1/132
Looks like no tags are added yet.
Name | Mastery | Learn | Test | Matching | Spaced | Call with Kai |
|---|
No analytics yet
Send a link to your students to track their progress
Which test assesses a patient's peripheral vision?
Confrontation test

What is the common cause of a hordeolum?
Infection due to Staophylococcus aureus

What is the recommended treatment for a hordeolum/sty?
Treat with warm compress 10-15 min, 2-4 times per day
May require drainage and antibiotics
Which instruction is given to a patient for the Snellen test?
Testing will be done with and without the corrective lens.

Which finding during an ophthalmoscopic examination suggests the patient has hypertension?
Narrowed retinal arteries

What is an early finding during an ophthalmoscopic examination suggests the patient has diabetes?
micro-aneurysms (Background or Non-proliferative)
Which condition of the eye is associated with impaired vision?
Corneal scar

Which patient concern suggests the development of a cataract?
Poor night vision

An increased number of drusen in the macular area are noted on ophthalmoscopic examination. What action should follow?
Ask the patient to self-test using the Amsler grid.

What is the last structures to be examined during a funduscopic exam?
Macula and fovea

The nurse begins the eye examination using an ophthalmoscope. What is observed?
Red reflex

Which are symptoms of acute glaucoma? (Select all that apply.)
Constricted pupil
Yellow sclera
Red eye
Intense ocular pain
Blurred vision
Constricted pupil
Yellow sclera
Red eye
Intense ocular pain
Blurred vision

Which finding on the assessment of a patient's eye suggests hyperthyroidism? (Select all that apply.)
Fine tremor noted when patient shuts eyes
Positive eyelid lag assessment finding
Yellowing of the sclerae
Absence of the blink reflex
Sparse, thick eyebrows
Fine tremor noted when patient shuts eyes
Positive eyelid lag assessment finding
Yellowing of the sclerae
Absence of the blink reflex
Sparse, thick eyebrows

Cranial nerve (CN) ______, connects the eye to the brain.
Optic nerve II, the optic nerve

What is the correct order of an eye examination? (7 steps)
1. External eye inspection/observations
2. Distance and near visual acuity exams
3. Cardinal planes of gaze and peripheral field testing/perimetry
4. Accommodation
5. Corneal light reflex
6. Direct and indirect pupil responses
7. Ophthalmoscopic exam
What nerves innervate the muscles that move the eye?
Lateral Rectus = CN VI (abducens)
Superior Oblique = CN IV (Trochlear)
ALL other muscles = CN III (Oculomotor)

What are the five major structures of the internal eye?
1. Sclera
2. Cornea
3. Iris
4. Lens
5. Retina

What structure of the internal eye is avascular?
Sclera

What structure of the internal eye has sensory innervation for pain?
Cornea

What structure of the internal eye plays a major part of the refractive power of the eye?
Cornea; responsible for approximately 65% to 75% of the refraction of light as it passes through the eye.

The Uvea/Uvea tract consist of what structures?
1. Iris
2. Ciliary body
3. Choroid

What part of the Uvea produces the aqueous humor and contains the muscles controlling accommodation?
Ciliary body

What part of the Uvea is richly vascular that supplies oxygen to the outer layer of the retina?
Choroid

What structure of the internal eye changes in lens thickness to allow images from varied distances to be focussed on the retina?
Lens

List some risk factors for Cataract Formation.
1. Family history of cataracts
2. Steroid medication use
3. Exposure to ultraviolet light
4. Cigarette smoking
5. Diabetes mellitus
6. Aging

What structure of the eye is the site of central vision?
Macula, or fovea due to the greatest density of cones and rods

Eye forms during the first _______ weeks of gestation.
8 weeks
(T/F): Lacrimal drainage is complete at birth.
True; and by 2 to 3 weeks of age, the lacrimal gland begins producing full volume of tears

Term infants are
hyperopic, with a visual acuity of less than 20/400 (peripheral vision fully develop at birth)

When does the visual acuity of an infant become adult-like?
~4 years of age

What are common visual changes during pregnancy?
1. Hypersensitivity
2. Changed refractory power of the eye
3. Tears have increased lysozyme (aka greasy sensation)
4. Diabetic retinopathy may worsen
5. Mild corneal edema (blurred vision)
6. Intraocular pressure falls (lateral half of pregnancy)
___________ is the term to describe major physiologic eye changes that occurs with aging and is a progressive weakening of accommodation.
Presbyopia

Recurrent hordeola (vision problem)
stye; acute infection of sebaceous glands of Zeis

Blue sclera - diagnosis?
Type I collagen defect such as Osteogenesis imperfecta, Marfan syndrome, Ehlers-Danlos Syndrome
Sclera is thin allowing veins to show

Chalazion (vision problem)
chronic blockage of meibomian gland; usually painless

Ptosis (vision problem)
upper eyelid droops over your eye (unilateral or bilateral)

What may cause sudden loss of vision or portion of visual field?
1. Transient ischemic attack
2. Stroke
3. Amaurosis fugax
Amaurosis fugax
painless temporary loss of vision in one or both eyes

List chronic illness that can affect vision.
1. Hypertension/atherosclerotic cardiovascular disease (ASCVD)
2. Diabete mellitus
3. Glaucoma
4. Inflammatory bowel disease
5. Thyroid dysfunction
6. Autoimmune diseases
What are symptoms of pregnancy-induced hypertension (PIH)?
1. Diplopia - double vision
2. Scotomata - a partial loss of vision or blind spot
3. Blurred vision
4. Amaurosis fugax - a temporary and painless loss of vision
Nocturnal eye pain in older adults is a sign of
1. Subacute angle closure
2. Glaucoma

Snellen Eye Chart is tested at ______ feet
Sloan Eye Chart is tested at ______ fet
Snellen = 20 ft
Sloan = 10 ft

Visual acuity testing, tests:
1. CN II (Optic); a measurement of central vision
If a patient scores a 20/20 on the visual acuity test, what does that mean?
the patient can read letters at 20 feet that a person with "normal" vision can read at 20 feet
If a patient scores a 20/40 on the visual acuity test, what does that mean?
the patient can read letters at 20 feet that a person with "normal" vision can read at 40 feet
(the smaller the fraction the worse the vision)
If a patient's vision is less than 20/20, what test should be conducted?
Pinhole test; to see if the observed decrease in acuity was caused by a refractive error
Expect an improvement in visual acuity by at least one line on the chart if refractive error is responsible for the diminished acuity

Blurred vision =
Diplopia =
Blurred vision = a problem with visual acuity and there are many causes.
Diplopia = the perception of two images and may be monocular or binocular.
- Monocular diplopia is an optical problem
- Binocular diplopia is an alignment problem
Monocular diplopia is a _________ problem
Binocular diplopia is a __________ problem
Monocular = optical problem
Binocular = alignment problem

(External Examination): Patient's eyebrows are coarse or do not extend beyond the temporal canthus indicates...
Hypothyroidism

(External Examination): Patient's has flat to slightly raised, oval, irregularly shaped, yellow-tinted lesions on the preiorbital tissues indicates...
Xanthelasma

(External Examination): Patient's eyelids when lightly closed eyes have fasciculations or tremors =
Hyperthyroidism

(External Examination): Patient's eyelids covers more of the iris than the other or extends over the pupil =
Ptosis; can be congenital or acquired weakness of levator muscle or a paresis of a branch of the third cranial nerve

(External Examination): Patient's lower eyelid is turned away from the eye =
Ectropion; may result in excessive tearing

(External Examination): Patient's eyelid is turned inward toward the glove and reports a foreign body sensation =
Entropion; most common in older adults

(External Examination): Patient's eyelid is crusting =
Blepharitis; bacterial infection, seborrhea, or allergic response

(External Examination): Patient's eyelid do not completely cover the globe =
Lagophthalmos; cornea may become dried and be at increased risk for infection

(External Examination): Erythematous or cobblestone appearance, especially on the tarsal conjunctiva =
Allergic or infectious conjunctivitis

What are the two types of Conjunctivitis?
1. Viral (MC); Adenoviruses
2. Bacterial - yellow exudate, pus

(External Examination): Bright red blood in a sharply defined area surrounded by healthy-appearing conjunctiva =
Subconjunctival hemorrhage; hemorrhages resolve spontaneously

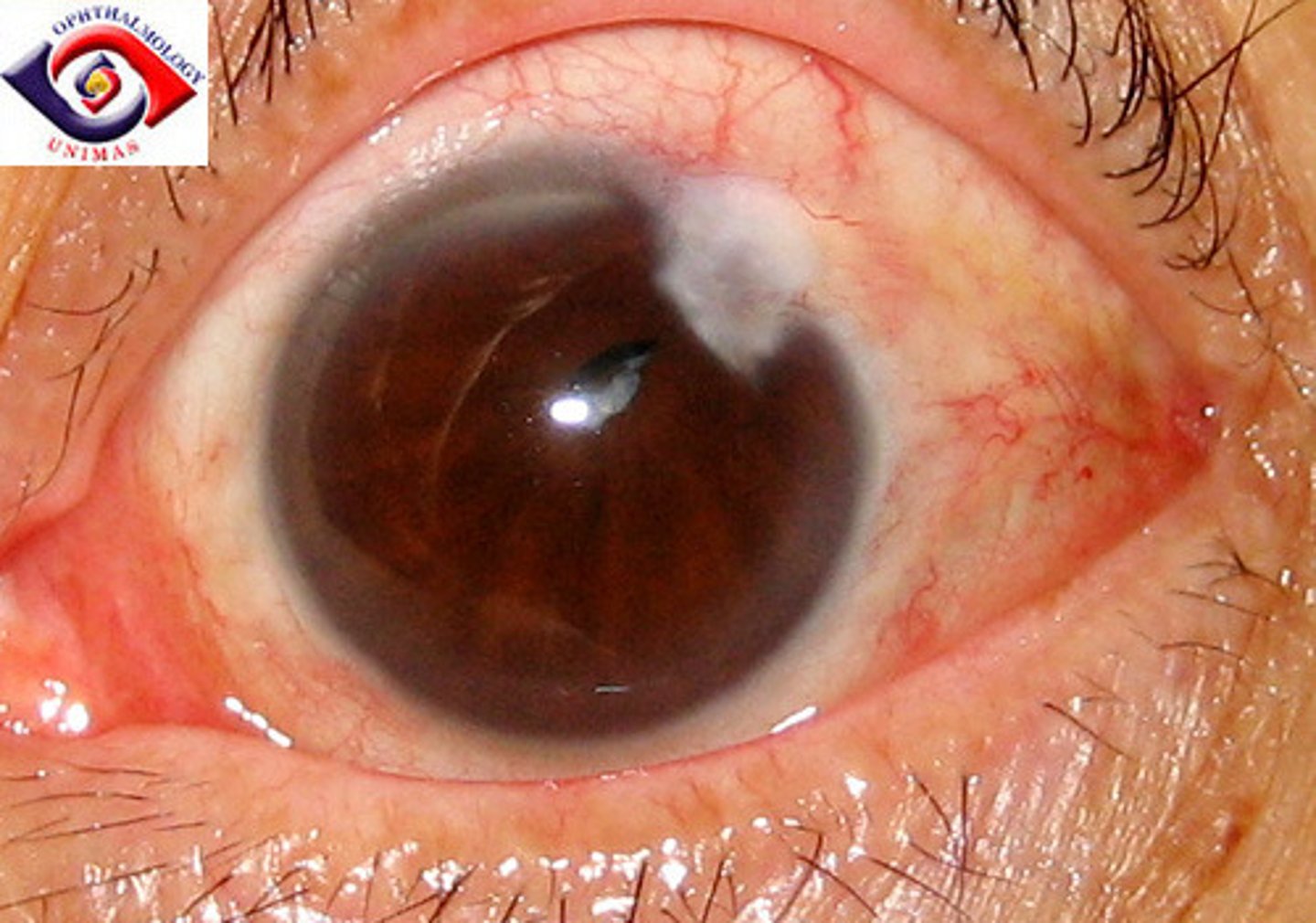
(External Examination): abnormal growth of conjunctiva that extends over the cornea from the limbus =
Pterygium; occurs more commonly on the nasal side (common in people heavy exposed to ultraviolet light)

What cranial nerve controls sensory response to corneal sensitivity?
CN V - Trigeminal nerve

What cranial nerve controls motor response to corneal sensitivity?
CN VII - Facial nerve

(T/F): The clarity of the patient's cornea is best assessed by the examiner standing to the side of the patient.
True
Swinging Flashlight test normal results:
Shine the light in one eye and then rapidly swing to the other.
There should be a slight dilation in the second eye while the light is crossing the bridge of the nose but it should constrict equally to the first eye as the light enters the pupil.
(External Examination): abnormal gray circle around the outer iris in an elderly patient =
Arcus senilis / Circus senilis; composed of lipid deposited in the periphery of the cornea

Miosis
pupillary constriction (commonly bilateral); usually less than 2 mm in diameter

Mydrasis
pupillary dilation (commonly bilateral); usually more than 6 mm in diameter

Argyll Robertson pupil
Bilateral, miotic, irregularly shaped pupils that fail to constrict with light but retain constriction with convergence

Adies Syndrome
AKA Adies pupil, Holmes-Adie Syndrome
Caused by impairment of postganglionic parasympathetic innervation to sphincter pupillae muscle or ciliary malfunction
Dilated pupil - Rare neurological disorder; absent or poor deep tendon reflexes (ex: knee jerk)

Oculomotor nerve (CN III) damage signs =
Pupil dilated and fixed; eye deviated laterally and downward; ptosis

Iritis constrictive response
Acute uveitis is commonly unilateral; constriction of pupil accompanied by pain and reddened eye, especially adjacent to the iris

Anisocoria
Unequal sized pupils; 80% due to pathology and require further investigation

Esotropia strabismus
eye turns in

Exotropia strabismus
eye turns out

Hypertropia strabismus
eye turn up

Hypotropia strabismus
eye turn down

What are normal Pupil observations?
PERRLA
The Pupils are Equal, Round, Reactive to Light and Accommodation
What are the normal visual fields?
Superior:
Nasal:
Inferior:
Temporal:
Superior: 50 degrees
Nasal: 60 degrees
Inferior: 70 degrees
Temporal: 90 degrees

List three exams that tests Central Vision:
1. Distance visual acuity
2. Cardinal postons/planes of gaze
3. Ishihara color vision assessment

What is the most common type of color blindness?
red-green deficiency
List an exam that tests Peripheral Vision:
1. Perimetry

The patient's optic disc is approximately ____ degrees from the ____.
15 degrees from the nasal midline

Though there are many exceptions and the patient lens choice should be considered a starting position guide and NOT a rule, in which direction would you most likely rotate the ophthalmoscopic lens selection wheel for a myopic patient (near sighted)?
a) Toward the red (minus) lenses
b) Toward the green (plus) lenses
a) Toward the red (minus) lenses
Though there are many exceptions and the patient lens choice should be considered a starting position guide and NOT a rule, in which direction would you most likely rotate the ophthalmoscopic lens selection wheel for a hyperopic patient (far sighted)?
a) Toward the red (minus) lenses
b) Toward the green (plus) lenses
b) Toward the green (plus) lenses
What are some characteristics found on ophthalmologic examination in a patient with hypertension?
1. Narrowing of vessels
2. Increased vascular tortuosity
3. Copper wiring (red-brown reflex)
4. Arteriovenous nicking
5. Retinal hemorrhages

(T/F): A senile hyaline plaque on sclera requires intervention.
False; doesn't require intervention, just a gray pigmented area anterior to the insertion of the medial rectus muscle

During the cover-uncover test, a patient has movement on their right eye. This indicates
Strabismus; movement of either eye indicates muscle imbalance resulting in strabismus

(Unexpected Findings): White area with soft, ill-defined peripheral margins usually continuous with the optic disc
Myelinated retinal nerve; no physiologic signifcance

(Unexpected Findings): Loss of definition of optic disc margin initially occurs superiorly and inferiorly, then nasally and temporally central vessels are pushed forward, and veins are markedly dilated.
Papilledema; caused by increased intracranial pressure

Which patient is the least likely to experience papilledema?
9-month-old female
(Unexpected Findings): Physiologic disc margins are raised with a lowered central area. Blood vessels may disappear over the edge of thee physiologic disc and may be seen again deep within the disc.
Glaucoma; caused by increased intracranial pressure

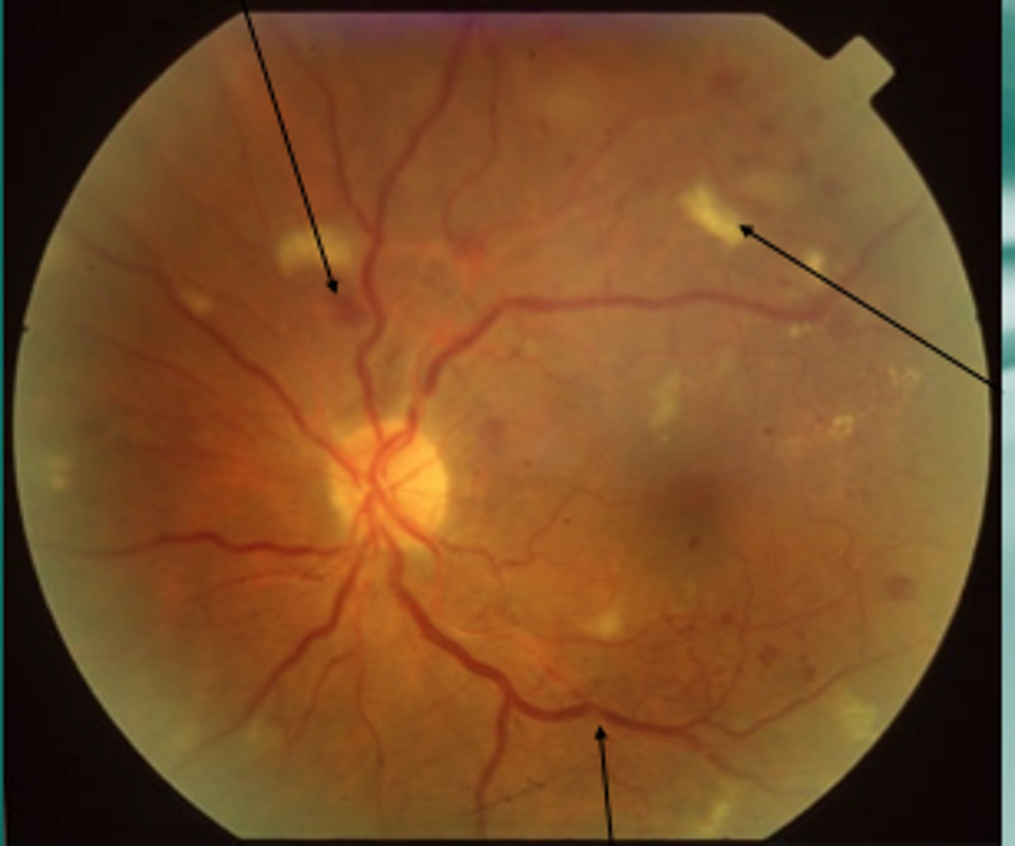
(Unexpected Findings): Ill-defined, yellow areas caused by infarction of nerve layer of the retina.
Cotton wool spot; Diabetic Retinopathy (Non-proliferative)

(Unexpected Findings): Small discrete spots that are slightly more yellow than the retina. With time the spots enlarge.
Drusen bodies; commonly they are a consequence of thee aging process

(Abnormalities): Exophthalmos
bulging of eye anteriorly out of orbit; most common cause is Graves' disease

Population at risk for Exophthalmos:
Graves' disease
(Abnormalities): Episcleritis
most cases are idiopathic; inflammation of the superficial layers of the sclera anterior to the insertion of the lateral rectus
Types:
Simple = intermittent episodes of moderate-to-severe inflammation often recurring at 1 to 3 month intervals
Nodular = prolonged attacks of inflammation, typically more painful

(Abnormalities): Band Keratopathy
deposition of calcium in the superficial cornea; most common in patients with chronic corneal disease

Population at risk for Band Keratopathy:
Patients with chronic corneal disease
(Abnormalities): Corneal Ulcer
disruption of the corneal epithelium and stroma

(Abnormalities): Pinguecula
Similar to a Pterygium but doesn't interfere with vision; gritty sensation
Yellowish, raised, thickening lateral to the iris (less often medial)
