1/84
Looks like no tags are added yet.
Name | Mastery | Learn | Test | Matching | Spaced | Call with Kai |
|---|
No analytics yet
Send a link to your students to track their progress
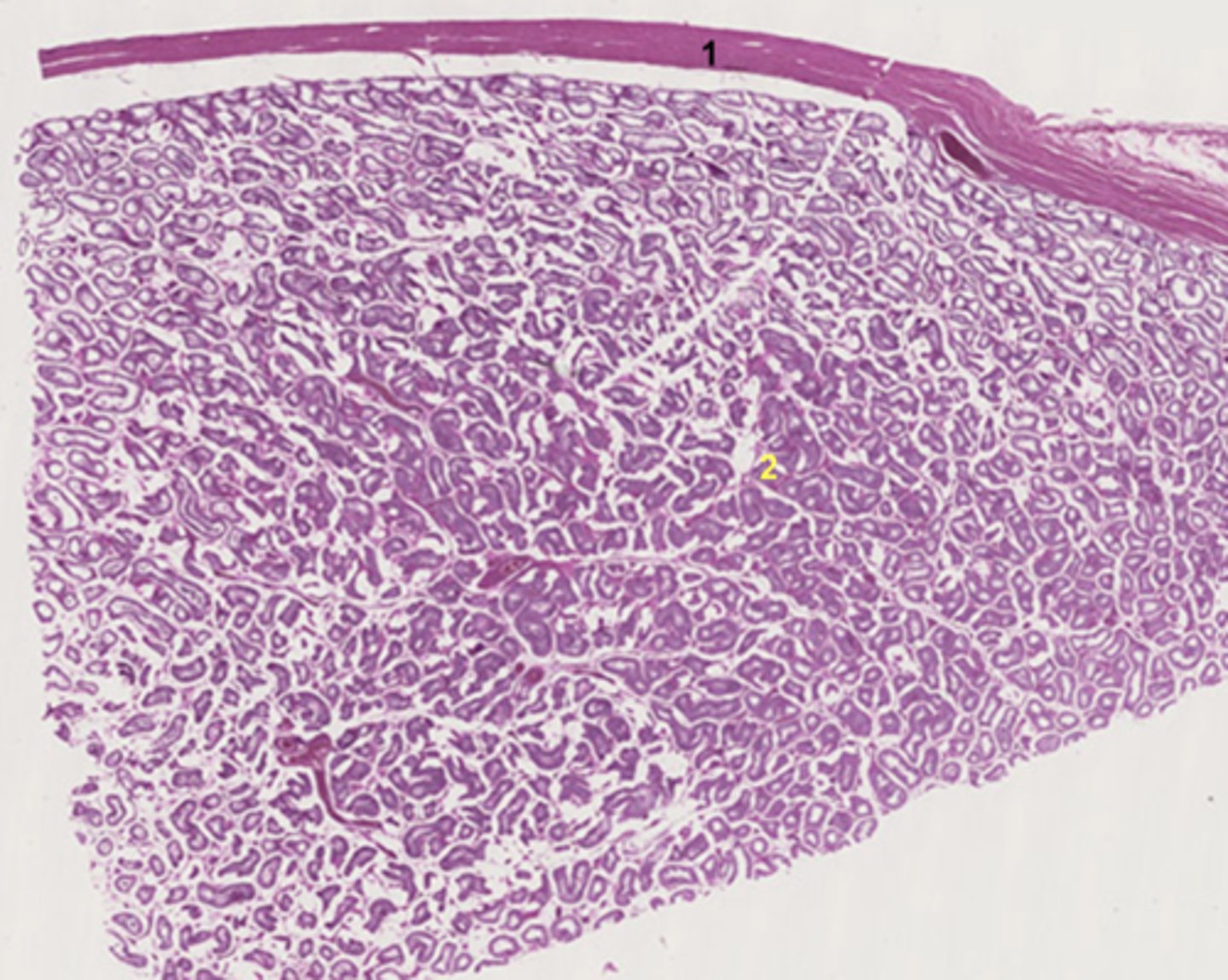
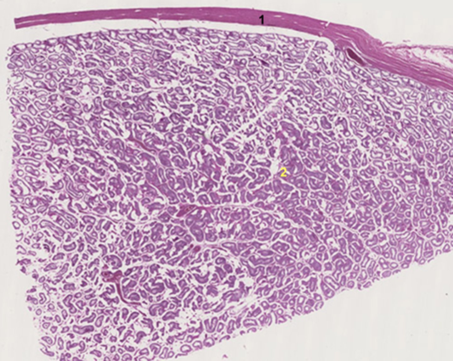
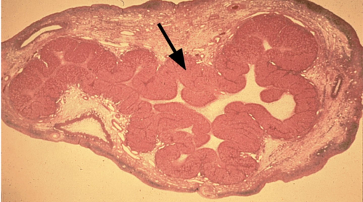
Tunica albuginea
What is 1?

Testis
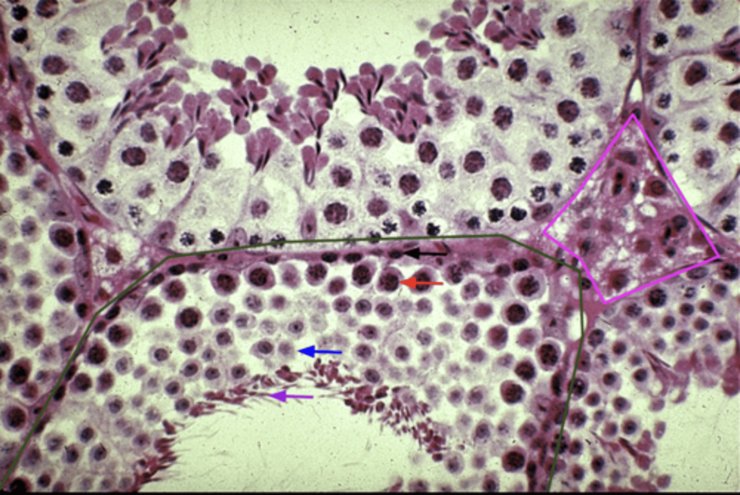
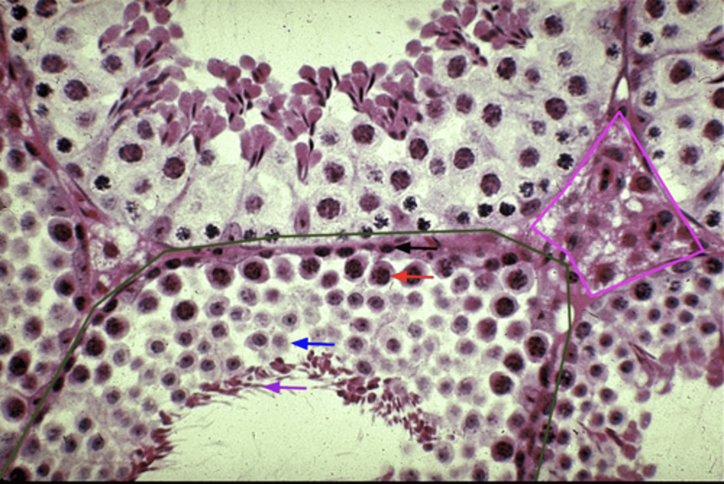
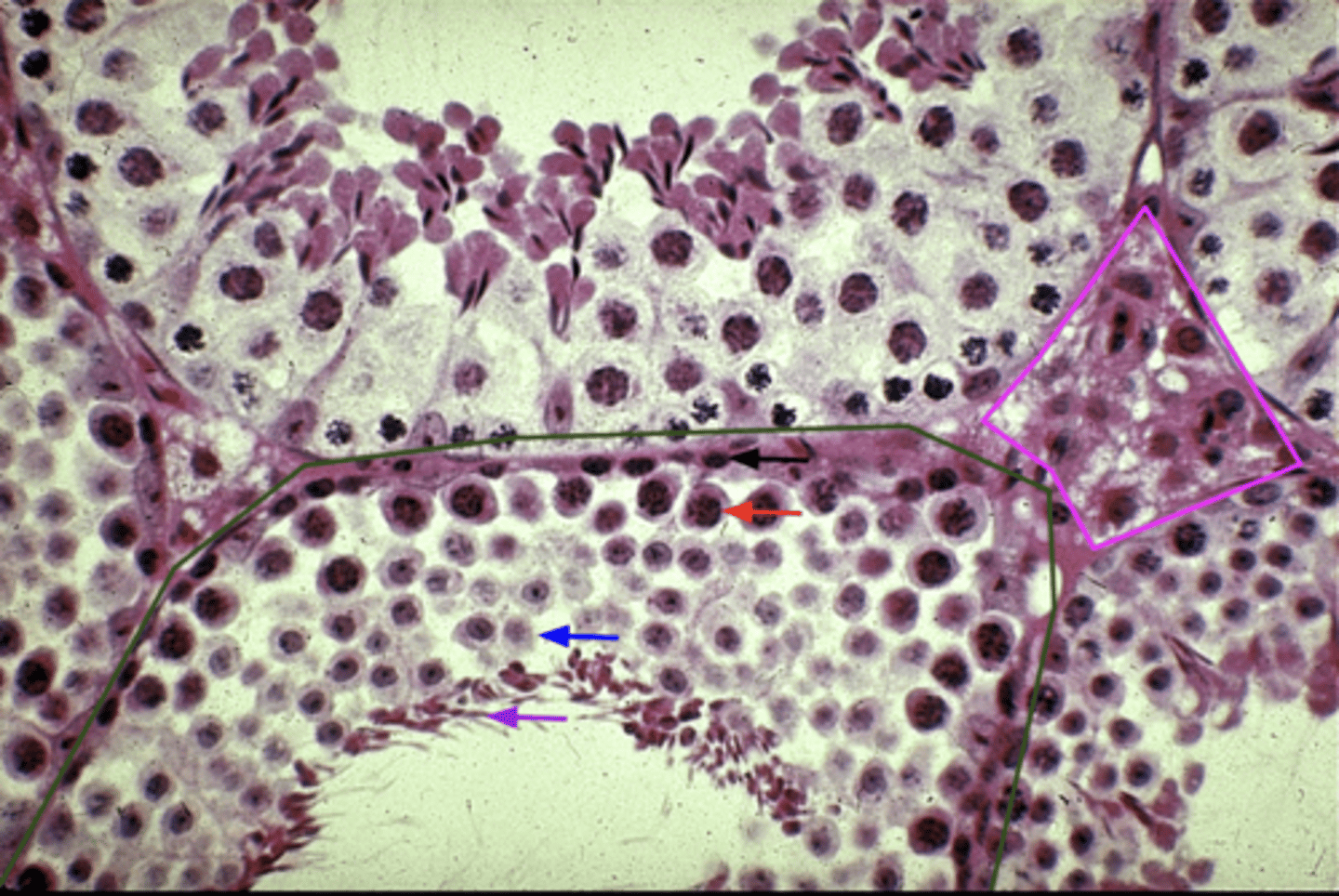
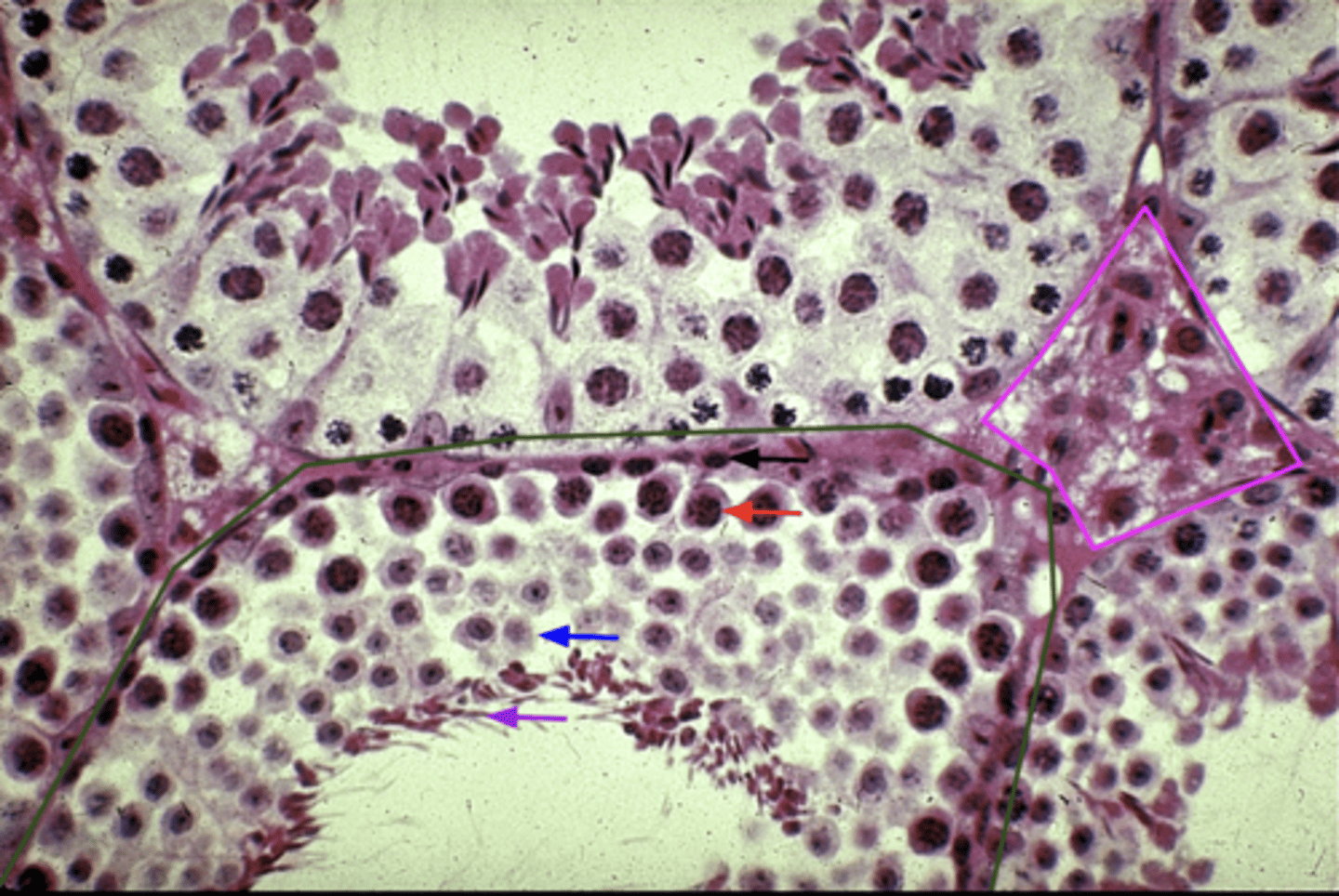
What is 2?

Seminiferous tubule
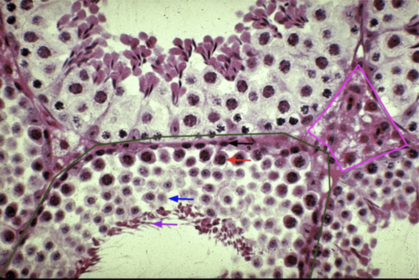
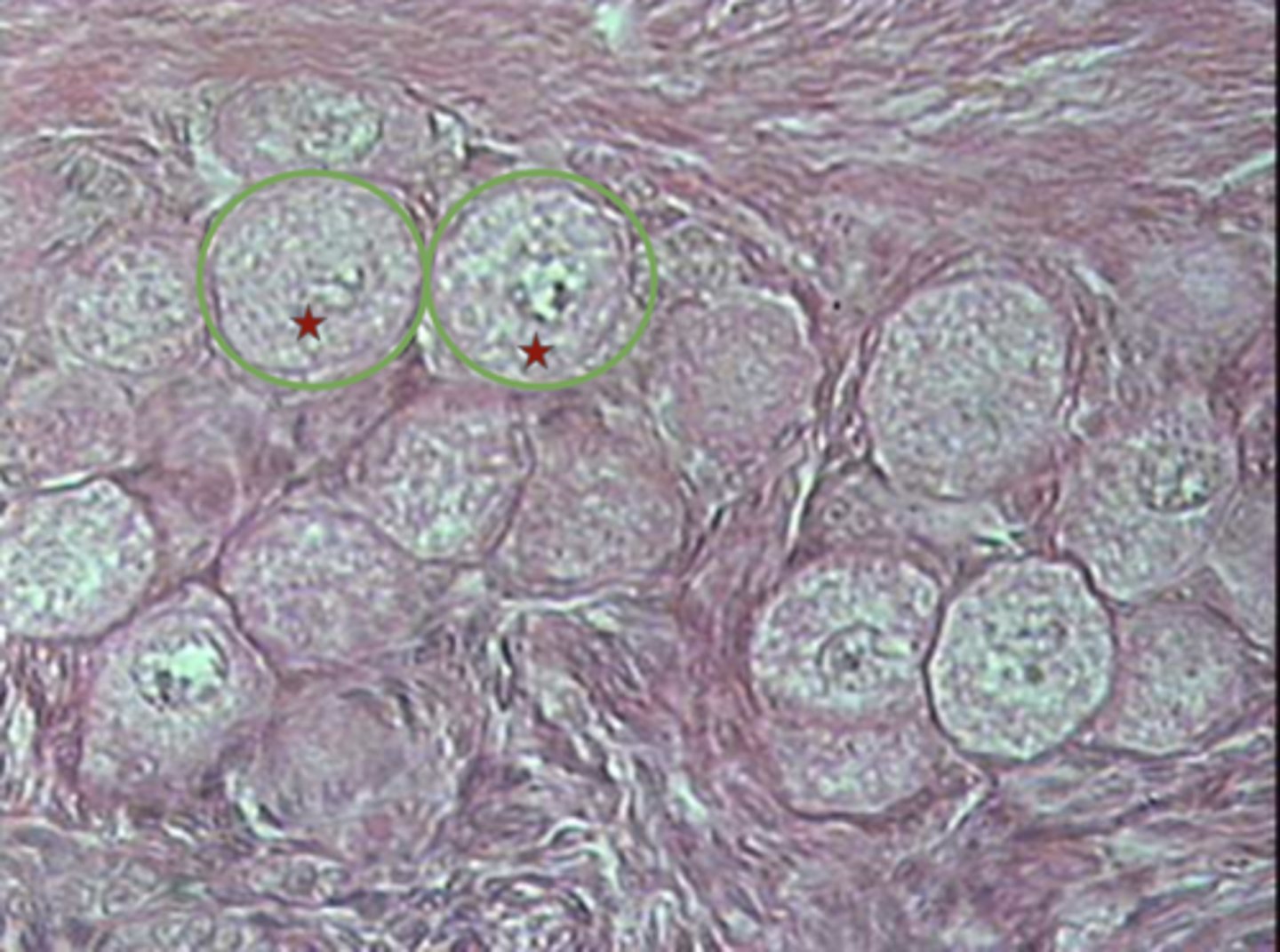
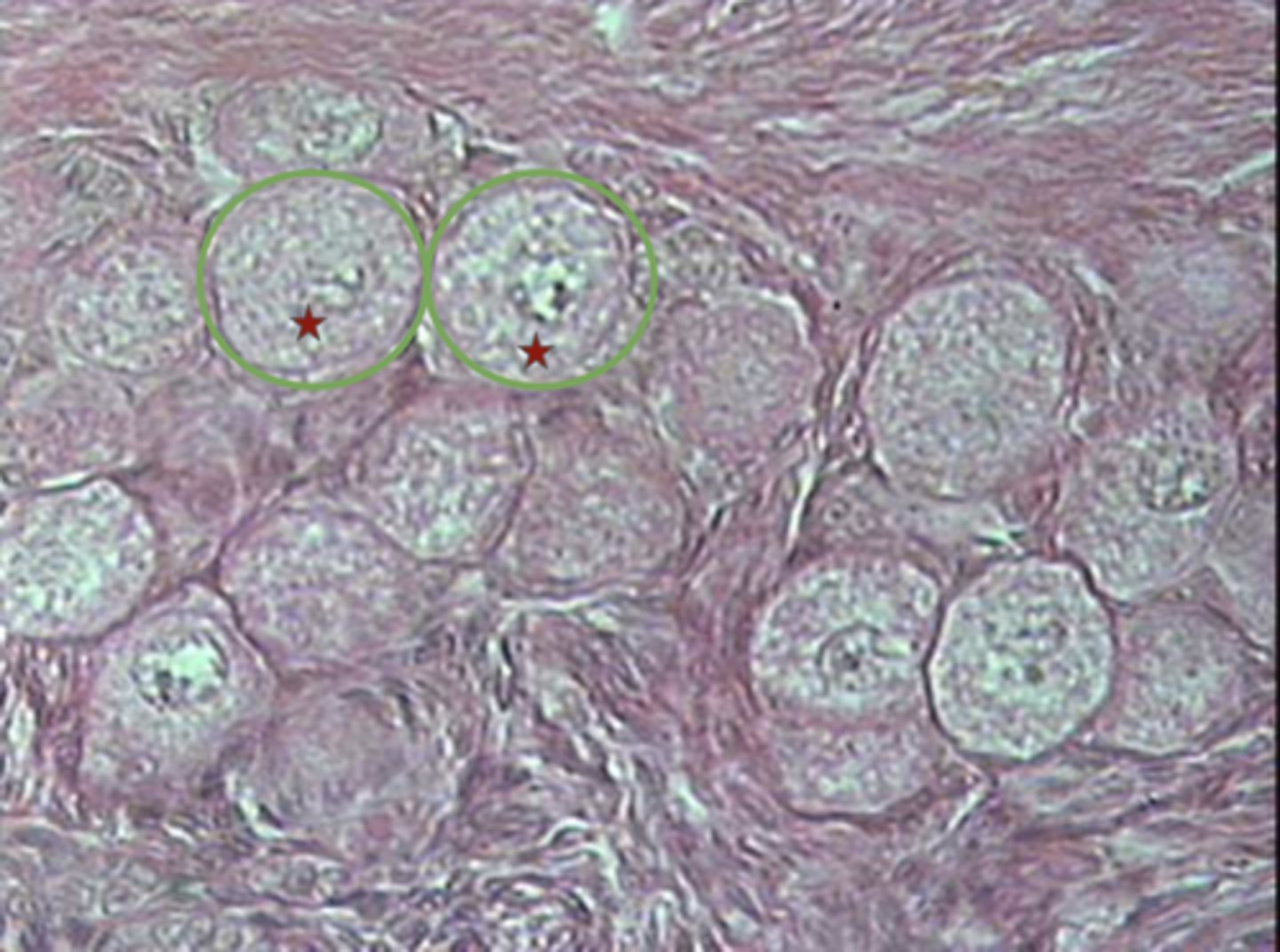
What is the green outline?

Spermatogonium
What is the black arrow?

Primary spermatocyte
What is the red arrow?

Spermatid
What is the blue arrow?

Spermatozoon
What is the purple arrow?

Interstitial cells
What is the pink outline?

Seminiferous tubule
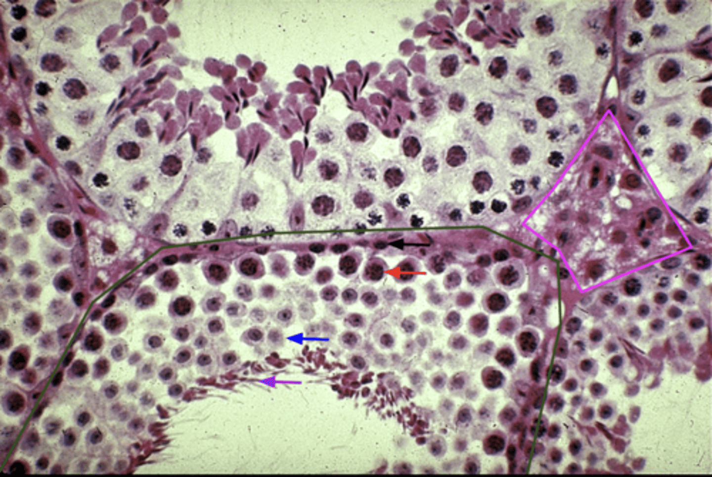
What is the green outline?

Spermatogonium
What is the black arrow?

Primary spermatocyte
What is the red arrow?

Spermatid
What is the blue arrow?

Spermatozoon
What is the purple arrow?

Interstitial cells
What is the pink outline?

Germinal epithelium
What is the black arrow?

Tunica albuginea
What is the red arrow?

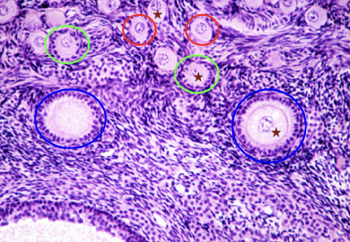
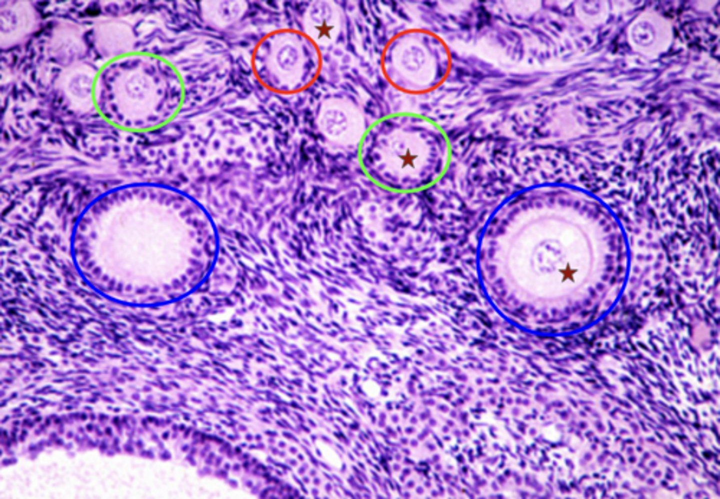
Primordial follicles
What is the green circle?

Multilaminar primary follicle
What is the blue outline?

Primary oocyte
What is the red star?

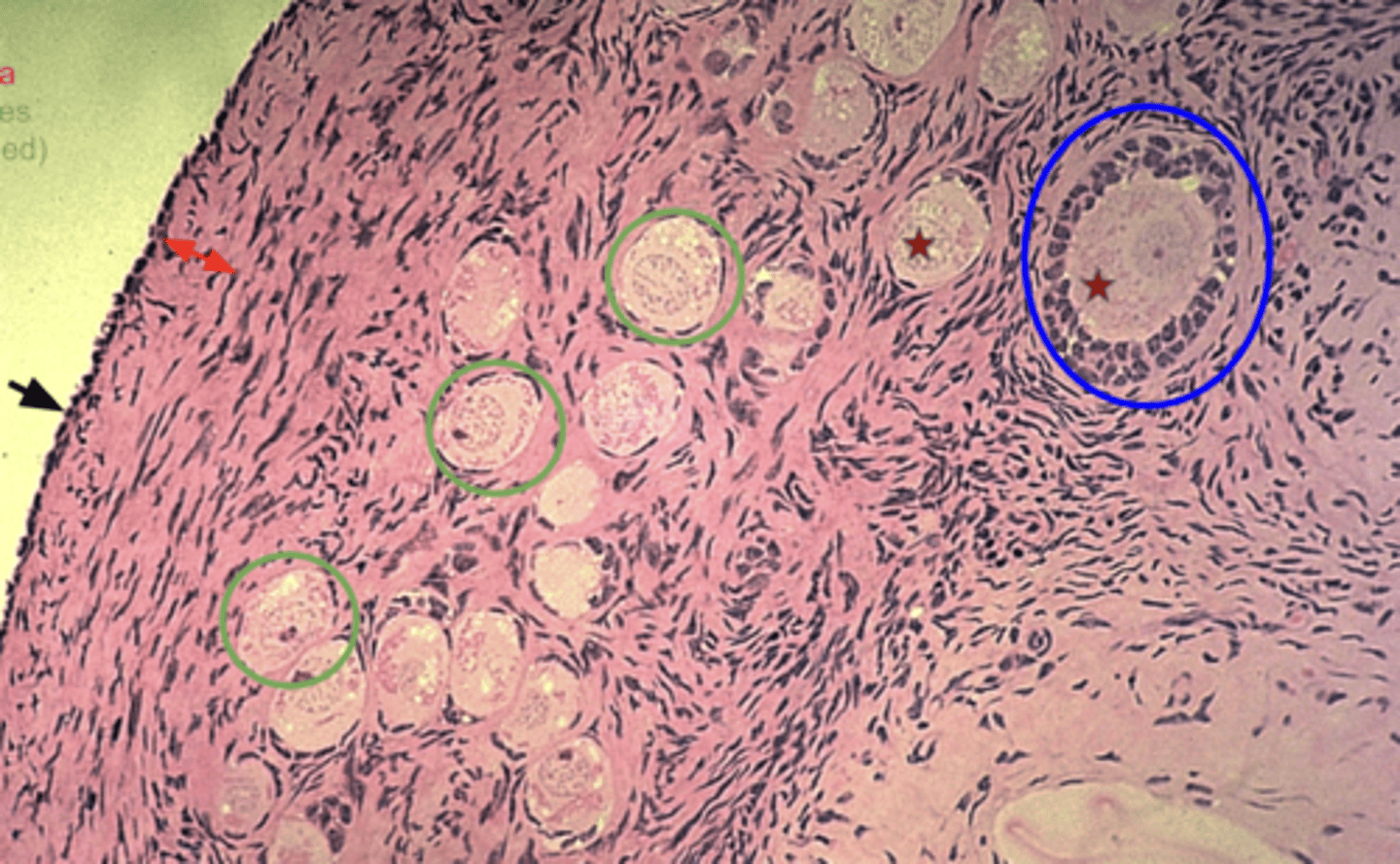
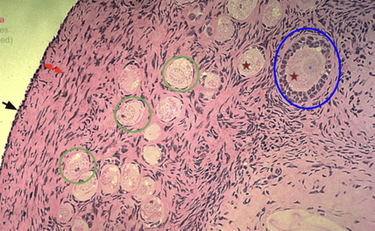
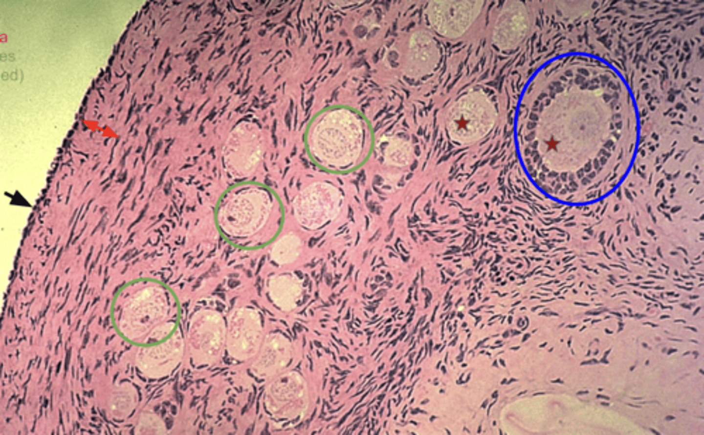
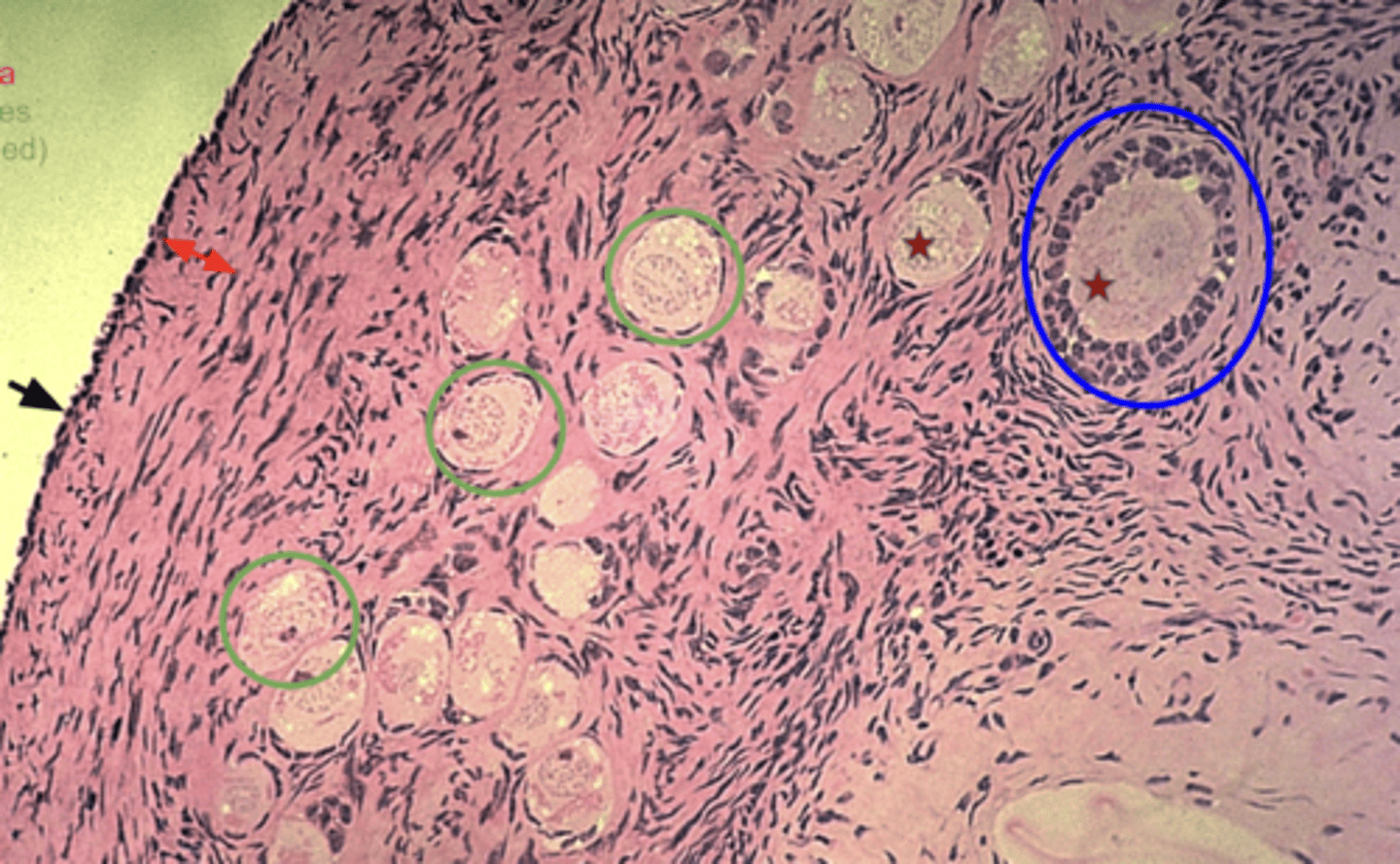
Germinal epithelium
What is the black arrow?

Tunica albuginea
What is the red arrow?

Primordial follicles
What is the green arrow?

Multilaminar primary follicle
What is the blue circle?

Primary oocyte
What is the red star?

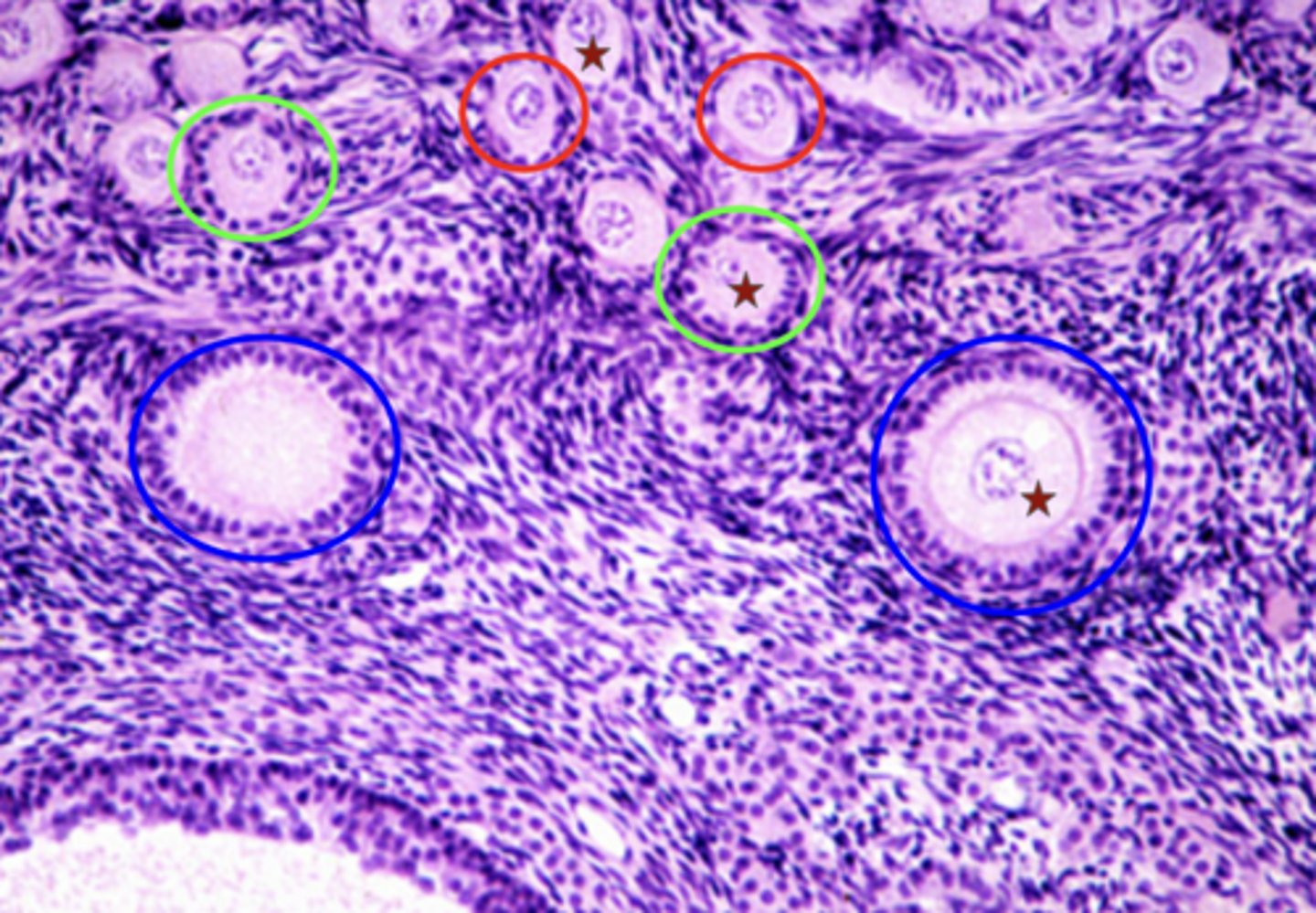
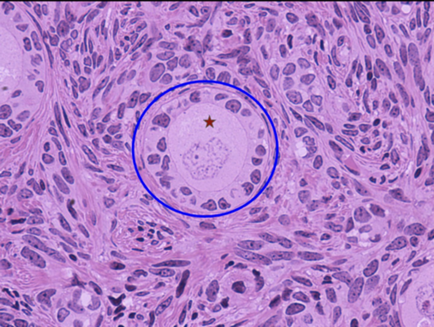
Primordial follicles
What is the green circle?

Primary oocyte
What is the red star?

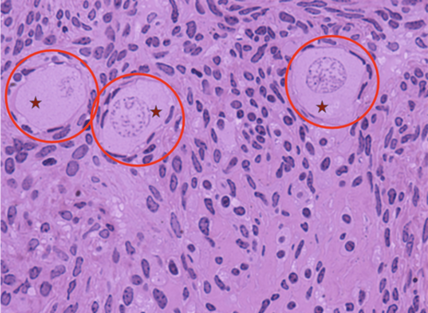
Primordial follicles
What is the red circle?

Primary oocytes
What is the brown star?

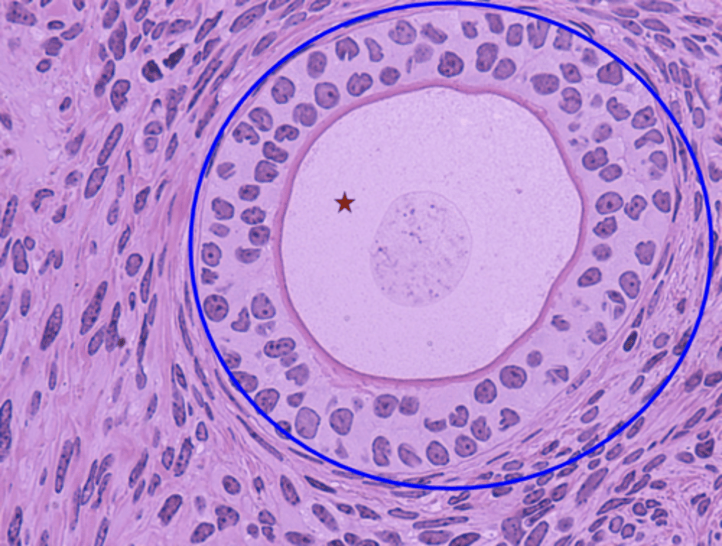
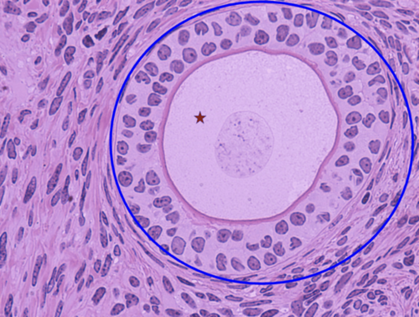
Unilaminar primary follicle
What is the green circle?

Multilaminar primary follicle
What is the blue circle?

Primordial follicles
What is the red circle?

Primary oocyte
What is the red star?

Unilaminar primary follicle
What is the blue circle?

Primary oocyte
What is the red star?

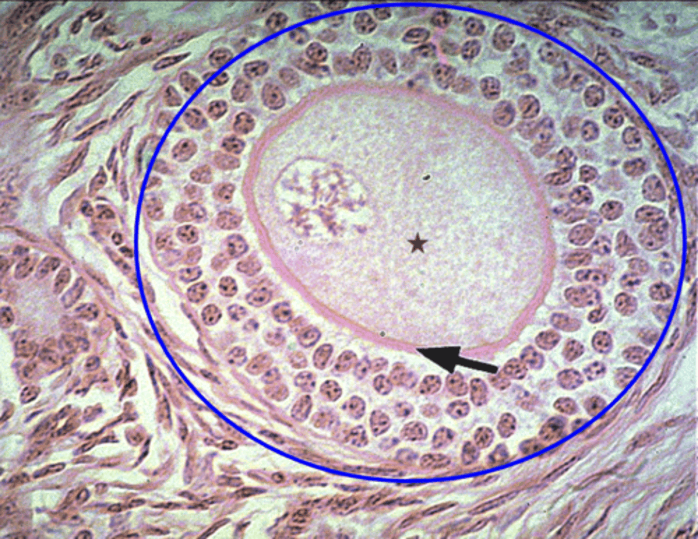
Multilaminar primary follicle
What is the blue circle?

Primary oocyte
What is the red star?

Multilaminar primary follicle
What is the blue circle?

Primary oocyte
What is the red star?

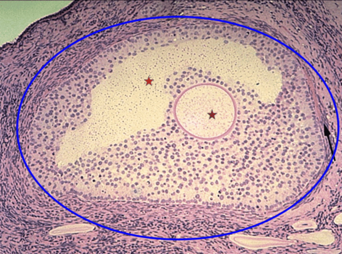
Secondary follicle
What is the blue circle?

Primary oocyte
What is the brown star?

Developing antrum
What is the red star?

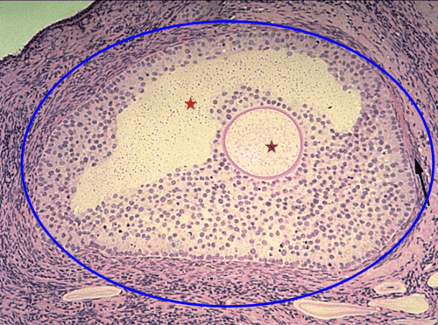
Secondary follicle
What is the blue circle?

Developing antrum
What is the red star?

Primary oocyte
What is the brown star?

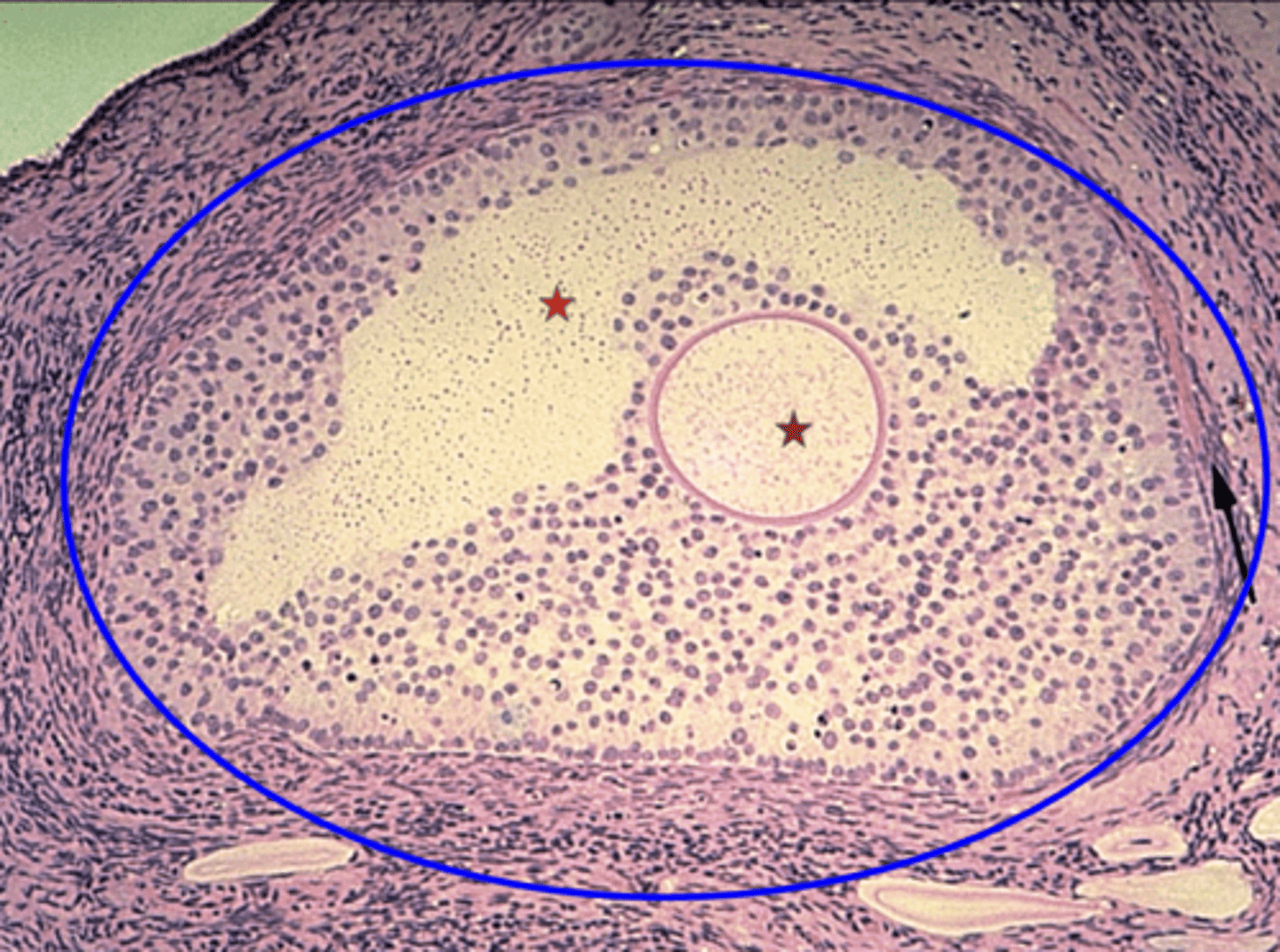
Graafian follicle
What is the blue circle?

Primary oocyte
What is the brown star?

Antrum
What is the red star?

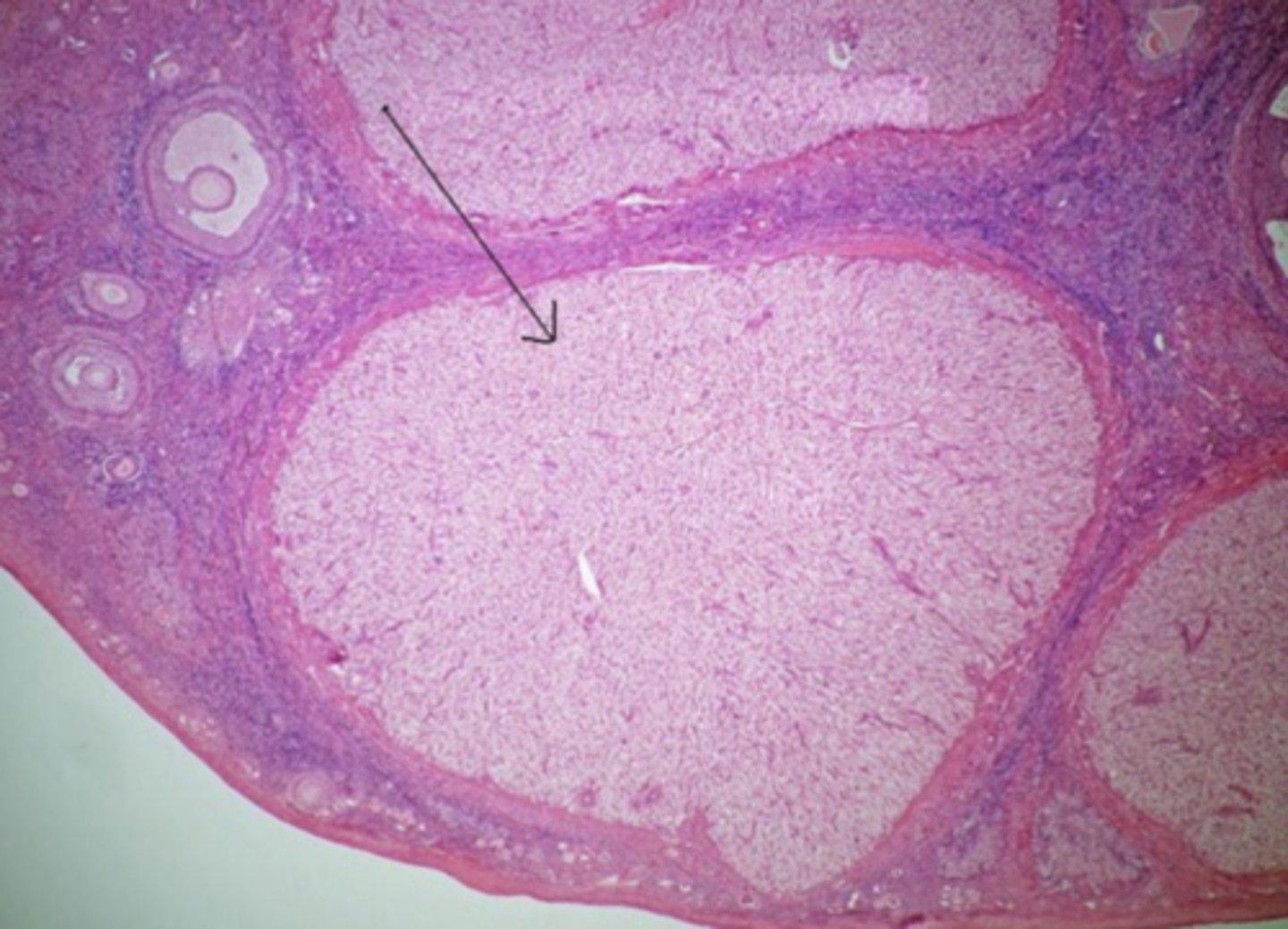
Corpus luteum
What is the black arrow

Corpus luteum
What is the black arrow

Site of sperm production
Function of the seminiferous tubule?
Spermatogonium
This is the outer layer and first part of spermatogenesis
4
1 spermatogonium makes ___ spermatids
Production of testosterone
Function of the interstitial cells?
Simple cuboidal epithelium
Tissue type of germinal epithelium?
Fibrous layer of connective tissue
Tissue type tunica albuginea?
secondary follicle
Has a small antrum?
Graafian follicle
Has a large antrum
Cells make estrogen
Function of the secondary follcile?
The follicle undergoes ovulation
Function of the graafian follicle?
Makes progesterone
Function of the corpus luteum
46;23
Diploid is __ chromosomes and ___ pairs.
23
Haploid is __ chromosomes.
Spermatogenesis
The developmental process of becoming a sperm cells is called?
Haploid
Diploid or Haploid: Secondary oocyte
Diploid
Diploid or Haploid: Spermatogonium
Haploid
Diploid or Haploid: Spermatid
Diploid
Diploid or Haploid: Primary oocyte
Haploid
Diploid or Haploid: Ovum
Haploid
Diploid or Haploid: Sperm
Diploid
Diploid or Haploid: Primary spermatocyte
Haploid
Diploid or Haploid: First polar body
Haploid
Diploid or Haploid: Secondary spermatocyte
Haploid
Diploid or Haploid: Second polar body
Diploid
Diploid or Haploid: Oogonium
Diploid
Diploid or Haploid: Hepatocyte
Neither (biconcave)
Diploid or Haploid: Erythrocyte
4
How many functioning gametes can be produced from a single primary spermatocyte?
1
How many functioning gametes can be produced from a single primary oocyte
Epididymis
Where does sperm maturation occur?
Sperminogenesis
Spermatid becomes sperm
Secondary follicle
What secretes the most estrogen?
Primordial follicle
What contains the oogonium?
Primordial follicle
Whats found in the fetus?
Spermatid, because it is an inner cell with no flagellum
In examining an image of the seminiferous tubule, you notice a cell that lacks a flagellum and is not part of either two outermost layers what could this be and why.
Meiosis
The process of becoming a haploid cells.