1/257
Looks like no tags are added yet.
Name | Mastery | Learn | Test | Matching | Spaced | Call with Kai |
|---|
No analytics yet
Send a link to your students to track their progress
What are secretions from organs that travel through the body and affect other organs?
Hormones
The endocrine system consists of what?
Organs that secrete hormones
What are the four major glands of the endocrine system?
Pituitary gland, adrenal gland, thyroid gland, and parathyroid gland
4 characteristics of the endocrine system
Ductless, Hormones, glands, and internal release
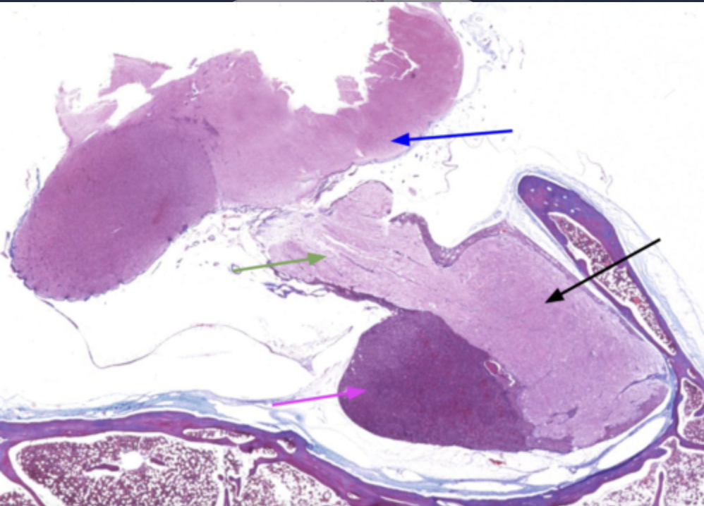
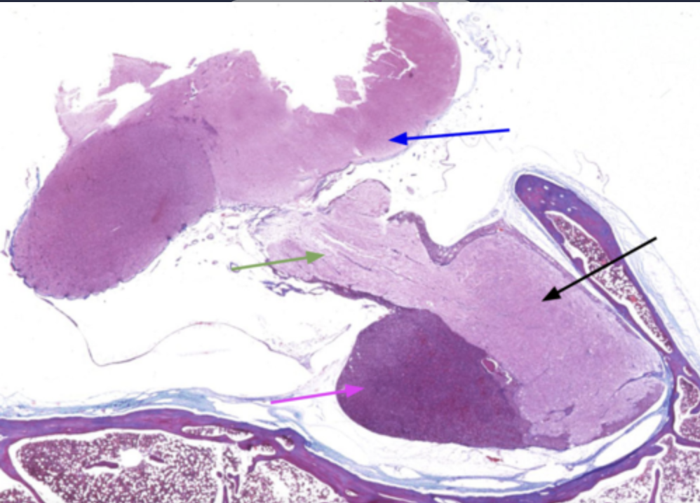
Pea-sized gland that sits on the sella turcica of the sphenoid bone
Pituitary gland
The anterior Lobe of the pituitary gland is known as
Adenohypohysis
The posterior lobe of the pituitary gland is known as
neurohypophysis
What is attached to the hypothalamaus by way of blood vessel system but is not nervous tissue?
adenohypophysis

What is the magenta arrow pointing to?
adenohypophysis

What is the black arrow pointing to?
Neurohypophysis
The adenohypophysis is what in color when compared to the neurohypophysis
Darker in color
The neurohypophysis is attached to what?
Hypothalamus and it’s nervous tissue
Characteristics of adenohypophysis
Different embryonic origins, releasing hormones, and hypophyseal portal system
What is the hypophyseal portal system and how does it work?
A specialized network of blood vessels attached to the hypothalamus which allows for rapid & direct transit of hypothalamic hormones
Characteristics of neurohypophysis
Has the same embryonic origin as hypothalamus, neural connection, and soma’s in the hypothalamus
Cell types found in the adenohypophysis
Acidophil & basophil
Characteristics of acidophils
Rounded cells and smaller than basophils; pink in color
Function of acidophils
Secretes growth hormone & prolactin
Characteristics of basophil
Purple in color and larger than acidophils
Function of basophils
Secretes FSH, TSH, LH, & ACTH
Function of adenohypophysis
Secretion of growth hormones, thyroid stimulation hormone (TSH), luteinizing hormone (LH), follicle-stimulating hormone (FSH), adrenocorticotropic hormone (ACTH), and prolactin
Acidophils secrete
hormones for growth
Basophils secrete
Trophs (nourishing hormones)
Functions of neurohypophysis
Storage and secretion of hormones produced in the hypothalamus.
Function of growth hormone
Stimulates bone and muscle growth
Function of TSH
Causes the thyroid glands to secrete thyroid hormones
Function of FSH
Stimulates endocrine activity; gamete formation
Function of Lutenizing Hormone
Stimulate ovulation/release testosterone
Prolactin
Milk production in females
What are the two parts of blood?
Plasma & Formed elements
What hormones are in the neurohypophysis
Antidiuretic and oxytocin
Antidiuretic hormone
Decreases urine output and increase blood pressure
Oxytocin
Stimulates urine contractions during childbirth
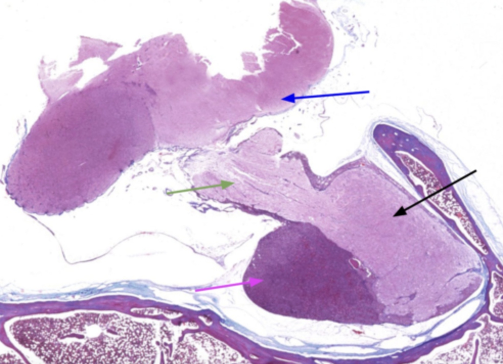
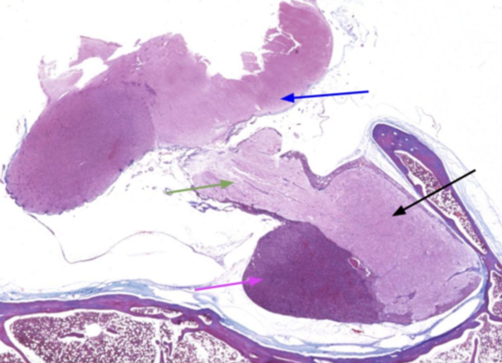
Pituitary gland is attached to the hypothalamus by the
Infundibulum

What is the green arrow?
Infundibulum

What is the blue arrow?
Hypothalamus

The red arrow points to
Pituitary gland

Blue arrow points to
infundibulum

Green arrow points to
Hypothalamus
Why is the adenohypophysis darker than the neurohypophysis?
Because it has a variety of cell classes responsible for producing many hormones. It also contains a lot more blood vessels than the neurohypophysis
Why is the neurohypophysis lighter?
Because it’s primarliy made up of unmyelinated axons from different neuron bodies

The black arrow points to what?
Hypothalamus

What does the red line indicate?
Infundibulum

What structure is indicative of the blue line?
Adenohypophysis (anterior pituitary)

The green arrow is pointing to?
Neurohypophysis (posterior pituitary)
What are the three cell types in the pituitary gland?
Acidophil, basophil, and chromophobe
What color is a chromophobe?
White
Function of chromophobes
Precursor cells that later differentiate between acidophils or basophils.
Paired glands on top of the kidneys
Adrenal glands
What is the connective tissue that wraps each adrenal gland?
Capsule
What holds the adrenal glands in place on the kidney’s?
Adipose tissue
What are the two regions of the adrenal glands?
Adrenal cortex and adrenal medulla
Adrenal cortex is
External
Adrenal medulla is
Internal

What is the red arrow pointing to?
Capsule

What is the blue arrow pointing to?
Adrenal cortex

What is the purple arrow pointing to?
Adrenal medulla
Adrenal cortex function
Secretes a variety of hormones, like aldosterone, cortisol, and androgens
Function of adrenal medulla
releases catecholamines
Catecholamines
Hormones that induce the fight-flight-or-freeze response.
Catecholamines are made up of
80% epinephrine and 20% norepinephrine
Function of aldosterone
Regulation of blood pressure and electrolytes
Cortisol function?
Regulation of metabolism and suppresses the immune system
Function of androgens
Sex hormones
Functions of epinephrine
Sympathetic fight-or-flight
Another name for adrenal glands
Suprarenal glands

In this picture, what gland is present?
Adrenal glands
How many regions is the adrenal cortex divided into?
three
What are the three regions of the adrenal cortex?
Zona glomerulosa, Zona fasciculata, & Zona reticularis.
What is the outermost region of the adrenal cortex?
Zona glomerulosa
What part of the adrenal cortex is deep to the capsule?
Zona glomerulosa
Function of zona glomerulosa
Cells secrete aldosterone which controls blood pressure and blood volume
What region of the adrenal cortex is deep to the zona glomerulosa?
Zona fasciculata
Function of zona fasciculata
Secretes cortisol which controls stress response
Region deep to the zona fasciculata
Zona reticularis
Function of zona reticularis
Secreted androgens (sex hormone)

What region is indicated by the black arrow?
Capsule

What region is indicated by the black arrow
Zona glomerulosa

What region is indicated by the blue arrow?
Zona fasciculata

What region is indicated by the red arrow?
Zona reticularis

What region is indicated by the green arrow?
Adrenal medulla
Butterfly shaped gland found in the neck; anterior to the trachea and inferior to the larynx
Thyroid gland
How many lobes does the thyroid gland have?
Two
How are the two lobes of the thyroid gland connected>
By a thin strand called the isthmus
Function of thyroid gland
Makes thyroid hormone and clacitonin
What are the two types of thyroid hormones?
Tridothyronine (T3) and Thryroxine (T4)
Function of the thyroid homrones
Stimulates cell metabolism, development, and growth.
Function of calcitonin
Decreases osteoclast activity which reduces calcium levels in the blood as a result.
Connective tissue that separates the thyroid gland into small units are known as
lobules
Lobules contain spherical structures called
thyroid follicles
How are thyroid follicles lined?
Simple cuboidal epithelium
Thyroid follicles are made of?
Follicular cells
What do folliclar cells do?
Synthesize an inactive form of thyroid hormone known as thyroglobulin.
Thyroglobulin fluid
Colloid
Surrounding thyroid follicles is?
parafollicular cells
Function of parafollicular cells
The release of calcitonin in response to high blood calcium levels

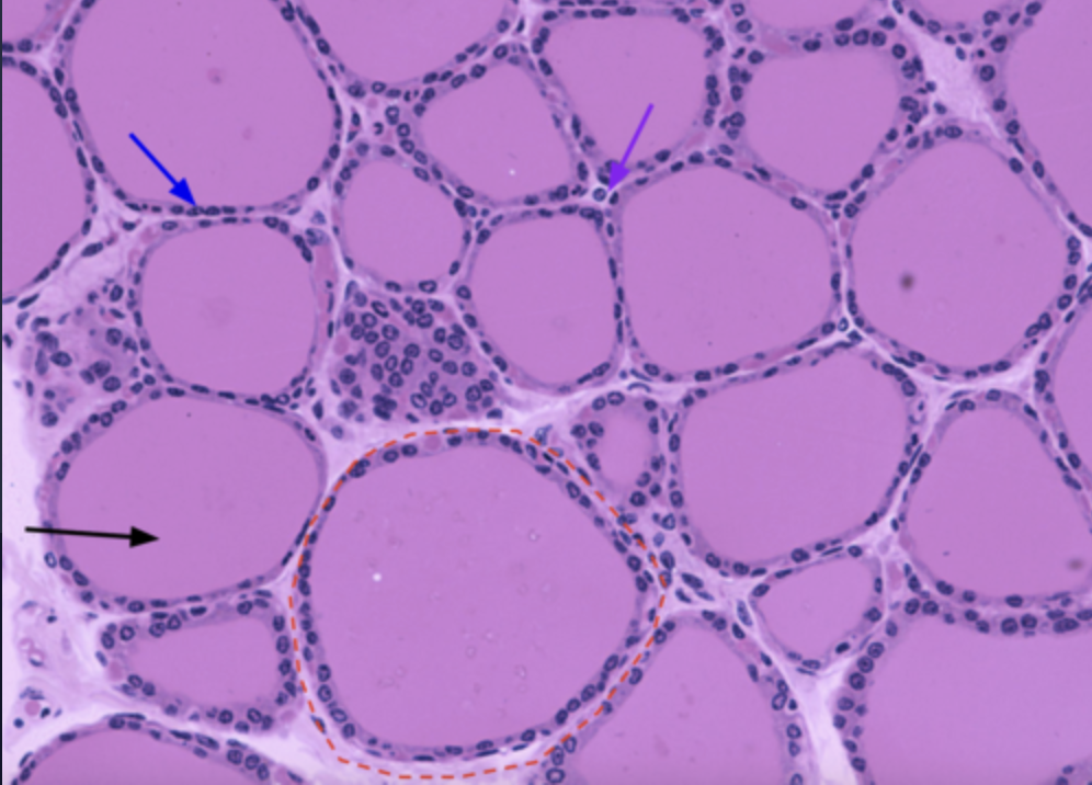
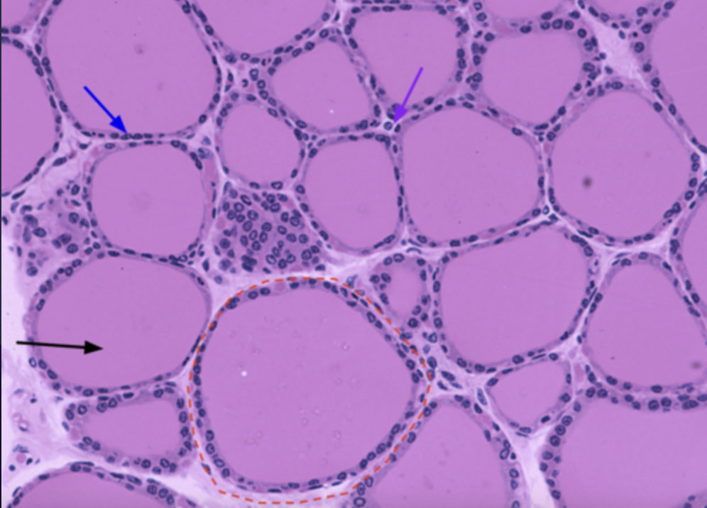
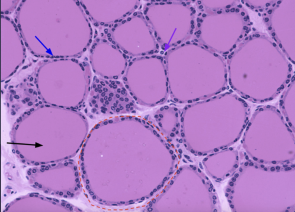
What is the red circle?
Thyroid follicle

What does the black arrow indicate?
Colloid

Blue arrow is pointing to?
follicular cells

Purple arrow is pointing to?
Parafollicular cells