1/105
Looks like no tags are added yet.
Name | Mastery | Learn | Test | Matching | Spaced | Call with Kai |
|---|
No analytics yet
Send a link to your students to track their progress

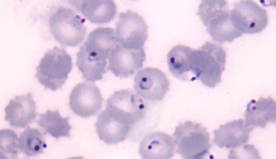
Plasmodium falciparum - Zarodzieć sierpowaty - postać pierścienia (niedojrzały trofozoit)

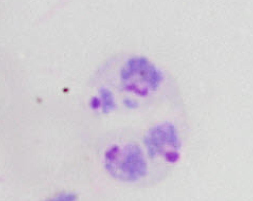
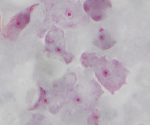
Plasmodium falciparum - Zarodziec sierpowaty - Gametocyt

Plasmodium vivax - Zarodziec ruchliwy - postać pierścienia (niedojrzały trofozoit)

Plasmodium Vivax- Zarodziec ruchliwy - Trofozoit

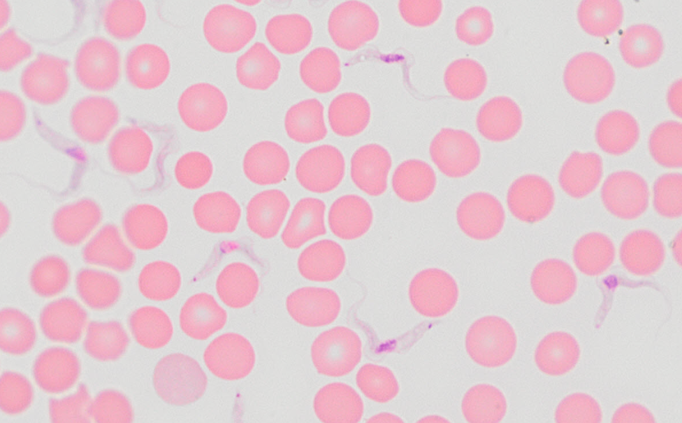
Trypanosoma brucei gambiense - Świdrowiec gambijski - Trypomastigota

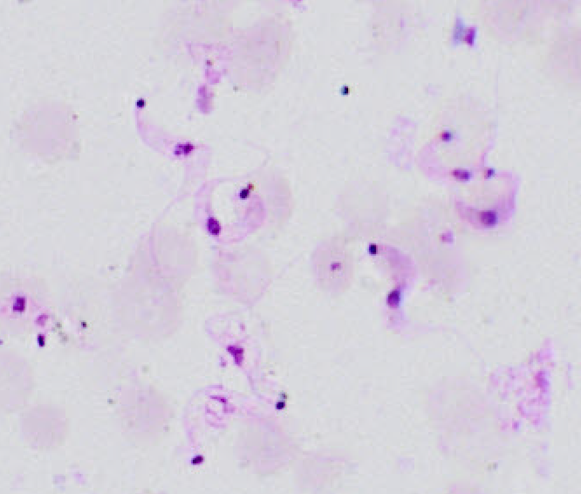
Trypanosoma cruzi - Świdrowiec amerykański - Trypomastigota

Leishmania tropica - /// - Amastigota

Leishmania tropica - /// - Amastigota

Leishmania tropica - /// - Promastigota

Leishmania tropica - /// - Promastigota

Loa loa - /// - Mikrofilarie

Loa loa - /// - mikrofilarie

Acanthamoeba castellanii - /// - Trofozoit

Acanthamoeba castellanii - /// - Trofozoit

Acanthamoeba castellanii - /// - Cysta

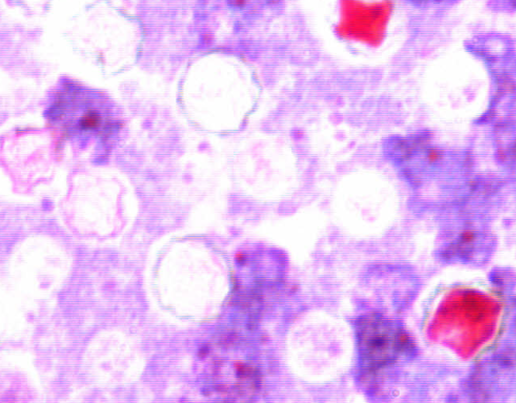
Entamoeba histolytica - Pełzak czerwonki - Trofozoit

Entamoeba histolytica - Pełzak czerwonki - Trofozoit (fagocytujący erytrocyty)

Entamoeba histolytica - Pełzak czerwonki - Cysta

Entamoeba histolytica - Pełzak czerwonki - Cysta

Cryptosporidium parvum - /// - Oocysta

Cryptosporidium parvum - /// - Oocysta

Fasciola hepatica - Motylica wątrobowa - Osobnik dojrzały

Fasciola hepatica - Motylica wątrobowa - Osobnik dojrzały

Fasciola hepatica - Motylica wątrobowa - Jaja

Fasciola hepatica - Motylica wątrobowa - Jajo

Fasciola hepatica - Motylica wątrobowa - Metacerkaria

Schistosoma mansoni - Przywra żylna - Osobnik dojrzały

Schistosoma mansoni - Przywra żylna - Jajo

Schistosoma mansoni - Przywra żylna - Furkocerkarie

Diphyllobothrium latum - Bruzdogłowiec szeroki - Strobila

Diphyllobothrium latum - Bruzdogłowiec szeroki - Proglodyt

Diphyllobothrium latum - Bruzdogłowiec szeroki - Jajo

Diphyllobothrium latum - Bruzdogłowiec szeroki - Jajo

Echinococcus granulosus - Tasiemiec bąblowcowy - Osobnik dojrzały

Echinococcus granulosus - Tasiemiec bąblowcowy - Wynicowany protoskoleks

Echinococcus granulosus - Tasiemiec bąblowcowy - Protoskoleksy z torbieli bąblowcowej

Echinococcus multilocularis - Tasiemiec wielojamowy - Torbiel z protoskoleksami

Trichuris trichiura - Włosogłówka ludzka - osobnik dojrzały (kobieta)

Trichuris trichiura - Włosogłówka ludzka - Osobnik dojrzały (mężczyzna)

Trichuris trichiura - Włosogłówka ludzka - Jajo

Ascaris lumbricoides - Glista ludzka - Osobniki dojrzałe

Ascaris lumbricoides - Glista ludzka - Jajo niezapłodnione (nieinwazyjne)

Ascaris lumbricoides - Glista ludzka - Jajo zapłodnione (nieinwazyjne)

Ascaris lumbricoides - Glista ludzka - Jajo zapłodnione (inwazyjne)

Toxocara canis - Glista psia - Osobniki dojrzałe

Toxocara canis - Glista psia - Jaja zapłodnione

Ancylostoma duodenale - Tęgoryjec dwunastnicy - Osobnik dojrzały (w jelicie cienkim)

Ancylostoma duodenale - Tęgoryjec dwunastnicy - Osobnik dojrzały

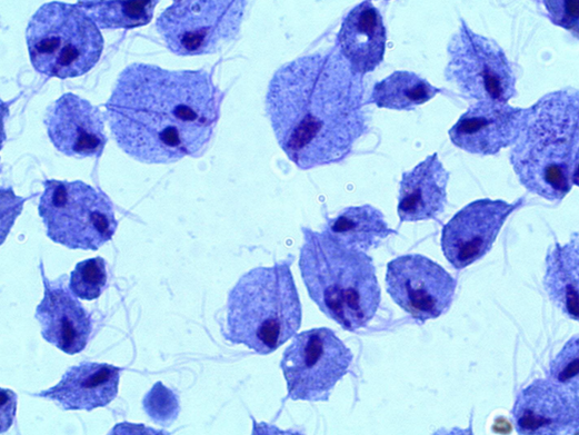
Trichomonas vaginalis - Rzęsistek pochwowy - Trofozoit

Trichomonas vaginalis - Rzęsistek pochwowy - Trofozoit

Enterobius vermicularis - Owsik ludzki - Osobnik dojrzały

Enterobius vermicularis - Owsik ludzki - Osobnik dojrzały

Enterobius vermicularis - Owsik ludzki - Osobnik dojrzały

Enterobius vermicularis - Owsik ludzki - Jaja

Demodex spp. - Nużeniec - Osobnik dojrzały

Demodex spp. - Nużeniec - Nimfy

Sarcoptes scabiei - Świerzbowiec ludzki - Osobnik dojrzały

Sarcoptes scabiei - Świerzbowiec ludzki - Osobnik dojrzały

Sarcoptes scabiei - Świerzbowiec ludzki - Osobnik dojrzały

Pediculus humanus - Wesz ludzka - Imago (samica)

Pediculus humanus - Wesz ludzka - Imago (samiec)

Pediculus humanus - Wesz ludzka - Jaja na włosach

Pthirus pubis - Wesz łonowa - Imago

Pthirus pubis - Wesz łonowa - Jajo

Pulex irritans - Pchła ludzka - Imago

Pulex irritans - Pchła ludzka - Imago

Cimex lectularius - Pluskwa domowa - Imago (samiec)

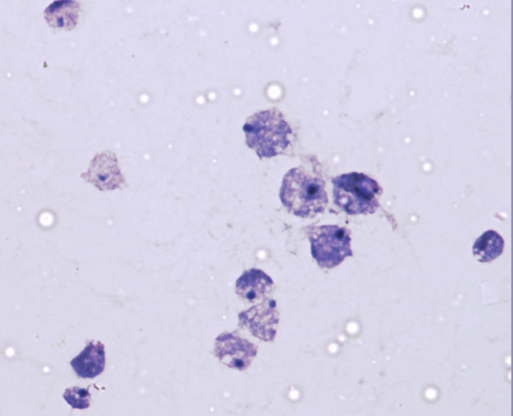
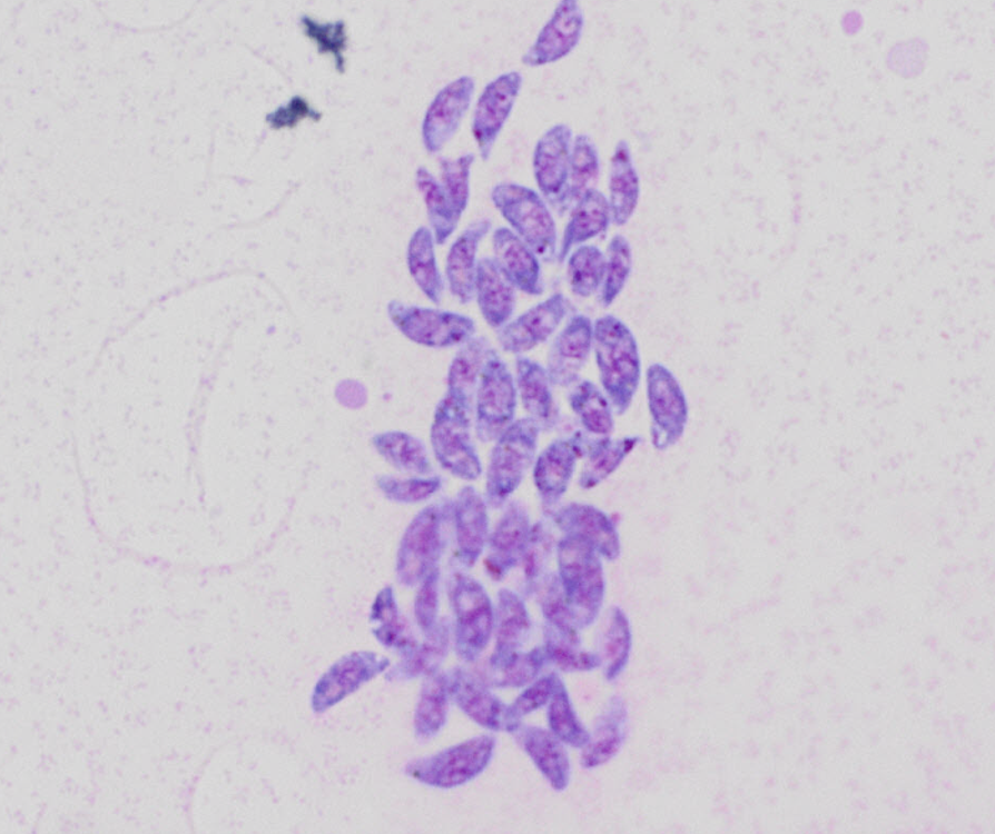
Toxoplasma gondii - /// - Trofozoity

Taenia saginata - Tasiemiec nieuzbrojony - Strobila

Taenia saginata - Tasiemiec nieuzbrojony - Proglodyt maciczny

Taenia saginata - Tasiemiec nieuzbrojony - Jaja

Taenia saginata - Tasiemiec nieuzbrojony - Cysticerus bovis (wągry)

Taenia solium - Tasiemiec uzbrojony - Skoleks

Taenia solium - Tasiemiec uzbrojony - Proglodyt maciczny

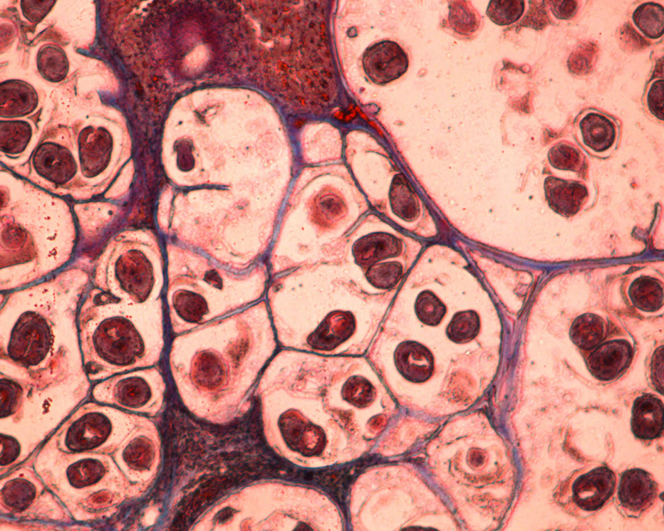
Taenia solium - Tasiemiec uzbrojony - Cysticerus cellulosae (wągry)

Taenia solium - Tasiemiec uzbrojony - Cysticerus cellulosae (wągry)

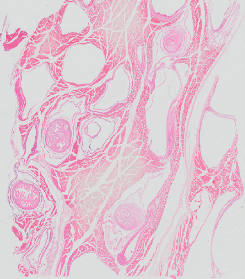
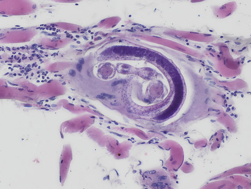
Trichinella spiralis - Włosień kręty - Larwa

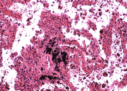
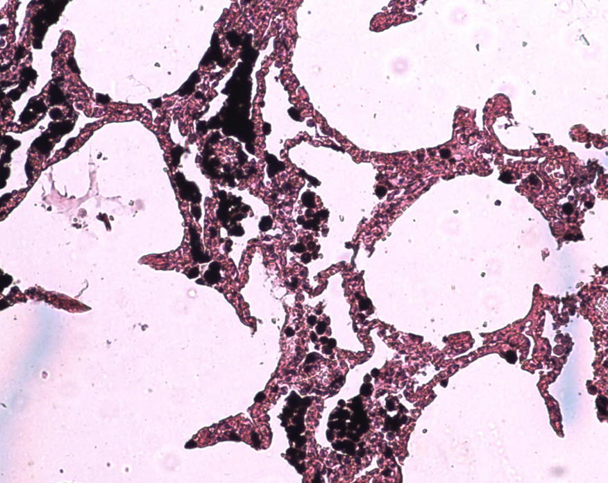
Homo sapiens - Człowiek rozumny - Płuco człowieka z pylicą węglową

Homo sapiens - Człowiek rozumny - Płuco człowieka z kurzem

Homo sapiens - Człowiek rozumny - Płuco zdrowego człowieka

Ixodes ricinus - Kleszcz pastwiskowy - Postać dojrzała

Ixodes ricinus - Kleszcz pastwiskowy - Postać dojrzała

Ixodes ricinus - Kleszcz pastwiskowy - Postać nassana

Anopheles maculipennis - Komar widliszek - Imago (samica)

Anopheles maculipennis - Komar widliszek - Larwa

Anopheles maculipennis - Komar widliszek - Narząd gębowy

Culex pipiens - Komar pospolity - Imago

Culex pipiens - Komar pospolity - Poczwarka

Culex pipiens - Komar pospolity - Larwy

Culex pipiens - Komar pospolity - Narząd gębowy

Musca domestica - Mucha domowa - Imago

Musca domestica - Mucha domowa - Poczwarka

Musca domestica - Mucha domowa - Larwa

Musca domestica - Mucha domowa - Jaja

Lucilia sericata - Mucha zielona - Imago

Sarcophaga haemorrhoidalis - Ścierwica - Imago

Allium cepa - Cebula zwyczajna - Profaza

Allium cepa - Cebula zwyczajna - Metafaza

Allium cepa - Cebula zwyczajna - Anafaza