29b: Type III Hypersensitivity

0.0(0)
studied byStudied by 0 people
full-widthCall with Kai
GameKnowt Play
learnLearn
examPractice Test
spaced repetitionSpaced Repetition
heart puzzleMatch
flashcardsFlashcards
Card Sorting

1/48

encourage image

There's no tags or description

Looks like no tags are added yet.

Study Analytics
Name
Mastery
Learn
Test
Matching
Spaced

No study sessions yet.

49 Terms

1
New cards

another name for type III hypersensitivity

antibody complex-mediated

2
New cards

list cell types involved in TIII hypersens

-immune complexes of circulating antigens

-IgM, IgG antibodies deposited in vascular BM

-neutrophils, macrophages, mast cells, complement

3
New cards

when does tIII hypersens develop

when antigens and antibodies form immune complexes that trigger severe damage caused by neutrophils (if in lg amounts)

4
New cards

what is req for TIII to occur

pre-exposure w development of antibodies

5
New cards

whats the prereq for immune complex disease

persistent presence of soluble antigen and antibody

6
New cards

what does persistent presence of soluble antigen and antibody form

insoluble immune complexes that become trapped on the BM of small blood vessels

7
New cards

clinical sites and time for tIII rxn

skin, lungs, kidneys, joints, brain (lg capillary beds)

6-8 h

8
New cards

step 1 and 2 in mechanism of type III herpersens

  1. immune complexes lodged in tissues

  2. activate classical component pathway

9
New cards

step 3 and 4 in mechanism of type III herpersens

  1. generates chemotactic peptides that attract neutrophils

  2. gets frustrated cant phagocytize bc too big

10
New cards

step 5 and 6 in mechanism of type III herpersens

  1. neutrophils release oxidants and enzymes anyways

  2. acute inflammation and tissue destruction

11
New cards

importance of C3a, C4a, C5a

also called anaphylatoxins since they can kill an animal in a manner similar to anaphylaxis by causing mast cells to release histamine granules aka pro inflammatory

12
New cards

what are the 2 major forms of type III hypersensitivity

localized and generalized/systemic

13
New cards

describe basic mechanism of localized type III

-immune complexes are deposited in tissues and rxn is seen at site of antigen entry

-preformed antibody binds to antigen

-immune complexes stay localized

14
New cards

describe basic mechanism of generalized/systemic type III

-excess antigen in circulation

-circulating antibody binds to antigen = free floating immune complexes in blood

-immune complexes circulate and get deposited in blood filtration

15
New cards

differentiate local hypersensitivity

if an antigens injected/inhaled to animal with high level of antibodies, causes arthus rxn - acute inflammation. Local hemorrhage/thrombosis occur and if severe necrotic tissue

16
New cards

examples of local hypersens

insect bite, booster vacc, farmer’s lung, blue eye in dogs, chronic pulmonary disease in horses

17
New cards

how are mast cells in type I diff from type III

-instead of IgE, receptors stimulated by complement (C3a, C5a) or IgG

-only some granules released

18
New cards
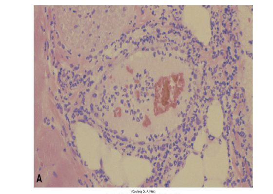
<p>whats this show</p>

whats this show

arthus rxn in cat after vacc

19
New cards

whats blue eye from

natural infection a canine adenovirus 1 or vaccination of modified live vacc, develops 1-3 weeks after infection onset

20
New cards
<p>blue eye symptoms</p>

blue eye symptoms

-cloudy cornea w opacity and anterior uveitis

-immune complex form due to virus release from infected corneal endothelial cells causing damage/corneal edema

21
New cards

pathogenesis of local type III hypersens 1st step

  1. macrophages release NO causing tissue destruction and release cytokines that bring in neutrophils

22
New cards

what cytokines are used during type III

IL1 and TNF alpha

23
New cards

pathogenesis of local type III hypersens 2nd step

neutrophils die even if they cant phagocytize a big particle and dumps granules anyways (frustrated phagocytosis). Granules release protease to cause inflammation and tissue destruction

24
New cards

pathogenesis of local type III hypersens 3rd step

mast cells stimulated w IgG/IgM and aren’t fully activated so degranulation is slow and incomplete but still leads to tissue destruction

25
New cards

what is hypersens pneumonitis

a type III hypersensitivity rxn that occurs in lungs when sensitized animals inhale antigens like molds, dust, chemicals

26
New cards

how do cattle and horses susceptible to Hyper. Pneumonitis

housing in winter exposed to dusty feeds and moldy hay

27
New cards

what are saccharopolyspora rectivirgula

most important thermophilic actinomycetes that make very small inhalable spores to penetrate alveoli

28
New cards

what happens when inhaled spore antigens encounter antibodies

results in immune complexes and complement activation leading to pneumonia

29
New cards
<p>whats this pic show</p>

whats this pic show

cow lung that died 24 hrs after eating moldy hay. alveoli are fluid filled and walls are thick and inflamed. condition is aseptic.

30
New cards

what spores cause farmers lung

saccharopolyspora rectivirgula spores.

31
New cards

clinical features of farmers lung

pneumonia w/in 5-10 hrs of exposure to mold, trouble breathing, severe cough. acute alveolitis. treat w corticosteroids.

32
New cards

differentiate systemic type III

-triggered in sensitized individuals after antigen is injected

-immune complexes form in the bloodstream & deposited at blood/plasma filtration sites

-systemic inflammation

33
New cards

list the factors that influence deposition of immune complexes

  1. size/amt of circulating immune complex

  2. ability of host to clear immune complexes from circulation

    1. anatomic/hemodynamic factors influence where complexes deposit

34
New cards

common locations occuring at filtration points

blood vessels, glomeruli in kidneys, synovia in joints, choroid plexus in brain

35
New cards

when does acute serum sickness occu

when lg amt of passively administered serum from a diff species causes a rxn about 10 days later (anti-toxin, IgG)

36
New cards
<p>symptoms of acute serum sickness</p>

symptoms of acute serum sickness

generalized vasculitis, erythema, edema, urticaria, neutropenia, lymph node enlargement, joint swelling

37
New cards

how did serum sickness originate

using horses to generate large volumes of serum anti toxins

38
New cards

whats the time course of serum sickness

about 10 days later Ag and Ab get complexes

39
New cards

is chronic drug exposure an example of type III hypersens rxn

yes! like IgG mediated penicillin drug reactions,sulphonamides

40
New cards

whats the methimazole drug reaction

methimazole stops thyroid hormone synthesis by interfering w iodine incorporation

41
New cards
<p>adverse rxns to methimazole</p>

adverse rxns to methimazole

skin reactions, GI, polyarthritis, agranulocytosis, arthralgias

42
New cards

glomerulonephritis

major lesion for erlichiosis

43
New cards

purpura hemorrhagica

major lesion for strangles

44
New cards
<p>describe glomerulonephritis </p>

describe glomerulonephritis

-immune complex deposition in glomeruli causing BM thickening and glomerular cell proliferation

-epithelial,endothelial,mesangial cells can proliferate

45
New cards

describe purpura hemorrhagica in equines

related to prior bouts of strangles and vaccine strep. equi upper resp infection

46
New cards
<p>signs of purpura hemorrhagica </p>

signs of purpura hemorrhagica

swelling of blood vessels of head, legs, underbelly. red spotting on gums, bleeding and. seeping from skin

47
New cards

severe purpura hemorrhagica

skin dies/sloughs. can affect lungs, muscles, kidneys, lameness, laminitis, colic, neurological signs, due to improper Ag-Ab comlexes

48
New cards
<p>how does lupus form</p>

how does lupus form

systemic lupus erythematosus mediated by self nuclear antigens. the antigen is constantly supplied. immune system sees DNA after cell dies and generages anti-DNA lg

49
New cards

what’s it called when immune complexes trigger severe inflammation when deposited in lg amounts of tissues

type III hypersens

Explore top flashcards

SCI | QUARTER 4
Updated 850d ago
flashcards Flashcards (56)
PhysD2 Ex1
Updated 614d ago
flashcards Flashcards (220)
Skeleton System
Updated 1028d ago
flashcards Flashcards (120)
AP2 Practical #2
Updated 531d ago
flashcards Flashcards (305)
voorvoegsels
Updated 11d ago
flashcards Flashcards (47)
SCI | QUARTER 4
Updated 850d ago
flashcards Flashcards (56)
PhysD2 Ex1
Updated 614d ago
flashcards Flashcards (220)
Skeleton System
Updated 1028d ago
flashcards Flashcards (120)
AP2 Practical #2
Updated 531d ago
flashcards Flashcards (305)
voorvoegsels
Updated 11d ago
flashcards Flashcards (47)