Blood and Bone Marrow

0.0(0)
studied byStudied by 10 people
0.0(0)
full-widthCall with Kai
GameKnowt Play
New
learnLearn
examPractice Test
spaced repetitionSpaced Repetition
heart puzzleMatch
flashcardsFlashcards
Card Sorting

1/33

flashcard set

Earn XP

Description and Tags

LSU SVM

Study Analytics
Name
Mastery
Learn
Test
Matching
Spaced

No study sessions yet.

34 Terms

1
New cards

What is the function of an erythrocyte?

oxygen-carrying red blood cells

2
New cards

What are the characteristics of erythocytes?

eosinophilic anucleated biconcave disk

3
New cards

When does the central pallor increase in size?

when patient is anemic due to reduced amount of hemoglobin

4
New cards

What determines the function of the cell?

specific granules

5
New cards

What is the function of neutrophils?

first responder to bacterial infection, can move through tissue to kill bacteria

6
New cards

What is the function of eosinophil?

major function is to kill parasites but can also assist with allergic reactions

7
New cards

What is the function of basophils?

contains substance that facilitate hypersensitivity and anaphylaxis reactions

8
New cards

What is the function of lymphocytes?

responds to viruses and some types may mature into cells that secrete antibodies

9
New cards

What is the function of monocytes?

phagocytic, cleans up cells and tissue debris after an infection or tissue damage

10
New cards

What is the function of platelets?

stop bleeding when injured, coagulation

11
New cards

What is another name for platelets?

thrombocytes

12
New cards

What regulates hematopoiesis?

megakaryocytes

13
New cards

What is hematopoiesis?

formation of blood cells

14
New cards

What is the characteristic of the nucleus of neutrophils?

multi-lobed

15
New cards

What is the equivalent to neutrophils in non-mammalian blood?

heterophils

16
New cards

What cells are similar to mast cells?

basophils

17
New cards

What are the three types of lymphocytes?

T, B, and natural killer (NK) cells

18
New cards

What makes platelets different in non-mammalian blood?

full cells not fragments

19
New cards

As an animal ages, what kind of marrow replaces the other?

red marrow is replaced by yellow marrow

20
New cards

What is the function of macrophages?

antigen presenting cells

21
New cards

What is erythropoiesis?

development of erythocytes

22
New cards

What is leukopoiesis?

development of leukocytes

23
New cards

What is thrombopoiesis?

development of platelets

24
New cards

When is hematopoiesis initiated?

early embryonic life

25
New cards

What are the largest cells?

monocytes

26
New cards

What are the most common cells?

lymphocytes

27
New cards

What are the granulocytes?

neutrophils, eosinophils, and basophils

28
New cards

What are the agranulocytes?

lymphocytes and monocytes

29
New cards
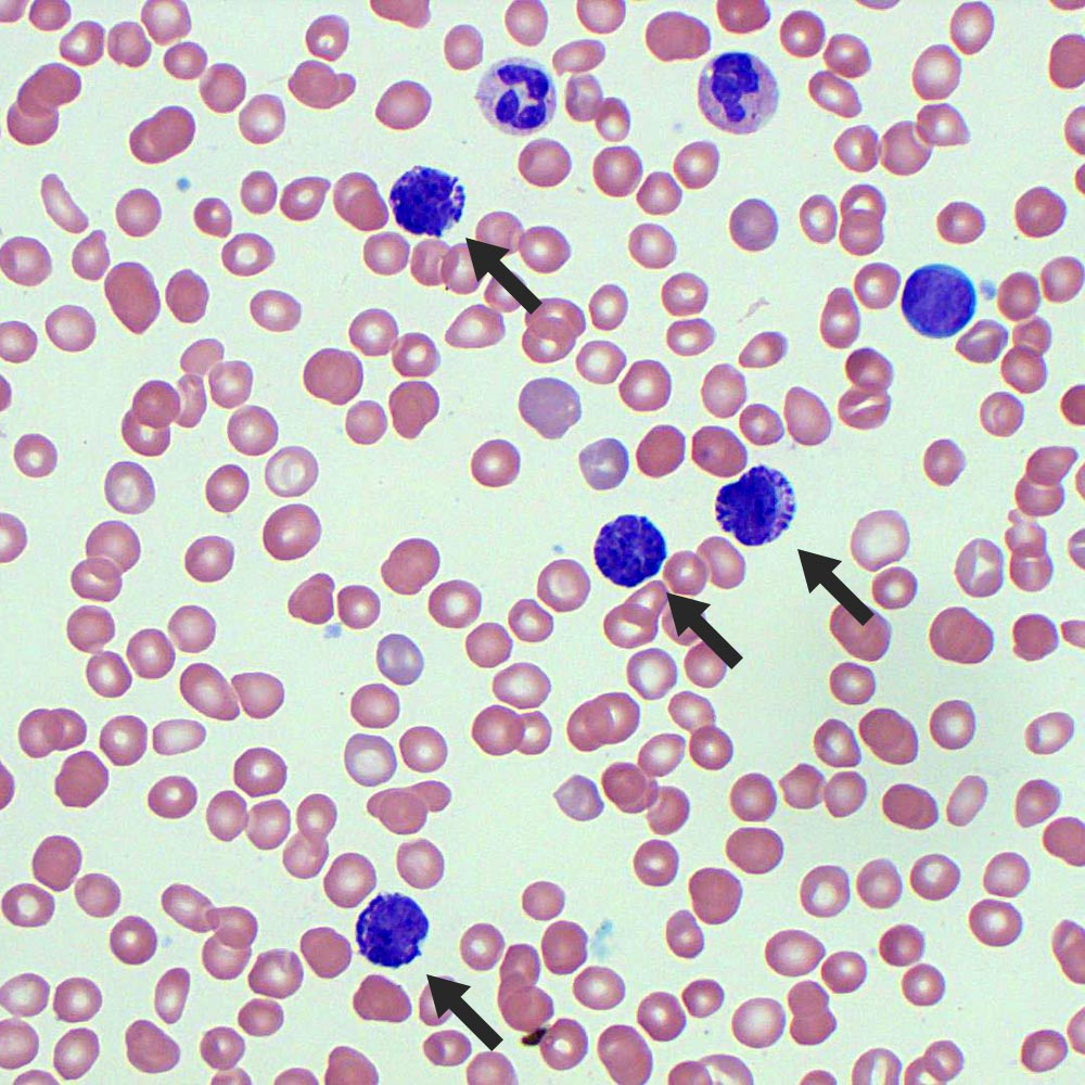
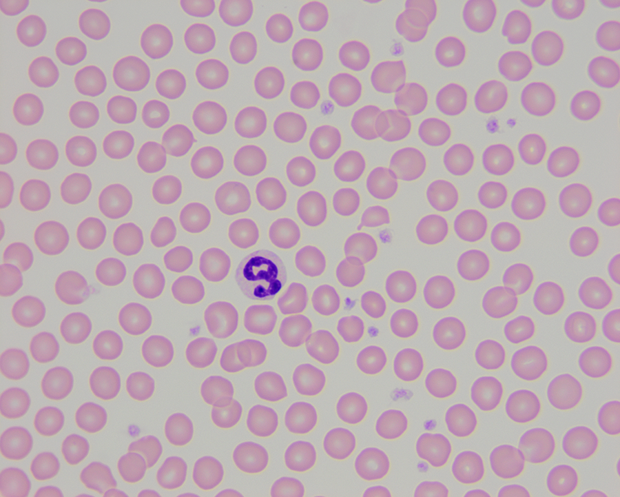
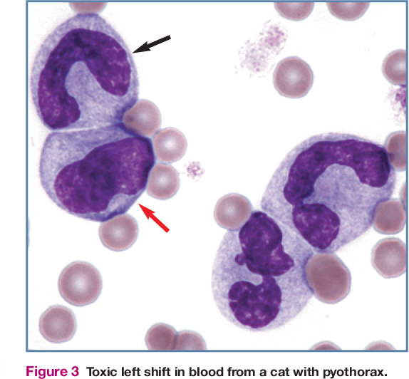
<p>What cell is demonstrated in the image?</p>

What cell is demonstrated in the image?

neutrophil

30
New cards
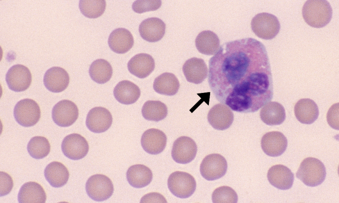
<p>What cell is demonstrated in the image?</p>

What cell is demonstrated in the image?

eosinophil

31
New cards
<p>What cell is demonstrated in the image?</p>

What cell is demonstrated in the image?

basophil

32
New cards
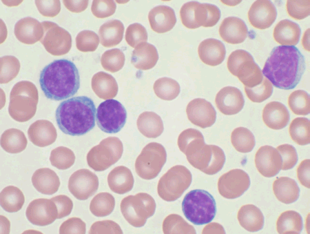
<p>What cell is demonstrated in the image?</p>

What cell is demonstrated in the image?

lymphocytes

33
New cards
<p>What cell is demonstrated in the image?</p>

What cell is demonstrated in the image?

monocytes

34
New cards
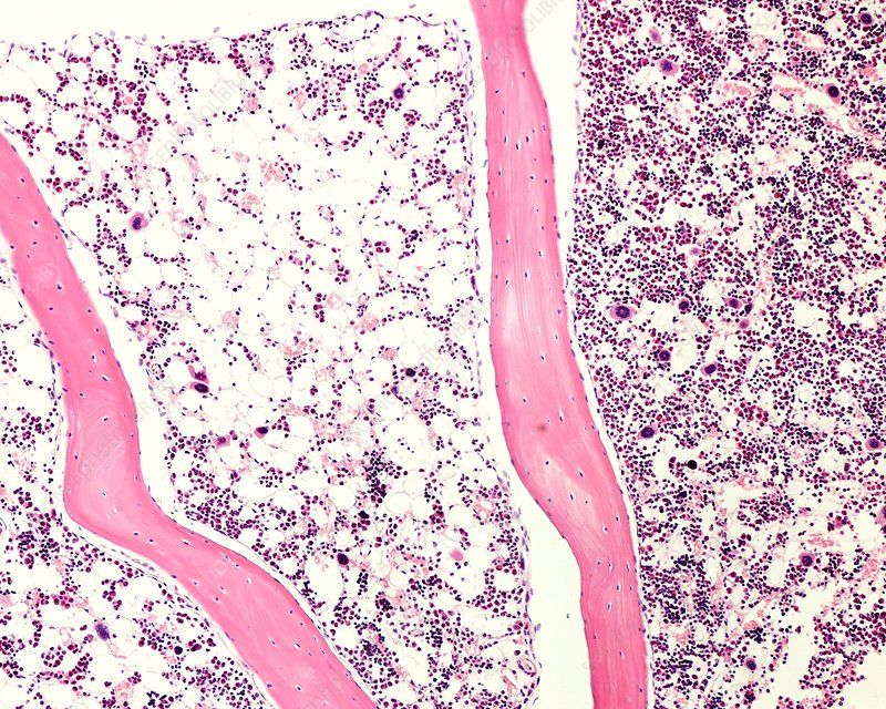
<p>Identify the marrow to the left.</p>

Identify the marrow to the left.

yellow