1/19
Week 3
Name | Mastery | Learn | Test | Matching | Spaced | Call with Kai |
|---|
No analytics yet
Send a link to your students to track their progress

Diamond-shaped plaques
Erysipelas rhusiopathiae
Acute form
Lesion name
Etiology SN
Form of Disease


Erysipelas rhusiopathiae
Smooth form (rods)
G+
SN
Form
G+ / -?


Erysipelas rhusiopathiae
Rough form (Filaments)
G+
SN
Form
G+ / -?
[in vegetative lesions on the heart valves of a pig]
![<ol><li><p>SN </p></li><li><p>Form </p></li><li><p>G+ / -?</p></li></ol><p>[in vegetative lesions on the heart valves of a pig]</p>](https://knowt-user-attachments.s3.amazonaws.com/73a0b050-459b-4ff3-8c8a-b16a34bb7e41.png)

Erysipelas rhusiopathiae
Sheep blood Agar
Non-hemolytic
24hrs
SN
Media
Hemolytic/Non hemolytic?
Incubation Time


Erysipelas rhusiopathiae
Sheep blood agar
Hemolytic
48hr
SN
Media
Hemolytic/Non hemolytic?
Incubation Time

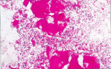
E. rhusiopathiae in a Gram-stained smear from a
culture. There are small Gram-positive rods but also
some short filaments indicating that the colonies are
changing to the rough form.


Erysipelas rhusiopathiae
Triple Sugar Iron
H2S (Hydrogen Sulfide)
SN
Media
It produces this in the stab line


Erysipelothrix rhusiopathiae
Filaments
Chronic lesion
SN
Form
Acute or Chronic


Christie-Atkins-Munchkin-Petersen Test
Listeria Monocytogenes + Staphylococcus aureus = +
Listeria ivanovii + Rhodococcus equi = -
Listeria innocua no reaction
False. LIN is NON hemolytic
Lab Test?
LM + SA = ±?
LIV + RE = ±?
LIN ?
LIN is hemolytic. T or F

Listeriosis Neural form
Listeria monocytogenes
Unilateral facial paralysis
Disease
Etiology SN
Clinical sign


Listeria monocytogenes
Bovine placenta
SN
Tissue?


Listeriosis
Sheep
Medulla (Microabscess)
Hematoxylin-Eosin
Disease
Animal
Tissue
Stain


Listeriosis Neural form
Perivascular cuffing
Ovine (Sheep)
Medulla
Disease
Lesion
Animal
Tissue/Organ


Listeria monocytogenes
Listeria ivanovii
R. Listeria ivanovii
SN (L)
SN (R)
Which is more hemolytic? L or R


Listeria monocytogenes
both G+ rods & cocci
SN
Forms present


Listeria monocytogenes
Umbrella-shaped subsurface growth
Semi-solid motility medium
SN
Growth
Medium


Christie-Atkins-Munch-Petersen
Staphylococcus aureus
Listeria monocytogenes (L)
Listeria ivanovii
Lab Test?
Horizontal
Left
Right
Which shows staphylococcal betahemolysin enhancement? L or R


CAMP Test
Rhodococcus equi
Listeria monocytogenes
Listeria ivanovii
Listeria ivanovii (R)
Lab Test
Horizontal
Left
Right
Which shows haemolysis enhancement? L or R


CAMP Test
Rhodococcus equi
Listeria ivanovii
Yes
Test
Horizontal streak
Vertical streak
Is there a presence of enhanced haemolytic effect?

Listeria monocytogenes
Coccobaccili
[actively-growing culture]
SN
Shape