1/15
Looks like no tags are added yet.
Name | Mastery | Learn | Test | Matching | Spaced | Call with Kai |
|---|
No analytics yet
Send a link to your students to track their progress
How can amphetamine intoxication be distinguished VS dyspnoea?
Amphetamines = open mouth breathing but animal is able bodied, walking around well
Inspiratory effort
Extrathoracic (upper) airway disease
Expiratory effort
Intrathoracic (lower) airway disease
Asynchronous/inverse breathing patterns + decreased lung/heart sounds
Pleural space disease
Inverse breathing patterns = e.g. inspiration while thorax contracts
Increased/moist auscultation findings (crackles)
Parenchymal diseases
Where does a high pitched noise on inspiration localise the problem to?
Larynx = collapses instead of expanding
Laryngeal paralysis (ageing large breeds = labs)
Laryngeal lymphoma (cats)
Upper resp tract dyspnoea differentials
(Upper resp tract = inspiratory)
BOAS
Hyperthermic, hypercapnic, chronic stress = laryngeal oedema
Laryngeal paralysis
Polyps (cats, insidious onset)
Viral infections (cats, can be very inflammatory)
Neoplasia (lymphoma, SCC)
What does a goose honk cough suggest?
Tracheal collapse
Which cat breed is susceptible to asthma?
Siamese
Which dog breed is susceptible to tracheal/bronchial collapse?
Yorkies
A cat tolerates its arm being pulled from the elbow more than having it being pulled distally. What does this suggest?
Pleural effusion
In a dog, the thoracic wall expands and the abdominal wall is drawn in during inspiration. What does this suggest?
Diaphragmatic rupture
Where do you perform a thoracocentesis in a small animal?
Cranial to ribs 7-9
Dorsal for gas, ventral for fluid
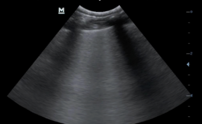
Best site to find smaller volumes of pleural effusion on ultrasound
Between caudal heart and cranial liver
Also cranial to heart
How do you rule out pneumothorax at a site being ultrasounded?
Glide sign = shimmering white lines that move laterally

What are these lines?
B lines → something is wrong within 1mm periphery of the lung