1/25
Looks like no tags are added yet.
Name | Mastery | Learn | Test | Matching | Spaced |
|---|
No study sessions yet.

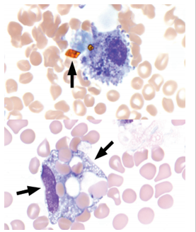
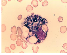
top: hematoidin bilirubin
Bottom: erythropagocytosis

ependymal cell

choroid plexus

C. neoformans

amoeba (N. fowleri)

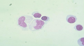
PMNs

lymphs

monos/macrophages

erythrophage

erythrophage with hemosiderin

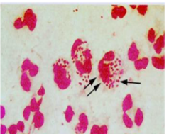
bacteria in PMNs-N. meningiditis

bacteria in PMNs-S. pneumo or S. agalactiae (clusters)

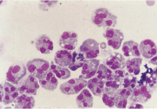
monos and lymphs

nRBCs-possible traumatic tap

eosinophils-Brain parasite or medical device

macrophages

choroid plexus

spindle fiber cells

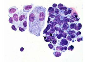
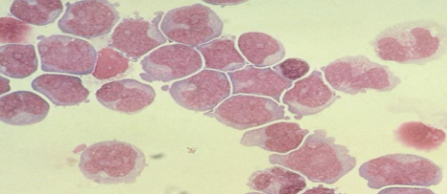
mestasis (blasts)

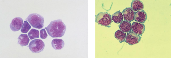
blasts

blasts

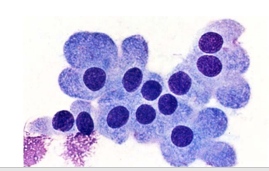
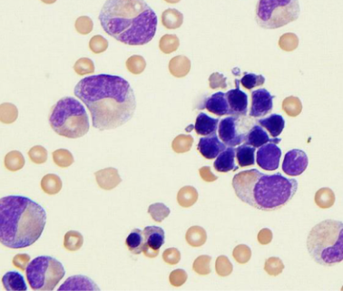
BM contamination

cryptococcus

fecal fat stained with Sudan Black III