1/26
Looks like no tags are added yet.
Name | Mastery | Learn | Test | Matching | Spaced | Call with Kai |
|---|
No study sessions yet.
What are prokaryotes
Microscopic organisms found in almost every environment on the planet and has 500-1000 species in the human body
Prokaryotes are split into 2 domains what are they
Archae and Bacteria
Archae
types of prokaryotes that live in extreme environments
Bacteria
most are not pathogenic(disease causing)
what are the 3 characteristics of bacteria
cellular morphology
biochemical or physiological
Colonial
What does the cellulr morphologic characteristics include
Size, Shape, and Grouping

What is the shape of this bacteria
bacillus or rod-shaped

What is the shape of this bacteria
Coccus-round

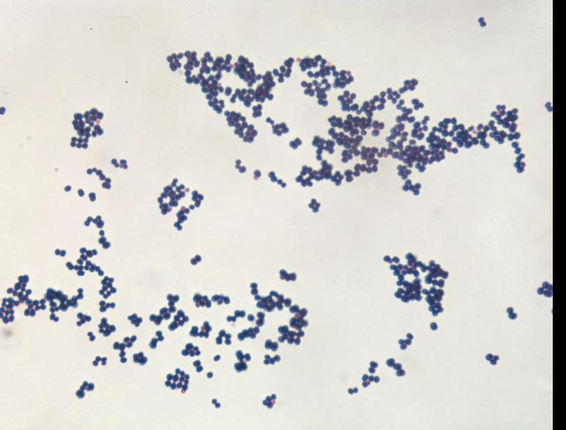
What is this grouping called
strepto

What is this type of grouping called
Staphylo
What is the feature of biochemical/physiological
based on presnece/absence of emzymes

What supergroup does this protist belong to
Archaeplastida

What supergroup does this protist belong to
Amorphea

Identify the structure indicated by the arrow
daughter colonies
Protist
used to refer eukaryotic organisms that are not plants, fungi, or animals
What are the ways protists obtain their nutrients
Autotrophy, Heterotrophy, and Mixotrophy
What are the 4 clades of protists
TSAR
Discoba
Amorphea
Archaeplastida
Ciliates
move by the use of cilia and categorized under TSAR

Name this protist and its supergroup
Paramecium, TSAR supergroup

What is the sexual reproduction of ciliates
Conjuction

What is the asexual reproduction of ciliates
binary fission
Discoba
consisted of the Euglena and Trypanosoma the posses flagellum

Name this
trypanosoma
true or false Trypanosoma is parasitic
true
What is Amorphea supergoup consist of
amoebozoans, plasmada/cellular slime molds, choanoflagellates, fungi, and animals
What does archaeplastida include
red algae, green algae, and land plants

which protist super group does this belong to
Archaeplastida specifically volvox