1/9
Looks like no tags are added yet.
Name | Mastery | Learn | Test | Matching | Spaced | Call with Kai |
|---|
No analytics yet
Send a link to your students to track their progress

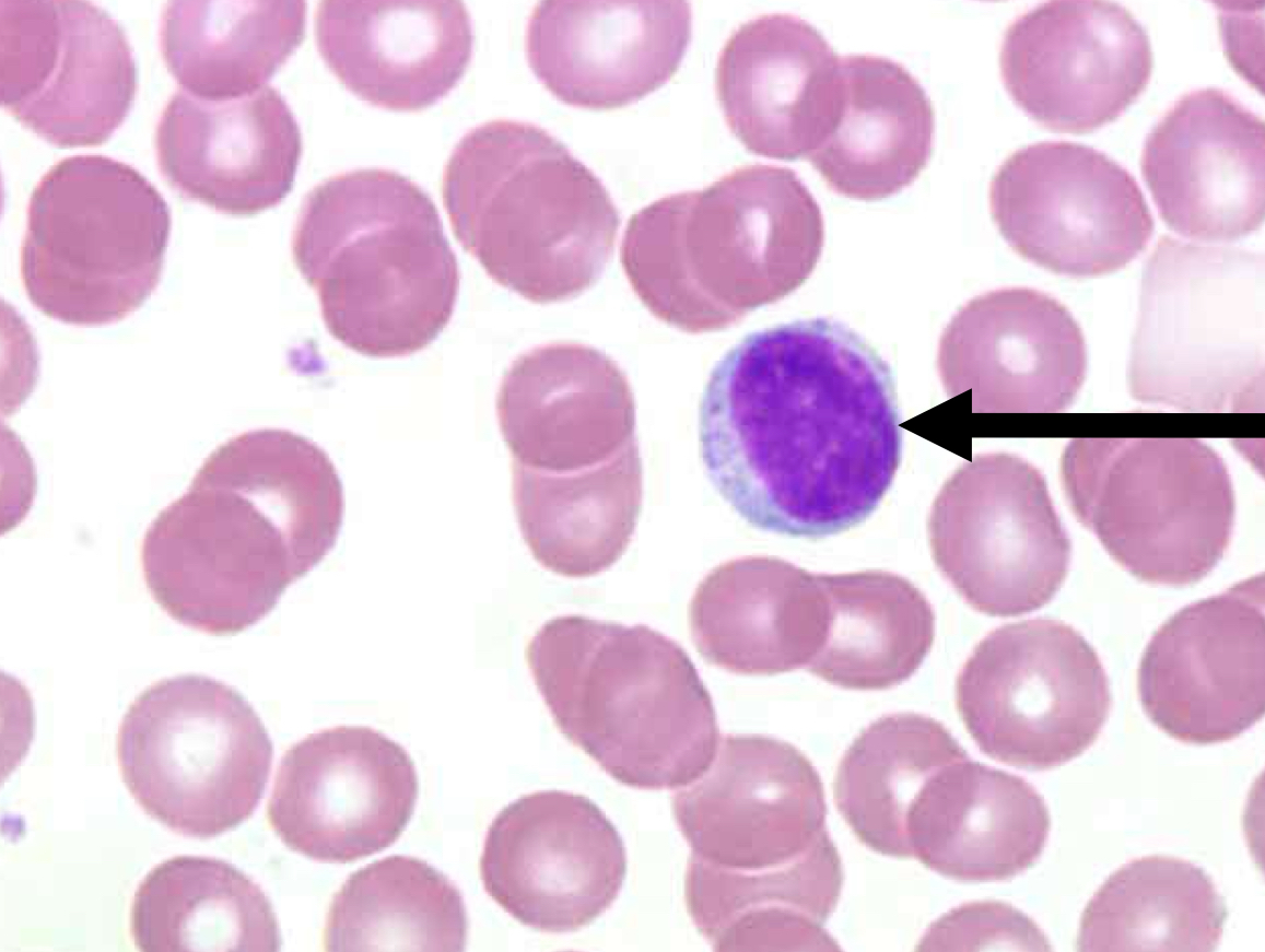
What kind of blood cell is this?
Lymphocyte

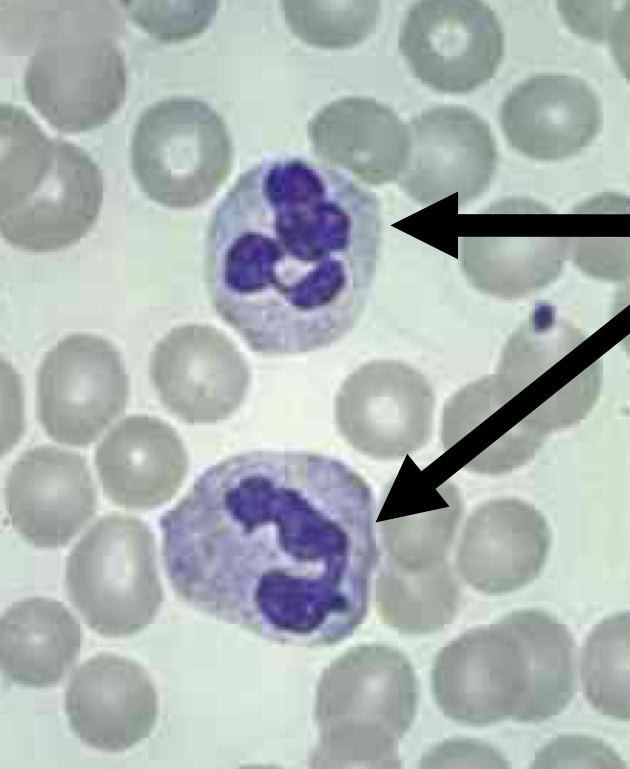
What kind of blood cell is this?
Neutrophil

What kind of blood cell is this?
Eosinophil

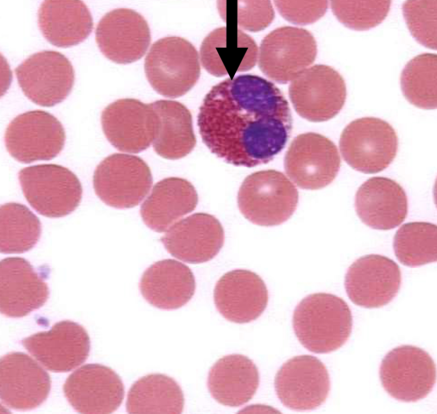
What kind of blood cell is this?
Basophil

What kind of blood cell is this?
Monocyte
What is the function of a neutrophil?
Phagocyte (eat pathogens)
What is the function of a lymphocyte?
Specific attack on pathogens, T cells and B cells
What is the function of a monocyte?
Phagocyte (eat pathogens)
What is the function of an eosinophil?
Secrete digestive enzyme onto parasites
What is the function of a basophil?
Secrete histamine for inflammatory response