2do parcial solo guia

5.0(1)
studied byStudied by 13 people
5.0(1)
full-widthCall with Kai
GameKnowt Play
New
learnLearn
examPractice Test
spaced repetitionSpaced Repetition
heart puzzleMatch
flashcardsFlashcards
Card Sorting

1/199

encourage image

There's no tags or description

Looks like no tags are added yet.

Study Analytics
Name
Mastery
Learn
Test
Matching
Spaced

No study sessions yet.

200 Terms

1
New cards

embrio de mama

se origina en la 5ta semana del ectodermo primitivo

2
New cards

quien irriga el 60% de la mama

arteria mamaria interna

3
New cards

quien irriga el 30% de la mama

arteria toracica lateral

4
New cards

hacia donde se va el 75% del flujo linfatico de la mama

axila

5
New cards

cuales son las causas mas comunes de consulta por mama

tumoracion/masa y dolor

6
New cards

cuando se hace la mamografia de cribado

mayores de 40 años

7
New cards

en quien esta indicada la ecografia mamaria

mujeres menores de 40 en lugar de cribado (las mamas jovenes son mas densas)

8
New cards

para que es la ecografia en mama

para reconocer la naturaleza quistica o solida de una masa palpable

9
New cards

birads 0

no concluyente

10
New cards

birads 1

el estudio es normal y sin alteraciones

11
New cards

birads 2

hallazgo mamografico benigno

12
New cards

birads 3

hallazgo mamografico probablemente benigno

13
New cards

birads 4

hallazgo mamografico probablemente maligno

14
New cards

birads 5

hallazgo mamografico con alta probabilidad de malignidad

15
New cards

patogeno principal que causa mastitis

s. aureus

16
New cards

en quien aparece la mastitis

mujeres en lactancia

17
New cards

tx mastitis

drenaje, dicloxacilina, oxacilina

18
New cards

principal tumor maligno de la mama en mujeres jovenes

firoadenoma

19
New cards

caracteristicas fibroadenoma

movil, redondo, bien delimitado, indoloro

20
New cards

dx de fibroadenoma

ecografia

21
New cards

secrecion que preocupa en el pezon

secrecion sanguinolenta

22
New cards

patologia de mama mas frecuente en 30 a 50 años

enfermedad fibroquistica y mastalgia

23
New cards

a que esta asociada la enfermedad fibroquistica y mastalgia

exposicion exagerada a hormonas

24
New cards

tx enf fibroquistica

dieta: quitar cafeina, te, refrescos negros, granos, exitar xantinas

25
New cards

causa de quistes mamarios

estimulos hormonales ovaricos que ocasionan un lobulo mamario que se distiende con liquido dentro

26
New cards

quiste con puro liquido

quiste simple

27
New cards

quiste con componente solido

quiste complejo

28
New cards

con que se puede confundir la necrosis grasa de mama

carcinoma de tipo escirroso o inflamatorio de ca de mama

29
New cards

mujer con descarga serosanguinolenta, es el cancer mas frecuente de la mujer

papiloma intraductal

30
New cards

prevalencia papiloma intraductal

mujeres de 35-64 años (80%)

31
New cards

cual es la incidencia de cancer de mama en papiloma intraductal

12% de las mujeres en algun momento de su vida

32
New cards

factores de riesgo para ca de mama

mujer, >40 años, menarquia <12 años, menopausia >50 años

33
New cards

% ca de mama esporadico

65-75

34
New cards

% ca de mama familiar

20-30

35
New cards

% ca de mama hereditario

5-10

36
New cards

cual es el brca mas comun

BRCA 1 (45%)

37
New cards

prevencion en px con brca +

mastectomia profilacticama

38
New cards

marcador tumoral ca de mama

CA153

39
New cards

ubicacion mas frecuente de los tumores malignos de mama

cuadrante superoexterno

40
New cards

metastasis mas comun de ca de mama

pulmon, higado, esqueleto, pleura

41
New cards

tipo de biopsia que siempre se hace en ca de mama

trucut

42
New cards

biopsia BAAF

aspiracion con aguja fina

43
New cards

tx accion locoregional ca de mama

cirugia y radioterapia

44
New cards

tx accion sistemica en ca de mama

quimioterapia y hormonoterapia

45
New cards

tx etapa 1 y 2 ca de mama

cirugia

46
New cards

tx etapa 2 b ca de mama

quimioterapia, qx de rescate

47
New cards

tx etapa 3 y 4 ca de mama

quimio, radioterapia, hormonoterapia, cirugia plaiativa

48
New cards

cuando se realiza la qx preservadora en ca de mama

cuando el tumor mide mas de 3 cm

49
New cards

como se detecta el ganglio centinela

gamma sonda para deteccion

50
New cards

ganglio centinela

1er ganglio al que llega la linfa que drena desde un tumor

51
New cards

cuando se realiza una mastectomia radical 

cancer muy avanzado

52
New cards

donde esta el 1er estrechamiento esofagico

C6 en el EES

53
New cards

donde se encuentra el estrechamiento del EEI

T10

54
New cards

acalasia

dilatacion sin estenosis

55
New cards

a que se debe la acalasia organica

hipertrofia de EEI + perdida de la estimulacion de los plexos mientericos

56
New cards

a que se debe la acalasia no organica

hipertonia del EEI

57
New cards

presion normal EEI

10-13 mmhg

58
New cards

tx acalasia

miotomia de heller

59
New cards
<p>union esofagogastrica por arriba del diafragma</p>

union esofagogastrica por arriba del diafragma

hernia por deslizamiento 85%

60
New cards
<p>union esofagogastrica abajo del diafragma pero con el fondo gastrico encima</p>

union esofagogastrica abajo del diafragma pero con el fondo gastrico encima

herna paraesofagica

61
New cards
<p>union gastroesofagica arriba del diafragma + fondo gastrico sobresale hacia arriba</p>

union gastroesofagica arriba del diafragma + fondo gastrico sobresale hacia arriba

hernia mixta hiatal

62
New cards

sx clasicos erge

pirosis (75%), regurgitacion, disfagia

63
New cards

signos menos comunes erge

odinofagia, dolor retroesternal, eructos, como hay mayor deglucion de saliva hay mas aire y mas eructos

64
New cards

sx extraesofagicos erge

disfonia, ardor o dolor laringeo, broncoaspiracion, tos, broncoespasmo

65
New cards

dx de hernia paraesofágica

radiologia

66
New cards

estudio que informa sobre el estado funcional del EEI y apoya en la valoracion preoperatoria

Manometria

67
New cards

criterios para decir que una manometria es patologica

presion menor a 6 mmhg, longitud total menor a 2 cm, longitud abdominal menor a 1 cm

68
New cards

complicaciones de erge por hernia hiatal

esofagitis, estenosis, barret

69
New cards

tx erge

estilo de vida (elevar cabecera, perder peso, no comer antes de dormir, no fumar ni tomar, no medicamentos que bajen presion de EEI, no aines), ibp, qx

70
New cards

cuando se sugiere cirugia en erge

cuando fracasa el tx, sintomas atipicos (asma), <49 años, esofagitis grave

71
New cards

cual es la qx mas usada en tx de erge

funduplicatura nielsen

72
New cards

dx de ca de esofago

endoscopia

73
New cards

estadificacion de ca de esofago

TAC

74
New cards

carcinoma de esofago mas comun y de mejor pronostico

epidermoide/escamoso de esofago

75
New cards

carcinoma de esofago asociado a barret y esofagitis cronica

adenocarcinoma de esofago

76
New cards

en que parte del esofago aparecen los adenocarcinomas

pate baja

77
New cards

en que parte del esofago aparecen los epidermoides/escamosos

parte alta

78
New cards

principalfactor de riesgo carcinoma de esofago

esofago de barret

79
New cards

tx ca de esofago in situ (mucosa)

endocirugia

80
New cards

tx ca de esofago limitado 4-5 cm

cirugia resectiva

81
New cards

tx ca de esofago localmente avanzado en ganglios

quimio + qx + radioterapia

82
New cards

tx de ca de esofago metastasico

paliacion

83
New cards

cancer de esofago en px de mas de 75 años, con afeccion traqueobronquial o aortica y tumor >9cm con disfonia

ca de esofago no resecable

84
New cards

mortalidad operatoria ca de esofago

5-8%

85
New cards

exito de reseccion curativa ca de esofago 1 año

70%

86
New cards

exito de reseccion curativa ca de esofago 2 años

30%

87
New cards

exito de reseccion curativa ca de esofago 5 años

20%

88
New cards

aine que causa ulceras

diclofenaco

89
New cards
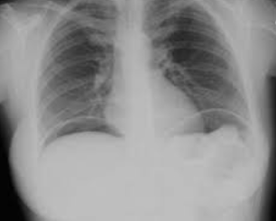
term image

signo en alas de gaviota

90
New cards

quien sintetiza al pepsinogeno

celulas principales

91
New cards

quien sintetiza al factor intrinseco

celuls parietales

92
New cards

ph del jugo gastrico

2

93
New cards

ulcera en la que al comer empeoran los sintomas

estomacal

94
New cards

ulcera en la que al comer mejoran los sintomas

duodenal

95
New cards

cc ulcera peptica

anorexia, sangrado, saciedad, dispepsia

96
New cards

ulcera que se complica con hemorrafia

posterior

97
New cards

ulcera que se complica con perforacion

anterior

98
New cards

causa de hemorrafia intestinal alta

ulcera peptica 45%

99
New cards

causa de hemorragia intestinal alta en cirrosis

gastritis y ulcera peptica 50%

100
New cards

ulcera peptica sangrante

75% se detiene espontaneamente

mortalidad del 6 a 8%