1/6
Looks like no tags are added yet.
Name | Mastery | Learn | Test | Matching | Spaced | Call with Kai |
|---|
No analytics yet
Send a link to your students to track their progress

Lateral rectus muscle
Sclera
Choroid
Retina
Fovea centralis
Optic (II) nervee
Central retinal artery and vein
Optic disc (blind spot)
Medial rectus muscle
Vitreous chamber
Canal of schlemm
Suspensory ligaments
Lens
Cornea
Iris
Pupil
Posterior chamber
Anterior chamber
Suspensory ligaments
Ciliary process
Ciliary muscle


Anterior compartment
Cornea
Iris
Ciliary body
Choroid
Tapetum lucidum
Retina
Sclera
Pupil
Lens
Vitreous humor


Sclera
Iris
Choroid
Ciliary body
Vitreous humor
Lens
Cornea (through pupil)


Vitreous chamber
Sclera
Extrinsic rectus muscle
Retina
Choroid layer
Optic nerve


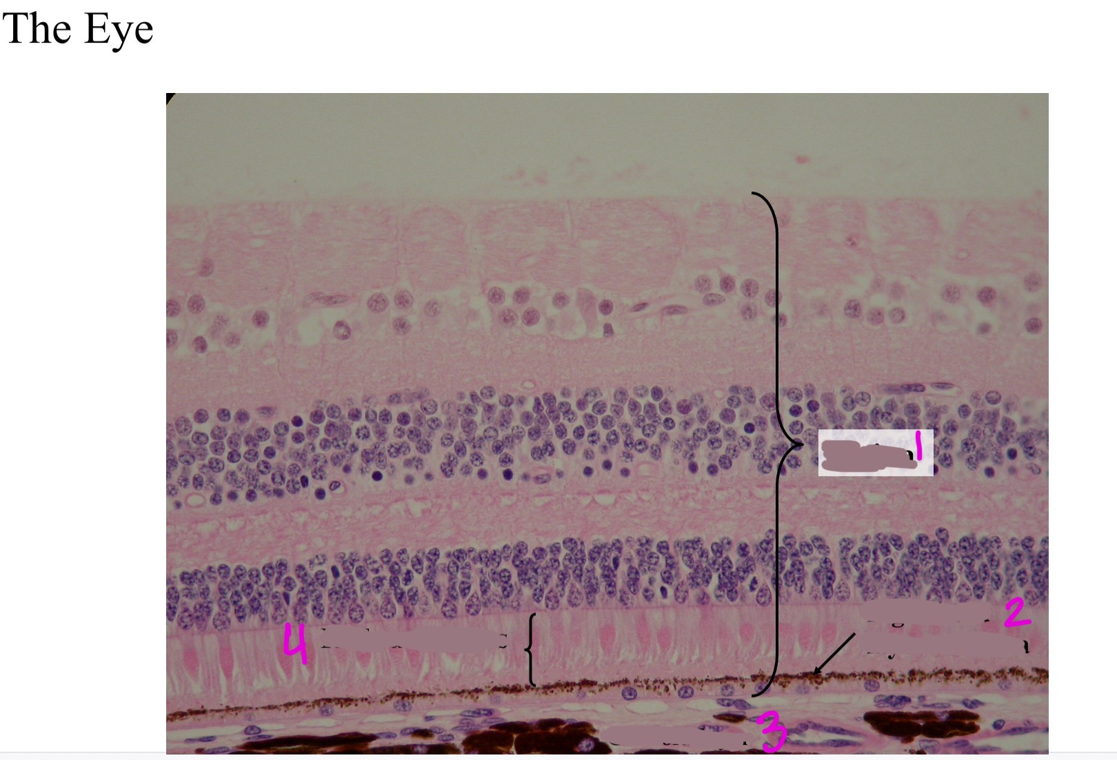
Retina
Pigmented layer of retina
Choroid layer
Rods & cones


Rods & cones
Pigmented layer of retina
Choroid layer


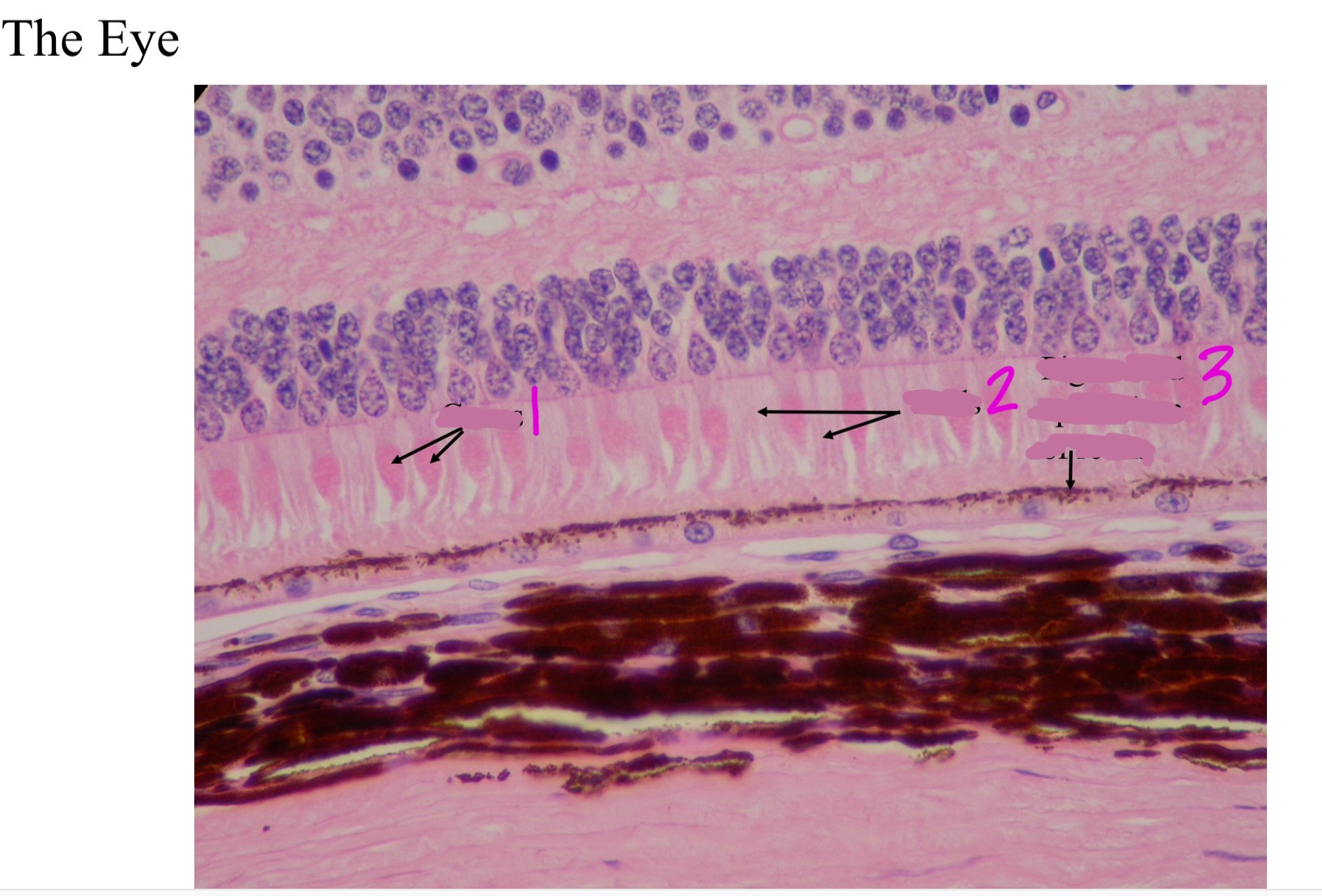
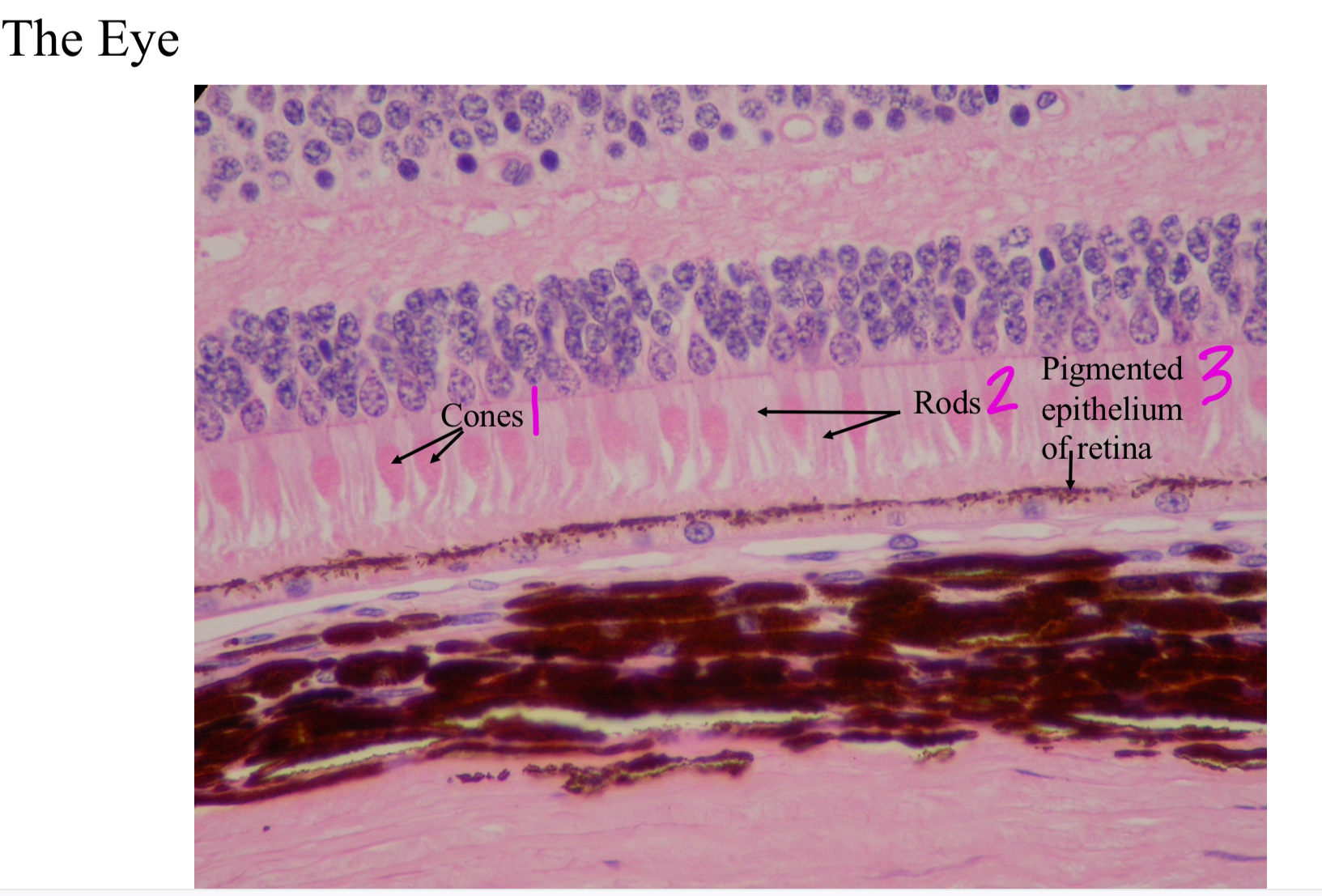
Cones
Rods
Pigmented epithelium of retina
