1/224
After reading this chapter, you will be able to: Describe the characteristics of k-space. Explain different ways in which k-space is filled. Understand how pulse sequences determine how and when k-space is filled with data. Apply this understanding when altering parameters in the scan protocol.
Name | Mastery | Learn | Test | Matching | Spaced | Call with Kai |
|---|
No analytics yet
Send a link to your students to track their progress
True/False
The bony thorax protects the organs of the thorax and aids in respiration
True
True/False
The sternum has four components: manubrium, body, xiphoid process, and costal cartilages.
False
True/False
The jugular notch is located on the inferior border of the manubrium.
False
True/False
The trachea bifurcates into the left and right mainstem bronchi at approximately the level of T5
True
True/False
The heart is located in the superior mediastinum
False
True/False
The pericardium surrounds the heart and the proximal portions of the great vessels
True
True/False
The left pulmonary artery is the shortest and most inferior of the pulmonary vessels.
False
True/False
The superior vena cava receives blood from the head, neck, and upper extremities.
True
True/False
Pericarditis refers to an inflammation of the diaphragm
False
True/False
The diaphragm is a large dome-shaped muscle that separates the thoracic cavity from the abdominal cavity.
True
Aortic Hiatus
Allows passage of the descending aorta, azygos vein, and thoracic duct.
Caval Hiatus
Allows passage of the inferior vena cava and the right phrenic nerve.
Esophageal Hiatus
Allows passage of the esophagus and vagus nerve.
Visceral pleura
Lines the outer surface of the lung.
Parietal pleura
Covers the inner surface of the thoracic wall and diaphragm
Intercostal spaces
Spaces between adjacent ribs.
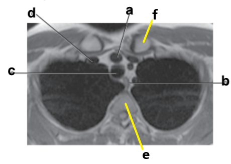
Left common carotid artery
Supplies blood to the left side of the neck and head.
Left subclavian artery
Supplies blood to the left upper extremity
Brachiocephalic trunk
Divides into the right common carotid and right subclavian arteries

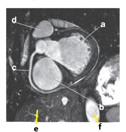
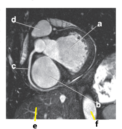
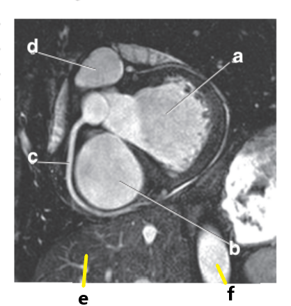
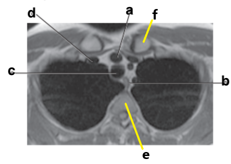
What is letter b ?
Esophagus
Which of the following is the chief muscle of respiration?
Diaphragm

Which letter is the Pulmonary trunk ?
d

Which letter is the Descending aorta ?
f

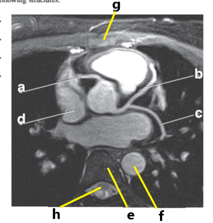
What is # 10 ?
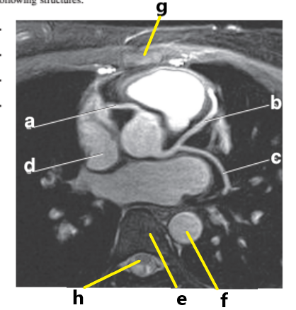
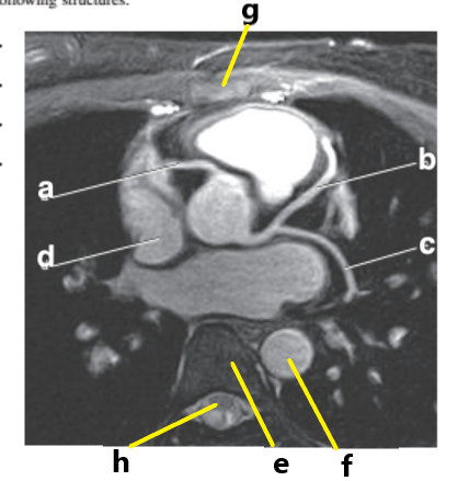
Interventricular septum

What is letter b ?
Left ventricle

Which letter is the superior vena cava ?
d

Which letter is the Right vertebral artery ?
f

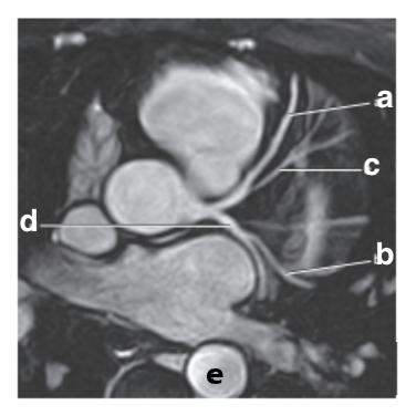
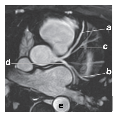
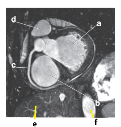
What is letter a ?
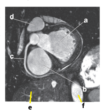
Left Ventricle

What is behind letter e ?
Liver
The pulmonary veins bring blood to the
Left atrium

Which letter is the Left common carotid ?
b

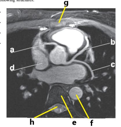
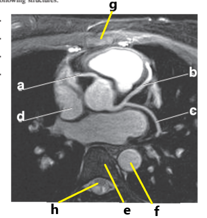
What is letter a ?
Left atrium

What is letter b ?
Left ventricle

What # is the inferior vena cava ?
12
The thickest, strongest muscle in the heart is located in the:
Left ventricle

What is letter a ?
Right ventricle

What is # 9 ?
Left ventricle

What is letter e ?
Left vertebral artery

What is letter h ?
Left ventricle

What is letter d ?
Right ventricle

What is letter f ?
Diaphragm

Which letter is the left subclavian artery ?
b
The aorta arises from the:
Left ventricle

What is letter f ?
Clavicle

Which letter is the Right common carotid artery ?
d

What is letter a ?
Brachiocephalic trunk

What is letter f ?
Ribs
Which of the following is not considered a mediastinal structure?
Lungs

Which letter is the Descending aorta ?
f

Which letter is the ascending aorta ?
f

What is letter a ?
Ascending aorta

What is # 10 ?
Interventricular septum

What is letter e ?
Vertebral body

What is letter f ?
Clavicle

What is letter c ?
Hemiazygos vein

What is # 9 ?
Left ventricle

What is letter f ?
Diaphragm

What # is the inferior vena cava ?
12

Which letter is the Right coronary artery ?
c

What is letter c ?
Right ventricle

Which letter is the Right vertebral artery ?
f

What is letter e ?
Aortic Arch

What is letter d ?
Right ventricle

Which letter is the left subclavian artery ?
c

What is letter g ?
Right atrium

What is letter c ?
Left atrium

What is letter b ?
Left ventricle

What is letter d ?
Pulmonary trunk

What is letter h ?
Left ventricle

Which letter is the descending thoracic aorta ?
e

What is letter g ?
Descending aorta
Which of the following is the chief muscle of respiration?
Diaphragm

Which letter is the right subclavian artery ?
g

What is letter a ?
Left anterior descending artery

Which letter is the Right subclavian artery ?
c

What is letter a ?
Left atrium

What is letter b ?
Bicuspid valve / LT AV valve
Which of the following makes up the apex of the heart?
Left ventricle
The thickest, strongest muscle in the heart is located in the:
Left ventricle
___________________ is a fluid-filled sac that surrounds and protects the heart.
Pericardium

What is letter g ?
Descending thoracic aorta

Which letter is the Pulmonary trunk ?
d

What is letter e ?
Descending aorta

Identify the structure labeled with "e":
Liver

What is letter d ?
Aortic arch
The first vessel to branch off the aortic arch is the :
Brachiocephalic trunk

What is letter c ?
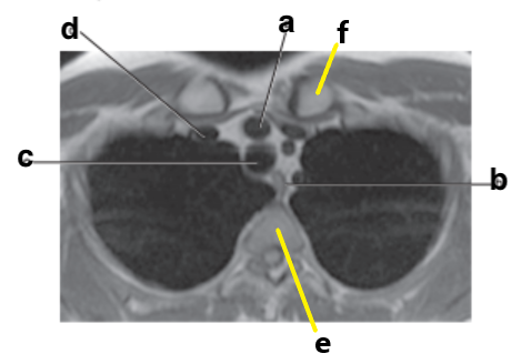
Trachea
Where is the Mitral valve ?
in-between the left atrium and left ventricle

What is letter e ?
Thoracic vertebra

What is letter f ?
Sternum

What is letter d ?
Ascending aorta

What # is the aortic valve ?
8

What is letter b ?
Left ventricle

Which letter is the Left common carotid ?
b

What is letter e ?
Liver

Which letter is the left common carotid ?
a

Which letter is the superior vena cava ?
d
The pulmonary veins bring blood to the
Left atrium
The aorta arises from the:
Left ventricle

Which letter is the brachiocephalic trunk ?
a