1/68
Looks like no tags are added yet.
Name | Mastery | Learn | Test | Matching | Spaced | Call with Kai |
|---|
No analytics yet
Send a link to your students to track their progress

What part?
Olfactory bulb

what is the first arrow pointing to?
optic nerve

what is the second arrow pointing to?
optic chiasm

what is the third arrow pointing to?
optic tracts

what part?
optic nerve

which ventricles do you see?
Lateral ventricles aka ventricles 1 and 2

what is the pink tissue?
chorioid plexus

what part?
medulla

what part
medulla

what part
medulla

what part?
pons

what part?
pons

what is the first arrow pointing to
third ventricle

what is the second arrow pointing to
pons

what is the third arrow pointing to
fourth ventricle

what part
cerebellum

what part
cerebellum

what is the first arrow
cerebral peduncles

what is the second arrow
cerebellar peduncles

what part
cerebral peduncles

what part
cerebral peduncles

first arrow
superior colliculus

second arrow
inferior colliculus

both arrows
tectum

first arrow
superior colliculus

second arrow
Inferior colliculus

what part
tegmenum

substantia nigra

what is the middle thing
periaquaductal gray

what is the red thing
red nucleus

what is the black thing
substantia nigra

part
thalamus

part
thalamus

first arrow
hypothalamus

second arrow
mammilary bodies

part
mammilary bodies

part
mammilary bodies

part
pituitary stalk

part
pituitary stalk

part
pineal gland

part
pineal gland

first arrow
globus palidus

second arrow
putamen

third arrow (two locations)
caudate nucleus

all arrows
basal ganglia

part
hippocampus

part
amygdala

part
corpus callosum

part
corpus callosum

part
corpus callosum

part?
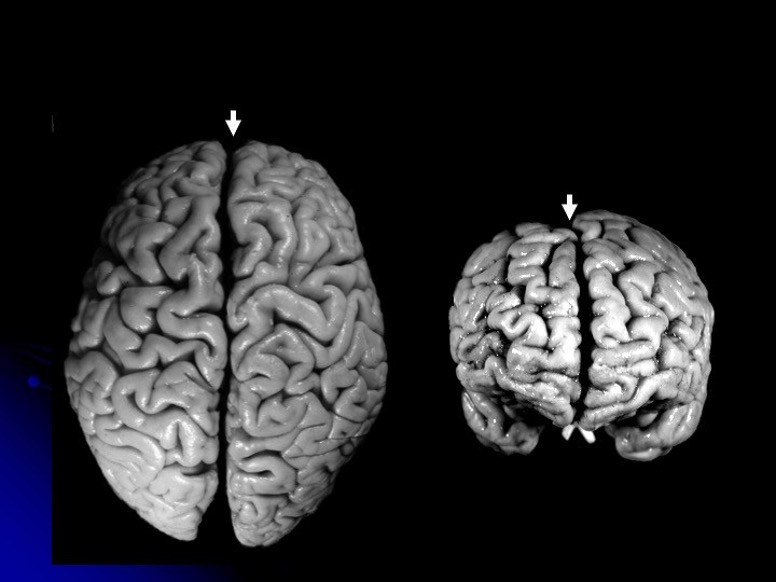
longitudinal fissure

part
lateral fissure

parts
longitudinal and lateral fissure

part
central sulcus

parts
post-central gyrus, somatosensory cortex, and parietal lobe

what view or surface of brain are you looking at?
Dorsal

1
prefrontal association cortex

2
frontal lobe

4
primary motor cortex

5
central sulcus

8
primary somatosensory cortex

first 10
somatosensory association cortex

second 10
pariteal lobe

13
primary visual cortex

14
occipital lobe

15
visual association cortex

12
temporal lobe

double arrow
auditory association cortex

3
primary auditory cortex