lab practical 1

0.0(0)
studied byStudied by 0 people
full-widthCall with Kai
GameKnowt Play
learnLearn
examPractice Test
spaced repetitionSpaced Repetition
heart puzzleMatch
flashcardsFlashcards
Card Sorting

1/121

encourage image

There's no tags or description

Looks like no tags are added yet.

Study Analytics
Name
Mastery
Learn
Test
Matching
Spaced

No study sessions yet.

122 Terms

1
New cards

simple squamous epithelium

-single layer of flattened cells -the typical preparation to show these cells are made from a cheek smear -the cells have a polyhedron shape from above & a flattened appearance when viewed from the side -another location where this is found is in the alveoli of lungs

2
New cards

simple squamous epithelium

3
New cards

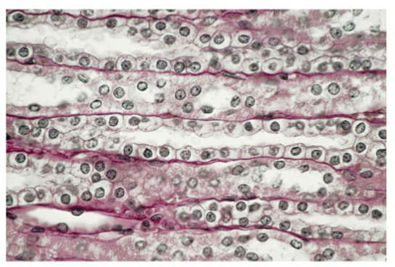
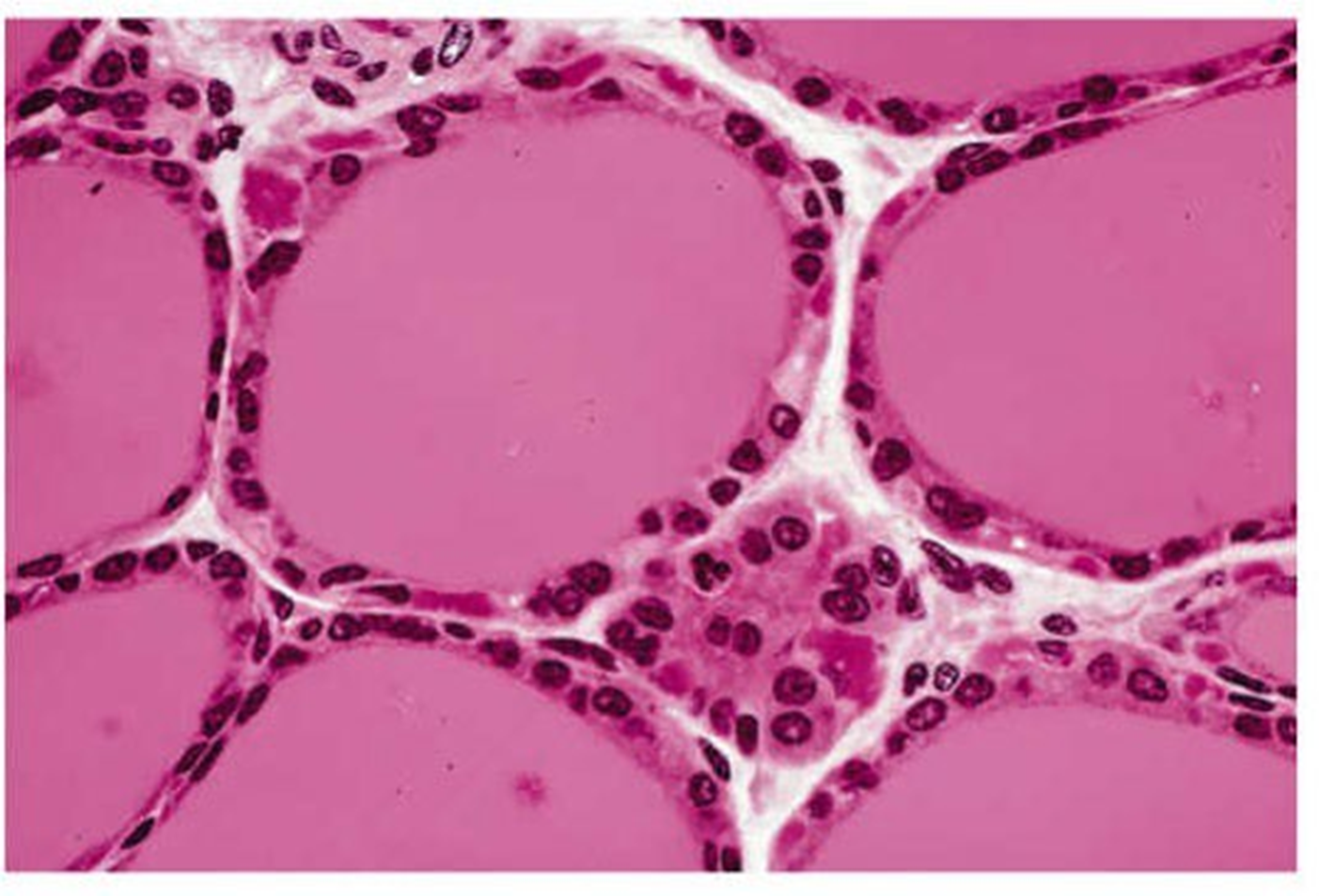
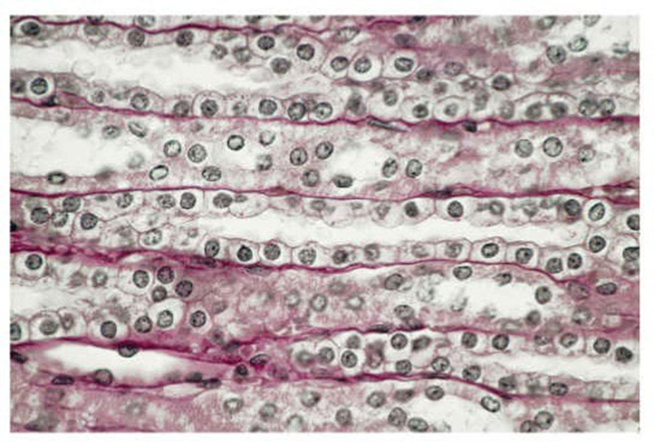
simple cuboidal epithelium

single layer of cube shaped epithelial cells -found in ducts of glands or sections of the kidneys showing the kidney tubules

4
New cards

simple cuboidal epithelium

5
New cards

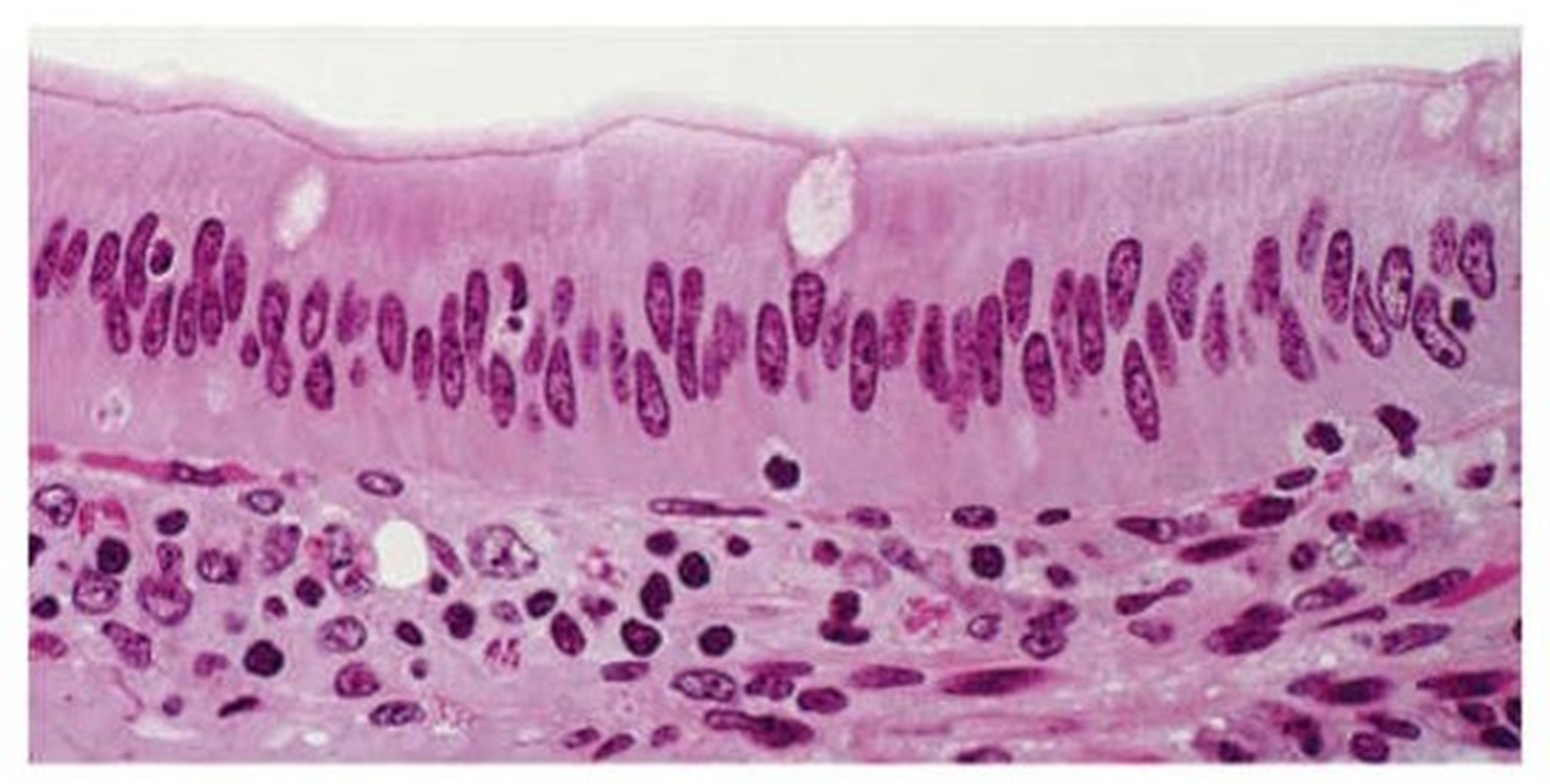
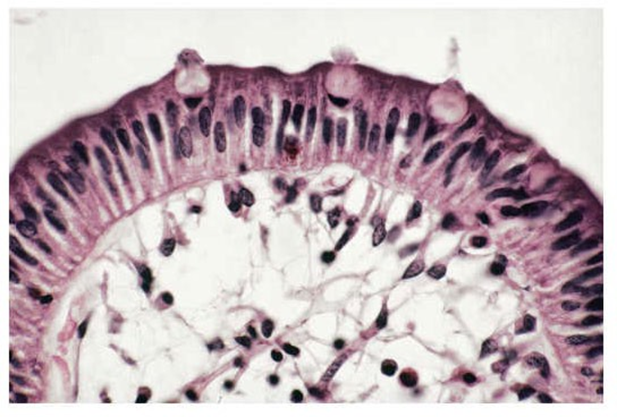
simple columnar epithelium

single layer of column shaped epithelial cells. cells are longer than they are wider. found in the lining of the intestinal tract and fallopian tubes

6
New cards

simple columnar epithelium

7
New cards

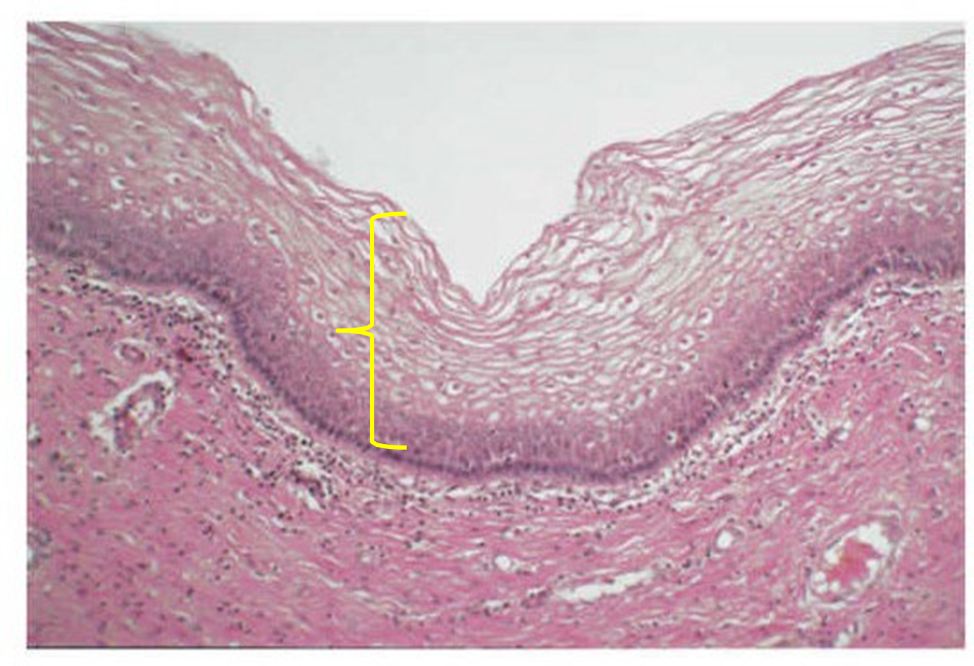
stratified squamous epithelium

multilayered tissue of squamous (squished) epithelial cells. the multiple layers provide protection such as in the epidermis of the skin. these cells may appear cuboidal but change to squamous as they reach the later.

8
New cards

stratified squamous epithelium

9
New cards

areolar connective tissue

loose connective tissue. found between organs and contains various types of fibers, cells and ground substance.

10
New cards

areolar connective tissue

11
New cards

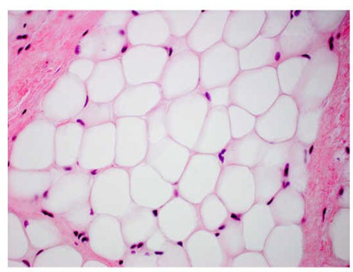
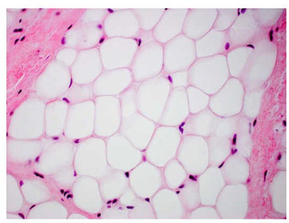
adipose tissue

fat -fat droplet is center of the cell pushes the nucleus to the periphery of the cell

12
New cards

adipose tissue

13
New cards

compact bone

arranged in circular-like structures --small darkly stained osteocytes that surround a central canal

14
New cards

compact bone

15
New cards

skeletal muscle

-contains many striations and peripherally located nuclei -the cells are elongated and called muscle fibers - muscle tissue is connected to bones

16
New cards

skeletal muscle

17
New cards

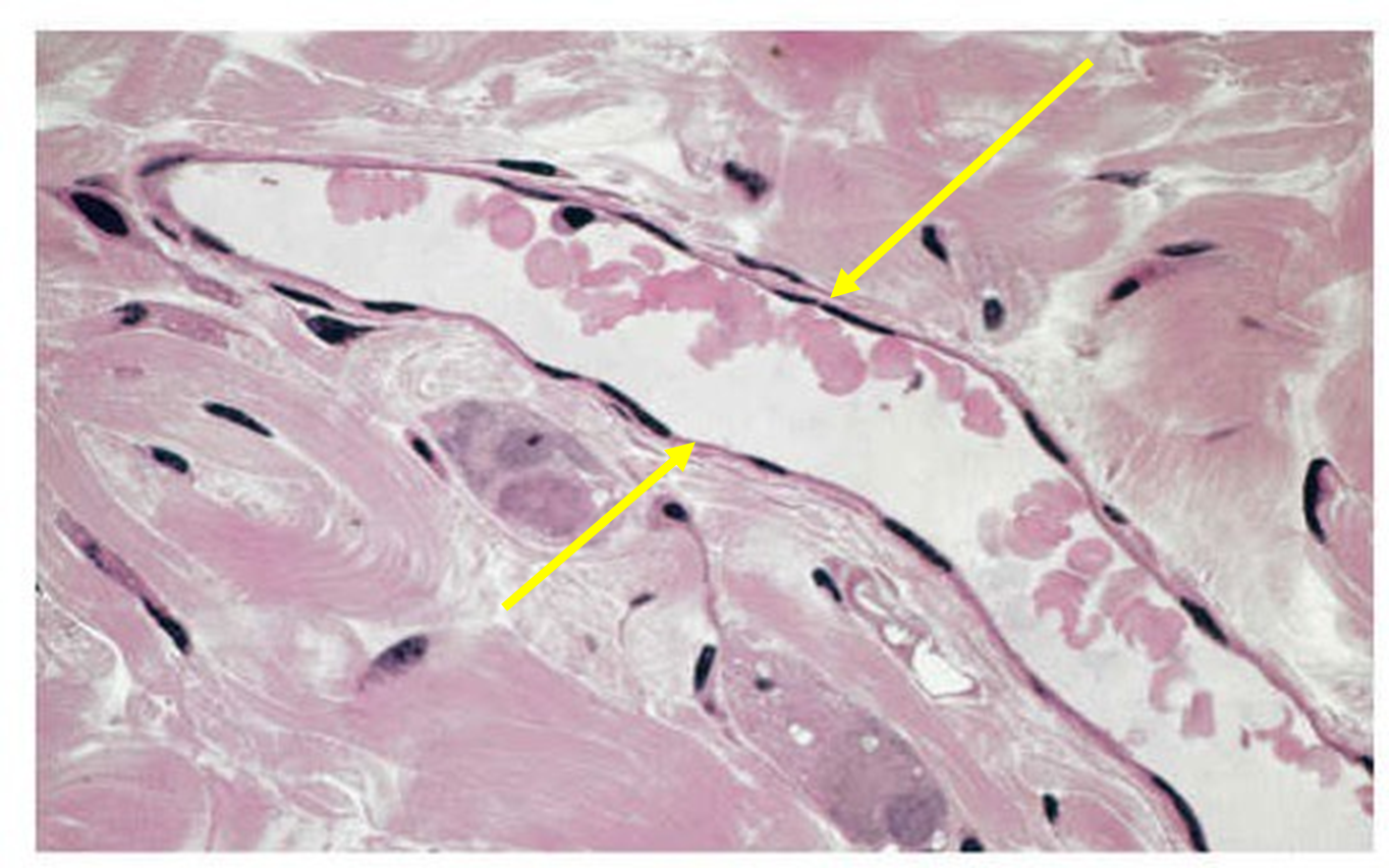
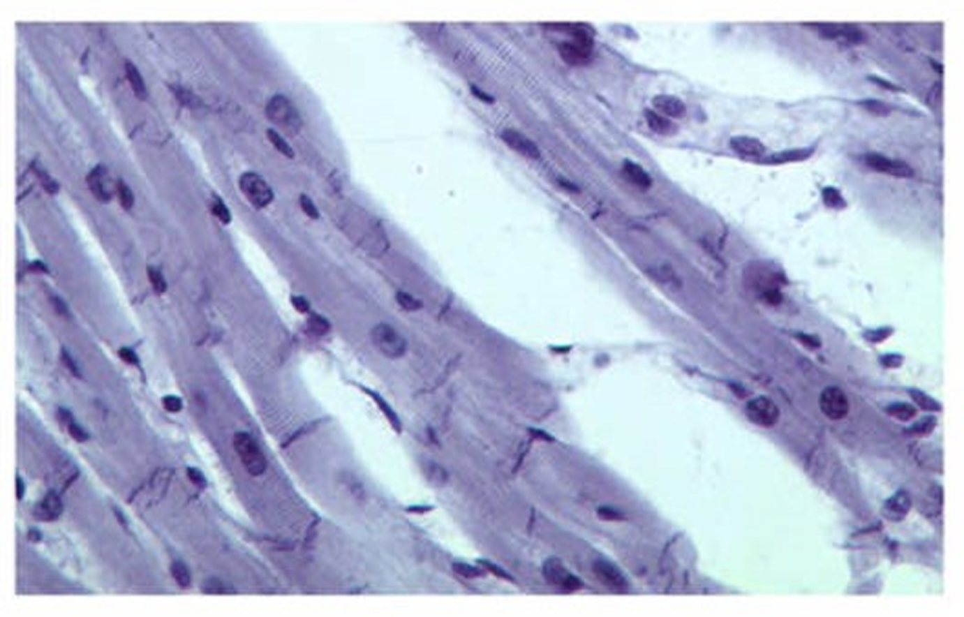
cardiac muscle

-contains striations -has 1-2 centrally located nuclei -muscle cells are connected by gap junctions known as intercalated discs which transmit electrical impulses -cells are attached at angles creating a branched appearance

18
New cards

cardiac muscle

19
New cards

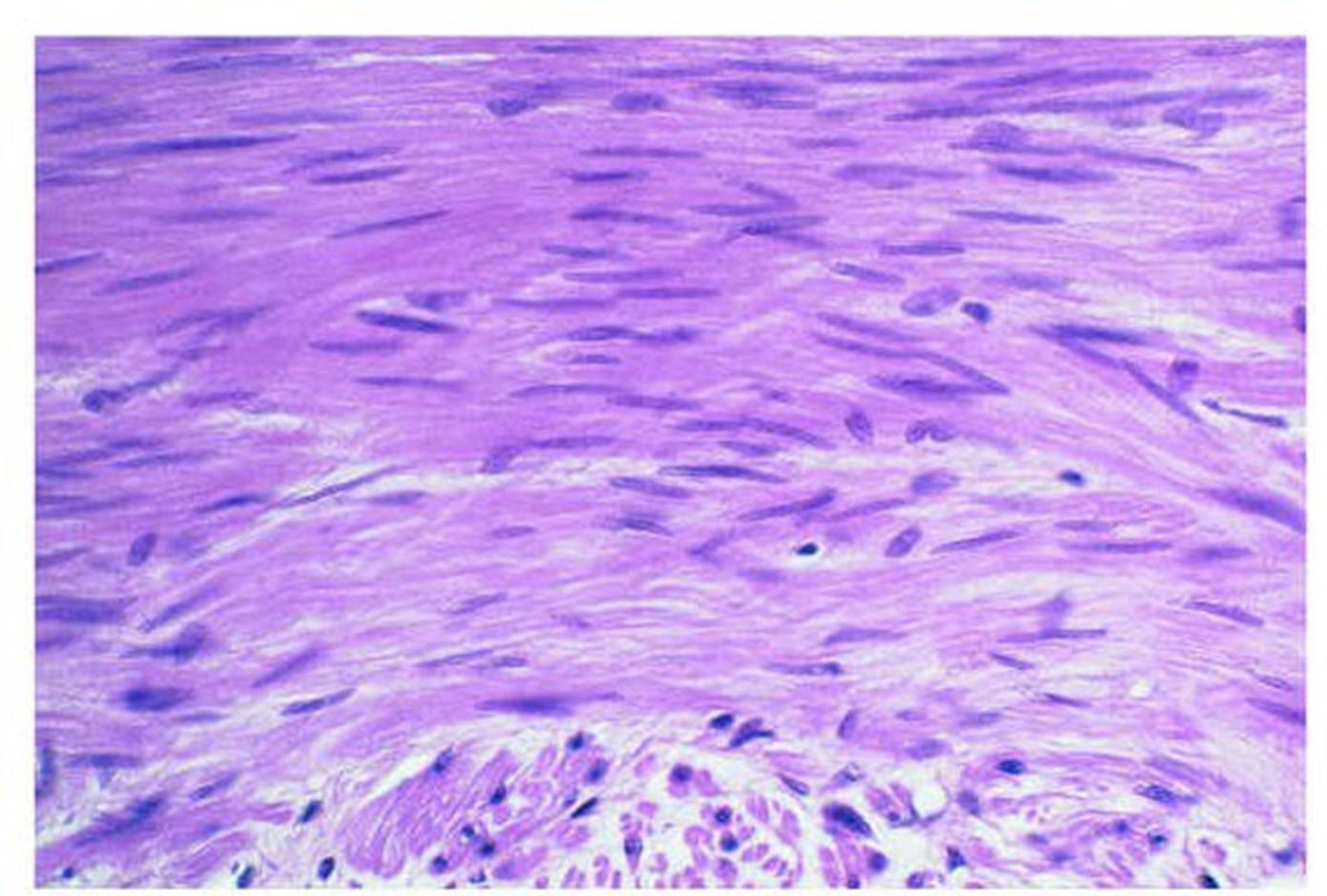
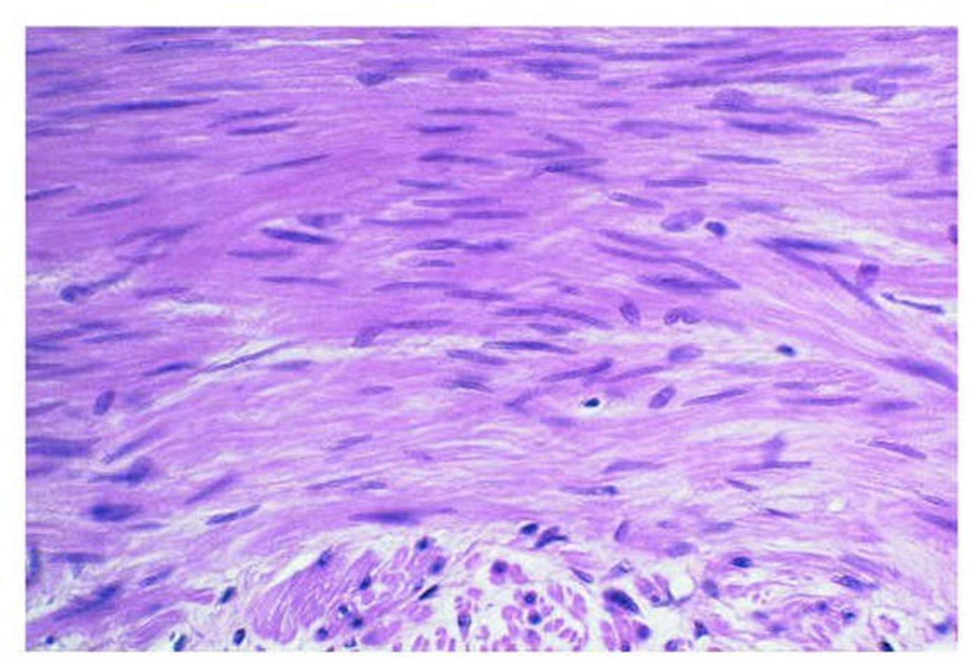
smooth muscle

-lacks striations and contains spindle shaped cells -cells contain one centrally located nucleus -found along hollow organs including the digestive & respiratory tracts

20
New cards

smooth muscle

21
New cards

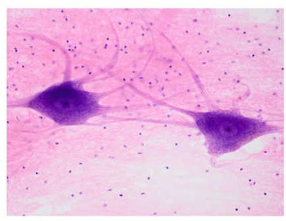
nervous tissue

-characterized by presence of neurons and neuroglia -neurons are the functional cells of ….

22
New cards

nervous tissue

23
New cards

long bone - diaphysis

shaft of the long bone

6. diaphysis

24
New cards

6

diaphysis

25
New cards

long bone - epiphysis proximal

rounded ends of a long bone
-closer to the body center

1. Epiphysis (Proximal)

26
New cards

1.

Epiphysis (Proximal)

27
New cards

long bone- epiphysis distal

rounded ends of long bone
-farther away from center of body

4. Epiphysis (Distal)

28
New cards

Epiphysis (Distal)

29
New cards

long bone- spongy bone

Latticework of bone. Found in small flat bones, near the ends of long bones

5. Spongy bone

30
New cards

Spongy bone

31
New cards

long bone- compact bone

dense outer layer with few internal spaces

2. Compact Bone

32
New cards

Compact Bone

33
New cards

long bone- medullary cavity

inner most portion of the bone, where red and/or yellow bone marrow is located

3. Medullary Cavity

34
New cards

Medullary Cavity

35
New cards

The human skeleton contains —— bones

206

36
New cards

Axial skeleton

Contains skull, vertebral column, sternum, & ribs
Provides protection & support for internal organs

<p>Contains skull, vertebral column, sternum, &amp; ribs<br>Provides protection &amp; support for internal organs </p>
37
New cards

Appendicular skeleton

Contains pectoral girdle, pelvic girdle, and limbs 
Allows for movement 

<p>Contains pectoral girdle, pelvic girdle, and limbs&nbsp;<br>Allows for movement&nbsp;</p>
38
New cards

There are more bones in the —- skeleton

fetal

39
New cards

In fetuses, the hyaline model (——) has not ossified

cartilage

40
New cards

Fontanels

The bones of the cranium are connected by fibrous membranes called …. This allows for more flexibility during birth and growth

41
New cards

Nondisplaced fractures

a crack or break but the bones stays in its place

42
New cards

nondisplaced fracture

43
New cards

Displaced fracture

where a bone is broken and it does not align together correctly

44
New cards

displaced fracture

45
New cards

when a break occurs

-bleeding occurs until a clot is formed -fibroblasts invade the clot and secrete collagen fibers to form a callus linking -osteoblasts transform the cartilage formed by fibroblasts into bone

46
New cards

male pelvis post puberty

pelvic cavity is narrower and less roomy . coccyx is less movable. pelvis heavy and thick. pelvis inlet and outlet smaller

<p>pelvic cavity is narrower and less roomy . coccyx is less movable. pelvis heavy and thick. pelvis inlet and outlet smaller</p>
47
New cards

female pelvis post puberty

pelvic cavity is wider and deeper. coccyx more movable. pelvis light and thin. pelvic inlet and outlet larger 

<p>pelvic cavity is wider and deeper. coccyx more movable. pelvis light and thin. pelvic inlet and outlet larger&nbsp;</p>
48
New cards
term image

female pelvis

49
New cards
term image

male pelvis

50
New cards

bipedal skeleton 

-short, flat, bowl shaped pelvis -S-shaped vertebral column -femurs come in at angle -nondivergent toes

<p>-short, flat, bowl shaped pelvis -S-shaped vertebral column -femurs come in at angle -nondivergent toes</p>
51
New cards

quadrupedal skeleton

-long, narrow pelvis -c-shaped vertebral column -femurs are straight down -divergent toes

<p>-long, narrow pelvis -c-shaped vertebral column -femurs are straight down -divergent toes </p>
52
New cards

blood flow is important for healing

-blood contains nutrients and oxygen. it also removes carbon dioxide & waste. -bones are continuously remodeling throughout life. due to this, bones have good blood supply. -ligaments are dense regular connective tissue and have limited amounts of blood supply

53
New cards

arthritis

inflammation of joints. -can cause narrow joint space -bone erosions -bone spurs
cartilage on the long bones prevent bones from rubbing against each other

54
New cards

Anterior Skull 1.

Frontal bone

55
New cards

Anterior skull 2.

Nasal bone

56
New cards

Anterior skull 3.

zygomatic bone

57
New cards

anterior skull 4.

maxilla

58
New cards

anterior skull 5 

mandible

59
New cards

lateral skull 1

parietal bone

60
New cards

lateral skull 2

temporal bone

61
New cards

lateral skull 3

occipital bone

62
New cards

lateral skull 4

frontal bone

63
New cards

lateral skull 5

nasal bone

64
New cards

lateral skull 6

zygomatic bone

65
New cards

lateral skull 7

maxilla

66
New cards

lateral skull 8

mandible

67
New cards

skull

occipital bone

68
New cards

1 vertebral column

cervical vertebrae

69
New cards

vertebral column 2

lumbar vertebrae

70
New cards

vertebral column 3

thoracic vertebrae

71
New cards

vertebral column 4

sacrum

72
New cards

vertebral column 5

coccyx

73
New cards

sternum

74
New cards

rib

75
New cards

hyoid

76
New cards

clavicle

77
New cards

scapula

78
New cards

humerus

79
New cards

ulna

80
New cards

radius

81
New cards

radius (top) ulna (bottom)

82
New cards

pubic symphysis

83
New cards

pelvic bones

84
New cards

femur

85
New cards

patella

86
New cards

tibia

87
New cards

fibula

88
New cards

tibia (top) & fibula (bottom)

89
New cards

1

phalanges

90
New cards

2

metacarpals

91
New cards

3

carpals

92
New cards

foot 1

phalanges

93
New cards

2

metatarsals

94
New cards

3

tarsals

95
New cards

flexion

-bending of a joint that brings bones closer together ex: bending knee

96
New cards

extension

straightening of the joint which makes the bone furthers apart -ex straightening of the knee

97
New cards

abduction

moving a limb away from the midline of the body -ex moving ur hand outward

98
New cards

adduction

moving a limb toward midline of the body -moving your hand inward

99
New cards

rotation

-bone turns around along its long axis -ex: windmill arms

100
New cards

supination

-bone is turned backwards -ex back of hand to palm