1/109
Looks like no tags are added yet.
Name | Mastery | Learn | Test | Matching | Spaced | Call with Kai |
|---|
No analytics yet
Send a link to your students to track their progress
A is hyperechoic compared to B
How does A relate to B in echogenicity?

Cranial to the left
Which is oriented correctly?

Anechoic
Describe a fluid-filled structure in echogenicity.
Image with better detail
Which has the higher mAs?
Size, shape, number, location, margination, opacity
What are the 6 Roentgen signs?
CT scan
Which would be best for surgical bone repair?
Air, fat, water, bone, metal
Order of scale; black to white
to reduce scatter
Why do we use collimation?
Quantity of xrays produced
What is mAs?
Positive contrast
What is the procedure for a ruptured bladder?
Free fluid
Radiograph; can't see much in abdomen - why?
Laminitis
Horse lame in all four legs; image of hoof
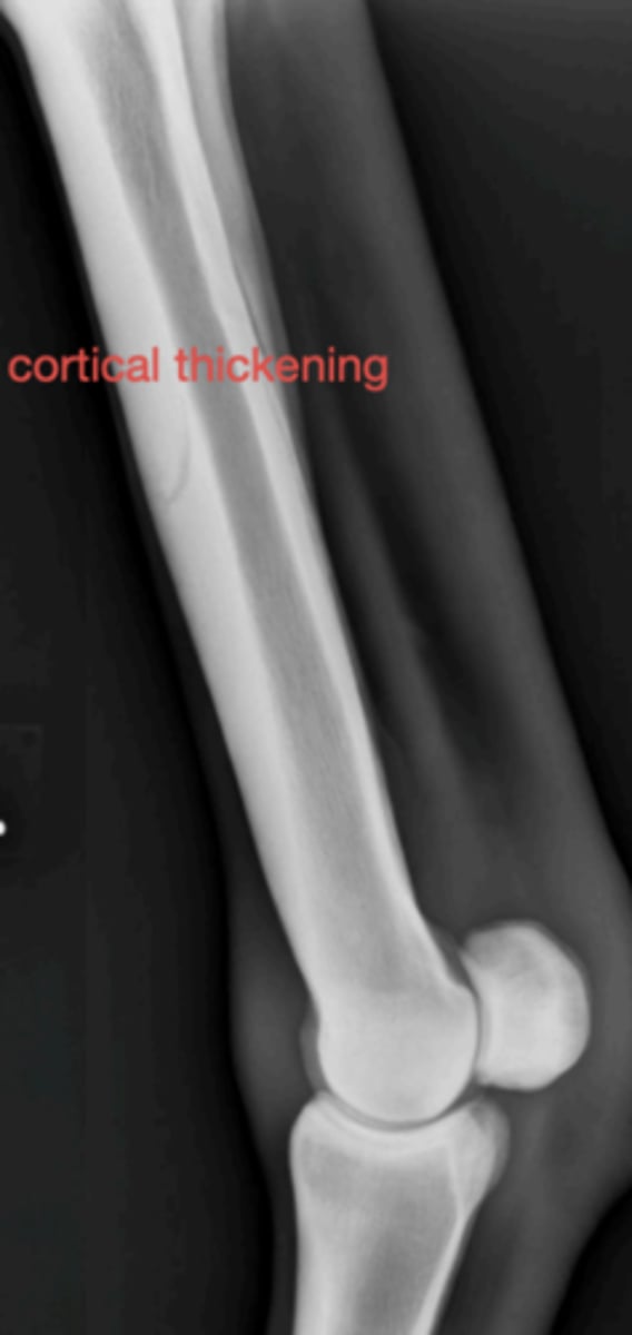
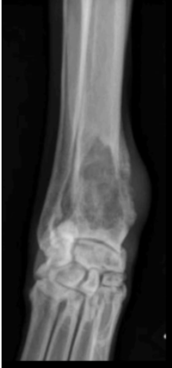
Metacarpal periositis
3 y/o horse with metacarpal pain; radiograph shows bone thickening- what caused this?

dorsopalmar oblique
Which shows the distal border of the navicular bone?

Lateromedial
What is the most important view for laminitis?
Renomegaly
Cat image with large kidneys and ureters- what is this called?

Odd behavior when under saddle
Lame on all four legs
Neck bent?
What is an indication for spinal radiographs?
Malalignment
What is wrong with this spine?

Linear foreign body
Dx of cat vomiting;
Sedation
2 yo chihuahua vomiting, sedated for radiographs, what is reason for splenomegaly?
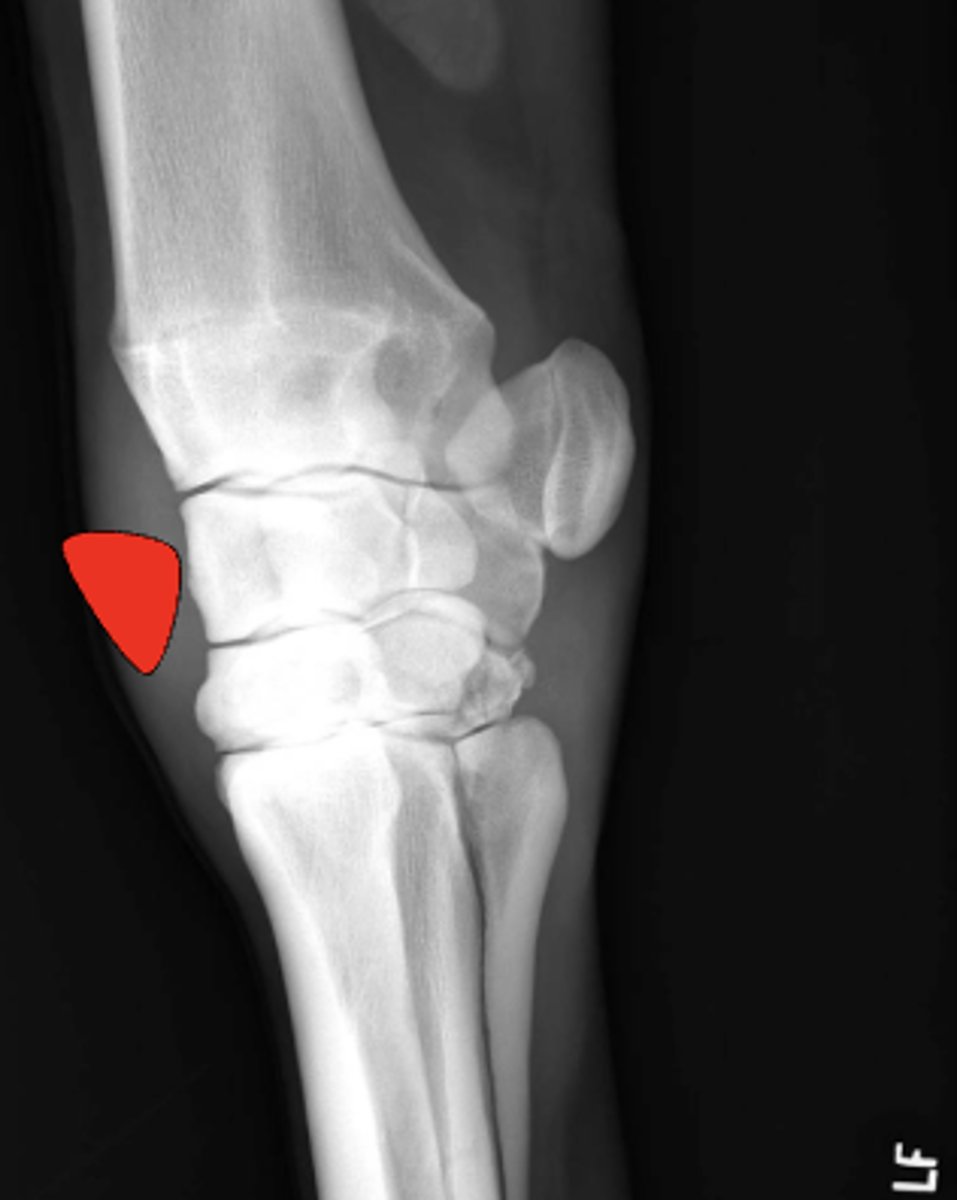
Medial femoral epicondyle
3 y/o horse lameness, effusion of stifle, where is the cyst?

left kidney
What structure is this?

Identify GI obstruction
Evaluate GI function
What are the uses of contrast?
T99
What radio drug is given for scintigraphy
Valgus
What is the term for lateral angulation?
GDV
10 yo lab with abdominal distention, panting- what has caused this?

4 hours
What is the Max time for the stomach to empty?
Navicular syndrome
A Horse lame in four digits- what has caused this?

Fat
What are these opacities on the cat?

Dorsal and lateral
Where to put the marker for equine fetlock radiographs?
Guttural pouch
What structure is this in a horse?

Caudal displacement of the stomach
Common with a large liver
Free gas
What is an indication for taking a horizontal beam radiograph?
adrenal gland
What organ is hard to see on radiographs?
Ureters
What is another organ that is hard to see on radiographs?
Liver
What organ is this?

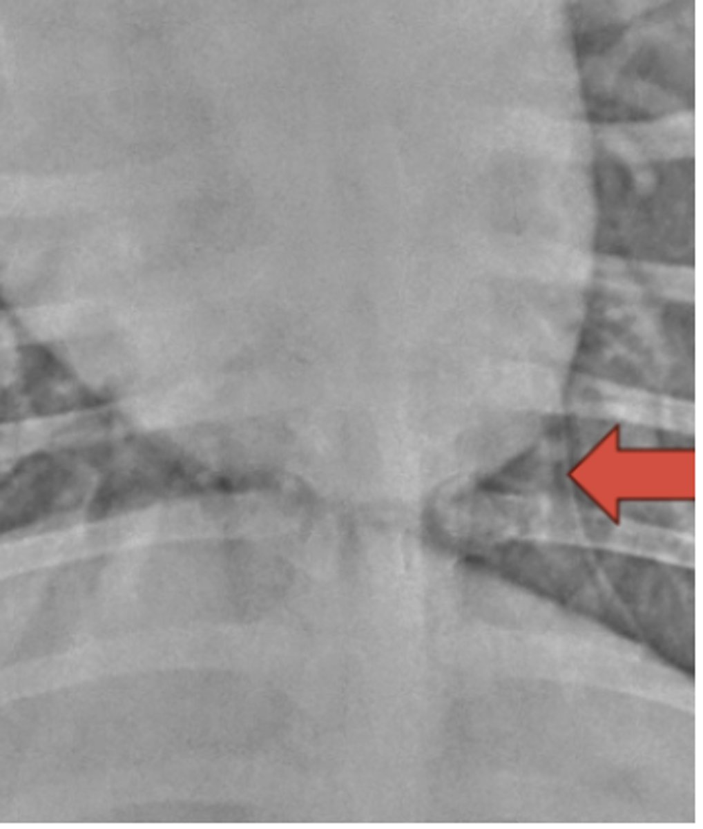
Dorsomedial
Where is this fragment located?

Type III
What fracture type is this?

Binds to hypoxyapetite
How is T99 taken up in the bone phase?
Costly to client
Not enough contrast material
What are the pitfalls of GI contrast?
Spleen
What organ is this?

OCD in distal tibia
2 yo horse w talocrural joint effusion; left hock lesion
Functional ileus
Dog vomiting and after radiographs a second radiograph reveals gas has decreased- what kind of ileus is this?

18F-sodium fluoride (18F-NaF) and 18Ffluorodeoxyglucose (18F-FDG)
What is the mechanism of PET scan?
Hepatomegaly
What is an enlarged liver called?
Gastroenteritis
3 yo MBD with diarrhea for 2 days- what has caused this?
CT scan
What Imaging is used for repairing fractures?
Pyometra
Female dog with vaginal discharge, vomiting, lethargy-what has caused this?

Megaesophagus
What occurs in a dog with a persistent right aortic arch?
Cardiomegaly from left atrial enlargement
Image of 6yo terrier with cardiac murmur and raspy lung- what do you see?

hepatomegaly/splenomegaly
What are the characteristics of right-sided heart failure?
alveolar
What lung pattern is this?

Mediastinal reflection
What structure is indicated by the arrow?

Center in on thorax and stretch thoracic limbs cranially
What changes would you make to this radiograph of a feline?

Structure interstitial
What lung pattern is this?

Pneumothorax
Dog with dyspnea and radiograph shows heart lifted dorsally- what has caused this?

Pleural effusion
Image where it's hard to see heart; what is the principle finding?

Split bronchi
What is seen on a radiograph for left atrial enlargement
Normal cardiac silhouette
Describe the heart in this image?
Megaesophagus
Patient with vomiting and regurgitation shows this radiograph- what do you see?

Bronchiolar
What Lung pattern of young cat with respiratory signs is this?

<2.5
What is the Size of this feline cardiac silhouette?
Tracheobroncolar
What lymph node is this?

Lobar signs
What is a characteristic of an alveolar pattern?
Interstitial lung pattern
What radiographic finding of this dog with Heartworm disease?

Metastatic disease
12 yo MN canine with inappetence, labored breathing, and weight loss- what is wrong with this dog?

Increased horizontal location of the heart
What is a normal variation of a geriatric cat?
seen on the image
Where is the left ventricle

megaesophagus
What can cause ventral displacement of the trachea?
3
How many radiograph views for the thorax?
Pulmonary artery enlargement
What radiographic changes are seen with heartworm disease?
Dilated cardiomyopathy
What is a Common cause of a globoid heart?
Panosteitis
10 y/o German Shepherd comes in with lameness on the right hind leg; what is the radiographic finding?

Hypertrophic osteodystrophy
6 month old Lab with distal limb swelling and the metaphysis is warm to the touch.- What is wrong with it?

Tibial tuberosity
What anatomical location is indicated by the arrow?

Alveolar
Which lung pattern prevents visualization of blood vessels?
Mineralization of intervertebral discs
What is going on with this radiograph?

Comminuted
What fracture type has bone in multiple pieces where you can't find and definite origin of fracture?
Spondylosis deformans
What abnormality is shown in this radiograph of the spine?

They should be aligned in a straight line
In a VD radiograph, how should you align the spinous processes?
Vertebral body
What is the anatomical structure indicated?

Long zone of transition
What is characteristic for an aggressive bone lesion?
Complete
Closed
Comminuted
What describes this bone fracture

For viewing lesions of the spinal column you may have missed on radiograph
Indication for myelography?
Type IV
Which Salter-Harris fracture is pictured?

General enlargement with left atrial enlargement
8 y/o FS german shorthair pointer presents with exercise intolerance after hunting; what do these radiographs show about the cardiac silhouette?

5 mm
What is the minimum size for a nodule to show up on radiographs?
Primary bone tumor
6 y/o dog lame on the limb shown- what kind of tumor is this?

Mineralized cartilaginous flap
What is a Common finding of OCD?
Flat femoral head
What is the most common finding of OCD in dog shoulder?
Mastiff
What breed is most common to have a retained cartilaginous core?
Incongruity
What radiograph condition a result of premature physeal closure?
Ill-defined margins
Irregular periosteal proliferation
Cortical lysis
Define an aggressive bone lesion?
Closed intervertebral space
What is seen in IVDD?
Osteophytes
A Wheaton terrier with chronic lameness shows this:

To evaluate ligamental damage
What is the primary reason for stress radiographs of a joint?
7 y/o GSH with extreme asymmetry of the skull
8 yo lab with something with nasal
Which would warrant radiographs of the skull?
Femoral condyles
With lateral radiographs of stifle joint, what should be aligned?
Core lesion
7 year old thoroughbred presents with acute lameness, swelling of metacarpal?; ultrasound shows this- what is this?

Mucosa to lumen
How do you measure the small intestine for dilation?