1/102
Looks like no tags are added yet.
Name | Mastery | Learn | Test | Matching | Spaced | Call with Kai |
|---|
No study sessions yet.
Scheletro della testa - il cranio - 2 componenti - neuro e splancnocranio
Neurocranio o scatola cranica:
Porzione dorsale e superiore
Protegge l’encefalo (che comprende telencefalo, diencefalo, cervelletto e tronco encefalico circondati dalle meningi)
Ospita gli organi di senso della vista, udito ed equilibrio
Splancnocranio o viscerocranio (scheletro della faccia):
Porzione ventrale e inferiore
Accoglie porzioni iniziale del digerente (cavità orale e annessi) e respiratorio (cavità nasali e paranasali)
Ospita organi di senso del gusto e dell’olfatto.
Queste due porzioni hanno origini differenti, ma sono anatomicamente in continuità tra loro.
N.B. alcune ossa contribuiscono alla struttura di entrambe le componenti

Neurocranio - 8 ossa
Comprende 8 ossa:
4 impari e mediane:
Osso frontale
Osso etmoide (fa parte anche della struttura del viscerocranio)
Osso sfenoide
Osso occipitale (parte squamosa considerata piatta)
4 pari e simmetriche:
Due ossa parietali
Due ossa temporali
Cavità cranica:
Volta cranica (parte superiore del neurocranio):
Squama del Frontale
Squame dei Parietali
Squama dell’Occipitale
Squame dei Temporali
Grandi ali dello Sfenoide
Sono ossa piatte saldate da suture craniche
Base cranica (parte inferiore del neurocranio):
Corpo e processi dello Sfenoide
Lamina cribrosa e perpendicolare dell’Etmoide
Porzioni basali (inferiori, orizzontali) del Frontale
Parti petrose e mastoidee dei Temporali
Basi dell’Occipitale
Sono ossa più irregolari (sfenoide e temporali non sono completamente piatte)
N.B. Con squama si intende la porzione sottile, piatta ed estesa di alcune ossa del cranio

Viscerocranio - 14 ossa
Comprende 14 ossa:
6 pari:
Ossa Nasali
Ossa Lacrimali (nella parete della cavità orbitarla)
Ossa Mascellari
Ossa Zigomatiche
Ossa Palatine
Cornetti nasali inferiori (conche)
2 impari:
Vomere (fa parte del setto e separa la cavità nasale in 2)
Mandibola (unico osso mobile del cranio)
Veduta Laterale del Cranio
Si osserva:
Parte squamosa dell’Osso Temporale che si articola:
Anteriormente con la grande ala dello Sfenoide formando la Sutura Sfenosquamosa
Anteriormente con il Processo Temporale dell’Osso Zigomatico formando la Sutura Temporozigomatica
Superiormente con l’Osso Parietale formando la Sutura squamosa (o temporoparietale)
Parte mastoidea dell’Osso Temporale che si articola:
Posteriormente con l’Osso Occipitale formando la Sutura Occipitomastoidea
Posteriormente con l’Osso Parietale formando la Sutura Parietomastoidea

Veduta Posteriore del Cranio
Si osserva:
Osso occipitale che si articola:
Superiormente a ciascun Osso Parietale formando la Sutura Lambdoidea (andamento che ricorda la lettera greca lambda)
Il punto di intersezione tra sutura sagittale e lambdoidea è chiamata Lambda

Veduta Superiore
Si osservano le Ossa Parietali che:
Tra loro di uniscono formano la Sutura Sagittale
Anteriormente si articolano con l’Osso Frontale formando la Sutura Coronale.
Il punto di intersezione tra sutura sagittale e coronale è detto Bregma ed è situato ad un paio di cm anteriormente al Vertice (punto più alto della volta cranica)

Pterion
Regione di incontro a forma di H tra:
Osso Frontale
Osso Parietale
Osso Temporale
Grande ala dello Sfenoide
Clinicamente importante perché:
Parete ossea molto sottile al di sotto della quale decorre il ramo anteriore dell’arteria meningea media
Un trauma qui può causare ematoma epidurale.

Punti craniometrici
Sono punti in cui due o più ossa del cranio si incontrano.
Fungono da riferimenti ossei che usiamo per valutare il corretto sviluppo delle ossa craniche.
Vista Esterna Base Cranica
Nella Parte Anteriore (parte viscerocranica):
Arcata alveolare dei Mascellari
Processi palatini dei Mascellari + Lamine orizzontali delle Ossa Palatine che vanno a formare lo scheletro del Palato Duro (che separa cavità orale e nasale)
Nella Parte Posteriore (parte neurocranica):
Sfenoide
Vomere (costituisce parte posteriore setto nasale)
Ossa Temporali
Osso Occipitale con il forame magno (dove passa il midollo allungato o bulbo insieme a vasi e nervi)

Vista Interna Base Cranica
Fosse craniche
Distinguiamo tre zone che delimitano le 3 fosse craniche
Fossa Cranica Anteriore, delimitata da:
Osso Frontale (porzione orbitaria)
Lamina cribrosa dell’Etmoide
Piccole ali dello Sfenoide
Il suo pavimento rappresenta il tetto delle cavità nasali
Contiene i lobi frontali
Fossa Cranica Media, delimitata da:
Corpo e Grandi ali dello Sfenoide
Parte anteriore petrosa dei Temporali
Contiene i lobi temporali, ipofisi e lobi mediali degli emisferi cerebrali
Parte Posteriore:
Osso Occipitale
Parte posteriore petrosa dei Temporali
Clivo dello Sfenoide
Contiene il cervelletto e tronco encefalico
N.B.
Le fosse non sono sullo stesso piano:
l’anteriore è più alta, segue la media e poi la posteriore

Tuberosità
Tubercolo
Cos’è un processo in anatomia?
Fossa
Funzione di inserzione muscolare o legamentosa:
Tuberosità: sporgenza ossea piuttosto grande che diventa rugosa (es: tuberosità tibiale)
Tubercolo: sporgenza tondeggiante più piccola della precedente (es: tubercolo maggiore dell’omero)
Funzione di articolare con altro osso o come attacco muscolare:
Processo: Una sporgenza a punta, arrotondata, più o meno lunga o breve
Fossa: depressione che si sviluppa in superficie
Seno: spazio interno alle ossa (es: seni paranasali) o spazio tra due lamine della dura madre (es: seni venosi dura madre)
Setto: lamina o parete che separa in due parti anatomiche (es: setto nasale), può essere osseo, cartilagineo o fibroso
Ossificazione Neurocranio
Ossificazione membranosa:
Ossificazione diretta, cioè si sviluppa direttamente dal mesenchima senza passare dalla cartilagine
Vale per ossa piatte come quello frontale, parietale e la porzione squamosa dell’occipitale e temporale
Ossificazione endocondrale:
Ossificazione indiretta, cioè si forma prima la cartilagine che poi viene sostituita da tessuto osseo
Tipica delle ossa della base cranica come lo sfenoide, etmoide e porzioni basali dell’occipitale e temporale.
Quindi occipitale e temporale hanno sia ossificazione diretta che indiretta.
Volta Cranica (calvaria o calotta cranica) Superficie Interna
Superficie Interna:
Anteriormente troviamo la Cresta Frontale (sull’osso frontale) e sotto il Solco del Seno Sagittale Superiore che percorre la linea mediana della calotta:
Questo solco ospita il seno sagittale superiore, seno venoso della dura madre
A seguire abbiamo le Ossa Parietali dove evidenziamo altri solchi:
Essi sono impressi dai rami delle arterie meningee (soprattutto quella media)
L’arteria meningea media, che decorre tra lamina periostale della dura madre e osso, è clinicamente importante soprattutto a livello dello pterion (che come abbiamo detto prima è una zona sottile e fragile) perché in caso di frattura e poi lacerazione dell’arteria, si crea un ematoma epidurale (o extradurale) che scolla la dura madre dall’osso cranico.
Questo causa aumento della pressione intracranica potenzialmente fatale con danneggiamento dell’encefalo

Meningi Encefaliche
Rivestono l’encefalo (quelle che rivestono il midollo spinale si chiamano meningi spinali) e sono:
Dura madre, strato più esterno che presenta due lamine:
Foglietto Periostale più esterno aderente alle ossa costituendo il periostio (rivestimento connettivale delle ossa)
Foglietto meningeo più interno dove forma delle pieghe
I due strati aderiscono tranne nelle sedi dei seni venosi durali, cioè canali rivestiti da endotelio che raccolgono sangue venoso.
Aracnoide: membrana intermedia
Pia madre: aderente all’encefalo.
Falce cerebrale (foglietto meningeo della dura madre)
Una delle pieghe che forma il foglietto meningeo è la Falce Cerebrale:
Si inserisce sulla cresta frontale interna e crista galli dell’etmoide
Lungo la sua linea decorre il seno sagittale superiore.
Essa separa i due emisferi e limita i movimenti dell’encefalo all’interno della cavità cranica

Fossette Granulari (fovee granulari dell’aracnoide)
Ai lati del Solco del Seno Sagittale Superiore troviamo piccole depressioni chiamate Fossette Granulari
Esse sono estroflessioni della membrana aracnoidea
Servono per il riassorbimento del liquor che circola nello spazio subaracnoideo tra aracnoide e pia madre:
fungono come “valvole di scarico”, cioè prendono il liquor dallo spazio subaracnoideo e lo riversano nei seni venosi della dura madre per regolare la pressione intracranica
Fontanelle
Alla nascita, le ossa della volta sono separate dalle Fontanelle Craniche:
Aree di tessuto connettivo fibroso di origine mesenchimale
Servono per garantire flessibilità al cranio durante il parto
Poi ossificheranno con la crescita del bambino
Principali fontanelle:
Fontanella anteriore Bregmatica:
Forma a diamante (losanga)
Sede del futuro Bregma (tra frontale e parietali)
Chiuderà verso il 18 mese
Fontanella posteriore Lambdica:
Forma triangolare
Sede del futuro Lambda (tra parietali e occipitale)
Chiuderà tra 3-6 mese
Fontanelle anterolaterali Sfenoidali:
Sede del futuro Pterion (tra frontale, sfenoide, parietale e temporale)
Chiude entro 3 mesi
Fontanelle Posterolaterali Mastoidee:
Sede del futuro Asterion (tra parietale, occipitale e temporale)
Chiude entro i primi 2-3 mesi
Importanza clinica:
Palpare le fontanelle ci permette di valutare lo stato di crescita delle ossa craniche
Una fontanella depressa è indice di grave disidratazione
Al contrario, una fontanella prominente e tesa indica un aumento della pressione intracranica
Vengono valutate principalmente la fontanella anteriore e posteriore, mentre quelle sfenoidali e mastoidee no perché ricoperte da muscoli come quello temporale e perché chiudono precocemente.
Patologie:
La Craniostenosi è la chiusura precoce delle fontanelle o suture che causa:
Errato sviluppo cranio
Deformità craniche
Ad esempio, la Scafocefalia è dovuta alla ossificazione precoce della sutura sagittale:
Il cranio diventa stretto al centro e si allunga in senso antro-posteriore.

L’ossificazione dell’Osso frontale
Si sviluppa attraverso due centri di ossificazione diversi, infatti, nei primi anni di vita l’osso è diviso in due metà separate da una sutura mediana detta Metopica.
Questa sutura in seguito ad ossificazione tenderà a scomparire intorno agli 8 anni di età (in alcuni adulti può persistere)
Clinicamente importante per non confonderla con una frattura.
Osso Frontale - Faccia Esterna
E’ un osso unico, quindi impari:
La Squama dell’Osso Frontale è la parte ampia e piatta che si forma per ossificazione membranosa
Le Bozze Frontali sono due rilievi superiormente al margine orbitario e rappresentano i punti di partenza dei centri si ossificazione (nell’immagine è ancora visibile la sutura metopica)
Le Arcate Sopraccigliari sono due rilievi arcuati sopra le orbite che si estendono dalla gabella fino al processo zigomatico
La Glabella è una piccola superficie liscia leggermente depressa localizzata tra le due arcate sopraccigliari
Margine orbitario superiore dove possiamo trovare dei piccoli fori o taglietti (incisure):
Foro o incisura Sopraorbitaria: più laterale ed esterna, generalmente è un foro, in altri è un incisura (taglietto).
Queste intaccature permettono il passaggio ai rami sopraorbitari (rami vascolari dell’arteria oftalmica e nervosi del nervo frontale che viene dal nervo oftalmico)
Foro o incisura Frontale (o sovratrocleare): più mediale e vicina al naso, generalmente è un incisura, più raramente un foro.
Permette anch’esso il passaggio di rami omonimi (rami sovratrocleari)
Faccia Temporale: si trova lungo la squama dell’osso frontale, da cui evidenziamo:
La Linea Temporale che sale all’indietro dividendosi in una linea superiore e una inferiore (queste linee continuano sul parietale).
Queste linee vanno a delimitare una depressione chiamate Fossa Temporale che accoglie il muscolo temporale e la sua fascia
Processo Zigomatico del Frontale: sporgenza dell’osso frontale che si articola con il processo frontale dell’osso zigomatico (si articolano tramite la sutura frontozigomatica)

Osso Frontale - Faccia Interna
Cresta Frontale, una cresta ossea che decorre lungo il piano sagittale:
In basso termina nel Foro Cieco
In alto continua con il Solco del Seno Sagittale Superiore
Il margine anteriore della Falce Cerebrale, che accoglie questo seno, va ad inserirsi all’interno della cresta frontale
Il Solco Del Seno Sagittale Superiore è il risultato del seno sagittale superiore che si inserisce tra i due foglietti della dura sviluppando questo solco
Foro Cieco, può essere chiuso o aperto. Quando aperto è attraversato da una vena emissaria presente solo nell’1% degli adulti, ma più frequente nei bambini. Questa vena connette il seno sagittale superiore con le vene della faccia e naso:
Importanza clinica della vena emissaria: siccome le vene superficiali della faccia non hanno valvole, il sangue può invertire direzione e una infezione cutanea/nasale può diffondere così verso le vene intracraniche, causando infiammazioni importanti fino alla meningite

Osso Frontale - Parte Nasale e Orbitaria
Parte Nasale:
Anteriormente termina con la Spina Nasale Anteriore (presente nell’uomo non nei primati)
Questa parte è Pneumatica: contiene Cellette, cioè piccole aree scavate nell’osso piene d’aria che si continuano con nell’Etmoide contribuendo alla formazione dei seni paranasali (anche la squama del frontale è pneumatica con i seni frontali, cavità paranasali ripiene d’aria)
Incisura etmoidale: è quest’ampia incisura che accoglie la lamina cribrosa dell’etmoide con la quale si articola
Parte Orbitaria:
Lateralmente è presente la Fossa Della Ghiandola Lacrimale che accoglie appunto la ghiandola lacrimale. Da non confondere con la Fossa del Sacco Lacrimale che troviamo nell’Osso Lacrimale. Il sacco lacrimale raccoglie le lacrime e le convoglia nella cavità nasale attraverso il dotto nasolacrimale
Medialmente è presente la Fovea o Fossa Trocleale, piccola depressione che accoglie la troclea del Muscolo Obliquo Superiore dell’Occhio:
questo muscolo, che origina posteriormente nell’orbita, arrivando alla troclea, cambia direzione con un angolo quasi retto, e si inserisce nel bulbo oculare
La troclea funge da puleggia ed è un sistema importante per permettere i movimenti complessi del bulbo

Osso Parietale - Faccia Esterna
Forma quadrilatera, pari e simmetrica:
Presenta le due linee temporali che continuano dall’Osso Frontale:
Quella superiore rappresenta la linea si inserzione della Fascia Temporale che ricopre il muscolo temporale
Quella inferiore delimita la Fossa Temporale dove origina il muscolo temporale
Eminenza Parietale: punto più sporgente dell’osso corrispondente al centro di ossificazione primario

Suture Del Parietale
Margine Frontale, con l’Osso Frontale → Sutura Coronale
Margine Sagittale, con il Parietale Controlaterale → Sutura Sagittale
Margine Squamoso, con la Squama del Temporale → Sutura Squamosa
Margine Mastoideo, con la Parte Mastoidea dell’Osso Frontale → Sutura Parietomastoidea
Margine Occipitale, con l’Osso Occipitale → Sutura Lambdoidea
Margine Sfenoidale, con l’Osso Sfenoide → Sutura Sfenoparietale

Osso Occipitale - Forame Magno
Forame magno o grande foro occipitale:
E’ la caratteristica principale di questo osso, si trova al centro della sua porzione basale
Collega la cavità cranica con il canale vertebrale, cioè è il punto di passaggio tra encefalo e midollo spinale
Strutture che lo attraversano:
Midollo Spinale, che risalendo prende nome di bulbo o midollo allungato, prima parte del tronco encefalico
Meningi spinali che si continuano con quelle encefaliche, però solo il foglietto meningeo è continuo tra dura madre spinale ed encefalica, quello periostale è si riflette sulle ossa del neurocranio
Nervo Accessorio (XI): le sue radici risalgono attraverso il foro ed escono dal Forame Giugulare insieme al Glossofaringeo e Vago
Arterie Vertebrali che si uniscono a formare l’arteria basilare (importante per la circolazione cerebrale posteriore)

Osso Occipitale - Parti e condili
E’ un osso impari e mediano, parte posteriore e inferiore del cranio, presenta diversa parti:
Parte Basilare (basioccipite): che si articola con il corpo dello Sfenoide
Parti Laterali: contengono i Condili Occipitali, articolati con l’atlante (C1)
Parte Squamosa: la più ampia, con rilievi e sporgenze.
Condili Occipitali:
Due sporgenze ovali rivestite di cartilagine ialina
Con l’atlante formano l’articolazione atlanto-occipitale, consentendo i movimenti flessori ed estensori della testa
Sono articolazioni sinoviali
Strutture associate ai Condili:
Canale del Nervo Ipoglosso (XII): passa alla base del condilo occipitale, per innervare i muscoli della lingua
Fossa Condilare: posteriormente ai condili, piccola depressione dovute al movimento dell’atlante
Canale Condilare: origina dalla fossa condilare per il passaggio ad una vena emissaria condiloidea che va ad unire un seno venoso intracranico (seno sigmoideo) con vene extracraniche.

Osso Occipitale - Faccia Esterna
Faccia Esterna della parte squamosa:
Protuberanza occipitale esterna:
è palpabile ed è usata come punto craniometrico detta Inion.
da qui si irradiano le linee nucali superiore e suprema
dà attacco alla parte discendente del muscolo trapezio
Cresta occipitale esterna:
si estende inferiormente dalla protuberanza fino al forame magno
dà inserzione al legamento nucale
Linee Nucali:
Superiore:
Si estende dalla protuberanza occipitale esterna
Le sue Inserzioni sono:
Porzione mediale del trapezio
Muscolo semispinale della testa
Sternocleidomastoideo
Suprema:
Talvolta presente
Sopra quella superiore
Inserzione per muscoli occipito-frontali quando presente, altrimenti questi originano dalla linea superiore
Inferiore:
Si estende dalla cresta occipitale esterna
Le sue inserzioni sono:
Muscoli posteriori della testa come il grande e piccolo retto

Osso Occipitale - Faccia Interna
Faccia interna della parte squamosa:
Protuberanza Occipitale Interna, punto d’incontro tra:
Solco del Seno Sagittale Superiore
Solchi dei Seni Trasversi
Cresta Occipitale Interna
(i solchi corrispondono ai seni venosi della dura madre)
Cresta Occipitale Interna:
Dalla protuberanza al forame
Serve da inserzione ad una piega della dura madre, la Falce Cerebellare, e separa i due emisferi del cervelletto.
Ai lati troviamo le Fosse Cerebellari che accolgono il cervelletto.
Superiormente alla squama occipitale, di forma triangolare, troviamo le Fosse Cerebrali che accoglie i lobi occipitali del telencefalo:
Al di sotto, lungo il solco trasverso, si inserisce il tentorio del cervelletto (piega della dura madre) che separa il cervelletto dai lobi occipitali.

Osso Temporale - Parti
Parti dell’osso temporale:
Parte squamosa: porzione superiore e laterale, sottile e piatta, comprende il processo zigomatico e la fossa mandibolare
Parte timpanica: si trova intorno al Meato Acustico Esterno e contribuisce a formare le pareti del condotto acustico esterno e costituisce una sorta di guaina attorno al processo stiloideo (sporgenza che funge da inserzione per muscoli e legamenti della lingua e faringe)
Parte petrosa: porzione robusta e interna a forma di piramide, contiene strutture dell’orecchio medio e interno → presenta il Meato Acustico Interno da cui passa il nervo facciale con il suo intermedio e il nervo vestibolo cocleare (il facciale poi attraversa il canale facciale e fuoriesce tramite il foro stilo-mastoideo)
Parte Mastoidea: porzione inferiore e posteriore → presenta il Processo Mastoideo che è una sporgenza palpabile dietro l’orecchio che però deriva dalla parte petrosa, contiene cavità piene d’aria (cellule mastoidee) che comunicano con la cavità dell’orecchio medio
Eminenza arcuata:
Parte petrosa (sulla superficie superiore)
Rilievo creato dai canali semicircolari dell’orecchio interno
Troviamo poi a seguire piccoli fori chiamati iati del grande e del piccolo nervo petroso:
Questi due nervi fuoriescono dalla piramide (parte petrosa) e scivolano lungo i rispettivi solchi.
Il Nervo grande petroso si impegna nel canale pterigoideo per entrare nella fossa pterigopalatina
Ai lati troviamo Tegmen Timpani → separa fossa cranica media da orecchio interno.
E troviamo Solco del Seno Petroso Superiore → passa il seno petroso superiore
Canale Carotideo:
All’apice della piramide (parte petrosa), la carotide interna attraversa il canale carotideo ed emerge sopra il forame lacero (insieme allo sfenoide, riempito di cartilagine)
Fossa Giugulare:
Sulla faccia inferiore della parte petrosa
Insieme all’osso occipitale forma il Forame Giugulare dove passano:
Nervo Glossofaringeo, Vago e Accessorio
Bulbo della vena giugulare interna
L’Osso Temporale accoglie le strutture dell’orecchio.

Osso Sfenoide
Caratteristiche:
Osso Impari, simmetrico e mediano
Ossificazione endocondrale ad eccetto della lamina mediale dei processi pterigoidei
Si trova alla base del cranio
Forma a pipistrello
Parte centrale chiamata corpo dai cui emergono le piccole e grandi ali ed i processi pterigoidei

Osso Sfenoide - Visione Anteriore
Corpo:
Contiene una struttura pneumatica rappresentata dai seni sfenoidali (contengono aria) che si aprono in avanti nella parte postero superiore della cavità nasale chiamata recesso sfeno-etmoidale.
Piccole Ali:
Si estendono lateralmente e superiormente dal corpo
Contengono il foro/canale ottico dove passano il nervo ottico e arteria oftalmica che mettono in comunicazione cavità cranica con la cavità orbitaria.
Grandi Ali:
Si estendono infero lateralmente dal corpo
Insieme alle piccole ali e il corpo delimitano la fessura orbitaria superiore che mette in comunicazione anch’esso la fossa cranica media con la cavità orbitaria.
Processi Pterigoidei:
Inferiormente dal corpo
Costituiti da due lamine, mediale e laterale che si separano distalmente
Alla base presenta il canale pterigoideo che è attraversato dal nervo del canale pterigoideo e da rami dell’arteria carotide esterna che raggiunge la fossa pterigopalatina.

Osso Sfenoide - Visione Anteriore (2)
Cresta Sfenoidale:
Sporgenza lineare a livello del Corpo
Funzione di articolarsi con il vomere e con la lamina perpendicolare dell’etmoide
Conca Sfenoidale:
Piccola sporgenza che appartiene alla parete anteriore del seno sfenoidale

Osso Sfenoide - Visione Superiore
Giogo Sfenoidale:
Si trova al livello del corpo
Area liscia che unisce le due piccole ali
Limbo Sfenoidale:
Sporgenza posteriore del giogo
Situato anteriormente al solco chiasmatico
Solco Chiasmatico (o prechiasmatico):
Depressione situata sul corpo dello sfenoide
Detto “prechiasmatico” perché il chiasma ottico poggia leggermente dietro questa superficie
Chiasma Ottico:
Punto di incrocio dei nervi ottici che entrano nella fossa cranica media attraverso i fori ottici
Si ha un incrocio parziale, alcune fibre incrociano e altre rimangono dallo stesso lato
Dopo il chiasma, non si parla più di nervi ottici, ma di tratti ottici
Sella Turcica, struttura che accoglie l’ipofisi, diverse porzioni:
Tubercolo della sella:
Cresta ossea orizzontale sotto il solco prechiasmatico
Fossetta Ipofisaria:
Dopo il tubercolo della sella
Depressione centrale
Accoglie l’ipofisi
Dorso della Sella:
Segue ancora sul margine posteriore
In continuità presenta il Clivo: superficie ossea inclinata che a sua volta è in continuità con l’occipitale.
Processi Clinoidei (sporgenze ossee):
Anteriori: all’estremità delle piccole ali
Posteriori: alle estremità del dorso della sella
Medi: alle estremità del tubercolo della sella (non sempre presenti)
Insieme delimitano la regione ipofisaria e fungono da inserzione per la dura madre.
Solco Carotideo:
Ai lati del corpo
Decorre l’arteria carotide interna, che quando penetra attraverso il canale carotideo dell’osso temporale, si inserisce qui.
Alla sua estremità inferiore presenta la Lingua Sfenoidale che delimita la regione dove si aprono i quattro fori (ottico, rotondo, ovale, spinoso)
(Le grandi ali terminano con la Spina Sfenoidale)

Processo Pterigoideo
Caratteristiche:
Sporge inferiormente dal corpo e si divide in due lamine (mediale e laterale)
La mediale termina con l’uncino pterigoideo, una sporgenza che funge da puleggia (cambio direzione) al muscolo tensore del velo palatatino che origina dalla Fossa Scafoidea presente superiormente la fossa pterigoidea
Dalla laterale, più robusta, originano il muscolo pterigoideo mediale e laterale (muscoli masticatori) → quello mediale origina dalla Fossa Pterigoidea dove si uniscono le due lamine
Incisura Pterigoidea: indica lo spazio tra le due lamine quando sono separate

Superfici Grande Ala dello Sfenoide
1- Faccia Cerebrale (endocranica) → parte del pavimento della fossa cranica media (è dove si aprono i fori)
2- Faccia Orbitaria (extracranica) → fa parte della parete della cavità orbitaria → è delimitata dalla fessura orbitaria superiore e inferiore
3- Faccia Temporale e Infratemporale (extracranica) → lateralmente e separate dalla cresta infratemporale → rispettivamente esposti alla fossa temporale e infratemporale
4- Faccia Mascellare → punto di incontro tra corpo dello sfenoide, grande ala e processo pterigoideo → è rivolta verso la fossa pterigopalatina

Processo Clinoideo Anteriore - Tentorio del Cervelletto - Diaframma della Sella
Il processo clinoideo anteriore abbiamo già detto che è una sporgenza ossea alle estremità delle piccole ali.
Essa fornisce inserzione a due strutture:
Tentorio del Cervelletto: grande plica della dura madre che separa i lobi occipitali dal cervelletto nella fossa cranica posteriore.
Le sue inserzioni sono:
Processi clinoidei anteriori
Processi clinoidei posteriori
Solco trasverso (osso occipitale)
E’ in continuità con la falce cerebrale che invece va a separare i due emisferi
Il tentorio possiede un margine libero che delimita l’incisura tentoriale, l’ampia finestra attraverso cui passa il tronco encefalico (che attraversa anche il forame magno dell’osso occipitale):
Questa porzione ha un’importante rilevanza clinica, infatti, in caso di aumento della pressione intracranica si può avere erniazione del contenuto sopratentoriale verso il basso, con conseguenze neurologiche.
Diaframma della Sella: lembo durale che chiude dall’alto la sella turcica, attraverso il quale da un foro passa il peduncolo ipofisario (l’infundibolo) che collega l’ipofisi all’ipotalamo

I Fori della Grande Ala dello Sfenoide
FORO ROTONDO:
Si apre nella Fossa Pterigopalatina
E’ attraversato dal Nervo mascellare (seconda branca del trigemino, V2)
Le sue ramificazioni sensitive si distribuiscono verso strutture del viscerocranio, faccia, cavità orbitaria.
FORO OVALE:
Si apre nella Fossa Infratemporale (così come lo spinoso)
E’ attraversato dal Nervo mandibolare (terza branca del trigemino, V3)
Conduce sia fibre sensitive (cute mandibolare, lingua, denti inferiori) che motorie per i muscoli della masticazione
FORO SPINOSO:
Più posterolateralmente rispetto il foro rotondo
E’ attraversato dal Nervo Meningeo Ricorrente (nervo spinoso, ramo del V3, che innerva la dura madre)
Inoltre, è attraversato dall’Arteria Meningea Media (ramo dell’arteria mascellare, cioè della carotide esterna) che entrando nel cranio attraverso questo foro, invia rami in particolare nella zona dello pterion.
Raramente, attraverso questo foro può passare anche il Nervo piccolo petroso (normalmente passa dall’ovale)
N.B. I rami del Trigemino:
V1 → ramo oftalmico → attraversa la fossa orbitaria superiore
V2 → ramo mascellare → attraversa il foro rotondo
V3 → ramo mandibolare → attraversa il foro ovale
Tutti questi orifizi sono allineati lungo il margine mediale della faccia cerebrale della grande ala dello sfenoide:
Prima la fessura orbitaria superiore
Poi il foro rotondo, poi quello ovale e infine quello spinoso
Allineati, formano un semicerchio.
Il mal di testa è tipico di irritazioni del trigemino.

Scalpo
Lo Scalpo → rivestimento del cranio:
5 strati
Diverso dal cuoio capelluto che riguarda solo i primi 3 strati superficiali (S-C-A)
Gli Strati:
S → Skin
pelle con capelli
C → Connettive tissue
tessuto connettivo denso sottocutaneo (ricco di vasi e nervi)
A → Aponeurotic Layer
indica la galea aponeurotica, un tendine piatto che unisce muscoli frontali e occipitali
L → Loose Connective tissue
tessuto connettivo lasso, piano di scorrimento che permette i movimenti dello scalpo
P → Pericranium
periostio che ricopre le ossa craniche
(O) → Osso
non fa parte dello scalpo, ma è subito sotto

Aponeurotic Layer e clinica 4o strato
Aponeurotic Layer:
Tessuto connettivo fibrillare denso costituito dalla Galea Aponeurotica
Indica un tendine esteso e appiattito:
in genere i tendini sono cordoncini che collegano un muscolo all’osso
in questo caso invece è una membrana piatta che va ad unire il muscolo occipito frontale.
Il muscolo occipito-frontale è costituito da due ventri muscolari uniti dalla galea aponeurotica:
Ventre occipitale → si inserisce sulla linea nucale superiore dell’osso occipitale
Ventre frontale → si inserisce nel sottocute dell’arcata sopracciliare
Il muscolo occipitofrontale fa parte dei muscoli mimici:
i muscoli mimici sono associati al viscerocranio (scheletro della faccia) e non si inseriscono solo sull’osso, ma anche nel sottocute e derma, permettendo così le espressioni facciali.
Clinica:
In caso di ferita dello scalpo che taglia i primi 3 strati, il sangue raggiunge lo strato lasso
Qui il sangue non può né scendere in profondità, né ai lati o dietro perché bloccato da inserzioni ossee
Anteriormente invece, non c’è forte adesione con l’osso, quindi il sangue/pus scivola in avanti fino a raggiungere le palpebre
Si evidenzia così l’occhio a panda, come se la ferita fosse sull’occhio e non sul cranio.
il 4o strato è quindi uno strato pericoloso perché e appunto uno strato di scorrimento (“morbido”, “sciolto”) dove gli accumuli di sangue e pus possono diffondere liberamente
Questo strato è vascolarizzato in particolare da alcune vene emissarie che mettono in comunicazione le vene dello scalpo con i seni venosi della dura madre e in questo modo le infezioni possono diffondere all’interno della cavità cranica.

Ossificazione Viscerocranio
Quasi tutte le ossa del viscerocranio si sviluppano per ossificazione membranosa (parliamo del cosiddetto desmocranio).
Solo un osso si sviluppa per ossificazione endocondrale: la conca nasale inferiore
Le tre conche nasali
Conca nasale superiore e media che fanno parte dell’Etmoide
formano le pareti laterali della cavità nasale
Conca nasale inferiore (non etmoidale)
osso separato che si articola con altre ossa adiacenti

Visione Frontale Viscerocranio
Suture, aperture e fori
Sutura Mediana verticale → unisce la mandibola (si fonde intorno il secondo anno di vita)
Sutura Internasale → tra le due ossa nasali
Sutura Frontonasale → tra osso frontale e ossa nasali
Nasion → punto di incontro tra sutura frontonasale e sutura internasale
Orbita → margine formato da 3 ossa → osso frontale (superiormente), zigomatico (inferolateralmente) e mascellare (inferomedialmente)
Apertura Nasale Anteriore (apertura piriforme, pera) → delimitato da due ossa → ossa nasali (superiormente) e ossa mascellari (inferolateralmente)
Spina Nasale Anteriore → piccola protuberanza che sporge inferiormente alle mascelle
Fori della Faccia → 3 allineati verticalmente dove passano i vasi e nervi omonimi (con lo stesso nome)
Foro Sopraorbitario → sull’osso frontale → ramo di V1, nervo oftalmico
Foro Infraorbitario → sull’osso mascellare → ramo di V2, nervo mascellare
Foro Mentale → sull’osso mandibolare → ramo di V3, nervo mandibolare
(sono rami delle tre branche del nervo trigemino, principale nervo sensitivo della faccia)

Osso Mascellare - Corpo e Processi
Dal corpo si dipartono 4 processi:
Processo Frontale → Superiormente → si articola con il processo nasale dell’Osso Frontale superiormente, medialmente con le Ossa Nasali, posteriormente con l’Osso Lacrimale e l’Etmoide → forma parte della parete laterale della cavità nasale e parte del margine orbitario
Processo Zigomatico → Lateralmente → si articola con il processo mascellare dell’Osso Zigomatico formando la sutura zigomatico-mascellare
Processo Palatino → Medialmente → forma la parte anteriore del palato duro, completato con le Ossa Palatine —> Sutura Intermascellare con il controlaterale, Sutura palatina trasversa con il palatino
Processo Alveolare → Inferiormente → contiene gli alveoli dentali dell’arcata superiore (8 denti)

Osso Mascellare - Superficie Mediale o Nasale
Contiene al suo interno una cavità pneumatica, il Seno Mascellare:
E’ la più grande cavità paranasale
Si apre nella cavità nasale (parete laterale) tramite un ampio orifizio chiamato Iato Mascellare (sul corpo), mentre superiormente abbiamo il pavimento dell’orbita e inferiormente abbiamo contatto con le radici dei molari superiori che possono sporgere nel seno
Nel cranio vivente l’orifizio è più stretto perché parzialmente chiuso da tessuti molli (mucosa e connettivo) e dalle ossa adiacenti (conca inferiore, etmoide, osso palatino). Questa condizione rende più difficile il drenaggio, infatti il seno mascellare è sede più frequente di sinusiti.
L’orifizio di drenaggio sbocca in alto nel meato medio della cavità nasale → ciò significa che il seno si riempie prima di potersi svuotare → quindi è un drenaggio contro gravità → ciò predispone a infezioni e ristagni
Altre Strutture Principali:
Solco Lacrimale (sul corpo) → che insieme all’osso lacrimale forma il canale naso-lacrimale dove le lacrime passano dall’occhio al meato nasale inferiore (motivo per cui con il pianto aumenta la secrezione nasale)
Cresta Concale (sul corpo) → si articola con la conca inferiore
Processo Frontale con la Cresta Lacrimale Anteriore e Cresta Etmoidale → si articola con osso lacrimale ed etmoide
Processo Palatino con la Cresta Nasale → linea mediana che accoglie il Vomere, contiene il canale incisivo che mette in comunicazione cavità nasale e orale, in corrispondenza del Foro Incisivo
Processo Alveolare → inferiormente con gli 8 alveoli dentali dei denti superiori

Osso Mascellare - Superficie Anteriore
Foro Infraorbitario →
Posteriormente inizia come solco infraorbitario sulla faccia orbitaria del mascellare
In questo canale decorre il Nervo Infraorbitario (ramo del mascellare V2) con vasi omonimi
All’uscita del foro innerva → cute palpebra inferiore, guancia, labbro superiore e ali del naso
Eminenza Canina → rilievo prodotto dalla radice del dente canino superiore
Fossa Canina → depressione subito sotto il foro infraorbitario
Fossa Incisiva → piccola depressione in corrispondenza degli incisivi
Incisura Nasale → che con la parte controlaterale e l’osso nasale forma l’apertura piriforme, che costituisce l’apertura anteriore della cavità nasale

Qual è l’entità morfologica di una fossa?
Una fossa è una depressione su una superficie ossea piatta, delimitata da rilievi circostanti.
Osso Mascellare - Superficie Orbitaria e Infratemporale
Superficie Orbitaria:
Pavimento dell’orbita
Solco Infraorbitario che continua con il Canale infraorbitario e finisce con il Foro Infraorbitario sulla superficie anteriore → passano nervo e vasi infraorbitari
Superficie Infratemporale:
Faccia posteriore che guarda sulla fossa infratemporale
Presenta Fori Alveolari Superiori per il passaggio di nervi e vasi alveolari superiori posteriori destinati a denti e gengive superiori (derivano da nervo e arteria mascellare)
Tuberosità Mascellare → rugosità ossea posta inferiormente → punto di inserzione per il muscolo pterigoideo mediale.

Osso Palatino - Lamine
Caratteristiche:
Osso Pari e irregolare
Localizzazione → parte posteriore del massiccio facciale
Forma a L:
Lamina perpendicolare:
porzione verticale
forma la parte posteriore della parete laterale della cavità nasale
situata avanti il processo pterigoideo dello sfenoide
ha rapporti con i cornetti nasali
Lamina orizzontale:
porzione orizzontale che si articola con il controlaterale formando la Sutura Palatina Mediana
insieme al processo palatino del mascellare, forma il palato duro (i palatini i 1/3 posteriori, i mascellari i 2/3 anteriori)
presenta lungo la linea mediana la Cresta Nasale (che continua dal mascellare) che accoglie inferiormente il Vomere

Osso Palatino - Processi
Processi Osso Palatino:
Superiormente la lamina perpendicolare si estendono due processi :
Processo Orbitario → che superiormente forma la parte più piccola e posteriore della cavità orbitaria
Processo Sfenoidale → medialmente che si articola con lo sfenoide
Incisura Sfenopalatina → tra questi due processi → apertura che viene chiusa dal corpo dello sfenoide trasformandosi nel Forame Sfenopalatino che mette in comunicazione la cavità nasale con la fossa pterigopalatina
Postero-inferiormente, alla giunzione tra lamina perpendicolare e orizzontale:
Processo Piramidale → si articola inferiormente con le lamine del processo pterigoideo dello Sfenoide e contribuisce a completare il pavimento della fossa pterigopalatina

Osso Etmoide - Lamine
Caratteristiche:
Osso impari e mediano
Localizzato alla base del cranio
Formato da:
Lamina Orizzontale (o Cribrosa):
forma il tetto della cavità nasale e il pavimento della fossa cranica anteriore
cribrosa perché presenta numerosi fori attraversati da filuzzi del nervo olfattivo che dal bulbo olfattivo vanno alla mucosa nasale. Unico caso in cui i neuroni si prolungano all’ambiente esterno per funzioni recettoriali (odori)
al centro di essa di solleva la Crista Galli → punto di inserzione per la falce cerebrale
Lamina Perpendicolare:
si prolunga in alto verso la cribrosa → partecipa a formare la crista galli
si prolunga in basso → costituisce parte superiore del setto nasale osseo dividendo le due cavità nasali
Labirinti Etmoidali
ai lati della lamina perpendicolare e in continuità con quella orizzontale
masse laterali che costituiscono la parete laterale della cavità nasale e partecipano a formare la parete mediale dell’orbita (attraverso la lamina papiracea, molto sottile)
al loro interno contengono cellule etmoidali, delle cavità aeree

Osso Etmoide → Labirinto Etmoidale → Conche Nasali
Dalla parete mediale del labirinto etmoidale → 2 conche ossee:
Conca Nasale Superiore → posterosuperiormente
Conca Nasale Media → anteroinferiormente (è la più voluminosa)
La Conca Nasale Inferiore, invece, è un osso indipendente → si articola con il mascellare (contribuisce a ridurre l’ampiezza dello iato mascellare), palatino, lacrimale ed etmoide
Queste Conche dividono la cavità nasale in canali di passaggio chiamati meati:
Meato Nasale Superiore → sotto la conca superiore → sboccano cellule etmoidali
Meato Nasale Medio → sotto la conca media → qui sboccano i seni frontali, mascellari e alcune cellule etmoidali
Meato Nasale Inferiore → sotto la conca inferiore → qui sbocca il dotto nasolacrimale
In aggiunta:
Meato nasale supremo → piccolo spazio sopra la conca superiore
Recesso SfenoEtmoidale → posterosuperiormente, riceve l’apertura del seno sfenoidale

Osso Etmoide - Processo Uncinato e Bolla Etmoidale - Fori
Processo Uncinato:
Sporge lateroinferiormente dal labirinto etmoidale
Limita lo iato mascellare e contribuisce a formare il meato medio
Bolla Etmoidale:
Cellula etmoidale più grande e sporgente
E’ nascosta dalla conca nasale media
Insieme al processo uncinato, delimita lo iato semilunare (spazio a semiluna) → quando chiuso da altre ossa abbiamo l’infundibolo → canale che collega iato semilunare al canale frontonasale che mette in comunicazione cavità nasale con il seno frontale
Fori Etmoide (tra frontale e etmoide):
Foro Etmoidale Anteriore e Posteriore → passano i vasi e nervi omonimi (i nervi etmoidali derivano dal nervo nasociliare che deriva dal nervo oftalmico V1, mentre le arterie etmoidali derivano dall’arteria oftalmica che deriva dalla carotide interna)
Foro Cieco → nell’adulto spesso chiuso

Osso Zigomatico - Facce e Processi
Generalità:
E’ l’osso della guancia
Forma quadrangolare a “diamante”
Collega il viscerocranio (massiccio facciale) al neurocranio
Facce:
Faccia Laterale (o malare) → convessa e ben visibile all’esterno, dove forma la prominenza dello zigomo
Faccia Mediale (o temporale) → rivolta verso le fosse extracraniche (temporale e infratemporale)
Faccia Orbitaria → rivolta verso la cavità orbitaria
Processi:
Processo Frontale → in alto → si articola con il processo zigomatico del frontale → è robusto e importante per la dispersione delle forze masticatorie
Processo Temporale → lateroposteriormente → breve e si articola con il processo zigomatico del temporale → insieme formano l’Arcata Zigomatica (punto d’attacco per muscoli masticatori, soprattutto il massetere)
Processo Mascellare → anteromedialmente → si articola con il processo zigomatico del mascellare

Osso Zigomatico - Fori
Sulla Faccia Orbitaria:
Abbiamo i due Fori Zigomatico-Temporali dove passano il Nervo Zigomatico Facciale e il Nervo Zigomatico Temporale → rami del Nervo Zigomatico → ramo del nervo mascellare V2
Questi Nervi attraversano i rispettivi fori aprendosi sulla faccia laterale e temporale dove si osserva il Foro Zigomatico-Facciale (faccia laterale) e Zigomatico-Temporale (faccia temporale)

Mandibola - Corpo
Generalità:
Unico osso mobile del cranio
Forma con l’osso temporale l’articolazione temporo-mandibolare (ATM), un’articolazione sinoviale (diartrosi)
Ha una forma a ferro di cavallo:
Corpo orizzontale
Rami verticali
Corpo (superficie esterna):
Protuberanza Mentale → rilievo osseo mediano a livello del mento → forma triangolare → ai lati presenta i Tubercoli Mentali, piccoli rilievi arrotondati → si inseriscono muscoli del labbro inferiore e del mento
Sinfisi Mentale → linea mediana dove si saldano le due metà embrionali
Porzione Alveolare → che contiene gli 8 alveoli dentali per lato (arcata inferiore)
Foro Mentale (o mentoniero) → sbocco anteriore del canale mandibolare → passano nervi e vasi mentali (innerva cute del mento e labbro inferiore)
Corpo (superficie interna):
Spine Mentali (superiore e inferiore) → piccoli rilievi al centro del corpo della mandibola → servono da inserzione per il muscolo genioglosso e genioioideo che si portano per lingua e osso ioide
Linea Miloioidea → linea obliqua interna → punto di inserzione per il muscolo miloioideo (forma il pavimento della bocca)
Sopra e sotto la Linea Miloioidea abbiamo la fossa sottolinguale (sopra) e sottomandibolare (sotto) che accolgono la ghiandola sottolinguale e sottomandibolare
Fossa Digastrica → sul margine inferiore → accoglie il ventre anteriore del muscolo digastrico

Mandibola - Rami
Rami:
Angolo della mandibola → tra corpo e ramo → presenta rugosità dovute all’inserzione di alcuni muscoli della masticazione:
Sulla superficie laterale → Muscolo Massetere
Sulla superficie mediale → Muscolo Pterigoideo Mediale
Processo Condiloideo, parte superiore articolare:
Condilo Mandibolare (testa)
Fossa Pterigoidea → inserzione muscolo pterigoideo laterale
Processo Coronoideo → anteriormente → epifisi di trazione (cioè parte modellata) a causa dell’inserzione muscolo temporale
Incisura mandibolare → tra i due processi.
Foro Mandibolare:
Si trova al centro della superficie mediale del ramo
E’ l’orifizio di entrata del canale mandibolare dove passa il nervo alveolare inferiore (ramo del mandibolare V3) → questo nervo invia rami ai denti dell’arcata inferiore → esso ad un certo punto ramifica emette il nervo mentale che esce dal foro mentale sulla superficie anteriore dove termina questo canale
E’ protetto anteriormente da una sporgenza ossea → la Lingula
Lingua Mandibolare:
è inoltre un importante repere clinico per l’anestesia troncare del nervo alveolare inferiore (dentisti per l’anestesia per i denti inferiori)
è inoltre punto di inserzione del legamento sfenomandibolare che funge da perno per i movimenti dell’articolazione temporomandibolare.
Sotto abbiamo il solco miloioideo segnato dal passaggio del nervo e vasi omonimi.

Muscoli della Masticazione
I principali sono 4, innervati dal Nervo Mandibolare V3:
Massetere:
Origine → Arco Zigomatico
Inserzione → faccia laterale dell’angolo della mandibola
Funzione → elevazione della mandibola (chiusura bocca), un movimento più complesso dell’apertura della bocca perché è contro gravità (per questo, quando si dorme, l’apertura della bocca è dovuta a un suo rilassamento passivo)
E’ un muscolo ben palpabile ponendo le dita sull’angolo della mandibola e serrando i denti percepiamo la sua contrazione.
Temporale:
Origine → Linea Temporale Inferiore, Fossa Temporale
Inserzione → Processo Coronoideo Mandibolare (converge a ventaglio)
Funzione → elevazione e retrusione (sposta la mandibola indietro) della mandibola, è il più potente dei muscoli masticatori
Come il massetere è un muscolo superficiale e palpabile
Pterigoideo mediale:
Origine → Capo Profondo dalla faccia mediale della lamina laterale del Processo Pterigoideo dello Sfenoide, mentre il Capo Superficiale dalla Tuberosità Mascellare della Mascella
Inserzione → faccia mediale dell’angolo della mandibola
Funzione → elevazione, protrusione (movimento in avanti) + piccoli movimenti laterali
Pterigoideo laterale:
Origine → Capo Superiore dalla superficie infratemporale della Grande Ala dello Sfenoide, mentre il Capo Inferiore dalla faccia laterale della lamina laterale del Processo Pterigoideo dello Sfenoide
Inserzione → Fossetta Pterigoidea a livello del condilo mandibolare
Funzione → abbassamento attivo della mandibola, protrusione, movimenti laterali (si contrae solo un lato)

BUCCINATORE
Il muscolo buccinatore:
Non è un muscolo masticatore (che sono quelli che muovono la mandibola), ma assiste la masticazione mantenendo il bolo in sede.
E’ quindi un muscolo mimico facciale, innervato dai rami buccali del Nervo Facciale (VII)
Si trova nello spessore della guancia.

Articolazione Temporo-Mandibolare
superfici articolari
strutture ossee accessorie
disco articolare
lussazione della mandibola
Tipo → articolazione mobile sinoviale, l’unica nel cranio
Superfici articolari:
Condilo della Mandibola (rivestita da cartilagine articolare):
le superfici articolari sono rivestite da non da ialina ma da fibrocartilagine → questo per resistere meglio alle forze meccaniche della masticazione
Fossa Mandibolare dell’Osso Temporale (parte squamosa):
Solo la parte anteriore della fossa è articolare → la fessura timpano-squamosa separa la porzione articolare da quella non articolare
Strutture Ossee Accessorie:
Tubercolo Postglenoideo → all’estremità laterale della fessura timpano-squamosa, tra parte timpanica e squamosa → limita i movimenti all’indietro (retrazione) del condilo
Tubercolo Articolare (anteriore) → parte integrante della superficie articolare → in caso di apertura molto ampia della bocca, il condilo si sposta fuori dalla fossa mandibolare sotto il tubercolo articolare.
Disco Articolare:
Presente all’interno della Capsula Fibrosa che racchiude l’articolazione ed è ancorato intorno alla membrana sinoviale che riveste la faccia interna della capsula e si inserisce sui margini delle superfici articolari.
Divide la cavità articolare in:
Compartimento Inferiore per i movimenti di rotazione → abbassamento e sollevamento lieve della mandibola (movimento rotatorio con il condilo che ruota sotto al disco)
Compartimento Superiore per i movimenti di traslazione → scivolamento in avanti e in basso del condilo quando si apre più ampiamente la bocca
La combinazione è definita rototraslazione
Lussazione della Mandibola:
Avviene in caso di apertura eccessiva o spinta improvvisa (laterale o posteriore) dove il condilo e il disco superano il tubercolo articolare
La mandibola resta bloccata in apertura e il pz non riesce a chiudere la bocca
Per trattarla il medico afferra i rami mandibolari per abbassarli e spingerli contemporaneamente all’indietro → così il condilo ritorna nella fossa mandibolare

Articolazione Temporo Mandibolare - Legamenti
A stabilizzare l’articolazione temporo mandibolare abbiamo principalmente il LEGAMENTO LATERALE:
Ispessimento laterale della capsula articolare (lassa per consentire i movimenti del condilo e del disco)
Limita i movimenti posteriori e laterali eccessivi del condilo
Poi abbiamo il LEGAMENTO SFENOMANDIBOLARE:
Che invece origina dalla spina dello sfenoide e si inserisce sulla lingula
E’ il fulcro dei movimenti di abbassamento della mandibola e limita l’apertura eccessiva
Infine abbiamo il LEGAMENTO STILOMANDIBOLARE:
Origina dal processo stiloideo e si inserisce sull’angolo della mandibola
Ha un ruolo secondario, è più un ispessimento della fascia di connettivo che riveste la ghiandola parotide.

Decorso Arteria Carotide - Circolo di Willis
L’Arteria Carotide Comune sale lungo il collo e a livello della 4 vertebra cervicale (C4) si divide in:
Carotide Esterna che con i suoi rami irrora principalmente le strutture del viscerocranio
Carotide Interna: continua a salire verso la base cranica e penetra attraverso il canale carotideo dell’osso temporale
Arteria Carotide Interna:
Attraversato l’osso temporale si porta lateralmente al corpo dello sfenoide lungo il solco carotideo.
Qui attraversa il seno cavernoso della dura madre
Poi ripiega su se stessa a livello del processo clinoideo anteriore (questo ripiegamento è detto Sifone Carotideo)
Infine, origina:
Arteria cerebrale media e anteriore
Questi rami partecipano al poligono di willis insieme alle arterie cerebrali posteriori che sono rami dell’arteria basilare (che a sua volta nasce dall’unione delle arterie vertebrali)

Aorta → Arco Aortico → Tronco Brachiocefalico
AORTA:
Principale arteria del grande circolo, da cui originano tutte le arterie
Origina dal ventricolo sinistro
Suddivide in Aorta Ascendente → Arco Aortico → Aorta Discendente (toracica e poi addominale dopo aver attraversato il diaframma)
L’arco aortico origina 3 rami:
Sul lato destro → Tronco brachiocefalico che si divide in → Carotide comune destra e Succlavia destra
Sul lato sinistro → Carotide comune sinistra e Succlavia Sinistra (che originano direttamente dall’arco)
Il TRONCO BRACHIOCEFALICO:
il nome indica la destinazione dei suo vasi
BRACHIO → la Succlavia è la principale arteria dell’arto superiore (continua con l’arteria ascellare e brachiale)
CEFALICO → la Carotide comune assicura irrorazione a testa e collo (dividendosi in carotide interna ed esterna)
N.B.
Fascio vascolo nervoso del collo → carotide comune + vena giugulare interna + nervo vago rivestiti da guaina carotidea (connettivo)

Arteria Carotide Comune → Carotide esterna → Arteria Facciale
Rigonfiamenti carotide interna
CAROTIDE COMUNE:
A dx origina dal tronco brachiocefalico, mentre a sx origina dall’arco aortico
Risale verticalmente nel collo fino al livello del margine superiore della cartilagine tiroidea della laringe (pomo d’Adamo o a livello della C4) dove biforca in una CAROTIDE INTERNA ED ESTERNA
Quella interna sale verso l’encefalo senza emettere ramificazioni nel collo, mentre quella esterna emette diversi rami, tra cui l’ARTERIA FACCIALE
ARTERIA FACCIALE:
Decorso → prosegue dietro l’angolo della mandibola → ne scavalca il margine inferiore del corpo e risale obliquamente fino all’angolo mediale dell’occhio
In questo, emette diversi rami che dividiamo in cervicali e facciali
Quelle Cervicali sono la Palatina Ascendente, la Tonsillare e la Sottomentale (PTS)
Mentre quelle Facciali sono la Labiale inferiore e superiore, la Nasale Laterale e la Angolare (la angolare comunica con rami oftalmici → anastomosi carotide interna ed esterna).
E’ possibile palparne la pulsazione quando supera la mandibola in corrispondenza del margine anteriore del massetere
N.B.
A livello della biforcazione, in associazione alla carotide interna, osserviamo dei rigofiamenti, cioè il Seno Carotideo (barocettore per la PA) e il Glomo Carotideo (chemiocettore per le concentrazioni di gas) che sono in questa posizione strategica perché è la carotide interna che irrora la cavità cranica

Carotide Esterna → Arteria Temporale e Mascellare
Carotide Esterna:
Emette quindi a livello del collo numerose l’arterie, salendo ancora invece emetterà due altre arterie principali: l’ARTERIA TEMPORALE SUPERFICIALE e l’ARTERIA MASCELLARE
ARTERIA TEMPORALE SUPERFICIALE
Risale anteriormente l’orecchio passando per l’arcata zigomatica (percepibile alla palpazione)
Vascolarizza la regione temporale con diversi rami e parte della faccia con l’arteria facciale trasversa
ARTERIA MASCELLARE
Origina posteriormente alla mandibola per poi passare mediamente al processo condiloideo → passa la fossa infratemporale fino a raggiungere profondamente la fossa pterigopalatina.
In questo percorso si divide in 3 tratti: MANDIBOLARE - PTERIGOIDEO - PTERIGOPALATINO
Primo Tratto Mandibolare (in ordine, 4 arterie, ATMA):
Emette rami per le meningi, orecchio e mandibola
Arteria Auricolare Profonda e Timpanica Anteriore
Arteria Meningea Media
Arteria Alveolare Inferiore
Secondo Tratto Pterigoideo (in ordine, 6 arterie):
Vascolarizza i muscoli della masticazione e buccinatore
Arteria Masseterica
Rami Pterigoidei
Temporali Profondi posteriore e anteriore
Arteria Buccale → per il muscolo buccinatore e guancia
Terzo Tratto Pterigopalatino (in ordine, 5 arterie. AIPCS):
Entra nella fossa pterigopalatina dove ramifica
Arteria Alveolare Postero Superiore
Arteria Infraorbitaria → con rami alveolari superiori anteriori e medi
Arteria Palatina Discendente → entra nel canale palatino maggiore (tra sfenoide e palatino) dividendo in arteria palatina maggiore e minori per vascolarizzare palato duro e molle
Arteria del Canale Pterigoideo → verso la faringe
Arteria Sfenopalatina → attraversa il foro sfenopalatino per vascolarizzate la cavità nasale

Carotide Esterna → Tutte le Ramificazioni
In Ordine Topografico, 8 arterie:
Arteria Tiroidea Superiore, Linguale e Facciale → dalla faccia anteriore
Arteria Faringea Ascendente → dalla faccia mediale
Arteria Occipitale e Auricolare Posteriore → dalla faccia posteriore
Arteria Mascellare e Temporale Superficiale → rami terminali
TLF F OA MT

Carotide Interna - arteria oftalmica
La carotide interna, durante il suo ripiegamento (sifone) emette l’arteria oftalmica (con rami per l’occhio e l’orbita → arteria sopraorbitaria e sovratrocleare) e poi l’Arterie Cerebrali anteriori e medie che irrorano gran parte dell’encefalo
N.B. è la carotide esterna la principale responsabile della vascolarizzazione del viscerocranio, mentre quella interna è per l’encefalo e SNC e solo un ramo per il viscerocranio (arteria oftalmica)

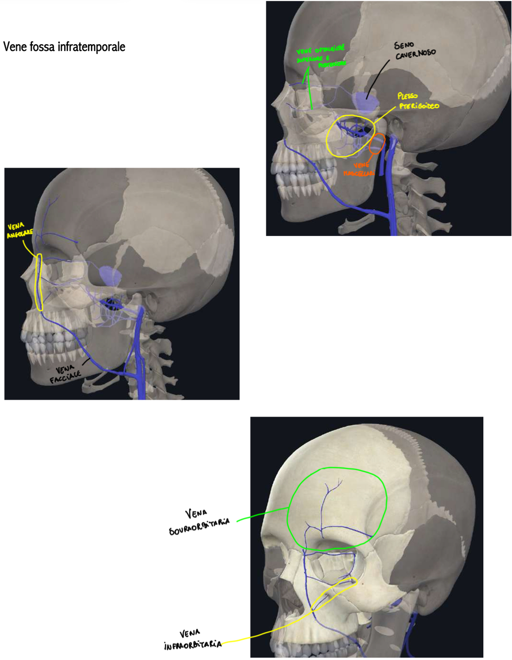
Vena Giugulare Interna ed Esterna
Plesso Venoso Pterigoideo
VENA GIUGULARE INTERNA:
Vena principale del collo
Origina dal bulbo della giugulare (che si estende dal Seno Sigmoideo) e passa attraverso il Foro Giugulare (tra occipitale e temporale)
Riceve sangue dai seni venosi della dura madre, quindi sangue endocranico
Scende all’interno della guaina carotidea che contiene inoltre la carotide (che sale) e il nervo vago
Alla base del collo va ad unirsi alla VENA SUCCLAVIA formando la VENA BRACHIOCEFALICA che insieme alla sua controlaterale formano la VENA CAVA SUPERIORE
E’ la via di drenaggio principale dell’encefalo e strutture profonde del collo
VENA GIUGULARE ESTERNA:
Origina dall’unione della Divisione Posteriore della Vena Retromandibolare + Vena Auricolare Posteriore
Decorre superficialmente sullo Sternocleidomastoideo
Sbocca nella VENA SUCCLAVIA
Raccoglie sangue dalla regione occipitale e nucale
Da essa sbocca la VENA GIUGULARE ANTERIORE, che origina nei pressi dell’osso ioide e raccoglie sangue dal collo superficiale
PLESSO VENOSO PTERIGOIDEO → VENA RETROMANDIBOLARE:
Si trova nella Fossa Intratemporale e riceve sangue dai territori dell’arteria mascellare
Da esso originano le VENE MASCELLARI che unendosi alla VENA TEMPORALE SUPERFICIALE formano la VENA RETROMANDIBOLARE che si divide in una DIVISIONE ANTERIORE e una POSTERIORE
DIVISIONE POSTERIORE che insieme alla VENA AURICOLARE POSTERIORE formano la GIUGULARE ESTERNA.
DIVISIONE ANTERIORE che sbocca nella VENA FACCIALE COMUNE che a sua volta si connette con la GIUGULARE INTERNA.

Osso Nasale - Osso Lacrimale - Conca nasale inferiore - Vomere
Osso Nasale:
Ossa pari
Sulla faccia esterna presenta il Forame Nasale per piccole vene emissarie
Sulla faccia interna solco etmoidale (passa il nervo etmoidale anteriore) e cresta nasale (si articola con la lamina perpendicolare dell’etmoide).
Osso Lacrimale:
Ossa Pari
Presenta sulla superficie laterale: il solco lacrimale, cresta lacrimale posteriore e uncino lacrimale
Con mascella e conca nasale inferiore, completa il canale naso lacrimale
Conca Nasale Inferiore:
Presenta il processo etmoidale, lacrimale e mascellare
Vomere:
Si articola con la mascella e il palatino con il margine inferiore
Con l’etmoide con il margine anteriore
Con lo sfenoide con il margine superiore
Margine posteriore libero

Cavità Orbitaria - Margini
Generalità:
Forma → piramide quadrangolare
Base → in avanti e corrisponde all’apertura della cavità orbitaria
Apice → posteromedialmente, con il foro ottico a livello della piccola ala dello sfenoide
Margini apertura orbitaria (partecipano 3 ossa):
Superiormente → Osso Frontale
Inferomedialmente → Mascellare
Inferolateralmente → Zigomatico
Fori che troviamo sui margini:
Foro sovraorbitario → più laterale
Incisura sovratrocleare → più mediale
Per rami del nervo frontale (nervo sovraorbitario e sovratrocleare) e vasi omonimi

Cavità Orbitaria - Pareti
Pareti (partecipano 7 ossa):
Parete Superiore (tetto):
2/3 anteriori formati dalla faccia orbitaria dell’Osso Frontale
1/3 posteriore è formato dalla piccola ala dello Sfenoide
Questa parete si separa dalla fossa cranica anteriore
Lateralmente sull’osso frontale troviamo la Fossa Lacrimale, mentre Medialmente abbiamo la Fossa Trocleare
Parete Laterale:
1/3 anteriore formato dall’Osso Zigomatico
2/3 posteriori dalla grande ala dello Sfenoide
Questa parete si separa dalla fossa temporale lateralmente e dalla fossa cranica media superiormente
Parete Inferiore (pavimento):
Formato da Zigomatico e Mascellare principalmente + la piccola superficie orbitaria del Palatino
Questa parete si separa inferiormente dal seno mascellare
Il pavimento è separato dalla Fessura Orbitaria Inferiore (tra grande ala dello sfenoide, zigomatico mascellare e palatino)
Fratture in questa zona compromettono i movimenti del bulbo oculare (incarceramento muscolo retto inferiore)
Parete Mediale:
Formata da: Mascella + Osso Lacrimale + Etmoide (lamina papiracea) + Sfenoide (vicino al foro ottico)
E’ presente la Fossa del Sacco Lacrimale che conduce al Canale Nasolacrimale e sbocca nel Meato Nasale Inferiore
Ci sono poi Fori Etmoidali anteriori e posteriori per vasi e nervi omonimi
Questa parete si separa dai seni etmoidali.

Cavita Orbitaria - Fori e Fessure
Foro Ottico (canale ottico):
Localizzazione → apice della cavità orbitaria a livello della piccola ala dello sfenoide
Mette in comunicazione l’orbita con la fossa cranica media
Decorre il Nervo Ottico e l’Arteria Oftalmica (ramo della carotide interna)
Fessura Orbitaria Superiore:
Localizzazione → tra piccola e grande ala dello Sfenoide
Mette in comunicazione l’orbita con la fossa cranica media
Decorre il Nervo Oculomotore, Nervo Trocleare, Nervo Abducente, Branca Oftalmica del Trigemino (rami lacrimali, frontali e nasociliari) che innervano i muscoli del bulbo oculare e la Vena Oftalmica Superiore
Fessura Orbitaria Inferiore:
Localizzazione → tra grande ala sfenoide, mascellare, palatino e zigomatico
Mette in comunicazione l’orbita con la fossa pterigopalatina e infratemporale (fosse extracraniche)
Decorre Il Nervo Infraorbitario e Zigomatico (ramo del mascellare V2), Vena Oftalmica Inferiore (che comunica con il plesso pterigoideo) e Arteria Infraorbitaria (ramo dell’arteria mascellare)
Fori Etmoidali (anteriori e posteriori):
Localizzazione → tra osso frontale e etmoide
Mette in comunicazione l’orbita con la cavità nasale e fossa cranica anteriore
Decorrono Arterie Etmoidali (rami dell’arteria oftalmica), Vene Oftalmiche (rami della vena oftalmica superiore) e Nervi Etmoidali (rami del nervo nasociliare, V1)
Solco Infraorbitario:
Localizzazione → sull’Osso Mascellare (pavimento orbita)
Mette in comunicazione con il canale e foro infraorbitario che sbocca sulla faccia anteriore del viso
Decorre il Nervo Infraorbitario (da V2) e l’Arteria Infraorbitaria

Cavità Nasale
Tetto:
Formato da Osso Frontale, Etmoide (lamina cibrosa) e Sfenoide
Nella parte posterosuperiore è presente il Recesso Sfeno-Etmoidale → sede di apertura del seno sfenoidale
Pavimento (è anche il tetto della cavità orale):
Formato dalle Ossa Mascellari (processi palatini) + Ossa Palatine (lamine orizzontali)
Lungo la linea mediana si solleva la Cresta Nasale dove si inserisce il Vomere
Parete Mediale (setto nasale):
Posteroinferiore → vomere
Posterosuperiore → lamina perpendicolare etmoide
Anteriore → cartilagine
Parete Laterale (6):
Ossa Mascellare - Lacrimale - Conca nasale inferiore - Etmoide (conche nasali) - Osso Palatino (lamina perpendicolare) - Sfenoide (lamina mediale processo pterigoideo)
Tutte queste ossa delimitano lo iato del seno mascellare (apertura)
Comunicazioni della Cavità Nasale:
Con la cavità cranica → attraverso fori della lamina cribrosa (etmoide) passano filetti del nervo olfattivo e vasi (nel 1% il foro cieco può far passare una vena comunicante con il seno sagittale superiore)
Con la fossa pterigopalatina → attraverso il foro sfenopalatino dove passa l’arteria sfenopalatina (dalla arteria mascellare) e il nervo sfenopalatino (da V2)
Con la cavità orale → attraverso il canale incisivo a livello dei mascellari

Fossa Temporale
FOSSA TEMPORALE:
Limiti:
Superiormente → Linea Temporale Inferiore
Anteriormente → Processo Zigomatico del Frontale + Processo Frontale dello Zigomatico
Posteriormente → continuo della linea temporale + Cresta Sopramastoidea
Inferiormente → Arcata Zigomatica
Lateralmente → Fascia Temporale che ricopre il muscolo temporale
Medialmente → Frontale + Parietale + Squama del Temporale + Grande ala dello Sfenoide fino la Cresta Infratemporale
Contenuto:
Muscolo Temporale (rivestito dalla Fascia Temporale) → muscolo masticatorio
Arteria Temporale Superficiale → ramo terminale della carotide esterna
Arterie Temporali Profonde → rami della porzione pterigoidea dell’arteria mascellare (irrorano il muscolo temporale)
Nervi Temporali Profondi → rami del nervo mandibolare (V3), innerva i muscoli della masticazione
Nervo Zigomatico Temporale → ramo del nervo zigomatico (V2)

Fossa Infratemporale
FOSSA INFRATEMPORALE:
Limiti:
Superiormente → Cresta e Superficie Infratemporale grande ala Sfenoide, e parte dell’osso temporale
Anteriormente → Tuberosità Mascellare
Posteriormente → Processo stiloideo + Parte anteriore porzione Timpanica e Mastoidea dell’Osso Temporale
Lateralmente → Ramo della Mandibola
Medialmente → Lamina Laterale del Processo Pterigoideo dello Sfenoide
Inferiore → aperta verso il basso
Contenuto:
Muscolo Pterigoideo Laterale
Muscolo Pterigoideo Mediale
Rami Arteria Mascellare (parte mandibolare e pterigoidea)
Plesso Venoso Pterigoideo → è un plesso senza valvole, quindi il sangue scorre a seconda del gradiente pressorio (la contrazione dei muscoli pterigoidei favorisce il drenaggio) → può drenare verso le vene superficiali (mascellari → retromandibolare → giugulare tramite divisioni) oppure verso vene del neurocranio (seno cavernoso → vena oftalmica superiore o inferiore, collegamento possibile grazie a vene emissarie) → avendo questa bidirezionalità, trombi o infezioni possono passare al neurocranio facilmente.
Nervo Mandibolare (terza branca del trigemino)

Fossa Infratemporale → Nervo Mandibolare
Nervo Mandibolare (terza branca del trigemino, quinto nervo cranico):
Esce dalla cavità cranica media attraverso il foro ovale per entrare nella fossa infratemporale dove si divide in due tronchi.
Tronco Anteriore (prevalentemente motorio) con (4):
Nervi Temporali Profondi (muscolo temporale)
Nervo del Massetere
Nervo Pterigoideo Laterale
Nervo Buccale → unico sensitivo (per mucosa guancia e cavità orale)
Tronco Posteriore (prevalentemente sensitivo) (3):
Nervo Alveolare Inferiore → per denti inferiori, prima di entrare nel Canale Mandibolare emette un ramo, il Nervo Miloioideo che innerva il muscolo miloioideo e digastrico
Nervo Linguale → per 2/3 anteriori della lingua
Nervo Auricolotemporale → per cute tempia, padiglione auricolare, articolazione temporomandibolare.
Prima della divisioni in Tronchi, dal Nervo Mandibolare parte:
il Nervo Pterigoideo Mediale da cui partono fibre motorie che innervano il tensore del velo palatino e timpano
Fibre Parasimpatiche collegate a V3:
Che significa? Fibre parasimpatiche che nascono da altri nervi, usano il trigemino come “autostrada” per arrivare alle loro destinazioni.
Corda del Timpano (dal facciale, VII) → contiene fibre gustative speciali della lingua e fibre parasimpatiche pregangliali che con sinapsi passano il segnale a fibre postgangliari per le ghiandole sottolinguali e sottomandibolari
Nervo Piccolo Petroso (dal glossofaringeo, IX) → contiene fibre parasimpatiche pregangliari per neuroni del ganglio ottico con le quali formano sinapsi → così, fibre postgangliari continuano con il Nervo Auricolotemporale per innervare la parotide.

Fossa Infratemporale → Comunicazioni 5
Con la Fossa Temporale:
Attraverso il limite dato dall’arcata zigomatica + cresta infratemporale della grande ala dello sfenoide
Con la Fossa Cranica Media:
Foro Ovale → nervo mandibolare (V3), nervo piccolo petroso (IX) (anche piccoli rami dell’arteria accessoria meningea media e vene comunicanti con il plesso pterigoideo)
Foro Spinoso → arteria e vena meningea media e nervo spinoso
Con la Fossa Pterigopalatina:
Attraverso la Fessura Pterigomascellare dove passa l’arteria mascellare (e suoi rami) e nervi alveolari superiori (V2, mascellare)
Con la Cavità Orbitaria:
Fessura Orbitaria Inferiore → vena oftalmica inferiore + vene comunicanti con il plesso pterigoideo, nervo e arteria infraorbitaria e nervo zigomatico
Con la Mandibola:
Foro Mandibolare → canale mandibolare → nervo e arteria alveolare inferiore

Continuità Fossa Temporale → Infratemporale
Fossa Temporale e Infratemporale sono in continuità tra loro:
Il limite inferiore della fossa temporale è quello superiore della fossa infratemporale
Il punto di passaggio è dato dall’Arcata Zigomatica + Cresta infratemporale della grande ala dello Sfenoide.
Fossa Pterigopalatina
Piccolo spazio profondo a forma a goccia rovesciata
Limiti:
Posteriore → processo pterigoideo dello Sfenoide
Anteriore → superficie posteriore del Corpo della Mascella
Mediale → lamina perpendicolare dell’Osso Palatino
Laterale → aperta → fessura pterigomascellare (in comunicazione con la fossa infratemporale)
Comunicazioni principali (7):
Foro sfenopalatino → medialmente → tra sfenoide e palatino → per la cavità nasale (attraversato da arteria sfenopalatina e nervo nasopalatino, rami di arteria e nervo mascellare)
Canale Pterigoideo → posteriormente sullo sfenoide (sotto il rotondo) → per la fossa cranica (passano fibre del nervo grande petroso e petroso profondo che formano il nervo vidiano, passa anche l’arteria del canale pterigoideo)
Foro rotondo → posterosuperiormente sullo sfenoide → per la fossa cranica media (passa il nervo mascellare)
Canale Faringeo (palato-vaginale) → medialmente → per il rinofaringe (passano piccoli rami arteriosi e nervosi faringei) (canale delimitato da processo vaginale corpo sfenoide e osso palatino)
Fessura orbitaria inferiore → superiormente → per la cavità orbitaria (passa l’arteria infraorbitaria e nervi infraorbitaria e zigomatico)
Canale palatino → inferiormente → per la cavità orale (passa l’arteria palatina discendente e nervi palatini)
Fessura pterigomascellare → lateralmente → per la fossa infratemporale (passa arteria mascellare, nervo alveolare superiore)
Contenuto:
Tratto Terzo (pterigopalatino) della Arteria Mascellare
Vene Satelliti → drenano nel Plesso Venoso Pterigoideo → da cui emergono le Vene Mascellari
Nervo Mascellare (V2)
Dalla cavità cranica media, attraverso il Foro Rotondo entra nella Fossa Pterigopalatina (porta fibre sensitive) → da qui partiranno rami alveolari, zigomatici, infraorbitari ecc…
Ganglio Pterigopalatino (stazione parasimpatica, situato vicino il foro sfenopalatino)
Riceve 3 tipi di fibre
Fibre parasimpatiche pregangliari del Nervo Grande Petroso e fibre simpatiche postgangliari dal Nervo Petroso Profondo → insieme formano il Nervo del Canale Pterigoideo (o Nervo Vidiano) che attraversano appunto il Canale Pterigoideo per innervare ghiandole lacrimali, nasali, palatine → Nervo Petroso Profondo deriva dal plesso carotideo, mentre il Grande Petroso deriva dal facciale
Riceve anche fibre sensitive che arrivano dal Nervo Mascellare, per portare sensibilità alla mucosa di naso, palato e faringe.
Le fibre pregangliari fanno sinapsi, mentre quelle post e sensitive attraversano il ganglio senza fare sinapsi


ALCUNE FOTO DEL PLICO
ALCUNE FOTO DEL PLICO


ALCUNE FOTO DEL PLICO
ALCUNE FOTO DEL PLICO

ALCUNE FOTO DEL PLICO
ALCUNE FOTO DEL PLICO

Colonna Vertebrale - Generalità e Tratti
Generalità:
E’ l’asse scheletrico del corpo → formata da segmenti ossei chiamate VERTEBRE
Tratti:
Tratto Cervicale → 7 Vertebre Cervicali (C1-C7)
Tratto Toracico → 12 Vertebre Toraciche (T1-T12) → in rapporto con le coste (articolazioni costo-vertebrali)
Tratto Lombale → 5 Vertebre Lombari (L1-L5) → conclude la parte mobile della colonna
Tratto Sacrale → 5 Vertebre Sacrali cui fusione forma l’Osso Sacro
Tratto Coccigeo → 3-4 Vertebre Coccigee cui fusione forma l’Osso Coccigeo
(tra le vertebre si hanno piccoli movimenti che sommati permettono grandi movimenti del tronco)

Curve Fisiologiche Della Colonna Vertebrale
Sul piano sagittale la colonna non è rettilinea → presenta curve fisiologiche → importante per distribuire meglio i carichi e mantenere l’equilibrio in posizione eretta.
Curve:
A livello Cervicale → Convessità Anteriore → Lordosi Cervicale
A livello Toracico → Concavità Anteriore → Cifosi Toracica
A livello Lombale → Convessità Anteriore → Lordosi Lombale
A livello Sacro-coccigeo → Concavità Anteriore → Cifosi Sacrale
Sviluppo delle curve:
Durante la vita intrauterina, la colonna è un’unica concavità anteriore, tutta cifotica (posizione fetale)
Dopo la nascita, il bambino inizia ad usare muscoli per alzare la testa → questo va a formare una Lordosi Cervicale
Successivamente, quando il bambino si mette in piedi e cammina si sviluppa una Lordosi Lombale
Quindi si può dire che le curve toraciche e sacrali sono curve primarie già presenti in vita intrauterina, mentre quelle cervicali e lombali compaiono dopo la nascita e sono dette secondarie.
Clinica:
Quando una curvatura supera l’angolo fisiologico, si parla di iperlordosi o ipercifosi.

Struttura di una Vertebra in generale
Corpo, Arco e Processi Vertebrali
Articolazione Zigoapofisarie
Due elementi principali:
Corpo Vertebrale → parte anteriore, più voluminosa, forma cilindrica/ovale → sostiene il peso e lo trasmette lungo la colonna
Arco Vertebrale → origina dalla faccia posteriore del corpo → è formato da due peduncoli (che si proiettano posteriormente dal corpo) e due lamine (proseguono dai peduncoli e si fondono sulla linea mediana)
Tra il corpo e l’arco si avrà il Foro Vertebrale → l’insieme di tutti i fori vertebrali di tutte le vertebre forma il Canale Vertebrale che contiene midollo spinale e radici nervose spinali.
Dall’Arco Vertebrale si distinguono 7 processi:
1 Processo Spinoso → impari e mediano → si proietta posteriormente dalla fusione delle due lamine
2 Processi Trasversi → laterali → insieme allo spinoso fungono da leve e inserzione per muscoli.
4 Processi Articolari → due superiori e due inferiori, pari e simmetrici → originano tra peduncolo e lamina → si articolano con i processi articolari di vertebre adiacenti formando le ARTICOLAZIONI ZIGOAPOFISARIE (o interapofisarie)
Articolazioni Zigoapofisarie:
Sono articolazioni sinoviali rivestite da cartilagine ialina
I processi articolari superiori di una vertebra si articolano con quelli inferiori di una vertebra sovrastante e viceversa.
La superfici dei processi è diversa nei vari tratti → ciò determina i movimenti consentiti per ogni segmento della colonna
Nel tratto cervicale, le faccette articolari sono orientate obliquamente (quasi orizzontale) → ciò determina alta mobilità

Il Corpo Vertebrale - struttura e funzione
Funzione:
E’ la porzione anteriore della vertebra e ha funzione di sostenere il peso
Le sue dimensioni aumentano progressivamente lungo la colonna, quindi le lombali sono le più grandi e massicce perché devono sostenere il peso di testa, collo, tronco e arti superiori (mentre le cervicali sono più piccole in quanto devono sostenere solo la testa)
Il sacro non sostiene direttamente il peso, ma lo trasmette al cingolo pelvico e arti inferiori
Le vertebre coccigee sono molto piccole e rudimentali (poco sviluppate, funzione non significativa)
Struttura interna:
Osso Spugnoso ricco di midollo osseo rosso → sede dell’ematopoiesi
A circondare l’osso spugnoso, abbiamo un sottile strato di Osso Compatto
Durante lo sviluppo, che segue una ossificazione endocondrale, otteniamo centri di ossificazione secondari sulle superfici superiori e inferiori del corpo → si forma così un ispessimento osseo periferico chiamato ANELLO EPIFISARIO

Foro Intervertebrale
Ernia al disco
Struttura Disco Intervertebrale
Foro Intervertebrale:
E’ l’apertura che si crea tra due vertebre adiacenti.
Dal midollo spinale partono radici anteriori motorie e posteriori sensitive che unendosi formano i NERVI SPINALI a livello del foro intervertebrale → subito dopo il Nervo Spinale divide in rami anteriori e posteriori per innervare cute e muscoli tronco e arti
Limiti:
Anteriormente → faccia posteriore corpo vertebrale e disco intervertebrale
Superiormente → incisura vertebrale inferiore della vertebra sovrastante (più ampia)
Inferiormente → incisura vertebrale superiore della vertebra sottostante (più piccola)
Posteriormente → processi articolari
Clinica - Ernia al Disco:
Un’ernia al disco non è lo spostamento dell’interno disco intervertrebale tra due vertebre adiacenti, ma solo della sua componente centrale, il Nucleo Polposo.
Quindi indica la fuoriuscita del Nucleo Polposo, attraverso un punto di debolezza dell’anello fibroso che lo circonda
Questa erniazione può comprimere il nervo spinale che occupa la parte superiore del foro causando dolore, parestesie e deficit motorio-sensitivi.
Le più comuni sono le ernie posterolaterali perché la parte posteriore è rinforzata dal legamento longitudinale posteriore
Sedi più frequenti: L4-L5 o L5-S1, a seguire tra C5-C6 o C6-C7
L’esame diagnostico è la risonanza magnetica
Struttura disco intervertebrale:
Nucleo Polposo:
Natura gelatinosa, centrale
Residuo della notocorda embrionale che scompare nei corpi vertebrali e persiste nei dischi intervertebrali
Anello Fibroso:
Fibrocartilagineo, esterno
Con fibre collagene disposti a strati perpendicolari per maggiore resistente, ma con l’età e movimenti ripetuti perde elasticità creando dei punti di debolezza

Vertebre Cervicali Tipiche - C3 a C6 (articolazioni uncovertebrali)
Differenze con C7
Caratteristiche C3 a C6:
Corpo Vertebrale → Piccolo con diametro trasverso maggiore dell’antero-posteriore
Processi Uncinati → sul margine superiore del corpo, che con la vertebra sovrastante forma le ARTICOLAZIONI UNCOVERTEBRALI → non del tutto chiaro il significato di questa articolazione → alcuni autori la ritengono una articolazione sinoviale che si forma dopo la nascita come risultato della degenerazione dei dischi intervertebrati tra le vertebre adiacenti che finiscono per abbracciarsi dal processo uncinato → l’importanza clinica è nel fatto che in caso di osteofiti (esostosi, cioè piccole escrescenze ossee dovute a fenomeni degenerativi) possono comprimere l’arteria vertebrale o il nervo spinale che passano lateralmente, causando sintomi vascolari o nervosi.
Foro Vertebrale → Ampio e Triangolare
Processo Spinoso → Bifido (si ramifica sull’estremità) (più evidente nei caucasici e donne)
Processi Trasversi → presentano il Foro Trasversario attraversato dall’Arteria Vertebrale (ramo della succlavia) e Vene Vertebrali → l’arteria sale ed entra nel foro C6, mentre le vene scendono ed esce sempre da C6
Processi Articolari → quelle superiori sono speculari a quelle inferiori, così da permettere la formazione dell’articolazione zigoapofisaria tra vertebre adiacenti → nel tratto cervicale, le faccette articolari sono orientate obliquamente (quasi orizzontale) per favorire flesso/estensione
Differenze con C7:
Vertebra di Transizione → caratteristiche cervicali, ma con alcuni tratti toracici come → Foro Trasversario più piccolo e Processo Spinoso più lungo e non bifido → da qui il nome Vertebra Prominente → palpabile nel 70% degli individui (nel 20% è più lungo e prominente C6, mentre nel 10% T1)

Vertebre Cervicali Atipiche - C1 e C2
Vertebre Atipiche:
C1 o Atlante
C2 o Epistrofeo o Asse
Sono diverse perché sono specializzate per consentire i movimenti della testa, articolandosi con il cranio.
ATLANTE C1:
Nome dal gigante mitologico che sosteneva il cielo (qui sostiene la testa)
Non ha il corpo vertebrale
E’ formato da due archi ossei (anteriore e posteriore) separati da due masse laterali (destra e sinistra)
Le masse laterali rappresentano la parte più robusta e presentano i processi articolari per l’Osso Occipitale e C2
Archi e Masse delimitano un ampio Foro Vertebrale che accoglie midollo spinale e il processo dell’epistrofeo (dente dell’epistrofeo, importante per la rotazione della testa)
L’origine Embriologica del dente spiga perché C1 non ha il corpo → durante lo sviluppo, la parte che dovrebbe formare il corpo di C1, si fonde con la parte superiore del corpo di C2, per cui il dente dell’epistrofeo corrisponde al corpo dell’atlante, ma fa parte di C2.
Sulla superficie superiore dell’arco posteriore dell’atlante troviamo il solco per l’arteria vertebrale, che salendo lungo i fori trasversali del il tratto cervicale, poi gira sull’arco dell’atlante per entrare nella fossa cranica posteriore attraverso il forame magno dell’osso occipitale.
EPISTROFEO o ASSE C2:
Caratteristica principale è il dente che sporge sul margine superiore del suo corpo
Il dente ha una faccetta articolare anteriore per articolarsi con l’arco anteriore e una posteriore per articolarsi con il legamento trasverso

Articolazioni Sinoviali del Cranio
Articolazione atlanto-occipitale
Articolazione atlanto-assiale mediana e laterale
ARTICOLAZIONE ATLANTO OCCIPITALE:
Avviene tra i processi articolari superiori sulle masse laterali dell’atlante e i condili occipitali dell’Osso Occipitale
E’ un’articolazione condilare (superficie concava su convessa) che permette principalmente movimenti di flessione ed estensione della testa (per dire “si) e lieve inclinazione laterale
ARTICOLAZIONE ATLANTO ASSIALI:
Mediana:
Dove il dente dell’epistrofeo anteriormente si articola con l’arco anteriore dell’atlante, mentre posteriormente si articola con il legamento trasverso che passa da una massa laterale all’altra dell’atlante
Questo legamento serve a tenere il dente in posizione e delimitare lo spazio per il midollo spinale
Questa articolazione permette il movimento di rotazione laterale della testa, cioè l’atlante ruota intorno al dente che funge da perno fisso (per dire “no”)
Laterali:
Tra le faccette articolari inferiori di C1 e quelle superiori di C2
Contribuiscono anch’esse al movimento rotatorio
QUESTE ARTICOLAZIONI SONO STABILIZZATE DA DIVERSI LEGAMENTI:
Legamenti Alari → dal dente ai margini laterali del forame magno (per limitare l’eccessiva rotazione)
Legamento Apicale del Dente → all’apice del dente verso l’osso occipitale
Legamento Cruciforme (crociato) chiamato così perché comprende due tratti:
Orizzontale → legamento trasverso tra le masse laterali dell’atlante
Verticale → con un fascicolo longitudinale superiore (verso l’occipitale) e inferiore (verso il corpo di C2)
Membrana Tectoria → rappresenta la continuazione craniale del legamento longitudinale posteriore che sale verso l’osso occipitale.

Radiografia della colonna cervicale
Il rachide cervicale, in particolare C1 e C2, è una regione delicata dove fratture o lussazioni possono avere conseguenze gravissime.
Identificazione radiologica:
Proiezione laterale → arco anteriore di C1 ha forma a chicco di caffé → il radiologo osserverà la distanza tra la faccia posteriore di questo chicco e la faccia anteriore del dente dell’epistrofeo → questa distanza non deve superare i 3mm → un aumento della distanza indica una possibile lussazione atlanto-assiale o lesione legamentosa (in particolare legamento trasverso) con rischio instabilità e compressione midollare.
Un’altra osservazione importante è valutare l’allineamento delle vertebre cervicali → in proiezione laterale si valutano tre linee di continuità che devono presentarsi lisce e leggermente convesse in avanti → linea anteriore dei corpi vertebrali, linea posteriore dei corpi vertebrali, linea spino-laminale corrispondente alla giunzione delle lamine dove originano il processo spinoso → interruzione o angolazione anomala o scalino può indicare frattura, sublussazione o dislocazione → in questa valutazione è importante che sia visibile anche T1, per garantire la visualizzazione dell’allineamento dell’intero tratto cervicale
Proiezione Antero-posteriore a bocca aperta → per visualizzare meglio C1 e C2, dato la sovrapposizione con il viscerocranio → si valuta la simmetria tra le masse laterali di C1 e il dente di C2

Vertebre Toraciche 12
Caratteristiche:
Corpo Vertebrale → forma di cuore, più voluminoso delle cervicali, meno dei lombari
Faccette Costali → elemento distintivo:
T1 → ha una faccetta costale superiore intera per articolarsi con la prima costa e poi una inferiore per la seconda
T2 a T9 → invece si articolano con due emifaccette → una inferiore sulla vertebra sovrastante e una superiore su quella sottostante → il tutto con il disco intervertebrale incluso tra le due vertebre (T9 in genere ha solo un emifaccetta, in alcune persone entrambe)
T10 → anch’essa ha solo una faccetta costale intera per la decima costa
T11 e T12 → definite fluttuanti perché si articolano solo con il corpo della vertebra e non con i processi traversi e non con lo sterno → anche loro hanno solo una faccetta costale intera per la loro costa
Foro Vertebrale → piccolo e circolare, siccome il midollo spinale qui è più sottile
Processi Spinosi → lunghi e inclinati verso il basso, con la punta a livello del corpo vertebrale sottostante
Processi Trasversi → robusti, da T1 a T10 hanno faccette articolari per i tubercoli costali, formando l’Articolazione Costo-Trasversaria
Faccette Articolari → orientamento quasi verticale:
Orientamento che consente principalmente i movimenti di rotazione, quelli di flessione-estensione sono limitati dalla gabbia toracica e articolazioni costali.

Zona di Transizione Toraco-Lombale (T12)
Le faccette superiori di T12 mantengono un orientamento toracico posterolaterale, permettendo ancora rotazione, mentre a partire da quelle T12 inferiori, viene assunto un orientamento sagittale tipico delle vertebre lombali → T12 si articola quindi con L1 per consentire flessione ed estensione.
Questa brusca transizione, rende T12 il punto più vulnerabile della colonna toracica.

Vertebre Lombari 5
Caratteristiche:
Corpi Vertebrali voluminosi e robusti, di forma reniforme
Foro Vertebrale → forma triangolare, con un ampiezza minore di quello cervicale, ma più grande di quello toracico (tutto ciò è dovuto ai rigonfiamenti del midollo spinale)
Processo Spinoso → corto, orientato orizzontalmente e con forma ad ascia
Processi Trasversi → lunghi e sottili → alla loro base posteriore presentano il Processo Accessorio
Processi Articolari → i superiori guardano medialmente, gli inferiori lateralmente → hanno orientamento sagittale per favorire flessione ed estensione, mentre è limitata la rotazione → sulla faccia posteriore di quelli superiori troviamo il processo mammillare
Spazio Interlaminare → nelle vertebre lombari le lamine non si sovrappongono, anzi ci sono spazi ampi → questo è importante perché questo spazio viene sfruttato per accedere al canale vertebrale per praticare punture lombali (prelievo del liquor)

Osso Sacro e Coccigeo
Osso Sacro:
Forma triangolare con base in alto e apice in basso, dovuta alla rapida riduzione delle dimensioni delle 5 vertebre sacrali che si uniscono
Funzione → trasferisce il peso corporeo dalla colonna al cingolo pelvico attraverso le articolazioni sacro-iliache.
Base del sacro:
formata da corpo e masse laterali della S1 dove sul margine anteriore forma il Promontorio (clinicamente importante per valutare l’ampiezza pelvica)
a questo livello si forma l’angolo lombosacrale (130-160 gradi) dove la lordosi lombare si continua nella cifosi sacrale
Superficie laterale:
Vista dall’alto ricorda un padiglione auricolare, infatti è detta superficie auricolare
E’ ricoperta da cartilagine e partecipa alla articolazione sinoviale sacro-iliaca
Posteriormente continua nella tuberosità sacrale, dove si realizza una sindesmosi (articolazione fibrosa)
Superficie Pelvica (anteriore):
Concava, liscia con linee trasversali → segni della fusione dei corpi vertebrali sacrali
Superficie Dorsale (posteriore), ricca di rilievi ossei:
Cresta Sacrale Mediana → fusione dei processi spinosi
Cresta Sacrale Mediale → fusione dei processi articolari
Cresta Sacrale Laterale → fusione dei processi trasversi
Le ultime vertebre sacrali S4-S5, non hanno lamine né processi spinosi → questo è clinicamente importante perché il canale vertebrale è più accessibile per l’anestesia epidurale (attraverso il hiatus sacrale delimitato dalle corna sacrali)
Fori Sacrali:
Presenti su entrambe le superfici, anteriore e posteriore dove passano i rami dei nervi spinali sacrali
Coccige:
Si articola con l’apice del sacro, ed è costituito da 3-4 vertebre rudimentali più piccole e anch’esse fuse tra loro
Non partecipa alla trasmissione del peso corporeo, ma è sede di inserzioni muscolari e legamentose.


ALTRE FOTO PLICO SACRO COCCIGE
ALTRE FOTO PLICO SACRO COGGIE viva endy

Processi Costali nello Sviluppo Vertebrale
Tutte le vertebre durante lo sviluppo presentano processi costali separati da quelli trasversi:
Nelle vertebre toraciche continuano a svilupparsi e formano le coste che si articolano sia con corpo che processo trasverso della vertebra
Nella vertebre cervicali il processo costale si fonde parzialmente con il processo trasverso ed evidenzieremo fori trasversali e tubercoli anteriore e posteriore
Nelle vertebre lombari il processo costale si fonde completamente con il trasverso costituendo la maggior parte → per questo si chiama processo costiforme
Nelle vertebre sacrali i processi costali di fondono tra loro e con le vertebre adiacenti, formando le ali del sacro.

Palpare i Processi Spinosi
C7 → vertebra prominente, prima sporgenza palpabile alla base del collo
T3 → a livello della spina della scapola
T7 → a livello dell’angolo inferiore della scapola
T12 → a livello dell’ultima costa
L4 → a livello della cresta iliaca

Canale vertebrale - Midollo Spinale - Meningi Spinali
Nel canale vertebrale decorre il midollo spinale.
Il midollo spinale è circondato da meningi spinali.
Le meningi spinali sono le stesse che circondano l’encefalo (dura madre, aracnoide, pia madre). Esse differenziano per:
i rapporti con le strutture circostanti
spazio epidurale (che nel cranio non c’è perché la dura madre aderisce all’osso), cioè lo spazio tra dura madre e canale vertebrale dove troviamo tessuto adiposo e plessi venosi
Midollo Spinale:
Costituito da 31 segmenti detti neuromeri
Ogni neuromero origina 1 paio di nervi spinali
Ogni nervo spinale deriva dalla fusione di una radice anteriore (ventrale) con fibre motrici (efferenti) e una radice posteriore (dorsale) con fibre sensitive (afferenti) → l’unione da origine al nervo spinale misto (motrici + sensitive)
Questi Nervi Spinali emergono dai fori intervertebrali perforando la dura madre che ne costituirà l’epineurio intorno ad essi. E da qui ramificheranno in ramo posteriore per muscoli e cute del dorso, e ramo anteriore per muscoli e cute del tronco e arti

Nervi Spinali
I nervi spinali sono 31 paia ed escono dai fori intervertebrali:
8 cervicali
12 toracici
5 lombali
5 sacrali
1 coccigeo
Emergenza dei nervi spinali:
C1 → emerge tra l’osso occipitale e prima vertebra cervicale
C2 a C7 → emergono SOPRA la vertebra con lo stesso numero
C8 → tra la vertebra C7 e T1 (non esiste la vertebra C8)
Da T1 a scendere, ogni nervo emerge SOTTO la vertebra con lo stesso numero

Midollo spinale e colonna vertebrale
Coda equina
Durante lo sviluppo embrionale il midollo spinale e la colonna vertebrale hanno la stessa lunghezza, poi con la crescita la colonna si allunga più del midollo spinale.
Il midollo spinale occupa così nell’adulto solo i 2/3 superiori del canale vertebrale (termina circa a livello delle prime vertebre lombali)
Le conseguenze anatomiche di ciò:
I nervi spinali cervicali escono quasi allo stesso livello delle vertebre corrispondenti
Dal tratto toracico, i neuromeri si trovano più in alto rispetto alla vertebra da cui escono i nervi e man mano che si scende questa discrepanza aumenta
Cauda Equina:
Sotto il cono midollare (parte finale affusolata del midollo) non c’è più tessuto midollare vero a proprio
Ma ci sono solo le radici nervose lombari, sacrali e coccigee che formano un fascio detto cauda equina, perché assomiglia a una coda di cavallo
Tutto questo tratto finale è immerso nel liquor contenuto nello spazio subaracnoideo. Il prelievo del liquor si fa a livello di L3-4 proprio perché non c’è più midollo ed è difficile danneggiare le fibre (che si allontanano all’arrivo dell’ago)

Rachicentesi
Procedura che permette:
prelievo del liquor dallo spazio subaracnoideo
somministrazione farmaci o anestetici
Sede:
Sotto il cono midollare per evitare rischio danneggiamento midollo
Livello ideale tra L3-4 o L4-5
Individuare la sede:
Palpare la linea che unisce le due creste iliache → passa circa a livello del processo spinoso di L4
Angolo inferiore della scapola è a livello di T7, mentre il punto più alto della cresta iliaca corrisponde a L4, la metà tra questi indica T12, dove termina il midollo
Posizione del paziente:
seduto piegato in avanti o sdraiato su un fianco in posizione fetale
questo serve per allargare gli spazi interlaminari e facilitare il passaggio dell’ago
