1/34
Looks like no tags are added yet.
Name | Mastery | Learn | Test | Matching | Spaced |
|---|
No study sessions yet.
Dr. Edward Kennedy, 1925
Kennedy Method of Classification is proposed by ___________ in _____
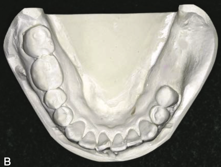
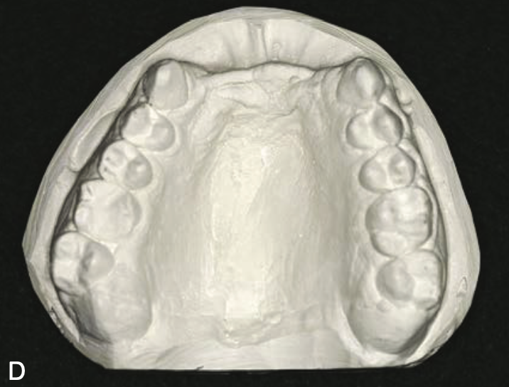
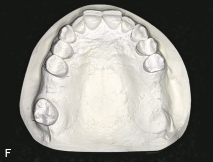
Class I
Bilateral edentulous areas located posterior to the natural teeth
Class II
A unilateral edentulous area located posterior to the remaining natural teeth
Class III
A unilateral edentulous area with natural teeth remaining both anterior and posterior to it
Class IV
Single, but bilateral (crossing the midline), edentulous area located anterior to the remaining natural teeth
Class I

Class II

Class I Mod 2

Class II Mod 1

Class III

Class III

Class III Mod 1

Class IV

Class III Mod 1

Class I Mod 1

Class II Mod 2

Class II

Class II mod 2

Class I

Class II

Class III

Class IV

Class II mod 1

Class II mod 1

Class II mod 2

Class III mod 2

Class IV

Class II mod 2

Class I mod 1

Class III mod 3

Class III mod 1

Class III

Class IV

Class II

Class III mod 5
