1/40
Looks like no tags are added yet.
Name | Mastery | Learn | Test | Matching | Spaced |
|---|
No study sessions yet.
adrenal gland

kidney

ureter

urinary bladder

urethra

renal capsule

cortex

renal hilum

medulla

renal pelvis

ureter

renal column

minor calyx

major calyx

renal pyramid

nephron loop/ Loop of Henle

collecting duct

afferent arteriole

efferent arteriole

glomerulus

Bowman's capsule

proximal convoluted tubule

PCT

peritubular capillaries

distal convoluted tubule

DCT

collecting duct
11

vasa recta

ascending limb of loop of henle

descending limb of loop of henle

Loop of Henle/nephron loop

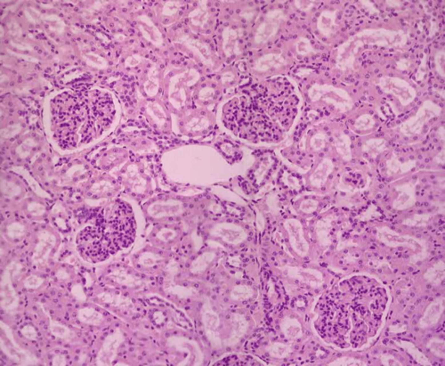
renal cortex tissue
identify renal corpuscle/renal tubule

macula densa

renal cortex (sheep)
2

renal column (sheep)
6

renal medulla (sheep)

major calyx (sheep)

minor calyx (sheep)

renal pelvis (sheep)
5

ureter (sheep)
8

hilum
