1/31
Looks like no tags are added yet.
Name | Mastery | Learn | Test | Matching | Spaced | Call with Kai |
|---|
No study sessions yet.
what are bre’asts
Characteristics: Secondary sexual structure; modified apocrine sweat gland producing nutritious secretions under hormonal control.
describe the structure of them
Overlies pectoralis major, extends 2nd-6th rib.
Supported by suspensory ligaments (shortened in cancer, lax with age).
Contains 15-20 lobules with its own ductula system opening to the nipple via lactiferous ducts
Why is the lymphatic drainage of the breast so important?
Major route for spread of carcinoma.
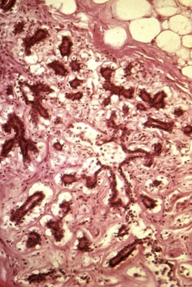
Show histology of the sweat glands in the breast.

Secretory cells in secretory glands have an outer lining of myoepithelial cells.
What does each ductal system in a lobule end in?
Cluster of blind-ending terminal ductules. They transform to alveoli at pregnancy and produce milk during lactation.
What are the 2 parts of the lobular system in breasts?
Extra-lobular and intra-lobular part.
What are the tissues of the extra-lobular part?
Adipose tissue
2. Fibrocollagenous tissue
What does the stroma of the lobules contain
Fibrocollagen, capillaries and lymph.
What part of the lactiferous ducts is dilated?
The lactiferous sinus, where milk gathers during lactation.
Outline how the breast develops. (5)
1. Foetus/neonate - pre-puberty, minimal ductules, mainly fibrocollagenous
2. Puberty - under oestrogen, ductal system branches + its blind ends form small solid masses, and cyclic changes in breast volume with the cycle. +increases in fibrocollagenous + adipose tissue
Nulliparous (nonpregnant) -Cyclical changes in volume due to menstrual hormones.
Pregnancy - alveoli formation in terminal ductules, ductal system hypertrophy, under influence of placental hormones - progesterone, oestrogen and prolactin.
Lactating breast - Prolactin stimulates milk production post-parturition, while oxytocin enables milk ejection.
Under the control of pituitary prolactin &oxytocin {this stimulates milk production - which only happens after giving birth }
Resting - regression of alveoli + ductal system , homone levels normal , retain more complex brachimg pattern ducts than pre pregnancy
Menopause - loss of epithelium , more fatty tissue , more laxity of the suspensory ligament and breast start to droop
What do lactiferous ducts open into and how are they arranged?
Open into the nipple, arranged in a ring and normally plugged with keratin.
Which hormones influence breast changes during pregnancy?
Placental hormones - progesterone, oestrogen, prolactin.
What breast changes occur during early pregnancy? (2)
1. More vascularity and melanin pigmentation of nipple + areola
2. More proliferation of terminal ductule epithelium, vacuoles in lumen epithelial cells + true alveoli formation (alveolar switch).
What breast changes occur during 2nd and 3rd pregnancy trimesters? (2)
. More lipid-rich proteinaceous secretion (not true milk) into alveoli
2. More support tissue (loose, lobular)
When does full lactation and secretion occur?
Post-pregnancy
What is the alveolar switch that occurs during pregnancy?
Oestrogen and progesterone receptors are on ductule epithelium, high progesterone inhibits prolactin receptor expression in alveoli during pregnancy.
How does true milk production begin post-pregnancy?
Progesterone levels drop, expressing prolactin receptors on breast alveolar cells so true milk can be made.
What is milk fat and milk protein?
Milk fat: made in SER of alveolar epithelial cells and driven from droplets to lumen, which are pinched off and released.
Milk protein: passes through Golgi into vacules and released by exocytosis into lumen.
Show and explain the histology of a female breast in the resting state.
Alveoli can be seen.
- Alveoli distend, capillaries become occluded and hypoxic.
- Gradual involution.
- Alveolar system regresse

What is the role of placental prolactin in pregnancy and is it effective?
It stimulates lactogenesis, but is ineffective as prolactin receptors are inhibited by high oestrogen and progesterone.
When can lactogenesis properly occur?
Oestrogen and progesterone levels drop after placenta expulsion, so pituitary prolactin dominates and activates alveolar prolactin receptors. Breast is responsive to prolactin and lactogenesis can start.
What is the suckling-induced reflex? What influences milk production? What stops it? (3)
Milk Ejection Reflex (Let-Down Reflex):
When baby suck {stimulation}→ releases neuropeptide prolactin from ant. pituitary gland for the next feed → keeps going untill baby stops sucking
sucking long and hard = increases prolactin → more milk is made
Let down reflex →
Triggered by sensory stimulation (suckling/auditory).
Oxytocin (posterior pituitary) contracts myoepithelial cells, expelling milk into ducts and sinuses.
Milk leakage can occur in both breasts due to systemic oxytocin release.
How is lactation maintained
Suckling maintains prolactin levels; cessation inhibits lactation.
Reflex stimulated by other sensory pathways including auditory – occurs when baby cries (not just their own
Explain the composition in colostrum milk
Colostrum (1st week): not true milk yet - Rich in proteins, fat-soluble vitamins {A,D,E,K}, minerals, and immunoglobulins (e.g., IgA for GI/respiratory immunity). {yellow and creamy} Very high Ig levels
Explain the composition in Transitional Milk
(2-3 weeks): High in calories (lactose) and fat, lower in IgG., water soluble vitamins like B and C
Explain the composition in Mature Milk
Mostly water, lactose, fat, amino acids, and essential vitamins (A, D), carbs and less protein
What is the importance of lactose in breast milk
Myelin formation in nervous tissue
2. Intestinal growth of Lactobacillus bifidus flora
What is the immunologic advantage of breast milk?
Ig in breast milk give protection from resp. and GI infections, giving acquired immunity
What is the psychosocial advantage of breast milk?
Psychological: Enhances bonding through direct contact and sensory engagement.
What are the disadvantages of breastfeeding? (3)
1. Drugs (and alcohol) from mother are transmitted through breast milk
2. Mother's poor physical + nutritional + mental health can contraindicate nursing
3. HIV transmission, but can be halved by bottle-feeding.
What are the levels of prolactin in both parents and why is this important?
Enhances maternal bonding; higher levels observed in nurturing fathers.
Partner - prolactin levels are also high during fater-infant explaroatory play
What are the levels of oxytocin in both parents and why is this important?
High levels in both mum and dad, increasing non-verbal social signals.
Mum - calmness, less guilt.
Dad - synchrony of social signals.