WBC 2: BM, Non-Malignant WBC Disorders

0.0(0)
studied byStudied by 4 people
0.0(0)
full-widthCall with Kai
GameKnowt Play
New
learnLearn
examPractice Test
spaced repetitionSpaced Repetition
heart puzzleMatch
flashcardsFlashcards
Card Sorting

1/127

encourage image

There's no tags or description

Looks like no tags are added yet.

Study Analytics
Name
Mastery
Learn
Test
Matching
Spaced

No study sessions yet.

128 Terms

1
New cards

____ refers to the ratio between red marrow and yellow marrow.

cellularity

2
New cards

phagocytic cells in connective tissue:

histiocytes

3
New cards

a ____ refers to an aspirate collection where there is no liquid available.

dry tap

4
New cards

a BM evaluation of an aspirate specimen is examined under low power (x10) to detect the presence of ____.

spicules 

5
New cards

____ refer to relatively intact marrow consisting of hematopoietic and stromal cells.

spicules 

6
New cards

____ stain dark blue/purple in the BM.

spicules 

7
New cards

aspirate differential is performed under ____ magnification.

x100

8
New cards

the ____ series includes blasts, segs (neutrophils, eosinophils, basophils).

myeloid

9
New cards

all stages of development should be present but within their anticipated distribution during a BM differential count. true or false?

true

10
New cards

what is the range for normal M:E ratio?

1.5:1 to 3.3:1

11
New cards

the ____ tissue occupies 1.5 to 3.3 times more space than the erythroid precursors.

granulopoietic 

12
New cards

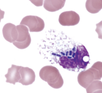
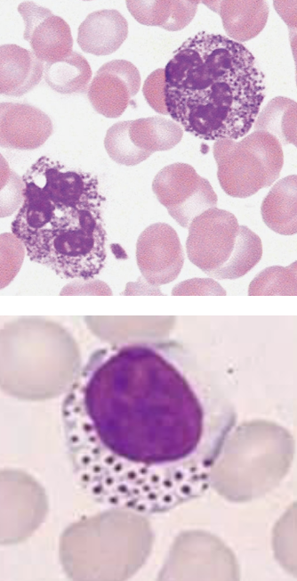
the reason granulopoietic tissue occupies 1.5 to 3.3 times more space than erythroid precursors is because of the ____ survival of granulocytes in circulation.

shorter

13
New cards

____ objective lens refers to low power.

x10

14
New cards

____ objective lens refers to high power.

x50 and x100

15
New cards

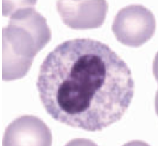
during a BM aspirate examination, which lens should be used when assessing peripheral blood dilution?

x10

16
New cards

during a BM aspirate examination, which lens should be used when finding bony spicules and areas of clear cell morphology?

x10

17
New cards

during a BM aspirate examination, which lens should be used when observing fat to marrow ratio and estimate cellularity?

x10

18
New cards

during a BM aspirate examination, which lens should be used when searching for tumor cells in clusters?

x10

19
New cards

during a BM aspirate examination, which lens should be used when examining and estimating megakaryocytes?

x10

20
New cards

during a BM aspirate examination, which lens should be used when observing myelocytic and erythrocytic maturation?

x50 and x100

21
New cards

during a BM aspirate examination, which lens should be used when distinguishing abnormal distribution of cells or cell maturation stages?

x50 and x100

22
New cards

during a BM aspirate examination, which lens should be used when performing differential count on 300 to 1000 cells?

x50 and x100

23
New cards

during a BM aspirate examination, which lens should be used when computing M:E ratio?

x50 and x100

24
New cards

megakaryocytes are too unevenly distributed to count in a differential. true or false?

true

25
New cards

clusters of megakaryocytes may indicate ____.

hyperplasia 

26
New cards

<2 ____ per low power field may indicate hypoplasia or poor quality aspirate.

megakaryocytes

27
New cards
<p>classify the cellularity. include ratio.</p>

classify the cellularity. include ratio.

normal; 1:1

28
New cards
<p>classify the cellularity. include ratio.</p>

classify the cellularity. include ratio.

hypercellular; 10:1

29
New cards
<p>classify the cellularity. include ratio.</p>

classify the cellularity. include ratio.

hypocellular; 1:10

30
New cards
<p>is this an early or late megakaryocyte?</p>

is this an early or late megakaryocyte?

early 

31
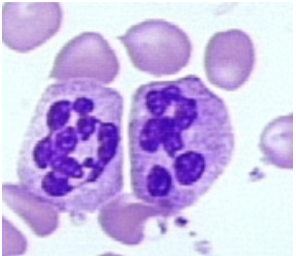
New cards
<p>is this an early or late megakaryocyte?</p>

is this an early or late megakaryocyte?

late

32
New cards
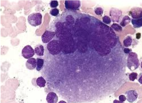
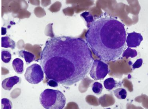
<p>identify this cell.</p>

identify this cell.

mitotic cell

33
New cards

the ratio of all nucleated hematopoietic cells (ANC/red marrow) to fat cells (yellow marrow):

cellularity 

34
New cards

general rule to estimate normal cellularity for age is ____.

100 - age (±10)

35
New cards

individuals ages 1-3 years old tend to have a higher relative amount of ____.

lymphocytes

36
New cards

absolute neutrophilia is benign. true or false?

true

37
New cards

____ refers to a shift in neutrophils from marginal into circulatory pool.

absolute neutrophilia

38
New cards

can be caused by stress, trauma, labor, strenuous exercise, shock, burn, or increase in epinephrine:

absolute neutrophilia

39
New cards

absolute neutrophilia cannot occur in infections. true or false?

false

40
New cards

the release of neutrophils from the storage pool to peripheral blood is associated with ____.

absolute neutrophilia

41
New cards

describes an increased number of immature cells as an indicator of infection:

left shift

42
New cards

refers to an increase in bands, metamyelocytes (possibly myelocytes):

left shift

43
New cards

usually seen with neutrophilia and toxic changes:

left shift

44
New cards

left shift is associated with an increased release from ____.

storage pool

45
New cards

refers to a reactive leukocytosis above 50 × 103/uL with neutrophilia and a marked left shift, bands, and often metas/myelo could have rare pro or blast:

leukemoid reaction 

46
New cards

____ are mostly a result of:

  • severe and/or chronic infection (e.g., TB, pneumonia)

  • metabolic disease 

  • inflammation 

  • response to a malignancy 

leukemoid reaction 

47
New cards

leukemoid reaction or CML: normal count and morphology of eosinophils and basophils?

leukemoid reaction

48
New cards

leukemoid reaction or CML: toxic granulation and dohle bodies often seen in neutrophils?

leukemoid reaction

49
New cards

leukemoid reaction or CML: normal PLT count?

leukemoid reaction 

50
New cards

leukemoid reaction or CML: normal PLT morphology?

leukemoid reaction 

51
New cards

leukemoid reaction or CML: normal hemoglobin?

leukemoid reaction

52
New cards

leukemoid reaction or CML: elevated LAP score?

leukemoid reaction

53
New cards

leukemoid reaction or CML: normal genetics?

leukemoid reaction 

54
New cards

leukemoid reaction or CML: often elevated and may show granulation in eosinophils and basophils?

CML

55
New cards

leukemoid reaction or CML: may see pseudo-pelger huet forms?

CML

56
New cards

leukemoid reaction or CML: elevated early and decreased late for PLT counts?

CML

57
New cards

leukemoid reaction or CML: possible giant, hypogranular, and/or bizarre forms for PLT morphology?

CML

58
New cards

leukemoid reaction or CML: often anemic hemoglobin?

CML

59
New cards

leukemoid reaction or CML: decreased LAP score?

CML

60
New cards

leukemoid reaction or CML: positive for t(9;22), BCR-ABL?

CML

61
New cards

what test is used to differentiate leukemoid reaction and CML?

LAP score

62
New cards

associated with the presence of immature neutrophils, nRBCs, and teardrop RBCs in the same sample:

leukoerythroblastic reaction 

63
New cards

leukoerythroblastic reaction is often accompanied by neutrophilia, but not always. true or false?

true

64
New cards

____ point to the possibility of a space-occupying lesion in the BM:

  • metastatic tumor

  • fibrosis

  • lymphoma

  • leukemia

leukoerythroblastic reaction 

65
New cards

strongly associated with primary myelofibrosis:

leukoerythroblastic reaction 

66
New cards
<p>what nuclear abnormality is associated with the following:</p><ul><li><p>chronic infections</p></li><li><p>megaloblastic anemia</p></li><li><p>drugs</p></li></ul><p></p>

what nuclear abnormality is associated with the following:

  • chronic infections

  • megaloblastic anemia

  • drugs

hypersegmented neutrophils

67
New cards
<p>what nuclear abnormality is associated with the following:</p><ul><li><p>myelodysplastic syndromes</p></li><li><p>asynchrony of nuclear maturation </p><ul><li><p>very clumped chromatin</p></li></ul></li></ul><p></p>

what nuclear abnormality is associated with the following:

  • myelodysplastic syndromes

  • asynchrony of nuclear maturation

    • very clumped chromatin

hyposegmented neutrophils

68
New cards
<p>what nuclear abnormality is associated with the following:</p><ul><li><p>dying cell</p></li><li><p>nucleus very dark/dense</p></li><li><p>filaments still visible</p></li></ul><p></p>

what nuclear abnormality is associated with the following:

  • dying cell

  • nucleus very dark/dense

  • filaments still visible

pyknotic neutrophils 

69
New cards
<p>what nuclear abnormality is associated with the following:</p><ul><li><p>dead cells</p></li><li><p>no filaments</p></li></ul><p></p>

what nuclear abnormality is associated with the following:

  • dead cells

  • no filaments

necrotic neutrophils

70
New cards
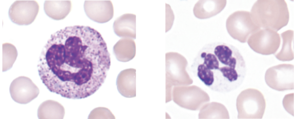
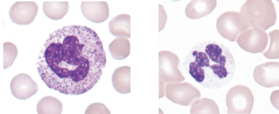
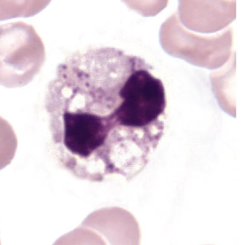
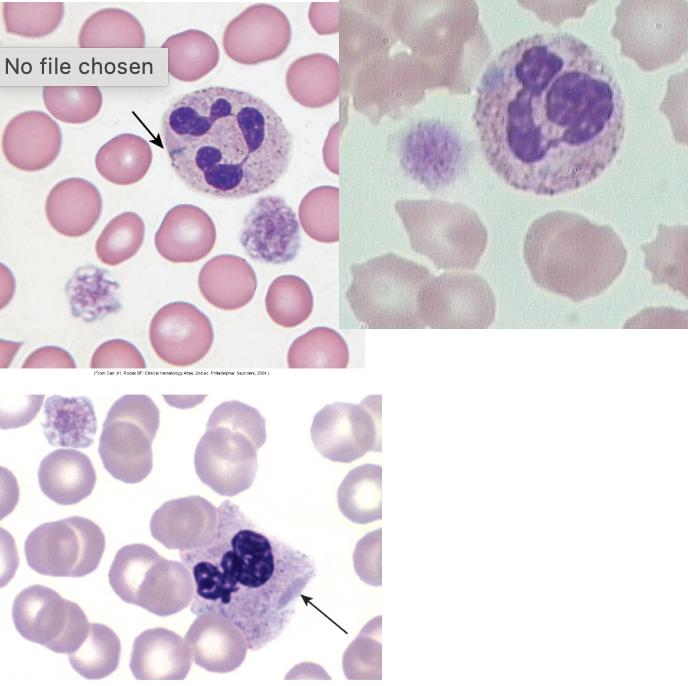
<p>what image (left or right) shows the cytoplasmic abnormality associated with the following:</p><ul><li><p>absence of granules </p></li><li><p>degranulation </p></li><li><p>hypo- or -agranular</p></li></ul><p></p>

what image (left or right) shows the cytoplasmic abnormality associated with the following:

  • absence of granules

  • degranulation

  • hypo- or -agranular

right

71
New cards
<p>what image (left or right) shows the cytoplasmic abnormality associated with the following:</p><ul><li><p>abnormal granules present</p></li></ul><p></p>

what image (left or right) shows the cytoplasmic abnormality associated with the following:

  • abnormal granules present

left 

72
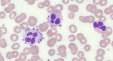
New cards

refers to dark, blue-black cytoplasmic granules present only in neutrophils:

toxic granulation

73
New cards

associated with inflammation, infection, administration of granulocyte colony stimulation factor (G-CSF):

toxic granulation

74
New cards

refers intracytoplasmic pale blue round or elongated bodies between 1 and 5 um in diameter, usually adjacent to cellular membranes:

dohle bodies 

75
New cards

nonspecific finding or associated with bacterial infections, sepsis, and pregnancy:

dohle bodies 

76
New cards

refers to small to large circular clear areas in cytoplasm, rarely may contain organism:

toxic vacuolation  

77
New cards

associated with the following:

  • septicemia or other infection

  • autophagocytosis secondary to drug ingestion, acute alcoholism or storage artifact

  • sometimes seen in conjuction with toxic granulation

toxic vacuolation  

78
New cards

often seen with toxic granulation and can indicate phagocytosis, may contain bacteria and other material:

toxic vacuolation  

79
New cards

remnants of ribosomal RNA:

dohle bodies

80
New cards
<p>identify the image:</p>

identify the image:

platelet satellitism

81
New cards
<p>identify the image:</p>

identify the image:

yeast

82
New cards
<p>identify the image:</p>

identify the image:

bacilli

83
New cards
<p>identify the image:</p>

identify the image:

histoplasma capsulatum

84
New cards

autosomal dominant condition where there is hyposegmentation of neutrophils:

pelger huet anomaly 

85
New cards
<p>which state of pelger huet anomaly&nbsp;refers to the following:</p><ul><li><p>bi-lobed nucleus </p></li><li><p>dense heterochromatin </p></li><li><p>incomplete nuclear segmentation </p></li><li><p>aka dumbbell or prince nez</p></li></ul><p></p>

which state of pelger huet anomaly refers to the following:

  • bi-lobed nucleus

  • dense heterochromatin

  • incomplete nuclear segmentation

  • aka dumbbell or prince nez

heterozygous

86
New cards
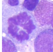
<p>which state of pelger huet anomaly&nbsp;refers to the following:</p><ul><li><p>nucleus is round or oval</p></li><li><p>no segmentation</p></li></ul><p></p>

which state of pelger huet anomaly refers to the following:

  • nucleus is round or oval

  • no segmentation

homozygous

87
New cards

in pelger huet anomaly, about what percent of neutrophils are affected?

70-90%

88
New cards

what condition can be caused by the following:

  • induced by drugs

  • seen in patients with HIV, tuberculosis and mycoplasma pneumonia, severe bacterial infections

  • secondary to myelodysplastic syndrome, acute leukemias and chronic myeloproliferative disorders

pseudo pelger huet

89
New cards

autosomal recessive condition characterized by abnormally large metachromatic granules in the cytoplasm of ALL types of WBCs (granulocytes, monocytes, lymphocytes):

alder reilly anomaly 

90
New cards

incomplete degradation of mucopolysaccharides is associated with:

alder reilly anomaly 

91
New cards

mucopolysaccharide deposits (granules) in most cells are associated with:

alder reilly anomaly 

92
New cards

alder reilly anomaly affects leukocyte function. true or false?

false

93
New cards
<p>deep purple to lilac granules that appear in all types of WBCs:</p>

deep purple to lilac granules that appear in all types of WBCs:

alder reilly anomaly 

94
New cards

what condition may resemble promyelocytes or heavy toxic granulation?

alder reilly anomaly 

95
New cards

neutrophilia, dohle bodies and left shift are associated with:

toxic granulation

96
New cards

autosomal dominant condition characterized by giant and bizarre platelets and may be hypogranular:

may hegglin anomaly

97
New cards

platelet disorder (thrombocytopenia with giant forms) that displays with leukopenia with large basophilic inclusions:

may hegglin anomaly

98
New cards

large basophilic inclusions:

dohle like bodies

99
New cards

patients are usually asymptomatic or have mild bleeding disorders:

may hegglin anomaly

100
New cards
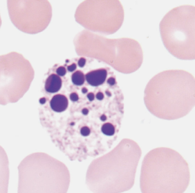
<p>identify the image:</p>

identify the image:

may hegglin anomaly