Urinary Tract Metabolic Disease - Module 4

0.0(0)
studied byStudied by 0 people
0.0(0)
full-widthCall Kai
learnLearn
examPractice Test
spaced repetitionSpaced Repetition
heart puzzleMatch
flashcardsFlashcards
GameKnowt Play
Card Sorting

1/258

encourage image

There's no tags or description

Looks like no tags are added yet.

Study Analytics
Name
Mastery
Learn
Test
Matching
Spaced

No study sessions yet.

259 Terms

1
New cards

Stones in the urinary system (general term referring to a stone anywhere in the renal system)

Define urolithiasis

2
New cards

Stones in the renal collecting system

Define nephrolithiasis

3
New cards

Calyces, pelvis, ureter, or bladder

Where would a stone be located in the case of nephrolithiasis

4
New cards

Calcifications in the renal parenchyma

Define nephrocalcinosis

5
New cards

Cortex or medulla of the kidney

Where would the stone be located in the case of nephrocalcinosis

6
New cards

Very common

Is nephrolithiasis common or rare

7
New cards

Age

An increased incidence of nephrolithiasis has been seen with:

8
New cards

Caucasian males

What type of patients more commonly are affected by nephrolithiasis

9
New cards

Don't really know why they form but there are certain things that can increase your risk

Do we know the etiology of nephrolithiasis

10
New cards

Hereditary, limited water intake (chronic dehydration), diets high in animal protein, urinary stasis

What are some risk factors for nephrolithiasis

11
New cards

12%

What % of the population will have urinary stones at some point in their lifetime

12
New cards

True

T/F: stones can move through the collecting system

13
New cards

UPJ, at iliac vessels, UVJ

What are the 3 location of natural narrowing in the

14
New cards

Uretopelvic junction, located where the ureter attaches to the kidney pelvis

What does UPJ stand for and where is it located

15
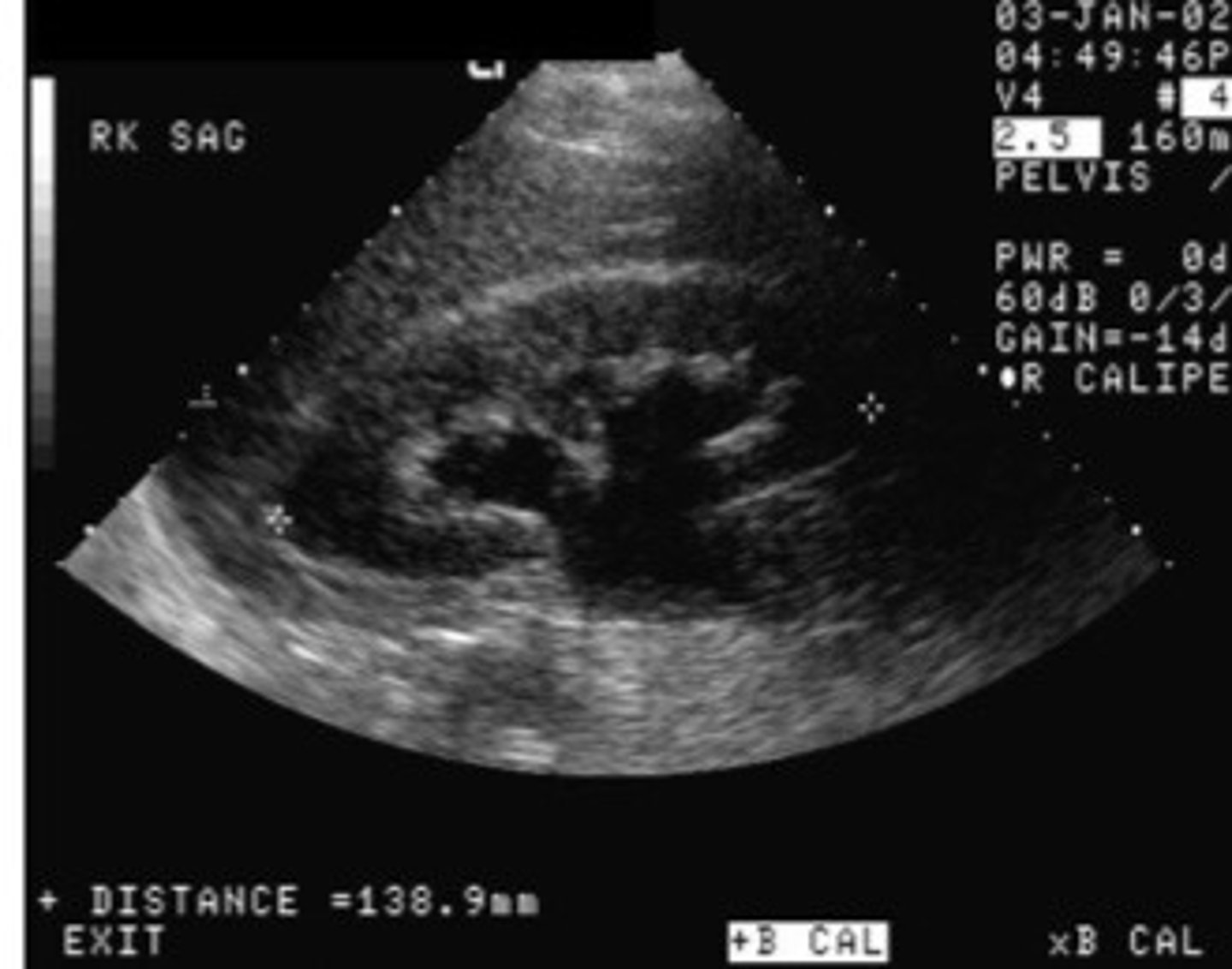
New cards

When the ureters cross over the iliac vessels they are narrowed a little bit

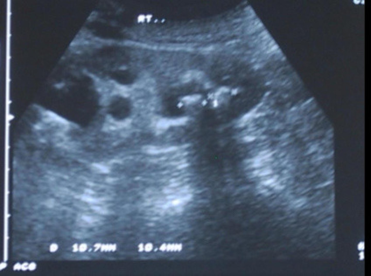
Why does the ureter narrow at the iliac vessels

16
New cards

Ureterovesicular junctions, is where the ureter connects to the bladder

What does the UVJ stand for and where is it located

17
New cards

UVJ

Where is the most narrowest portion of the ureter

18
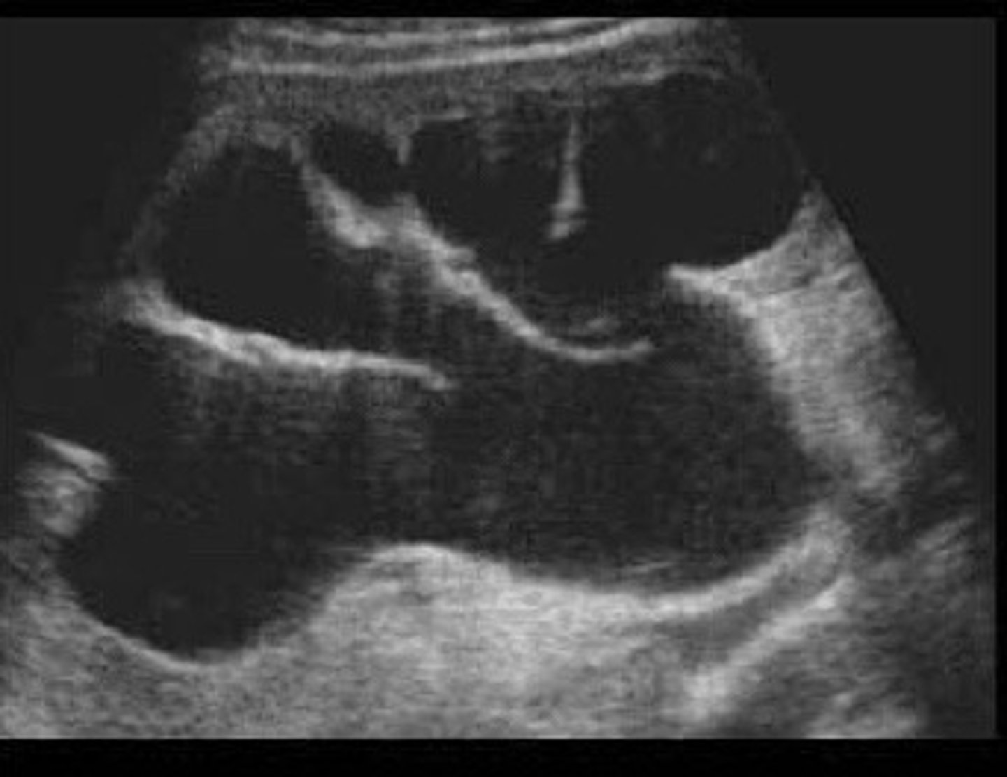
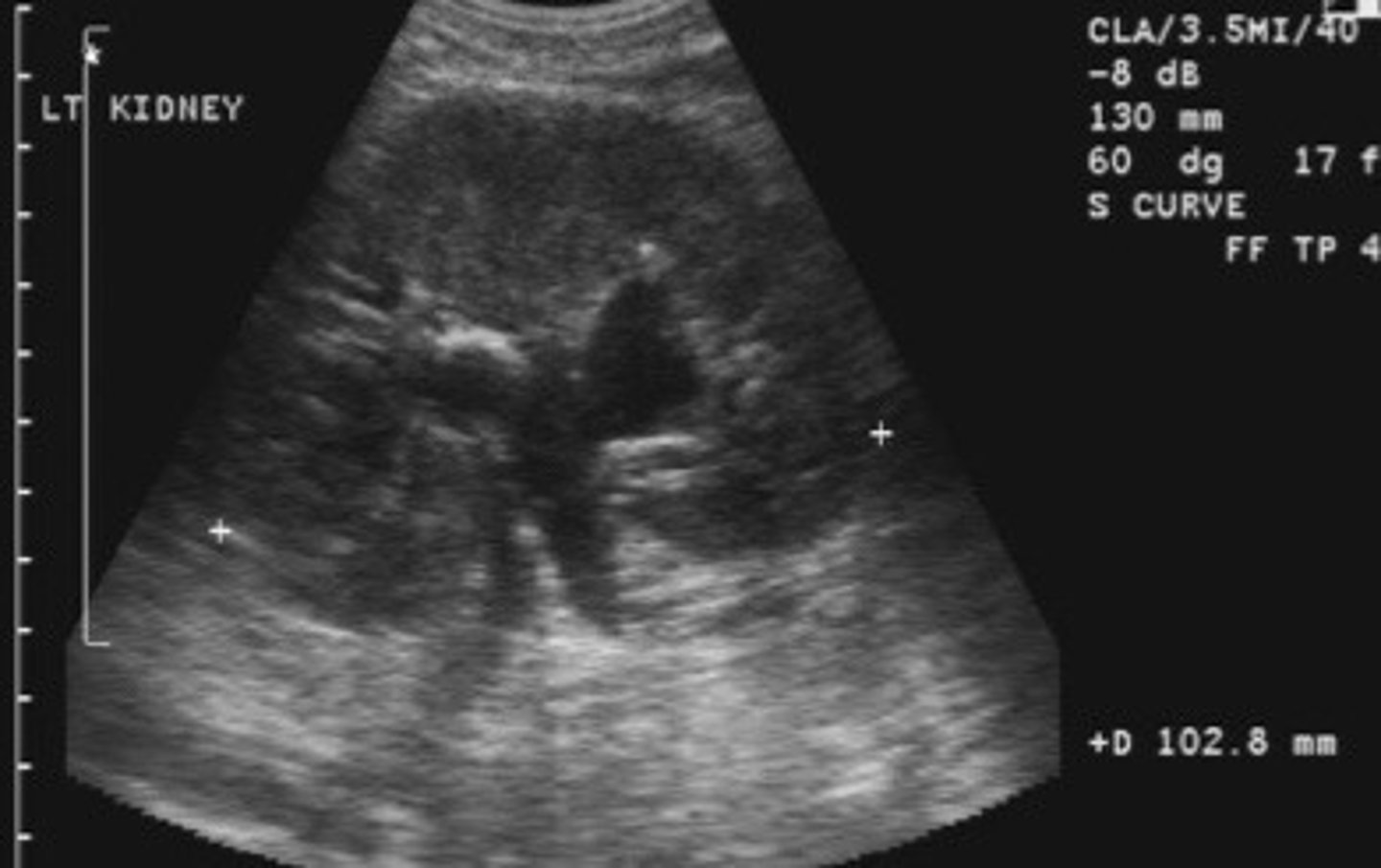
New cards

80%

What % of stones get stuck at the UVJ

19
New cards

<5mm

What size of stones typically are able to be passed unassisted

20
New cards

80%

What % of stones <8mm can be pass without assistance

21
New cards

>5mm

What size of stones more commonly require intervention to be passed/get ride of

22
New cards

UPJ

What is 1

<p>What is 1</p>
23
New cards

Ureters crossing over the iliac vessels

What is 2

<p>What is 2</p>
24
New cards

UVJ

What is 3

<p>What is 3</p>
25
New cards

Often asymptomatic

What is the usually presentation of nephrolithiasis

26
New cards

Hematuria and flank pain

What are some other symptoms of nephronlithiasis

27
New cards

If the stone is just sitting in the calyces and not moving will probably not cause much problems but once it starts going down the ureter and get stuck is when it usually causes pain

Describe the the location of a kidney stone may affect the symptoms

28
New cards

Microscopic or gross/frank

What are the 2 types of hematuria that may be seen with nephrolithiasis

29
New cards

Visualized in urine (the urine is visually red/brown)

What does gross or frank hematuria mean

30
New cards

Only can see the blood under the microscope (wont be able visually see a colour change)

What is microscopic hematuria

31
New cards

Echogenic focus or foci with posterior shadowing

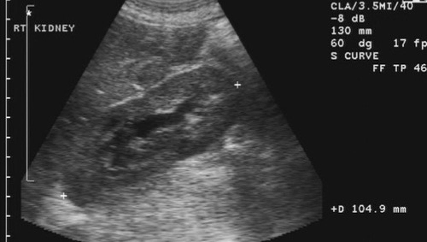
Describe the sonographic appearance of nephrolithiasis

32
New cards

Nephrolithiasis

What does this image show

<p>What does this image show</p>
33
New cards

Nephrolithiasis

What does this image show

<p>What does this image show</p>
34
New cards

Number, size, location, and complications

What are the 4 main pieces of info that you should try to answer when you find nephrolithiasis

35
New cards

To determine if the stone can pass or if the patient will need intervention

Why is it important to determine the size of the stone

36
New cards

Assess where the urine is backed up, it will back up proximally to the level of the stone

How can you determine the location of the stone if the stone is not well visualized

37
New cards

Hydronephrosis or small/absent urine jet in the bladder

What are some supporting findings/complications of nephrolithiasis

38
New cards

Twinkle artifact

What is an artifact that a stone may produce

39
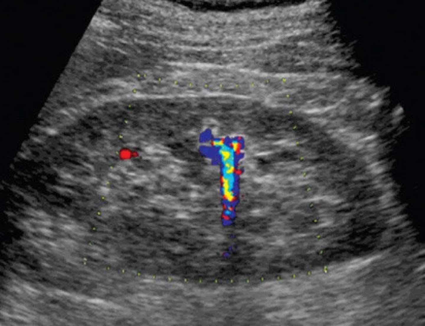
New cards

When a stone is located in the sinus region, it is hard to determine if it is a stone bc it will blend into the hyperechoic sinus. You can use colour or power Doppler to look for a twinkly artifact a stone will give off

Explain how you can use the twinkling artifact to your advantage when suspicious of a stone in the sinus region

40
New cards

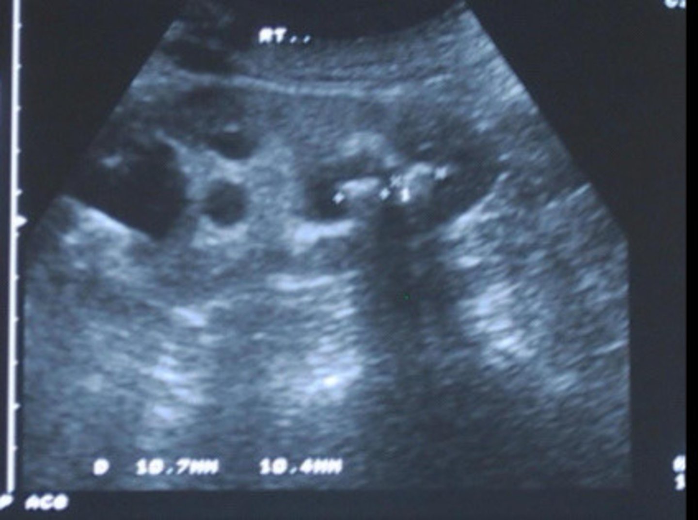
Stone difficult to identify in the sinus region

What does this image show

<p>What does this image show</p>
41
New cards

Stone now identified with the twinkle artifact

What does this image show

<p>What does this image show</p>
42
New cards

Colour reverberation

What is the twinkling artifact

43
New cards

Colour or power Doppler

What mode do you have to use in order to be able to see the twinkling artifact

44
New cards

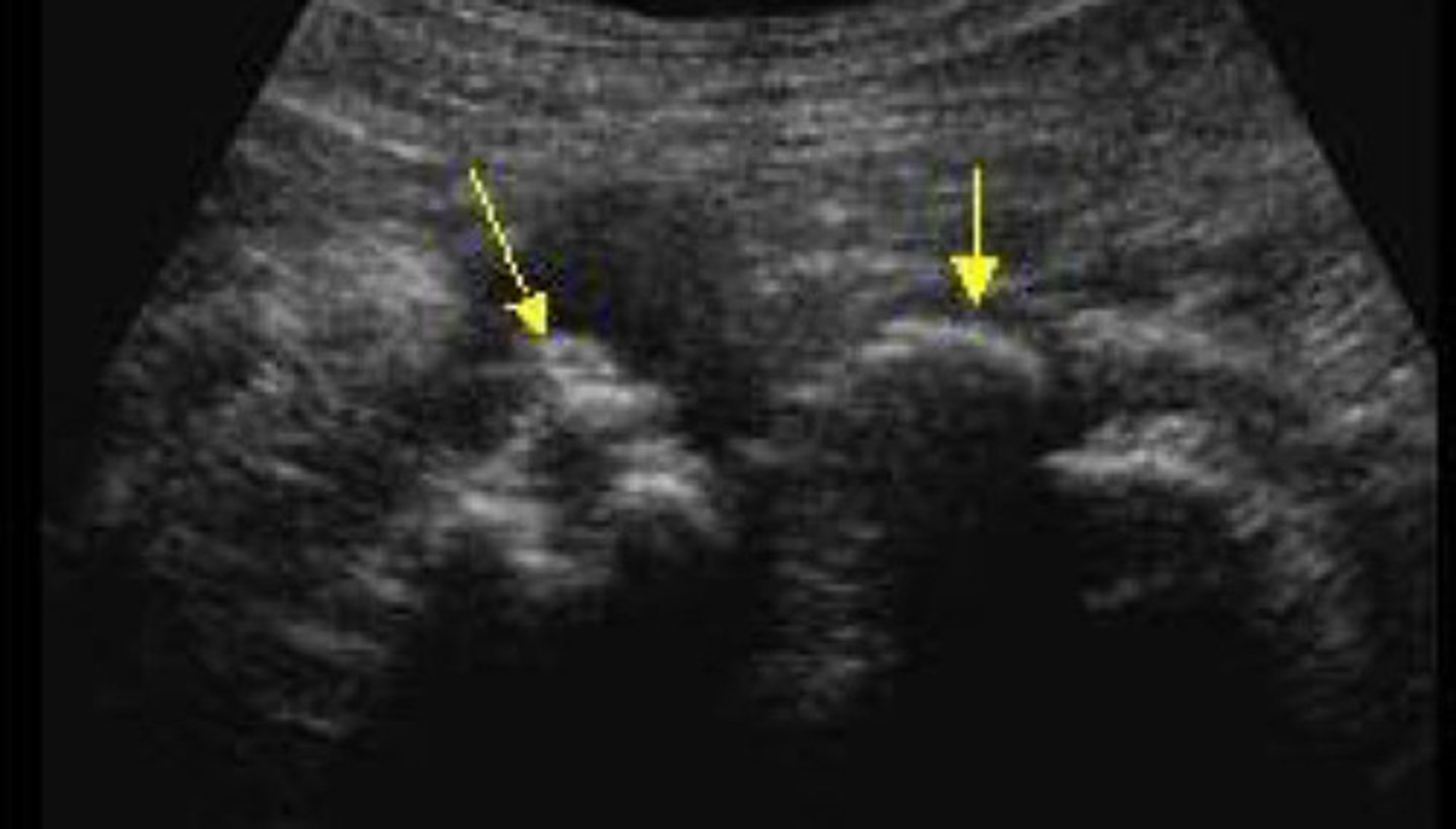
Staghorn calculi

What does this image show

<p>What does this image show</p>
45
New cards

Calcifications filling all or most of the renal collection system/calyces

What is staghorn calculi

46
New cards

Staghorn calculi

What does this image show

<p>What does this image show</p>
47
New cards

X-ray of staghorn calculi

What does this image show

<p>What does this image show</p>
48
New cards

Twinkle artifact from staghorn calculi

What does this image show

<p>What does this image show</p>
49
New cards

Staghorn calculi

What does this image show

<p>What does this image show</p>
50
New cards

Intrarenal gas, renal artery calcifications, calcified sloughed papilla, calcified tumours, ureteric stent

What are some false positives for nephrolithiasis (things we may mistake for a stone in the collecting system)

51
New cards

Bacteria in the collecting system may be gas production and appear as an echogenic focus with dirty shadowing

Explain how intrarenal gas can be mistaken for stones in the renal collecting system and what causes it to

52
New cards

Small vessels of our renal arteries can calcify as we age, and may look echogenic and mimic a stone (i dont think it would really have shadowing tho)

Describe when renal artery calcifications occur and how the can be mistaken for nephrolithiasis

53
New cards

Apex of the pyramids

Papilla=

54
New cards

In some disease processes, the pyramids becomes calcified and sloughed off. Since they are calcified they will look like echogenic foci

What is calcified slough papilla and how can they mimic nephrolithiasis

55
New cards

When someone has a stone in their ureter, the ureter can become very inflammed. This can cause the wall of the ureter to stick together and even scar togethe. They will often put a stent in to keep the ureter wall away from each other while they are healing

Describe when a ureteric stent would be used

56
New cards

The stent may be bright and shadow so can mimic a stone

Why may a ureteric stent be confused for nephrolithiasis

57
New cards

Try to follow the dilated tube (ureter) until you find an echogenic focus or the end of the dilation

What is a tip to help you determine the location of a stone in the ureter

58
New cards

Very hard to follow the ureters at all their length bc of bowel gas

Why is it sometimes hard to identify the location of a stone in the ureter

59
New cards

Posterior aspect at the trigone of bladder

Where do the ureters connect into the bladder

60
New cards

Want to determine if the stone is completely or just partially obstructing an ureter

Why do you ALWAYS want to asses a urine jet when you find a stone in the ureter

61
New cards

Urethral jet

What does this image show

<p>What does this image show</p>
62
New cards

One

How many bladder calculi does a patient usually have

63
New cards

Asymptomatic

What is the usually symptoms of bladder calculi

64
New cards

Hematuria and pain

What are some over possible s/s of bladder calculi

65
New cards

Stone formed in the kidney and went down the ureter into the bladder OR a stone that formed in the bladder itself (due to urinary stasis)

What are the 2 possible causes of bladder calculi

66
New cards

Mobility

What feature of a bladder calculi do you need to confirm

67
New cards

Bc if it doesn't move it may be more concerning for a calcified mass

Why should you try as hard as you can to get the bladder calculi to move

68
New cards

Depending portion of the bladder (gravity dependent)

Where would a bladder calculi be located

69
New cards

Dilation of the renal collection system

What is hydronephrosis

70
New cards

True

T/F: hydronephrosis may be asymptomatic and an incidental finding

71
New cards

Obstructive and non obstructive

What are the two types/causes of hydronephrosis

72
New cards

Renal atrophy

What can hydronephrosis lead to eventually if it is left untreated for a long amount of time

73
New cards

Intrinsic or extrinsic obstruction of urine flow

Define obstructive hydro

74
New cards

Something obstructing urine physically in the collecting system

What would intrinsic obstructive hydro be

75
New cards

Something of the outside of the collecting system putting pressure on the system

What would extrinsic obstructive hydro be

76
New cards

Masses, enlarged lymph nodes, etc

What are some examples of extrinsic obstructive causes of hydro

77
New cards

Ureteral jets (is it fully or partially obstructive?)

What else should you assess if you identify obstructive hydro

78
New cards

The treatment/how fast we need to treat the patient (if fully obstructive may be more emergent)

Why do you need to determine if an obstruction in the collecting system is fully obstructive

79
New cards

Reflux, infection, polyuria

What are some examples of non obstructive causes of hydro

80
New cards

Pt is producing excessive amounts of urine

What is polyuria

81
New cards

DM can cause this, the patient will produce so much urine so quikcly that they can't empty it out fast enough and it will back up into the kidneys (therefore causing hydronephrosis)

Explain an example of polyuria leading to hydronephrosis

82
New cards

Grade 1/mild, grade 2/moderate, grade 3/severe

What are the 3 classifications of hydro

83
New cards

Sonographic appearance

How is the severe of hydronephrosis classified

84
New cards

Slight separation (splaying) of sinus echoes (just in the mid sinus region)

Describe the appearance of grade 1 hydro

85
New cards

2mm

The sinus echoes must be separated at least ______ to be considered grade 1 hydro

86
New cards

Pt is probably just hydrated, doesn't really mean anything

What does it mean if the sinus echoes are separated by less than 2 mm

87
New cards

Grade 1 hydro

What does this image show

<p>What does this image show</p>
88
New cards

Grade 1 hydro

What does this image show

<p>What does this image show</p>
89
New cards

Separation of entire central sinus and club calyces

Describe the appearance of grade 2 hydro

90
New cards

Pelvis, minor and major calyceal system

What is dilated in the case of grade 2 hydro

91
New cards

Rounded like the slubs in a deck of cards (can see an outline of the calyceal system)

Describe the appearance of clubbed calyces

92
New cards

Grade 2 hydro

What does this image show

<p>What does this image show</p>
93
New cards

Grade 2 hydro

What does this image show

<p>What does this image show</p>
94
New cards

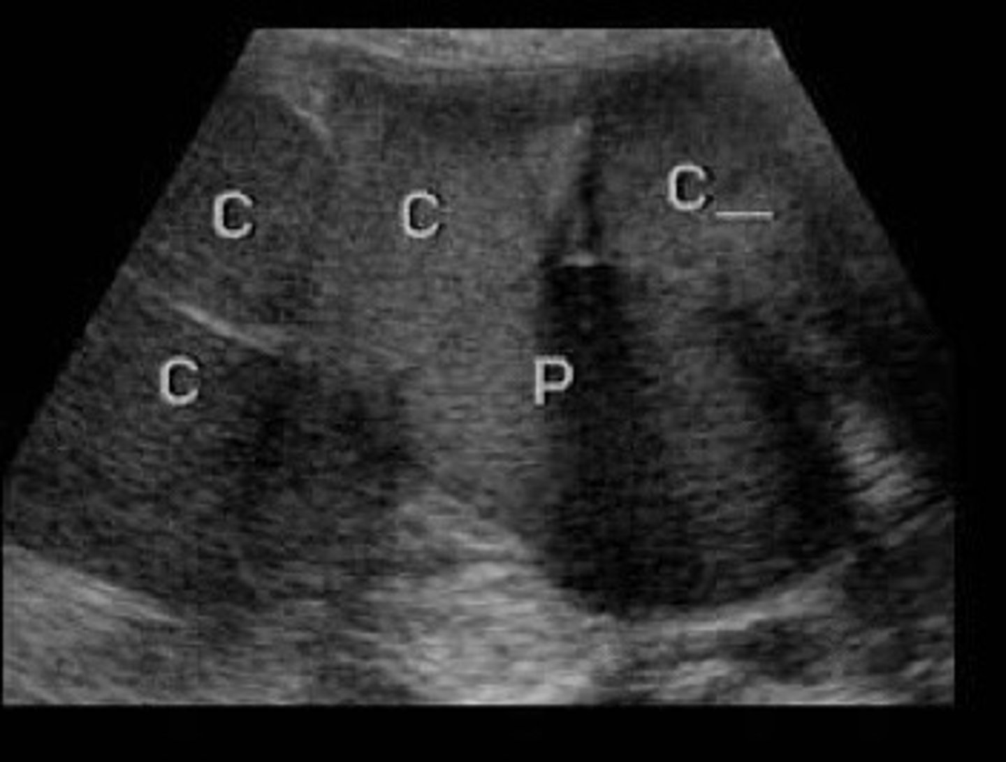
Cortical thinning, extensive enlargement of renal sinus and calyces, loss of individual calyx definition

Describe the appearance of grade 3 hydro

95
New cards

How collecting system is blown out and very dilated that it starts pushing on the cortex bc not enough room in the kidney

Why do we see cortical thinning with grade 3 hydro

96
New cards

Loss of the clubbed shape of the calyces, they start to loose their normal shape because so dilated

Describe the appearance of the calyces in grade 3 hydro

97
New cards

Grade 3 hydro

What does this image show

<p>What does this image show</p>
98
New cards

Grade 3 hydro

What does this image show

<p>What does this image show</p>
99
New cards

Look for dilated ureter, then locate lvl of obstruction/cause of hydro, then go to the bladder and look for jets

Describe the next three steps you should take when you find hydronephrosis

100
New cards

Over distended bladder, extra-renal pelvis, multiple parapelvic cysts, AV malformation

What are some false positives for hydronephrosis