1/88
Looks like no tags are added yet.
Name | Mastery | Learn | Test | Matching | Spaced | Call with Kai |
|---|
No analytics yet
Send a link to your students to track their progress

Name the structure highlighted
Superior Vena Cava

Name the structure highlighted
Inferior Vena Cava

Name the structure highlighted
aortic arch

Name the structure highlighted
Ascending aorta

Name the structure highlighted (posterior view)
thoracic aorta

Name the structure highlighted (posterior view)
Abdominal aorta

Name the structures highlighted
Superior pulmonary veins

Name the structure highlighted
Inferior pulmonary veins

Name the structure highlighted
Pulmonary Trunk

Name the structure highlighted
Pulmonary arteries

Name the structure highlighted
Right coronary artery

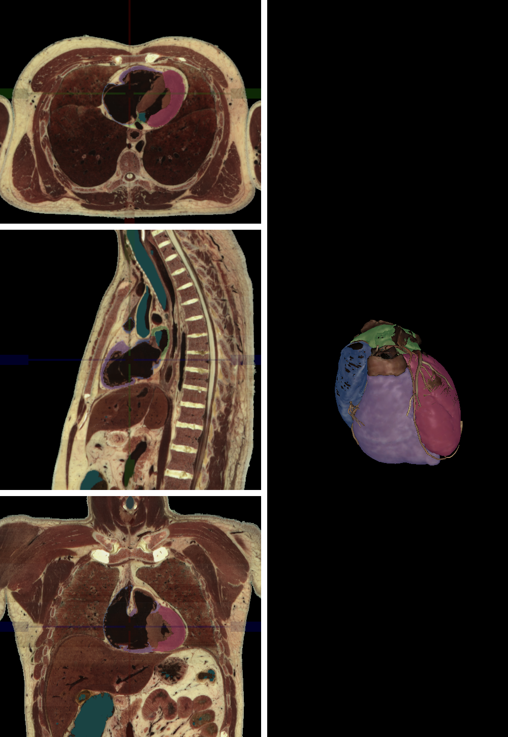
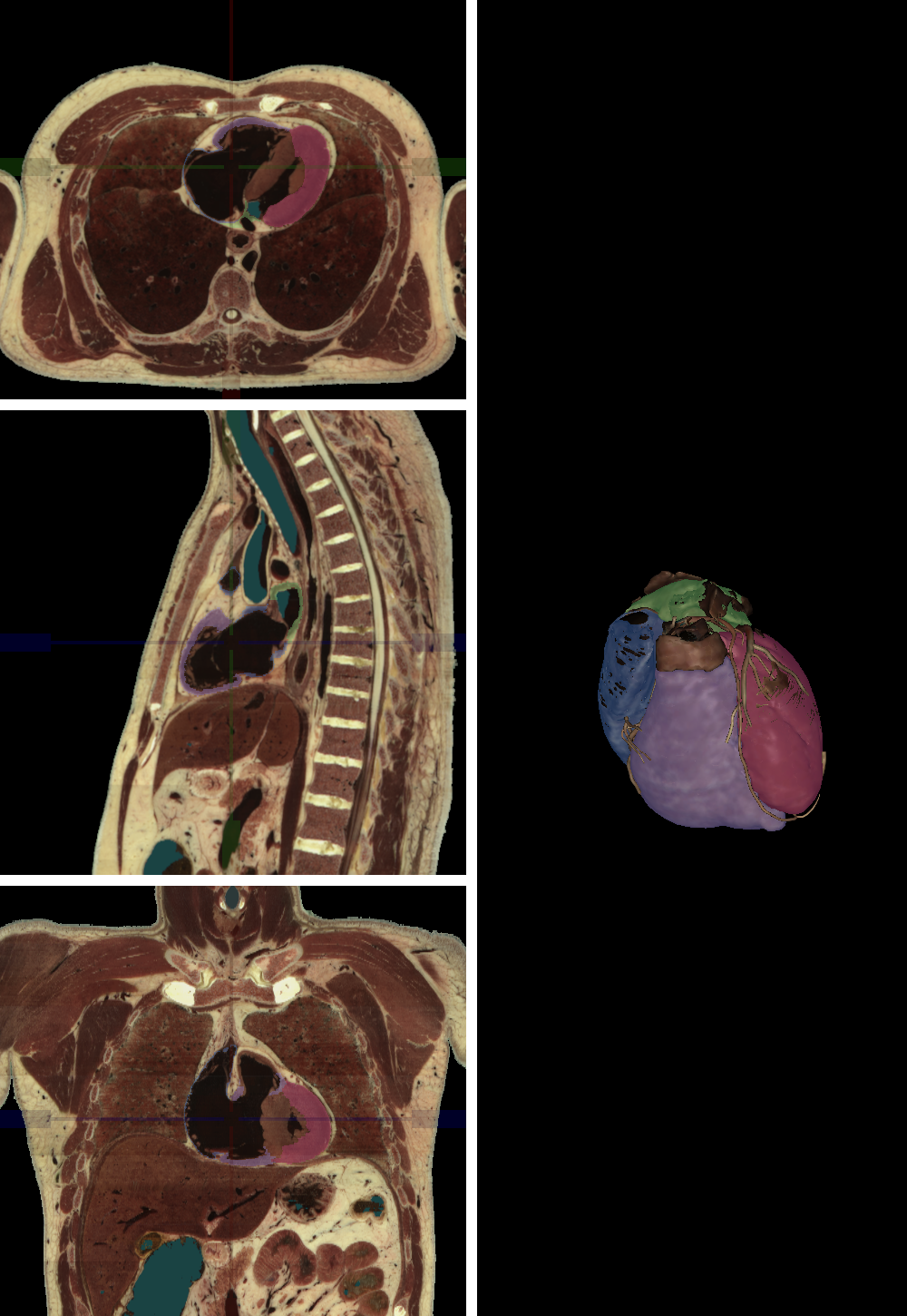
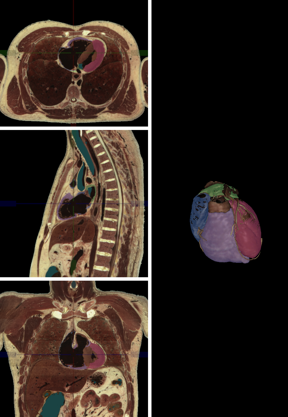
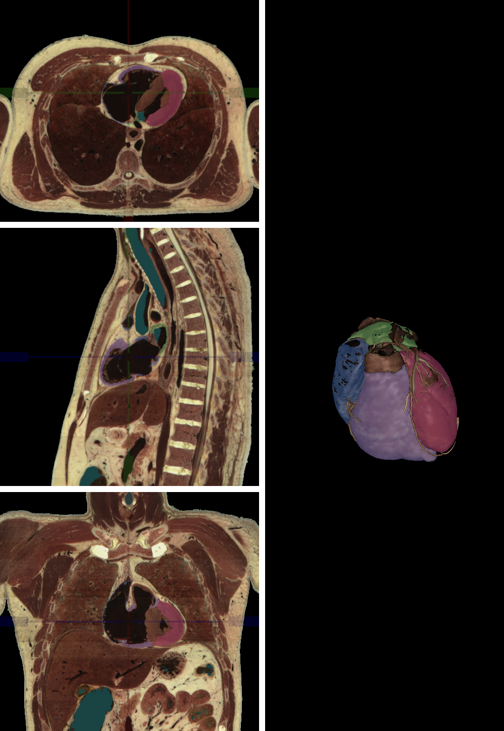
Name the structure highlighted
Left coronary artery (pulmonary trunk, semilunar cusps and right atrium are dissected away)

Name the structure highlighted in blue
Right atrium

Name the structure highlighted in purple
Right ventricle

Name the structure highlighted in pink
Left ventricle

Name structure highlighted in green
Left atrium

Name the structure highlighted
right marginal branch of the right coronary

Name the structure highlighted (purple)
Posterior interventricular artery

Name the structure highlighted (purple)
anterior interventricular artery

Name the structure highlighted
trabeculae carnae

Name the structure highlighted
Tricuspid valve

Name the structure highlighted
bicuspid/mitral valve

Name the structure highlighted
Papillary muscles

Name the structure highlighted
Pericardium or pericardial sac

Name the structure highlighted (blue)
Brachiocephalic trunk

Name the structure highlighted (purple)
common carotid artery

Name the structure highlighted (green)
subclavian artery

Name the structure highlighted (pink)
axillary artery

Name the structure highlighted (dark blue)
brachial artery

Name the structure highlighted (green)
radial artery

Name the structure highlighted (dark purple)
ulnar artery

Name the structure highlighted (orange)
axillary vein

Name the structure highlighted (teal)
brachial vein

Name the structure highlighted (lavender)
subclavian vein

Name the structure highlighted (dark green)
brachiocephalic vein

Name the structure highlighted
cephalic vein

Name the structure highlighted
basilic vein

Name the structure highlighted
Internal jugular vein

Label the structures highlighted
Pink- celiac trunk
Orange- Left gastric artery
Purple- splenic artery
Blue- common hepatic artery

Name the structure highlighted (pink)
renal artery

Name the structure highlighted (purple)
renal veins

Name the structure highlighted (blue)
superior mesenteric artery

Name the structure highlighted (green)
Inferior mesenteric artery

Name the structure highlighted (purple)
common iliac artery

Name the structure highlighted (pink)
external iliac artery

Name the structure highlighted (blue)
internal iliac artery

Name the structure highlighted (orange)
femoral artery

Name the structure highlighted (green)
popliteal artery

Name the structure highlighted (pink)
common iliac vein

Name the structure highlighted (blue)
external iliac vein

Name the structure highlighted (green)
internal iliac vein

Name the structure highlighted (purple)
great sapheonous vein
How many lobes does the right lung have?
3
-Superior, Middle, inferior
How many lobes does the left lung have?
2
-Superior, inferior

Name the structure highlighted (blue)
trachea

Name the structure highlighted (light purple)
left primary/main bronchi

Name the structure highlighted (yellow)
right primary/main bronchi

Label the different lobes of the lungs
Right lung
Superior- pink
Middle- purple
Inferior - orange
Left lung
Superior- green
Inferior- teal

Name the structure highlighted (pink)
esophagus

Name the structure highlighted (orange)
liver

Name the structure highlighted (green)
stomach

Name the structure highlighted (dark blue)
spleen

Name the structure highlighted (light purple)
pancreas

Name the structure highlighted (teal)
Kidney

Name the structure highlighted (dark blue)
ureter

Name the structure highlighted (yellow)
urinary bladder

Name the structure highlighted (dark purple)
gallbladder

Name the structure highlighted (dark blue)
duodenum

Name the structure highlighted (yellow)
jejunum

Name the structure highlighted (purple)
ileum

Name the structure highlighted (orange)
cecum

Name the structure highlighted (light purple)
ascending colon

Name the structure highlighted (pink)
transverse colon

Name the structure highlighted (dark green)
descending colon

Name the structure highlighted (teal)
sigmoid colon

What structure is the dark blue,yellow, and purple apart of?
Small intestine

What structure is dark green, teal, light purple and pink apart of?
large intestine

Name the structure highlighted (pink)
parotid gland

Name the structure highlighted (purple)
thyroid gland

Name the structure highlighted (teal)
submandibular gland

Name the structure highlighted (light green)
diaphragm

Name the bone highlighted (purple)
sphenoid


Name the bone highlighted (orange)
zygomatic

Name the bone highlighted (teal)
maxilla

Name the bone highlighted (yellow)
mandible

Name the bone highlighted (pink)
temporal bone

Name the bone highlighted (dark green)
parietal

Name the bone highlighted (dark blue)
occupital

Name the bone highlighted (light green)
frontal bone