CT BRAIN

0.0(0)
studied byStudied by 0 people
0.0(0)
full-widthCall with Kai
GameKnowt Play
New
learnLearn
examPractice Test
spaced repetitionSpaced Repetition
heart puzzleMatch
flashcardsFlashcards
Card Sorting

1/30

encourage image

There's no tags or description

Looks like no tags are added yet.

Study Analytics
Name
Mastery
Learn
Test
Matching
Spaced

No study sessions yet.

31 Terms

1
New cards
<p></p><p></p>

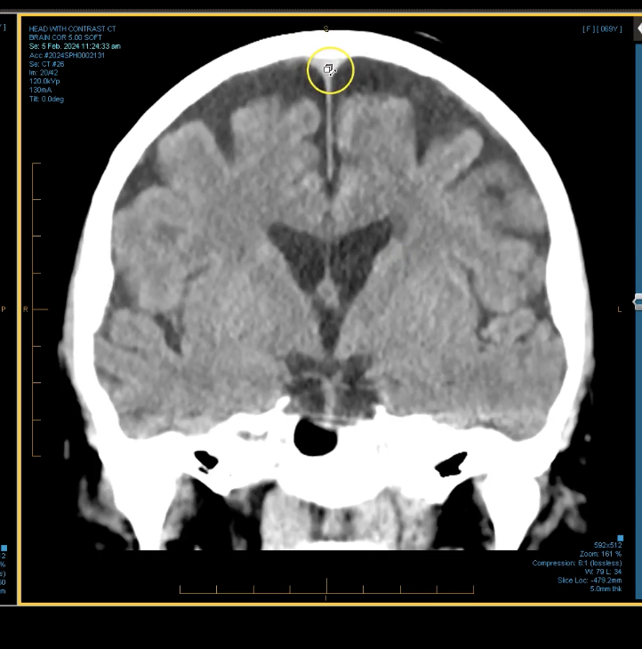
frontal lobe and parietal lobe

2
New cards
term image

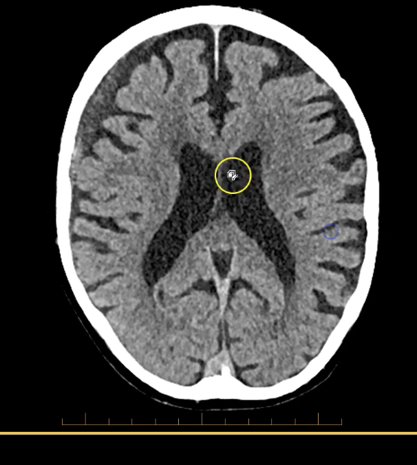
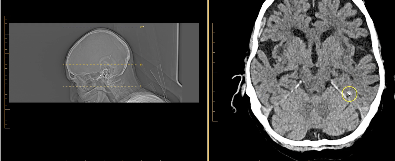
lateral ventricles

3
New cards
<p></p>

corpus callosum in midline of lateral ventricles, links cerebral cortex of left and right etc

4
New cards
<p></p>

temporal lobes of brain

5
New cards
term image

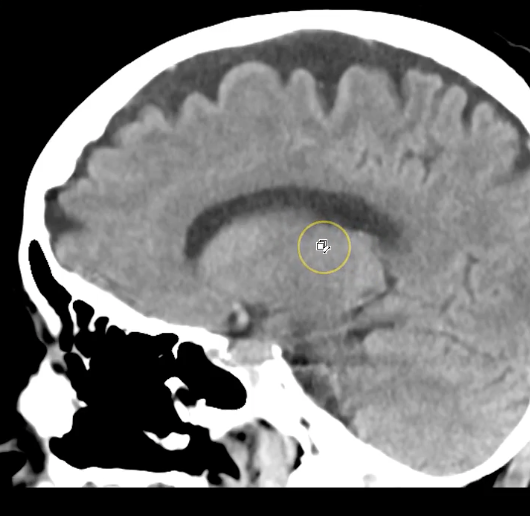
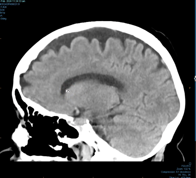
pineal gland- hyperdense. part of endocrine system. secrenes melatonin

6
New cards
term image

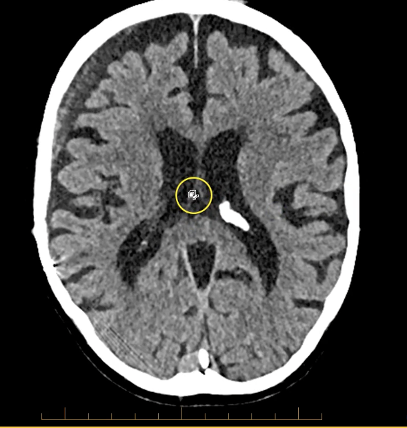
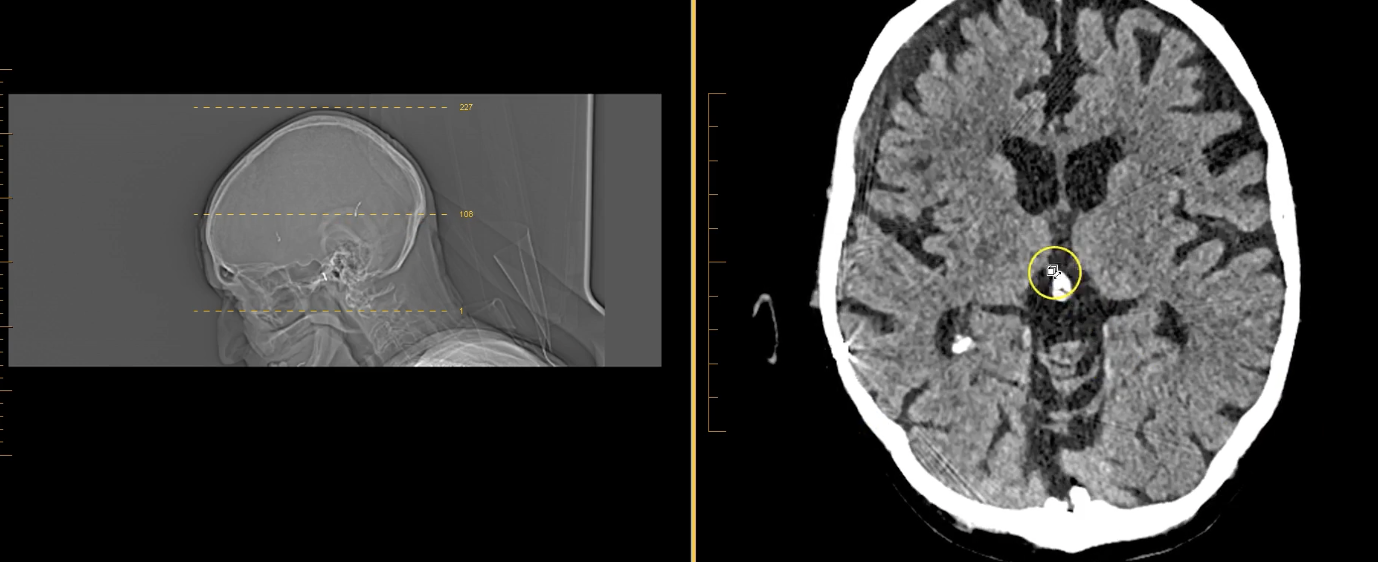
third ventricles

7
New cards

cerebellum

8
New cards
term image

pons

9
New cards
term image

medulla oblongata

10
New cards
term image

spinal cord

11
New cards
<p></p>

superior saggital sinus- part of venous system of brain trains blood from lateral aspect of anterior cerebral hemispheres to confluence of sinus.

12
New cards
term image

structure down the midline of brain- falx cerebri

when assessing for midline shift of brain will form a tent superior to cerebellum

13
New cards
term image

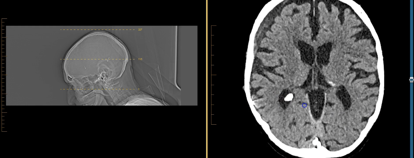
calcified choroid plxus in lateral ventricles

14
New cards
term image

confluence of sinuses

15
New cards
term image

transverse sinuses- lateral to confluence of sinuses- go to sigmoid sinus before going into jugular veins

16
New cards
term image

crescent shaped collection wit various densities in it indicating chronic haematoma but also acute haematoma.

17
New cards
term image

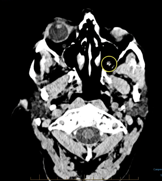
right retroorbital mass. 8mmx9mm puts force on R orbital nerve

18
New cards
term image

frontal sinuses

19
New cards
term image

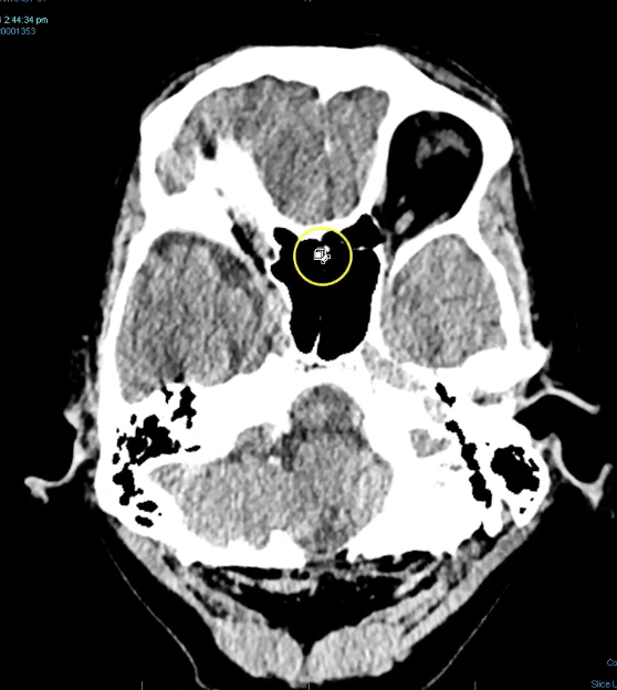
ethmoid sinuses

20
New cards
term image

sphenoid sinuses left and right

21
New cards
term image

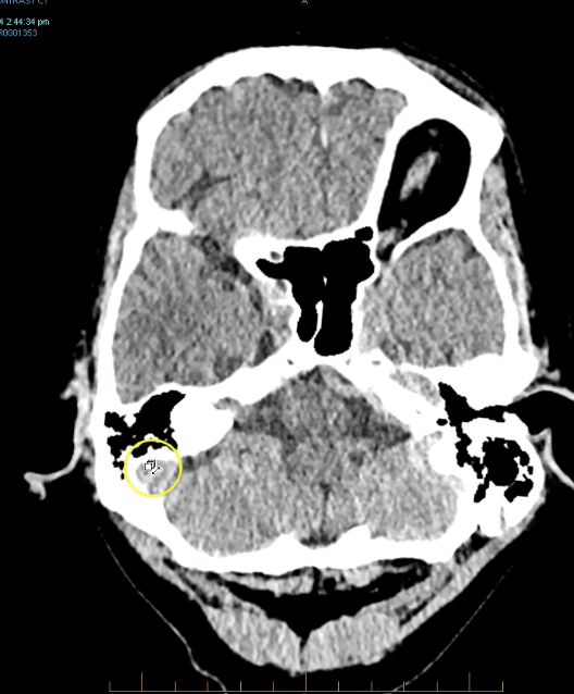
sigmoid sinuses

22
New cards
term image

transverse sinus

23
New cards
term image

superior saggital sinus

24
New cards
term image

frontal sinus

25
New cards
term image

falx cerebri

26
New cards
term image

tentorium cerebelli

27
New cards
term image

superior saggital sinus

28
New cards
term image

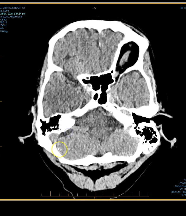
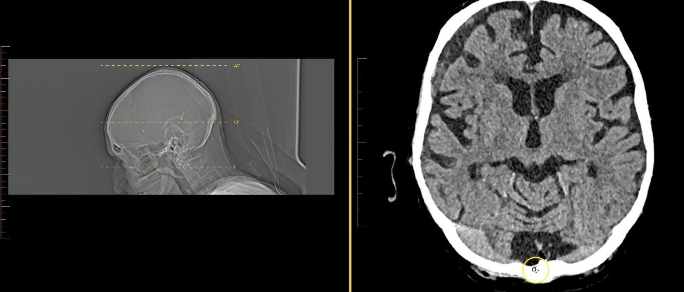
mastoid air cells

29
New cards
<p></p>

zygomatic arch

30
New cards
term image

lateral ventricles

31
New cards
term image

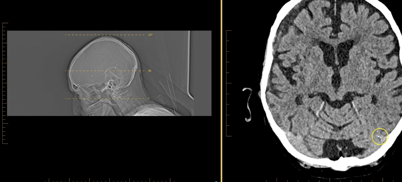
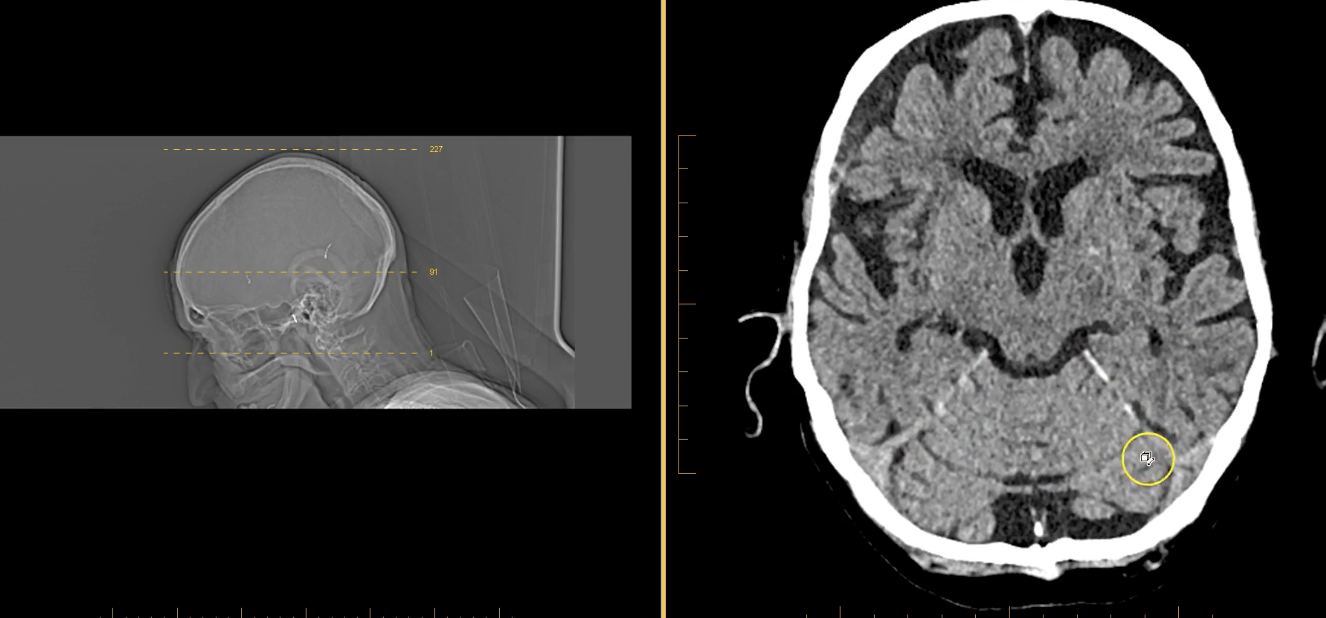
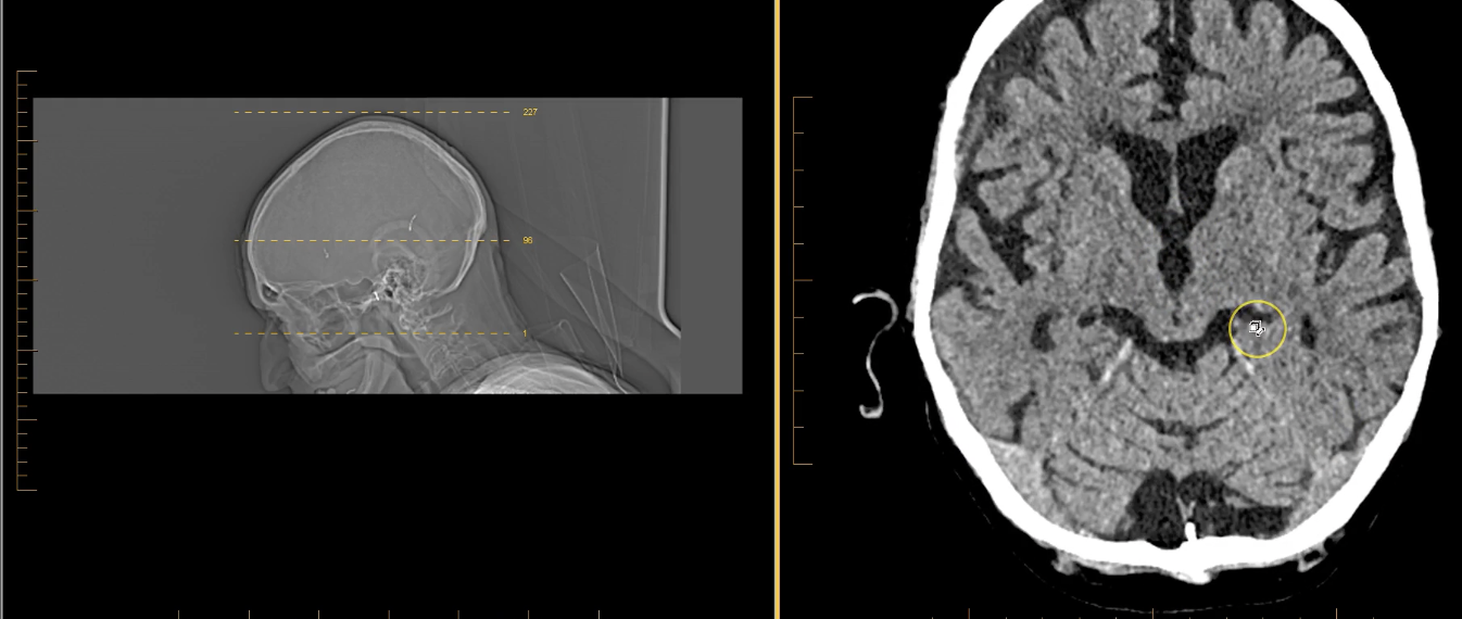
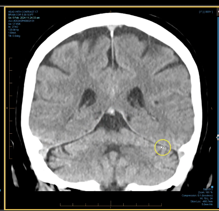
thalamus