VIVA IMAGING APPS

0.0(0)
studied byStudied by 1 person
0.0(0)
full-widthCall with Kai
GameKnowt Play
New
learnLearn
examPractice Test
spaced repetitionSpaced Repetition
heart puzzleMatch
flashcardsFlashcards
Card Sorting

1/97

encourage image

There's no tags or description

Looks like no tags are added yet.

Study Analytics
Name
Mastery
Learn
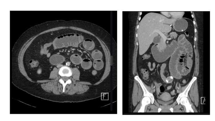
Test
Matching
Spaced

No study sessions yet.

98 Terms

1
New cards

What is FLAIR and what is it used for?

Fluid attenuated inversion recovery

Fluid is suppressed

Thus high areas of signal indicate pathology

`

2
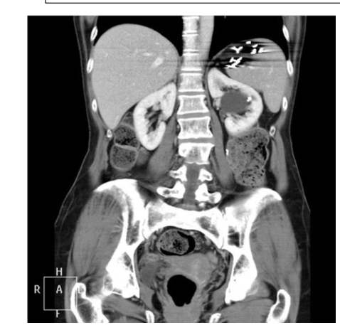
New cards

What MRI fields can cause harm to a patient and how?

Static: biological fields, Can move metal objects and affect implants.

Gradient: heating, acoustic noise, and nerve stimulation

RF (radiofrequency waves): heating, burns, interference with implants

<p>Static: biological fields, Can move metal objects and affect implants.</p><p>Gradient: heating, acoustic noise, and nerve stimulation</p><p>RF (radiofrequency waves): heating, burns, interference with implants</p>
3
New cards
<p>What is the pathology?</p>

What is the pathology?

Skull fracture along lambdoid suture line.

Sits along the suture and the regular suture pattern is abnormal.

Best seen on non-contrast brain bone window.

4
New cards
<p>What is the pathology?</p>

What is the pathology?

Saccular aneurysm: abnormal swelling of brain blood vessel

Rounded shape

Best seen on COW and carotid CT especially post contrast as vessel will enhance.

5
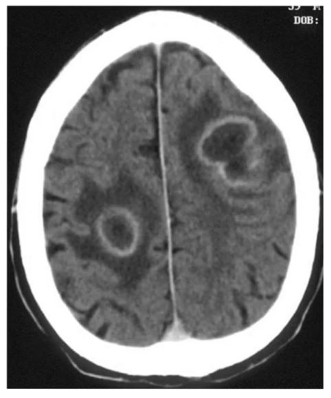
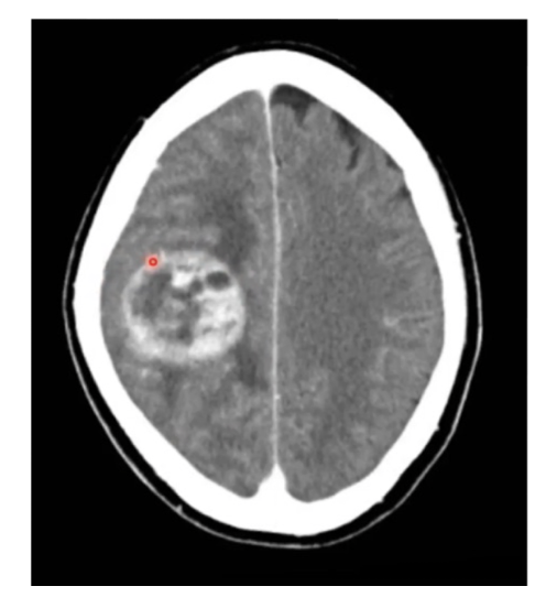
New cards

What is the planning protocol for C+ A/P

Pt position: supine, feet first, hands above head

Scan range: diaphragms to pubic symph

Phase: Post contrast

For viewing bowels oral contrast is given and opacification should be seen in bowels

For other abdominal related pathology IV contrast is given with and arterial and PV phases.

6
New cards

What are the abnormal effects of IV contrast?

Hot flush

Metallic taste in mouth

Feeling that they are wetting themselves

7
New cards

How does IV contrast effect allergies and how can you minimise this risk?

Increases the risk of hypersensitivity reaction if patient has other allergies.

Medications can be taken prior such as antihistamines

8
New cards

How does IV contrast affect beta blockers and how can you minimise this risk?

Taking beta blockers increases the risk of the patient having a moderate to severe reaction to IV contrast.

Intravenous glucagon can be used instead of iodinated contrast

9
New cards

How does IV contrast affect renal function and how can you minimise the risk?

IV contrast is nephrotoxic therefore can cause further renal damage to the already existing condition.

Consult radiologist and identify EGFR

IV hydration is recommended prior to CT scan.

10
New cards

How does IV contrast affect diabetic patients on metformin and how can you minimise the risk?

Consult radiologist on pt eGFR
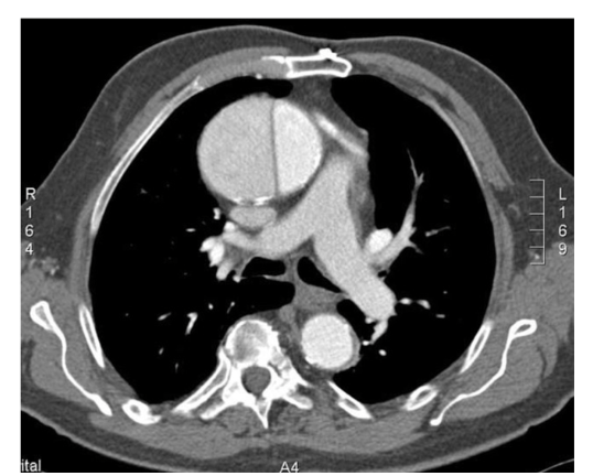
lactic acidosis

eGFR>30 low risk of developing lactic acidosis therefore pt can take metformin as normal.

eGFR <30 cease taking metformin 48 hrs prior to CT scan.

11
New cards

How does IV contrast affect thyroid disease and how can you minimise the risk?

IV contrast can cause thyroxicosis

Need to outweigh risk v benefits

Pt needs to be monitored and an emergency crash kit needs to be located close by.

12
New cards

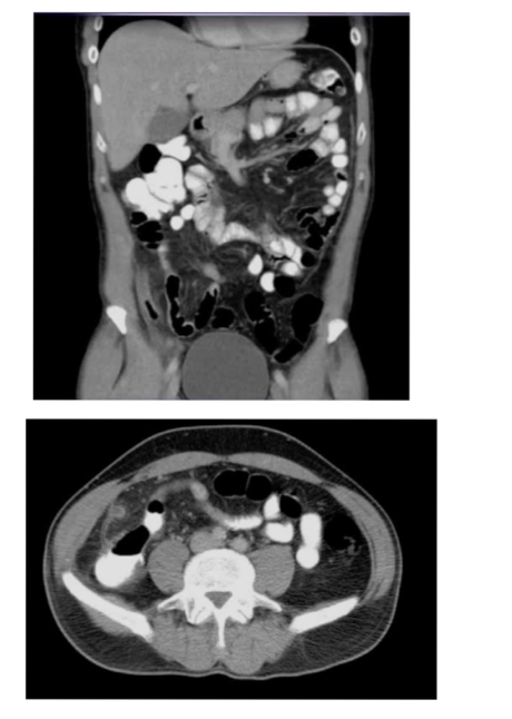
What is the pathology?

  • Diverticulosis: pockets of air

    branching from the bowel

  • Thickening of the lumen wall

  • Leaking of gas into Abdo cavity

13
New cards

What are the sequences and what is the pathology?

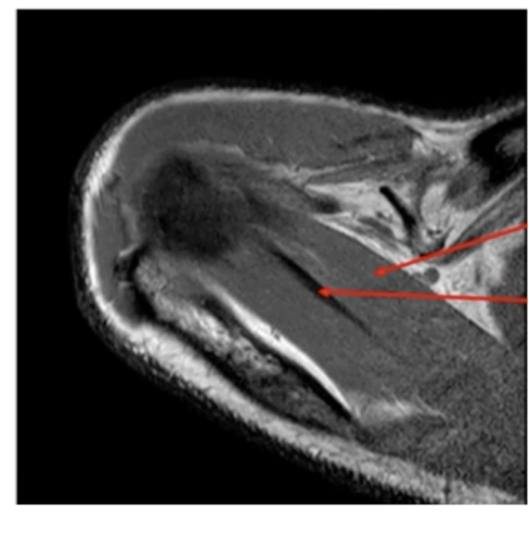
  • T1, STIR, T1FS C+

  • Tissue lipoma- benign tumour made of fat tissue

14
New cards

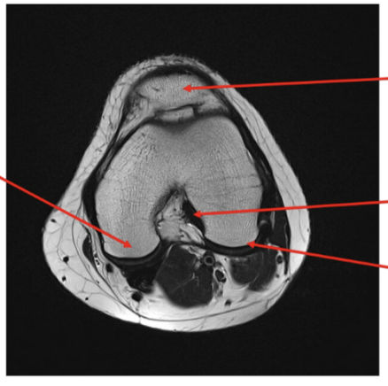
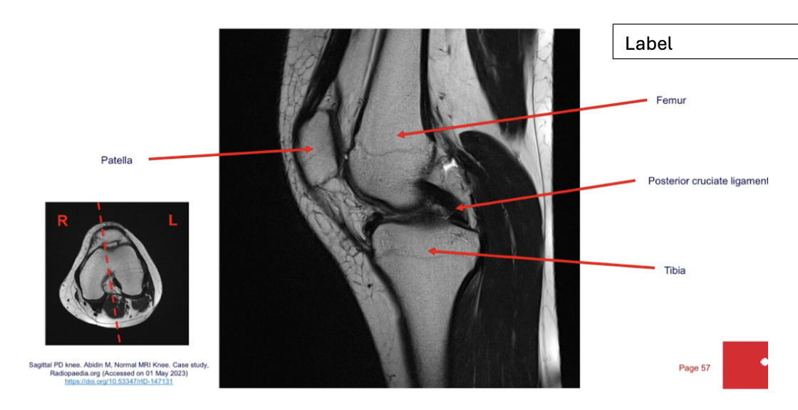
label each

2- lateral and medial condyles of femur

4- vastus lateralis muscle

5-posterior cruciate ligament

6- anterior cruciate ligament

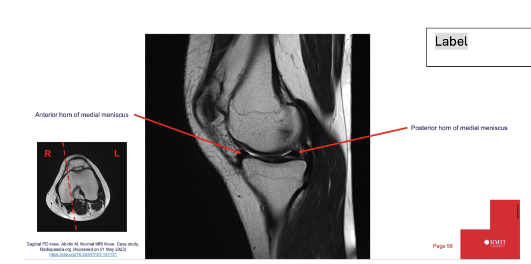
7- medial meniscus of knee

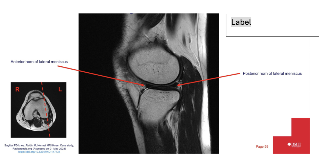
8- lateral meniscus of knee

9-tibia

10-fibula

15
New cards

What is the protocol planning for a CT thoracic angiogram?

  • Pt position: supine, feet 1st, arms above head

  • Scan range: skin margins above shoulder to iliac crests (aorta bifurcation)

  • Phases: non contrast and arterial phase – we will know we are in arterial phase when the aorta has maximum opacification

  • Recons: axial, sagittal and coronal in angio, soft tissue and lung windows

  • MIPs

  • Rotational VR

16
New cards

Why are the advantages of using MRI for MSK imaging?

  • Non-invasive

  • Non ionising

  • High level of soft tissue detail

  • 3D imaging

  • Low cost compared to diagnostic surgery.

17
New cards

What is the pathology?

  • Ascites: abnormal

    collection of

    intraperitoneal fluid

  • Evidenced by the fluid within the recesses of

    peritoneal cavity

18
New cards

What is T2 Fat Sat and what is it used for?

  • Shows T2 however, fat will now be supressed thus, appear dark.

  • It enhances contrast between pathological changes associated with fluid.

19
New cards
  1. What MRI plane best shows carpal tunnel?

  • Axial plane

  • It can show flattening or oedema of muscles and nerves sitting within the carpal tunnel.

20
New cards
  1. What is T2 weighting and what is it useful for?

  • T2 relies on long time to repetition and long time to echo.

  • Fat and fluid appear bright.

  • It is useful for identifying fluid related pathologies such as oedema.

21
New cards

Phase + pathology?

  • In PVP as there is opacification of

    the portal vein and the liver is also

    opacified

  • Path = small bowel obstruction

  • Small bowel as its characterised by

    the ridged lines

  • Bowels are dilated and we can’t see

    any gas patterns distal to the obstruction.

22
New cards

Label:

23
New cards

What is DWI and what is it used for?

  • Diffusion weighted imaging

  • Areas that have high signal intensity indicates there is restricted diffusion within that area and therefore, a pathological process.

  • Used in tumour characterisation and cerebral ischemia

24
New cards
  1. What MRI imaging plane best demonstrates the glenoid labrum?

  1. • Axial (expand? or)

25
New cards
  1. What are the advantages of scanning brain in MRI?

  • No ionising radiation

  • 3D imaging

  • High level of soft tissue contrast and detail

  • More sensitive and specific for abnormalities within the brain

  • Allows evaluation of structures that may be obscured by artefacts from bone in

    CT images.

  • Gadolinium based contrast is less likely to cause adverse reactions than

    iodinated contrast

26
New cards

What sequences are useful in identifying brain tumours and what does each identify?

27
New cards

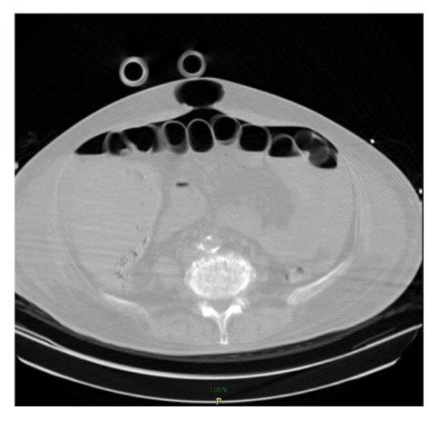
What is the phase and pathology?

  • Appendicitis: inflammation of

    the appendix

  • Appendiceal wall thickening

  • This is a A/P C+ scan. Oral

    contrast has been given as there is max opacification seen in the bowels.

28
New cards

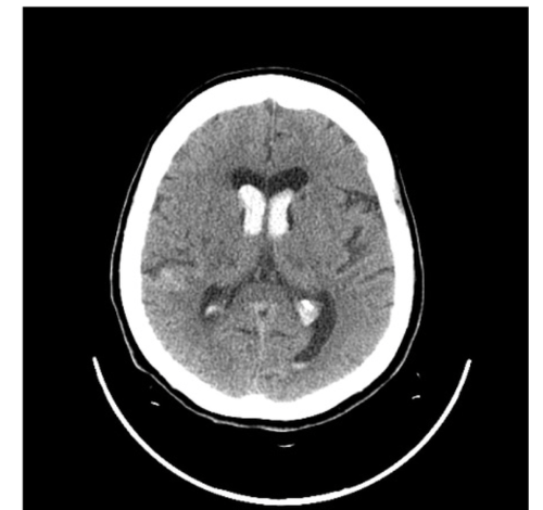
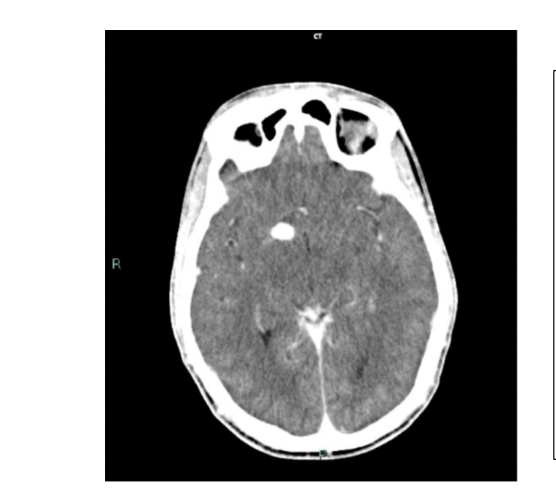
What is the pathology?

  • Ischaemic stroke: blood flow to

    the brain has been blocked.

  • Hypodense areas = infarct (dead

    brain tissue)

29
New cards

What is the sequence + pathology?

  • T1 – fat is bright fluid is dark

  • Path = avascular necrosis of the

    femoral head

  • Lost blood supply to the femoral

    head. = bone death

  • Decreased signal = oedema

30
New cards

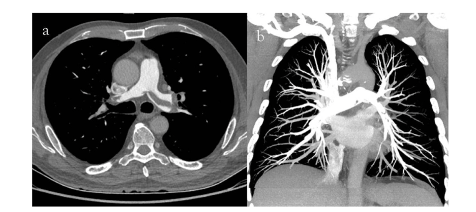
What is the protocol + pathology?

  • CTPA

  • There is max opacification within the pulmonary arteries therefore contrast was used and it’s in an EARLY arterial phase.

  • Path = pulmonary embolism with an occlusion in the left pulmonary artery

  • Filling defect characterised by hypodense streak within the left pulmonary artery.

  • Coronal MIP = highest attenuation values within the voxel selected

31
New cards

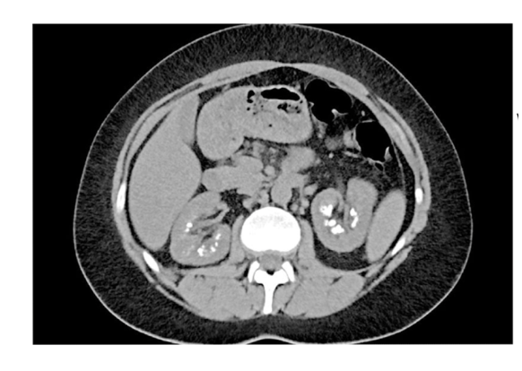
What is the protocol + pathology?

  • Non contrast A/P CT

  • Path = hypodense renal cyst

  • Well defined margins

  • Best seen on Quad Phase Renal

    CT

  • No enhancement therefore,

    composed of water

32
New cards

What is the protocol + pathology?

  • CT non con brain

  • Intraparenchymal

    haemorrhage: brain bleed within the brain parenchyma

  • Hyperattenuating mass posteriorly in the occipital lobe

  • Midline shift

  • Adjacent oedema.

33
New cards

What are the sequences used in MRI MSK and what does each provide?

34
New cards

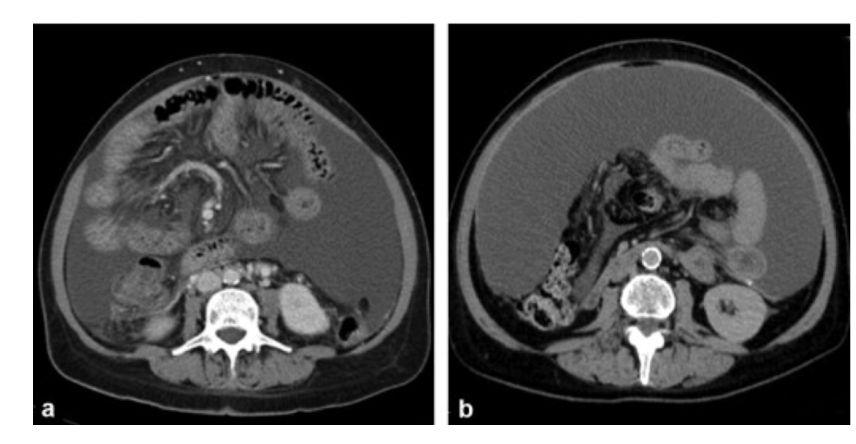
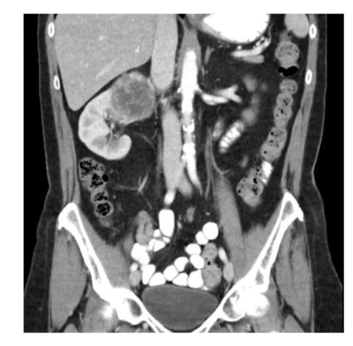
What is the CT + Pathology?

Abdomen CT C+
- In arterial phase as the abdominal

aorta has maximum opacification • Path = renal cell carcinoma
- Heterogenous mass on the kidney

with poorly defined margins

35
New cards

What is the planning for CT pulmonary angiography?

  • Pt position: supine, feet 1st hands, hands above head

  • Scan range: lung apices to base of lung

  • Phase: minimal scan delay to achieve max opacification in the pulmonary

    arteries only

  • Recons – axial, coronal sag, MIPs in angio, soft tissue and lung windows.

36
New cards

Scan + pathology?

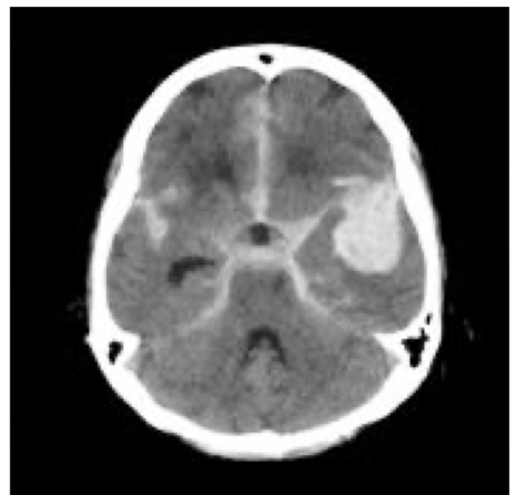
  • Non con CT

  • Path = primary brain tumour

  • Adjacent oedema

  • Double ring sign

  • Contrast phase should be

    done to see if tumour is vascular

37
New cards

What is the protocol planning for a non con brain CT?

  • Pt position: supine, head 1st , chin tucked in (reduce dose to orbits)

  • Scan range: C2 lamina to skull vertex

  • Phase: non contrast therefore, no vessel enhancement should be seen.

  • Recons: axial, sagittal and coronal soft tissue and bone windows.

38
New cards

What is CT and pathology?

  • Abdomen C-

  • Path = pneumoperitoneum

  • Gas seen anteriorly

  • It has pushed the liver

    posteriorly.

39
New cards

What is the post contrast brain planning protocol?

  • Pt position: supine, head 1st, chin tucked (reduce dose to orbits)

  • Scan range: C2 lamina to skull vertex.

• Phase: delayed phase involves a 5-minute scan delay post contrast injection
- Good opacification in cerebral vessel indicates enough time has passed for the

contrast to pass the blood brain barrier.
• Recons: axial, sagittal and coronal in bone and soft tissue window

40
New cards

What is the planning protocol for a Quad phase liver?

  • Pt position: supine, feet 1st, hands above head (reduce dose to arms and assist

    with dose modulation)

  • Scan range: diaphragm to iliac crests

  • Phases:

  • -  Non contrast: no vessel enhancement

  • -  Arterial: 15-30s delay– arteries should be enhanced

  • -  Portal venous: 50-70s delay – portal vein should be enhanced.

  • -  Delayed: 2-5min delay – portal vein will still be enhanced but not at its maximum

    opacification as in PVP

• Recons: axial, coronal and sagittal in soft tissue and lung windows.

41
New cards

CT + pathology?

  • KUB CT – image presents non-con

  • Path = renal calculi evidenced by the

    hyperattenuating stones seen within the kidney

42
New cards

What appears dark on every MRI scan?

• Tendons and ligaments

43
New cards

On a T1 weighted image oedema appears dark because it has a ---- relaxation time?

Long relaxation time therefore,

protons in (fluid-rich) tissue take longer to realign with the magnetic field, resulting in low signal (dark appearance) on T1 images.

44
New cards

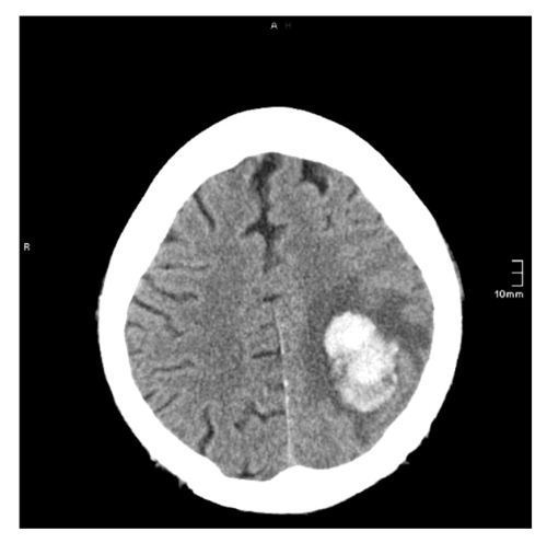
What is the CT + Pathology?

  • Brain CT C-

  • Path = haemorrhagic stroke

  • Hyperattenuating mass

  • Adjacent oedema to the bleed

45
New cards

What is the CT + Pathology?

  • Chest CT C-

  • Path = left sided pleural e`usion

  • Hazy areas of consolidation

46
New cards

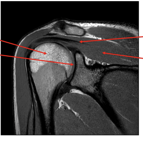
What is the most common rotator cuff tendon tear?

• Supraspinatus tendon

47
New cards

What is the CT + Pathology?

  • Brain CT C-

  • Path = subdural haemorrhage:

    blood between the dura and

    subarachnoid matter

  • Characterised by its convex shape.

  • Hyperattenuating spot seen

    laterally and posteriorly.

48
New cards

What is the CT + Pathology?

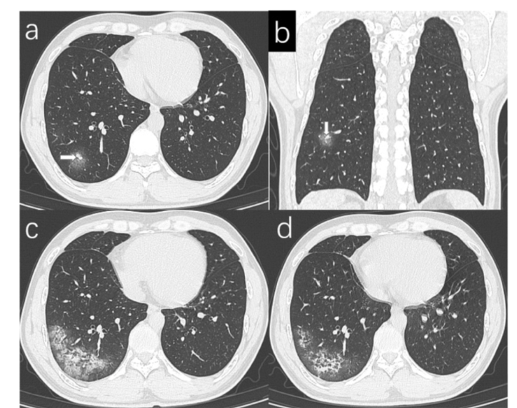
  • HRCT

  • Path = bronchiectasis: dilation of the bronchial wall due to chronic inflammation

  • Ground glass appearance: hazy areas of increased attenuation through the lung.

  • Bronchial wall thickening

49
New cards

What is a T1 weighting and what is it most useful for?

  • T1 weighting has a short time to repetition and a short time to echo

  • This is characterised by the appearance of fat as bright on images and fluid as

    dark

  • It is useful in highlighting anatomical detail and useful for pre and post contrast

    studies

50
New cards
51
New cards

Pathology

  • Medial collateral ligament tear

  • High signal intensity within the

    medial aspect of the knee indicative of fluid presence as a result of a pathological process in this case the tear.

52
New cards

CT protocol + Pathology?

  • Brain C-

  • Subarachnoid haemorrhage: brain bleed within the subarachnoid space and pia mater

  • Hyper attenuation within the basal cistern

  • Located around the circle of Willis

53
New cards

CT protocol + Pathology?

  • Brain C-

  • Glioma: tumour that arises within the brain and spinal cord

  • Mass extends across the

54
New cards

CT protocol + Pathology?

  • Brain C-

  • Extradural haemorrhage: bleed between the skull and the dura

  • Convex shape

  • Hyperattenuating

  • Midline shift

55
New cards

CT protocol + Pathology?

  • Brain C-

  • Abscess: fluid filled pockets of infection within the brain parenchyma

  • Ring like structure where the hypodense inner ring is pus and the hyperattenuating outer ring is other fluid.

  • Adjacent phasogenic oedema.

56
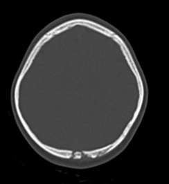
New cards

CT protocol + Pathology?

  • C- brain

  • Depressed skull fracture: parts of the skull have sunken into the cranium.

  • There is steps within the cortical margins of the frontal and temporal bones

57
New cards

label

58
New cards

What is the sequence and why?

• T1 – fluid is dark but fat is bright

59
New cards

Label

60
New cards

Sequence + Pathology?

T1,T2

  • Cauda Equina syndrome

  • L5/S1 disk space herniation compressing the cauda equina.

  • Signal intensity is lost in T2 sag as you get to L5/S1 disk space.

61
New cards

Sequences + pathology?

  • Axial=T2,1st sag=T1,2nd sag=T2

  • Anterior disk bulge of L3/4 and L4/5 disks

  • Anterior longitudinal ligament has lost its normal shape as it is being pushed

    anteriorly by the disk bulges.

62
New cards

Label

63
New cards

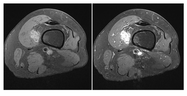
Sequences + pathology?

  • T1, STIR, T1FS C+

  • Sarcoma within the muscle of the right thigh

  • T1 – lacking symmetry between the left and right thigh

  • STIR – fluid sensitive scan that has picked up fluid involvement hence,

    suggestive of a pathological process.

  • T1FS C+ - vascular involvement has there is high signal from contrast

    situated inside the sarcoma.

64
New cards

Sequences + pathology?

T1

• Syrinx: fluid filled cyst that sits within the spinal cord • Areas of increased signal present

65
New cards

Sequences + why?

T2FS

• Spots of high signal fluid around the humeral head

• Fat is dark hence has been supressed.

66
New cards

Label

67
New cards

Pathology?

• Vertebral tumour that has invaded the spinal cord

68
New cards

Sequence + Why?

T2 – fat is bright and fluid

is bright

69
New cards

Label

70
New cards

Label

71
New cards

Sequence + Why?

  • 1st – T1FS: fluid is dark and

    fat has been supressed

  • 2nd T1FS C+: vessel

    enhancement however T1 characteristics still remain

72
New cards
<p>Label</p><p>\</p><p></p>

Label

\

73
New cards

Label

74
New cards

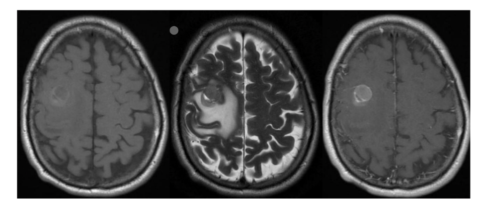
Sequences + Pathology?

  • 1st = T1: the white matter is brighter than the grey matter

  • 2nd = T2: the white matter is darker than the grey matter

  • 3rd = T1 C+: still has T1 characteristics but there is vascular involvement as there is

    increased signal from the lesion

  • Path = intra-axial lesions

75
New cards

Sequence + Why?

PD- proton density

• Fat is bright, fluid is bright, intermediate signal from muscle.

76
New cards

What is the planning protocol for a post contrast CT Chest?

  • Pt position: supine, feet 1st, hands above head (reduce dose to arms and allows for

    accurate dose modulation)

  • Scan range: skin margins above shoulder to diaphragm.

  • Phase: arterial phase (30s delay) should have max opacification in the thoracic aorta

    and its branching vessels.

  • Recons: axial, coronal and sagittal in bone, lung and soft tissue windows.

77
New cards

Label

78
New cards

Sequences + Pathology

  • T2, T2FS, T1C+

  • Path = multiple sclerosis

  • Increased signal within the spinal cord confirming the presence of lesions

79
New cards

Label

80
New cards
<p>Label</p>

Label

81
New cards

Label

82
New cards

What is the proton density MRI sequence and what is it used for?

  • Receives signal from areas that have the highest proton density, and these appear

    bright on an image.

  • Fat usually has the highest signal and appears bright.

  • Used for brain imaging as there is good grey and white matter contrast.

  • Also used for MSK imaging.

83
New cards

What is the T1 FS sequence and what is it used for?

  • Adipose tissue appears dark.

  • This allows for tissue characterisation and better visualisation of contrast material.

84
New cards

CT protocol + pathology?

  • Brain C-

  • Path = intraventricular haemorrhage

  • Abnormal hyper attenuation in lateral ventricles indicating the presence of blood.

85
New cards

CT protocol + pathology?

  • Brain C-

  • Path = metastases: spread of cancer from its primary site

  • Ring sign where there is a hyperattenuating capsule

86
New cards

CT protocol + pathology?

  • Chest C-

  • Path = pneumonia: infection of the lungs where pus sits within the alveoli

  • Hazy appearances in lung consistent with consolidation

  • Pulmonary consolidation

87
New cards

What is patient prep in CT?

  • Positive patient ID

  • Pregnancy status

  • Contrast safety risk.

  • -  Previous allergic reaction to contrast and any known allergies?

  • -  Thyroid issues?

  • -  Kidney disease?

  • -  Diabetes and taking metformin?

  • Removal of radiopaque objects in ROI

  • Practice Breathing instructions prior to the commencement of examination if required.

88
New cards

CT protocol + pathology?

  • CT thoracic angiogram – delayed arterial

    phase.

  • Path = dissection of the ascending aorta:

    there is a tear in the intima causing

    blood to leak into the media

  • intimal flap

  • dilated ascending aorta.

  • density di`erences within the aorta

89
New cards

What is pathway of IV contrast from the right anti-cubital fossa?

Rt basilic v – Rt axillary v – Rt subclavian v – SVC – Rt atrium – Rt ventricle – Pulmonary a –

pulmonary V – Lt atrium – Lt ventricle – ascending aorta

90
New cards

Label

91
New cards

What are the disadvantages of using MRI for MSK imaging?

  • Poor bony detail compared to CT

  • Decreased availability

  • Decreased pt compliance – claustrophobia as well as pt movement due to long scan times

  • More expensive

  • Increased safety considerations

92
New cards

What are IV contrast side e`ects and what can be done to minimise these from occurring?

Side effects:

  • -  Allergic reaction

  • -  Nauseous

  • -  Vomiting, coughing, choking.

• Preventative methods:

  • -  Safety screening prior to giving contrast.

  • -  Having an anaphylactic or emergency kit close by

93
New cards

Label

94
New cards

Sequence + pathology?

  • 1st = PD: intermediate signal from muscle and fat is bright, image quality is much better

  • 2nd = PD FS: fat has been supressed appearing much darker

  • Path = complete ACL tear: in a normal knee you would see a black band which is the acl sitting

    across the anterior aspect of the tibia and extending to the posterior aspect on the femur. This is not present at all hence, a tear.

95
New cards

Sequence + pathology?

  • PD, PDFS

  • Path = supraspinatus tendon tear

  • -  You can follow the tendon and see that it stops just above the humeral head rather than

    attaching to the lateral aspect of the head.

  • -  More prominent of the PDFS you can see high signal around the lateral aspect of the humerus

    indicative of a pathological process occurring because of the tear.

96
New cards

CT protocol + pathology

  • Quad Phase Renal CT

  • Path = hydronephrosis: swelling of the

    kidney and ureters caused by a blockage

    in the path of urine.

  • Significant dilation of kidneys

  • Hyperattenuating calculi causing the

    occlusion of the path of urine from the kidney to bladder.

97
New cards

What is the planning protocol for a post contrast A/P CT?

  • Pt position: supine, feet 1st, hands above head (reduce dose to arms and allows for appropriate

    dose modulation)

  • Scan range: diaphragms to pubic symphysis.

  • Phases: portal venous phase (50-70s post injection scan delay) – should see max opacification

    in the portal vein

  • Recons: axial, sagittal and coronal in soft tissue and lung windows.

98
New cards

What is the planning protocol for a high-resolution CT (HRCT)

Pt position: supine, feet 1st, hands above head (reduce dose to arms and allows for appropriate dose modulation)
Scan range: skin edge above shoulders to diaphragms.
Phase: non contrast

Recons:
INSPIRATION – axial in mediastinal, bone and lung window

EXPIRATION – axial in lung window only.