E1 EM Review (quizlet)

5.0(1)
studied byStudied by 1 person
full-widthCall with Kai
GameKnowt Play
learnLearn
examPractice Test
spaced repetitionSpaced Repetition
heart puzzleMatch
flashcardsFlashcards
Card Sorting

1/141

encourage image

There's no tags or description

Looks like no tags are added yet.

Study Analytics
Name
Mastery
Learn
Test
Matching
Spaced

No study sessions yet.

142 Terms

1
New cards

What type of transport should be used for lifesaving maneuvers, BLS, & ALS

Ground transport

2
New cards

What type of transport should be used for critically ill patients or difficult terrain

Air transport

3
New cards

EMS picks up a choking 5 y/o female who is unable to breathe, where should they take her? (Regional or pediatric hospital)

Regional first, EMS might not be equipped for critically ill pts

Stabilize first at ER, then transfer

4
New cards

Pts in cardiac or respiratory arrest go where?

CLOSEST facility

5
New cards

What prohibits ERs from refusing to treat pts

EMTALA

Also prohibits inappropriate transfer of pts

6
New cards

Paramedics operating under a medical director is an example of what type of communication

Indirect

7
New cards

EMS giving vitals to the ER physician is an example of what type of communication

Direct

8
New cards

What should be used to preserve the spinal cord

C spine collar and back boards

9
New cards

What are the decontamination zones

Hot: patients without decontamination / area of spill

Warm: where decontamination and stabilization occurs

Cold: area where fully decontaminated pts go

10
New cards

What class of bioterroism would smallpox, anthrax, and botulism be in?

Class A: highest risk

Class C is lowest risk (B in the middle)

11
New cards

What are chemical agents such as sarin and mustard gas an example of?

Biologically produced toxins

12
New cards

What are contagious agents such as viruses and example of

Infectious agents

13
New cards

Plz know the reversal of opioids and benzos by now

Opioids: naloxone

Benzos: flumazenil

14
New cards

Foot, wrist, and digital blocks are examples of what type of block?

Peripheral nerve block

15
New cards

What should you document before administering a nerve block?

Neuro-vascular status

16
New cards

Your pt has severe pain when you insert the lidocaine, how should you proceed?

Withdraw and reposition

Severe pain = nerve contact

17
New cards

What areas should you not inject epinephrine

Nose, toes, fingers, and hose

18
New cards

What type of block is recommended for fracture reduction, large lacs or FB removal?

IV regional block (Biers block)

Infusion of lido+epi distal to inflated pneumatic tourniquet

19
New cards

Contraindications to biers block

PVD / Raynauds

Sickle Cell

Cardiac conduction probs

HTN

Cellulitis

Kids <5

Alt: Hematoma block

20
New cards

Opioid receptors

Delta, kappa, mu

21
New cards

How would you evaluate pain

Self report measurement : control pain to PATIENTs desires

*do NOT rely on non-self report measurement

22
New cards

4 clinical goals of sepsis

1. Blood cx BEFORE abx
2. Lactate < 90 mins
3. IV abx < 60 mins
4. 30 ml/kg of IVFs <180 mins

23
New cards

Treatment of choice for cardiogenic shock

PCI / CABG

Alt: thrombolytics

MCC: MI

24
New cards

PCI should be done within how long of presentation

90 mins

25
New cards

Management of anaphylaxis

Maintain airway

H1 & H2 blockers

Steroids

Epi

26
New cards

Your pt is in anaphylactic shock and is currently taking propranolol and Metformin, how should you adjust treatment?

Give glucagon b/c BBs can be resistance to epi

27
New cards

Management of neurogenic shock

Atropine and and fluids

d/t hypotension and bradycardia

28
New cards

AUB terminology review :)

Menorrhagia: heavy flow

Metrorrhagia: btwn cycles

Menometrorrhagia: irregular heavy cycles

Amenorrhea: no bleeding >6 mos

Post-menopausal: 6 mo-1 yr after cycles

29
New cards

What is considered of loss of pregnancy <20 wks

Spontaneous abortion

30
New cards

What is the MC abortion

Threatened abortion: 1st trimester bleeding w/o dilation

31
New cards

What is considered vaginal bleeding WITH cervical dilation

Inevitable abortion

dilation = lost pregnancy

32
New cards

Incomplete vs complete abortion

Complete has passage of ALL fetal tissue <20 wks

33
New cards

What is considered a fetal death <20 wks without any passage of fetal tissue x 4 wks

Missed abortion

34
New cards

What is the long term effects of PID and how do you treat?

Can cause tubular factor infertility

Tx: Cefoxitin / ceftriaxone + doxy

Add metronidazole for outpatient

35
New cards

GS diagnostic testing of PID

Laparoscopy

36
New cards

How do you r/o ovarian torsion

Pelvic / transvag US WITH DOPPLER

37
New cards

MC site of ectopic pregnancy

Ampulla (fallopian tube)

38
New cards

What should you think if a pt has abnrormally high bHCG

Gestation trophoblastic disease

39
New cards

1st line treatment of N/V during pregnancy

IVFs

40
New cards

How do you differentiate btwn abruptly placenta and placenta previa

Placenta previa is painLESS red bleeding

41
New cards

What should you do before delivering the body of a baby after the head is out

Suction nose and mouth to avoid aspiration

42
New cards

MCC of mitral stenosis

Rheumatic heart disease

Most pts develop a fib

43
New cards

Mid diastolic rumbling murmur with opening snap is indicative of

Mitral stenosis

44
New cards

Mid systolic click is indicative of

MVP

45
New cards

Not gonna ask specific murmurs but know key words (opening snap / click / systolic v diastolic

:)

Systolic: AS, MR
Diastolic: AR, MS

46
New cards

Rupture of the chordate tendinaea, papillary muscles or valve leaflets is known as

Mitral incompetence

47
New cards

Definitive diagnosis of valvular disorders

TEE

48
New cards

Classic triad of aortic stenosis

SAD : Syncope, angina, dyspnea

Harsh systolic ejection murmur (diamond)

49
New cards

MCC of aortic regurgitation (incompetence)

Infective endocarditis

50
New cards

What should you order if you suspect an MI

FIRST >> EKG within 10 mins

2. Troponin

3. CXR / echo

51
New cards

How does acute coronary syndrome present and what are sx caused by

-Chest/epigastric pain radiating to neck / jaw / ear / arm
-SOB / weakness

Sx d/t ischemia

52
New cards

Treatment of an MI

MONA - morphine, oxygen, nitroglycerin and aspirin 325mg

PCI within 90 mins

53
New cards

What type of CP is episodic lasting 5-15 mins that is worsened with exertion and relieved by rest

Stable angina

54
New cards

What are the 3 distinct forms of unstable angina

- new onset exertional angina
- inc frequency / duration
- angina at rest

55
New cards

What type of CP occurs at rest, is triggered by smoking, and is d/t coronary vasospasms

Variant (Prinzmetal)

Note: have ST elevations like an MI

56
New cards

Pt presents to the ED with dyspnea, orthopnea, PND, with tachycardia and peripheral edema / JVP, what should you order

CHF —>

Order BNP / CXR / Echo

57
New cards

Pt presents with sharp precordial pain that is better when she bends forward. You appreciate a friction rub on PE. What should you initial test be?

Pericarditis —>

Initial: Echo

EKG will show diffuse ST elevation and PR depression

58
New cards

Severe ripping pain is indicative of

Aortic dissection

Pain in abdomen, chest, or back

59
New cards

When is an aortic aneurysm considered emergent

Any symptomatic aneurysm (>5.5 cm needs sx)

Asx <5 cm : monitor carefully

60
New cards

Pt c/o of coughing up blood and notes that it is difficult to breathe and chest hurts. What's your work up?

pulmonary embolism:

- CTA is GS

- CXR (westermark, Hampton hump)

- D Dimer

- r/o DVT with Doppler

61
New cards

Virchows triad

Venous stasis
Venous injury
Hypercoagulable state

Indicative of DVT

62
New cards

Know wells score !!!

PE likely >4 pts

63
New cards

How do you diagnose a DVT

D dimer and Doppler US

Venogram is GS but US is MC

64
New cards

What is becks triad and what is it indicative of

JVD

Hypotension

Muffled heart sounds

Associate with cardiac tamponade

65
New cards

Test of choice for cardiac tamponade

Echo

EKG will show electrical alternanas

Tx with pericardiocentesis

66
New cards

What is almost always present in restrictive cardiomyopathy

S3

Also see: Kussmauls, JVD, ascites, edema

67
New cards

HOCM vs Restrictive Cardiomyopathy

KNOW IT

HOCM: syncope, sudden death in athletes, LVH

Restrictive: right sided CHF sx

68
New cards

Paradoxical pulse, Kussmauls sign, with a pericardial "knock" accompanying SOB is indicative of

Restrictive pericarditis

69
New cards

Kussmaul's sign (inc JVD w/ respiration) think....

RESTRICTIVE cardiomyopathy or pericarditis

(Look @ other sx to ddx)

70
New cards

What are the anterior leads

V3/4

71
New cards

What are the septal leads

V1/2

72
New cards

What are the lateral leads

V5/6, I, & aVL

73
New cards

What are the inferior leads

II, III, & aVF

74
New cards

EKG: flip and dont look at the answer lol

Posterior STEMI

<p>Posterior STEMI</p>
75
New cards

EKG: flip and dont look at the answer lol

Anterior-septal STEMI

<p>Anterior-septal STEMI</p>
76
New cards

EKG: flip and dont look at the answer lol

Inferior STEMI

<p>Inferior STEMI</p>
77
New cards

EKG: flip and dont look at the answer lol

Inferior-lateral STEMI

<p>Inferior-lateral STEMI</p>
78
New cards

EKG: flip and dont look at the answer lol

V fib

<p>V fib</p>
79
New cards

EKG: flip and dont look at the answer lol

A flutter

<p>A flutter</p>
80
New cards

EKG: flip and dont look at the answer lol

A fib

<p>A fib</p>
81
New cards

EKG: flip and dont look at the answer lol

Anterior STEMI

<p>Anterior STEMI</p>
82
New cards

There's gonna be EKGs :(

It's gonna be a STEMI so know your lead locations

<p>It's gonna be a STEMI so know your lead locations</p>
83
New cards

Management of HTN

BP lowered to 160/110 over 2-6 hrs

Dec MAP no more than 20% in first hr

Immediate tx only of exam reveals EOD

84
New cards

Preferred test and treatment for kidney stones

Dx: CT

Tx: IVFs, 4mg Zofran, 30mg Toradol

85
New cards

Pt is c/o of back pain that radiates to her groin. You do a CT and see a 3 mm stone, how should you proceed

Pt will likely be able to pass

>8 is unlikely

Ig 4-8 is really difficult ??

86
New cards

How do you treat paraphismosis

URO EMERGENCY

Compression of glans for several minutes, puncture wounds for drainage: 10 & 2 location

87
New cards

How to reduce testicular torsion

EMERGENCY

Manual Detorsion: twist outward and laterally

KNOW THIS

88
New cards

Treatment of prostatitis

Ciprofloxacin

Alt: bactrim

89
New cards

UTI treatment

Bactrim, FQ, macrobid

Phenazopyridine for analgesia

90
New cards

Pt presents with painful and frequent urination, you do a UA and suspect a UTI. What will it show?

+ LE
+ nitrates
+ WBCs

ALWAYS culture

91
New cards

Types of pneumothorax

Iatrogenic: secondary to procedure

Primary spontaneous: healthy pts, no trauma

Secondary spontaneous: known lung dx

92
New cards

GS diagnostic testing for pneumothorax

Upright PA CXR

93
New cards

Management of small vs large pneumothorax's

Small: monitor

Large: catheter aspiration

94
New cards

How should you manage a tension pneumothorax

Immediate needle decompression

2nd intercostal space, mid clavicular line

95
New cards

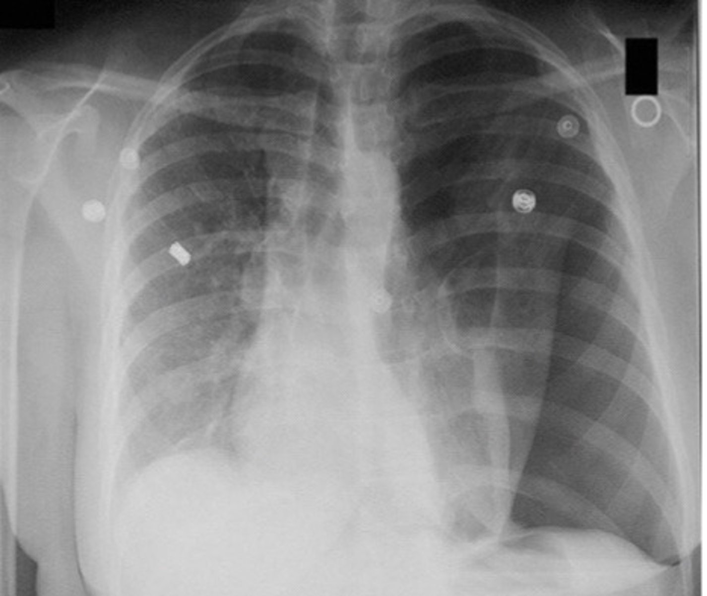
Mediastinal shift and tracheal deviation on CXR is indicative of

Tension pneumothorax

<p>Tension pneumothorax</p>
96
New cards

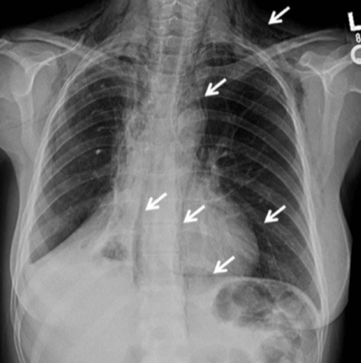
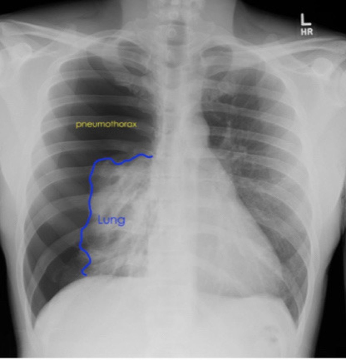
Visualization of visceral pleural line on CXR is indicative of

Pneumothorax

<p>Pneumothorax</p>
97
New cards

Pneumomediastinum on CXR (just a pic)

knowt flashcard image
98
New cards

Hammans sign and subcutaneous emphysema is indicative of

Pneumomediastinum

99
New cards

CXR shows bronchial thickening/cuffing without consolidations or infiltrates.....what is the cause of the disease?

Acute Bronchitis —> MCC is VIRAL

100
New cards

What will XR findings show in retropharyngeal abscess

6 at 2, 22 at 6

6 mm at C2
22 mm at C6