1/20
Histology with Microscopes
Name | Mastery | Learn | Test | Matching | Spaced | Call with Kai |
|---|
No analytics yet
Send a link to your students to track their progress
Areolar

Adipose

Regular Dense

Fibrocartilage

Hyaline Cartilage

Elastic Cartilage

Compact Bone

Blood

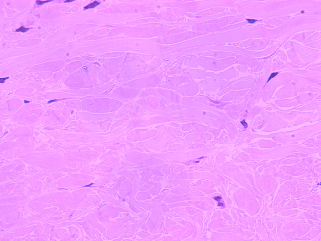
Skeletal Muscle

Smooth Muscle

Cardiac Muscle

Nervous Tissue

Simple Squamous

Simple Cuboidal

Simple Columnar

Pseudostratified Ciliated Columnar

Stratified Squamous

Stratified Cuboidal

Transitional Epithelium

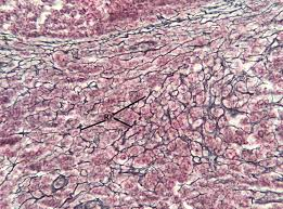
Reticular Connective

Irregular Dense
