1/23
Looks like no tags are added yet.
Name | Mastery | Learn | Test | Matching | Spaced | Call with Kai |
|---|
No analytics yet
Send a link to your students to track their progress

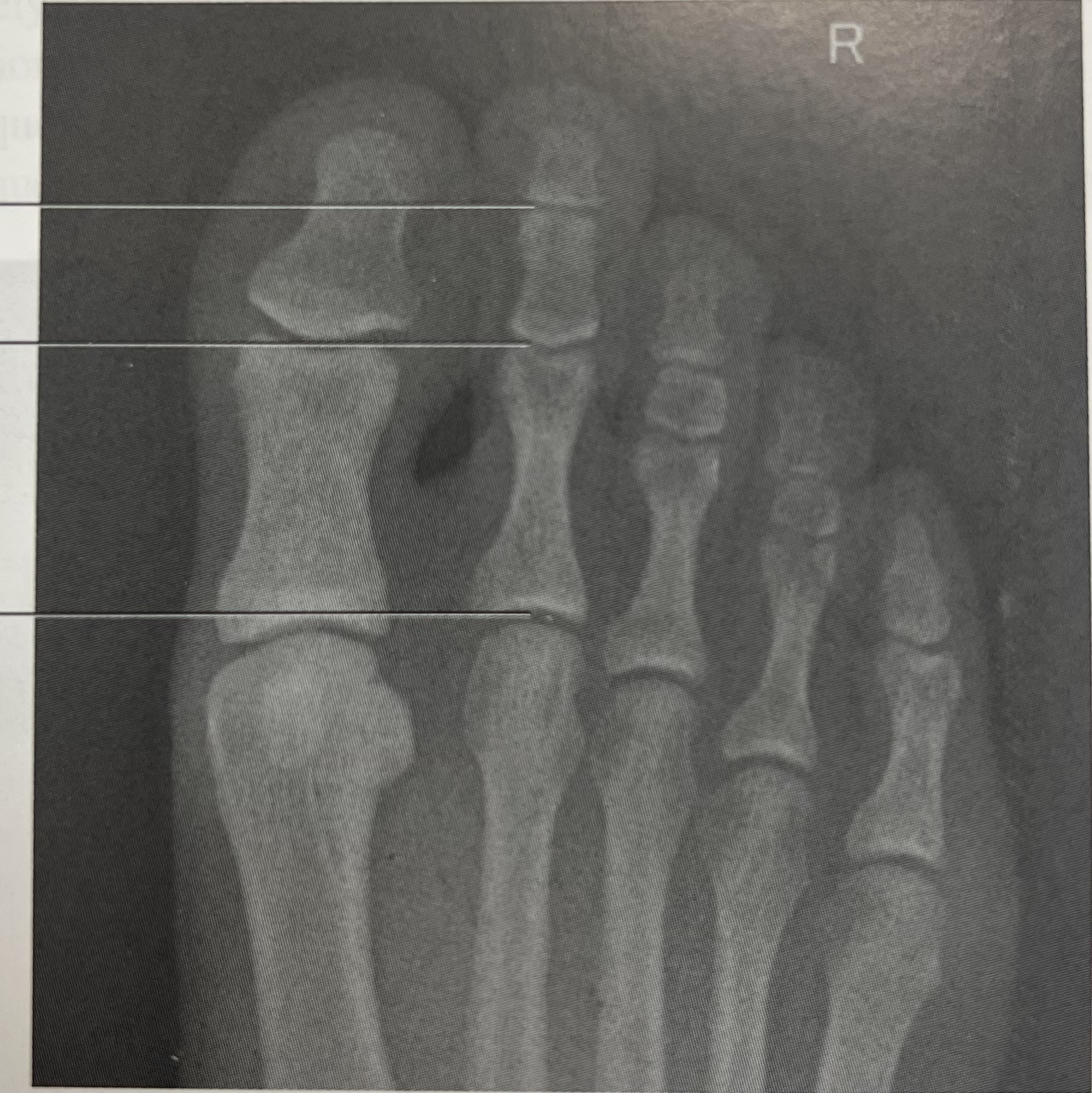
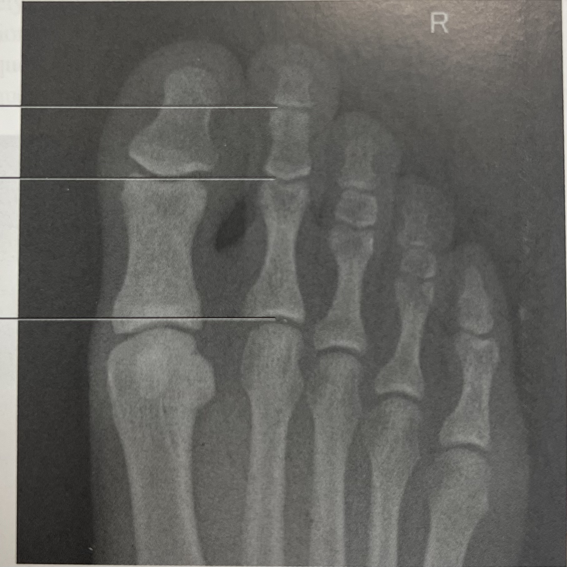
identify the projection of the image
dorsoplantar axial projection of the digits of the right foot

identify part position of the image
knee flexed with plantar surface of foot on IR

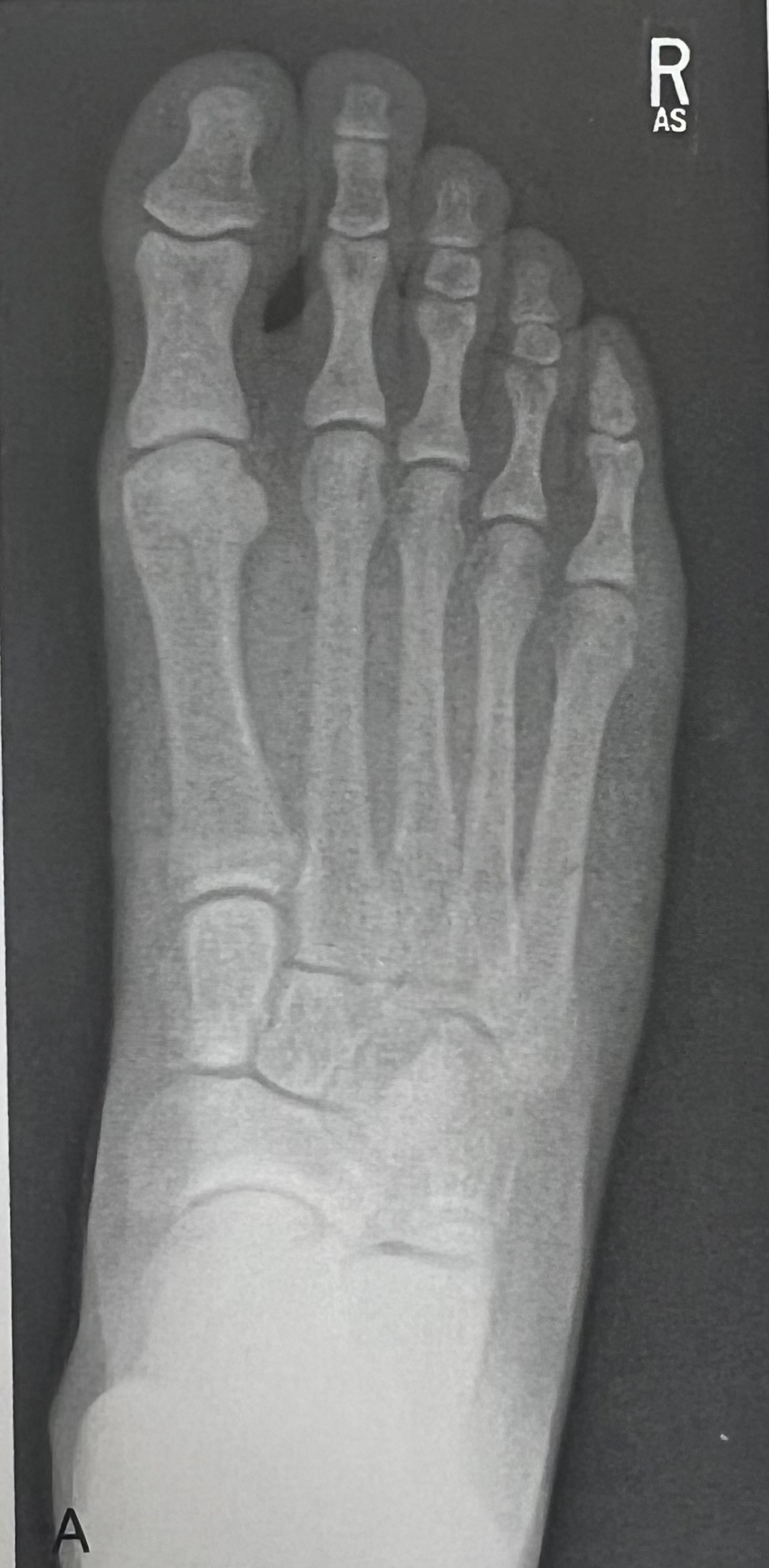
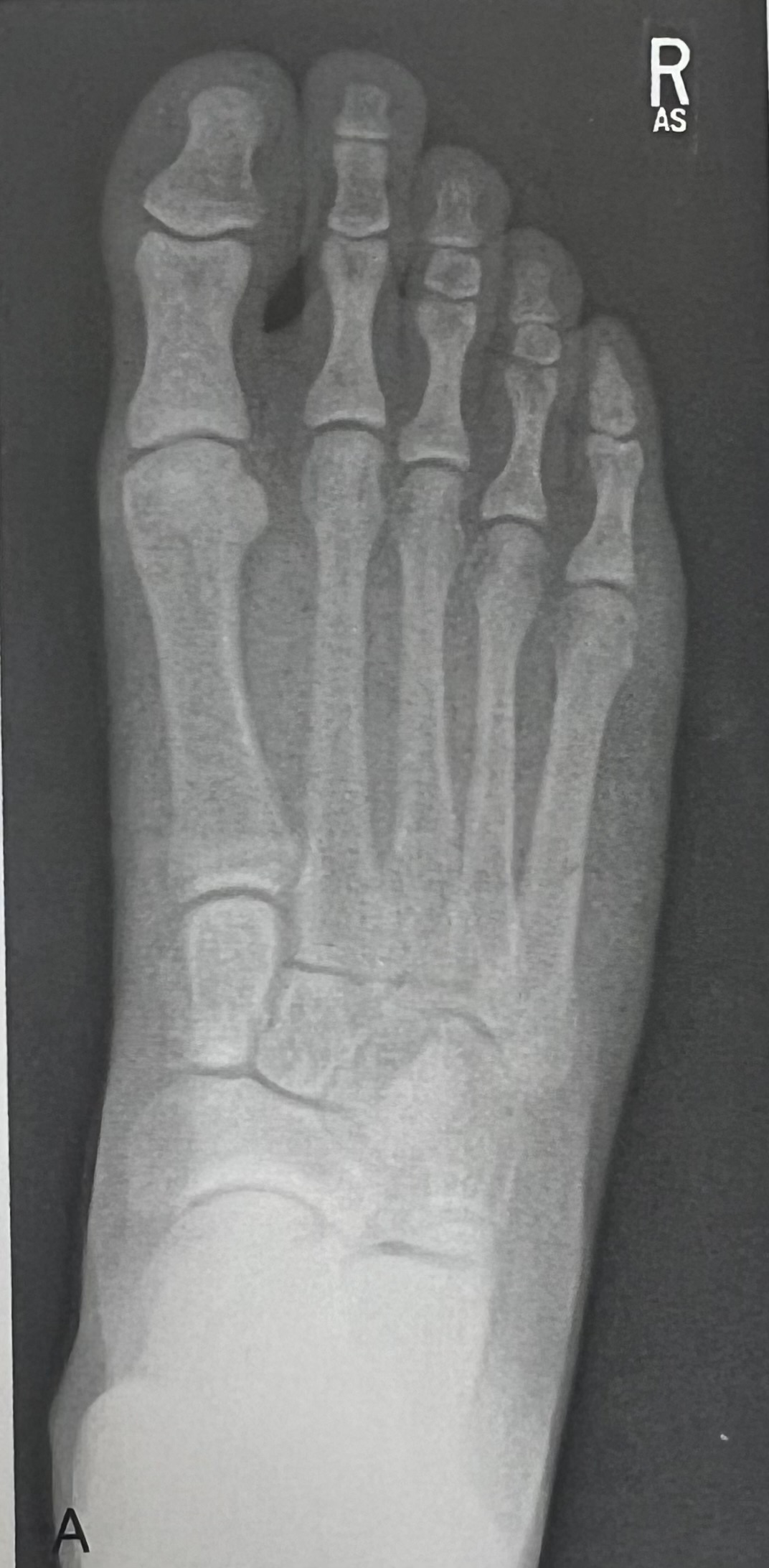
identify the projection of the image
dorsoplantar oblique projection of the digits of right foot

identify part position of the image
medial rotation

identify the projection of the image
lateromedial projection of the 1st digit of the left foot

identify part position of the image
medial rotation into a true lateral position

identify the projection of the image
lateromedial projection of the 2nd digit of the left foot

identify part position of the image
medial rotation into a true lateral

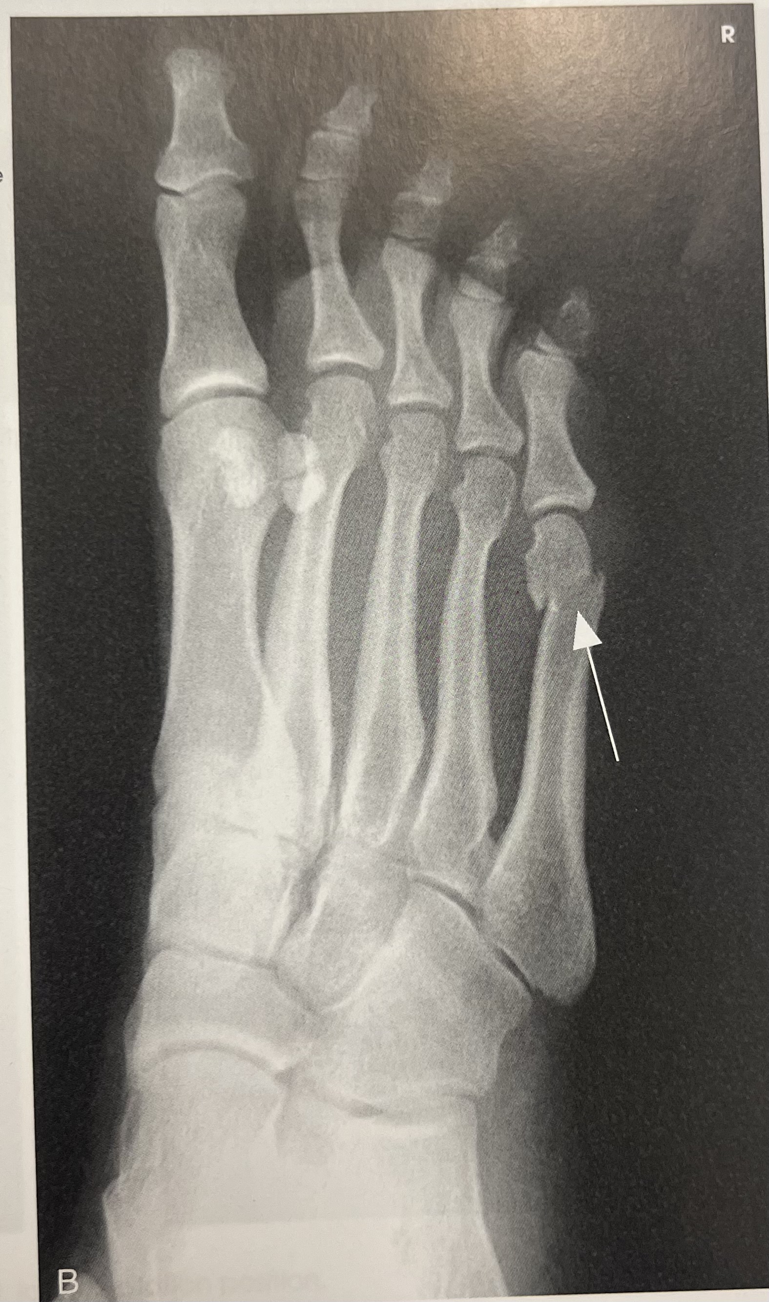
identify the projection of the image
dorsoplantar axial projection of the right foot

identify part position of the image
knee flexed with plantar surface placed on IR

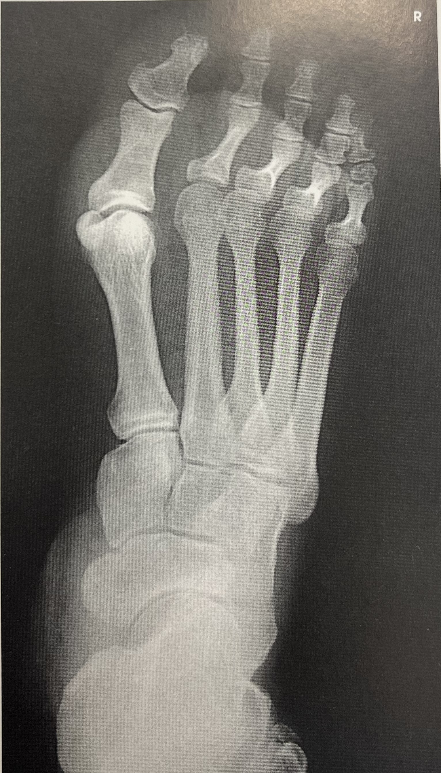
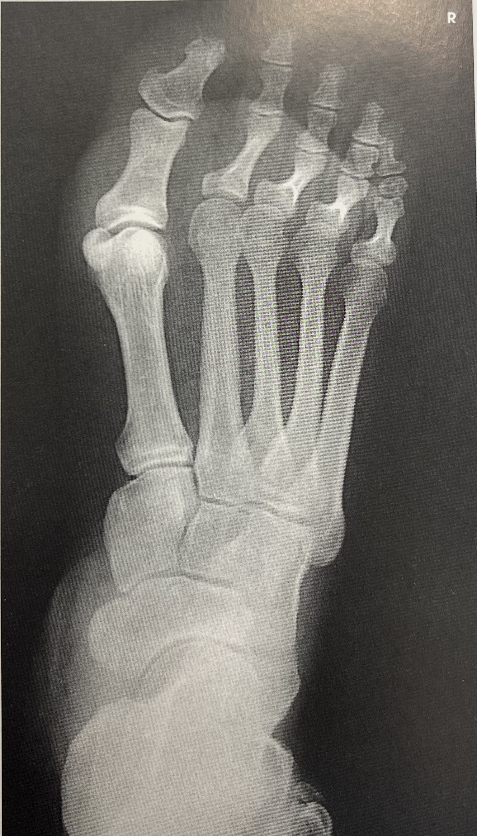
identify the projection of the image
dorsoplantar oblique projection of the right foor

identify part position of the image
medial rotation position

identify the projection of the image
dorsoplantar oblique projection of the right foot

identify part position of the image
lateral rotation position聽

identify the projection of the image
mediolateral projection of the right foot

identify part position of the image
plantar surface perpendicular to IR and foot dorsiflexed 90 degrees

identify the projection of the image
lateromedial projection of the left foot

identify part position of the image
standing and weight-bearing

identify the projection of the image
lateromedial projection of the left foot

identify part position of the image
standing, weight bearing

identify the projection of the image
bilateral dorsoplantar axial projection of the feet

identify part position of the image
weight bearing, standing on IR

