5. Diseases of the conjunctiva

0.0(0)
studied byStudied by 0 people
full-widthCall with Kai
GameKnowt Play
learnLearn
examPractice Test
spaced repetitionSpaced Repetition
heart puzzleMatch
flashcardsFlashcards
Card Sorting

1/138

encourage image

There's no tags or description

Looks like no tags are added yet.

Study Analytics
Name
Mastery
Learn
Test
Matching
Spaced

No study sessions yet.

139 Terms

1
New cards

What is the conjunctiva?

The transparent mucus membrane that lines the inner surface of the eyelids and surface of the globe to the limbus.

2
New cards

Why is the conj highly vascularized?

Contains anterior ciliary arteries and palpebral arteries. Also has lymphatic system to drain the preauricular and submandibular lymph nodes.

3
New cards

What are the 3 divisions of the conj?

  • Palpebral: starts at MCJ and attaches to posterior tarsal plate

  • Forniceal: loose and redundant conj that folds on itself

  • Bulbar: covers anterior sclera and is continuous

<ul><li><p>Palpebral: starts at MCJ and attaches to posterior tarsal plate</p></li><li><p>Forniceal: loose and redundant conj that folds on itself</p></li><li><p>Bulbar: covers anterior sclera and is continuous</p></li></ul><p></p>
4
New cards

What are the types of discharged associated with conj infection/inflammation.

  • Watery: composed of serous exudate and tears seen with viral or allergic conjunctivitis

  • Mucoid: stringy or ropy seen wit chronic allergic conjunctivitis or dry eye

  • Purulent: associated with eyes stuck shut in the morning

    • Mucopurulent: chlalmydial or acute bacterial conjunctivitis

    • Moderately purulent: acute bacterial conjunctivitis

    • Severe purulent: Gonococcal conjunctivitis

5
New cards

What are the three main conjunctival tissue reactions?

  • Hyperemia/injection: redness of the conjunctiva 

  • Hemorrhage: area of bleeding seen with viral and occasionally bacterial conjunctivitis 

  • Chemosis: area of conj swelling: acute represents hypersensitivity while chronic is associated with orbital outflow constriction 

<ul><li><p>Hyperemia/injection: redness of the conjunctiva&nbsp;</p></li><li><p>Hemorrhage: area of bleeding seen with viral and occasionally bacterial conjunctivitis&nbsp;</p></li><li><p>Chemosis: area of conj swelling: acute represents hypersensitivity while chronic is associated with orbital outflow constriction&nbsp;</p></li></ul><p></p>
6
New cards

What membranes can form on the conjunctiva?

  • Pseudomembrane: coagulated exudate that adheres to the inflamed conj epithelium. Can peel without bleeding

  • Membrane: coagulated exudate that adheres to the inflamed conj. Contains more fibrin and blood vessels. Bleeding will occur if pull membrane away. 

<ul><li><p>Pseudomembrane: coagulated exudate that adheres to the inflamed conj epithelium. Can peel without bleeding</p></li><li><p>Membrane: coagulated exudate that adheres to the inflamed conj. Contains more fibrin and blood vessels. Bleeding will occur if pull membrane away.&nbsp;</p></li></ul><p></p>
7
New cards

What are key conjunctival reactions associated with chronic inflammation and scarring?

  • Infiltration:

    • Linked to chronic inflammation and papillary response

    • Loss of conjunctival detail

    • Commonly affects the superior tarsal plate

  • Subconjunctival Scarring:

    • Frequently seen in trachoma

    • Severe scarring leads to loss of goblet cells and accessory lacrimal glands

    • Can result in entropion (inward turning of the eyelid)

<ul><li><p>Infiltration:</p><ul><li><p>Linked to chronic inflammation and papillary response</p></li><li><p>Loss of conjunctival detail</p></li><li><p>Commonly affects the superior tarsal plate</p></li></ul></li><li><p>Subconjunctival Scarring:</p><ul><li><p>Frequently seen in trachoma</p></li><li><p>Severe scarring leads to loss of goblet cells and accessory lacrimal glands</p></li><li><p>Can result in entropion (inward turning of the eyelid)</p></li></ul></li></ul><p></p>
8
New cards

What conditions are commonly associated with conjunctival follicles?

  • Viral infections

  • Chlamydial infections

  • Parinaud oculoglandular syndrome

  • Hypersensitivity to topical medications

<ul><li><p>Viral infections</p></li><li><p>Chlamydial infections</p></li><li><p>Parinaud oculoglandular syndrome</p></li><li><p>Hypersensitivity to topical medications</p></li></ul><p></p>
9
New cards

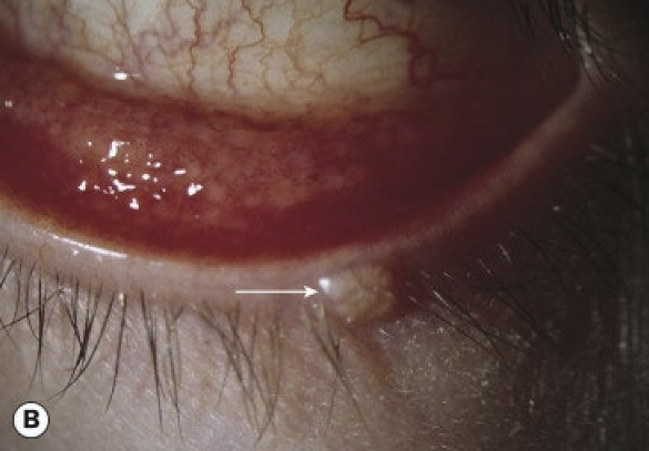
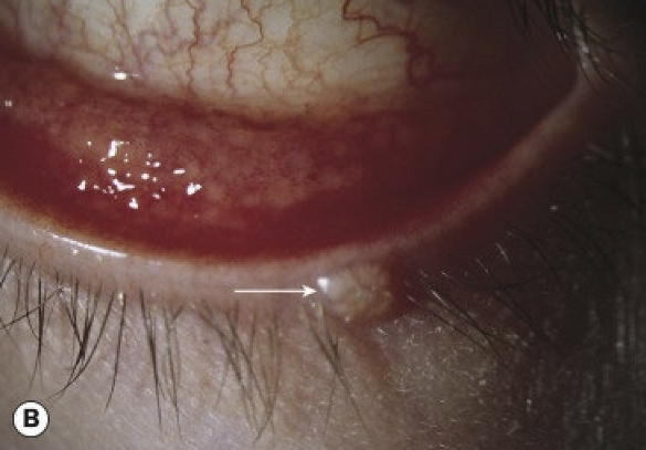
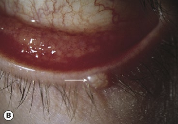
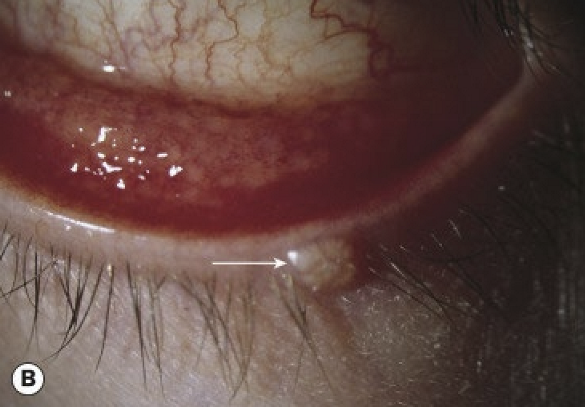
How do conjunctival follicles present?

  • Translucent lesion resembling a "grain of rice"

  • Elevated appearance

  • Blood vessels run around the lesion

  • Commonly found in the fornices

<ul><li><p>Translucent lesion resembling a "grain of rice"</p></li><li><p>Elevated appearance</p></li><li><p>Blood vessels run around the lesion</p></li><li><p>Commonly found in the fornices</p></li></ul><p></p>
10
New cards

What conditions are conjunctival papillae commonly seen with?

  • Bacterial infections

  • Allergic reactions

  • Chronic marginal blepharitis

  • Contact lens wear

  • Superior limbal keratoconjunctivitis

  • Floppy eyelid syndrome

<ul><li><p>Bacterial infections</p></li><li><p>Allergic reactions</p></li><li><p>Chronic marginal blepharitis</p></li><li><p>Contact lens wear</p></li><li><p>Superior limbal keratoconjunctivitis</p></li><li><p>Floppy eyelid syndrome</p></li></ul><p></p>
11
New cards

What are the presentations of the conjunctival papillae?

  • May be present on the palpebral or bulbar 

  • They have vascular core

  • Micropapillae will have mosaic pattern of red dots

  • Macropapillae (<1mm) and giant papillae (>1mm) develop with chronic inflammation 

  • Limbal papillae will look gelatinous 

<ul><li><p>May be present on the palpebral or bulbar&nbsp;</p></li><li><p>They have vascular core</p></li><li><p>Micropapillae will have mosaic pattern of red dots</p></li><li><p>Macropapillae (&lt;1mm) and giant papillae (&gt;1mm) develop with chronic inflammation&nbsp;</p></li><li><p>Limbal papillae will look gelatinous&nbsp;</p></li></ul><p></p>
12
New cards

What conditions are commonly associated with conjunctival lymphadenopathy?

  • Viral infections

  • Chlamydial infections

  • Severe bacterial infections

  • Parinaud oculoglandular syndrome

13
New cards

Which lymph nodes are commonly involved in conjunctival lymphadenopathy?

Preauricular site is commonly affected. Lateral 1/3 of the eye drains into the preauricular lymph node. 

<p>Preauricular site is commonly affected. Lateral 1/3 of the eye drains into the preauricular lymph node.&nbsp;</p>
14
New cards

Which bacteria commonly cause acute bacterial conjunctivitis?

  • Streptococcus pneumoniae

  • Staphylococcus aureus

  • Haemophilus influenzae

  • Moraxella catarrhalis

  • Neisseria gonorrhoeae

  • Neisseria meningitidis

<ul><li><p>Streptococcus pneumoniae</p></li><li><p>Staphylococcus aureus</p></li><li><p>Haemophilus influenzae</p></li><li><p>Moraxella catarrhalis</p></li><li><p>Neisseria gonorrhoeae</p></li><li><p>Neisseria meningitidis</p></li></ul><p></p>
15
New cards

What are symptoms & presentations of acute bacterial conjunctivitis?

  • Symptoms: redness, grittiness, burning, and discharge

  • Presentation: Unilateral and becomes bilateral within 1-2 days. Lid edema and redness, Conj hyperemia, mucuopurulent discharge, PEE, no lymphadenopathy.

<ul><li><p>Symptoms: redness, grittiness, burning, and discharge</p></li><li><p>Presentation: Unilateral and becomes bilateral within 1-2 days. Lid edema and redness, Conj hyperemia, mucuopurulent discharge, PEE, no lymphadenopathy.</p></li></ul><p></p>
16
New cards

What are the treatments for acute bacterial conjuinctivitis?

  • Culture as needed, to help ID causative agent

  • Topical antibiotics

  • Systemic antibiotics: used for gonococcal, H. influenza, and meningococcal

17
New cards

What causes adult chlamydial conjunctivitis?

Chlamydial trachomatis, serological variants D-K. 

18
New cards

How is Chlamydial trachomatis transmitted? 

  • Sexually transmitted

  • Affects 5-20% of sexually active adults (1.8 million cases in US in 2018)

  • 10% of infections will result from eye to eye contact 

19
New cards

How does adult chlamydial infections present?

Males may have urethritis= most are asymptomatic. Females may have urethritis which will cause painful urination and progress to pelvic inflammatory disease and can to lead to infertility. 

20
New cards

How does Adult chlamydial conjunctivitis present?

  • Water or mucopurlulent discharge 

  • Large follicles prominent in the inferior fornix or superior tarsal plate

  • PEE

  • Peripheral subepithelial corneal inflitrates: may have 2-3 week delay of onset

  • Tender preauricular lymphadenopathy

  • Con scarring and corneal pannus is seen with chronic infections 

<ul><li><p>Water or mucopurlulent discharge&nbsp;</p></li><li><p>Large follicles prominent in the inferior fornix or superior tarsal plate</p></li><li><p>PEE</p></li><li><p>Peripheral subepithelial corneal inflitrates: may have 2-3 week delay of onset</p></li><li><p>Tender preauricular lymphadenopathy</p></li><li><p>Con scarring and corneal pannus is seen with chronic infections&nbsp;</p></li></ul><p></p>
21
New cards

What are the treatments for Adult chlamydial conjunctivitis?

  • Culture

  • Refer to genitourinary specialist

  • Systemic antibiotics

  • Topical antibiotics

<ul><li><p>Culture</p></li><li><p>Refer to genitourinary specialist</p></li><li><p>Systemic antibiotics</p></li><li><p>Topical antibiotics </p></li></ul><p></p>
22
New cards

What is Trachoma?

The leading cause of preventable irreversible blindness in the world. Related to poverty, overcrowding, and poor hygiene. 

<p>The leading cause of preventable irreversible blindness in the world. Related to poverty, overcrowding, and poor hygiene.&nbsp;</p>
23
New cards

What causes trachoma?

Chlamydial trachomatis serological variants A, B, Ba, C

<p>Chlamydial trachomatis serological variants A, B, Ba, C</p>
24
New cards

What stages does trachoma have? 

Active and cicatricial trachoma. 

<p>Active and cicatricial trachoma.&nbsp;</p>
25
New cards

What age group is most commonly affected by active trachoma?

Pre-school children

26
New cards

What type of conjunctival reaction is seen in active trachoma?

Mixed papillary + follicular reaction, mucopurulent discharge, superior epithelial keratitis, pannus formation

<p>Mixed papillary + follicular reaction, mucopurulent discharge, superior epithelial keratitis, pannus formation</p>
27
New cards

What conjunctival reaction is absent in children under 2 with active trachoma?

Follicular reaction

28
New cards

In what age group is cicatricial trachoma more common?

Middle-aged individuals

29
New cards

What conjunctival changes occur in cicatricial trachoma?

Conjunctival scarring

  • Mild infection: linear or stellate scarring

  • Severe infection: broad confluent scared (Arlt lines) 

  • Superior tarsal effected more then other areas of conjunctiva 

<p>Conjunctival scarring </p><ul><li><p>Mild infection: linear or stellate scarring</p></li><li><p>Severe infection: broad confluent scared (Arlt lines)&nbsp;</p></li><li><p>Superior tarsal effected more then other areas of conjunctiva&nbsp;</p></li></ul><p></p>
30
New cards

What happens to superior limbal follicles after they resolve in cicatricial trachoma?

They leave shallow pits (Herbert pits)

<p>They leave shallow pits (Herbert pits)</p>
31
New cards

What are the corneal and eyelash changes seen in cicatricial trachoma?

Corneal opacification with vascularization; trichiasis and distichiasis

<p>Corneal opacification with vascularization; trichiasis and distichiasis</p>
32
New cards

Why can cicatricial trachoma lead to dry eye?

Goblet cell destruction

<p>Goblet cell destruction</p>
33
New cards

How is trachoma treated? 

  • Antibiotics:

    • Topical for trachomatous inflammation–follicular

    • Topical + systemic for trachomatous inflammation–intense

  • Facial cleanliness: all stages

  • Environmental improvement: clean water & sanitation

  • Surgery: for trichiasis/entropion (restores lid closure)

<ul><li><p>Antibiotics:</p><ul><li><p>Topical for trachomatous inflammation–follicular</p></li><li><p>Topical + systemic for trachomatous inflammation–intense</p></li></ul></li><li><p>Facial cleanliness: all stages</p></li><li><p>Environmental improvement: clean water &amp; sanitation</p></li><li><p>Surgery: for trichiasis/entropion (restores lid closure)</p></li></ul><p></p>
34
New cards

What causes adult gonococcal conjunctivits?

Neisseria gonorrhea, a sexually transmitted disease with 583,405 cases in the US in 2018. 

<p>Neisseria gonorrhea, a sexually transmitted disease with 583,405 cases in the US in 2018.&nbsp;</p>
35
New cards

What are the symptoms of gonococcal conjunctivits?

Severe mucopurulent discharge, returns quickly once wiped away. Rapid onset of 12-24 hours. 

<p>Severe mucopurulent discharge, <strong>returns quickly once wiped away</strong>. Rapid onset of 12-24 hours.&nbsp;</p>
36
New cards

What are the presentations of adult gonococcal conjunctivitis?

  • Lid edema

  • Chemosis

  • Papillary conjuctival reaction

  • Corneal involvement: Infiltrate, ulceration, and perforation

    • Can invade an intact corneal epithelium

  • Very stinky, smells awful 

<ul><li><p>Lid edema</p></li><li><p>Chemosis</p></li><li><p>Papillary conjuctival reaction </p></li><li><p>Corneal involvement: Infiltrate, ulceration, and perforation</p><ul><li><p><strong>Can invade an intact corneal epithelium</strong></p></li></ul></li><li><p>Very stinky, smells awful&nbsp;</p></li></ul><p></p>
37
New cards

What are the treatments for adult gonococcal conjunctivits?

  • Culture

  • Intramuscular antibiotics 

    • If corneal is involved, hospitalization with IV antibiotics

  • Topical antibiotics

  • Management with primary care physicians or infectious disease 

38
New cards

What is neonatal conjunctivitis/ ophthalmia neonatorum?

Conjunctivitis seen in the first month of life.

39
New cards

What causes neonatal conjunctivitis?

  • Chlamydia trachomatis

  • Neisseria gonorrhea

  • Herpes simplex (HSV-2)

  • Staph and strep species

  • Chemical: silver nitrate after birth prevent infection is super toxic to eye

<ul><li><p>Chlamydia trachomatis</p></li><li><p>Neisseria gonorrhea </p></li><li><p>Herpes simplex (HSV-2)</p></li><li><p>Staph and strep species</p></li><li><p>Chemical: silver nitrate after birth prevent infection is super toxic to eye</p></li></ul><p></p>
40
New cards

What are the presentation for neonatal conjunctivits? 

  • Discharge:

    • Chlamydial → mucopurulent

    • Gonococcal → purulent

  • Eyelid edema: severe with gonococcal

  • Vesicles on eyelid/periorbital skin: herpes

  • Conjunctival hyperemia: common in all

  • Keratitis: gonococcal, herpes

<ul><li><p>Discharge:</p><ul><li><p><em>Chlamydial</em> → mucopurulent</p></li><li><p><em>Gonococcal</em> → purulent</p></li></ul></li><li><p>Eyelid edema: severe with gonococcal</p></li><li><p>Vesicles on eyelid/periorbital skin: herpes</p></li><li><p>Conjunctival hyperemia: common in all</p></li><li><p>Keratitis: gonococcal, herpes</p></li></ul><p></p>
41
New cards

What are the treatments for neonatal conjunctivits? 

  • Culture: helps determines the causative agent 

  • Antibiotics: topical for mild conj or oral for moderate to severe conj

  • IV antiviral bc too young for oral antiviral 

<ul><li><p>Culture: helps determines the causative agent&nbsp;</p></li><li><p>Antibiotics: topical for mild conj or oral for moderate to severe conj</p></li><li><p>IV antiviral bc too young for oral antiviral&nbsp;</p></li></ul><p></p>
42
New cards

What is adenoviral conjunctivitis?

A highly contagious condition that affects the respiratory or ocular secretions.

43
New cards

How long does viral shedding occur for adenoviral conjunctivitis?

  • 7 days shedding while asymptomatic

  • 7 days shedding while symptomatic

  • 7 days after symptoms, but not as severe

44
New cards

What are the four types of adenoviral conjunctivitis?

  • Non-specific acute follicular conjuncivitis

  • Pharyngocojunctival fever

  • Epidemic keratoconjuinctivitis (EKC)

  • Chronic/relapsing adenoviral conjunctiviits (not discussed)

45
New cards

What is non-specific acute follicular conjunctivitis?

  • Most common form of adenovrial conjunctivitis

  • Have associated sore throat or cold

46
New cards

What are the presentations of non-specific follicular conjunctivitis?

  • Irritation, foreign body sensation

  • Follicular conjunctival reaction

  • Conj hyperemia

  • PEE

  • Preauricular lymphadenopathy

47
New cards

What are the treatments for non-specific follicular conjunctivitis?

Palliative care. Artifical tears and cold compresses; wash pillows and stuff. Education that it is like a cold in eyes, steroids will make it worse, antibiotic does not help.

48
New cards

Who is commonly affected by pharyngoconjunctival fever?

Children

49
New cards

What are the symptoms and presentations of pharyngoconjunctival fever?

  • Have associated pharyngitis (sore throat) and fever

  • follicular conj reaction

  • conj hyperemia

  • Rhinitis: inflammation of the nasal mucous membranes

  • Preauricular lymphadenopathy 

50
New cards

What are the treatments of pharyngoconjunctival fever?

Palliative care.

51
New cards

What causes epidemic keratoconjunctivitis (EKC)?

Adenovirus serotypes 8, 19, 37

52
New cards

What are the symptoms of EKC?

  • Ocular irritation/ foreing body sensation

  • Photophobia 

  • Epiphora

  • Blurred vision d/t infltrates 

<ul><li><p>Ocular irritation/ foreing body sensation</p></li><li><p>Photophobia&nbsp;</p></li><li><p>Epiphora</p></li><li><p>Blurred vision d/t infltrates&nbsp;</p></li></ul><p></p>
53
New cards

What are the presentations of EKC?

  • Discharge-clear or yellow

  • Eyelid swelling

  • Bulbar and palpebral conj hyperemia

  • Conj chemosis (swelling) with follicular reaction 

  • Keratitis: epithelial microcysts are in early stage; punctate epithelial erosions seen day 7-10; inflitrates develop day 14 and may last from months to years 

  • Membrane or pseudomembrane formations: can cause irritation

  • preauricular lymphadenopath 

<ul><li><p>Discharge-clear or yellow</p></li><li><p>Eyelid swelling</p></li><li><p>Bulbar and palpebral conj hyperemia</p></li><li><p>Conj chemosis (swelling) with follicular reaction&nbsp;</p></li><li><p>Keratitis: epithelial microcysts are in early stage; punctate epithelial erosions seen day 7-10; inflitrates develop day 14 and may last from months to years&nbsp;</p></li><li><p>Membrane or pseudomembrane formations: can cause irritation</p></li><li><p>preauricular lymphadenopath&nbsp;</p></li></ul><p></p>
54
New cards

What infection-control measures are required for a patient with EKC?

  • Sterilize all equipment, disinfect room, and avoid using the same room until cleaned

  • Strict hand hygiene, avoid sharing instruments

<ul><li><p>Sterilize all equipment, disinfect room, and avoid using the same room until cleaned</p></li><li><p>Strict hand hygiene, avoid sharing instruments</p></li></ul><p></p>
55
New cards

What are the treatments for EKC?

  • Paliative treatment: cold compresses, artificial tears

  • Topical steroids: commonly prescribed when corneal involvement is seen

  • Povidone-iodine: off label use; Decrease duration of symptoms and signs; very toxic to eye; need to do within 24-48 hours

56
New cards

What virus causes molluscum contagiosum?

Poxvirus

<p>Poxvirus</p>
57
New cards

What is the typical age of incidence for molluscum contagiosum?

Most commonly affects children between 2–4 years of age. Molluscum lesions are typically seen along the eyelid margin. 

<p>Most commonly affects children between 2–4 years of age. Molluscum lesions are typically seen along the eyelid margin.&nbsp;</p>
58
New cards

What are the symptoms and presentations of molluscum contagiosum conjunctivitis? 

  • Chronic unilateral ocular irritation 

  • Pale, waxy, umbilicated nodule on the lid margin

  • bulbar conjunctival nodule (seen with immunocompromised patients) 

  • Epithelial keratitis and pannus can be seen in longstanding untreated cases

<ul><li><p>Chronic unilateral ocular irritation&nbsp;</p></li><li><p>Pale, waxy, umbilicated nodule on the lid margin</p></li><li><p>bulbar conjunctival nodule (seen with immunocompromised patients)&nbsp;</p></li><li><p>Epithelial keratitis and pannus can be seen in longstanding untreated cases</p></li></ul><p></p>
59
New cards

What are the treatments of molluscum contagiosum conjunctivitis? 

  • Incision and drainage of the lid lesion 

  • Cryosurgery of the lid lesion 

<ul><li><p>Incision and drainage of the lid lesion&nbsp;</p></li><li><p>Cryosurgery of the lid lesion&nbsp;</p></li></ul><p></p>
60
New cards

Where does HSV1 remain dormant in and what causes it to be activated?

It lays dormant in the trigeminal ganglion and will reactive along any branch of the trigeminal nerve. Stress, fever, trauma, and UV light can activate it. 

61
New cards

What are the symptoms and presentation of herpes simplex?

  • Redness

  • Pain

  • Photophobia

  • Unilateral follicular conj reaction

  • Conj hyperemia

62
New cards

What are the treatments for HSV?

Oral antiviral

63
New cards

What are the ocular symptoms and presentations of COVID-19?

  • Discharge

  • Epiphora 

  • Photophobia

  • Follicular conj reaction

  • conj hyperemia

  • chemosis

64
New cards

What are the treatment for COVID-19

Palliative care: artificial tears and lid hygiene. 

65
New cards

What are the types of allergic conjunctivitis?

  • Acute: more common in children

  • Seasonal: caused by pollen

  • Perennial: symptoms throughout the year; caused by dust mites, animal dander, and fungal allergens 

66
New cards

What causes allergic conj?

Environmental allergy. Can be seasonal with symptoms being worse in spring and summer 

67
New cards

What are the symptoms and presentations of allergic conjunctivitis? 

  • Itching and watering

  • Papillary reaction

  • conj hyperemia

  • conj chemosis 

<ul><li><p>Itching and watering</p></li><li><p>Papillary reaction</p></li><li><p>conj hyperemia</p></li><li><p>conj chemosis&nbsp;</p></li></ul><p></p>
68
New cards

What are the treatments for allergic conjunctivits?

  • Topical or oral anti-histamine 

  • topical mast cell stabilizer

  • topical steroid 

  • cold compresses: feels better, but doesn’t treat issue. 

<ul><li><p>Topical or oral anti-histamine&nbsp;</p></li><li><p>topical mast cell stabilizer</p></li><li><p>topical steroid&nbsp;</p></li><li><p>cold compresses: feels better, but doesn’t treat issue.&nbsp;</p></li></ul><p></p>
69
New cards

What is vernal keratoconjunctivitis (VKC)?

IgE and cell mediated immune response. 

70
New cards

Who is affected by VKC?

  • Affects males more than females

  • Onset of symptoms around 5 yrs old, and symptoms improve with age

  • More common in hot dry climates

  • Peak incidence is in spring and summer

71
New cards

What are the symptoms of VKC?

  • Itching

  • Foreign body sensation

  • Thick mucoid discharge

<ul><li><p><strong>Itching</strong></p></li><li><p>Foreign body sensation</p></li><li><p>Thick mucoid discharge</p></li></ul><p></p>
72
New cards

What are the conj presentations of VKC?

  • Macropapillae of superior tarsal plate, less than 1mm

  • Giant papillae of superior tarsal plate, larger than 1mm with mucus seen between giant papillae 

  • Conj hyperemia 

<ul><li><p>Macropapillae of superior tarsal plate, less than 1mm</p></li><li><p>Giant papillae of superior tarsal plate, larger than 1mm with mucus seen between giant papillae&nbsp;</p></li><li><p>Conj hyperemia&nbsp;</p></li></ul><p></p>
73
New cards

What are the limbal presentations of VKC?

  • Limbal papillae: gelatinous appearing papillae at the limubs 

  • Horner-Trantas dots: focal white dots at the limbus. Dots are made up of degenerated epithelial cells and eosinophils 

<ul><li><p>Limbal papillae: gelatinous appearing papillae at the limubs&nbsp;</p></li><li><p>Horner-Trantas dots: focal white dots at the limbus. Dots are made up of degenerated epithelial cells and eosinophils&nbsp;</p></li></ul><p></p>
74
New cards

What are the corneal presentations of VKC?

  • Superior PEE, associated with sheets of mucus

  • Epithelial macroerosions d/t coalesced PEE, inflammatory mediators, and mechanical injury d/t superior tarsal papillae

  • Plaques and shield ulcers: plaques composed of fibrin and mucus and collect on macroerosions and form shield ulcers 

  • Subepithelial scars: appear grey and oval, may affect vision

  • Pseudogerontoxon: can be seen with recurrent limbal disease, is white-grey band in anterior stroma of scarring, adjacent to area of previous limbal infection

  • Corneal neovascularization, tends to be superior

<ul><li><p>Superior PEE, associated with sheets of mucus</p></li><li><p>Epithelial macroerosions d/t coalesced PEE, inflammatory mediators, and mechanical injury d/t superior tarsal papillae</p></li><li><p>Plaques and shield ulcers: plaques composed of fibrin and mucus and collect on macroerosions and form shield ulcers&nbsp;</p></li><li><p>Subepithelial scars: appear grey and oval, may affect vision</p></li><li><p>Pseudogerontoxon: can be seen with recurrent limbal disease, is white-grey band in anterior stroma of scarring, adjacent to area of previous limbal infection</p></li><li><p>Corneal neovascularization, tends to be superior</p></li></ul><p></p>
75
New cards

What are the treatments for VKC?

  • Topical steriods: most effective at any stages

  • Allergen avoidance

  • Palliative care- cold compresses and lid hygiene

  • Topcial antihistamine: good for mild cases

  • Topical antihistamine and mast cell stabilizer: good for moderate cases 

  • Topical cyclosporine: anti-inflammatory

  • Systemic steroids: used only with sight threatening conditions

  • Surgical: amniotic membrane and keratectomy for severe corneal disease

76
New cards

What is atopic keratoconjuctivits (AKC)?

A chronic inflammation eye condition that combines type I and type IV reactions. It develops in adulthood, around 30-50 yrs old. Tends to be worse in winter. Males = Females

77
New cards

Who is at risk for AKC?

Individuals typically diagnosed with eczema, asthma, allergies. 5% were previously diagnosed with VKC.

78
New cards

What are the symptoms of AKC?

  • Itching

  • Tearing

  • Photophobia

  • Mucoid discharge 

  • Tends to be worse than VKC 

<ul><li><p>Itching</p></li><li><p>Tearing</p></li><li><p>Photophobia</p></li><li><p>Mucoid discharge&nbsp;</p></li><li><p>Tends to be worse than VKC&nbsp;</p></li></ul><p></p>
79
New cards

What are the presentations of AKC?

  • Conj: worse inferior

    • Papillary conj reaction

    • Conj hyperemia

    • Horner-trantas dots

    • Conj scarring and symblepharon formation (lead to a shorten fornix and keratinziation of the caruncle)

  • Cornea: 

    • PEE inferior 1/3 of cornea

    • Persistent epithelial defects, may have associated corneal thinning 

    • plaques

    • peripheral vascularization with stromal scarring, more common with AKC than VKC

  • Cataract: shield like anterior or posterior subcapsular cataract 

<ul><li><p>Conj: worse inferior</p><ul><li><p>Papillary conj reaction</p></li><li><p>Conj hyperemia</p></li><li><p>Horner-trantas dots</p></li><li><p>Conj scarring and symblepharon formation (lead to a shorten fornix and keratinziation of the caruncle)</p></li></ul></li><li><p>Cornea:&nbsp;</p><ul><li><p>PEE inferior 1/3 of cornea</p></li><li><p>Persistent epithelial defects, may have associated corneal thinning&nbsp;</p></li><li><p>plaques</p></li><li><p>peripheral vascularization with stromal scarring, more common with AKC than VKC</p></li></ul></li><li><p>Cataract: shield like anterior or posterior subcapsular cataract&nbsp;</p></li></ul><p></p>
80
New cards

What are the treatment for AKC?

  • Remove antigen

  • Palliative care: lid hygiene, cold compresses, artificial tears 

  • Topical mast cell stabilizer, antihistamine or combination 

  • Topical steriods and cyclosporine

  • Oral antihistamine or steroid

  • Bandage contact lens: persistent corneal defect

  • Surgical: amniotic membrane, keratoplasty (used for persistent corneal defect) 

81
New cards

What causes Giant papillary conjunctivitis (GPC)?

Mechanical irritation:

  • CL: protein build up on lens

  • Ocular prosthetic

  • Exposed suture- commonly seen with corneal transplant

  • Scleral buckle- retinal detachment repair

  • Filtering bleb from trabeculectomy: glaucoma surgery

  • Mucus fishing syndrome 

<p>Mechanical irritation:</p><ul><li><p>CL: protein build up on lens</p></li><li><p>Ocular prosthetic</p></li><li><p>Exposed suture- commonly seen with corneal transplant</p></li><li><p>Scleral buckle- retinal detachment repair</p></li><li><p>Filtering bleb from trabeculectomy: glaucoma surgery</p></li><li><p>Mucus fishing syndrome&nbsp;</p></li></ul><p></p>
82
New cards

What are the symptoms of GPC?

  • Foreign body sensation

  • Redness

  • Itching

  • Mucus discharge

  • CL intolerance: symptoms may worsen after removal 

<ul><li><p>Foreign body sensation</p></li><li><p>Redness</p></li><li><p>Itching</p></li><li><p>Mucus discharge</p></li><li><p>CL intolerance: symptoms may worsen after removal&nbsp;</p></li></ul><p></p>
83
New cards

What are the presentation of GPC?

  • Conj hyperemia of the superior tarsal plate 

  • Medium sized papillae (>0.3mm) on superior tarsal plate. can ulcerate in advanced cases 

  • CL intolerance: excessive movement of CL, protein deposits on the CL

<ul><li><p>Conj hyperemia of the superior tarsal plate&nbsp;</p></li><li><p>Medium sized papillae (&gt;0.3mm) on superior tarsal plate. can ulcerate in advanced cases&nbsp;</p></li><li><p>CL intolerance: excessive movement of CL, protein deposits on the CL</p></li></ul><p></p>
84
New cards

What are the treatments for GPC?

  • Discontinue CL wear until resolution (6wks) and stress importance of proper wear schedule and cleaning regimen 

  • Proper cleaning regimen for ocular prosthetic

  • Topical mast cell stabilizers, antihistamines, and combination 

  • Topical steriods 

<ul><li><p>Discontinue CL wear until resolution (6wks) and stress importance of proper wear schedule and cleaning regimen&nbsp;</p></li><li><p>Proper cleaning regimen for ocular prosthetic</p></li><li><p>Topical mast cell stabilizers, antihistamines, and combination&nbsp;</p></li><li><p>Topical steriods&nbsp;</p></li></ul><p></p>
85
New cards

How can conjunctivitis be differentiated by follicles, papillae, and discharge?

  • Follicles + preauricular node →
     • Herpetic signs present → HSV
     • Herpetic signs absent → Adenovirus/Chlamydia

  • Follicles, no preauricular node → Toxic conjunctivitis, Molluscum, Pediculosis

  • Papillae + severe purulent → Gonococcal (GC)

  • Papillae + scant purulent → Bacterial (non-GC)

  • Papillae + watery → Allergy/Atopy

86
New cards

What is cicatrical pemphigoid/ mucus membrane pemphigoid?

A group of chronic autoimmune mucocutaneous blistering disease that affects con, nasopharynx, upper airways, gastrointestinal. Typically 2x females vs males.

87
New cards

What causes cicatricial pemphigoid?

Type II hypersensitivity, antibodies bind with complement at the basement membrane and recruit inflammatory cells. 

<p>Type II hypersensitivity, antibodies bind with complement at the basement membrane and recruit inflammatory cells.&nbsp;</p>
88
New cards

What are the presentation of cicatricial pemphigoid? 

  • Bilateral, but asymmetric condition. 

  • Insidious onset

  • Conj:

    • papillary reaction

    • diffuse hyperemia and chemosis

    • flatenning of the plica and keratinization of the caruncle

    • conj fibrosis and shortening of inferior fornix

    • symblepharon-adhesions between the bulbar and palpebral conj

    • destruction of goblet cells and accessory lacrimal glands

    • Necrosis in sever cases

  • Cornea: PEE, vascularization, infiltrates, keratinization of cornea d/t limbal stem cell failure

  • Eyelid: aberrant lashes, blepharitis, keratinization of the lid margin, ankyloblepharon-connection of upper and lower lid at the lateral canthus

<ul><li><p>Bilateral, but asymmetric condition.&nbsp;</p></li><li><p>Insidious onset</p></li><li><p>Conj:</p><ul><li><p>papillary reaction</p></li><li><p>diffuse hyperemia and chemosis</p></li><li><p>flatenning of the plica and keratinization of the caruncle</p></li><li><p>conj fibrosis and shortening of inferior fornix</p></li><li><p>symblepharon-adhesions between the bulbar and palpebral conj</p></li><li><p>destruction of goblet cells and accessory lacrimal glands </p></li><li><p>Necrosis in sever cases</p></li></ul></li><li><p>Cornea: PEE, vascularization, infiltrates, keratinization of cornea d/t limbal stem cell failure </p></li><li><p>Eyelid: aberrant lashes, blepharitis, keratinization of the lid margin, ankyloblepharon-connection of upper and lower lid at the lateral canthus </p></li></ul><p></p>
89
New cards

What are the treatments for cicatricial pemphigoid.

  • Systemic:

    • Oral antibiotic/anti-inflammatory

    • antimetabolites-chemotherapy drugs 

    • oral steriods

  • Ocular treatment: 

    • Artifical teras

    • topical steriods

    • blepharitis treatment (lid hygiene and tetracyclines) 

    • Subconj injections: mitomycin-C or steroid 

<ul><li><p>Systemic: </p><ul><li><p>Oral antibiotic/anti-inflammatory</p></li><li><p>antimetabolites-chemotherapy drugs&nbsp;</p></li><li><p>oral steriods</p></li></ul></li><li><p>Ocular treatment:&nbsp;</p><ul><li><p>Artifical teras</p></li><li><p>topical steriods</p></li><li><p>blepharitis treatment (lid hygiene and tetracyclines)&nbsp;</p></li><li><p>Subconj injections: mitomycin-C or steroid&nbsp;</p></li></ul></li></ul><p></p>
90
New cards

How are the complications of cicatricial pemphigoid treated?

  • Laser removal of aberrant eyelashes

  • punctal occlusion for severe dry eye

  • tarsorrhaphy when persistent epithelial defects are present

  • amniotic membrane for keatinization of the conj

  • entropion repair

  • keratoplasty or keratoprosthetic 

<ul><li><p>Laser removal of aberrant eyelashes</p></li><li><p>punctal occlusion for severe dry eye</p></li><li><p>tarsorrhaphy when persistent epithelial defects are present</p></li><li><p>amniotic membrane for keatinization of the conj</p></li><li><p>entropion repair</p></li><li><p>keratoplasty or keratoprosthetic&nbsp;</p></li></ul><p></p>
91
New cards

What is stevens-johnson syndrome?

An autoimmune reaction that causes painful rash and blistering of the skin and mucous membranes. Less than 5000 individuals in US have been diagnosed.

<p>An autoimmune reaction that causes painful rash&nbsp;and blistering of the skin and mucous membranes.  Less than 5000 individuals in US have been diagnosed. </p>
92
New cards

What are the symptoms and presentations of steven-johnson syndrome?

  • Prodromal phase: fever, malaise, muscle and joint pain

  • Skin rash that develops on the trunk and face, eventually skin will become necrotic and slough off

  • Bilateral conj hyperemia and purulent discharge 

  • Subconj hemorrhage

  • PEE with epithelial defects

  • Conj membranes affected 

<ul><li><p>Prodromal phase: fever, malaise, muscle and joint pain</p></li><li><p>Skin rash that develops on the trunk and face, eventually skin will become necrotic and slough off</p></li><li><p>Bilateral conj hyperemia and purulent discharge&nbsp;</p></li><li><p>Subconj hemorrhage</p></li><li><p>PEE with epithelial defects</p></li><li><p>Conj membranes affected&nbsp;</p></li></ul><p></p>
93
New cards

What are the complications from stevens-johnson syndrome 

  • Symblepharon

  • Lid margin keratinization

  • meibomain gland disease/dry eye

  • corneal opacificaion 

  • Distichiasis

<ul><li><p>Symblepharon</p></li><li><p>Lid margin keratinization</p></li><li><p>meibomain gland disease/dry eye</p></li><li><p>corneal opacificaion&nbsp;</p></li><li><p>Distichiasis </p></li></ul><p></p>
94
New cards

What are treatments for stevens-johnson syndrome?

  • Systemic: removal causative agent 

  • Ocular: 

    • Artifical tears and ointments

    • topical antiboitcs

    • removal of conj membranes

    • treatment of complications 

95
New cards

What is Superior limbic keratoconjunctivitis (SLK)?

A bilateral condition where chronic inflammatory condition affects the superior bulbar conjunctiva, limbus and upper cornea. 50% association with TED. 

<p>A bilateral condition where chronic inflammatory condition affects the superior bulbar conjunctiva, limbus and upper cornea. 50% association with TED.&nbsp;</p>
96
New cards

What are the symptoms and presentation of SLK?

  • Foreign body sensation, photophobia, pain

  • Radial injection of only superior bulbar conj starting at the limbus

  • Papillary reaction of superior palpebral conj

  • Punctate staining of superior cornea, filaments may be present 

<ul><li><p>Foreign body sensation, photophobia, pain</p></li><li><p>Radial injection of only superior bulbar conj starting at the limbus</p></li><li><p>Papillary reaction of superior palpebral conj</p></li><li><p>Punctate staining of superior cornea, filaments may be present&nbsp;</p></li></ul><p></p>
97
New cards

What are the treatments for SLK?

  • Similar to dry eye treatment: artificial tears, topical anti-inflammatory medication, topcial cyclosporine, concurrent lid disease

  • Bandage contact lens

<ul><li><p>Similar to dry eye treatment: artificial tears, topical anti-inflammatory medication, topcial cyclosporine, concurrent lid disease</p></li><li><p>Bandage contact lens </p></li></ul><p></p>
98
New cards

What causes subconjunctival hemorrhages?

  • Valsalva (coughing, sneezing, constipation, heavy lifting) 

  • Systemic conditions: hypertension, bleeding disorders

  • Medicatino induced: antiplatelet or anticoagulant medication

  • Traumatic

  • Idiopathic

<ul><li><p>Valsalva (coughing, sneezing, constipation, heavy lifting)&nbsp;</p></li><li><p>Systemic conditions: hypertension, bleeding disorders</p></li><li><p>Medicatino induced: antiplatelet or anticoagulant medication</p></li><li><p>Traumatic</p></li><li><p>Idiopathic</p></li></ul><p></p>
99
New cards

What are the symptoms and presentation of subconj hemorrhage?

  • Typically no symptoms, hay have irritation if hemorrahge is large

  • Collection of blood beneath of the conj

  • Tends to be sectoral but can be diffuse

  • Details of the sclera will be blocked by the blood 

<ul><li><p>Typically no symptoms, hay have irritation if hemorrahge is large</p></li><li><p>Collection of blood beneath of the conj</p></li><li><p>Tends to be sectoral but can be diffuse</p></li><li><p>Details of the sclera will be blocked by the blood&nbsp;</p></li></ul><p></p>
100
New cards

What are treatments for subconj hemorrhage?

  • Palliative care: artificial tears for irrataion

  • Check BP

  • Communicate with PCP if taking antiplatelet or anticoagulant meds

  • Lab work for recurrent subconjunctival hemorrhages: Prothrombin time, partial thromboplastin time, complete blood work with platelet

<ul><li><p>Palliative care: artificial tears for irrataion</p></li><li><p>Check BP</p></li><li><p>Communicate with PCP if taking antiplatelet or anticoagulant meds</p></li><li><p>Lab work for recurrent subconjunctival hemorrhages: Prothrombin time, partial thromboplastin time, complete blood work with platelet</p></li></ul><p></p>