1/56
Looks like no tags are added yet.
Name | Mastery | Learn | Test | Matching | Spaced | Call with Kai |
|---|
No analytics yet
Send a link to your students to track their progress
Mylohyoid ridge
Radiopaque band in mandibular region
Zygomatic process
U or J shaped radiopacity superior to maxillary molars
Maxillary tuberosity
Radiopaque bulge distal to third molar region
Coronoid process
Triangular shaped radiopacity
Nutrient canals /mental fossa
Mental disappears as radioducent area above mental ridge
Nasal septum
Radiopaque part that divides nasal cavity
Genial tubercles/lingual foreman
Appears as ring shaped radiopacity
Median palatial suture
Thin radiolucent line
Mandibular canal
Radiolucent band outlined by 2 thin radiopaque lines
Cancellous bone
Predominantly radiolucent
Cortical bone
Highly radiopaque
Incisive foreman
Radiolucent between maxillary centrals
Superior foramina
Incisive canal appearing as 2 round radiolucencies
Floor of nasal cavity
Radiopaque band
Lateral fossa
Between incisor and canine, radioducent
Nasal cavity
Large radiolucent area above maxilla
Inferior nasal concha
Diffused radiopacities in nasal cavity
Anterior nasal spine
V shape radiopacity at floor of nasal cavity midline
Maxillary sinus
Radiolucent area above maxillary posterior teeth
Zygomatic arch
Diffused radiopaque band extending distally from zygomatic process of maxilla
Septa of maxillary sinus
Radiopaque lines
Inverted Y
Maxillary sinus and nasal sinus, radiopaque upside down y
Nutrient canals
Thin radiolucent lines
Hamulus
Hooklike radiopacity distal to maxillary tuberosity area
Mental ridge
Radiopaque band in premolar incisor region
Mental foremen
Radiolucency in mandibular premolar region
External oblique ridge/edge of ramus
Radiopaque band
Internal oblique ridge
Radiopaque band distal to molar
Submandibular fossa
Radiolucent area inferior to mylohyold ridge
Posterior alveolar crest
Flat and smooth
Anterior alveolar crest
Pointed and sharp
Glenoid fossa
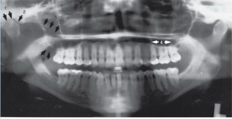
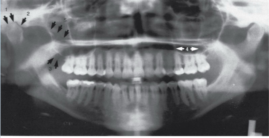
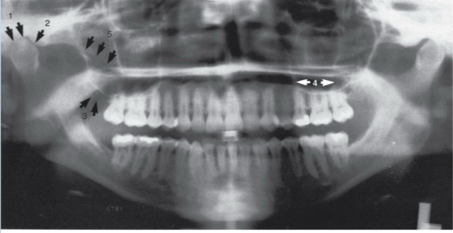
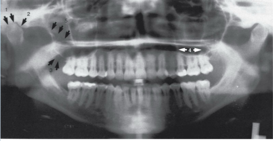
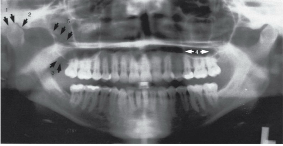
1.

articular eminence
2.

Maxillary tuberosity
3.

Maxillary sinus
4,

zygoma
5.

Lateral pterygoid plate

condyle
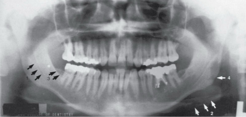
1.

Coronoid notch
2,

Coronoid process
3.

Mandibular foremen
4.

Genial tubercles
6.

Styloid process
7,

Mandibular canal
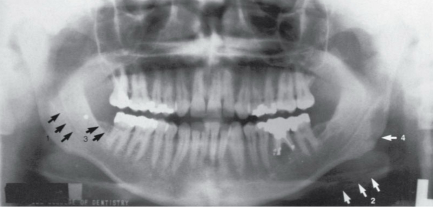
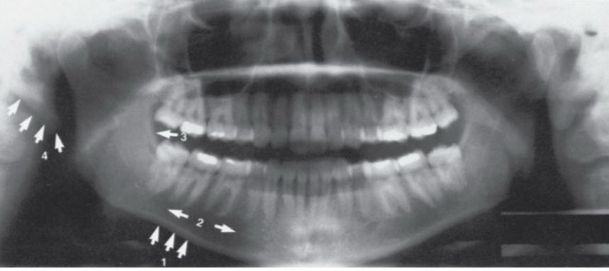
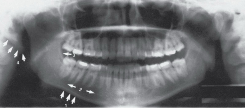
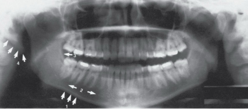
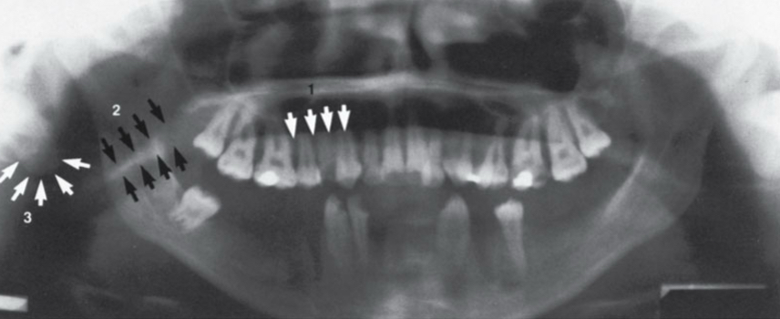
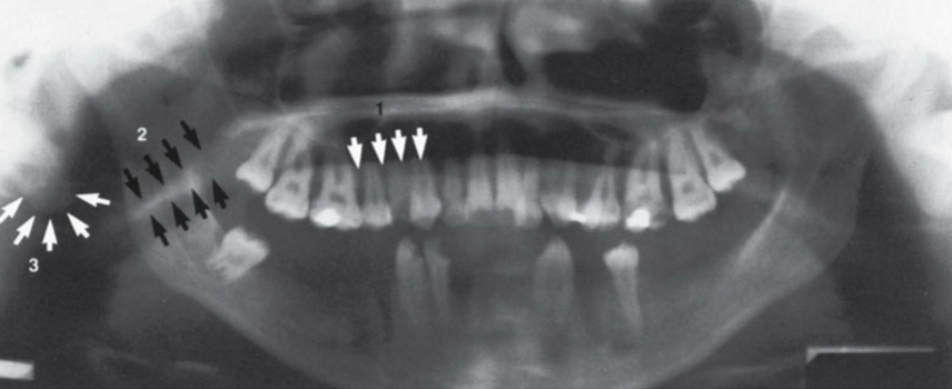
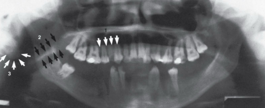
1.

Hyoid
2.

External oblique ridge
3,

Angle of mandible
4.

Inferior border of mandible
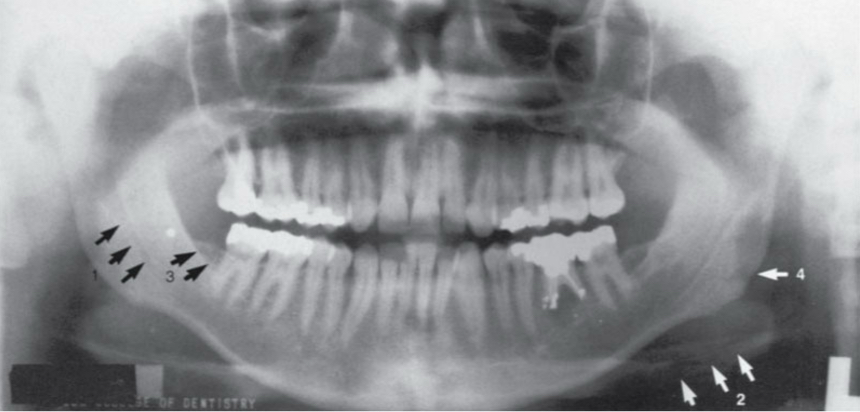
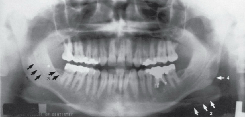
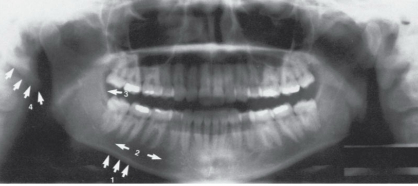
1.

Submandibular fossa
2.

External oblique ridge
3,

Soft tissue of ear
4.

Palatoglossal air space
1.

Nasopharyngeal air space
2,

Glossopharyngeal air space
3.

Tongue (soft tissue)
1.

Soft palate and uvula (soft tissue)
2.

Ear (soft tissues
3.
