1/35
Looks like no tags are added yet.
Name | Mastery | Learn | Test | Matching | Spaced | Call with Kai |
|---|
No analytics yet
Send a link to your students to track their progress
Most common cause of infections in children?
viruses

What is a virus?
Tiny, genetic material encased in a protein coat, only replicate inside a host, not considered cells, DNA or RNA (not both)

Viral Exanthems
Skin rashes caused by viral infections

Viral Exanthems include which conditions? (7)
- Roseola infantum
- Rubella
- Measles
- Chicken pox (Varicella)
- Herpes Zoster
- Smallpox (Variola)
- 5th Disease (Erythema infectiosum)
Roseola infantum
High fever first, then pink spotted rash on chest, febrile seizures
Caused by HHV 6
- no vaccine
- no long term effects
- not contagious

Roseola infantum treatment
Antipyretics (Tylenol or Motrin) if >6mo

Rubella
Pink rash starts on face and spreads to chest and limbs, joint pain
Droplet Precautions for a week

What age is the 1st and 2nd dose of MMR given?
age 1 and 4

Why cant MMR be given to pregnant women?
its a live vaccine

Measles
Koplik spots in mouth
Rash turns brown, does NOT fade with pressure (scarlet fever does)
Airborne precautions

Hallmark sign of Measles?
Koplik spots - small white spots in cheek

Most common complication from Measles?
pneumonia

Measles treatment
topical cream, antipyretics, buckwheat honey for cough, wear sunglasses (minimize photophobia)

Chicken Pox (Varicella)
HIGHLY contagious latent virus, causes shingles
- prevented with vaccine
- very itchy
Rash starts on chest and spreads UP
Lesions in different stages (macules, papules, vesicles, crust)
Airborne and Contact precautions

When is chicken pox contagious?
1-2 days before rash and until lesions crust over

Hallmark sign of Chicken Pox?
Clear vesicles on a red base

Chicken Pox treatment
oatmeal creams, Benadryl (for itching), Acyclovir (antiviral)

When can a child with chicken pox return to school?
when lesions are crusted over

Chicken pox isolation equipment
N95 mask, gloves, gown, negative pressure room

Herpes Zoster (Shingles)
Varicella reactivates and causes painful lesions localized on back
Tx
- Acyclovir within 72 hours
- VZIG vaccine
- analgesia

Fifth disease (erythema infectiosum)
Stage 1: Mild flulike symptoms
Stage 2: Slapped-cheek facial rash
Stage 3: Body rash
Only contagious BEFORE rash appears, cannot spread when rash present
Parvovirus b19
Droplet Precautions

Fifth disease can cause what complications?
Anemia or hydrops fetalis if pregnant

High risk group for fifth disease?
Sickle cell

Fifth disease treatment
supportive care, no complications if healthy
When can a child with fifth disease return to school?
when rash appears

Small pox (variola)
Eradicated disease compared to chicken pox
- contagious until lesions are dried
- Same stage lesions
- starts in face and spreads down
- sicker pt
Airborne Precautions

None rash infections
mumps, mono, covid
Mumps (chipmunk cheeks)
Swollen parotid glands above jawline
- painful chewing
- prevented with MMR
Droplet precautions

Mumps complication?
Orchitis (swollen testes)

Mumps treatment
soft bland food and analgesics

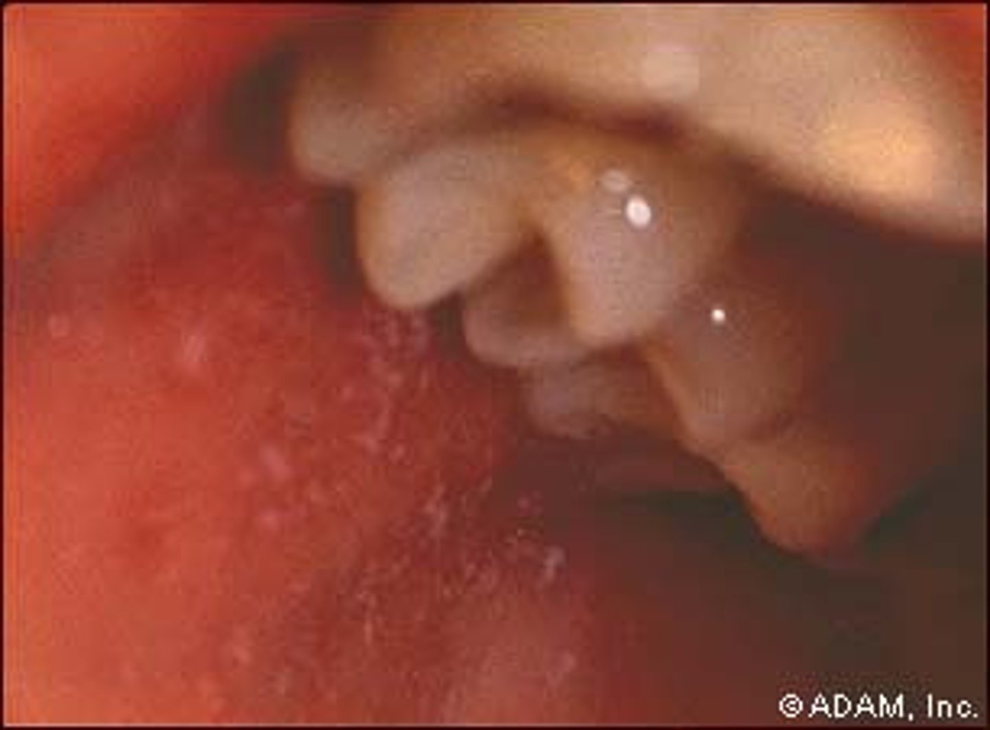
Infectious Mononucleosis (kiss disease)
Common in teens and spread through saliva
- diagnosed by EBV in blood
Mono symptoms?
fever, sore throat, swollen lymph nodes (cervical), white tonsils

Mono causes what organ to enlarge?
Spleen

Highest risk of mono?
Spleen rupture

Mono treatment
NO contact sports, rest, cool fluids

Covid-19
respiratory disease caused by sars cov 2, spread through air or droplets
vaccine given if 6 months or older
