda

- (MAYBE) IV: Vanco

Cellulitis (Staph, Strep, H. Flu, MRSA)

<p>Cellulitis (Staph, Strep, H. Flu, MRSA)</p>
20
New cards

Abx: (Oral or IV) Penicillin

Erysipelas

<p>Erysipelas</p>
21
New cards

Abx: Oral Dicloxacillin, Cephalexin

Impetigo (GAS, Staph)

<p>Impetigo (GAS, Staph)</p>
22
New cards

- Abx: IM Penicillin G

- "Chancre"

Primary Syphilis (T. Pallidum)

<p>Primary Syphilis (T. Pallidum)</p>
23
New cards

- Abx: IM Penicillin G

- "Palms and Soles" not spared

Secondary Syphilis (T. Pallidum)

<p>Secondary Syphilis (T. Pallidum)</p>
24
New cards

- Abx: IM Penicillin G

- Gummatous Lesion

Tertiary Syphilis (T. Pallidum)

<p>Tertiary Syphilis (T. Pallidum)</p>
25
New cards

1. Antifungal: Oral Azoles (Ketoconazole, Fluconazole)

2. Antifungal: Echinocandins (Anidulafungin, Micafungin, Caspofungin)

+ Nystatin can be effective

Intertrigo (Candidiasis)

<p>Intertrigo (Candidiasis)</p>
26
New cards

Antifungals: Oral Fluconazole + Nystatin Suspension

Thrush (Candidiasis)

<p>Thrush (Candidiasis)</p>
27
New cards

Antifungal: Oral Griseofulvin, Terbinafine

Tinea Capitis

<p>Tinea Capitis</p>
28
New cards

- Antifungal: Topical Azole, Terbinafine

- Ringworm

Tinea Corporis

<p>Tinea Corporis</p>
29
New cards

- Antifungal: Topical Azole, Terbinafine

- Jock Itch

Tinea Cruris

<p>Tinea Cruris</p>
30
New cards

- Antifungal: Topical Azole, Terbinafine

- Athlete's Foot

Tinea Pedis

<p>Tinea Pedis</p>
31
New cards

- Antifungals: Oral Griseofulvin

- Majocchi's Granuloma

Tinea Incognito

<p>Tinea Incognito</p>
32
New cards

- Antifungal: Oral Terbinafine

- One Hand, Two Feet

Tinea Manuum

<p>Tinea Manuum</p>
33
New cards

- Antifungal: Topical Azole, Terbinafine

- "Trying to Tan"

Tinea Versicolor

<p>Tinea Versicolor</p>
34
New cards

- Permethrin

- Nit Comb

Pediculosis Capitis

<p>Pediculosis Capitis</p>
35
New cards

- Topical: Permethrin (2 doses. Day of, Week After that)

- Oral: Ivermectin (Same Dose Cycle ^)

Scabies

<p>Scabies</p>
36
New cards

- Support: Topical Steroids, Antihistamines

- Get rid of bugs and linens

Bed Bugs (Bites in 2's & 3's)

<p>Bed Bugs (Bites in 2's &amp; 3's)</p>
37
New cards

- Topical Salicylic Acid

- Cryotherapy

Verruca Vulgaris (Warts, many kinds)

<p>Verruca Vulgaris (Warts, many kinds)</p>
38
New cards

- Topical Imiquimod +

- Salicylic Acid

- Or Cryotherapy

Condyloma Acuminatum (HPV)

<p>Condyloma Acuminatum (HPV)</p>
39
New cards

Antiviral: Oral Valacyclovir (Or Acyclovir)

Herpes Simplex (1 OR 2)

<p>Herpes Simplex (1 OR 2)</p>
40
New cards

- Antivirals: Oral Valacyclovir

- Antineuralgic: Oral Gabapentin

- Prevention: Vaccine

Herpes Zoster (Shingles)

<p>Herpes Zoster (Shingles)</p>
41
New cards

- Topical: Cantharidin "Beetle Juice"

- Cryotherapy

(BOTH activate immune system in papules)

Mollusca Contagiosum

<p>Mollusca Contagiosum</p>
42
New cards

(ANY)

- Cryotherapy

- Photodynamic Therapy

- 5-fluorouracil; Imiquimod

Actinic Keratosis

<p>Actinic Keratosis</p>
43
New cards

- Cryotherapy

- Curettage

Seborrheic Keratosis

<p>Seborrheic Keratosis</p>
44
New cards

None (Blue, Becker's or Otherwise)

Nevi

<p>Nevi</p>
45
New cards

Excise Entirely

Dysplastic Nevi

<p>Dysplastic Nevi</p>
46
New cards

Excise Entirely

- Moh's

- ED & C

Otherwise

- Imiquimod

- Radiation

- Chemo

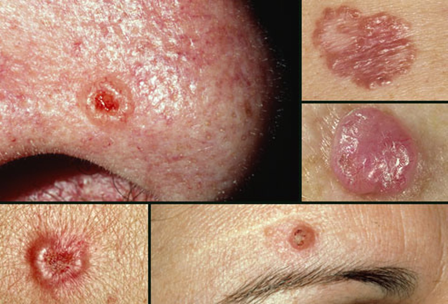
Basal Cell Carcinoma

<p>Basal Cell Carcinoma</p>
47
New cards

Excise Immediately + Radiation

Merkel Cell Carcinoma

<p>Merkel Cell Carcinoma</p>
48
New cards

No Tx Listed ??

Paget Disease

<p>Paget Disease</p>
49
New cards

- Excision

- Otherwise, Radiation

Bowen's Disease (SCC in Situ)

<p>Bowen's Disease (SCC in Situ)</p>
50
New cards

- Excision (Moh's)

- Otherwise, Radiation

Keratoacanthoma (SCC)

<p>Keratoacanthoma (SCC)</p>
51
New cards

- Excision

~Later~

- Immunotherapy (Ipilimumab/Keytruda; Nivolumab/Opdivo)

- Chemotherapy

Melanoma

<p>Melanoma</p>
52
New cards

- Excision

- Radiation

- Injected Chemotherapy

- Laser Ablation

Kaposi Sarcoma (HIV/AIDS Association)

<p>Kaposi Sarcoma (HIV/AIDS Association)</p>
53
New cards

- Steroids: Topical

- Chemotherapy: Topical/Oral

- Phototherapy: UV

Mycosis Fungoides (T Cell Lymphoma)

<p>Mycosis Fungoides (T Cell Lymphoma)</p>
54
New cards

- Steroids: Topical Hydrocortisone

- CONSIDER Immunomodulators: Tacrolimus

Mild Atopic Dermatitis

<p>Mild Atopic Dermatitis</p>
55
New cards

- Steroids: Topical Triamcinolone

- CONSIDER Immunomodulators: Tacrolimus

Moderate Atopic Dermatitis

<p>Moderate Atopic Dermatitis</p>
56
New cards

1. Steroids: Oral Prednisone

1. Monoclonal Antibodies: Injectable Dupilumab/Dupixent

2. JAK Inhibitors

Severe Atopic Dermatitis

<p>Severe Atopic Dermatitis</p>
57
New cards

- Steroids: High Potency Topical + Tape

- Steroids: Injectable, Intralesional Kenalog

Lichen Simplex Chronicus

<p>Lichen Simplex Chronicus</p>
58
New cards

- Steroids: "Super-potent Topical/Intralesional"

- Retinoids: Oral Isotretinoin

Lichen Planus (4 P's; Hep C Association)

<p>Lichen Planus (4 P's; Hep C Association)</p>
59
New cards

- None

- "Salmon colored, Herald Patch, Christmas Tree"

Pityriasis Rosacea

<p>Pityriasis Rosacea</p>
60
New cards

Topical

1. Steroids: Topical

2. UV Therapy

Systemic

- Oral Methotrexate

- Retinoids: Oral Acitetin

- PDE4 Inhibitors: Otezla

- Biologics: Stelara (IL 12/23), Skyrizi (IL 23)

Psoriasis

<p>Psoriasis</p>
61
New cards

- Topical Hydroquinone

- Retinoid: Topical Tretinoin

Melasma

<p>Melasma</p>
62
New cards

- UVB Phototherapy

- Jak Inhibitor: Ruxolitinib/Opezelura

- Total Depigmentation: Monobenzone

Vitiligo

<p>Vitiligo</p>
63
New cards

Abx: Topical Sulfadiazine Ointment

Burn

<p>Burn</p>
64
New cards

- Compression Stockings

- Steroids: Topical Triamcinolone

Stasis Dermatitis

<p>Stasis Dermatitis</p>
65
New cards

None Needed

Cherry Angioma

<p>Cherry Angioma</p>
66
New cards

- Beta Blocker: Topical Timolol (<8 weeks)

- Beta Blocker: Oral Propranolol (Specialist)

Infantile Hemangioma

<p>Infantile Hemangioma</p>
67
New cards

Steroids: High-Dose Oral Prednisone

Pemphigus Vulgaris

<p>Pemphigus Vulgaris</p>
68
New cards

- Steroids: High-Dose Oral Prednisone

- Immunosuppressant: Azathioprine/Imuran

Bullous Pemphigoid

<p>Bullous Pemphigoid</p>
69
New cards

- Weight Loss

- Retinoids: Topical

Acanthosis Nigricans (DM Association)

<p>Acanthosis Nigricans (DM Association)</p>
70
New cards

- Gluten Free

- Abx: Oral Dapsone

Dermatitis Herpetiformis

<p>Dermatitis Herpetiformis</p>
71
New cards

Laser/Surgery

Xanthoma

<p>Xanthoma</p>
72
New cards

- None Necessary

- Excision

Lipoma

<p>Lipoma</p>
73
New cards

- Surgery

- Intralesional Kenalog (if inflamed)

Epidermal Inclusion Cyst (Central Pore)

<p>Epidermal Inclusion Cyst (Central Pore)</p>
74
New cards

Antihistamines: Oral Zyrtec PRN

(Chronic) Antihistamines: Oral, Injectable Omalizumab/Xolair

Urticaria (Hives)

<p>Urticaria (Hives)</p>
75
New cards

Colorectal Surgeon

Pilonidal Disease

<p>Pilonidal Disease</p>
76
New cards

- Topical Aluminum Chlorides

- Anticholinergics: Oral Glycopyrrolate

- Botox Injections

Hyperhidrosis

77
New cards

Piperacillin-Tazobactam OR Meropenem +

Vancomycin OR Linezolid

Necrotizing Fasciitis

<p>Necrotizing Fasciitis</p>