1/45
Looks like no tags are added yet.
Name | Mastery | Learn | Test | Matching | Spaced |
|---|
No study sessions yet.
schwann cells
in the PNS, axons are sheathed by _________
a group of axons
what is a fascicle?
nerve
multiple fascicles make up a _____
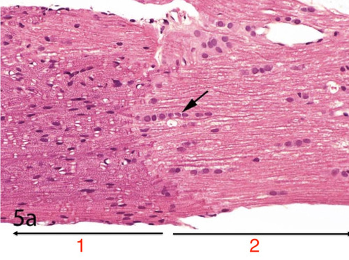
PNS- elongated nuclei, schwann cells
is 1 the CNS or PNS?

2- lines of oligodendrocytes
which one is the CNS?

nerves
nerve ganglia
sensory nerve terminals
what are the 3 main components of the PNS?
axons + nuclei + conjunctive tissue
nerves are composed of ______
fibers carrying impulses to the CNS
what are sensory nerves?
motor nerves
fibers carrying impulses to effector organs are called...
epineurium- covers nerve, dense CT
perineurium- covers fascicles, dense CT
endoneurium- covers axons, loose CT
what are the 3 different conjunctive tissues of a nerve?
epineurium
what is the type of conjunctive tissue that covers nerves?
conjunctive tissue that ensheathes fascicles
what is perineurium?
endoneurium
what is the type of conjunctive tissue that covers axons?
fascicles
what are these?

groups of axons
what are fascicles?
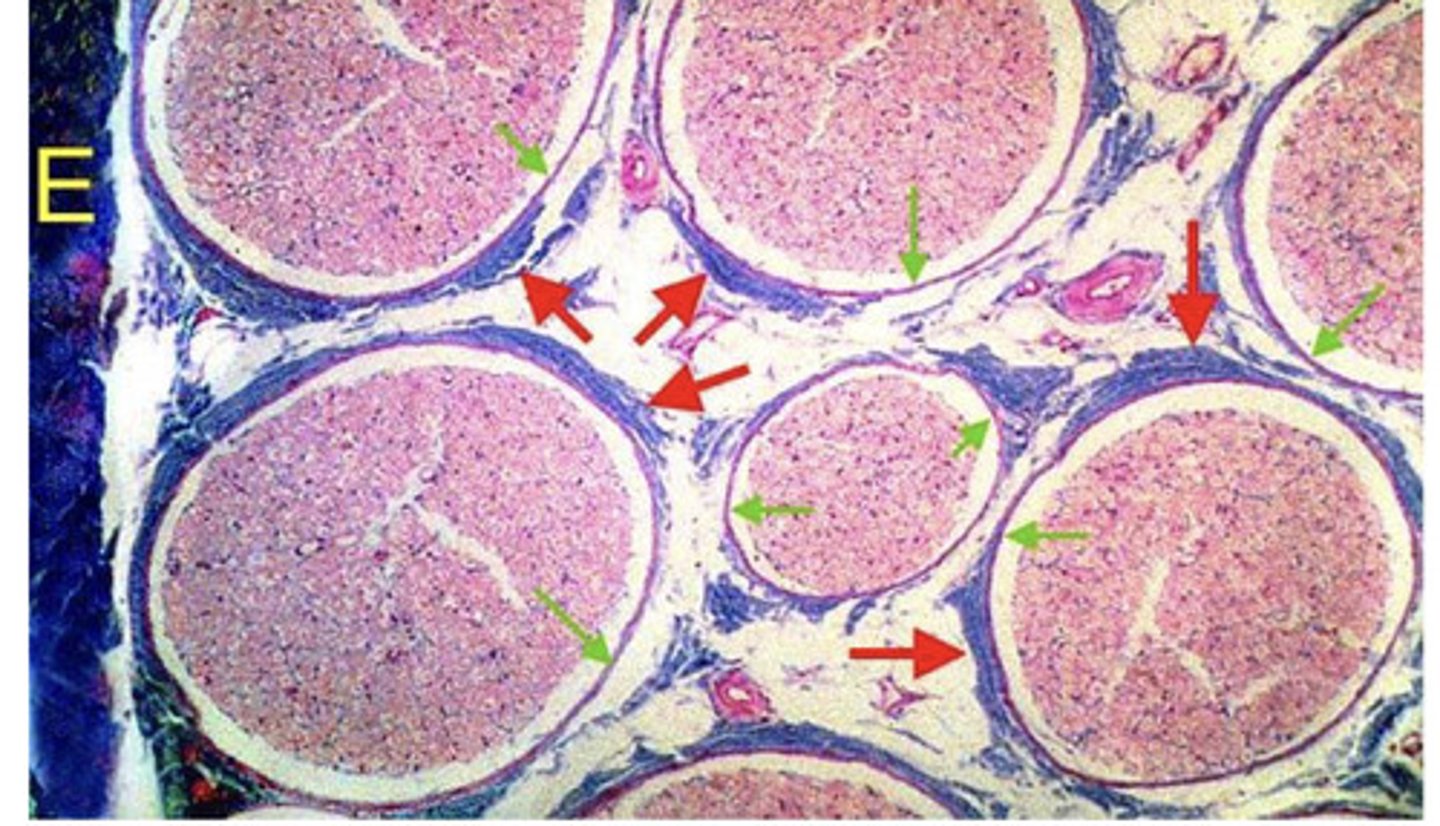
perineurium/perineurial epithelium
what is this thin layer surrounding the fascicles?

perineurium
the red arrows show what?

perineurial epithelium
what do the green arrows point to?

fibroblasts connects with tight junctions for transport control
the perineurial epithelium is made up of...
perineurium
what is P?

perineurial epithelium
what is PE?

endoneurium
what is e?

axon
each star represents a ...

circular formations of fibroblasts
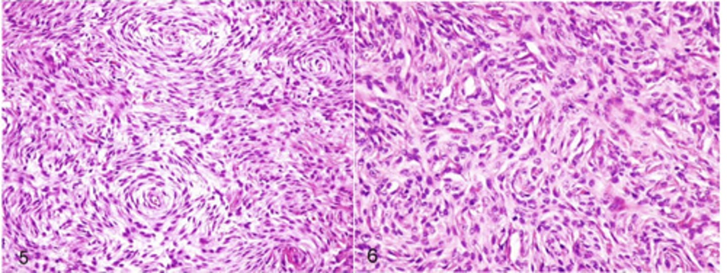
if a patient has a neurofibrosarcoma, what is the histological appearance?
neurofibrosarcoma- circular formations of fibroblasts
what disease is represented by these histological pictures?

aggregations of neuronal cell bodies outside of the CNS
what are nerve ganglia?
nerve ganglia
aggregations of neuronal cell bodies in the PNS are called...
spinal/dorsal root ganglia
autonomic/sympathetic ganglia
what are the 2 types of nerve ganglia we see in the PNS?
-CT capsule
-axons+neuronal bodies (in spinal ganglia- pseudounipolar, and in autonomic ganglia- multipolar)
-schwann+ satellite cells
what are the components of nerve ganglia?
pseudounipolar
what type of neurons do we have in spinal ganglia?
spinal ganglia (aka dorsal root ganglia)
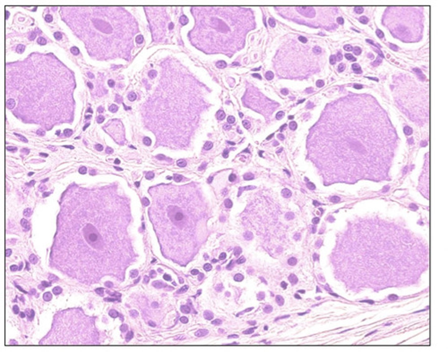
big cell body, central nucleus, no synapses
what is this a section of?

autonomic ganglia
which- spinal or autonomic ganglia has synapses?
autonomic
in ______ ganglia, there are synapses made from pre and post ganglion neurons
a neuron with its body in the CNS, but travelling towards the autonomic ganglia
what is a preganglion?
a neuron with its body in the autonomic ganglia, travelling towards the effector organ
what is a postganglion?
not always
do sensory nerve terminals have a CT capsule?
tactile stimuli (meissner's corpuscles)
vibration detection (pacini corpuscles)
sensory nerve terminals with a CT capsule (corpuscles) are for what purpose?
corpuscle
a combination of sensory nerve terminals and a capsule is called a...
nerve terminal branches + CT capsule
what is a corpuscle?
heat, cold, pain
sensory nerve terminals without a CT capsule are for what sensations?
Pacini corpuscle- nerve terminal+CT capsule, for vibration detection
what is this?

Meissner's corpuscles- nerve terminal+ CT capsule, for tactile sensation
what is this?

not encapsulated
are nerve terminals that detect heat, cold, and pain encapsulated or not?
Pacini corpuscle- nerve terminal+CT capsule, for vibration detection
what is this?

meissner's corpuscles
which type of corpuscle is for tactile stimuli?
pacini corpuscles
which type of corpuscle is for vibration stimuli?