1/6
Looks like no tags are added yet.
Name | Mastery | Learn | Test | Matching | Spaced | Call with Kai |
|---|
No analytics yet
Send a link to your students to track their progress

a. posterior pituitary, b. anterior pituitary

a. anterior pituitary, b. posterior pituitary

a. thyroid, b. parathyroid

adrenal cortex
b. capsule, c. zona glomerulosa

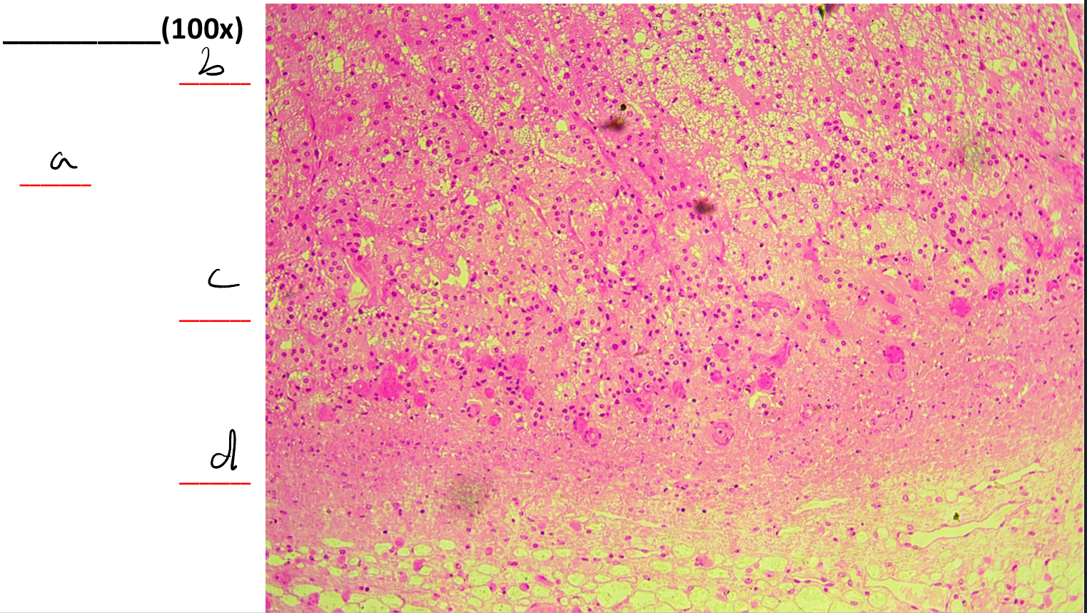
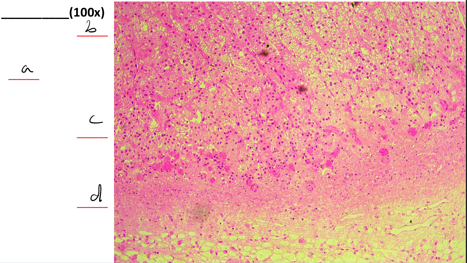
adrenal gland
b. zona fasciculata, c. zona reticularis, d. adrenal medulla

b. zona fasciculata, c. zona reticularis, d. adrenal medulla