Lab 4 Biol 224 CSN

0.0(0)
studied byStudied by 0 people
full-widthCall with Kai
GameKnowt Play
learnLearn
examPractice Test
spaced repetitionSpaced Repetition
heart puzzleMatch
flashcardsFlashcards
Card Sorting

1/130

encourage image

There's no tags or description

Looks like no tags are added yet.

Study Analytics
Name
Mastery
Learn
Test
Matching
Spaced

No study sessions yet.

131 Terms

1
New cards

Palatine Tonsil

What is B?

<p>What is B?</p>
2
New cards

Lingual Tonsil

What is C?

<p>What is C?</p>
3
New cards

Pharyngeal Tonsil

What is A?

<p>What is A?</p>
4
New cards

Thymus

knowt flashcard image
5
New cards

Spleen

knowt flashcard image
6
New cards

Splenic Artery

knowt flashcard image
7
New cards

Splenic Vein

knowt flashcard image
8
New cards

Thoracic Duct

knowt flashcard image
9
New cards

Cisterna Chyli

knowt flashcard image
10
New cards

Right Lymphatic Duct

knowt flashcard image
11
New cards

Lymph Nodes

All yellow sacs

<p>All yellow sacs</p>
12
New cards

Cervical Lymph Nodes

knowt flashcard image
13
New cards

Submandibular Lymph Nodes

knowt flashcard image
14
New cards

Axillary Lymph Nodes

knowt flashcard image
15
New cards

Inguinal Lymph Nodes

knowt flashcard image
16
New cards

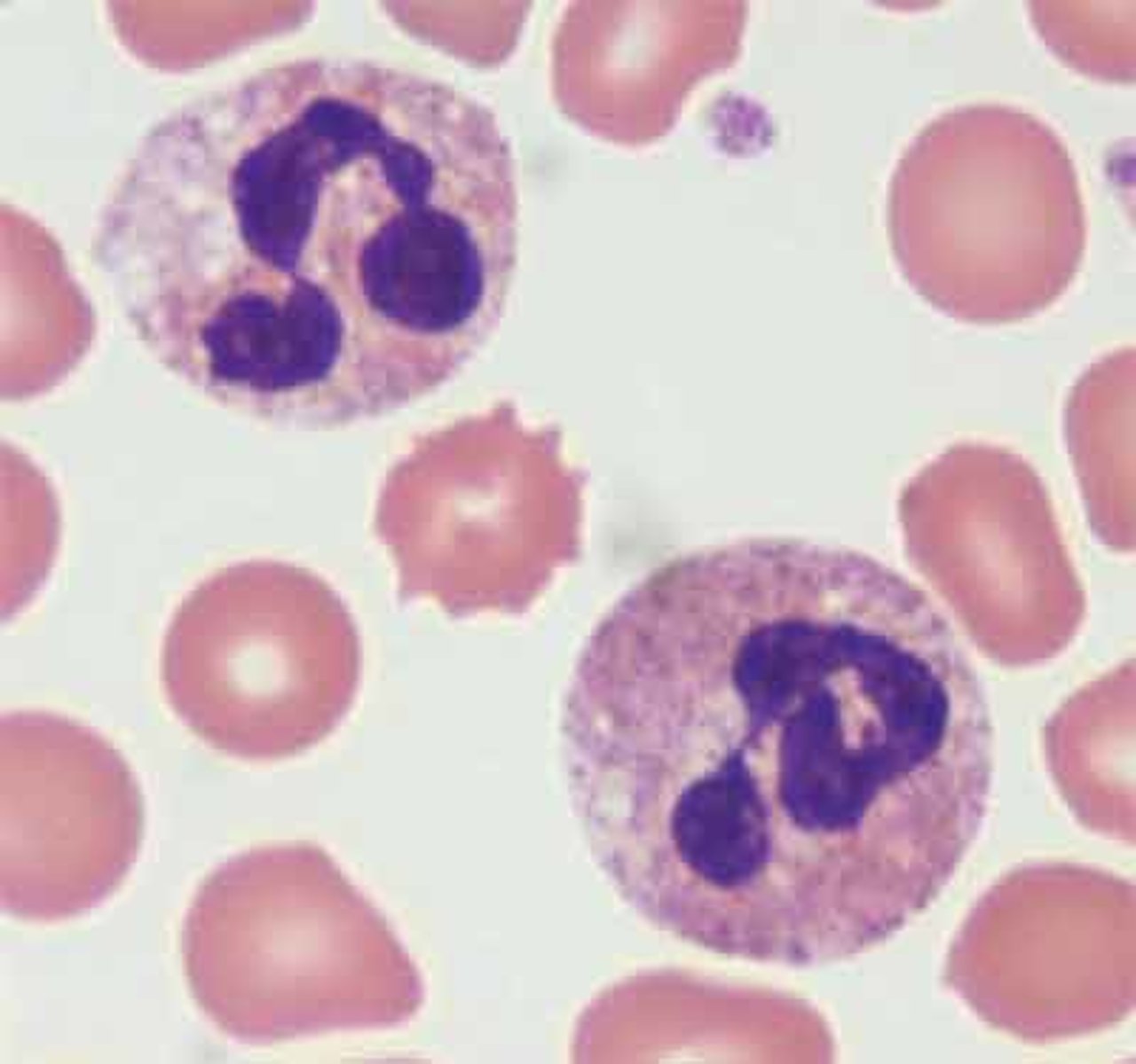
Neutrophils

knowt flashcard image
17
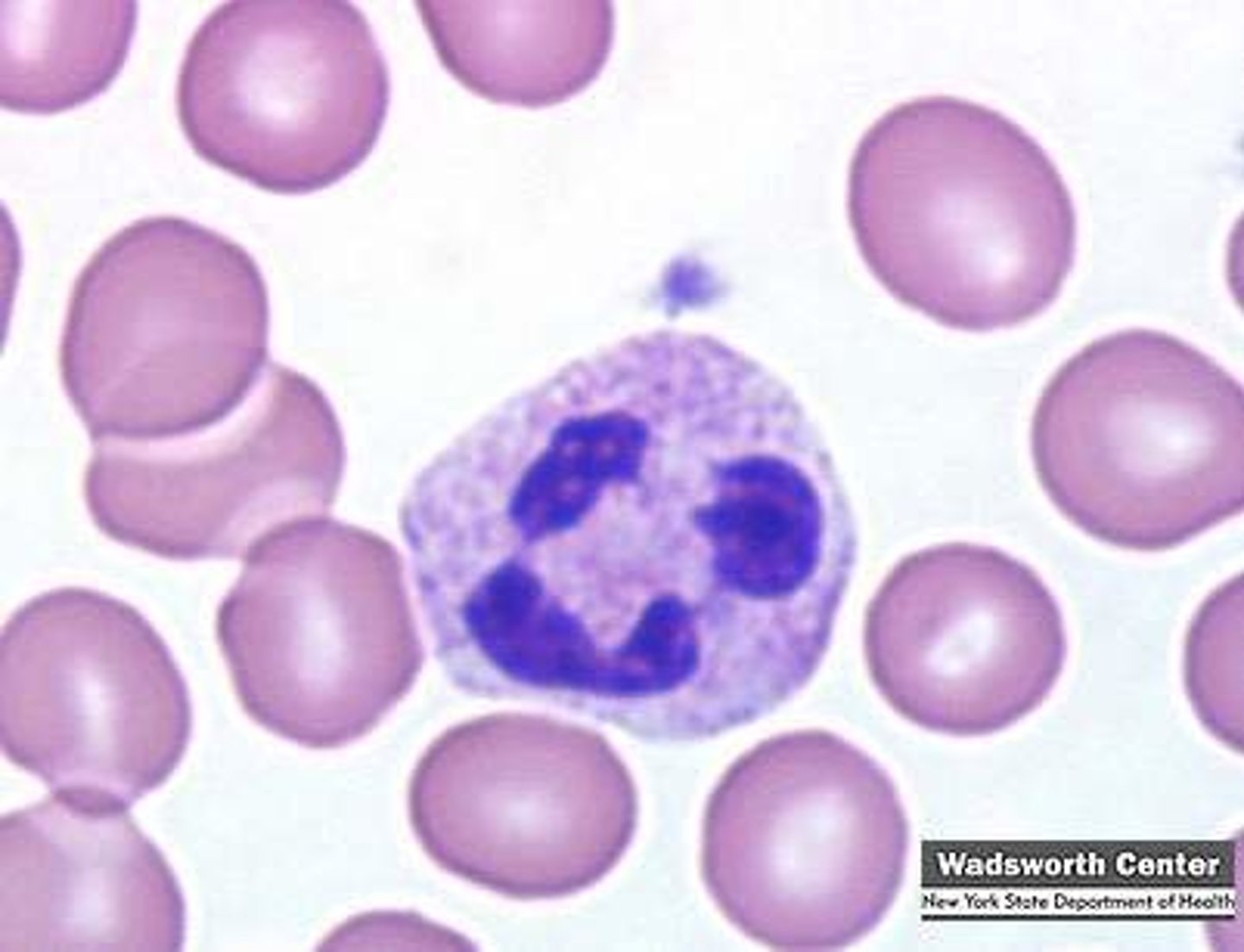
New cards

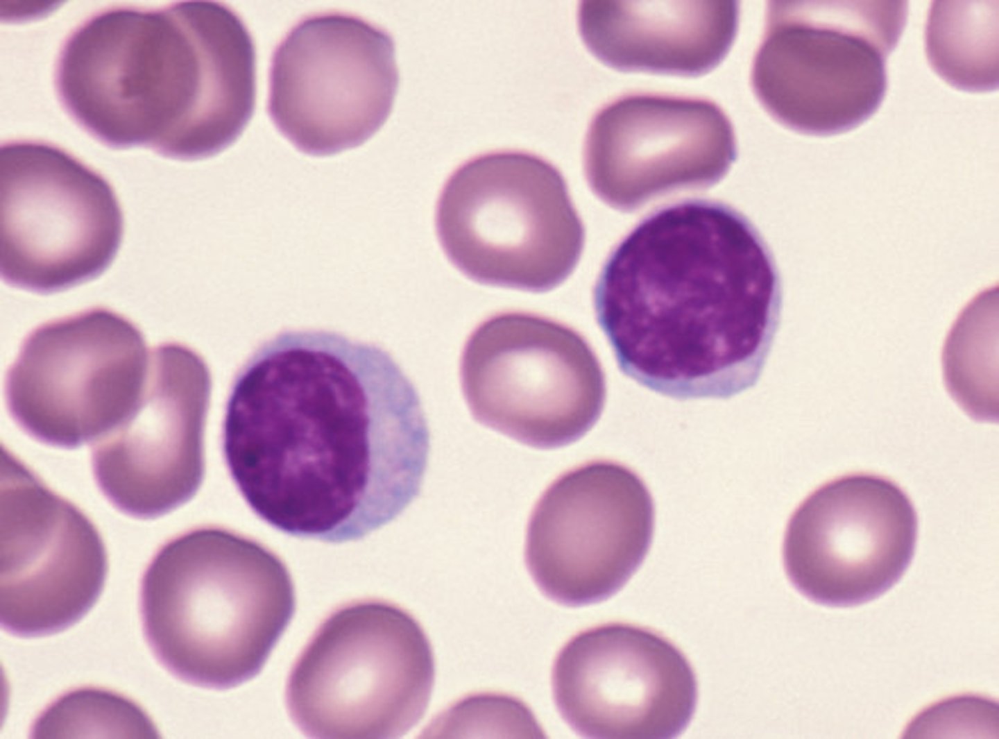
Lymphocytes

knowt flashcard image
18
New cards

Eosinophils

knowt flashcard image
19
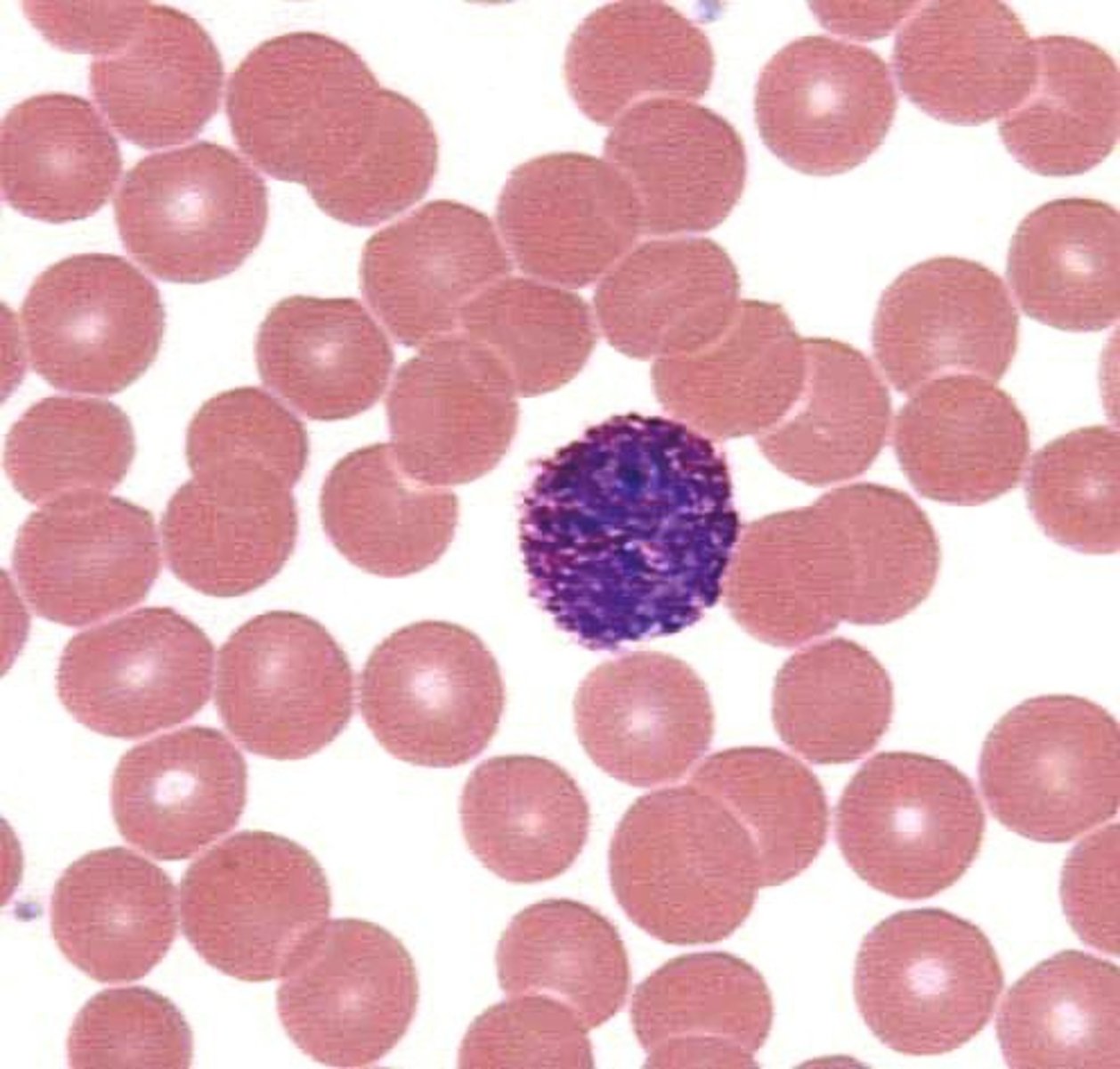
New cards

Monocytes

knowt flashcard image
20
New cards

Basophils

knowt flashcard image
21
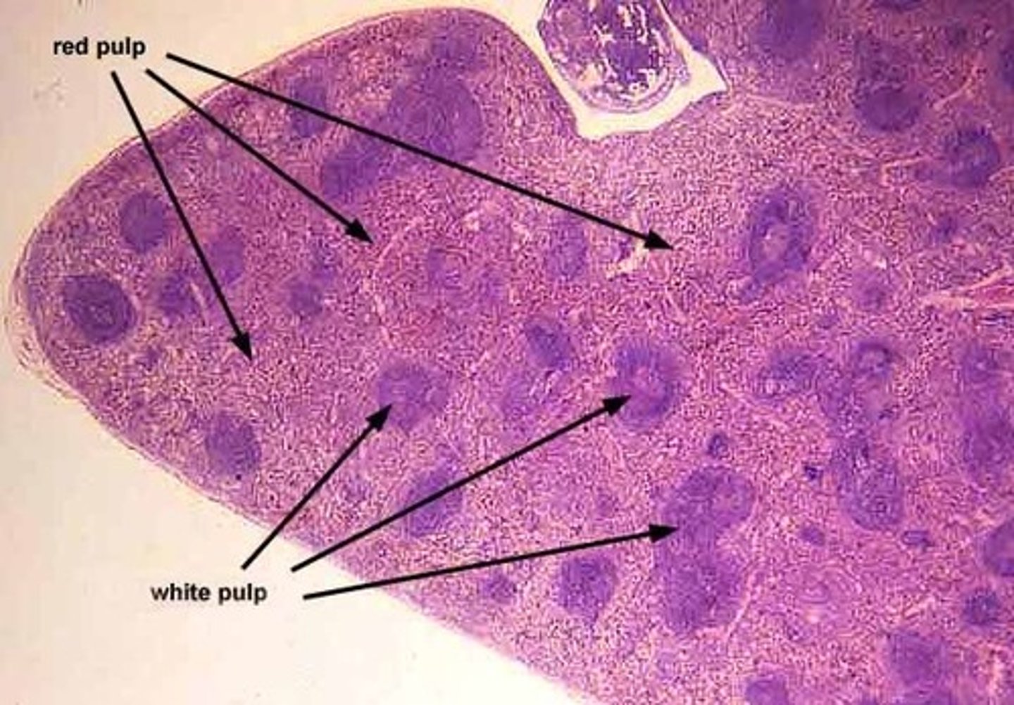
New cards

Spleen

What is the organ?

<p>What is the organ?</p>
22
New cards

Capsule

What is A?

<p>What is A?</p>
23
New cards

Trabeculae

What is B?

<p>What is B?</p>
24
New cards

Red Pulp

knowt flashcard image
25
New cards

White Pulp

knowt flashcard image
26
New cards

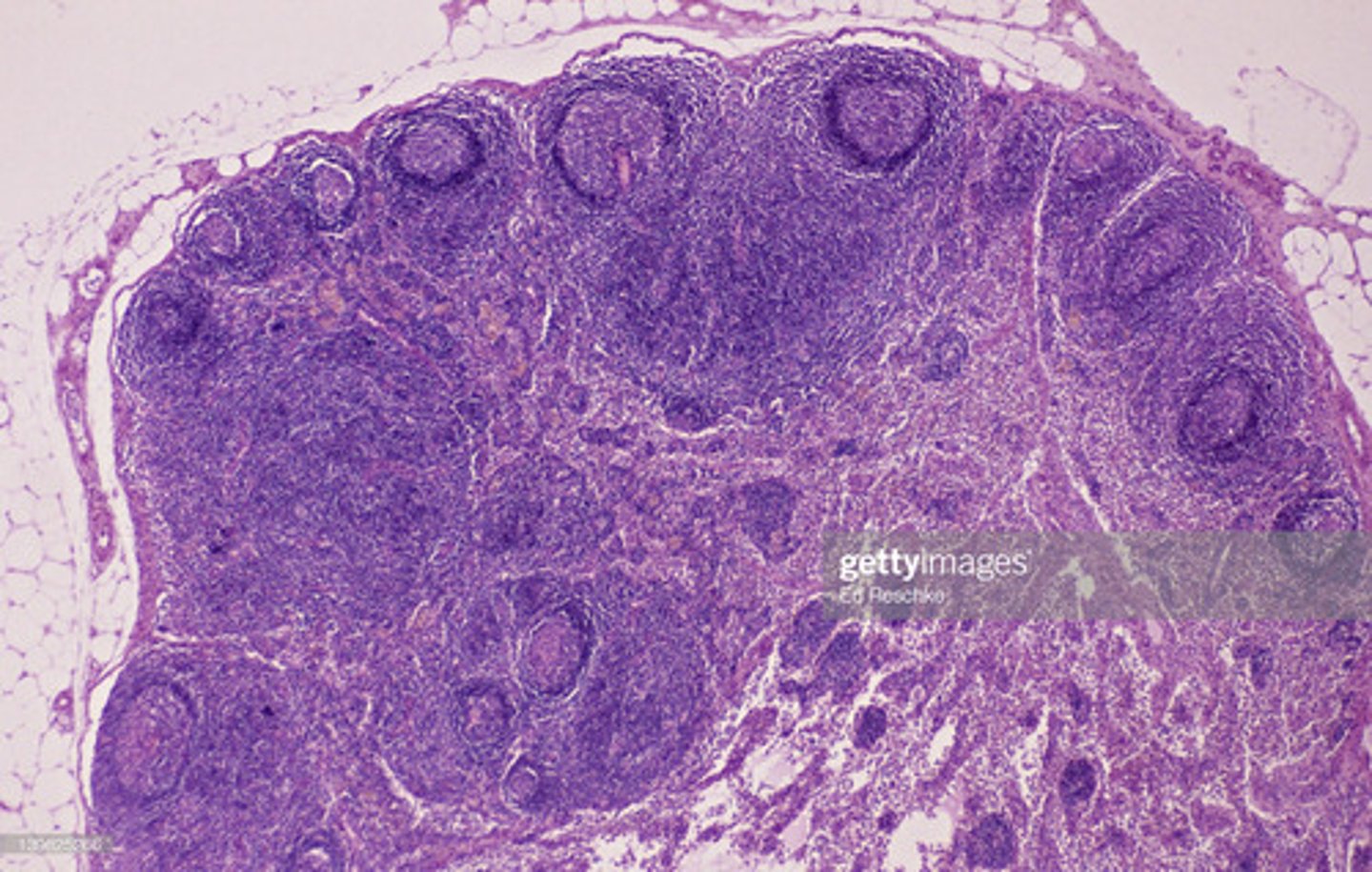
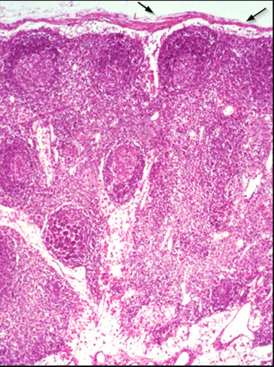
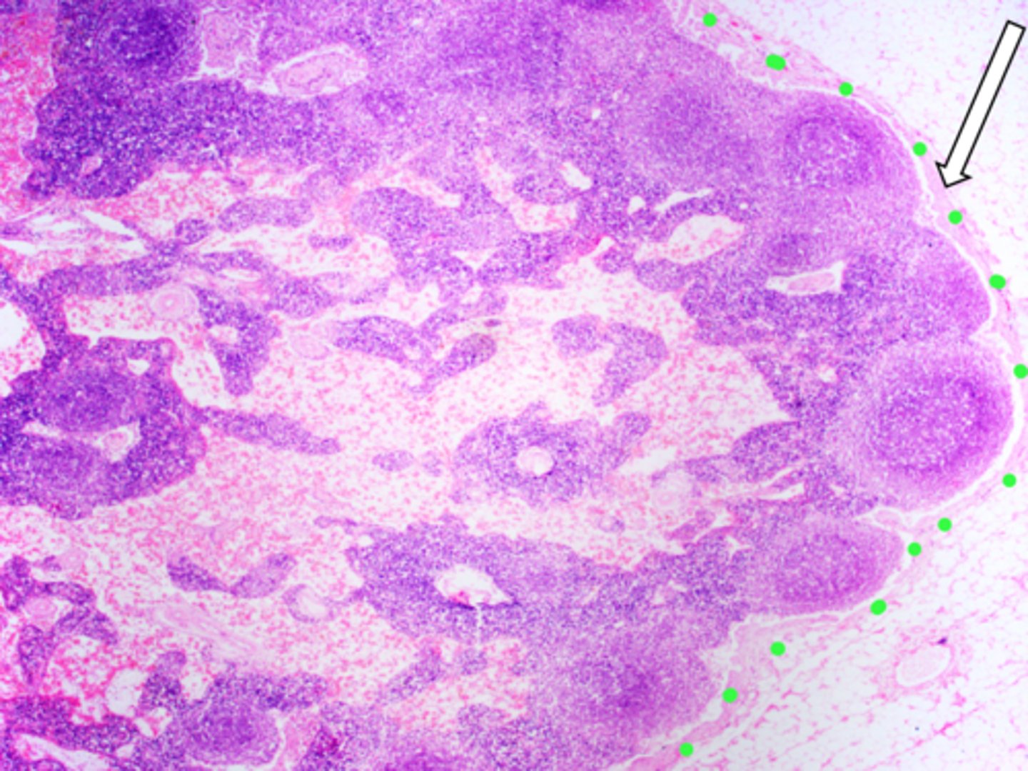
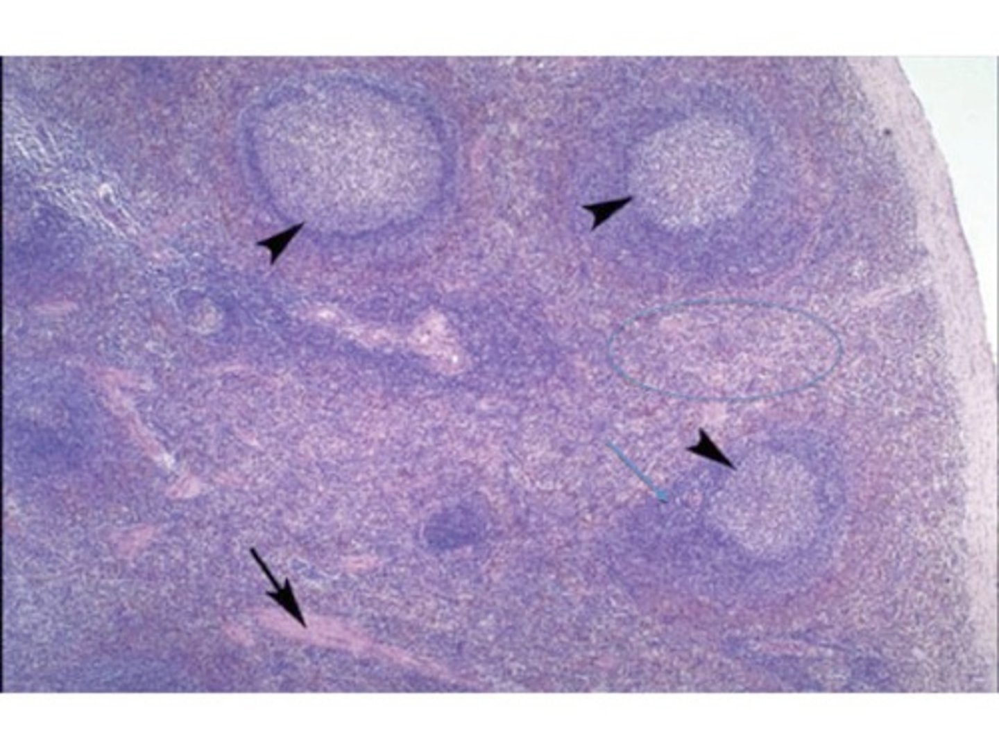
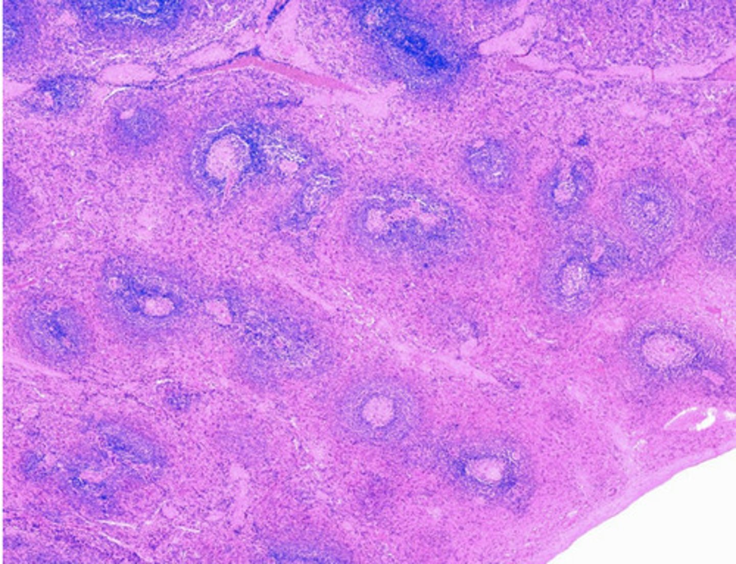
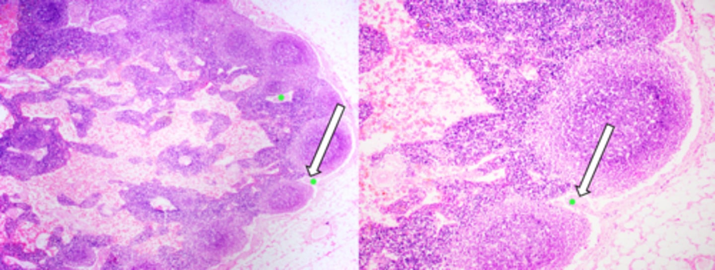
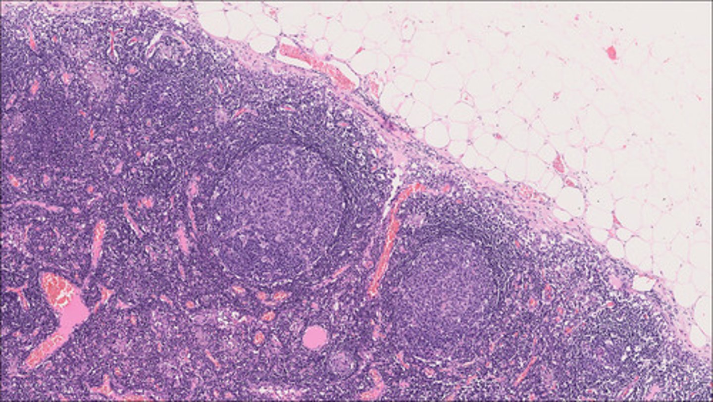
Lymph Node

What is the organ?

<p>What is the organ?</p>
27
New cards

Fibrous Capsule

knowt flashcard image
28
New cards

Trabeculae

knowt flashcard image
29
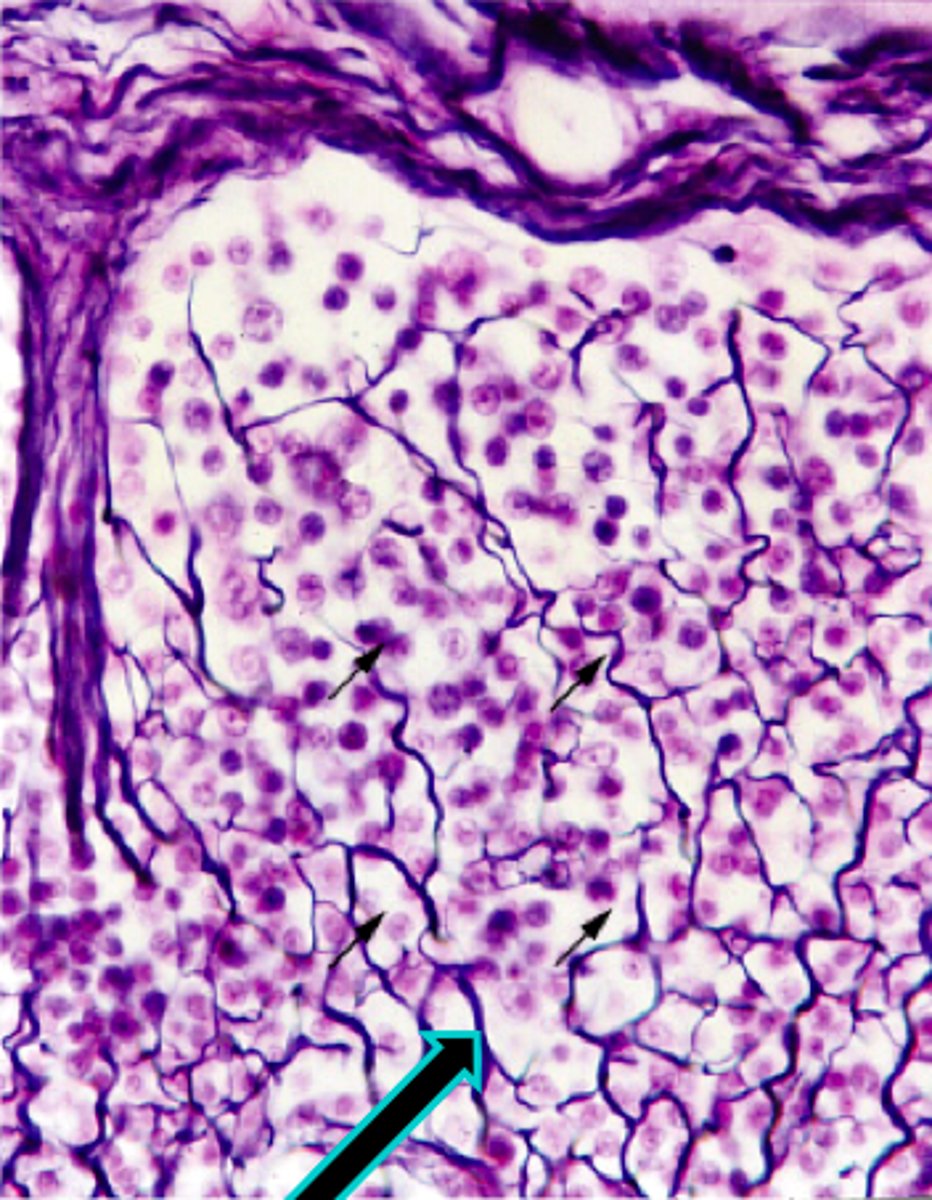
New cards

Reticular Fibers

knowt flashcard image
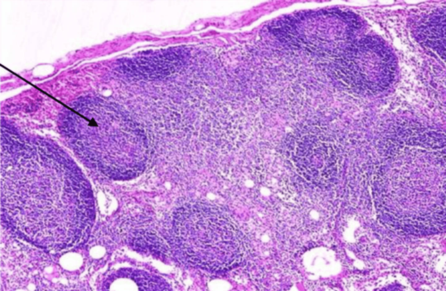
30
New cards

Cortex

knowt flashcard image
31
New cards

Medullary Cords

What is #7?

<p>What is #7?</p>
32
New cards

Germinal Center

knowt flashcard image
33
New cards

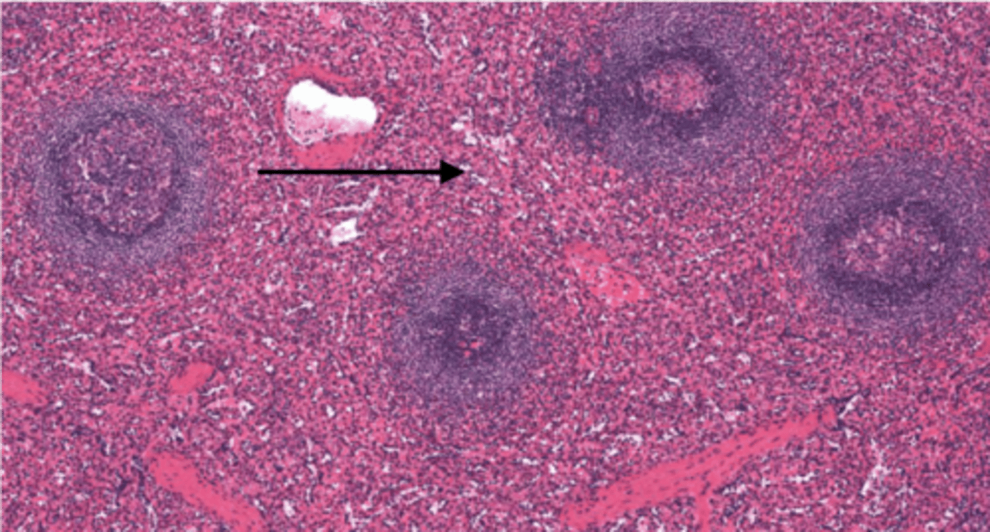
Lymphoid Nodules

What is the red circle?

<p>What is the red circle?</p>
34
New cards

The antibodies that may be present in plasma

What are agglutinins?

35
New cards

Fibrous Capsule

Identify the Structure

<p>Identify the Structure</p>
36
New cards

Germinal centers

Identify the Structure

<p>Identify the Structure</p>
37
New cards

Germinal Center

Identify the Structure

<p>Identify the Structure</p>
38
New cards

Efferent Lymphatics

Identify the Structure

<p>Identify the Structure</p>
39
New cards

Afferent Lymphatics

Identify the Structure

<p>Identify the Structure</p>
40
New cards

Axillary Lymph Nodes

Identify the Lymph Node Group

<p>Identify the Lymph Node Group</p>
41
New cards

Cervical Lymph Nodes

Identify the Lymph Node Group

<p>Identify the Lymph Node Group</p>
42
New cards

Submandibular Lymph Nodes

Identify the Lymph Node Group

<p>Identify the Lymph Node Group</p>
43
New cards

Inguinal Lymph Nodes

Identify the Lymph Node Group

<p>Identify the Lymph Node Group</p>
44
New cards

Right Lymphatic Duct

Identify the Structure

<p>Identify the Structure</p>
45
New cards

Thoracic Duct

Identify the Structure

<p>Identify the Structure</p>
46
New cards

Cisterna Chyli

Identify the Structure

<p>Identify the Structure</p>
47
New cards

Thymus

Identify the Structure

<p>Identify the Structure</p>
48
New cards

Spleen

Identify the Structure

<p>Identify the Structure</p>
49
New cards

Splenic Artery

Identify the Structure (RED)

<p>Identify the Structure (RED)</p>
50
New cards

Splenic Vein

Identify the Structure (BLUE)

<p>Identify the Structure (BLUE)</p>
51
New cards

Red pulp

Identify the Structure

<p>Identify the Structure</p>
52
New cards

White Pulp

Identify the Structure

<p>Identify the Structure</p>
53
New cards

Neutrophils, Eosinophils, Basophils

Which WBC's are the Granulocytes?

54
New cards

Monocytes and Lymphocytes

Which WBCs are agranulocytes?

55
New cards

Neutrophil

Name the leukocyte

<p>Name the leukocyte</p>
56
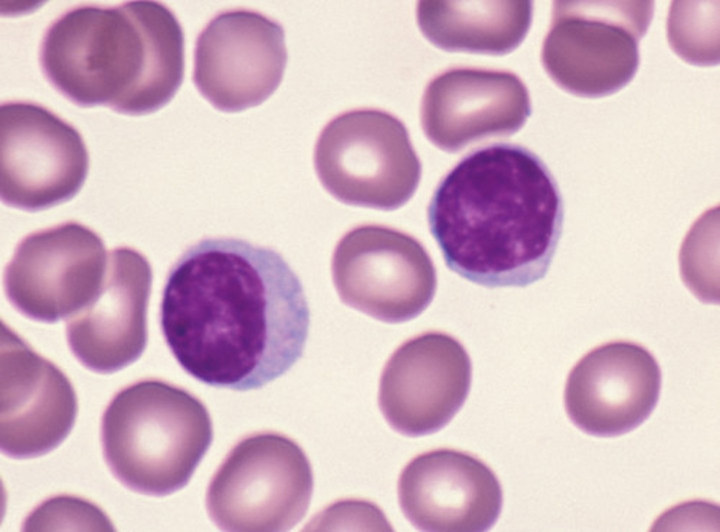
New cards

Lymphocytes

Name the leukocytes

<p>Name the leukocytes</p>
57
New cards

Monocyte

Name the leukocyte

<p>Name the leukocyte</p>
58
New cards

Eosinophil

Name the leukocyte

<p>Name the leukocyte</p>
59
New cards

Basophil

Name the leukocyte

<p>Name the leukocyte</p>
60
New cards

55-70%

What is the normal range for a neutrophil?

61
New cards

20-40%

What is the normal range for a lymphocyte?

62
New cards

2-8%

What is the normal range for a monocyte?

63
New cards

1-4%

What is the normal range for eosinophils?

64
New cards

0.5-1%

What is the normal range for basophils?

65
New cards

Fibrous capsule

Number 2

<p>Number 2</p>
66
New cards

Cortex

Number 4

<p>Number 4</p>
67
New cards

Lymphoid nodules (Peyer's Patches)

Number 1

<p>Number 1</p>
68
New cards

Trabeculae

A

<p>A</p>
69
New cards

capsule

B

<p>B</p>
70
New cards

Germinal centers

A

<p>A</p>
71
New cards

Lingual tonsil

C

<p>C</p>
72
New cards

Pharyngeal tonsil

B

<p>B</p>
73
New cards

Palatine tonsil

A

<p>A</p>
74
New cards

Trabeculae

knowt flashcard image
75
New cards

Lymph node

What organ is this?

<p>What organ is this?</p>
76
New cards

Spleen

What organ is this?

<p>What organ is this?</p>
77
New cards

fibrous capsule

name the structure

<p>name the structure</p>
78
New cards

trabeculae

name the structure

<p>name the structure</p>
79
New cards

cortex

name the structure

<p>name the structure</p>
80
New cards

germinal centers

name the structure

<p>name the structure</p>
81
New cards

efferent lymphatics

name the structure

<p>name the structure</p>
82
New cards

afferent lymphatics

name the structure

<p>name the structure</p>
83
New cards

valve

name the structure

<p>name the structure</p>
84
New cards

axillary lymph nodes

name the structure

<p>name the structure</p>
85
New cards

cervical lymph nodes

name the structure

<p>name the structure</p>
86
New cards

submandibular lymph nodes

name the structure

<p>name the structure</p>
87
New cards

inguinal lymph nodes

name the structure

<p>name the structure</p>
88
New cards

right lymphatic duct

name the structure

<p>name the structure</p>
89
New cards

thoracic duct

name the structure

<p>name the structure</p>
90
New cards

cisterna chyli

name the structure

<p>name the structure</p>
91
New cards

thymus

name the structure

<p>name the structure</p>
92
New cards

spleen

name the structure

<p>name the structure</p>
93
New cards

splenic artery

name the structure

<p>name the structure</p>
94
New cards

splenic vein

name the structure

<p>name the structure</p>
95
New cards

lingual tonsil

name the structure

<p>name the structure</p>
96
New cards

pharyngeal tonsil

name the structure

<p>name the structure</p>
97
New cards

palatine tonsil

name the structure

<p>name the structure</p>
98
New cards

lymph node

name the organ

<p>name the organ</p>
99
New cards

fibrous capsule

name the structure/layer

<p>name the structure/layer</p>
100
New cards

trabeculae

name the structure

<p>name the structure</p>