Histology of the male/female reproductive system

0.0(0)
studied byStudied by 0 people
0.0(0)
full-widthCall with Kai
GameKnowt Play
New
learnLearn
examPractice Test
spaced repetitionSpaced Repetition
heart puzzleMatch
flashcardsFlashcards
Card Sorting

1/20

encourage image

There's no tags or description

Looks like no tags are added yet.

Study Analytics
Name
Mastery
Learn
Test
Matching
Spaced

No study sessions yet.

21 Terms

1
New cards

Ovary

What structure in the female reproductive is this slide?

<p>What structure in the female reproductive is this slide?</p>
2
New cards

Primary Follicles

As follicular cells mature, they form these that pictured here...?

<p>As follicular cells mature, they form these that pictured here...?</p>
3
New cards

Secondary Follicle

As primary follicles continue to mature, they form these structures that are pictured here?

<p>As primary follicles continue to mature, they form these structures that are pictured here?</p>
4
New cards

Tertiary Follicle

Every 28 days, a secondary follicle develops into one of these, which surrounds a secondary oocyte..?

<p>Every 28 days, a secondary follicle develops into one of these, which surrounds a secondary oocyte..?</p>
5
New cards

Granulosa cells

What smaller cells that form a layer around the primary follicles are pictured above?

<p>What smaller cells that form a layer around the primary follicles are pictured above?</p>
6
New cards

Antrum

Number four pictured above...central cavity that appears in a secondary follicle that is filled with fluid..?

<p>Number four pictured above...central cavity that appears in a secondary follicle that is filled with fluid..?</p>
7
New cards

Oocyte

Number 5 pictured above... A cell in an ovary that may undergo meiosis division..?

<p>Number 5 pictured above... A cell in an ovary that may undergo meiosis division..?</p>
8
New cards

Primary Oocyte

The surviving germ cells following oogonia develop into these , which begin the first meiotic division before birth...?

<p>The surviving germ cells following oogonia develop into these , which begin the first meiotic division before birth...?</p>
9
New cards

Secondary Oocyte

The larger of the two haploid cells following meiosis I form this structure pictured above which is the start of Meiosis II

<p>The larger of the two haploid cells following meiosis I form this structure pictured above which is the start of Meiosis II</p>
10
New cards

Corpus Luteum

After ovulation, the ruptured Graafian follicle differentiates to form this, which is a source of progesterone and estrogen..?

<p>After ovulation, the ruptured Graafian follicle differentiates to form this, which is a source of progesterone and estrogen..?</p>
11
New cards

Endometrium

This layer of the uterus lines the uterine cavity and is a highly vascular and glandular mucosa...?

<p>This layer of the uterus lines the uterine cavity and is a highly vascular and glandular mucosa...?</p>
12
New cards

Myometrium

The thickest layer of the wall of the uterus.

<p>The thickest layer of the wall of the uterus.</p>
13
New cards

Seminiferous tubule

The site of germination, maturation, and transportation of the sperm cells within the male testes

<p>The site of germination, maturation, and transportation of the sperm cells within the male testes</p>
14
New cards

Spermatogonia

A cell produced at an early stage in the formation of spermatozoa, formed in the wall of the seminiferous tubule.

<p>A cell produced at an early stage in the formation of spermatozoa, formed in the wall of the seminiferous tubule.</p>
15
New cards

Spermatozoa

The mature motile make sex cells that typically have a compact head and one or more long flagella for swimming.

<p>The mature motile make sex cells that typically have a compact head and one or more long flagella for swimming.</p>
16
New cards

Lumen

Cavity that is connected to the epididymis and Spermatic duct.

<p>Cavity that is connected to the epididymis and Spermatic duct.</p>
17
New cards

Nurse Cell

Also called a Sertoli cell, this is part of a seminiferous tubule and helps in the process of spermatogenesis.

<p>Also called a Sertoli cell, this is part of a seminiferous tubule and helps in the process of spermatogenesis.</p>
18
New cards

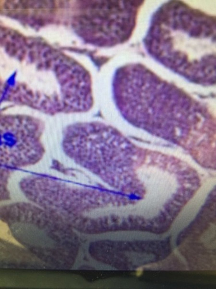
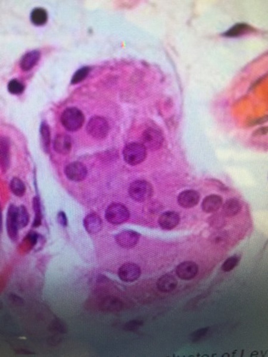
Interstitial cells

These are found adjacent to the seminiferous tubules in the testicle. They produce testosterone in the presence of luteinizing hormone (LH)

<p>These are found adjacent to the seminiferous tubules in the testicle. They produce testosterone in the presence of luteinizing hormone (LH)</p>
19
New cards

Ductus deferens

What histological structure is this?

<p>What histological structure is this?</p>
20
New cards

Lumen

What is the center structure of this image called?

<p>What is the center structure of this image called?</p>
21
New cards

Pseudostratified ciliated columnar epithelium

What kind of tissue surround the lumen of the ductus deferens?

<p>What kind of tissue surround the lumen of the ductus deferens?</p>

Explore top flashcards

Mktg 122 exam 3
Updated 529d ago
flashcards Flashcards (135)
Med Term
Updated 129d ago
flashcards Flashcards (132)
Chinese Notebook
Updated 1012d ago
flashcards Flashcards (475)
ap world unit 4
Updated 1051d ago
flashcards Flashcards (86)
Lecture 3
Updated 385d ago
flashcards Flashcards (49)
Geography Ch 5 and 6
Updated 741d ago
flashcards Flashcards (65)
Mktg 122 exam 3
Updated 529d ago
flashcards Flashcards (135)
Med Term
Updated 129d ago
flashcards Flashcards (132)
Chinese Notebook
Updated 1012d ago
flashcards Flashcards (475)
ap world unit 4
Updated 1051d ago
flashcards Flashcards (86)
Lecture 3
Updated 385d ago
flashcards Flashcards (49)
Geography Ch 5 and 6
Updated 741d ago
flashcards Flashcards (65)