Blood Cell Histology

0.0(0)
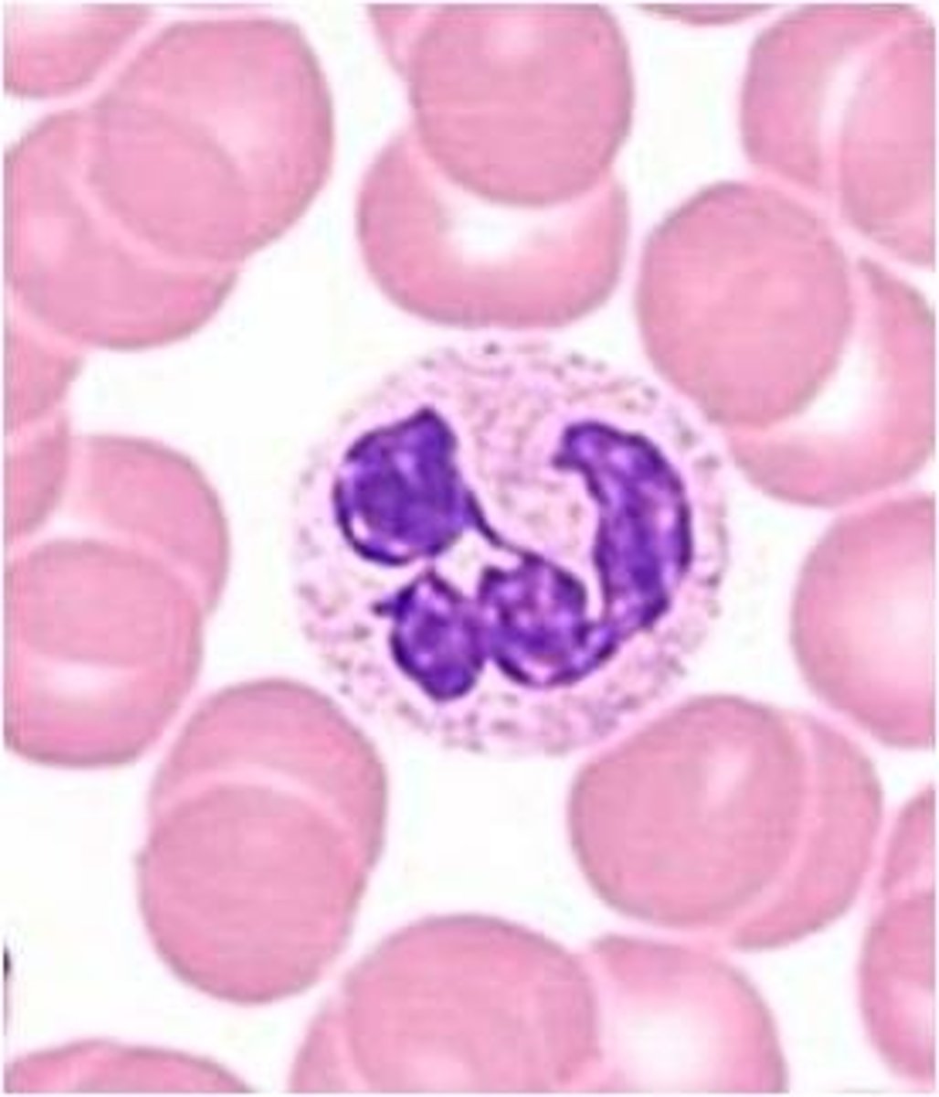
Studied by 0 people
call kaiCall Kai
learnLearn
examPractice Test
spaced repetitionSpaced Repetition
heart puzzleMatch
flashcardsFlashcards
GameKnowt Play
Card Sorting

1/164

encourage image

There's no tags or description

Looks like no tags are added yet.

Last updated 6:11 PM on 1/22/25
Name
Mastery
Learn
Test
Matching
Spaced
Call with Kai

No analytics yet

Send a link to your students to track their progress

165 Terms

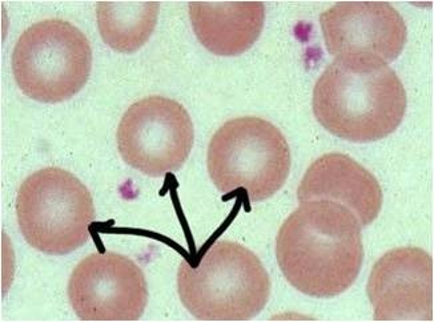
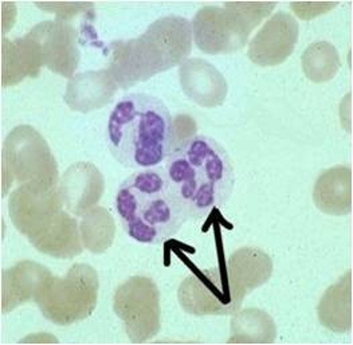
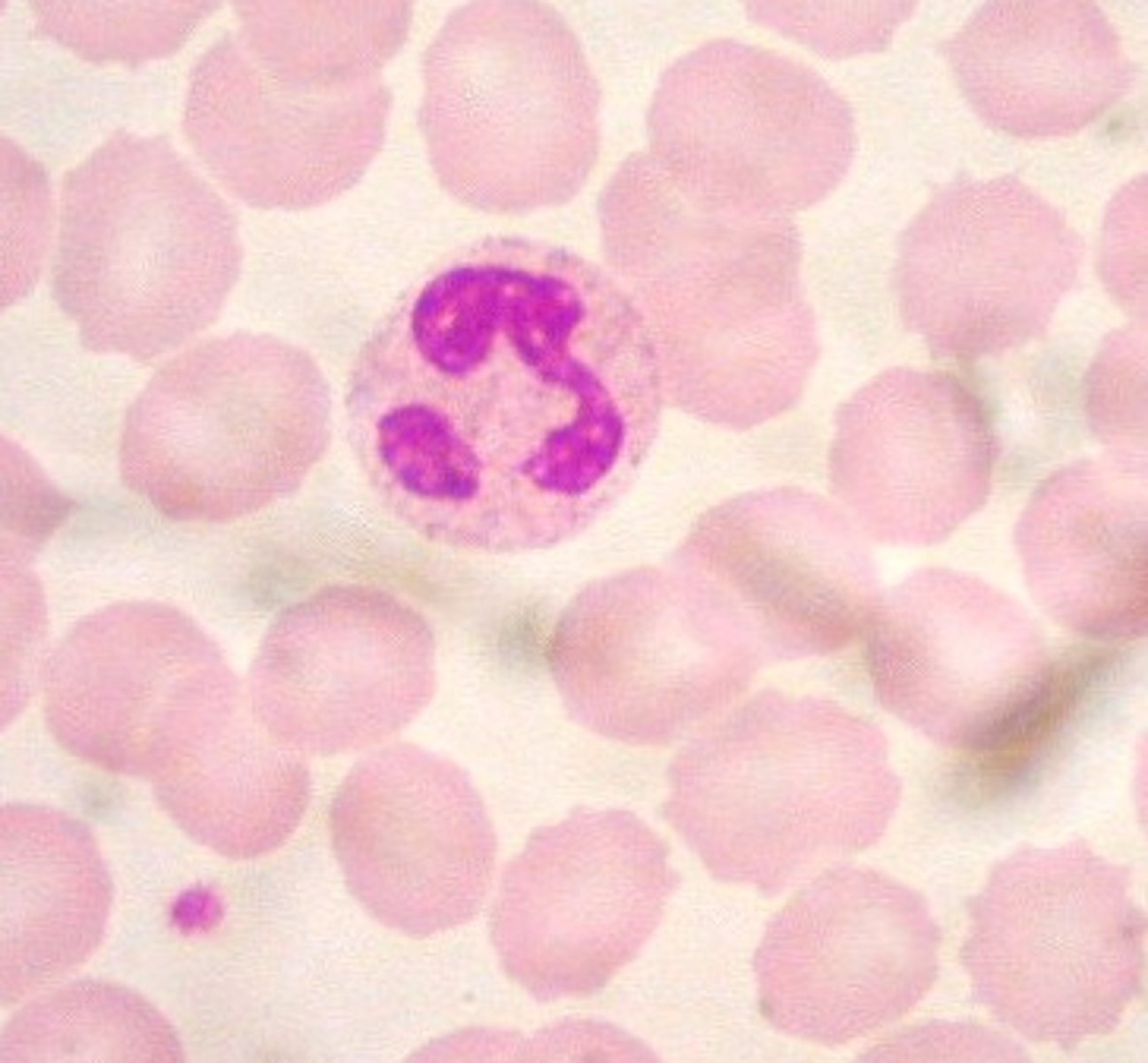
1
New cards

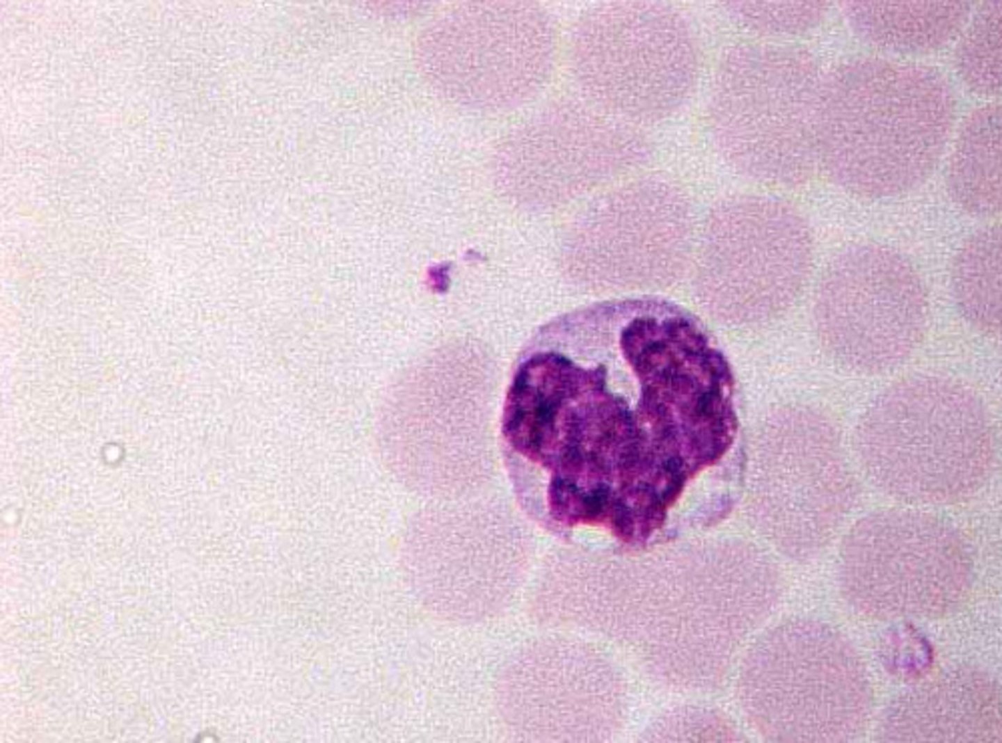
neutrophil

knowt flashcard image
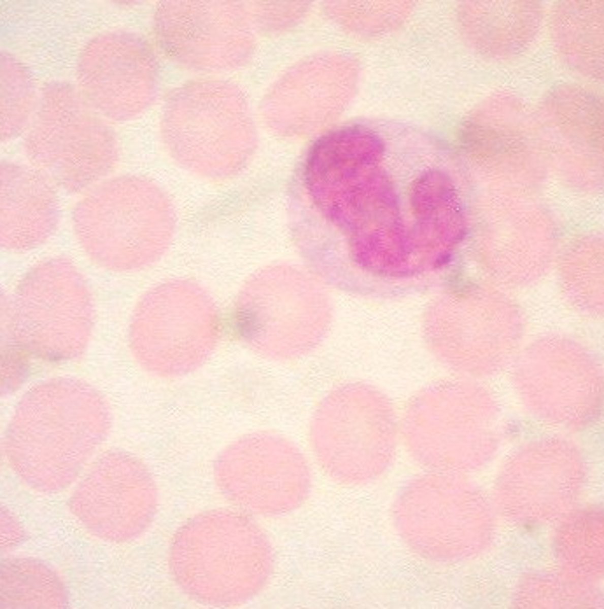
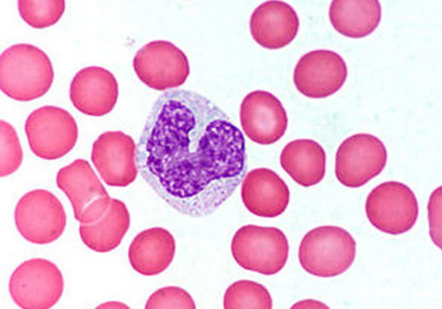
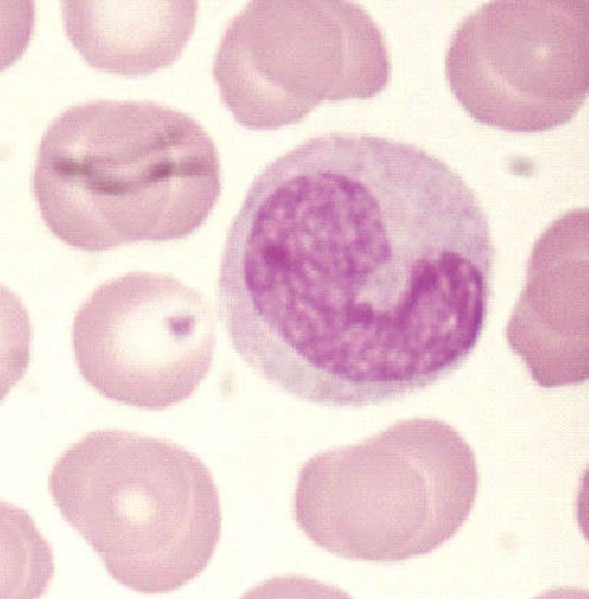
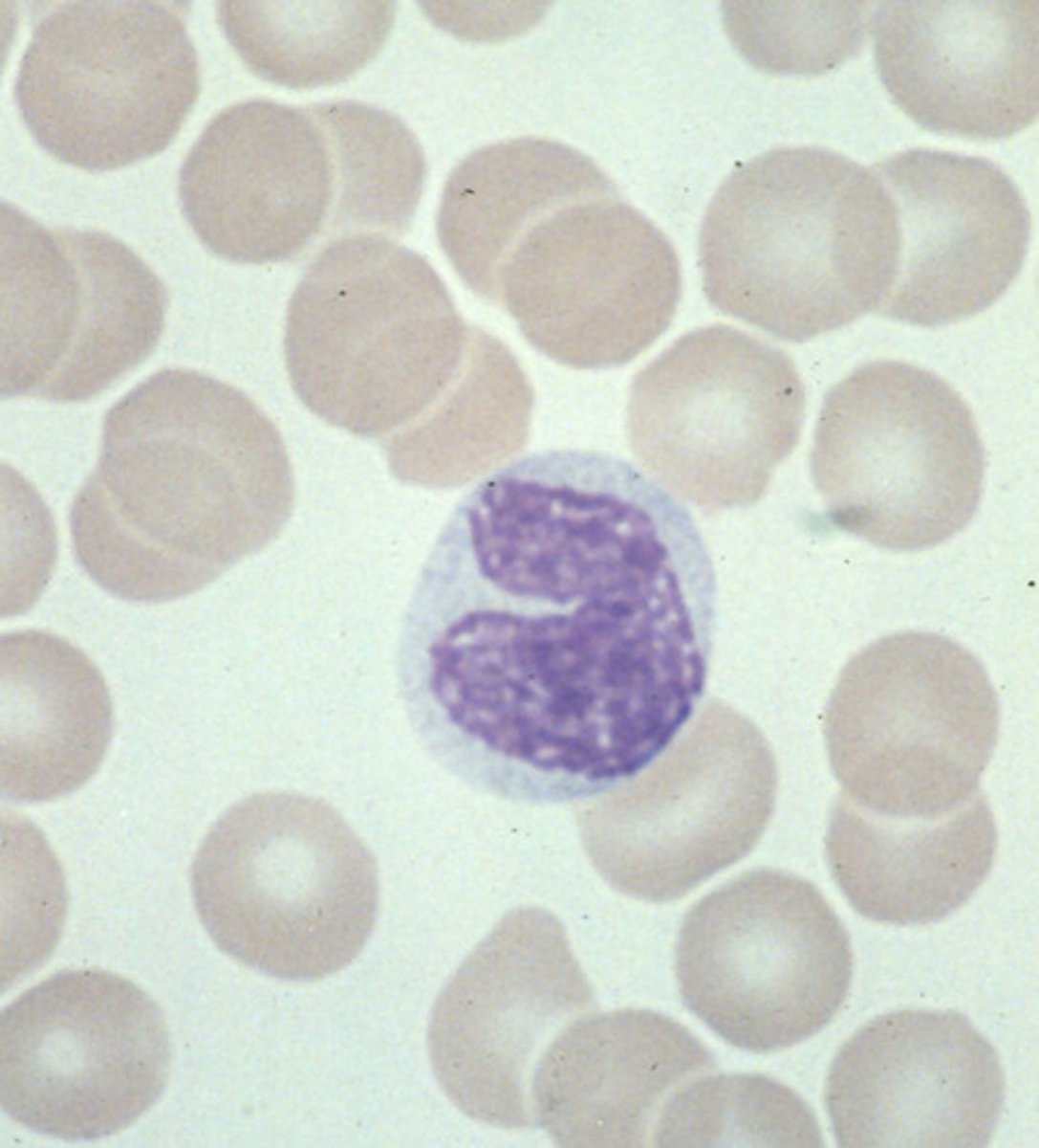
2
New cards

neutrophil

knowt flashcard image
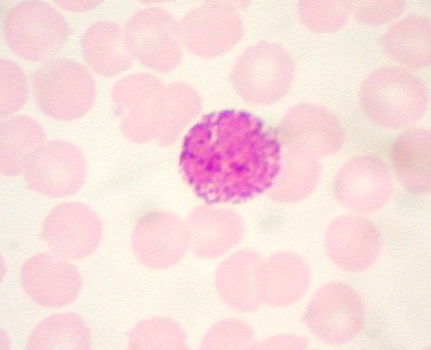
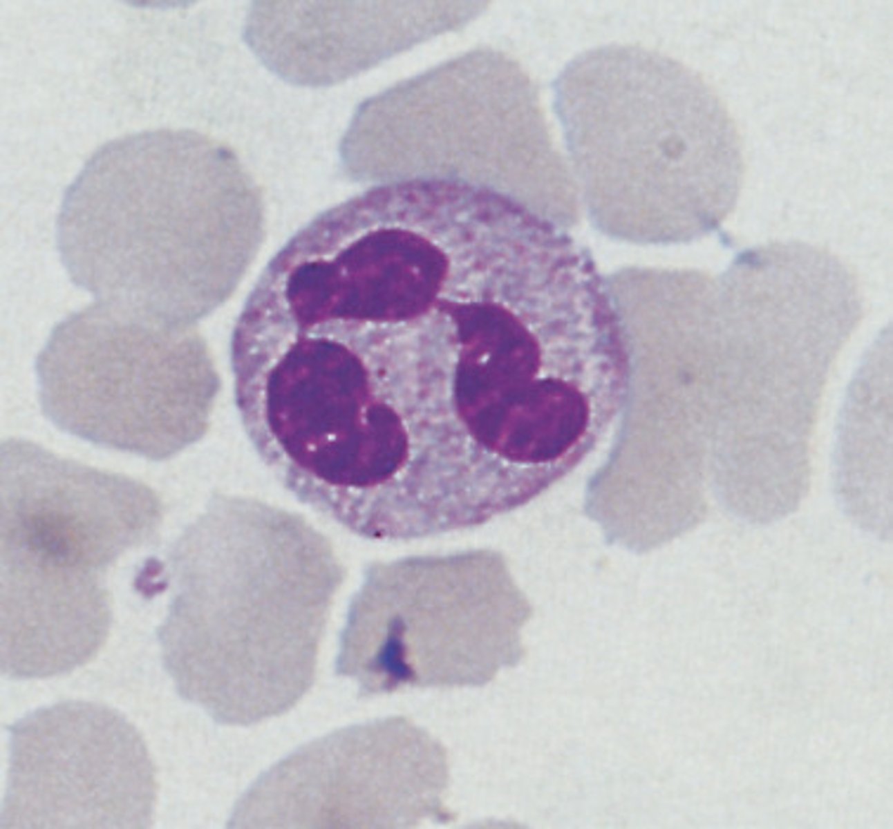
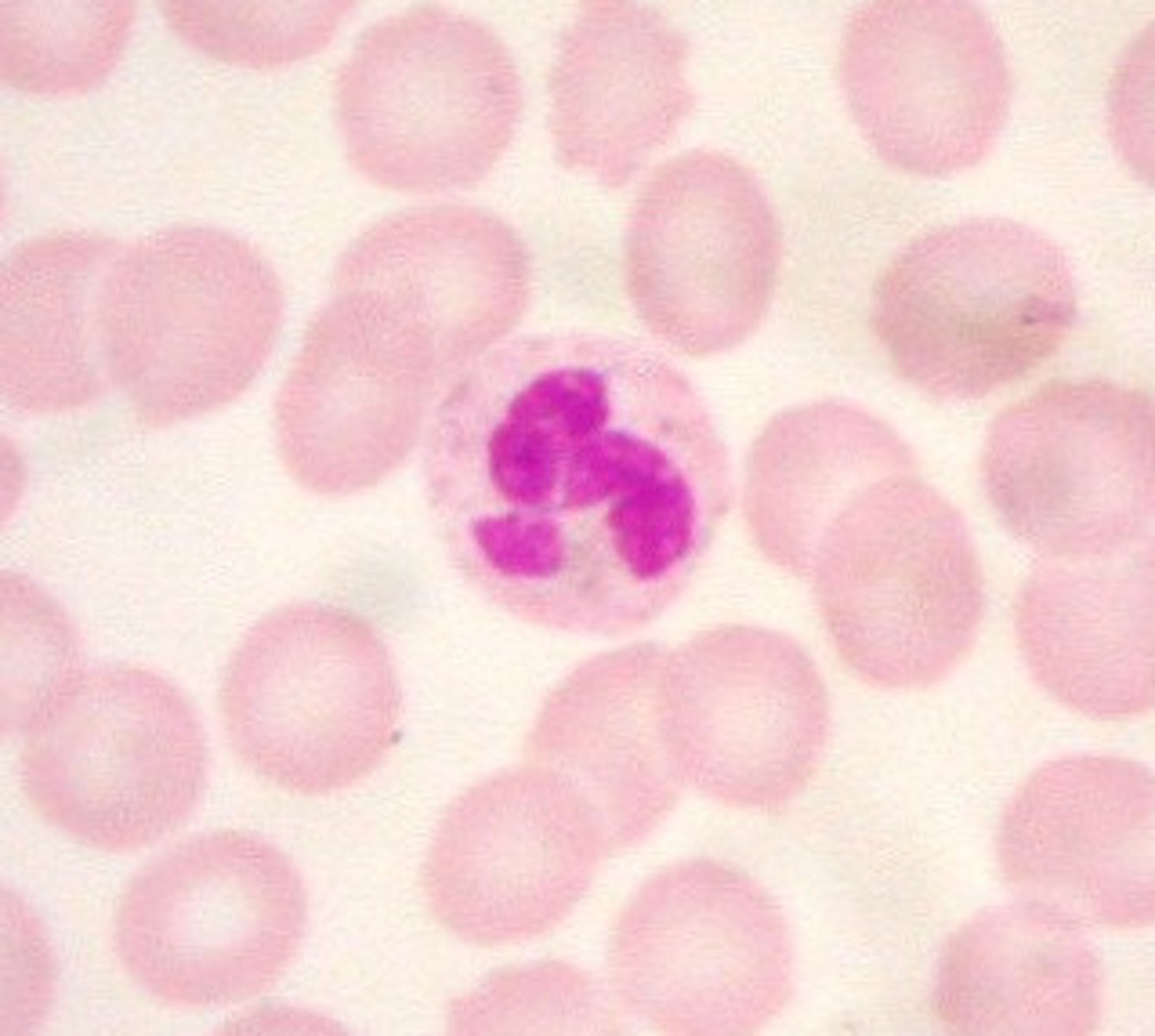
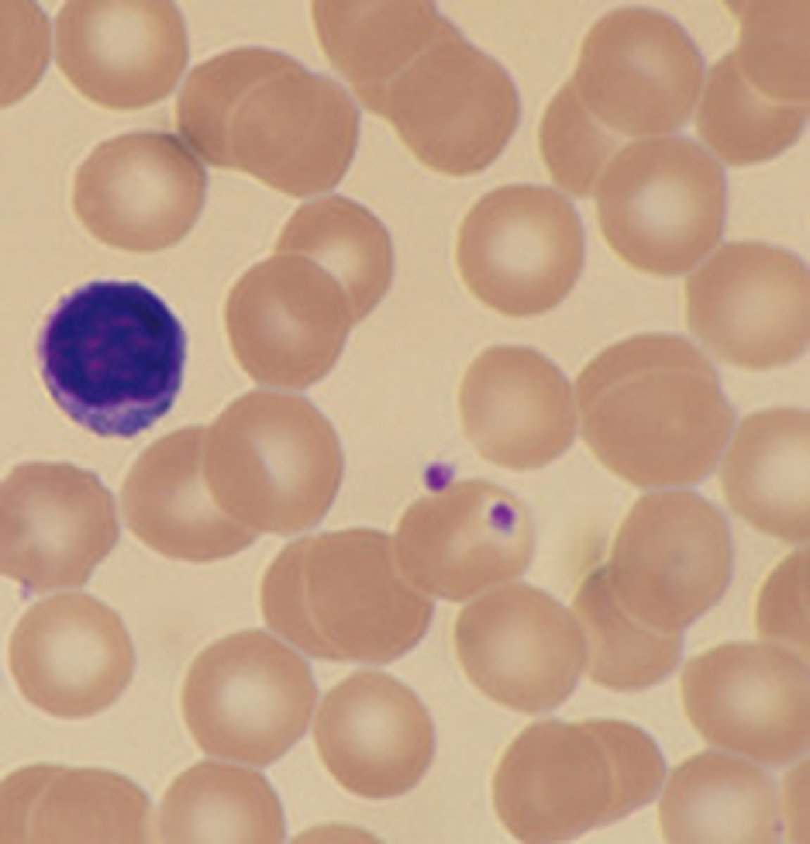
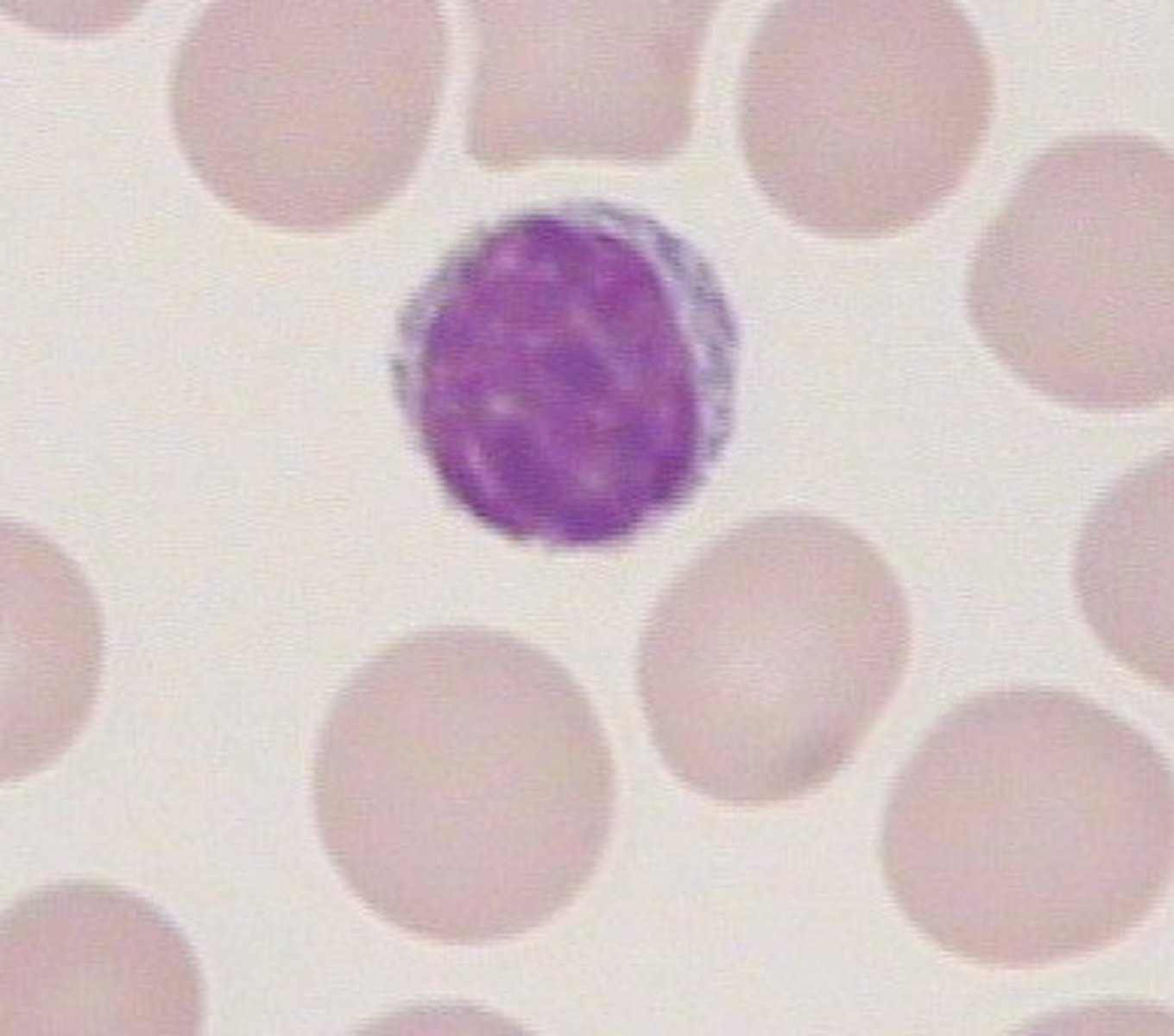
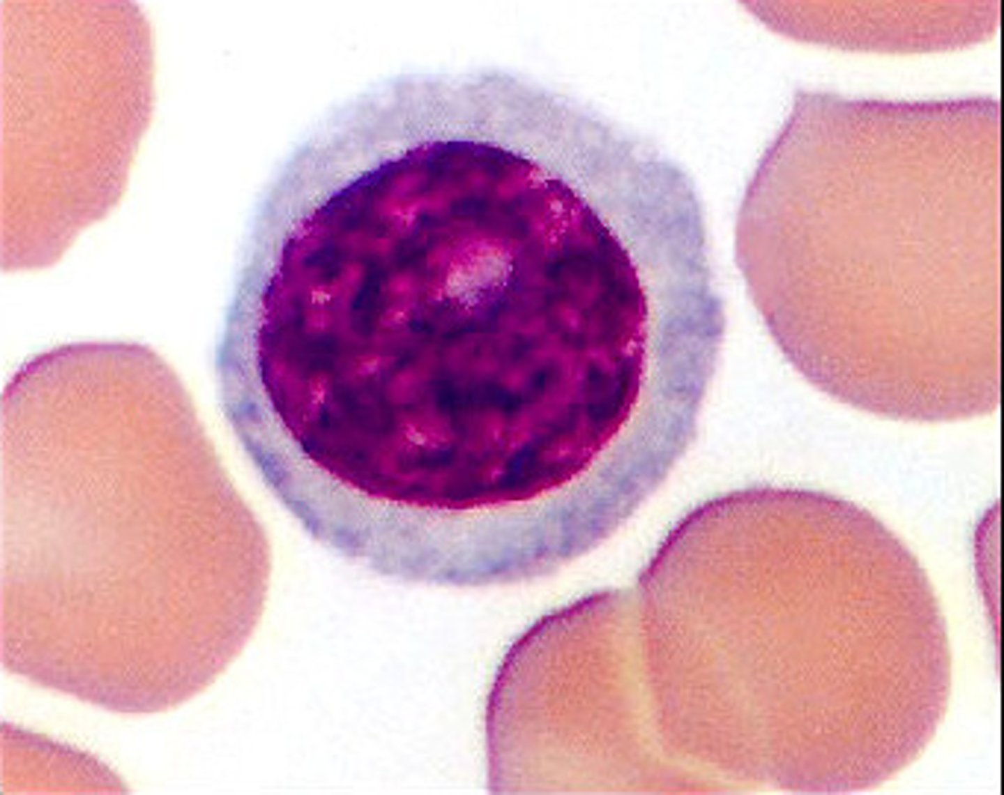
3
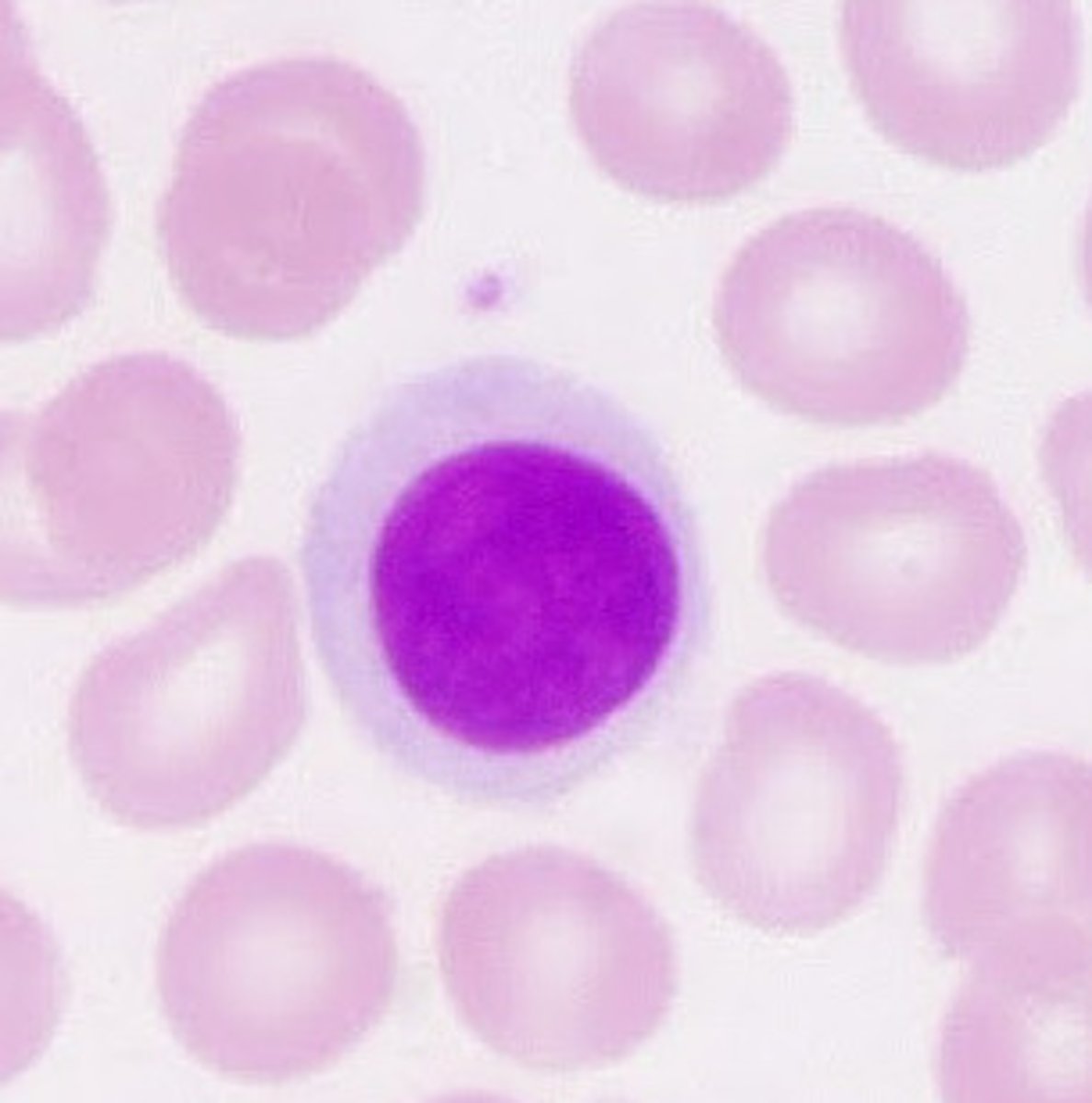
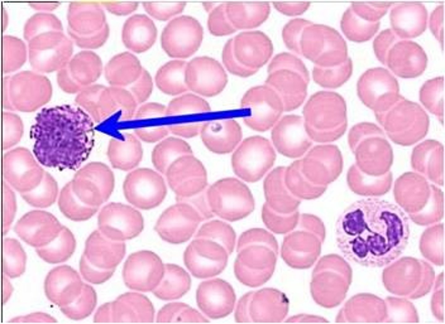
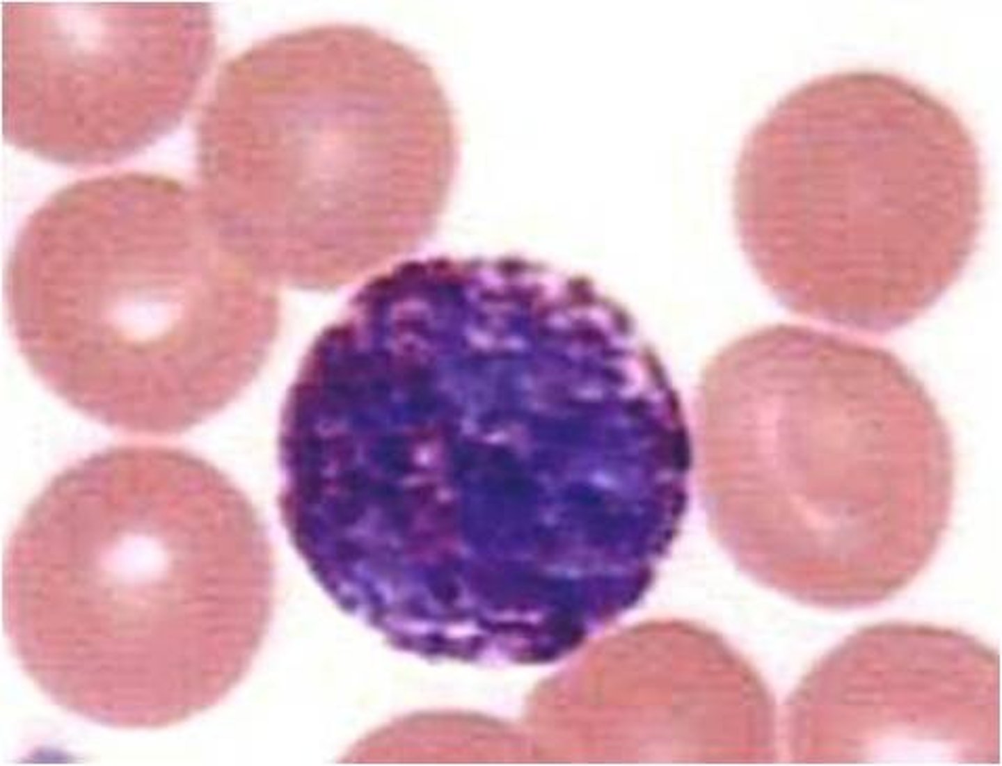
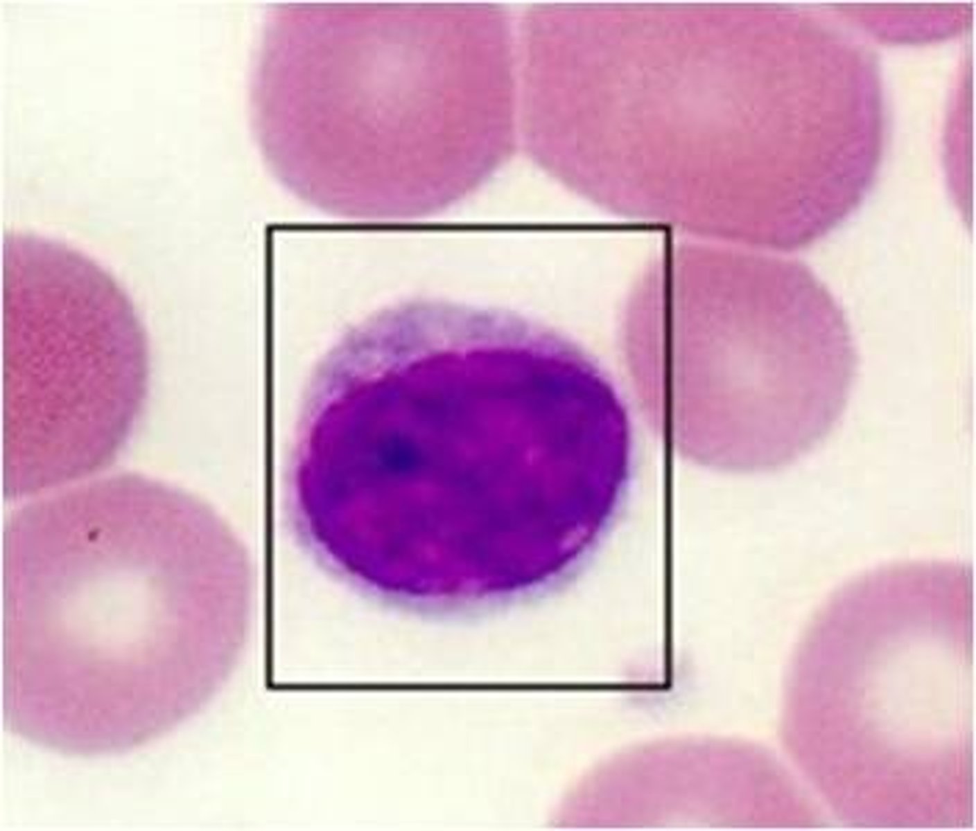
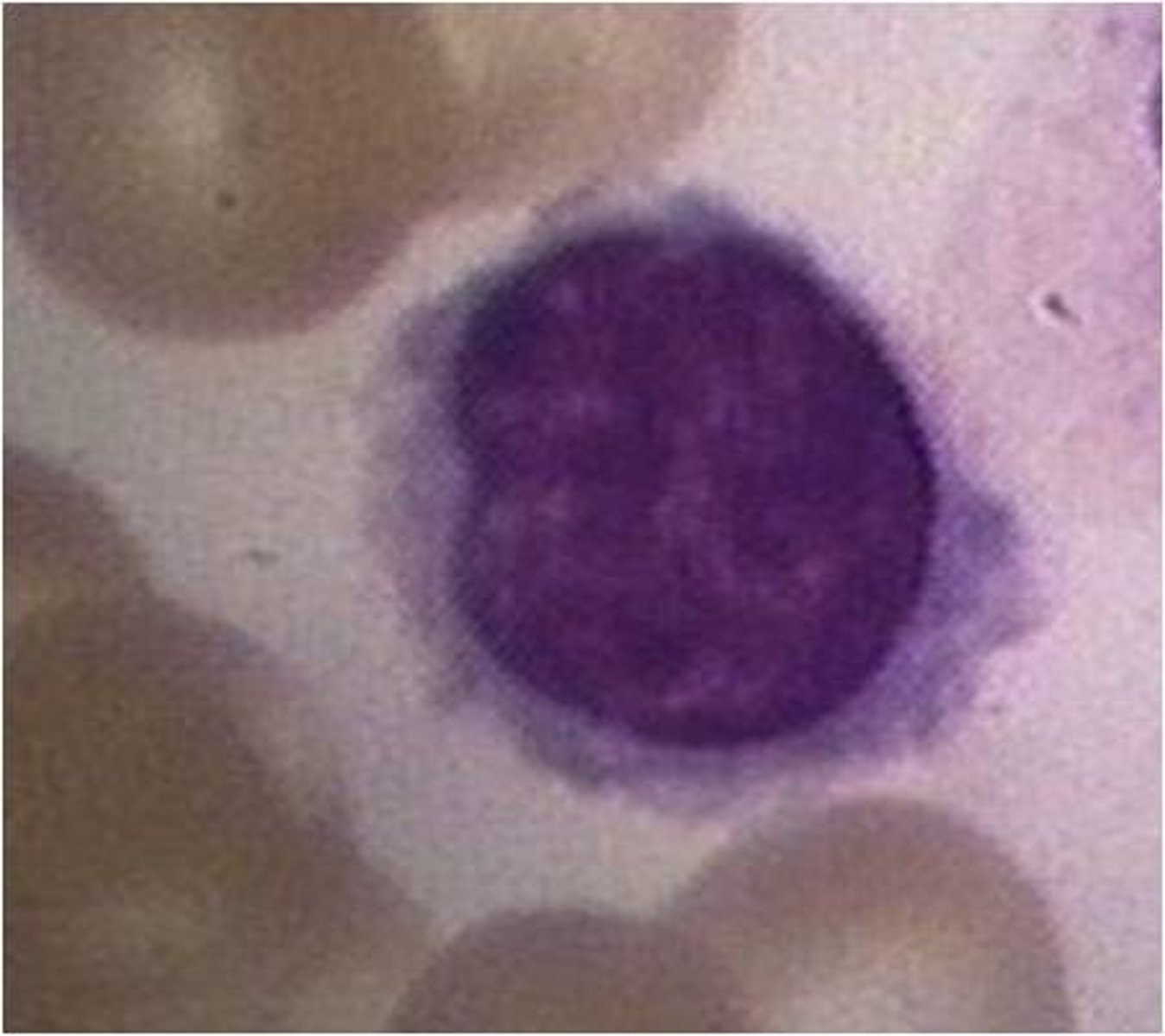
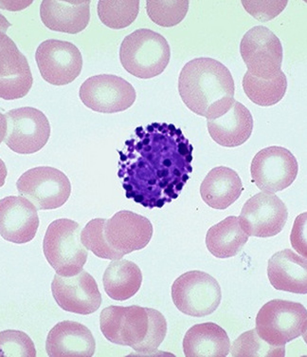
New cards

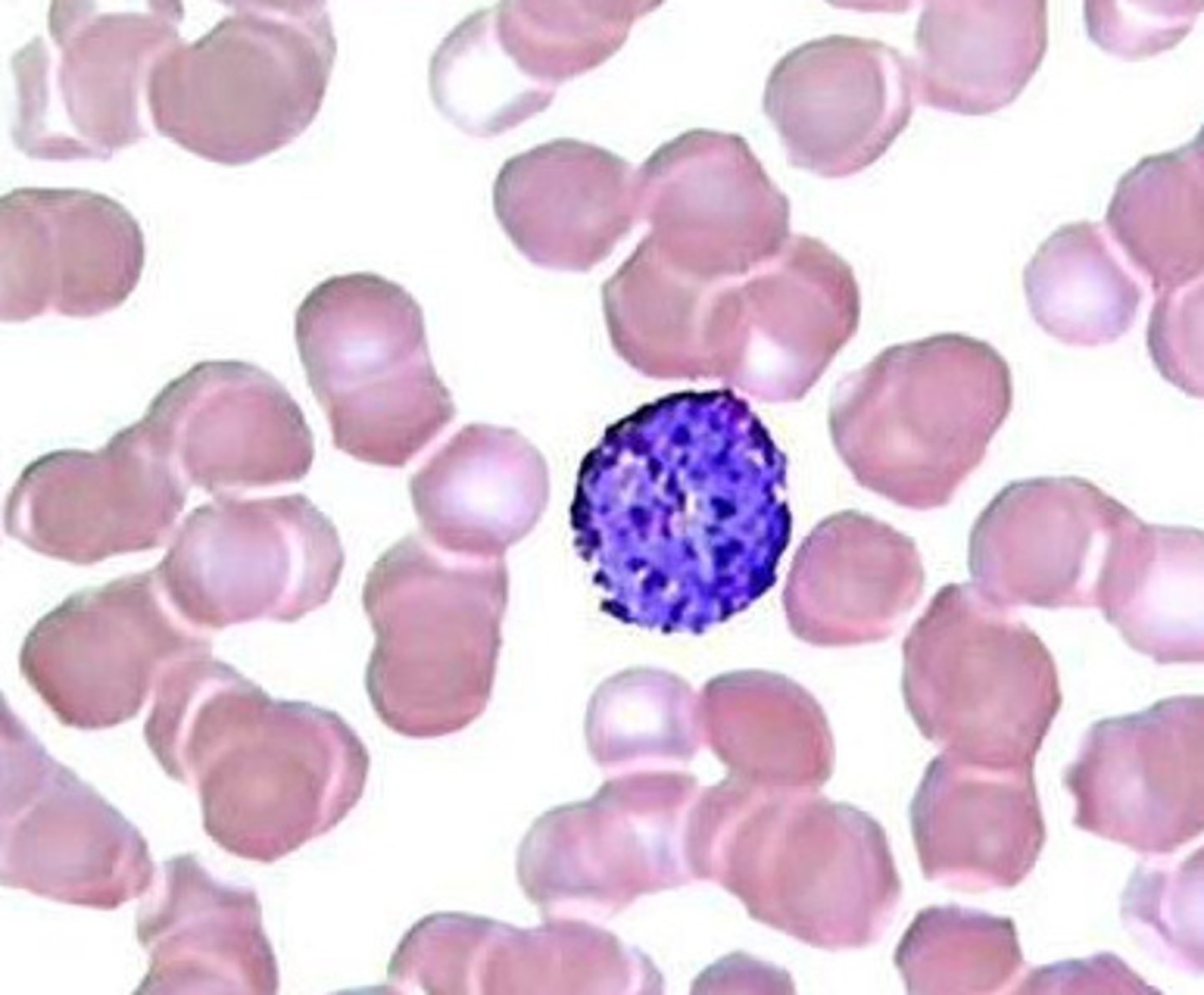
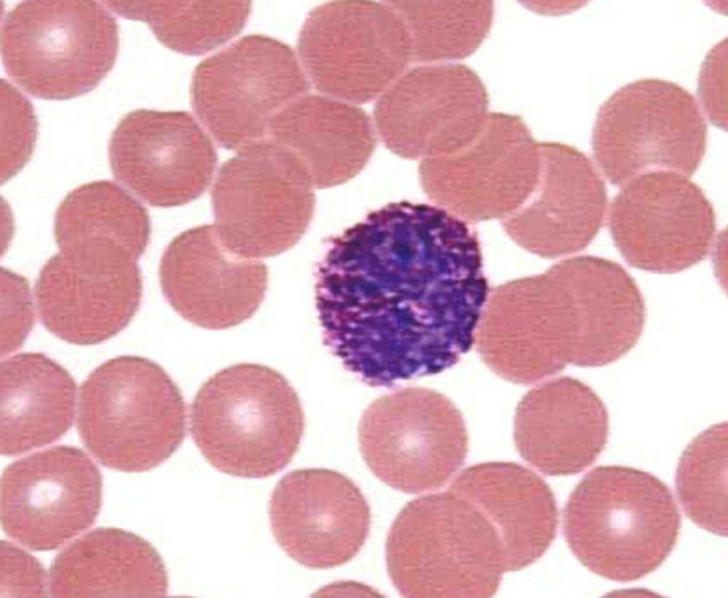
lymphocyte

knowt flashcard image
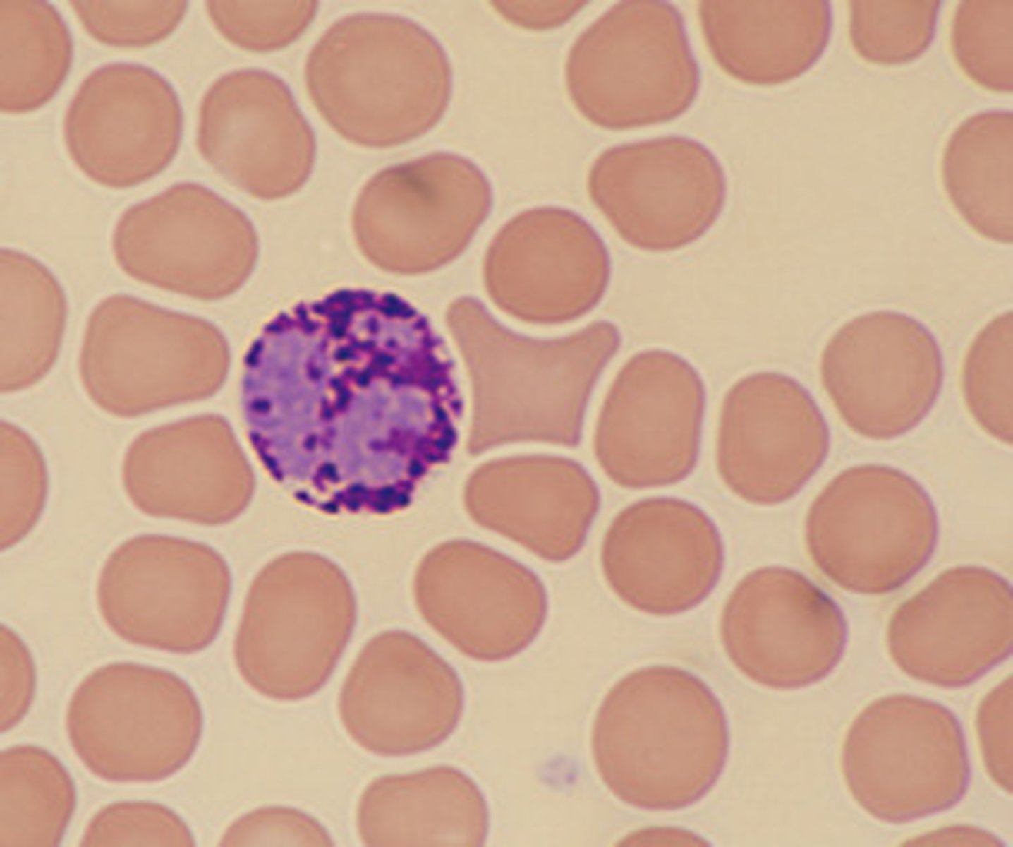
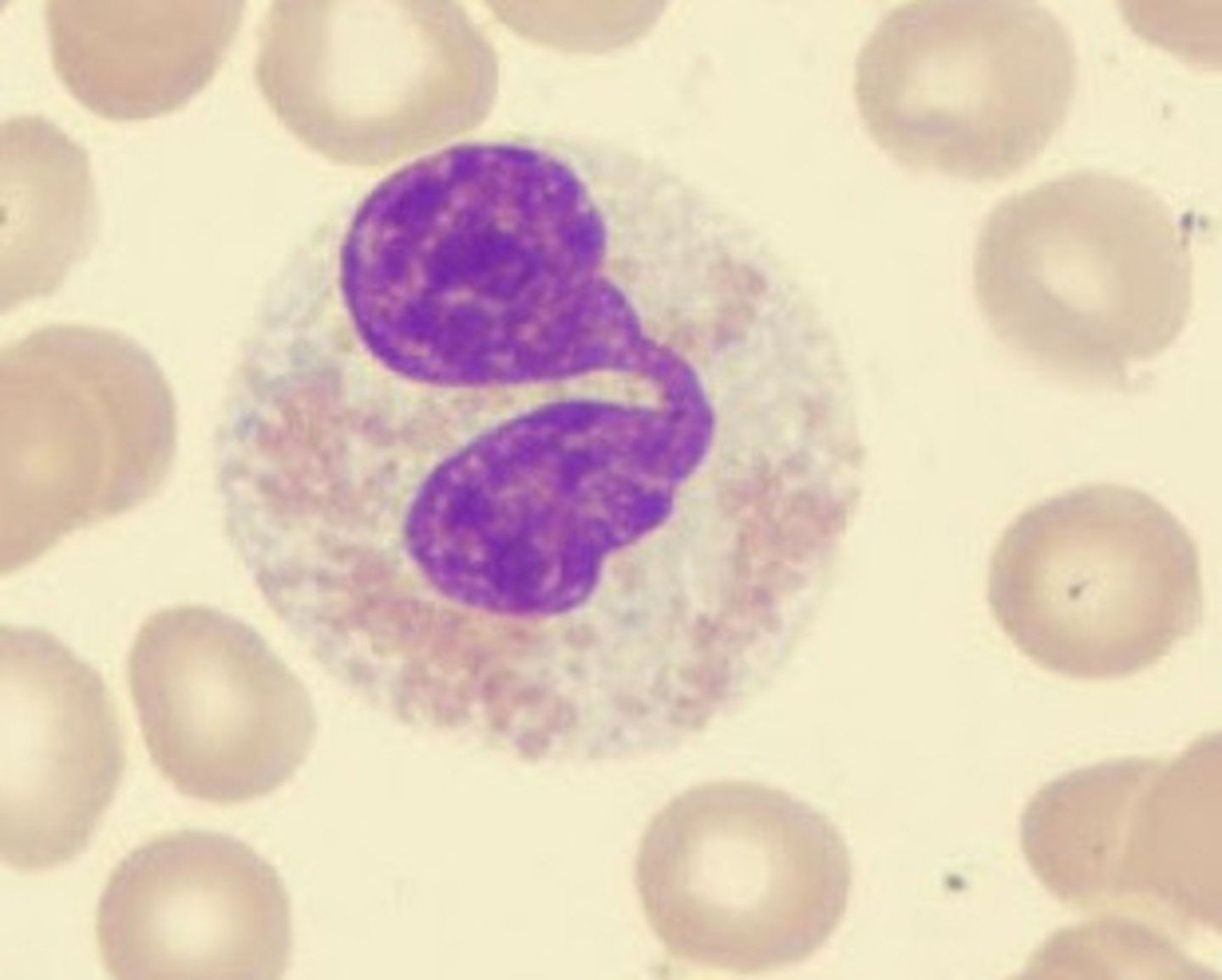
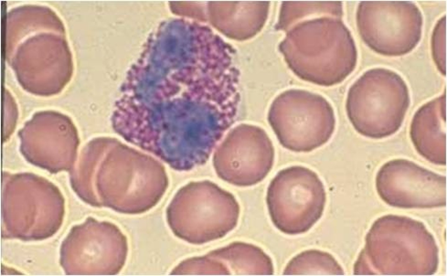
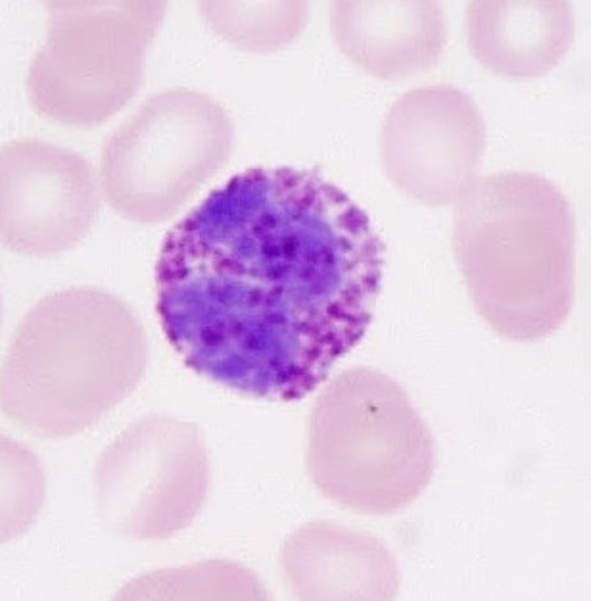
4
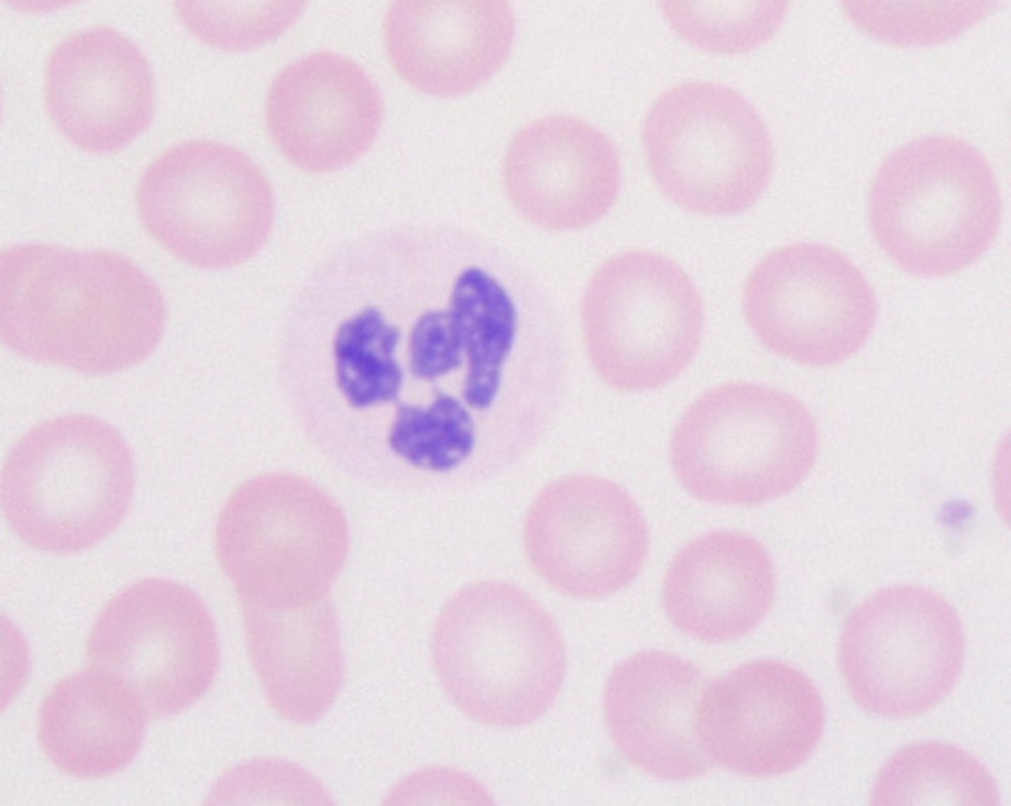
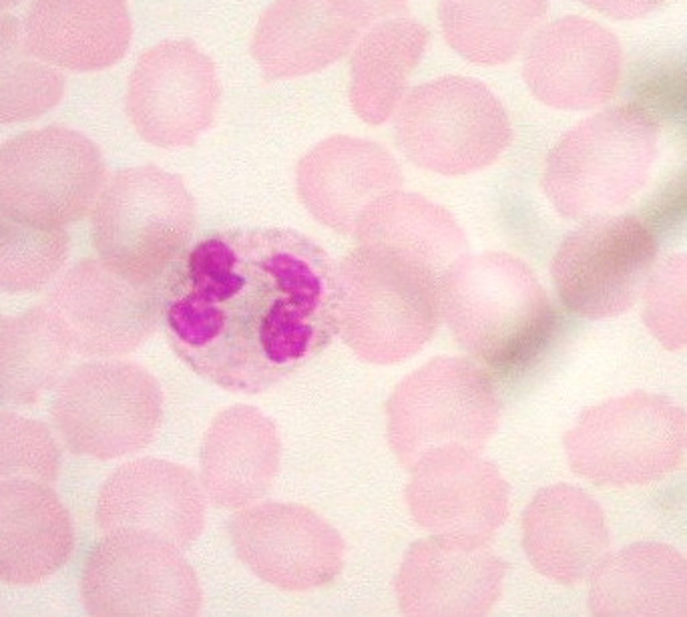
New cards

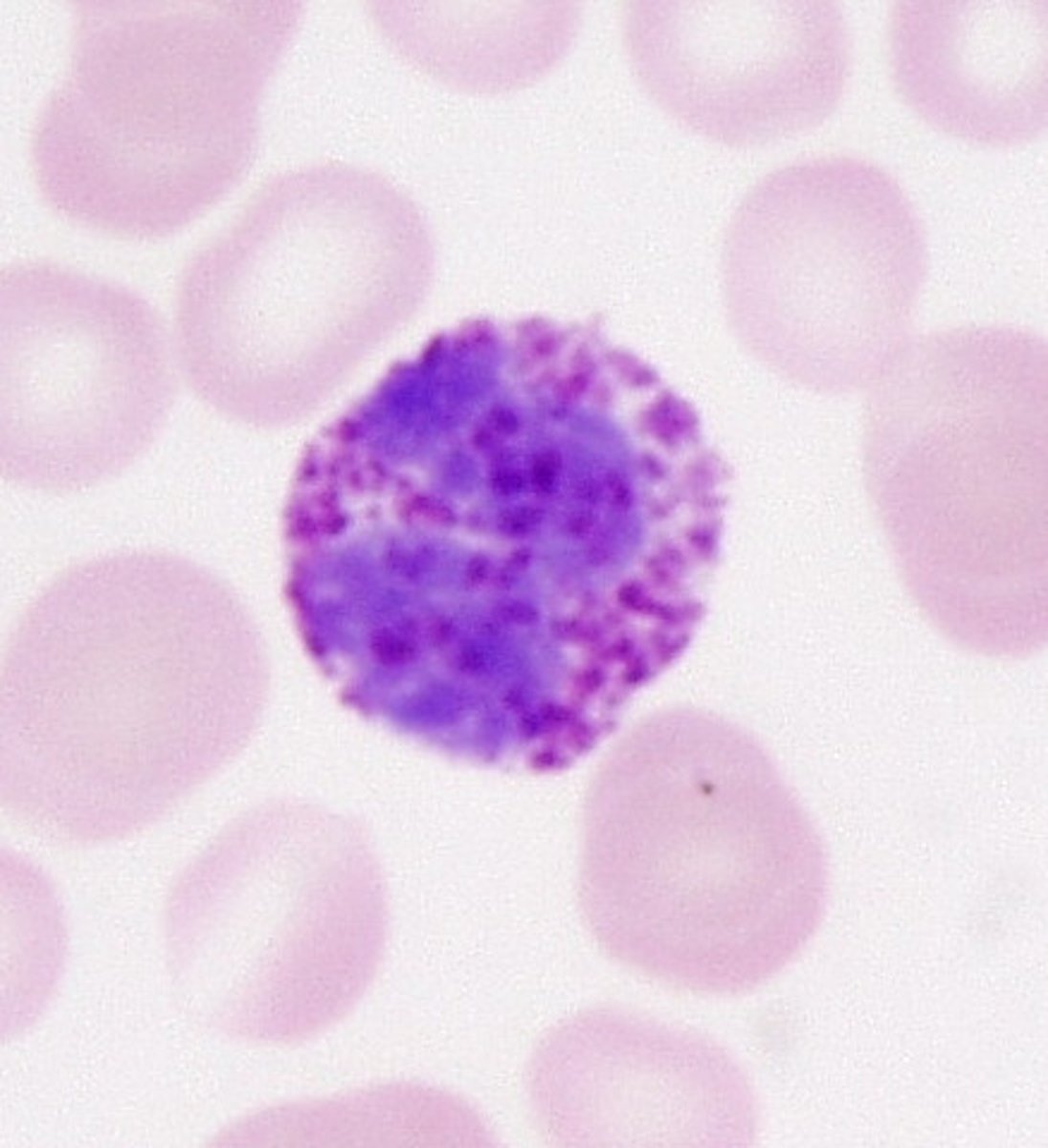
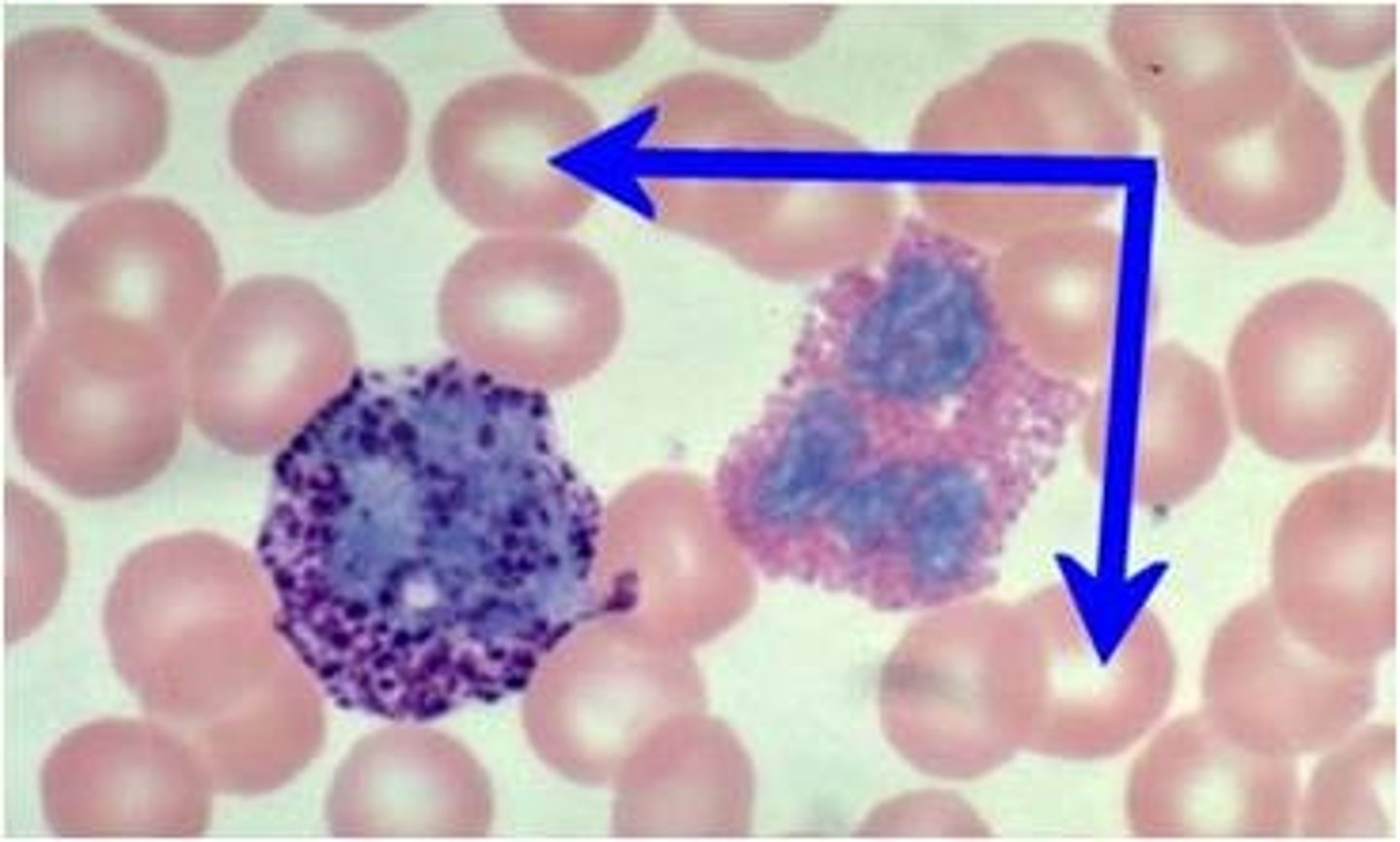
basophil

knowt flashcard image
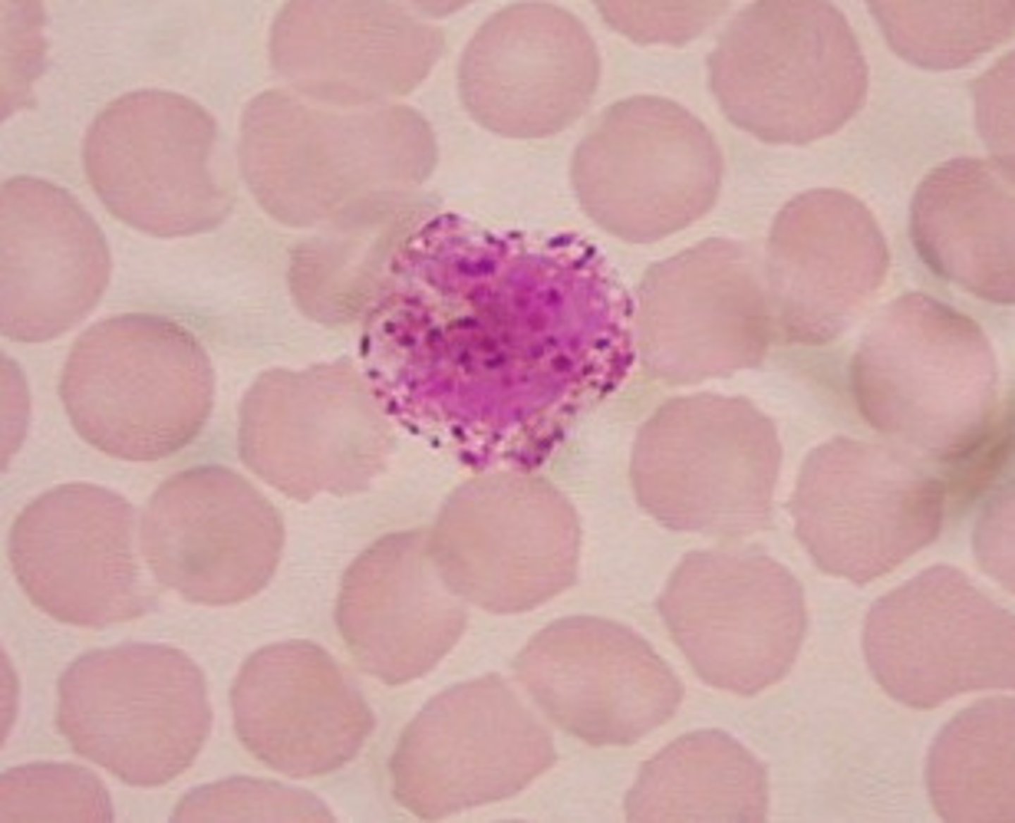
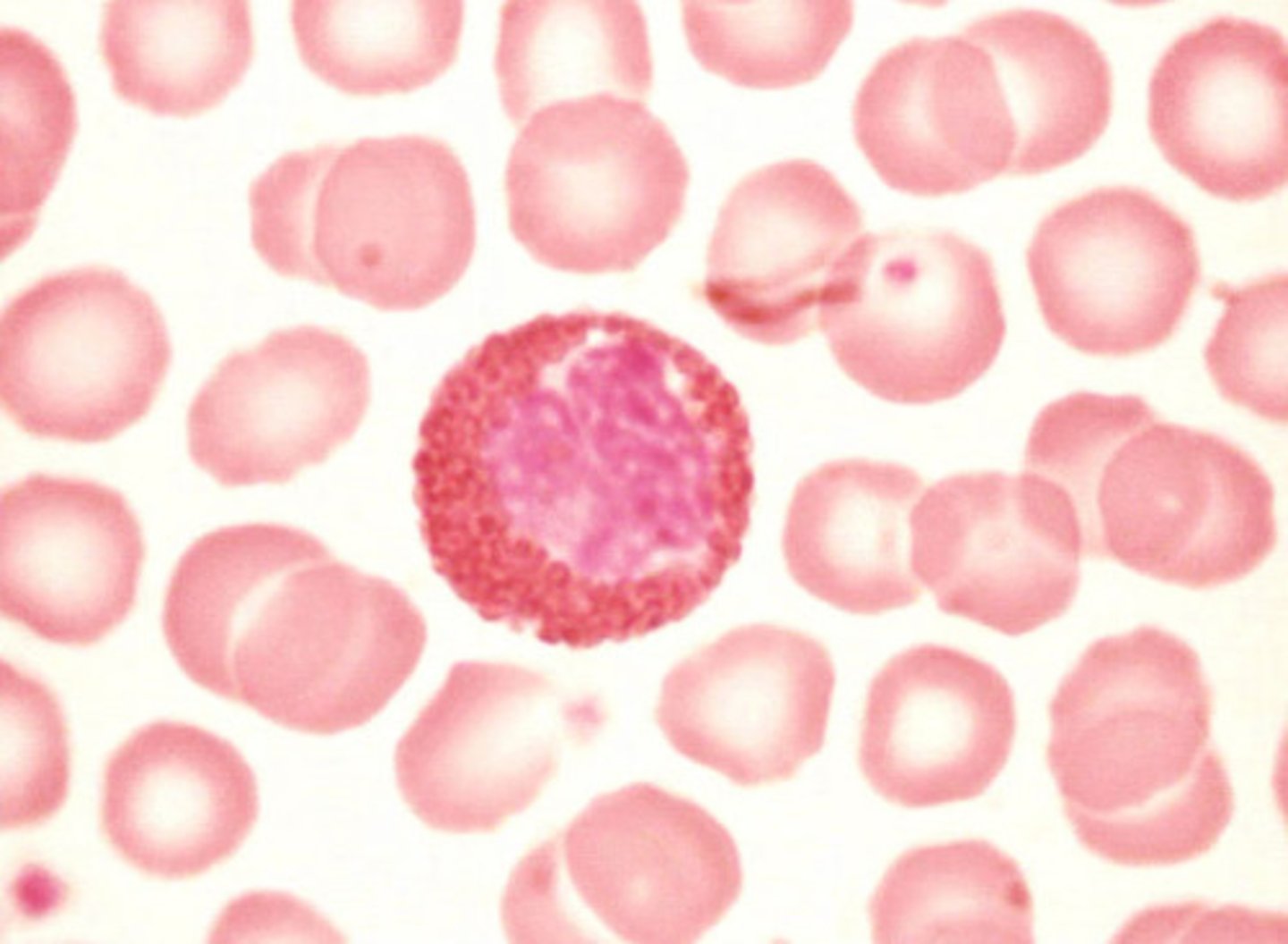
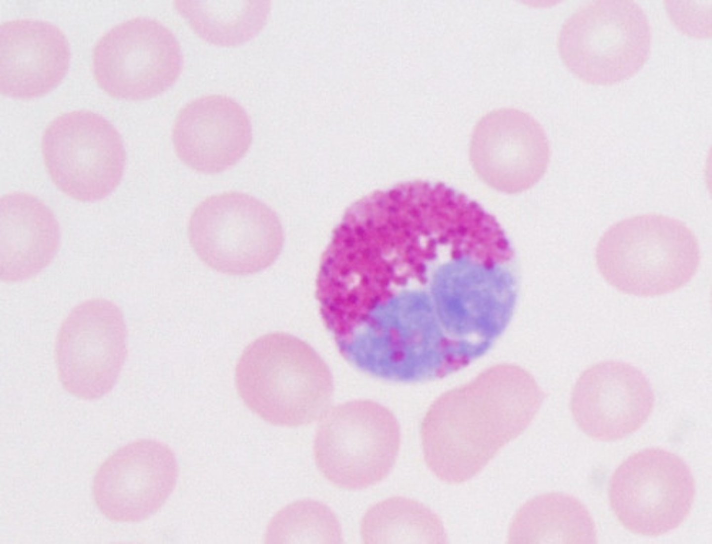
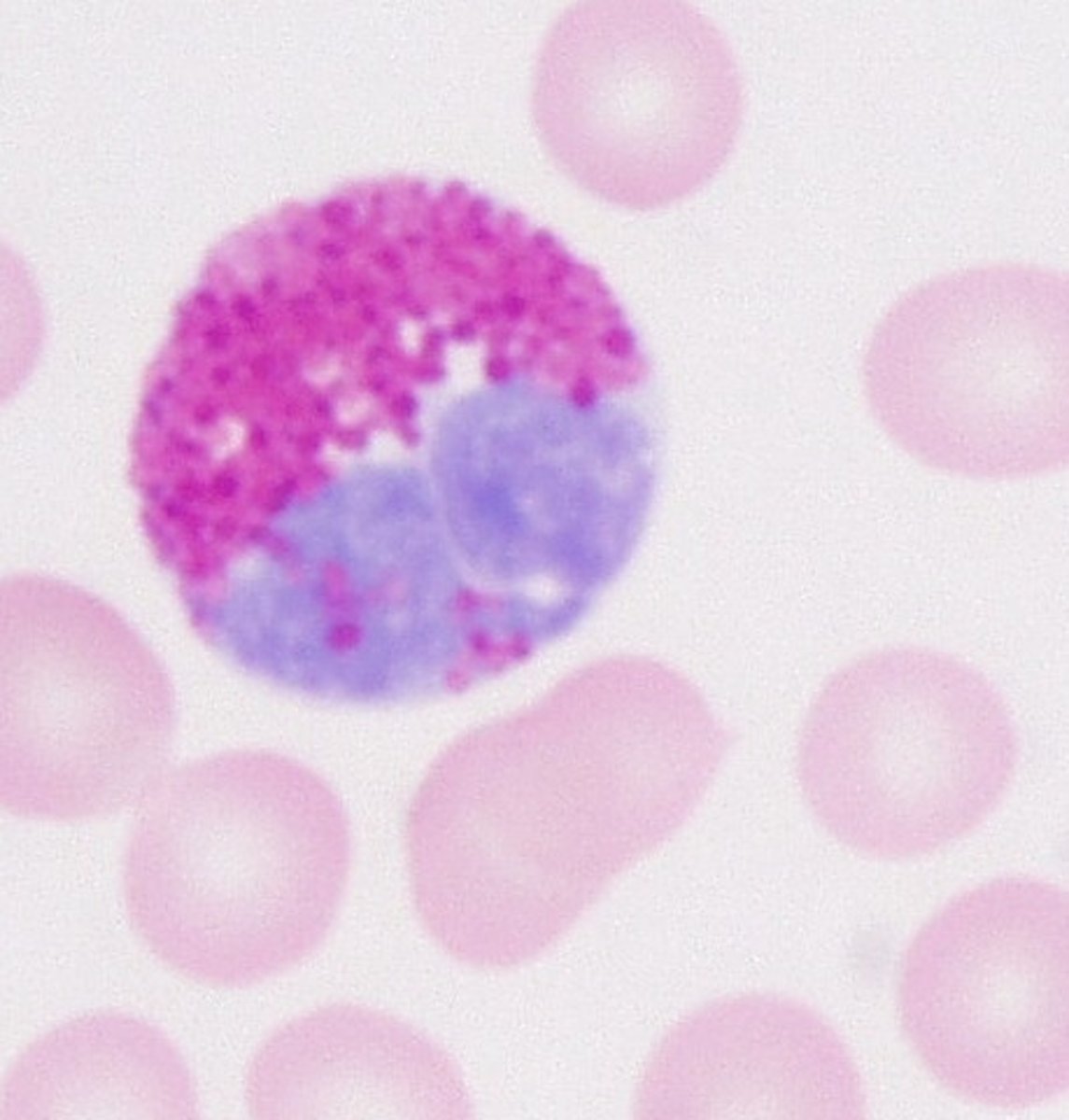
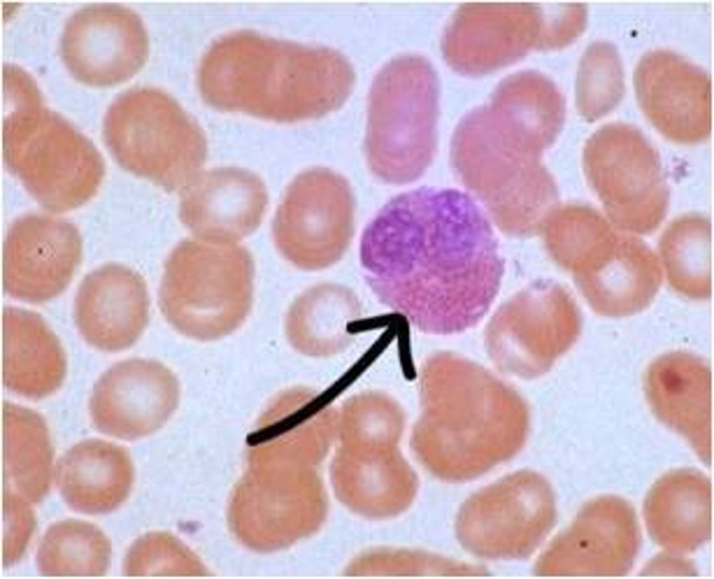
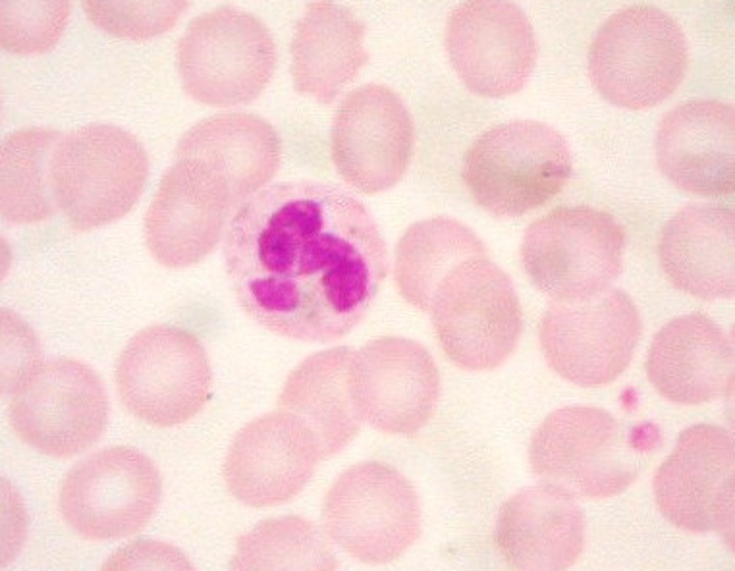
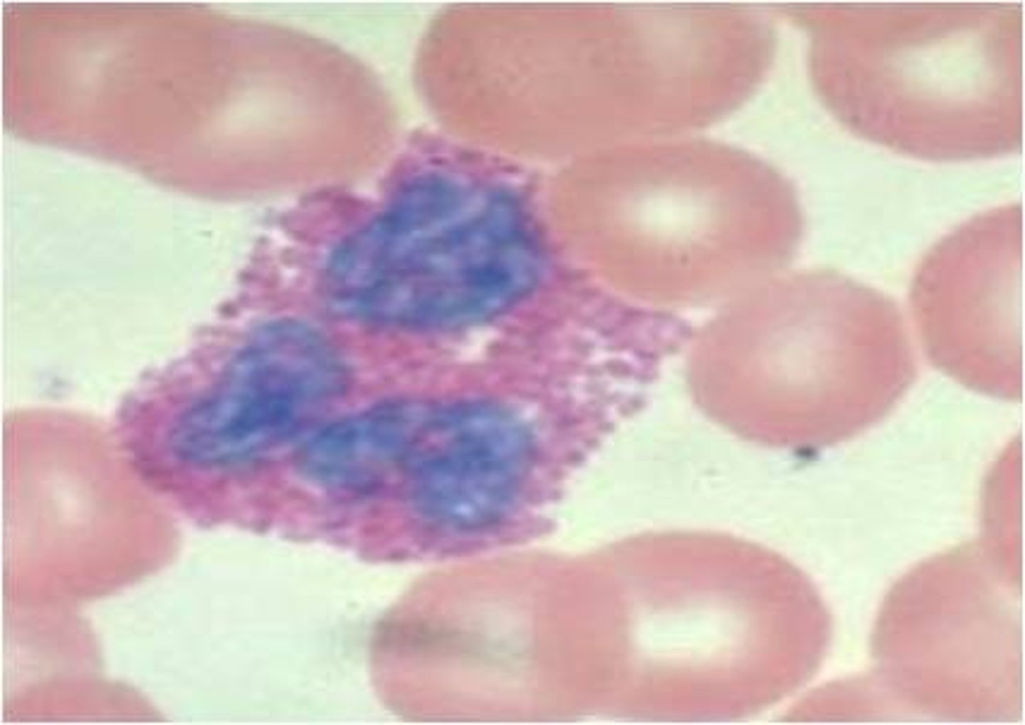
5
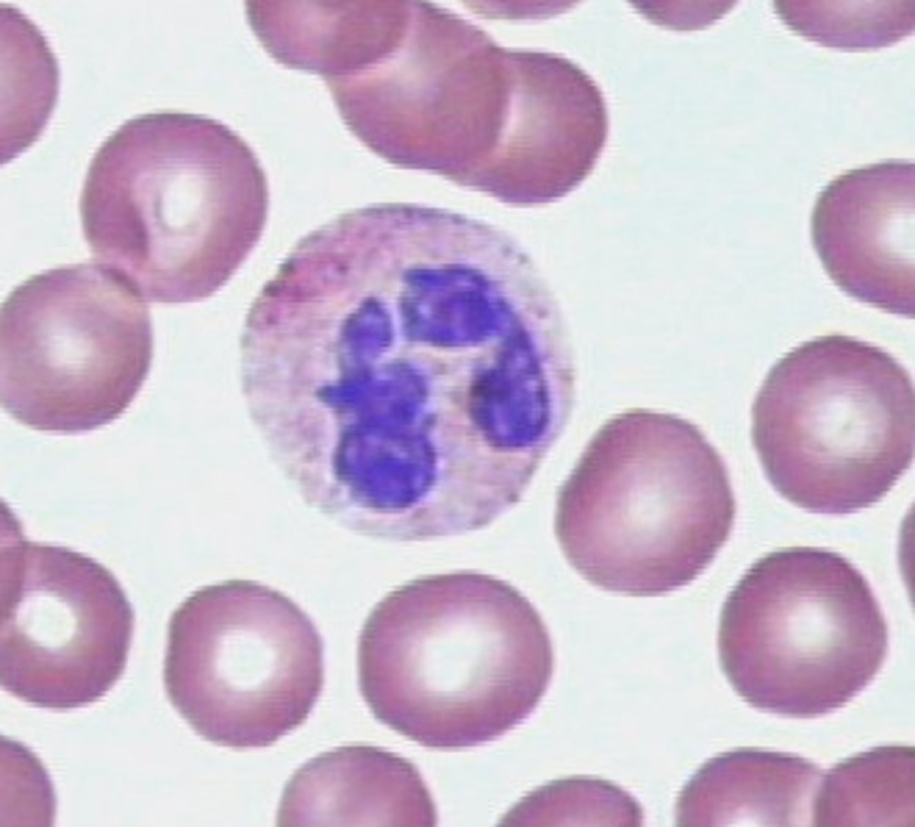
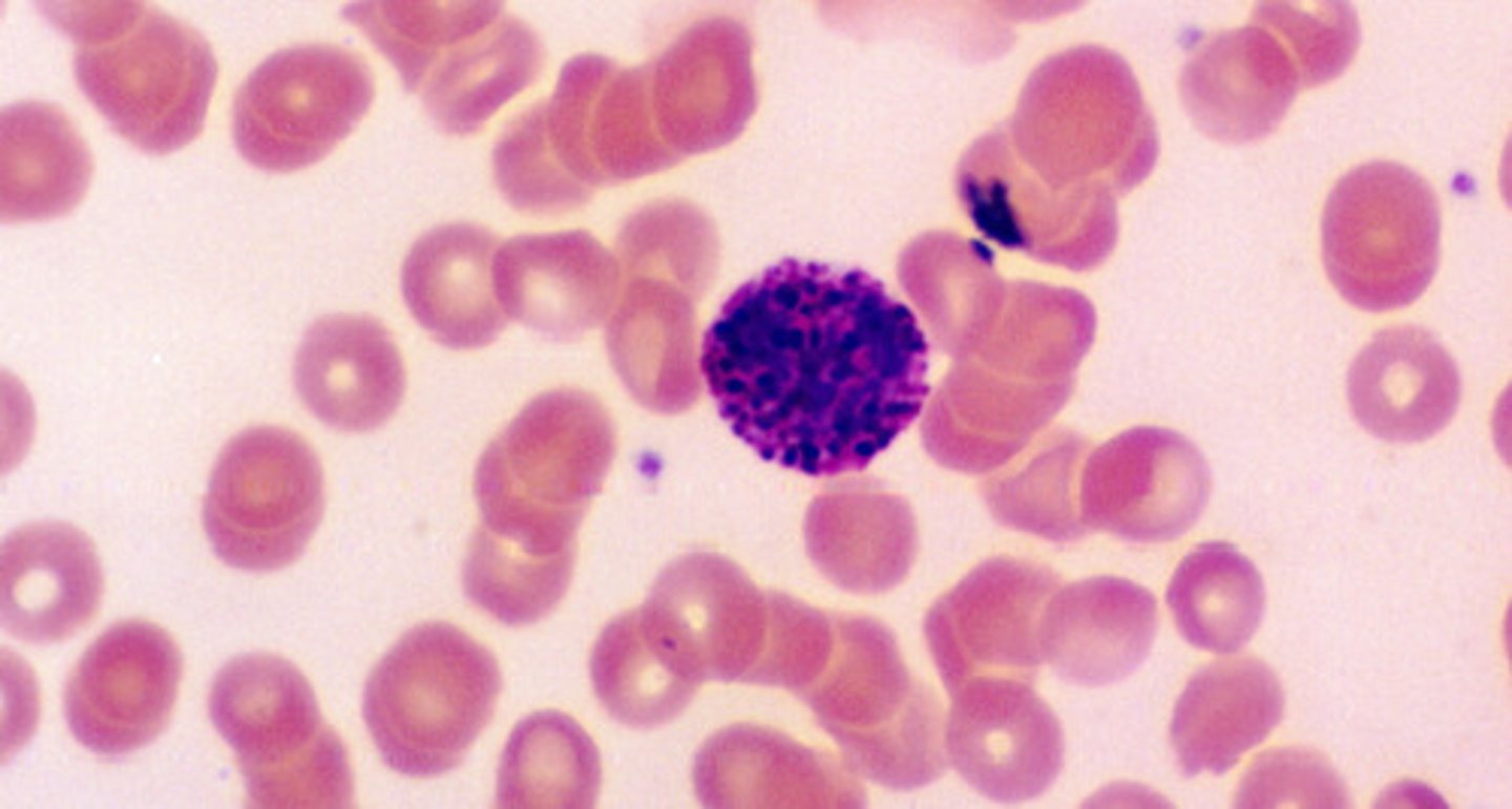
New cards

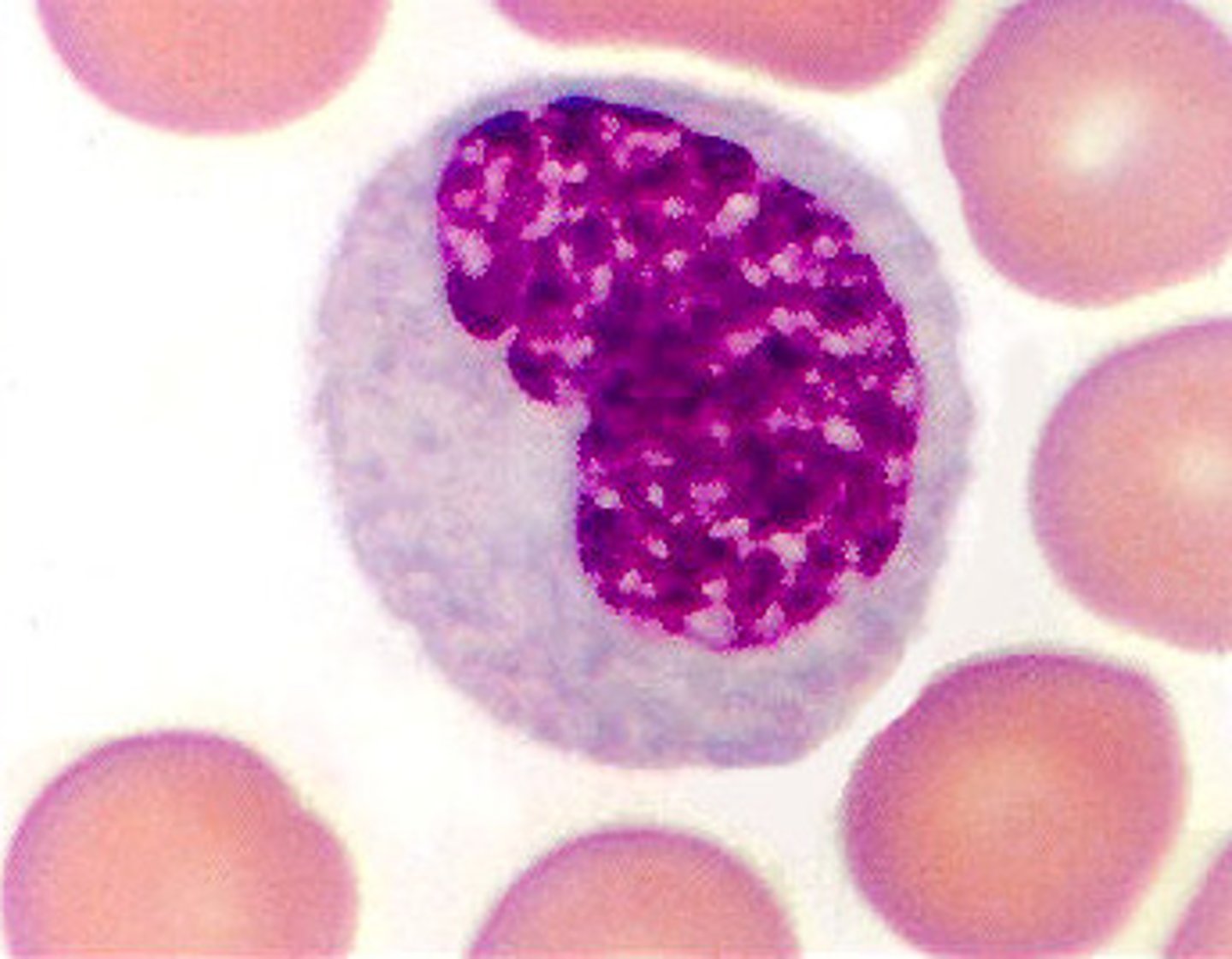
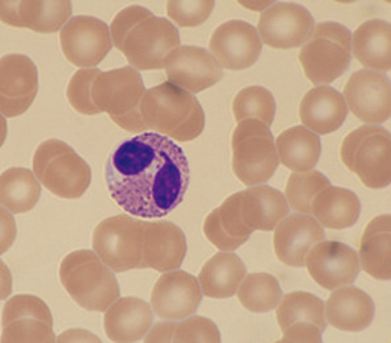
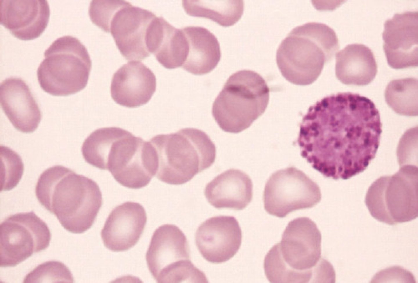
eosinophil

knowt flashcard image
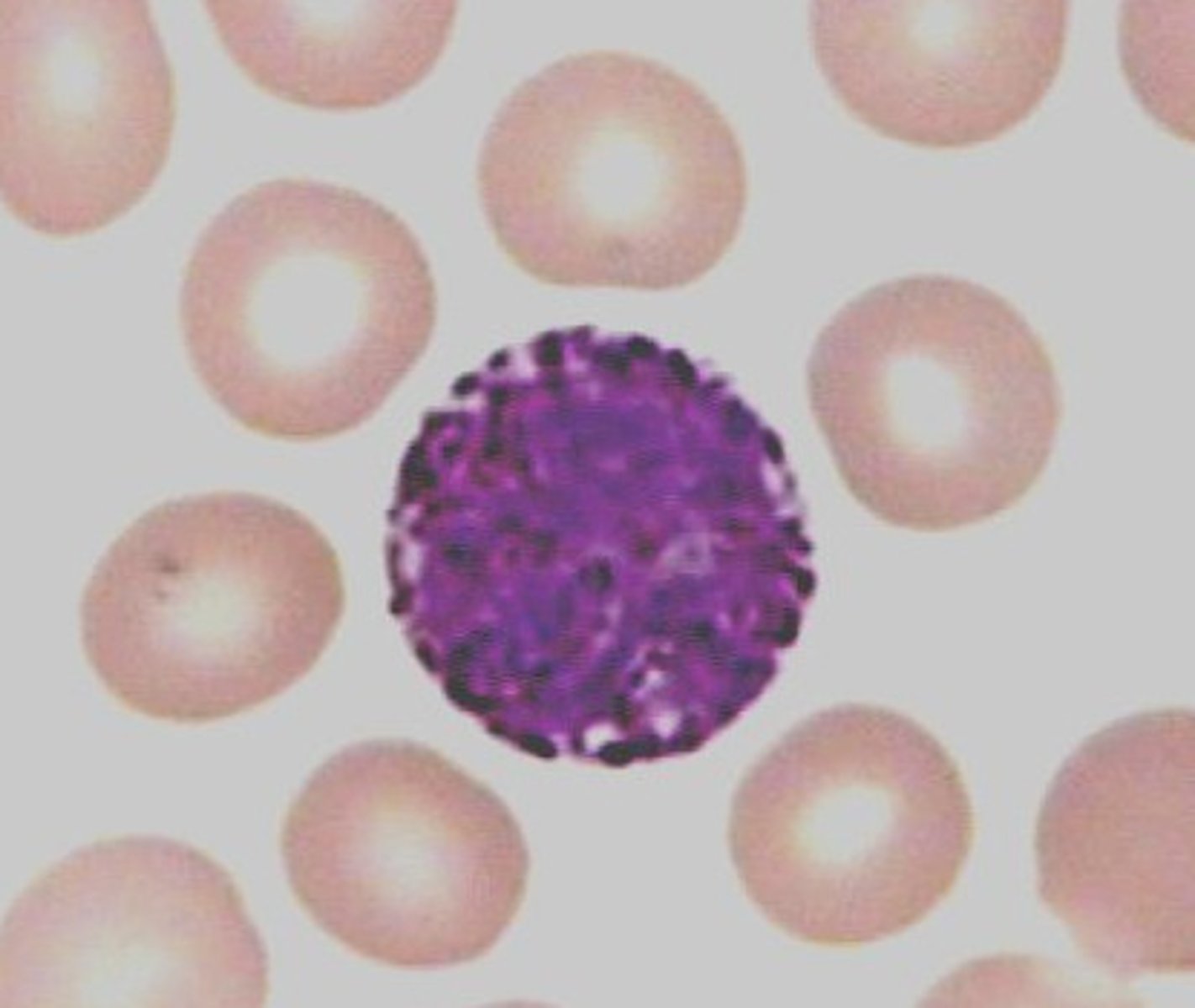
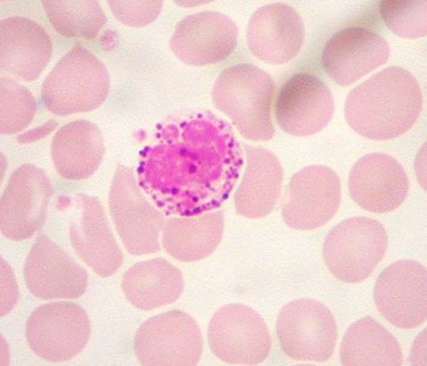
6
New cards

neutrophil

knowt flashcard image
7
New cards

lymphocyte

knowt flashcard image
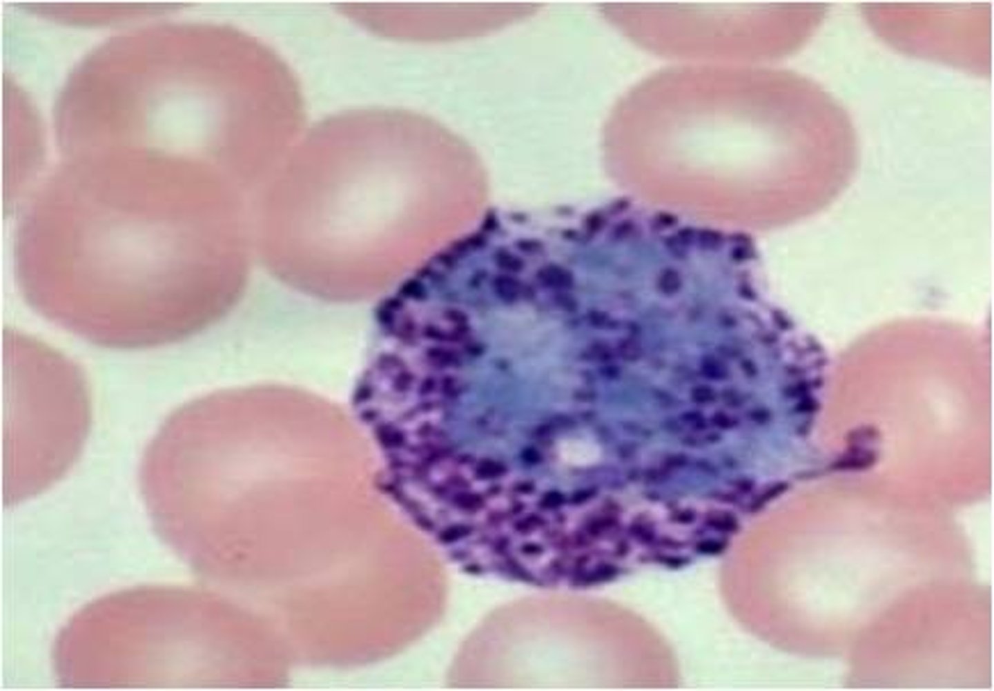
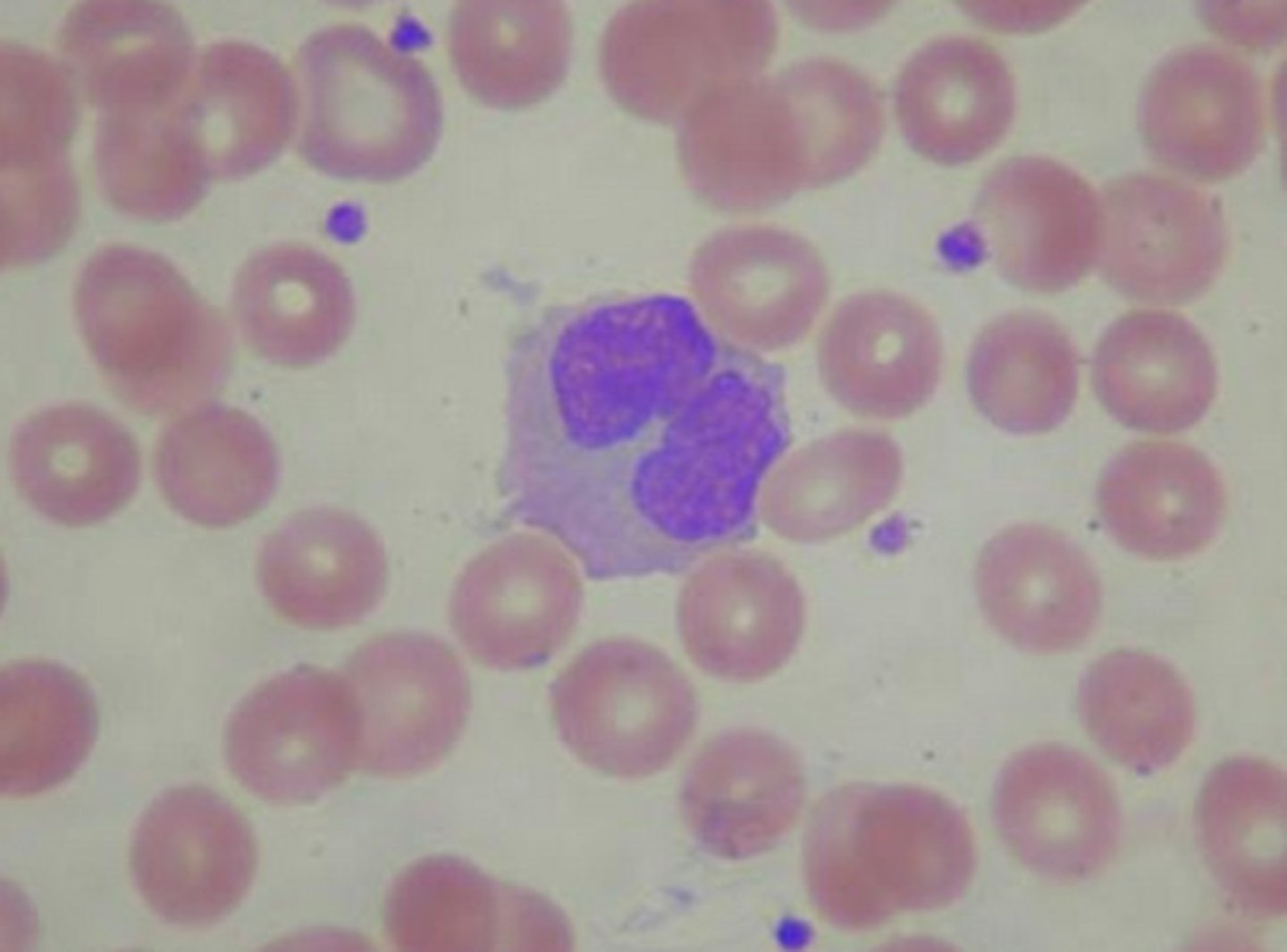
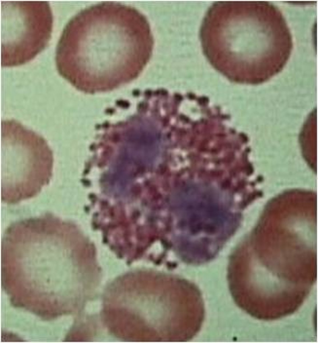
8
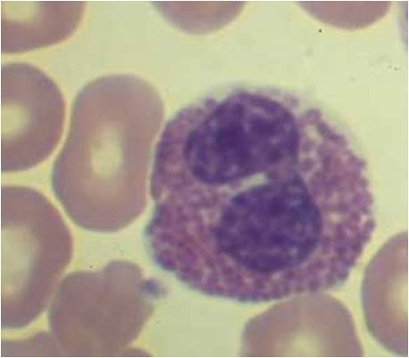
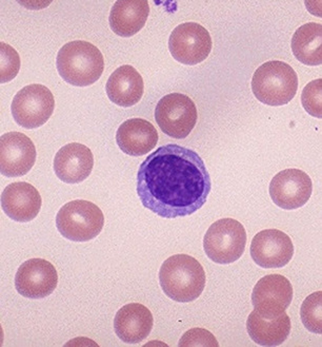
New cards

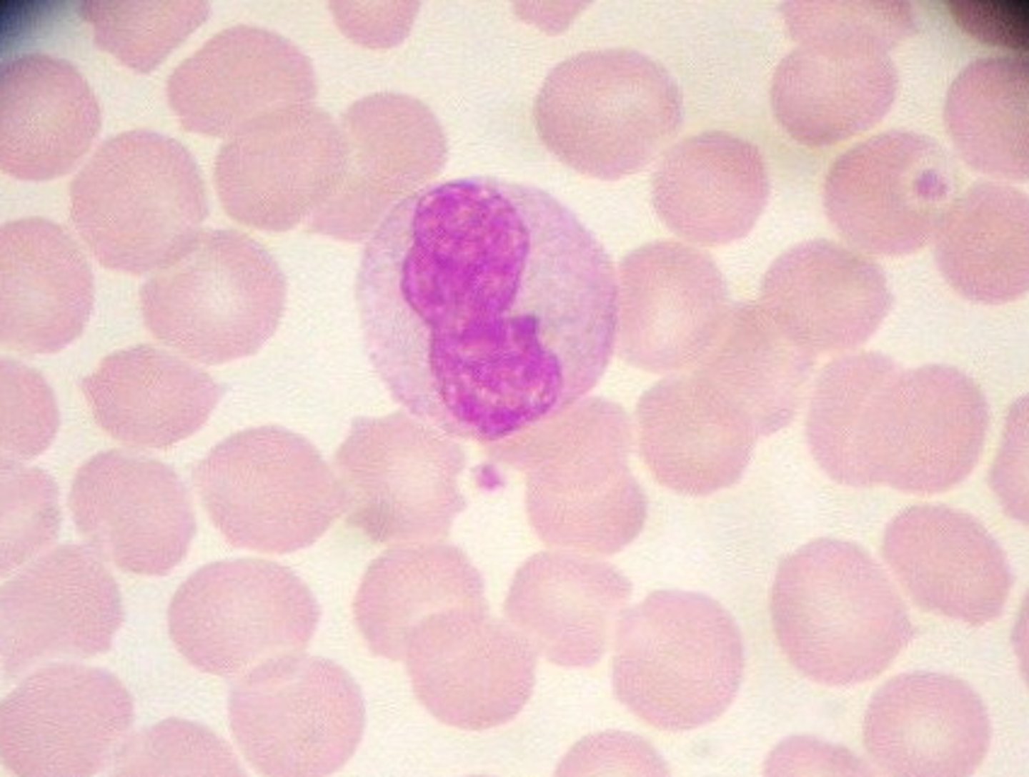
monocyte

knowt flashcard image
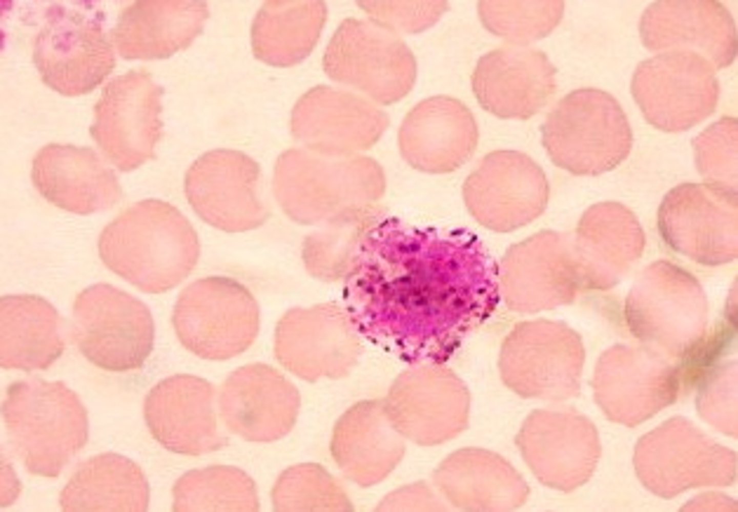
9
New cards

eosinophil

knowt flashcard image
10
New cards

basophil

knowt flashcard image
11
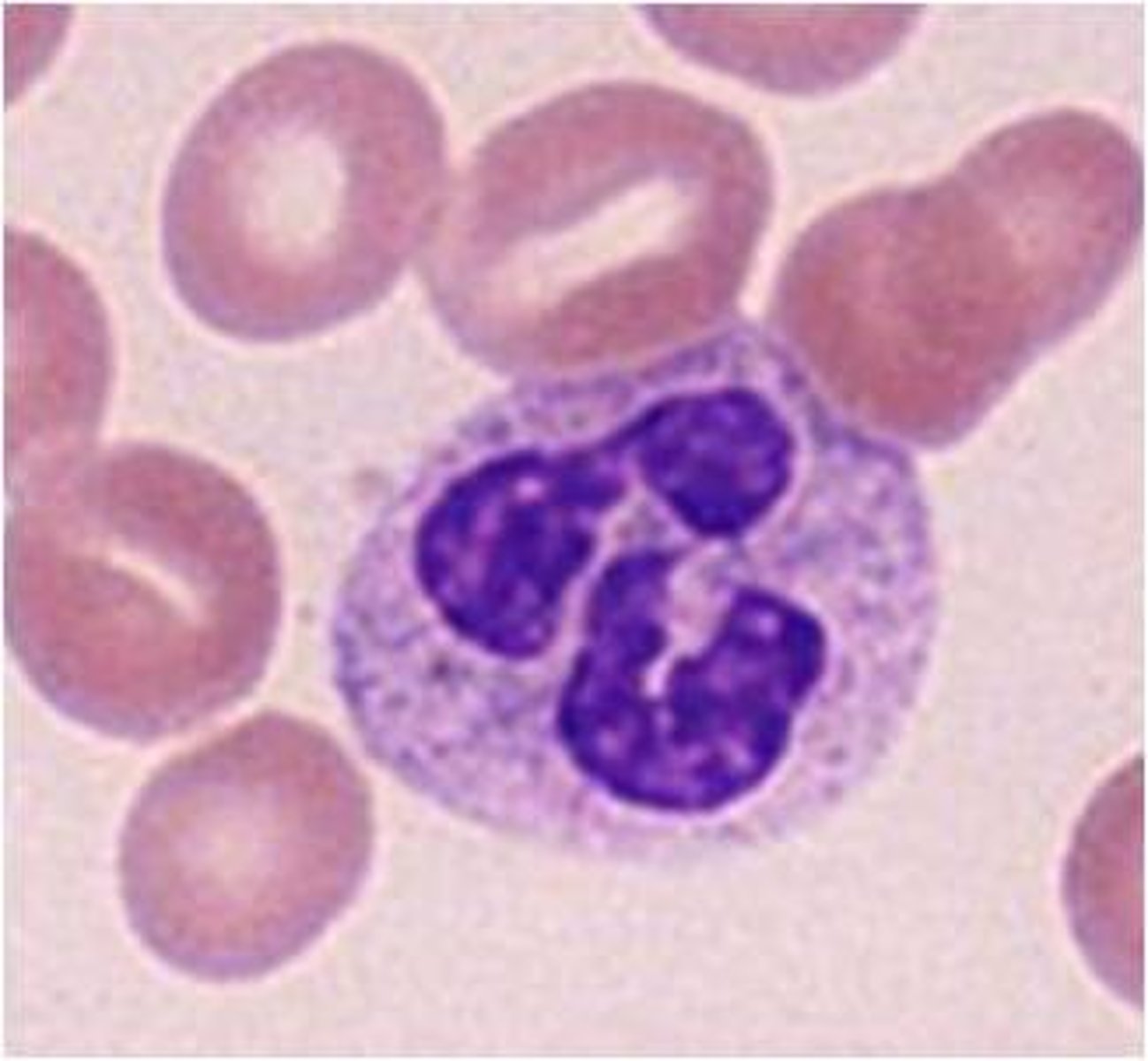
New cards

lymphocyte

knowt flashcard image
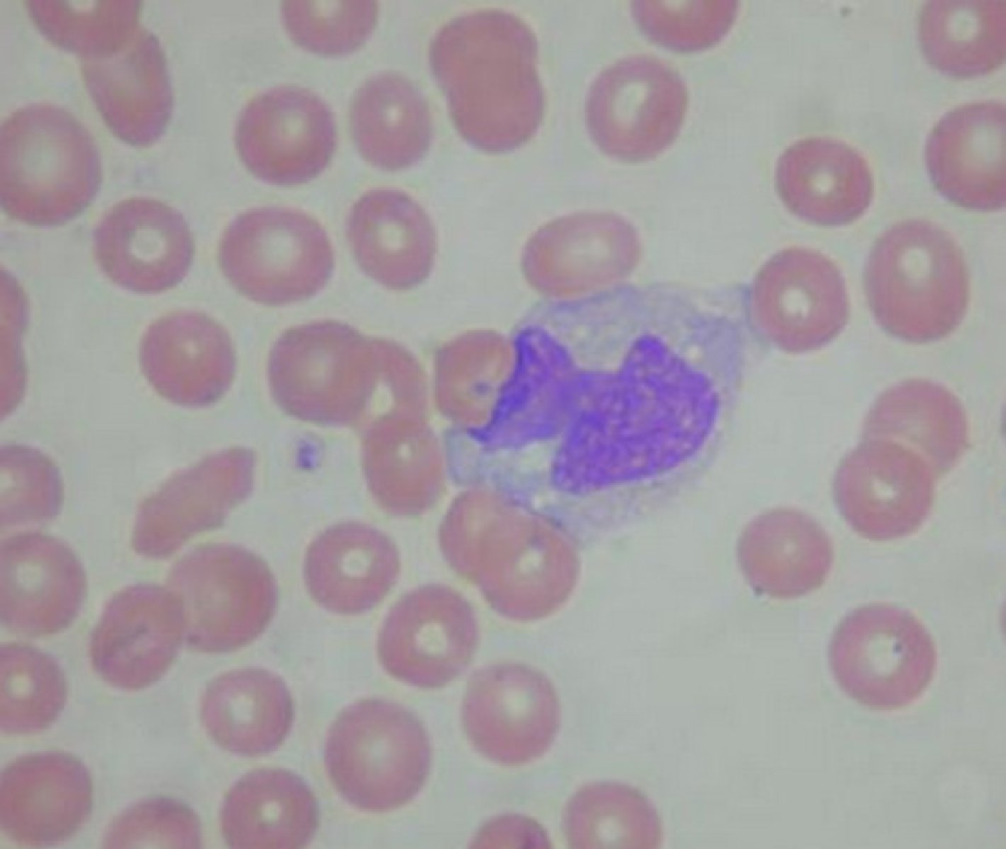
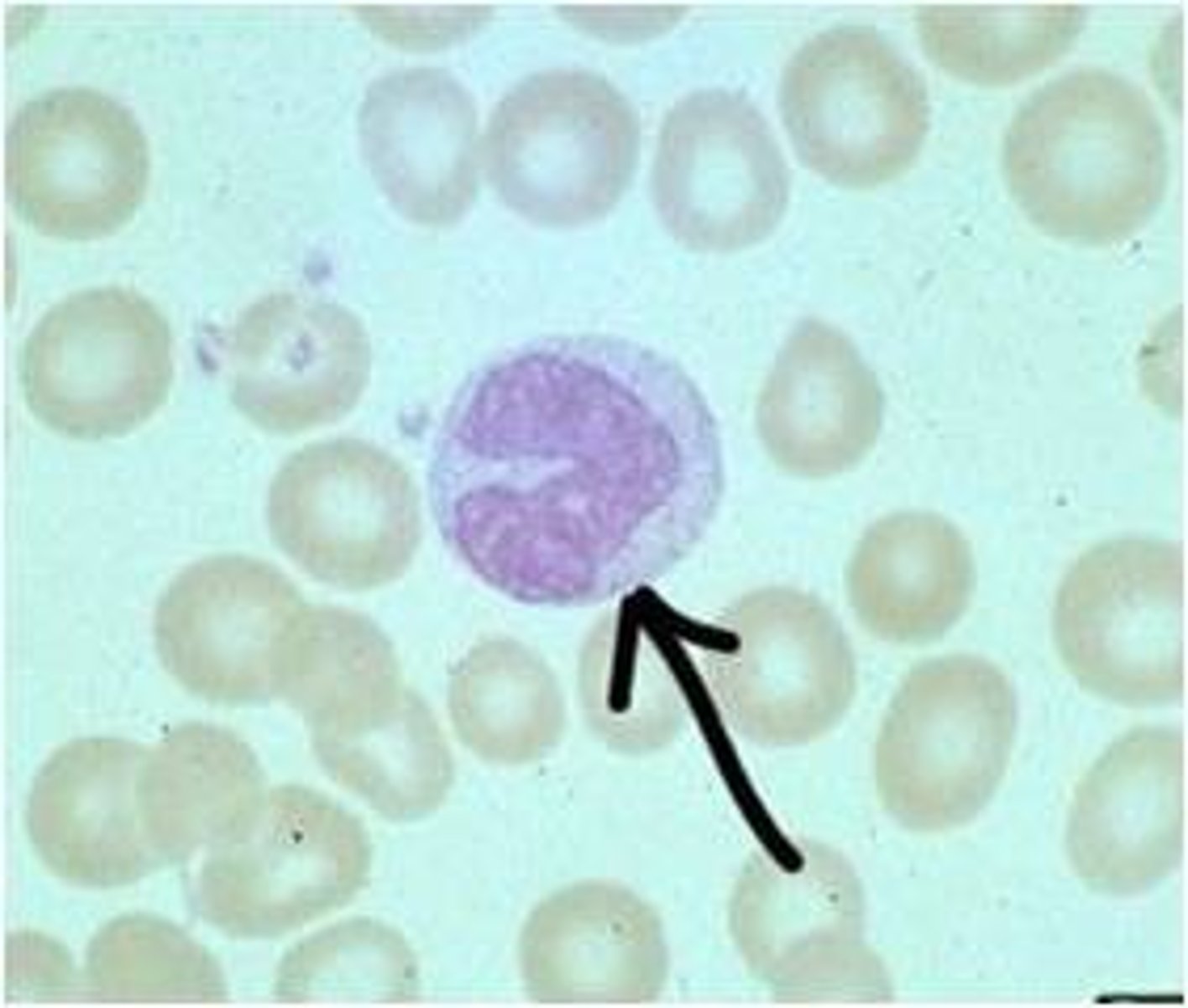
12
New cards

monocyte

knowt flashcard image
13
New cards

eosinophil

knowt flashcard image
14
New cards

basophil

knowt flashcard image
15
New cards

lymphocyte

knowt flashcard image
16
New cards

monocyte

knowt flashcard image
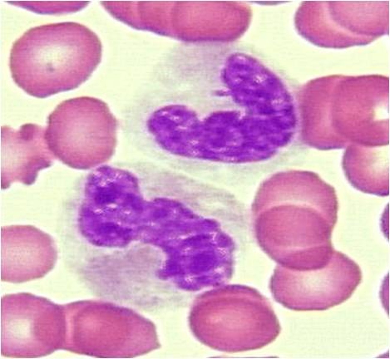
17
New cards

neutrophil

knowt flashcard image
18
New cards

eosinophil

knowt flashcard image
19
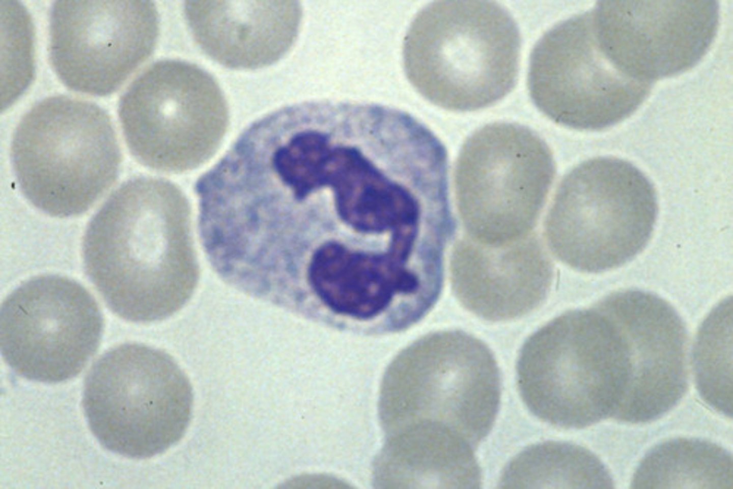
New cards

neutrophil

knowt flashcard image
20
New cards

neutrophil

knowt flashcard image
21
New cards

neutrophil

knowt flashcard image
22
New cards

neutrophil

knowt flashcard image
23
New cards

eosinophil

knowt flashcard image
24
New cards

eosinophil

knowt flashcard image
25
New cards

eosinophil

knowt flashcard image
26
New cards

eosinophil

knowt flashcard image
27
New cards

monocyte

knowt flashcard image
28
New cards

monocyte

knowt flashcard image
29
New cards

basophil

knowt flashcard image
30
New cards

lymphocyte

knowt flashcard image
31
New cards

basophil

knowt flashcard image
32
New cards

eosinophil

knowt flashcard image
33
New cards

monocyte

knowt flashcard image
34
New cards

lymphocyte

knowt flashcard image
35
New cards

lymphocyte

knowt flashcard image
36
New cards

lymphocyte

knowt flashcard image
37
New cards

lymphocyte

knowt flashcard image
38
New cards

neutrophil

knowt flashcard image
39
New cards

lymphocyte

knowt flashcard image
40
New cards

monocyte

knowt flashcard image
41
New cards

eosinophil

knowt flashcard image
42
New cards

basophil

knowt flashcard image
43
New cards

basophil

knowt flashcard image
44
New cards

basophil

knowt flashcard image
45
New cards

lymphocyte

knowt flashcard image
46
New cards

neutrophil

knowt flashcard image
47
New cards

eosinophil

knowt flashcard image
48
New cards

basophil

knowt flashcard image
49
New cards

monocyte

knowt flashcard image
50
New cards

neutrophil

knowt flashcard image
51
New cards

lymphocyte

knowt flashcard image
52
New cards

eosinophil

knowt flashcard image
53
New cards

basophil

knowt flashcard image
54
New cards

monocyte

knowt flashcard image
55
New cards

monocyte

knowt flashcard image
56
New cards

basophil

knowt flashcard image
57
New cards

basophil

knowt flashcard image
58
New cards

eosinophil

knowt flashcard image
59
New cards

eosinophil

knowt flashcard image
60
New cards

neutrophil

knowt flashcard image
61
New cards

neutrophil

knowt flashcard image
62
New cards

monocyte

knowt flashcard image
63
New cards

monocyte

knowt flashcard image
64
New cards

monocyte

knowt flashcard image
65
New cards

Monocyte

knowt flashcard image
66
New cards

Neutrophil

knowt flashcard image
67
New cards

Eosinophil

knowt flashcard image
68
New cards

Lymphocyte

knowt flashcard image
69
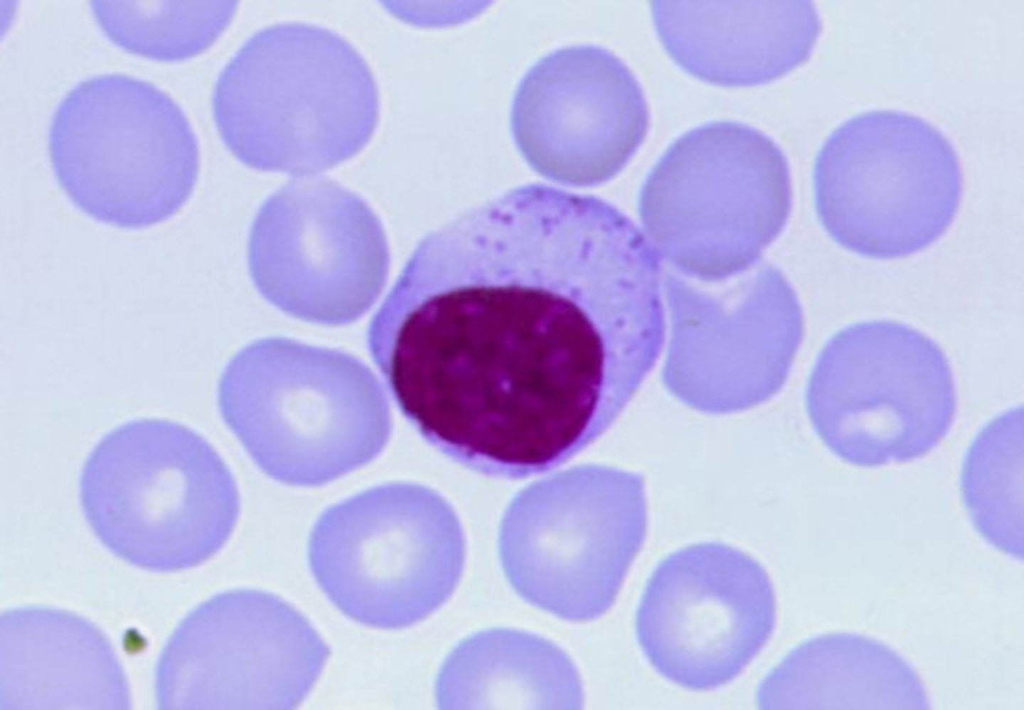
New cards

Erythrocytes

knowt flashcard image
70
New cards

Erythrocytes

knowt flashcard image
71
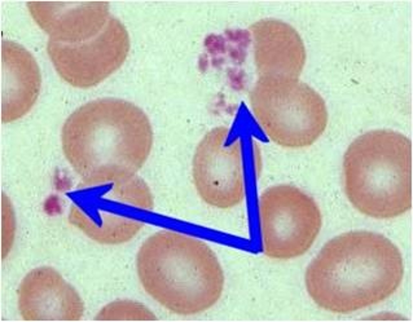
New cards

Platelets

knowt flashcard image
72
New cards

Basophil

knowt flashcard image
73
New cards

Lymphocyte

knowt flashcard image
74
New cards

Basophil

knowt flashcard image
75
New cards

Neutrophil

knowt flashcard image
76
New cards

Basophil

knowt flashcard image
77
New cards

Erythrocytes

knowt flashcard image
78
New cards

Platelets

knowt flashcard image
79
New cards

Monocyte

knowt flashcard image
80
New cards

Lymphocyte

knowt flashcard image
81
New cards

Monocyte

knowt flashcard image
82
New cards

Eosinophil

knowt flashcard image
83
New cards

Basophil

knowt flashcard image
84
New cards

Eosinophil

knowt flashcard image
85
New cards

Eosinophil

knowt flashcard image
86
New cards

Neutrophil

knowt flashcard image
87
New cards

Lymphocyte

knowt flashcard image
88
New cards

Basophil

knowt flashcard image
89
New cards

Neutrophil

knowt flashcard image
90
New cards

Eosinophil

knowt flashcard image
91
New cards

Erythrocytes

knowt flashcard image
92
New cards

Eosinophil

knowt flashcard image
93
New cards

Eosinophil

knowt flashcard image
94
New cards

Basophil

knowt flashcard image
95
New cards

Eosinophil

knowt flashcard image
96
New cards

Basophil

knowt flashcard image
97
New cards

Neutrophil

knowt flashcard image
98
New cards

Monocyte

knowt flashcard image
99
New cards

Eosinophil

knowt flashcard image
100
New cards

Basophil

knowt flashcard image

Explore top notes

note
Chapter 1 - Chemical Foundations
Updated 1429d ago
0.0(0)
note
chapter 1: a&p (introduction)
Updated 638d ago
0.0(0)
note
Chapter 14: Social Psychology
Updated 1070d ago
0.0(0)
note
Untitled
Updated 1112d ago
0.0(0)
note
SAT 1-12 (master list)
Updated 1046d ago
0.0(0)
note
Physiologie cardiaque
Updated 687d ago
0.0(0)
note
Chapter 1 - Chemical Foundations
Updated 1429d ago
0.0(0)
note
chapter 1: a&p (introduction)
Updated 638d ago
0.0(0)
note
Chapter 14: Social Psychology
Updated 1070d ago
0.0(0)
note
Untitled
Updated 1112d ago
0.0(0)
note
SAT 1-12 (master list)
Updated 1046d ago
0.0(0)
note
Physiologie cardiaque
Updated 687d ago
0.0(0)

Explore top flashcards

flashcards
psicologia del aprendizaje
127
Updated 994d ago
0.0(0)
flashcards
Atmosphere
114
Updated 666d ago
0.0(0)
flashcards
AP Psychology - People
70
Updated 1048d ago
0.0(0)
flashcards
Medical Terminology Terms 1
102
Updated 922d ago
0.0(0)
flashcards
P.E.E Lesson 6
60
Updated 1041d ago
0.0(0)
flashcards
voc unit 3
73
Updated 772d ago
0.0(0)
flashcards
Science 6th grade finale
83
Updated 1028d ago
0.0(0)
flashcards
psicologia del aprendizaje
127
Updated 994d ago
0.0(0)
flashcards
Atmosphere
114
Updated 666d ago
0.0(0)
flashcards
AP Psychology - People
70
Updated 1048d ago
0.0(0)
flashcards
Medical Terminology Terms 1
102
Updated 922d ago
0.0(0)
flashcards
P.E.E Lesson 6
60
Updated 1041d ago
0.0(0)
flashcards
voc unit 3
73
Updated 772d ago
0.0(0)
flashcards
Science 6th grade finale
83
Updated 1028d ago
0.0(0)