1/8
Looks like no tags are added yet.
Name | Mastery | Learn | Test | Matching | Spaced | Call with Kai |
|---|
No analytics yet
Send a link to your students to track their progress
olfactory sense: nasal cavity
Three main parts
• Cutaneous region
• Respiratory region - Vomeronasal Organ
• Olfactory region

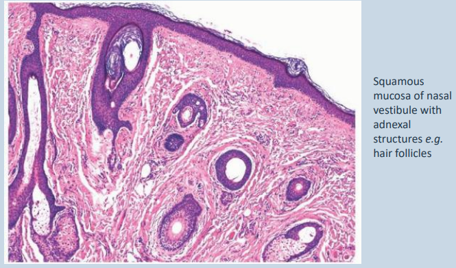
Cutaneous region (nasal vestibule)
Cutaneous region (nasal vestibule)
• Rostral region – keratinised stratified squamous epithelium
• Mid vestibule – thinner, non-keratinsed stratified squamous epithelium
• Caudal region – transitional zone (approaching respiratory epithelium) – varies from stratified cuboidal to non-ciliated pseudostratified columnar



respiratory region
• Caudal 2/3 of the nasal cavity
• Respiratory epithelium = ciliated pseudostratified columnar epithelium
• Contains several cell types (e.g. ciliated cells, secretory cells, brush cells, basal cells etc.)

vomeronasal organ
• Vomeronasal organ (VNO) – located in ventral portion of nasal septum
Bilateral blind-ended tubular organ
• Internal epithelial duct (vomeronasal duct)
• Middle propria submucosa
• External cartilaginous support
• Rostrally – incisive duct – connects the nasal cavity with the oral cavity (except horses – blind ended ventrally)

Lateral region of VNO
• Stratified cuboidal – rostral –incisive duct
• Ciliated pseudostratified columnar – caudal
Medial region of VNO - more important in detection of pheromones
• Pseudostratified columnar epithelium has neurosensory, sustentacular, and basal cells


olfactory epithelium
Olfactory region of nasal cavity
• Dorsocaudal portion of the nasal cavity
• Thicker epithelium, more tubular glands and many nerve fibres compared to respiratory region
Olfactory epithelium = ciliated pseudostratified columnar cells with:
• Neurosensory olfactory cells (bipolar neurons) – connect to olfactory bulb via olfactory nerve (CN I) passing through cribiform plate of ethmoid bone
• Support cells / sustentacular cells (columnar cells with narrow base and wide apical portion)
Olfactory glands
• Located in the lamina propria / submucosa, contain pigmented cells (see image)
• Squamous cells line the ducts to the epithelial surface
• Watery secretion to aid olfaction (snot)
Olfactory mucosa has very high levels of cytochrome P450 mono-oxygenase
• Primary site for chemically induced nasal tumours


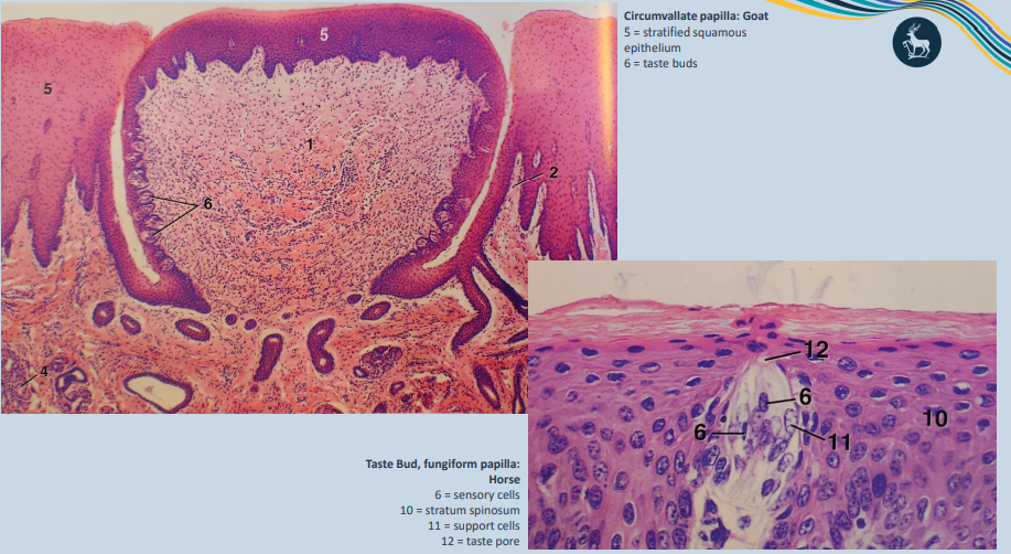
gustatory sense - tongue
Oral mucosa
• Stratified squamous epithelium
Dorsal surface of tongue has papillae
• Filiform
• Circumvallate
• Fungiform
• Foliate
Taste buds located in circumvallate, fungiform and foliate papillae
• Contain specialised taste cells
Filiform papillae responsible for touch
