Fun. I - Epithelial Tissue

0.0(0)
studied byStudied by 0 people
full-widthCall with Kai
GameKnowt Play
learnLearn
examPractice Test
spaced repetitionSpaced Repetition
heart puzzleMatch
flashcardsFlashcards
Card Sorting

1/91

encourage image

There's no tags or description

Looks like no tags are added yet.

Study Analytics
Name
Mastery
Learn
Test
Matching
Spaced

No study sessions yet.

92 Terms

1
New cards

What are the 4 major types of Tissues?

- Epithelial

- Connective

- Muscular

- Nervous

2
New cards

What are the 4 essential processes for generation of a Multicellular Organism?

- Proliferation

- Specialization

- Interaction

- Movement

3
New cards

Histogenesis

Development of Tissues

4
New cards

Histogenesis begins at ____.

gastrulation

5
New cards

Gastrulation

The process in which a gastrula develops from a blastula by the inward migration of cells

6
New cards

What are the 3 specialized layers of the Gastrula?

- Ectoderm

- Mesoderm

- Endoderm

7
New cards

Ectoderm

Outermost Layer

- Neural Tissue

- Epidermis

8
New cards

Mesoderm

Middle Layer

- Connective Tissue

- Muscle

- Heart

9
New cards

Endoderm

Innermost Layer

- Lungs

- GI Tract

- Liver

- Pancreas

10
New cards

Epithelial Tissue

Sheets of cells covering all body surfaces/cavities

11
New cards

Connective Tissue

Collection of supporting cells and ECM that aid structure of other tissue

12
New cards

Tissue is basically a collection of ____ and ____.

cells/ECM

13
New cards

Muscle Tissue

Contractile cells that are responsible for movement

14
New cards

What are the 3 types of Muscle Tissue?

- Skeletal

- Cardiac

- Smooth

15
New cards

Skeletal Muscle

Striated and voluntary muscle attached to bone

16
New cards

Cardiac Muscle

Striated and involuntary muscle found in the wall of the Heart

17
New cards

Smooth Muscle

Non-Striated and involuntary muscle

18
New cards

Nervous Tissue

Receives, transmits, and integrates info to control and coordinate activities of the body

19
New cards

What are the 2 divisions of the Nervous System?

- CNS

- PNS

20
New cards

CNS

Central Nervous System

- Brain and Spinal Cord

21
New cards

PNS

Peripheral Nervous System

- Sensory and Motor Neurons

22
New cards

Light Microscopy

Any kind of microscope that uses visible light to observe specimens

23
New cards

Basic Steps of Tissue Preparation

(1) Fixation

(2) Dehydration

(3) Clearing

(4) Sectioning

(5) Staining

24
New cards

What are the 3 Stains used for Tissue Preparation?

- Hematoxylin (H)

- Eosin (E)

- Periodic Acid Schiff (PAS)

25
New cards

Hematoxylin (H)

Basic dye that stains basophilic structures blue/purple

<p>Basic dye that stains basophilic structures blue/purple</p>
26
New cards

Eosin (E)

Acidic dye that stains acidophilic structures red/pink

<p>Acidic dye that stains acidophilic structures red/pink</p>
27
New cards

Periodic Acid Schiff (PAS)

Stains carbohydrates pink/red

<p>Stains carbohydrates pink/red</p>
28
New cards

The ____ is highly acidic, so it would be considered basophilic. This would require Hematoxylin for staining.

nucleus

29
New cards

Immunofluorescence

Use of antibodies tagged with fluorescent dye to identify the presence of a particular disease causing microbe

30
New cards

Basal Lamina

Thin extracellular layer that lies underneath epithelial cells and separates them from other tissues (typically connective tissue)

<p>Thin extracellular layer that lies underneath epithelial cells and separates them from other tissues (typically connective tissue)</p>
31
New cards

Cellular Junctions

Transmembrane proteins that bind cells together or to the ECM

32
New cards

Transmembrane Adhesion Proteins

Proteins that span the cellular membrane and link the cytoskeleton to extracellular structures

<p>Proteins that span the cellular membrane and link the cytoskeleton to extracellular structures</p>
33
New cards

What are the 4 major Cell Adhesion Molecules?

- Cadherins

- Integrins

- Selectins

- Ig-Superfamily

34
New cards

Cadherins

Calcium-Dependent glycoproteins that hold similar cells together

<p>Calcium-Dependent glycoproteins that hold similar cells together</p>
35
New cards

Integrins

Transmembrane protein that interconnects the ECM and cytoskeleton of a cell

<p>Transmembrane protein that interconnects the ECM and cytoskeleton of a cell</p>
36
New cards

Selectins

Transmembrane protein that binds carbohydrates on other cell surfaces

<p>Transmembrane protein that binds carbohydrates on other cell surfaces</p>
37
New cards

Selectins and Integrins play an important role in ____.

White Blood Cell Migration

38
New cards

White Blood Cell Migration

(1) Selectin-Dependent Adhesion and Rolling

(2) Adhesion and Emigration of WBC across barrier via Integrins

39
New cards

What are the 4 types of Junctions?

- Tight

- Anchoring

- Channel-Forming

- Cell-Matrix Anchoring

40
New cards

What are the 7 functions of the Epithelia?

- Protection: Epidermis

- Absorption: Digestive Tract

- Secretion: Glands

- Excretion: Kidneys

- Lubrication

- Sensory

- Reproduction: Sperm

41
New cards

The Epithelia is vascular (T/F)

False; Avascular

42
New cards

Cells are normally polarized. What does that mean?

Components of the cell are asymmetrically distributed, creating "poles"

43
New cards

Apical Domain

The exposed free surface of a polarized epithelial cell. Typically have cilia/microvilli.

<p>The exposed free surface of a polarized epithelial cell. Typically have cilia/microvilli.</p>
44
New cards

Basolateral Domain

The surface region of a polarized epithelial cell that is in contact with adjacent cells or the ECM

<p>The surface region of a polarized epithelial cell that is in contact with adjacent cells or the ECM</p>
45
New cards

Functions of the Basal Lamina

- Binds Epithelia to the Connective Tissue

- Permits movement of nutrients into blood

- Filtration

46
New cards

What are the 2 major components of the Basal Lamina?

- Laminin

- Type IV Collagen

47
New cards

Laminin

Protein in the basement membrane to which integrins from cells attach

48
New cards

What is the difference in Basal Lamina and Basement Membrane?

The Basal Lamina is the protein portion of the Basement Membrane. The Basement Membrane also includes ECM.

49
New cards

2 Epithelial Layers can be fused to a Basal Lamina (T/F)

True; Used mainly for exchange and filtering like in the Lungs and Kidneys

50
New cards

Apical Modifications of Epithelia

- Microvilli

- Stereocilia (Stereovilli)

- Motile Cilia

51
New cards

Basolateral Modifications of Epithelia

Basal/Lateral Folds

52
New cards

What are the 5 Classes of Junctions?

- Tight Junctions

- Adherens

- Desmosomes

- Gap Junctions

- Hemidesmosomes

53
New cards

Tight Junctions

Transmembrane proteins that seal adjacent cells together

<p>Transmembrane proteins that seal adjacent cells together</p>
54
New cards

What are the 2 main Transmembrane Proteins that make up Tight Junctions?

- Occludin

- Claudin

55
New cards

Paracellular Transport

Transport of materials through the interstitial space without interactions with the cytoplasm or cell membrane

Occurs through Tight Junctions

56
New cards

Adherens

Joins intracellular actin-filaments between cells

<p>Joins intracellular actin-filaments between cells</p>
57
New cards

Desmosomes

Cell-Cell Anchoring junctions via intermediate filaments

<p>Cell-Cell Anchoring junctions via intermediate filaments</p>
58
New cards

Gap Junctions

Provide cytoplasmic channels between adjacent animal cells via connexins

<p>Provide cytoplasmic channels between adjacent animal cells via connexins</p>
59
New cards

Hemidesmosomes

Attach epithelial cells to the basement membrane via intermediate filaments

<p>Attach epithelial cells to the basement membrane via intermediate filaments</p>
60
New cards

Junctional Complex

Collective term for...

- Tight Junctions

- Adherens

- Desmosomes

61
New cards

Microvilli

Projections of actin-microfilaments that increase the cell's surface area

<p>Projections of actin-microfilaments that increase the cell's surface area</p>
62
New cards

Stereocilia (Stereovilli)

Longer microvilli projections of actin-microfilaments that increase the cell's surface area

Limited to inner ear and male reproductive tract

<p>Longer microvilli projections of actin-microfilaments that increase the cell's surface area</p><p>Limited to inner ear and male reproductive tract</p>
63
New cards

Motile Cilia

Projections of microtubules that "beat" to move fluid/cells

<p>Projections of microtubules that "beat" to move fluid/cells</p>
64
New cards

Motile Cilia are made up of ____.

axonemes

65
New cards

Axoneme

- Structure found in cilia and flagella that are responsible for motion

- Composed of two central microtubules surrounded by nine doublet microtubules (9 + 2 arrangement).

<p>- Structure found in cilia and flagella that are responsible for motion</p><p>- Composed of two central microtubules surrounded by nine doublet microtubules (9 + 2 arrangement).</p>
66
New cards

Basal/Lateral Folds

Increase surface area of basal/lateral regions

<p>Increase surface area of basal/lateral regions</p>
67
New cards

Epithelia shape is defined by the innermost layer (T/F)

False; Outermost

68
New cards

Simple Squamous Epithelia

Important for absorption and diffusion

- Blood Vessels

- Alveoli

- Kidneys

<p>Important for absorption and diffusion</p><p>- Blood Vessels</p><p>- Alveoli</p><p>- Kidneys</p>
69
New cards

Simple Cuboidal Epithelia

Important for secretion and absorption

- Exocrine Ducts

- Kidneys

<p>Important for secretion and absorption</p><p>- Exocrine Ducts</p><p>- Kidneys</p>
70
New cards

Simple Columnar Epithelia

Important for absorption and secretion

- GI Lining

<p>Important for absorption and secretion</p><p>- GI Lining</p>
71
New cards

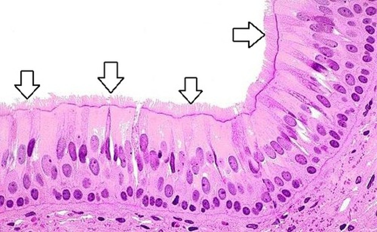
Pseudostratified Epithelia

Appear to have multiple layers due to difference in cell height, but are only 1 layer

- Trachea/Bronchioles

- Male Reproductive Tract

<p>Appear to have multiple layers due to difference in cell height, but are only 1 layer</p><p>- Trachea/Bronchioles</p><p>- Male Reproductive Tract</p>
72
New cards

PCCE

Pseudostratified Ciliated Columnar Epithelium

<p>Pseudostratified Ciliated Columnar Epithelium</p>
73
New cards

Stratified Squamous Epithelia

Important for protection against mechanical stress

- Skin

- Oral Cavity/Esophagus

- Vagina

<p>Important for protection against mechanical stress</p><p>- Skin</p><p>- Oral Cavity/Esophagus</p><p>- Vagina</p>
74
New cards

Stratified Squamous Epithelia can be ____ or ____.

keratinized/non-keratinized

75
New cards

Stratified Cuboidal Epithelia

Important for secretion

- Sweat Ducts

- Mammary Ducts

<p>Important for secretion</p><p>- Sweat Ducts</p><p>- Mammary Ducts</p>
76
New cards

Stratified Columnar Epithelia

Important for secretion

- Exocrine Glands

<p>Important for secretion</p><p>- Exocrine Glands</p>
77
New cards

Transitional Epithelia

Cell Shape and Layering varies with stretching; Can appear squamous or cuboidal

<p>Cell Shape and Layering varies with stretching; Can appear squamous or cuboidal</p>
78
New cards

Transitional Epithelia is found only in the ____.

urinary tract

79
New cards

What are the 2 types of Epithelial Glands?

- Exocrine

- Endocrine

80
New cards

What are the 2 portions of a Gland?

- Duct

- Secretory

81
New cards

Exocrine Gland Development

Invagination of Epithelial Cells

82
New cards

Endocrine Gland Development

(1) Invagination of Epithelial Cells

(2) Duct "disappears" and the secretory portion is isolated from surface layer

(3) Epithelial Cells become vascularized and secrete products into the blood

83
New cards

All glands are derived from and are lined with ____.

epithelia

84
New cards

Exocrine Glands are based on what 3 Characteristics?

- Structure

- Secretory Products

- Mechanism of Secretion

85
New cards

Exocrine Gland structure is typically either ____ or ____.

tubular/acinar

86
New cards

Tubular Exocrine Gland

knowt flashcard image
87
New cards

Acinar Exocrine Gland

knowt flashcard image
88
New cards

Exocrine Glands products can be considered ____ or ____.

serous/mucous

89
New cards

Epithelium Renewal

Occurs at different rates depending on the tissue

- Division occurs at the basal lamina

- Capable of rapid repair

90
New cards

Carcinoma

Malignant tumor that occurs in epithelial tissue

91
New cards

Adenocarcinoma

Malignant tumor that originates from glandular epithelial tissue

92
New cards

Collagen IX and XII are proteins important in basement membrane binding (T/F)

True

Explore top flashcards

SCI | QUARTER 4
Updated 850d ago
flashcards Flashcards (56)
PhysD2 Ex1
Updated 614d ago
flashcards Flashcards (220)
Skeleton System
Updated 1028d ago
flashcards Flashcards (120)
AP2 Practical #2
Updated 531d ago
flashcards Flashcards (305)
voorvoegsels
Updated 11d ago
flashcards Flashcards (47)
SCI | QUARTER 4
Updated 850d ago
flashcards Flashcards (56)
PhysD2 Ex1
Updated 614d ago
flashcards Flashcards (220)
Skeleton System
Updated 1028d ago
flashcards Flashcards (120)
AP2 Practical #2
Updated 531d ago
flashcards Flashcards (305)
voorvoegsels
Updated 11d ago
flashcards Flashcards (47)