1/68
Looks like no tags are added yet.
Name | Mastery | Learn | Test | Matching | Spaced | Call with Kai |
|---|
No analytics yet
Send a link to your students to track their progress
Nondisjunction
error in meiosis or mitosis in which members of a pair of homologous chromosomes or a pair of sister chromatids fail to separate properly from each other
n + 1
gametes that form with an extra chromosome; resulting from nondisjunction during meiosis
n - 1
gametes that form with a missing chromosome; resulting from nondisjunction during meiosis
Polysomy
type of chromosomal mutation when there is too many copies of a particular chromosome
Trisomy 21
condition in which an individual has three copies of a chromosome, resulting in Down Syndrome
Monosomy
condition that occurs when an organism is missing a chromosome
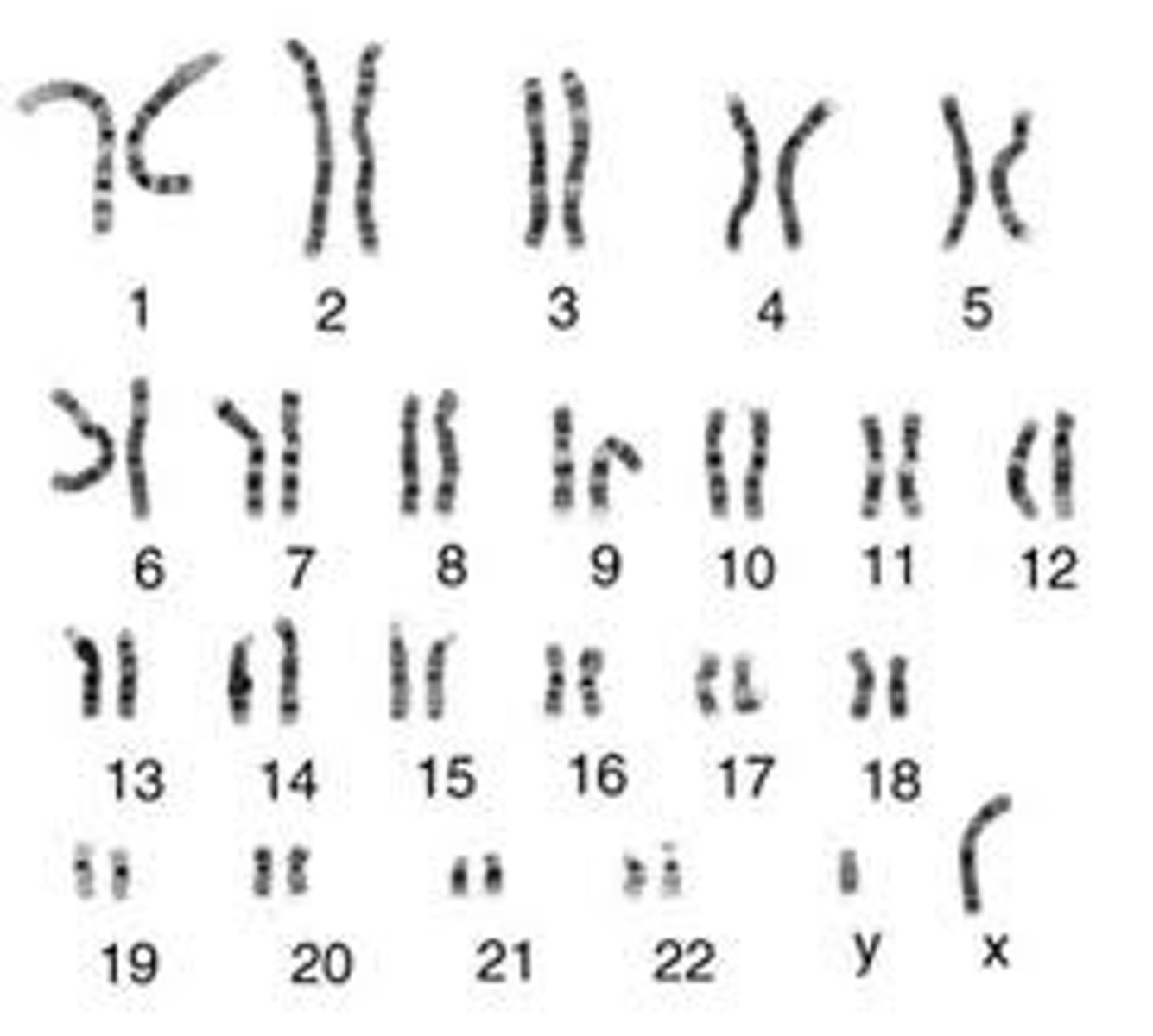
Karyotype
picture of all the chromosomes in a cell arranged in pairs

Polyploidy
condition in which an organism has extra sets of chromosomes

Seedless Plants
varieties of plants that develop when an organism is triploid or has an odd number of chromosome sets
Heredity
passing of traits from parents to offspring, often demonstrating patterns of inheritance
P generation
first generation of parent organisms in a study
F generation
subsequent generations in a family of organisms, such as F1 and F2
Genome
complete genetic information of an organism
Genotype
combination of alleles an organism has for a specific characteristic within its genome
Gene
section of the genome that codes for a particular trait
Allele
version of a gene found at a specific location in the DNA
Locus
specific place on the chromosome where an allele is located within the DNA
Law of Dominance
when two different alleles are present in a genotype, only the dominant allele is expressed
Dominant Allele
trait that is expressed when there is at least one copy
Recessive Allele
trait that is only expressed when it is the only allele present in the genotype (both alleles must be the same)
True-Breeding Cross
when purebred organisms that contain genotypes of a single allele type are mated with one another
Purebred
an organism that only has two of the same allele in its genotype
Law of Segregation of Alleles
alleles of the same gene do not travel together when chromosomes are placed into gametes
Monohybrid Cross
occurs when two hybrid parents, each possessing two different alleles for a specific gene, are mated

Punnett Square
tool used to predict offspring genotypes based on parent genotypes
Homozygous
having two of the same allele
Heterozygous
having two different alleles
Phenotype
expression of a genetic trait, such as physical appearance
Test Cross
used to determine the unknown genotype of an organism displaying a dominant phenotype
Homozygous Dominant
genotype of the parent in a test cross when all offspring show the dominant phenotype
Heterozygous
genotype of the parent in a test cross when some of the offspring show the dominant phenotype and some of the offspring show the recessive phenotype
Dihybrid Cross
occurs when two parents that are both heterozygous for two specific traits are mated

2^n, where n is the number of traits that have two options
formula used to determine the number of possible allele combinations in a gamete
Phenotypic Ratio
relative frequency or amount of each observable phenotype in the offspring
Non-Mendelian Inheritance
occurs when observed phenotypic ratios deviate from expected ratios
Simple (Complete) Dominance
one allele is completely dominant and the other is recessive
3:1
observed ratio of dominant to recessive phenotypes in a monohybrid cross
9:3:3:1
observed ratio in a dihybrid cross, showing more offspring with both dominant phenotypes and the least offspring with both recessive phenotypes
1:1:1:1
observed ratio in a dihybrid test cross, showing equal amounts of offspring of both dominant phenotypes as offspring with both recessive phenotypes
Multiplication Rule of Probability
used to calculate the likelihood of combined events, such as having two different phenotypes
Epistasis
one gene controls the expression of another gene
Codominance
both alleles are fully expressed and contribute to the phenotype of a heterozygous organism
Incomplete Dominance
heterozygous organisms show a blending of two alleles in their phenotype
1:2:1
phenotypic ratio seen when a monohybrid cross is performed for a trait with incomplete dominance or codominance
Addition Rule
used when considering the likelihood of getting one phenotype or another
Mutually Exclusive Traits
characteristics that cannot both occur at that same time, such as dominant and recessive phenotypes for a trait
Multiple Allele Trait
occurs when there are more than two possible alleles to choose from, such as blood types
Rh factor
characteristic of blood type that describes the presence of a glycoprotein found on red blood cells
Gene Linkage
occurs when two different genes are located on the same chromosome and are inherited together
Crossing Over
meiotic process that can break the linkage between two genes
Independent Assortment
random distribution of alleles among gametes that is unable to occur when genes are linked
Autosomal Trait
found on chromosomes that are common to males and females; characteristic that appears equally in males and females
Sex-Linked Trait
found on the last pair of chromosomes; most commonly X-linked (not
found on the Y chromosome)
X-Linked Trait
shows different inheritance patterns
for males and females
Pedigree
diagram that shows inheritance of a particular trait through a family; allows us to determine whether a trait is dominant/recessive and autosomal/sex-linked
Recessive Inheritance Pattern
often shows that a trait can be hidden

Dominant Inheritance Pattern
often appears in each generation of a family and cannot be hidden

Sex-Linked Dominant Pattern
affected fathers have affected daughters; unaffected mothers have unaffected sons
Sex-Linked Recessive Pattern
unaffected fathers have unaffected daughters; affected mothers have affected sons
Chromosome Map
shows the amount of distance between
two genes that are located on the same chromosome

Closely Linked Genes
recombination and crossing over will occur less often
Distantly Linked Genes
recombination and crossing over will occur more often
Recombination Frequency
number of times crossing over occurred compared to the total number of offspring
Chi-Square Test
determines "goodness of fit" of experimental data; if data "fits the expectation," the number calculated will be low
Critical Value
highest number calculated by Chi-Square that is permitted to support a hypothesis
Degrees of Freedom
(number of groups tested in an experiment) - 1
Epigenetics
occurs when the environment influences the activity and expression of genes
DNA Methylation
decreases the expression of genes in the affected DNA region
Histone Modification
causes condensation or compacting of the DNA to prevent gene expression