1/61
Looks like no tags are added yet.
Name | Mastery | Learn | Test | Matching | Spaced | Call with Kai |
|---|
No analytics yet
Send a link to your students to track their progress

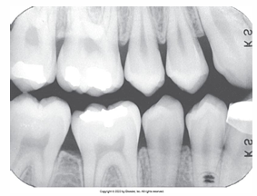
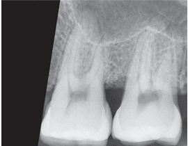
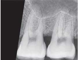
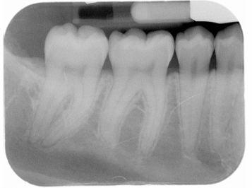
What is the problem with this UNDERDEVELOPED FILM X-ray?
Appears light, Inadequate development time, Developer solution too cool, Inaccurate timer or thermometer, Depleted or contaminated developer solution

How would you resolve this UNDERDEVELOPED FILM X-ray?
Check development time, Check developer temperature, Replace faulty time or thermometer, Replenish developer with fresh solutions as needed

What is the problem with this OVERDEVELOPED FILM X-ray?
Appears dark, Excessive developing time, Developer solution too hot, Inaccurate timer or thermometer, Concentrated developer solution

How would you resolve this OVERDEVELOPED FILM X-ray?
Check development time • Check developer temperature • Replace faulty timer or thermometer • Replenish developer with fresh solutions as needed

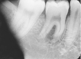
What is the problem with this RETICULATION OF EMULSION X-ray?
Appears cracked, Sudden temperature change between developer and water bath

How would you resolve this RETICULATION OF EMULSION X-ray?
Check temperature of processing solutions and water bath, Avoid drastic temperature differences

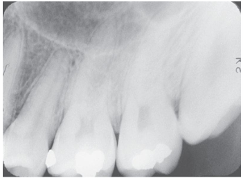
What is the problem with this DEVELOPER SPOTS X-ray?
Appears with black or dark spots, Developer comes in contact with film before processing

How would you resolve this DEVELOPER SPOTS X-ray?
Use a clean work area in the darkroom

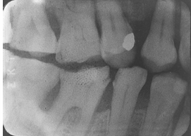
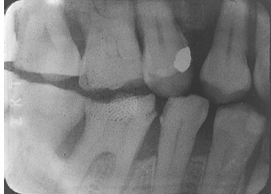
What is the problem with this FIXER SPOTS X-ray?
Appears with white or light spots, Fixer comes in contact with film before processing

How would you resolve this FIXER SPOTS X-ray?
Use a clean work area in the darkroom

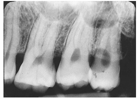
What is the problem with this YELLOW-BROWN STAINS X-ray?
Appears yellow-brown in colour, Exhausted developer or fixer, Insufficient fixer time, Insufficient rinsing

How would you resolve this YELLOW-BROWN STAINS X-ray?
Replenish chemicals with fresh solutions as needed. Use adequate fixing time. Rinse for a minimum of 20 seconds

What is the problem with this LIGHT LEAK X-ray?
Exposed area appears black, Accidental exposure of film to white light

How would you resolve this LIGHT LEAK X-ray?
Examine film packets for defects before using, Never unwrap films in the presence of white light

What is the problem with this FOGGED FILM X-ray?
Appears gray with lack of detail and contrast, Improper safelighting, Light leaks in darkroom, Outdated films, Improper film storage, Contaminated solutions, Developer solution too hot

How would you resolve this FOGGED FILM X-ray?
Check filter and bulb wattage of safelight, Check darkroom for light leaks, Check expiration date on film packages, Store films in a cool, dry, protected. Area, Avoid contaminated solutions by covering tanks after each use, Check temperature of developer

What is the problem with this DEVELOPER CUT-OFF X-ray?
Appears with a straight white border, Undeveloped portion of film caused by low level of developer

How would you resolve this DEVELOPER CUT-OFF X-ray?
Check developer level before processing and add solution if needed

What is the problem with this FIXER CUT-OFF X-ray?
Appears with straight black border, Unfixed portion of film caused by low level of fixer

How would you resolve this FIXER CUT-OFF X-ray?
Check fixer level before processing and add solution if needed

What is the problem with this OVERLAPPED FILMS X-ray?
White or dark areas appear on film where overlapped, Two films contacting each other during processing

How would you resolve this OVERLAPPED FILMS X-ray?
Separate films so that no contact takes place during processing

What is the problem with this AIR BUBBLES X-ray?
Appears with small white spots, Air trapped on film surface after being placed in processing solutions

How would you resolve this AIR BUBBLES X-ray?
Gently agitate film racks after placing in processing solutions

What is the problem with this FINGERNAIL ARTIFACT X-ray?
Appears with black crescent-shaped marks, Film emulsion damaged by operator’s fingernail during rough handling

How would you resolve this FINGERNAIL ARTIFACT X-ray?
Gently handle films, holding them on the edges only

What is the problem with this FINGERPRINT ARTIFACT X-ray?
Appears with fingerprint mark, Film touched by fingers that are contaminated with fluoride or processing solutions

How would you resolve this FINGERPRINT ARTIFACT X-ray?
Wash and dry hands thoroughly before processing films

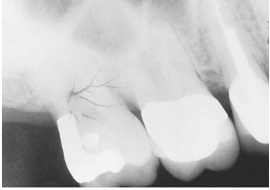
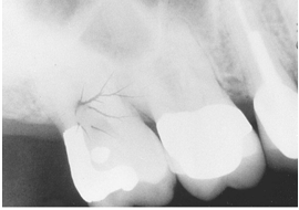
What is the problem with this STATIC ELECTRICITY X-ray?
Appears with thin, black, branching lines, Occurs when a film packet is opened quickly, Occurs when a film pack is opened before radiographer touches a conductive object

How would you resolve this STATIC ELECTRICITY X-ray?
Open film packets slowly, Touch a conductive object before unwrapping films when in a carpeted office

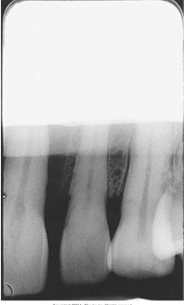
What is the problem with this SCRATCHED FILM X-ray?
Appears with thin white lines, Soft emulsion removed from film by a sharp object

How would you resolve this SCRATCHED FILM X-ray?
Use care when handling films and film racks

What is the problem with this Unexposed Receptor X-ray?
May occur with digital sensors or film, Image appears clear, Failure to turn on the x-ray machine, Electrical failure, Malfunction of the x-ray machine, Clinician error

How would you resolve this Unexposed Receptor X-ray?
Make certain the x-ray machine is turned on and listen for the audible and visual exposure signals on the control panel

What is the problem with this Film exposed to light X-ray?
Occurs only with PSP plates or film, Image appears black, Film exposed to white light

How would you resolve this Film exposed to light X-ray?
Do not unwrap in room with white light, Check darkroom for light leaks, Turn off all lights in the darkroom except the safelight, Examine film packets for defects prior to using

What is the problem with this Overexposed Receptor X-ray?
May occur with digital sensors or film, Excessive exposure time, kilovoltage, or milliamperage, Image appears dark or High density

How would you resolve this Overexposed Receptor X-ray?
Check settings and reduce as needed prior to exposing receptor

What is the problem with this Underexposed Receptor X-ray?
May occur with digital sensors or film, Image appears light or low density, Receptor was underexpose

How would you resolve this Underexposed Receptor X-ray?
Check exposure time, kilovoltage, and milliamperage settings on the x-ray machine prior to exposing the receptor

What is the problem with this Wired Cable Issues X-ray?
May occur with direct digital sensors

How would you resolve this Wired Cable Issues X-ray?
Always ensure the cable is not placed between the sensor and source of radiation

What is the problem with this Reversed/Backward Placement X-ray?
May occur with digital sensors or film

How would you resolve this Reversed/Backward Placement X-ray?
Always ensure the proper side is facing tubehead prior to exposure

What is the problem with this Movement/Motion Unsharpness X-ray?
May occur with digital sensors or film

How would you resolve this Movement/Motion Unsharpness X-ray?
Instruct the patient to remain still while the receptor is being exposed, Never expose a receptor when a tubehead is drifting or a patient is moving

What is the problem with this Double Image/Dual Exposure X-ray?
May occur with PSP phosphor plates or film , Receptor was exposed twice in patient’s mouth

How would you resolve this Double Image/Dual Exposure X-ray?
Always separate exposed and unexposed receptors, This is a serious technique error and results in two retakes

What is the problem with this Phalangioma X-ray?
May occur with digital sensors or film,Patient’s finger was positioned in front of the receptor during finger-holding method

How would you resolve this Phalangioma X-ray?
Never allow the patient to hold a receptor during exposure

What is the problem with this Debris Accumulation X-ray?
May occur with digital sensors

How would you resolve this Debris Accumulation X-ray?
Correct infection control procedures and cleaning of sensors is important to prevent debris from accumulating or scratching the sensor

What is the problem with this Creasing X-ray?
Improper handling, Receptor creased, Film emulsion cracked

How would you resolve this Creasing X-ray?
Do not overmanipulate the receptor

What is the problem with this Bending X-ray?
May occur with PSP phosphor plates or film, Images appear stretched and distortedd, Receptor may be bent because of the curvature of the hard palate, or the result of rough and excessive handling

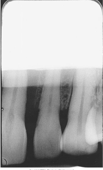
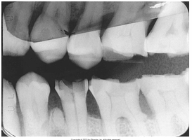
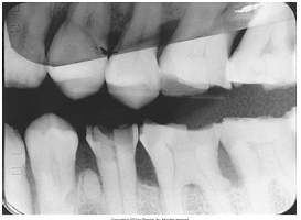
What is the problem with this Cone-cut X-ray?
PID not properly aligned with the beam alignment device, PID not centered over the receptor

What is the problem with this Foreshorteningl X-ray?
Excessive vertical angulation, Short teeth with blunted roots

How would you resolve this Foreshortening X-ray?
Move PID

What is the problem with this Elongation X-ray?
Inadequate vertical angulation, Long, distorted teeth

How would you resolve this Elongation X-ray?
Move PID

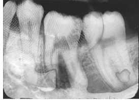
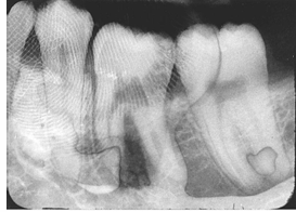
What is the problem with this Overlapped contacts X-ray?
Central ray not directed through the interproximal spaces

How would you resolve this Overlapped contacts X-ray?
Direct the x-ray beam through the contacts