1/46
Looks like no tags are added yet.
Name | Mastery | Learn | Test | Matching | Spaced | Call with Kai |
|---|
No analytics yet
Send a link to your students to track their progress
Simple squamous epithelium
Single cell layer thick, flat cells, defined by nucleus with hard to define cytoplasm, line vascular walls, and function in diffusion.

Simple squamous epithelium

Simple squamous epithelium

Simple cuboidal epithelium
Cube shaped, centralized nucleus, may have apical specialization, line various glands and organs, and aid in absorption, transportation, and secretion.
Simple cuboidal epithelium

Simple cuboidal epithelium

Simple columnar epithelium
Single cell layer thick, rectangle shaped, nucleus toward middle or base, may have apical specialization, line various organs and glands, and function in absorption and secretion.
Simple columnar epithelium

Simple columnar epithelium

Simple columnar epithelium

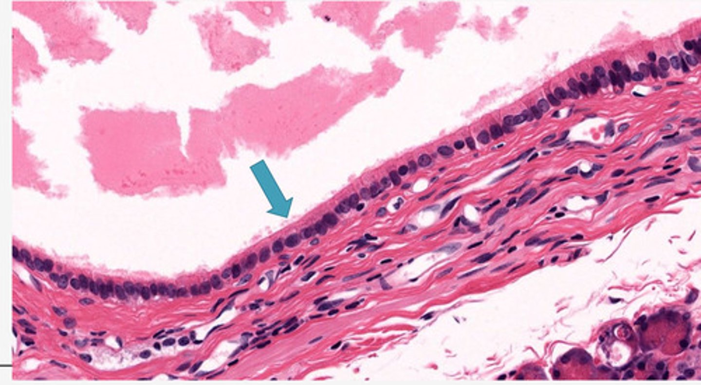
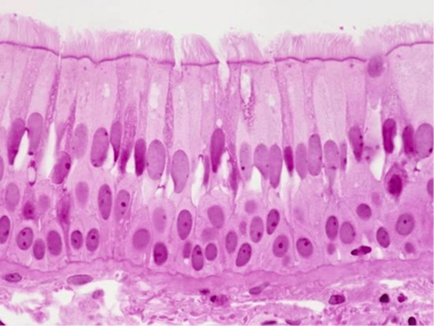
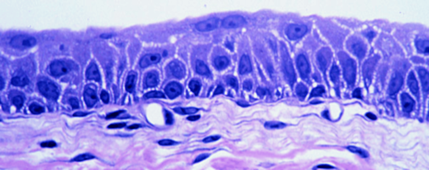
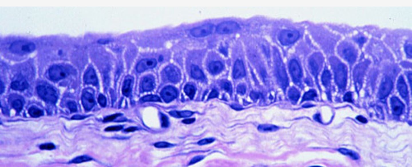
Pseudostratified epithelium
Appears stratified, frequently ciliated, found in pulmonary system and male reproductive system
has goblet cells in pulmonary system to propel mucus away from lungs, and functions in reproductive system to transport gamete.
Pseudostratified epithelium

Pseudostratified columnar epithelium

Pseudostratified ciliated columnar epithelium

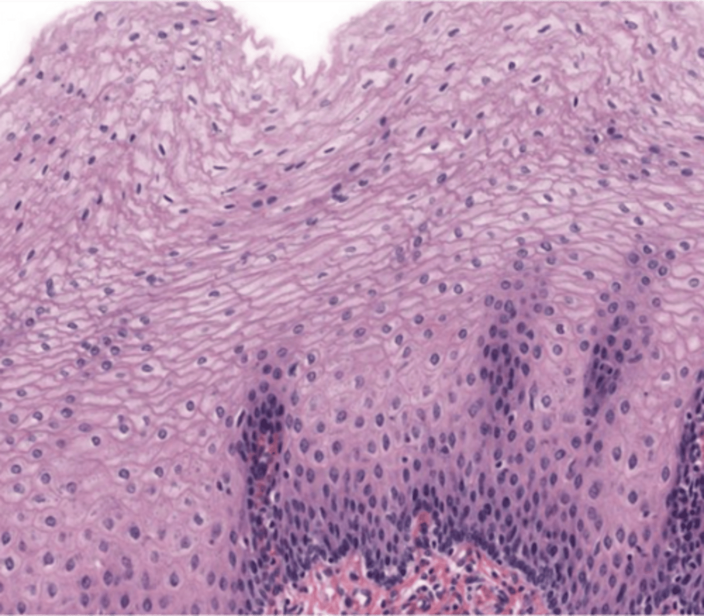
Keratinized Stratified Squamous Epithelium
Dry epithelium characterized by rapid proliferation and nonliving cellular husks.
Keratinized Stratified Squamous Epithelium

Keratinized Stratified Squamous Epithelium

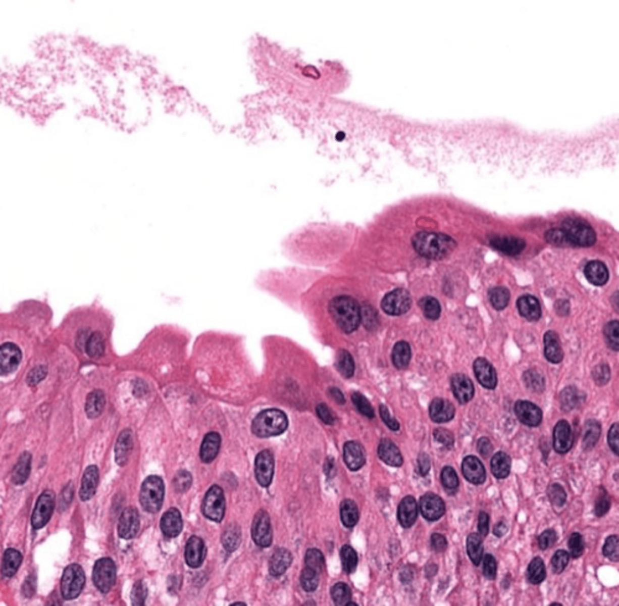
Transitional epithelium (Urothelium)

urothelium
(in the bladder)

Non-Keratinized Stratified Squamous Epithelium

Non-Kerantinized Stratified squameous epithelium
Multilayered squamous epithelium, function in protection, may contain keratin, moist surfaces tend to lack keratin
Transitional epithelium (urothelium)
May appear distended or non-distended, found lining portions of urinary system, and characterized by a change in orientation within the layers.
Transitional epithelium (urothelium)

Transitional epithelium (urothelium)

Dome-Shaped Umbrella Cells (urinary bladder)
Rounded cells that bulge from the surface of the epithelium.

Umbrella Cells (Urinary bladder)
Cells that have two nuclei.

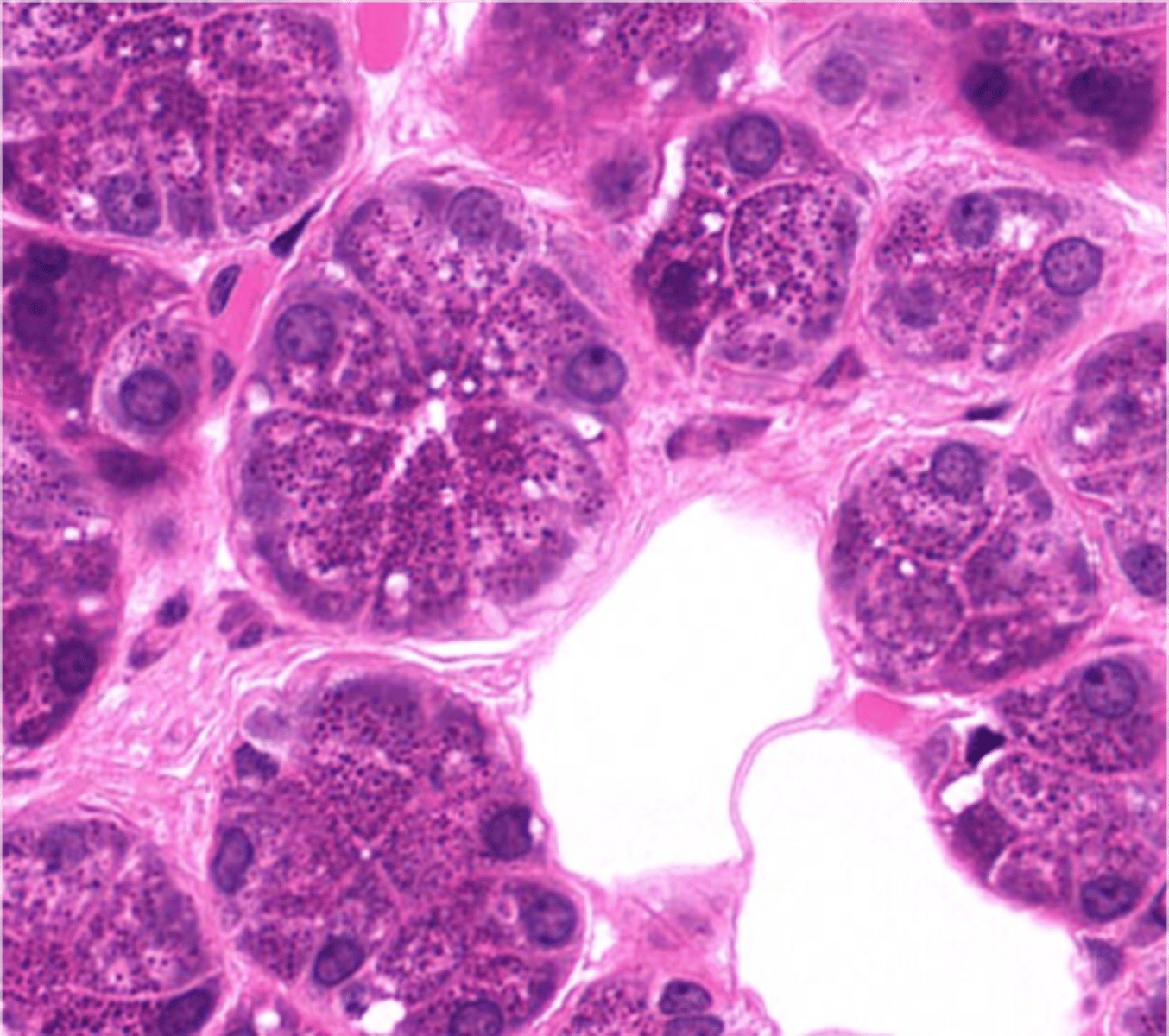
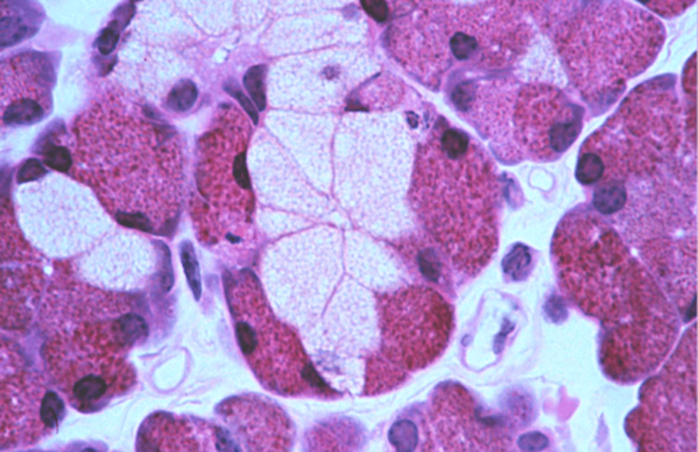
Acini
A cluster of cells, Latin for berry.
Gland
Refers to the entire unit including acinus and duct portions (the organ)
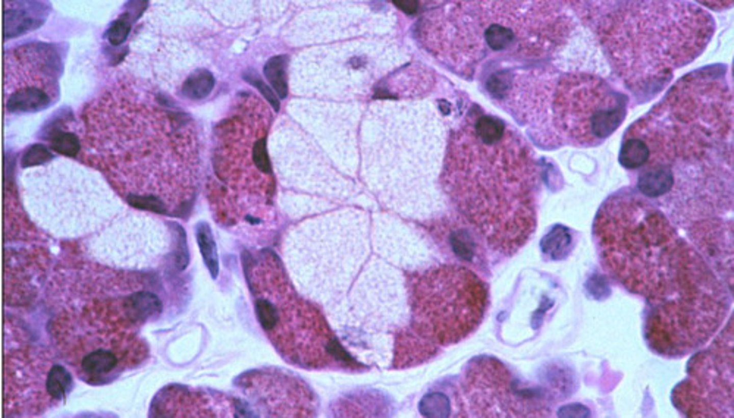
Serous Gland
Watery and proteinaceous secretions.
Pure serous gland

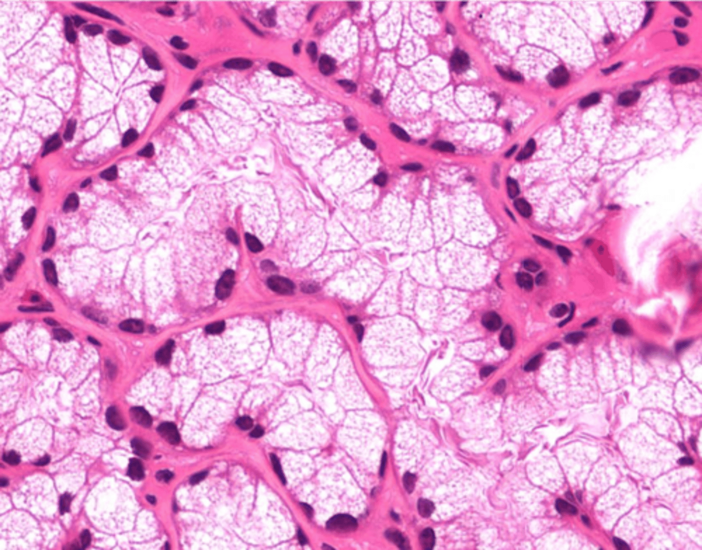
Mucous gland
More water insoluble secretions containing lipids.
more basophilic
How do serous stain?
stain pale
How do mucus stain?
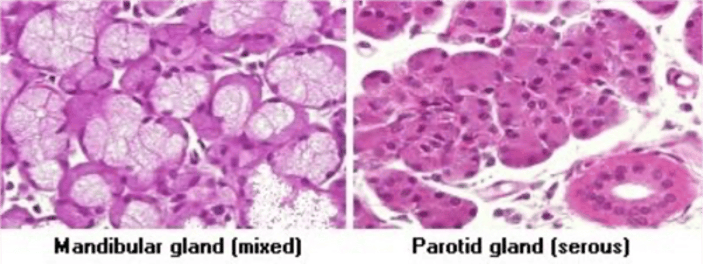
Mixed gland ie. parotid gland
both serous and mucous cells

Mixed gland both serous and mucous cells

Serous vs mucous
Serous stains more basophilic while mucus stains pale.
Serous Acini
Acini that produce serous secretions.
Serous Acini

Mucous Acini
Acini that produce mucous secretions.
Mucous Acini

Serous demilune
A serous 'cap' over a mucous acini, found in the salivary glands.

Serous demilune

Stereocilia (Found in the male reproductive system)

Striated Border
Found in the small intestine.

Brush Border
Found in the kidney.

Brush Border
Increase area for secretion and absorption
Gland Duct
