1/21
Looks like no tags are added yet.
Name | Mastery | Learn | Test | Matching | Spaced | Call with Kai |
|---|
No analytics yet
Send a link to your students to track their progress
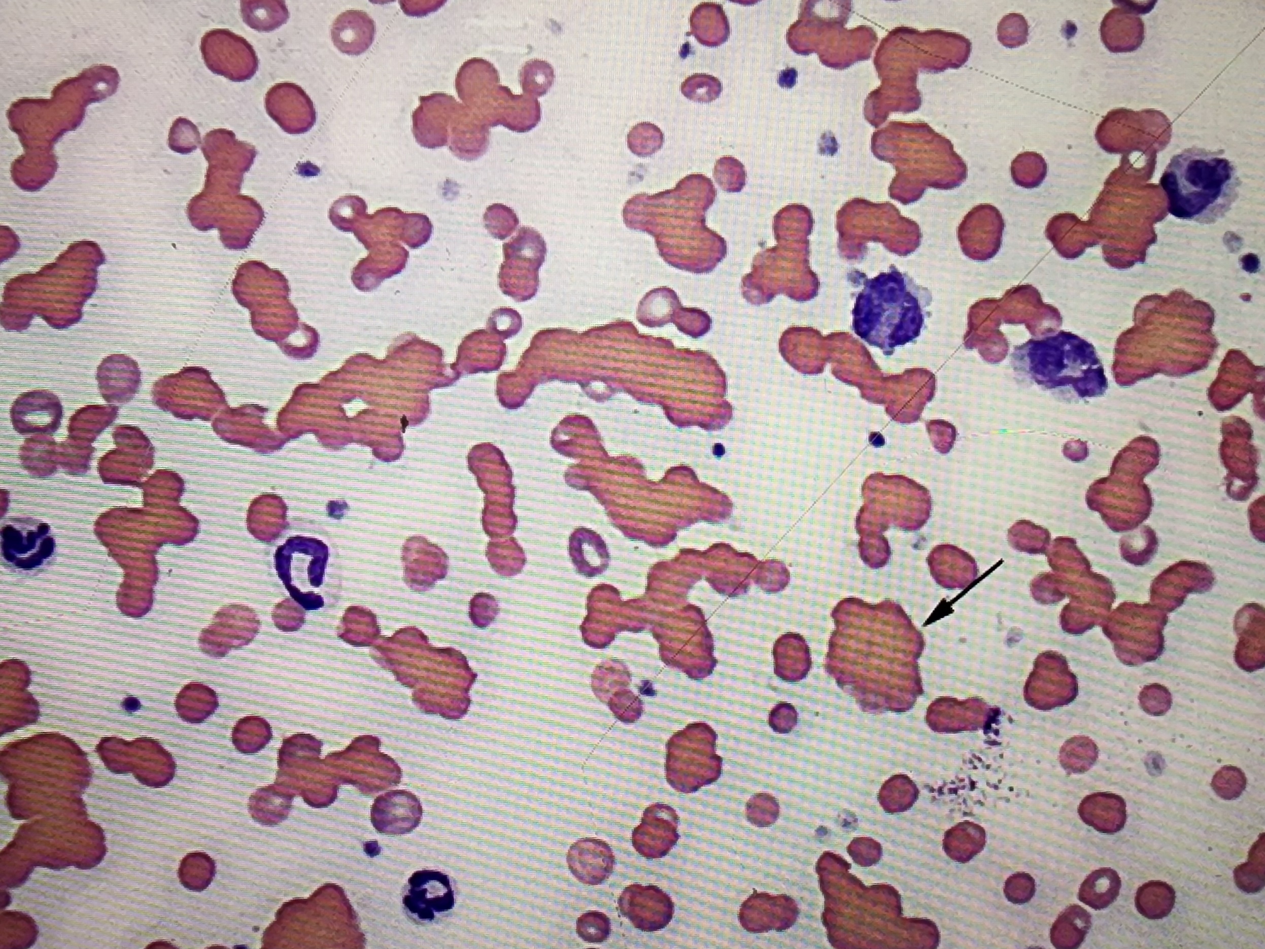
Rouleaux
coin stacking

Autoagglutination
clumping

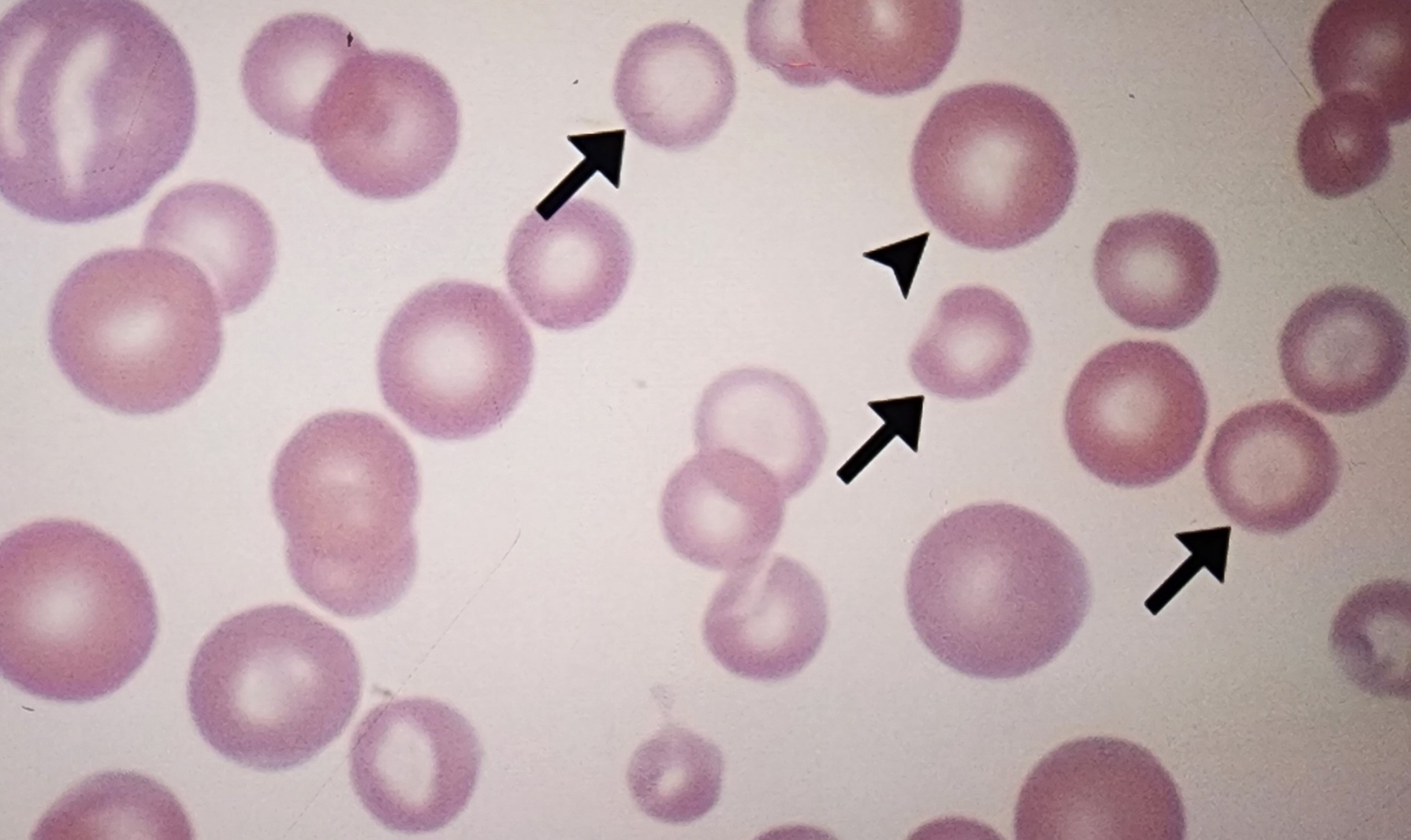
Anisocytosis
Variation in size of RBCs
Macrocytes

Microcytes

Polychromasia
RBCs with no central palor and bigger

Hypochromasia
RBCs with less color

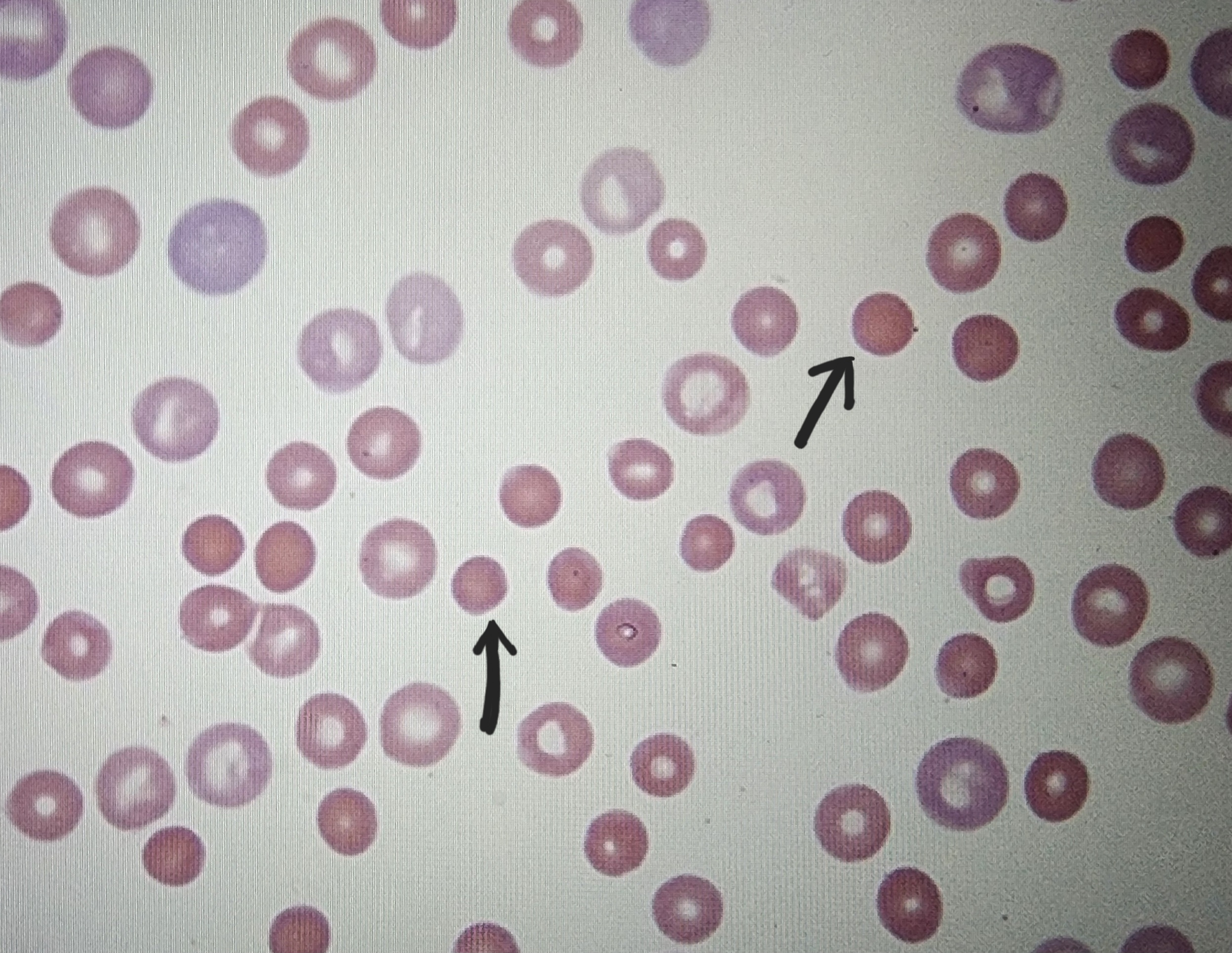
Hyperchromatophil
darkly stained and smaller
Spherocyte
has hyperchromatophil

Poikilocytes
generic term for any abnormalities

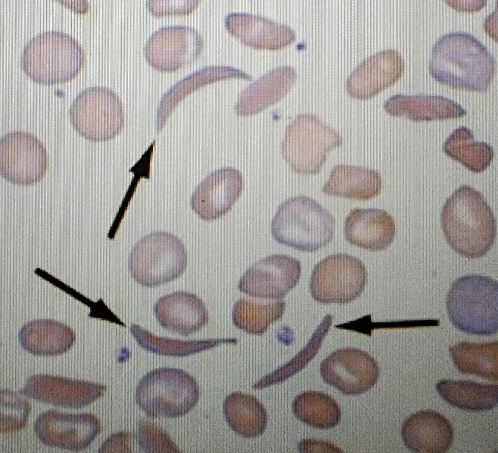
Schistocytes
Damaged/torn often crescent shaped

Acanthocytes
Spur cell

Echinocytes
Burr cells

Drepanocytes
Sickle shaped when blood is exposed to air

Keratocytes
Helmet, Blister, or Bite cells

Codocytes
Target cells

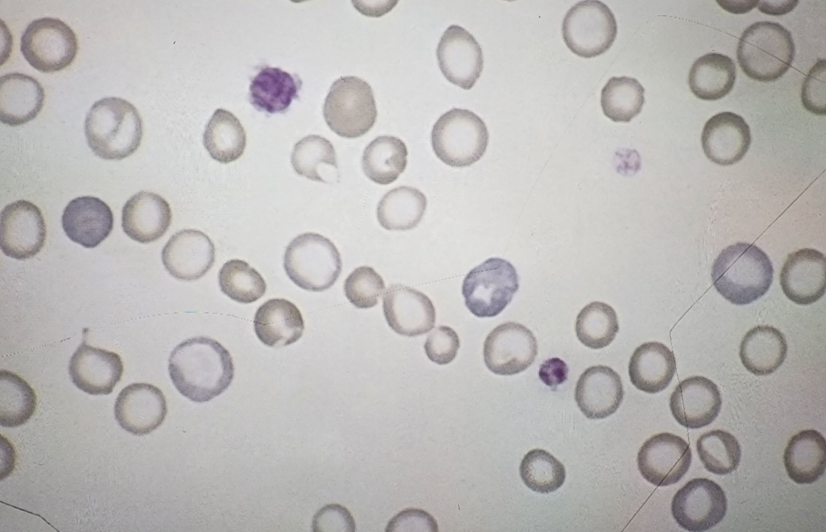
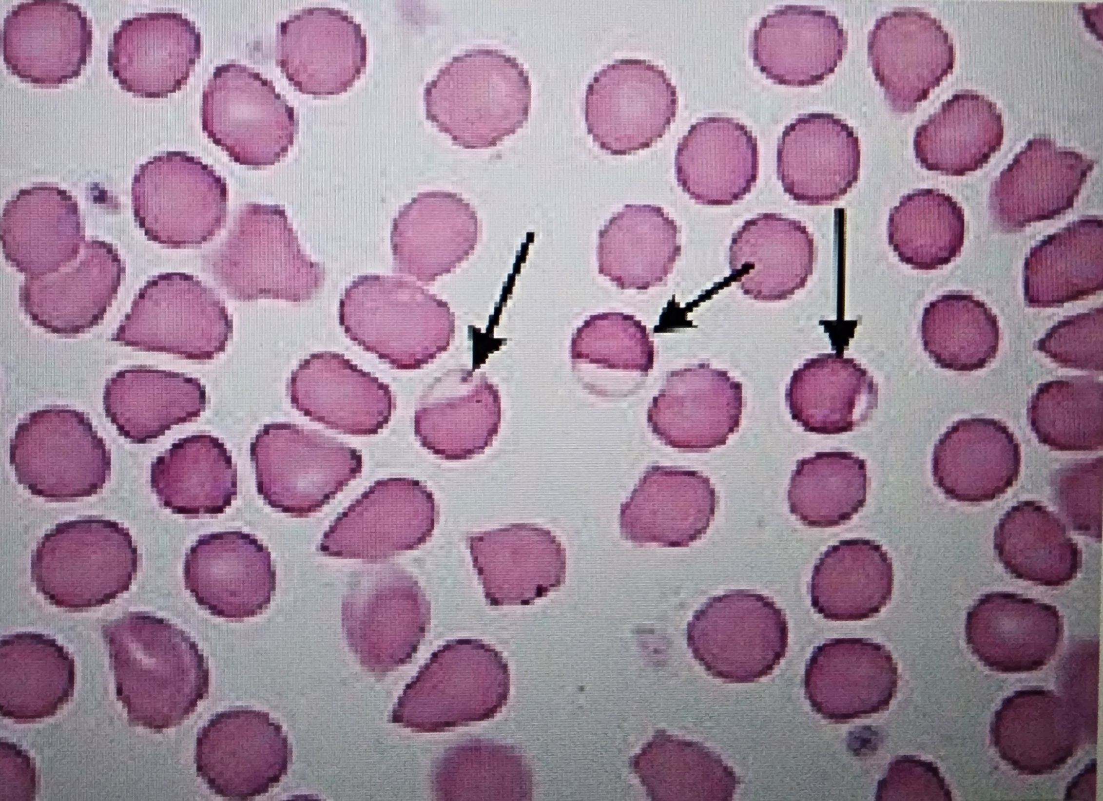
Stomatocytes
Slit-like pale region in the center

Leptocytes
Increased membrane surface area with more or less hemoglobin. Codocytes, Stomatocytes, and rarely Knizocytes
Elliptocytes
Ovalocytes

Eccentrocytes
fused membrane on 1 side that looks empty

Dacryocytes
Tear shaped

Knizocytes
Rare
