1/201
Looks like no tags are added yet.
Name | Mastery | Learn | Test | Matching | Spaced |
|---|
No study sessions yet.

1
Primary follicle


2
Primordial follicles


3
Secondary follicle


4
Tunica albuginea


5
Germinal epithelium


6
Mature follicle


7
Ovary cortex


what is this
Primordial follicles


what is this
Primordial follicle


What is this
Primary follicle


What is this
Primary follicle


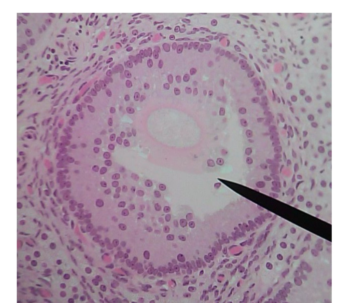
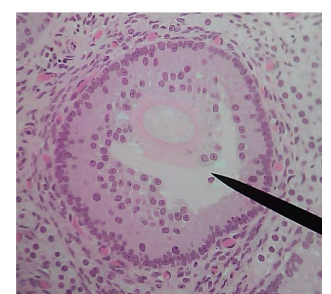
What is this
Secondary follicle


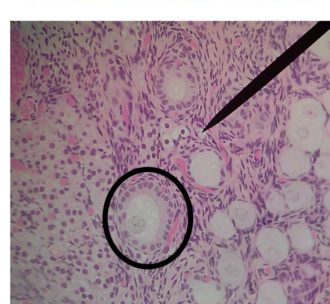
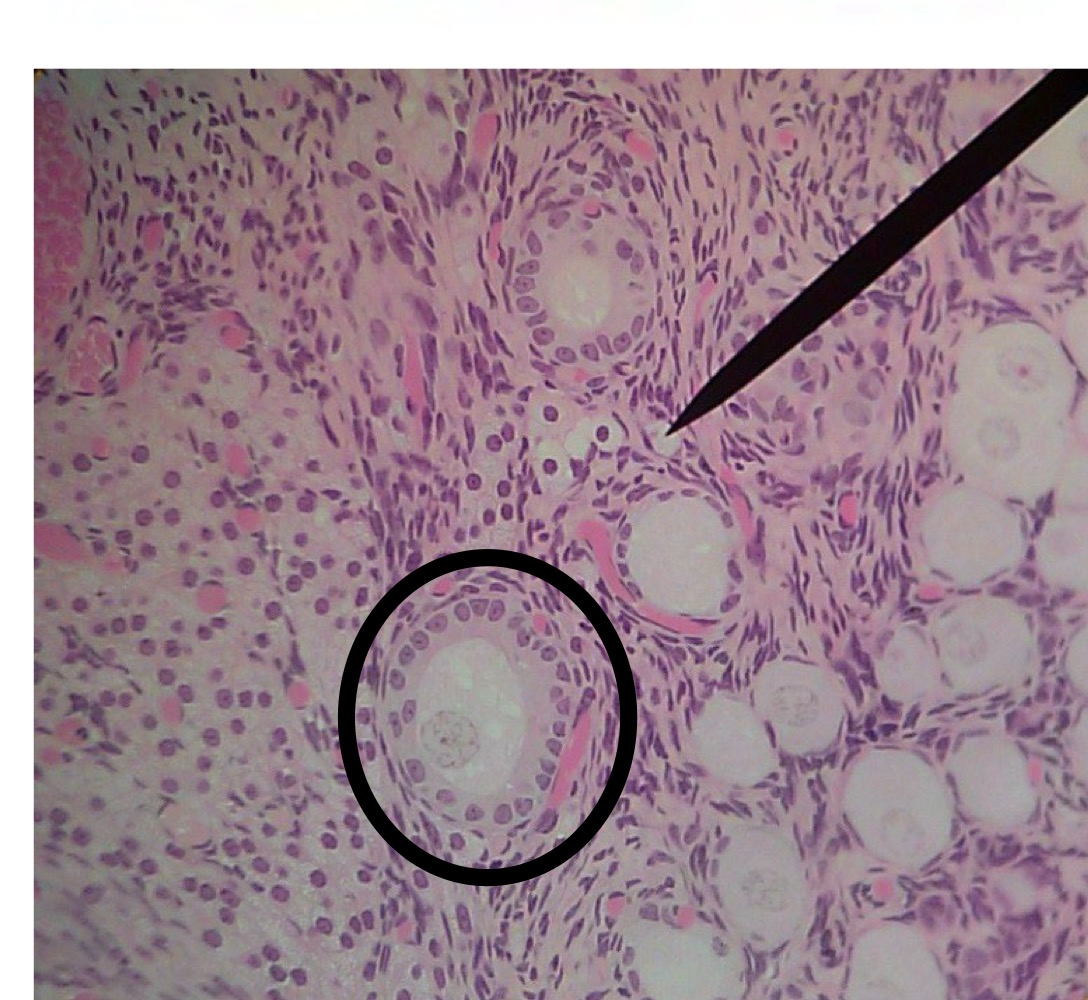
What is this
Late secondary follicle


What is this
Early secondary follicle


What is this
Tertiary follicle


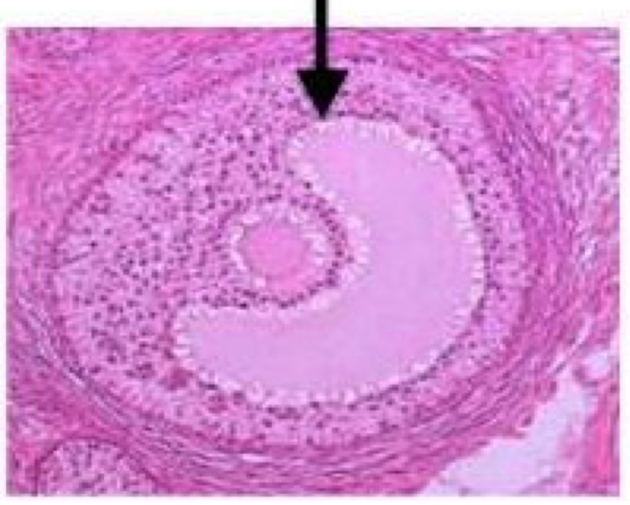
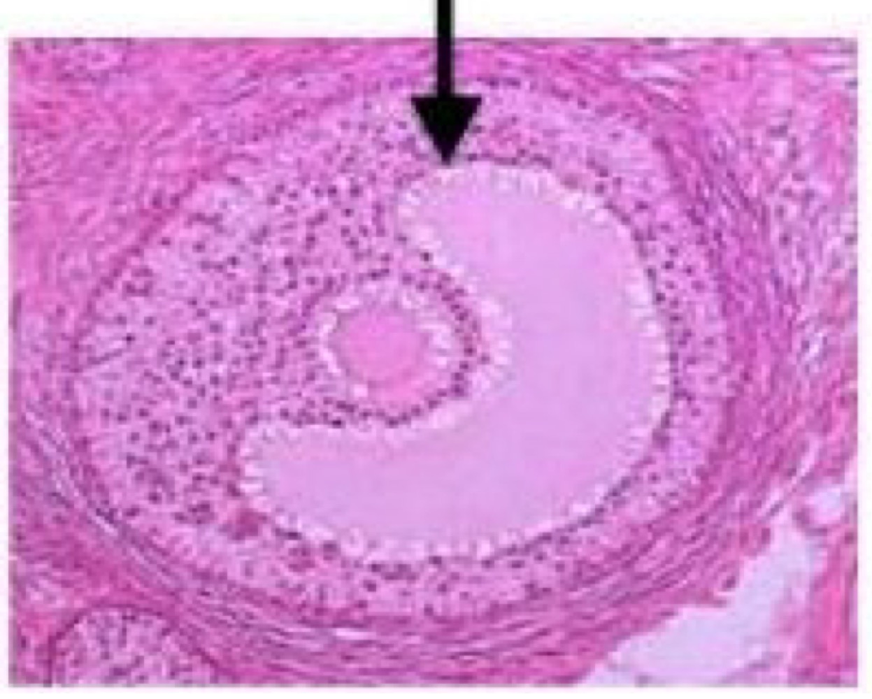
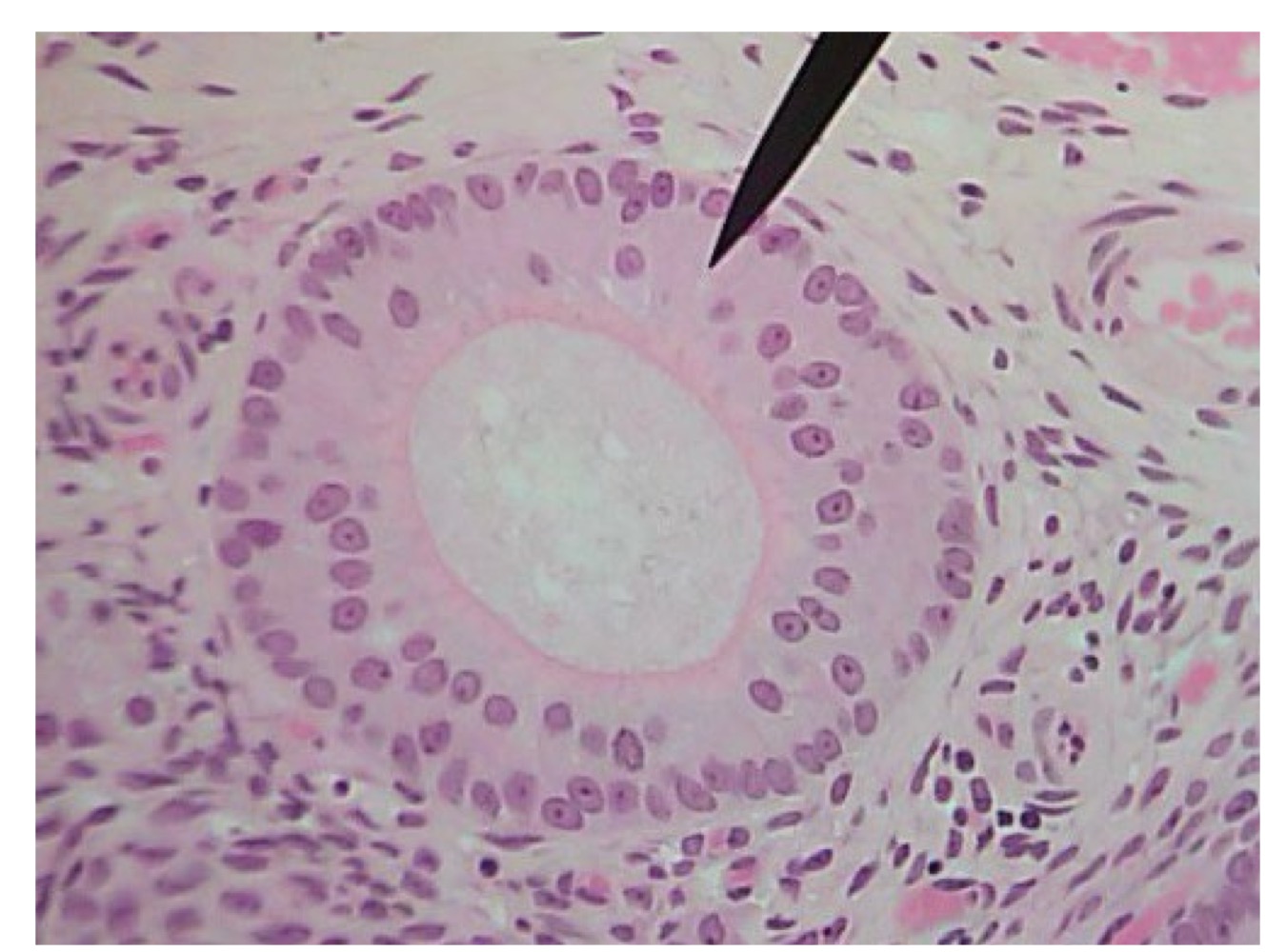
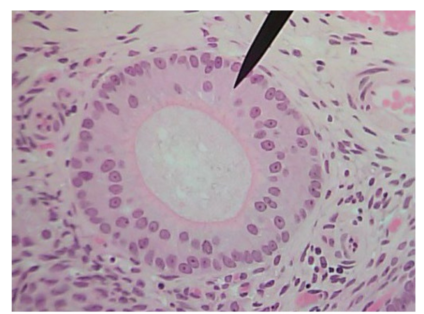
1
Granulosa cells


2
Zone Pellucida


3
Corona Radiata


white circle
Ovum


1
Seminiferous tubules


1
Leydig cells


2
Spermatids


3
Round spermatid


4
Spermatocytes


5
Lumen


6
Sertoli cells


7
Myoid cells


8 (the circle above 7)
Spermatogonium


1
Ampulla


2
Infundibulum


3
Fimbriae


4
Endometrium


5
Myometrium


6
Perimetrium


7
Fornix


8
Vagina


9
Cervix


10
External cervical os


11
Mucal plug


12
Internal cervical os


13
Suspensory ligament


14
Ovary


15
Ovarian ligament


1
Ovarian ligament


2
Ruptured follicle


3
Primordial follicle


4
Secondary follicle


5
Primary follicle


6
Ovulating follicle


7
Ovum


8
Corpus albicans


9
Corpus luteum


10
Germinal Epithelium


11
Ovary cortex


1
Endometrium


2
Cervix


3
Fornix


4
Rectum


5
Urethra


6
External anal sphincter


7
Anus


8
vagina


9
Labia minora


10
Labia majora


11
Clitoris


12
Urogential diaphragm


13
Pubic symphysis


14
Urinary Bladder


15
Myometrium


16
Perimetrium


1
Clitoris


2
Labia majoria


3
Labia minora


4
Urethra


5
Vagina


6
rectum


7
Fornix


8
Cervix


9
Endometrium


10
Myometrium


11
Perimetrium


12
Urinary bladder


13
Pubic bone


14
Urogenital diaphragm


1
Filbriae


2
Uterine tube


3
Ovary


4
Urinary bladder


6
Clitoris

7
Labia majora


8
Urethra


9
Labia minora


10
Vagina


11
Uterus


1
Adipose


2
Mammary glands


3
Mammary ducts


4
Nipple


5
Areola


1
Labia majora
