Microbio Lab Quiz (5.1)

0.0(0)
studied byStudied by 0 people
full-widthCall with Kai
GameKnowt Play
learnLearn
examPractice Test
spaced repetitionSpaced Repetition
heart puzzleMatch
flashcardsFlashcards
Card Sorting

1/17

encourage image

There's no tags or description

Looks like no tags are added yet.

Study Analytics
Name
Mastery
Learn
Test
Matching
Spaced

No study sessions yet.

18 Terms

1
New cards

Smear

1) Specimen is spread on a slide

2) Allow specimens to air dry

3) fixing

  • heat fixing

  • chemical fixing (alcohol)

2
New cards

fixing

prevents material from washing off the slide during the staining process

3
New cards

differential staining

uses two different-colored dyes

  • cell components react differently tot he dyes

  • used to distinguish cell types or parts

  • ex: gram stain, acid-fast stain, and endospore stain

4
New cards

differential stain steps

1) Primary dye

2) decolorizer

3) Counterstain

5
New cards

primary dye

stains all the cells

6
New cards

decolorizer

removed dye form some types of cells

7
New cards

counterstain

stains the cells that had their dye removed

no effect on cells that retained the primary dye

8
New cards

gram stain

separates bacteria based on differences in their cell wall compostion

9
New cards

gram positive

thick layer of peptidoglycan

10
New cards

gram negative

thin layer of peptidoglycan with an outer membrane

11
New cards

gram positive bacteria

call walls that contain multiple layers of peptidoglycan (60%-90%)

molecules of teichoic acid within the layers of peptidoglycan

  • teichoic acid may strengthen the cell wall

retain the primary dye

12
New cards

gram positive cell wall

knowt flashcard image
13
New cards

gram negative bacteria

cell wall is thinner

contain a thin layer of peptidoglycan (10%-20%) and no teichoic acid

have an outer membrane of lipopolysaccharides

primary dye removed by decolorizer

pick up counterstain

14
New cards

gram negative cell wall

knowt flashcard image
15
New cards

gram stain procedure

Step 1) Slide is covered with crystal violet for 1 minute

  • all bacteria are purple

Step 2) Slide is covered with iodine for 1 minute

  • Large complex forms with the crystal violet and the iodine

All bacteria are purple

Step 3) Slide is covered with Gram’s alcohol (quick rinse)

  • gram positive cells remain purple

  • alcohol dissolves the lipopolysaccharide layer in the Gram-negative cell wall (Crystal violet washes out)

gram negative cells are now colorless

Step 4) Slide is covered with safranin for 1 minute

  • Gram positive cells are still purple

  • gram negative cells now red

16
New cards

Gram Variable Reactions

bacteria that stain both purple and red

due to:

  • age of culture

  • technique

  • genetics

  • media

17
New cards

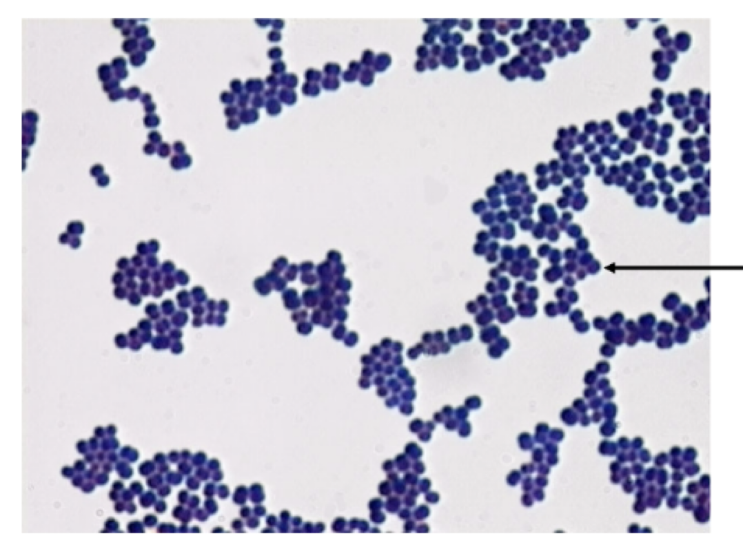
positive

cocci

staphylococcus

1) identify the grams stain reaction

2) identify this bacterial shape

3) arrangement

<p>1) identify the grams stain reaction</p><p>2) identify this bacterial shape</p><p>3) arrangement </p>
18
New cards

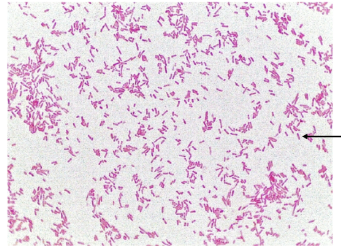
negative

bacilli

single, random, no specific arrangement

1) identify the grams stain reaction

2) identify this bacterial shape

3) arrangement

<p>1) identify the grams stain reaction</p><p>2) identify this bacterial shape</p><p>3) arrangement </p>