Urinary Analysis

0.0(0)
studied byStudied by 0 people
0.0(0)
full-widthCall with Kai
GameKnowt Play
New
learnLearn
examPractice Test
spaced repetitionSpaced Repetition
heart puzzleMatch
flashcardsFlashcards
Card Sorting

1/37

encourage image

There's no tags or description

Looks like no tags are added yet.

Study Analytics
Name
Mastery
Learn
Test
Matching
Spaced

No study sessions yet.

38 Terms

1
New cards

Hyaline casts

consist of only the uromodulin protein matrix (0-2/low power field) are normal. They may be visible in the urine sediment if the individual has been exercising heavily, has a fever, or is undergoing diuretic therapy.

<p>consist of only the uromodulin protein matrix (0-2/low power field) are normal. They may be visible in the urine sediment if the individual has been exercising heavily, has a fever, or is undergoing diuretic therapy.</p>
2
New cards

Cellular Casts

consist of a uromodulin mucoprotein matrix containing RBCs, WBCs, renal tubular epithelial cells, or a mixture of these cell types. Originate from the distal tubules. The presence of ______casts is always abnormal.

<p>consist of a uromodulin mucoprotein matrix containing RBCs, WBCs, renal tubular epithelial cells, or a mixture of these cell types. Originate from the distal tubules. The presence of ______casts is always abnormal.</p>
3
New cards

(WBC)White Blood Cell Casts

appear as clear cylinders containing leukocytes. They are associated with infection or inflammation of the nephron. can be seen in cases of pyelonephritis and interstitial nephritis.

<p>appear as clear cylinders containing leukocytes. They are associated with infection or inflammation of the nephron. can be seen in cases of pyelonephritis and interstitial nephritis.</p>
4
New cards

(RBC) Red Blood Cell Casts

contain intact and disintegrated or crenated red blood cells. When many cells are enclosed within the matrix of the cast, a red blood cell cast appears yellow or reddish-brown. The presence of ______ casts in the urine indicates bleeding into the nephron.

<p>contain intact and disintegrated or crenated red blood cells. When many cells are enclosed within the matrix of the cast, a red blood cell cast appears yellow or reddish-brown. The presence of ______ casts in the urine indicates bleeding into the nephron.</p>
5
New cards

Renal tubular epithelial (RTE) cell casts

These casts indicate tubular damage. In some ____cell casts, the ____ cells may appear in rows, indicating that the epithelium of an entire tubule has sloughed off. May look similar to WBC casts

<p>These casts indicate tubular damage. In some ____cell casts, the ____ cells may appear in rows, indicating that the epithelium of an entire tubule has sloughed off. May look similar to WBC casts</p>
6
New cards

Granular Casts

composed of cellular remnants and by-products of protein degradation. appear as irregularly shaped cylinders of coarse or fine, highly refractive particles.

<p>composed of cellular remnants and by-products of protein degradation. appear as irregularly shaped cylinders of coarse or fine, highly refractive particles.</p>
7
New cards

Waxy Casts

appear as cylinders of smooth, highly refractile material. They are homogeneous with sharp, defined edges and usually squared-off ends. Cracks may occur within the cast, giving it a segmented appearance. Some believe ___ casts are the final stage of degeneration of the fine granules of granular casts. _____casts are seen in chronic renal failure and acute and chronic renal allograft rejection.

<p>appear as cylinders of smooth, highly refractile material. They are homogeneous with sharp, defined edges and usually squared-off ends. Cracks may occur within the cast, giving it a segmented appearance. Some believe ___ casts are the final stage of degeneration of the fine granules of granular casts. _____casts are seen in chronic renal failure and acute and chronic renal allograft rejection.</p>
8
New cards

Fatty Casts

highly refractile with the appearance of oil droplets on the cast matrix, as shown in the top image on the right. containing cholesterol will produce classic Maltese cross formations under polarized light. Are characteristic of degenerative tubular disease and are frequently associated with heavy proteinuria.

<p>highly refractile with the appearance of oil droplets on the cast matrix, as shown in the top image on the right. containing cholesterol will produce classic Maltese cross formations under polarized light. Are characteristic of degenerative tubular disease and are frequently associated with heavy proteinuria.</p>
9
New cards

Broad Casts

"renal failure" casts are associated with end-stage renal disease. They are formed in the collecting ducts due to urinary stasis and are two to six times the size of other types of casts.

<p>"renal failure" casts are associated with end-stage renal disease. They are formed in the collecting ducts due to urinary stasis and are two to six times the size of other types of casts.</p>
10
New cards

Squamous Epithelial Cells

is the most common type of cell seen in urine sediment. It is a large, flattened cell with abundant cytoplasm and a small, round central nucleus. Although they have little clinical significance. Commonly seen in females due to natural flora

<p>is the most common type of cell seen in urine sediment. It is a large, flattened cell with abundant cytoplasm and a small, round central nucleus. Although they have little clinical significance. Commonly seen in females due to natural flora</p>
11
New cards

Transitional Epithelial Cells

Another type of epithelial cell, also known as a urothelial cell. It is smaller than a squamous epithelial cell and has a centrally located nucleus.

<p>Another type of epithelial cell, also known as a urothelial cell. It is smaller than a squamous epithelial cell and has a centrally located nucleus.</p>
12
New cards

Renal Tubular Epithelial Cells

distinguished by its eccentrically placed nucleus. The cells can be round, oval, columnar, or cuboidal. Papanicolaou stain helps distinguish from other mononuclear cells in urine.

<p>distinguished by its eccentrically placed nucleus. The cells can be round, oval, columnar, or cuboidal. Papanicolaou stain helps distinguish from other mononuclear cells in urine.</p>
13
New cards

White Blood Cells

swell in dilute alkaline urine, and the cytoplasmic granules exhibit Brownian movement, resulting in "glitter cells." These cells lyse rapidly. "Glitter cells" are most easily seen when viewed under phase-contrast microscopy.

<p>swell in dilute alkaline urine, and the cytoplasmic granules exhibit Brownian movement, resulting in "glitter cells." These cells lyse rapidly. "Glitter cells" are most easily seen when viewed under phase-contrast microscopy.</p>
14
New cards

WBC Clumps

typically observed when there is inflammation or bacterial infections of the renal and urinary tract. The clumping is due to increased mucus in the urine.

<p>typically observed when there is inflammation or bacterial infections of the renal and urinary tract. The clumping is due to increased mucus in the urine.</p>
15
New cards

Red Blood Cells

smaller than WBCs but do not have a nucleus. They may be disc- or spherical-shaped or have spiked or crenated appearance. The top image illustrates the disc shape and crenated appearance. associated with damage to the glomerular membrane or vascular injury within the genitourinary tract.

<p>smaller than WBCs but do not have a nucleus. They may be disc- or spherical-shaped or have spiked or crenated appearance. The top image illustrates the disc shape and crenated appearance. associated with damage to the glomerular membrane or vascular injury within the genitourinary tract.</p>
16
New cards

Crenated Red Cells

appears when urine is too concentrated

<p>appears when urine is too concentrated</p>
17
New cards

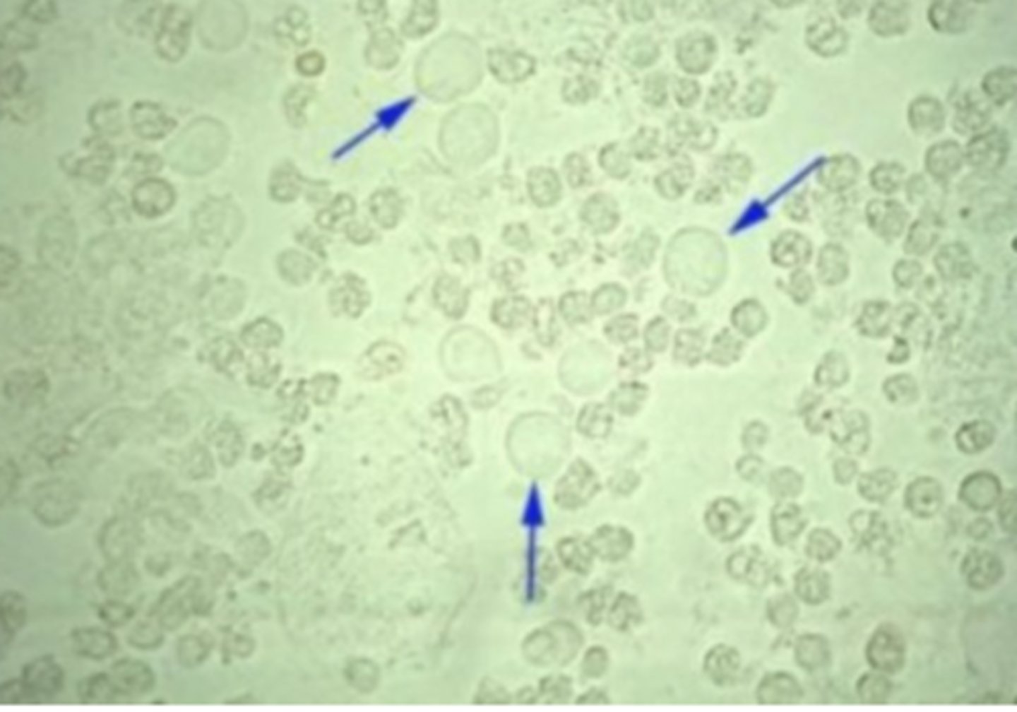
Yeast

appear as single cells or in budding form, as indicated by the arrow in the top image. The most common _____ found in urine is Candida albicans, which typically demonstrates budding forms. The presence of budding forms helps to distinguish _____ from RBCs when urine sediment is viewed microscopically.

<p>appear as single cells or in budding form, as indicated by the arrow in the top image. The most common _____ found in urine is Candida albicans, which typically demonstrates budding forms. The presence of budding forms helps to distinguish _____ from RBCs when urine sediment is viewed microscopically.</p>
18
New cards

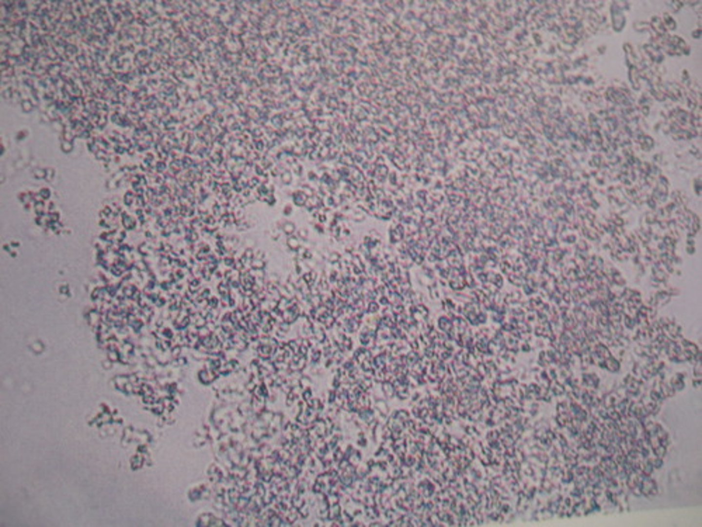
Bacteria

may indicate a urinary tract infection. Still, it may also be contaminated if the specimen has been held at room temperature for a prolonged period and/or not collected using a clean-catch protocol. It is essential to perform a urinalysis on a freshly collected midstream specimen to determine the significance of the _____ that may be seen.

<p>may indicate a urinary tract infection. Still, it may also be contaminated if the specimen has been held at room temperature for a prolonged period and/or not collected using a clean-catch protocol. It is essential to perform a urinalysis on a freshly collected midstream specimen to determine the significance of the _____ that may be seen.</p>
19
New cards

Parasites

Trichomonas vaginalis, Enterobius vermicularis, and Schistosoma haematobium. Parasites and parasitic ova are usually present in urine sediment due to vaginal or fecal contamination.

<p>Trichomonas vaginalis, Enterobius vermicularis, and Schistosoma haematobium. Parasites and parasitic ova are usually present in urine sediment due to vaginal or fecal contamination.</p>
20
New cards

Amorphous urate

Dark or yellow-red granules, Urine pH: Acidic

<p>Dark or yellow-red granules, Urine pH: Acidic</p>
21
New cards

Calcium oxalate dihydrate(Envelope)

can be found in both normal and abnormal urine and in a range of pH levels from acidic to neutral.

<p>can be found in both normal and abnormal urine and in a range of pH levels from acidic to neutral.</p>
22
New cards

Calcium oxalate monohydrate

Oval, dumbbell, can be found in both normal and abnormal urine and in a range of pH levels from acidic to neutral.

<p>Oval, dumbbell, can be found in both normal and abnormal urine and in a range of pH levels from acidic to neutral.</p>
23
New cards

Uric acid

Various shapes - rhombus, hexagonal plates, rosettes, rectangles, irregular shapes Colorless to yellow or brown. Urine pH: Acidic

<p>Various shapes - rhombus, hexagonal plates, rosettes, rectangles, irregular shapes Colorless to yellow or brown. Urine pH: Acidic</p>
24
New cards

Ammonium biurate

Round with thorny projections Dark yellow to brown. Urine pH: Alkaline

<p>Round with thorny projections Dark yellow to brown. Urine pH: Alkaline</p>
25
New cards

Amorphous phosphate

Amorphous granules. Urine pH: Alkaline

<p>Amorphous granules. Urine pH: Alkaline</p>
26
New cards

Calcium phosphate

Flat rectangles, prisms, rosettes. Urine pH: Alkaline

<p>Flat rectangles, prisms, rosettes. Urine pH: Alkaline</p>
27
New cards

Triple phosphate

Four to six-sided prisms resembling coffin lids. Urine pH: Alkaline

<p>Four to six-sided prisms resembling coffin lids. Urine pH: Alkaline</p>
28
New cards

Leucine Crystals

indicate a problem with the metabolism of the amino acid leucine. They are round to oval with radiating bands going from a center point out to the periphery, often called a "wagon wheel."

<p>indicate a problem with the metabolism of the amino acid leucine. They are round to oval with radiating bands going from a center point out to the periphery, often called a "wagon wheel."</p>
29
New cards

Tyrosine Crystals

appear as fine silky needles arranged in sheaves or bundles in acidic urine. They are rarely present and may appear together with leucine crystals in liver disease.

<p>appear as fine silky needles arranged in sheaves or bundles in acidic urine. They are rarely present and may appear together with leucine crystals in liver disease.</p>
30
New cards

Cystine Crystals

an abnormality in the metabolism of the amino acid cysteine. These crystals appear as colorless, refractile, hexagonal plates with even sides.

<p>an abnormality in the metabolism of the amino acid cysteine. These crystals appear as colorless, refractile, hexagonal plates with even sides.</p>
31
New cards

Cholesterol Crystals

These crystals look like plates of glass, sometimes with a notch out of one corner. Under polarized light, they exhibit a stained glass effect. These crystals are rarely seen unless the specimen has been refrigerated because the lipids remain in droplet form. Large amounts of protein, lipid droplets, fatty casts, or oval fat bodies should be found along with ______ crystals. found in acid or neutral urine.

<p>These crystals look like plates of glass, sometimes with a notch out of one corner. Under polarized light, they exhibit a stained glass effect. These crystals are rarely seen unless the specimen has been refrigerated because the lipids remain in droplet form. Large amounts of protein, lipid droplets, fatty casts, or oval fat bodies should be found along with ______ crystals. found in acid or neutral urine.</p>
32
New cards

Bilirubin Crystals

seen in the urine when the serum bilirubin level increases. The macroscopic appearance of urine with bilirubin crystals is orange to almost black. The crystals themselves appear as gold-orange needle-like forms that are sometimes clumped together.

<p>seen in the urine when the serum bilirubin level increases. The macroscopic appearance of urine with bilirubin crystals is orange to almost black. The crystals themselves appear as gold-orange needle-like forms that are sometimes clumped together.</p>
33
New cards

Oil or Fat Droplets

artifacts

<p>artifacts</p>
34
New cards

Air Bubbles

artifacts

<p>artifacts</p>
35
New cards

Starch Granules

artifacts

<p>artifacts</p>
36
New cards

Fibers

artifact

<p>artifact</p>
37
New cards

Sperm

have a characteristic oval body with a long, thin tail and are 50 microns long

<p>have a characteristic oval body with a long, thin tail and are 50 microns long</p>
38
New cards

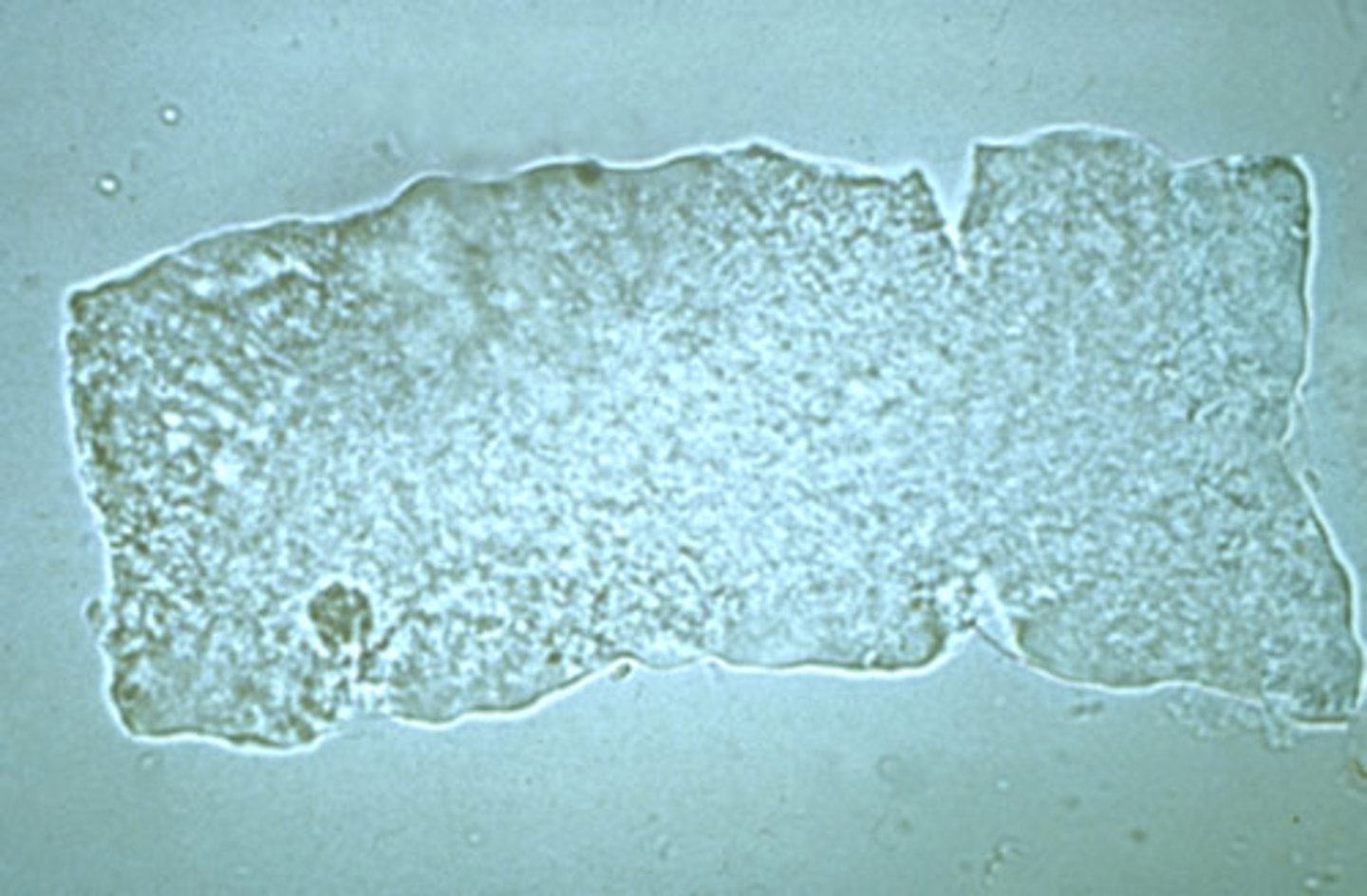
Mucus Threads

semi-transparent under brightfield microscopy and could be mistaken for hyaline casts. They are ribbon-like strands with poorly defined edges, pointed or split ends, and longitudinal striations.

<p>semi-transparent under brightfield microscopy and could be mistaken for hyaline casts. They are ribbon-like strands with poorly defined edges, pointed or split ends, and longitudinal striations.</p>

Explore top flashcards

Mktg 122 exam 3
Updated 529d ago
flashcards Flashcards (135)
Med Term
Updated 129d ago
flashcards Flashcards (132)
Chinese Notebook
Updated 1012d ago
flashcards Flashcards (475)
ap world unit 4
Updated 1051d ago
flashcards Flashcards (86)
Lecture 3
Updated 385d ago
flashcards Flashcards (49)
Geography Ch 5 and 6
Updated 741d ago
flashcards Flashcards (65)
Mktg 122 exam 3
Updated 529d ago
flashcards Flashcards (135)
Med Term
Updated 129d ago
flashcards Flashcards (132)
Chinese Notebook
Updated 1012d ago
flashcards Flashcards (475)
ap world unit 4
Updated 1051d ago
flashcards Flashcards (86)
Lecture 3
Updated 385d ago
flashcards Flashcards (49)
Geography Ch 5 and 6
Updated 741d ago
flashcards Flashcards (65)