2.1: Fractures and Orthotics

0.0(0)
studied byStudied by 0 people
0.0(0)
full-widthCall with Kai
GameKnowt Play
New
learnLearn
examPractice Test
spaced repetitionSpaced Repetition
heart puzzleMatch
flashcardsFlashcards
Card Sorting

1/59

encourage image

There's no tags or description

Looks like no tags are added yet.

Study Analytics
Name
Mastery
Learn
Test
Matching
Spaced

No study sessions yet.

60 Terms

1
New cards
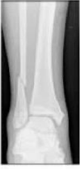
<p>what type of fracture is this?</p>

what type of fracture is this?

open

2
New cards
<p>what type of fracture is this?</p>

what type of fracture is this?

closed

3
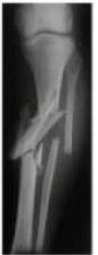
New cards
<p>what type of fracture is this?</p>

what type of fracture is this?

non-displaced

4
New cards
<p>what type of fracture is this?</p>

what type of fracture is this?

displaced 

5
New cards
6
New cards
<p>what type of fracture is this?</p>

what type of fracture is this?

simple

7
New cards
<p>what type of fracture is this?</p>

what type of fracture is this?

comminuted

8
New cards

what are the types of linear fracture?

transverse, oblique, spiral

9
New cards

describe a transverse fracture

-typically long bones
-force on each side of bone
-from trauma
-<30 degress

10
New cards

describe an oblique fracture

-twisting
-from landing at an angle
->30 degrees 

11
New cards

describe a spiral fracture

-from a twisting motion
-sharp edges

12
New cards
<p>what type of fracture is this?</p>

what type of fracture is this?

spiral

13
New cards
<p>what type of fracture is this?</p>

what type of fracture is this?

oblique

14
New cards
<p>what type of fracture is this?</p>

what type of fracture is this?

transverse

15
New cards

what is a comminuted fracture?

-3 or more fractured parts

16
New cards

what is a segmental fracture?

-bone breaks in at least two places
-commonly seen in trauma
-can be further divided into two level, three level, longitudinal split, comminuted

17
New cards

what is bone lose in reference to a fracture?

portion of the bone is lost due to the break

18
New cards

when do you use a dynamic hip screw?

-intertrochanteric fractures

19
New cards

what are the beneftis of a hip screw?

-allows for sparing of the femoral head

-keep normal hip mechanics

20
New cards

what is a dynamic hip screw?

large screw with side plate and several small screws

<p>large screw with side plate and several small screws</p>
21
New cards

what is an intramedullary hip screw?

-a longitudinal rod in the medullary canal of the femur

-aka IM nail

<p>-a longitudinal rod in the medullary canal of the femur </p><p>-aka IM nail</p>
22
New cards

when do you use an intramedullary hip screw

-long bone diaphyseal fractures
-may be combine with dynamic screw for intertrochanteric fractures 

23
New cards

what is a percutaneous pin?

pin inserted through the skin

24
New cards

when do you use a percutaneous pin?

-to stabilize a bone, fracture, or joint

-corrects alignment of the bone 

-particularly in small long bones such as phalanx, metatarsals, metacarpals

25
New cards

what is an open reduction internal fixation (ORIF)?

-when skin must be opened and hardware is placed for a fracture reduction and stabilization

26
New cards

what is an external fixation?

-structure of pins and bars that are inserted externally through the skin for fixation of fractures 

-typically followed by an ORIF after integument integrity is improved 

27
New cards

why would you use an external fixation rather than an ORIF?

-integument integrity is compromised

-local edema

28
New cards

benefits and risks of external fixation

benefits:
-allows access for wound care
-helps control pain and alignment 
allows swelling to go down and tissue healing

risks:
-need to be repositioned frequently because they cannot lay on that side
-watch for infection and pressure injury 

29
New cards

common post-op complications for fractures

-persistent infection
-poor healing
-non-union
-osteomyelitis (bone infection)

30
New cards

common post-op management for fractures

-hospital admission for antibiotics
-hardware removal/exchange
-joint fusions
-osteotomies
-repeat operative debridements

31
New cards
<p>what is the name, type, and purpose of this cervical orthotic?</p>

what is the name, type, and purpose of this cervical orthotic?

name: halo

type: rigid

purpose: unstable C1-2 fractures

32
New cards
<p>what is the name, type, and purpose of this cervical orthotic?</p>

what is the name, type, and purpose of this cervical orthotic?

name: miami-j

type: semi-rigid

purpose: stable fractures, non-operative ligamentous injuries, sometimes used post-op

33
New cards
<p>what is the name, type, and purpose of this cervical orthotic?</p>

what is the name, type, and purpose of this cervical orthotic?

name: CTLSO

type: semi-rigid

purpose: multiple level fracture

34
New cards
<p>what is the name, type, and purpose of this CERVICAL orthotic?</p>

what is the name, type, and purpose of this CERVICAL orthotic?

name: sternal occipital mandibular immobilizer 

type: semi-rigid

purpose: jaw issues with cervical spine involvement 

35
New cards
<p>what is the name and type of this cervical orthotic?</p>

what is the name and type of this cervical orthotic?

name: Philadelphia collar

type: semi-rigid

36
New cards
<p>what is the name, type, and purpose of this thoracic orthotic?</p>

what is the name, type, and purpose of this thoracic orthotic?

name: TLSO

type: rigid

purpose: stable fractures, non-operative ligamentous injury, post-operatively 

37
New cards
<p>what is the name, type, and purpose of this thoracic orthotic?</p>

what is the name, type, and purpose of this thoracic orthotic?

name: boston overlap

type: rigid

purpose: stable fractures, non-operative ligamentous injury, post-operatively 

38
New cards
<p>what is the name, type, and purpose of this THORACIC orthotic?</p>

what is the name, type, and purpose of this THORACIC orthotic?

name: sternal occipital mandibular immobilizer

type: rigid

purpose: stable fractures, non-operative ligamentous injury, post-operatively

39
New cards
<p>what is the name, type, and purpose of this thoracic orthotic?</p>

what is the name, type, and purpose of this thoracic orthotic?

name: jewett brace

type: rigid

purpose: commpression fractures, keeps you in good postural alignment

40
New cards
<p>what is the name, type, and purpose of this thoracic orthotic?</p>

what is the name, type, and purpose of this thoracic orthotic?

name: cloth TSO

type: semi-rigid

purpose: pain control in absence of instability, symptom management 

41
New cards
<p>what is the name, type, and purpose of this thoracic orthotic?</p>

what is the name, type, and purpose of this thoracic orthotic?

name: lumbar corset

type: semi-rigid

purpose: pain control in absence of instability, symptom management 

42
New cards
<p>what is the name, type, and purpose of this thoracic orthotic?</p>

what is the name, type, and purpose of this thoracic orthotic?

name: LSO

type: semi-rigid

purpose: pain control in absence of instability, symptom management 

43
New cards
<p>what is the name, type, and purpose of this thoracic orthotic?</p>

what is the name, type, and purpose of this thoracic orthotic?

name: abdominal binder

type: soft

purpose: pain control in absence of instability, symptom management 

44
New cards
<p>what is the name, type and purpose of this UE orthotic?</p>

what is the name, type and purpose of this UE orthotic?

name: sarmiento brace

type: rigid

purpose: humeral fractures

45
New cards
<p>what is the name, type and purpose of this UE orthotic?</p>

what is the name, type and purpose of this UE orthotic?

name: ulnar gutter splinting 

type: rigid

purpose: 4th or 5th metacarpal fracture

46
New cards
<p>what is the name, type and purpose of this UE orthotic?</p>

what is the name, type and purpose of this UE orthotic?

name: custom splints

type: rigid

purpose: maintain functional position of joint in static position

47
New cards
<p>what is the name and type of this UE orthotic?</p>

what is the name and type of this UE orthotic?

name: hinged elbow brace

type: semi-rigid

48
New cards
<p>what is the name, type and purpose of this UE orthotic?</p>

what is the name, type and purpose of this UE orthotic?

name: figure 8 brace

type: soft

purpose: clavicle fractures

49
New cards
<p>what type of UE orthotic is this?</p>

what type of UE orthotic is this?

soft

50
New cards
<p>what type of UE orthotic is this?</p>

what type of UE orthotic is this?

soft

51
New cards
<p>what is the name, type, and purpose of this LE orthotic?</p>

what is the name, type, and purpose of this LE orthotic?

name: hip abduction brace, hip spica

type: rigid

purpose: used in pts with recurrent dislocations, particularly after a post THR

52
New cards
<p>what is the name, type, and purpose of this LE orthotic?</p>

what is the name, type, and purpose of this LE orthotic?

name: fracture brace

type: rigid

purpose: non-union and non-healing fractures, custom molded 

53
New cards
<p>what is the name, type, and purpose of this ankle orthotic?</p>

what is the name, type, and purpose of this ankle orthotic?

name: AFO

type: rigid

purpose: used to prevent/treat foot drop, custom or prefab

54
New cards
<p>what is the name, type, and purpose of this ankle orthotic?</p>

what is the name, type, and purpose of this ankle orthotic?

name: PRAFO

type: semi-rigid

purpose: for long-term, low functioning pts, helps keep them in neutral ankle position and prevents pressure injuries

55
New cards
<p>what is the name, type, and purpose of this foot orthotic?</p>

what is the name, type, and purpose of this foot orthotic?

name: toe wedge

type: rigid

purpose: keeps all weight off of the toes after foot surgery (have to use a step to gait)

56
New cards
<p>what is the name, type, and purpose of this foot orthotic?</p>

what is the name, type, and purpose of this foot orthotic?

name: cast shoe

type: rigid

purpose: used post-op if foot can’t fit in shoe

57
New cards
<p>what is the name and type of this ankle orthotic?</p>

what is the name and type of this ankle orthotic?

name: boot 

type: semi-rigid

58
New cards
<p>what is the name, type, and purpose of this LE orthotic?</p>

what is the name, type, and purpose of this LE orthotic?

name: locking-hinged knee brace

type: semi-rigid

purpose: stabilize non-op fracture or ligamentous injury

59
New cards
<p>what is the name, type, and purpose of this LE orthotic?</p>

what is the name, type, and purpose of this LE orthotic?

name: knee immobilizer 

type: semi-rigid

purpose: stabilizes distal femoral or proximal tibial fractures, provides knee stability for weight bearing when quads are weak, can be used for post-op patellar fracture 

60
New cards
<p>what is the name, type, and purpose of this orthotic </p>

what is the name, type, and purpose of this orthotic

name: ace wrap

type: soft

purpose: controls swelling and pain (provides no stability)